Evaluating Maternal Risk Factors Impacting Fetal Intima–Media Thickness of the Abdominal Aorta Measured at 28 Weeks of Gestation
Abstract
1. Introduction
2. Materials and Methods
2.1. Legal and Ethical Considerations
2.2. Inclusion Criteria and Study Groups
2.3. Study Variables
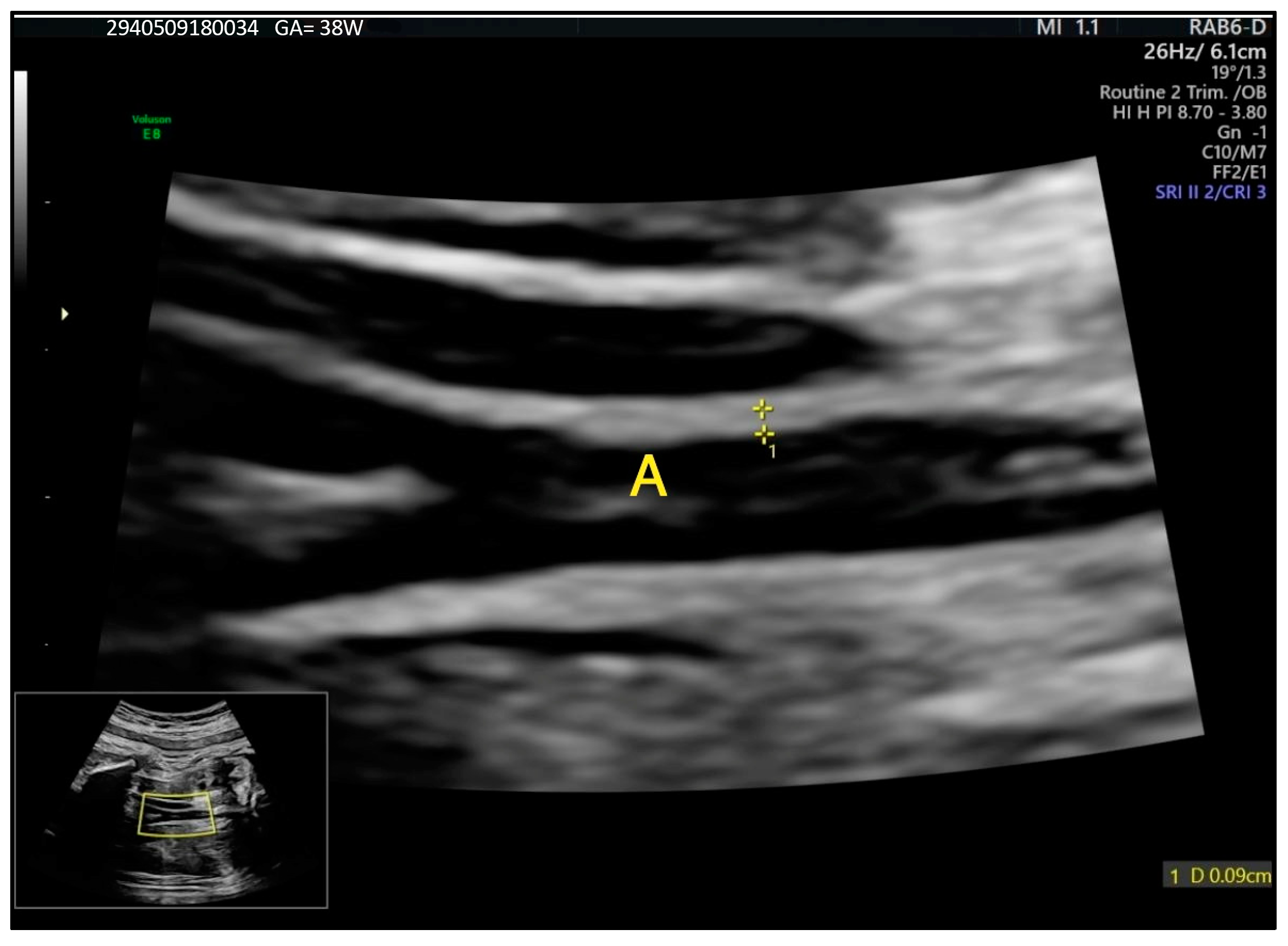
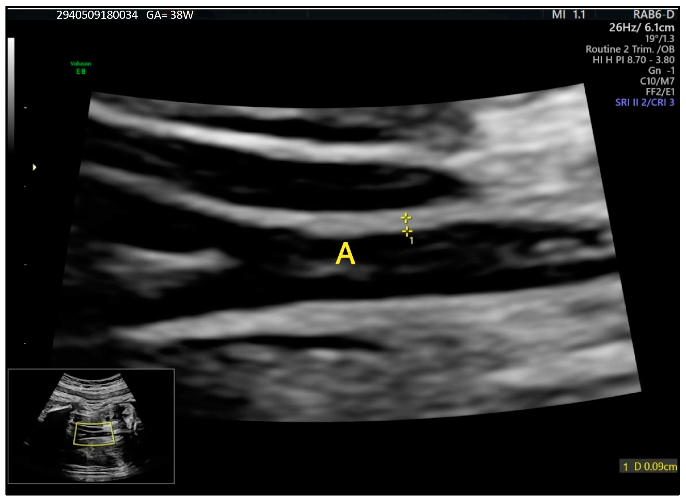
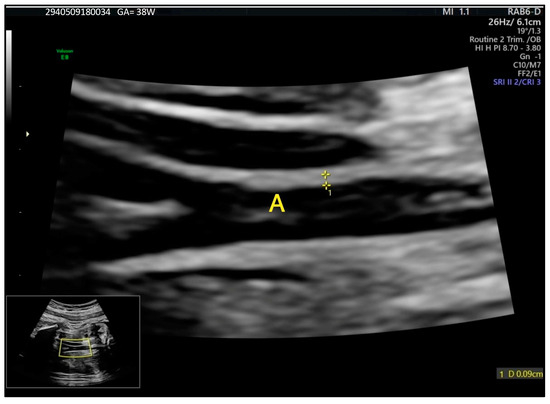
2.4. Definitions
2.5. Statistical Analysis
3. Results
4. Discussion
4.1. Analysis of Findings
4.2. Study Limitations
5. Conclusions
Author Contributions
Funding
Institutional Review Board Statement
Informed Consent Statement
Data Availability Statement
Conflicts of Interest
References
- Kim, S.Y.; Lee, S.M.; Kwon, G.E.; Kim, B.J.; Koo, J.N.; Oh, I.H.; Kim, S.M.; Shin, S.; Kim, W.; Joo, S.K.; et al. Maternal dyslipidemia and altered cholesterol metabolism in early pregnancy as a risk factor for small for gestational age neonates. Sci. Rep. 2021, 11, 21066. [Google Scholar] [CrossRef] [PubMed] [PubMed Central]
- Wild, R.; Feingold, K.R. Effect of Pregnancy on Lipid Metabolism and Lipoprotein Levels. In Endotext [Internet]; Feingold, K.R., Anawalt, B., Blackman, M.R., Boyce, A., Chrousos, G., Corpas, E., de Herder, W.W., Dhatariya, K., Hofland, J., Dungan, K., et al., Eds.; MDText.com, Inc.: South Dartmouth, MA, USA, 2000. Available online: https://www.ncbi.nlm.nih.gov/books/NBK498654/ (accessed on 3 March 2023).
- Gaillard, R. Maternal obesity during pregnancy and cardiovascular development and disease in the offspring. Eur. J. Epidemiol. 2015, 30, 1141–1152. [Google Scholar] [CrossRef] [PubMed] [PubMed Central]
- Wei, Y.; Sun, D.; Jaiswal, S.; He, Y.; Liu, X.; Wang, J. Association of lifestyle with valvular heart disease progression and life expectancy among elderly people from different socioeconomic backgrounds. BMC Med. 2024, 22, 367. [Google Scholar] [CrossRef] [PubMed] [PubMed Central]
- Cozma, D.; Streian, C.G.; Vacarescu, C.; Mornos, C. Back to sinus rhythm from atrial flutter or fibrillation: Dabigatran is safe without transoesophageal control. Kardiol. Pol. 2016, 74, 425–430. [Google Scholar] [CrossRef] [PubMed]
- Doandes, F.M.; Manea, A.M.; Lungu, N.; Brandibur, T.; Cioboata, D.; Costescu, O.C.; Zaharie, M.; Boia, M. The Role of Amplitude-Integrated Electroencephalography (aEEG) in Monitoring Infants with Neonatal Seizures and Predicting Their Neurodevelopmental Outcome. Children 2023, 10, 833. [Google Scholar] [CrossRef] [PubMed] [PubMed Central]
- Skilton, M.R.; Celermajer, D.S.; Cosmi, E.; Crispi, F.; Gidding, S.S.; Raitakari, O.T.; Urbina, E.M. Natural History of Atherosclerosis and Abdominal Aortic Intima-Media Thickness: Rationale, Evidence, and Best Practice for Detection of Atherosclerosis in the Young. J. Clin. Med. 2019, 8, 1201. [Google Scholar] [CrossRef] [PubMed] [PubMed Central]
- McCloskey, K.; Ponsonby, A.L.; Carlin, J.B.; Jachno, K.; Cheung, M.; Skilton, M.R.; Koleff, J.; Vuillermin, P.; Burgner, D. Reproducibility of aortic intima-media thickness in infants using edge-detection software and manual caliper measurements. Cardiovasc. Ultrasound 2014, 12, 18. [Google Scholar] [CrossRef]
- Poznyak, A.V.; Khotina, V.A.; Zhigmitova, E.B.; Sukhorukov, V.N.; Postnov, A.Y.; Orekhov, A.N. Is There a Relationship between Adverse Pregnancy Outcomes and Future Development of Atherosclerosis? Biomedicines 2023, 11, 2430. [Google Scholar] [CrossRef] [PubMed] [PubMed Central]
- Boroń, D.; Kornacki, J.; Wender-Ozegowska, E. The Assessment of Maternal and Fetal Intima-Media Thickness in Perinatology. J. Clin. Med. 2022, 11, 1168. [Google Scholar] [CrossRef]
- Niemczyk, N.A.; Bertolet, M.; Catov, J.M.; Desai, M.; McClure, C.K.; Roberts, J.M.; Sekikawa, A.; Tepper, P.G.; Barinas-Mitchell, E.J. Common carotid artery intima-media thickness increases throughout the pregnancy cycle: A prospective cohort study. BMC Pregnancy Childbirth 2018, 18, 195. [Google Scholar] [CrossRef]
- Galjaard, S.; Pasman, S.A.; Ameye, L.; Timmerman, D.; Devlieger, R. Intima-media thickness measurements in the fetus and mother during pregnancy: A feasibility study. Ultrasound Med. Biol. 2014, 40, 1949–1957. [Google Scholar] [CrossRef] [PubMed]
- Godfrey, K.M.; Reynolds, R.M.; Prescott, S.L.; Nyirenda, M.; Jaddoe, V.W.; Eriksson, J.G.; Broekman, B.F. Influence of maternal obesity on the long-term health of offspring. Lancet Diabetes Endocrinol. 2017, 5, 53–64. [Google Scholar] [CrossRef] [PubMed] [PubMed Central]
- Chandrasekaran, S.; Neal-Perry, G. Long-term consequences of obesity on female fertility and the health of the offspring. Curr. Opin. Obstet. Gynecol. 2017, 29, 180–187. [Google Scholar] [CrossRef] [PubMed] [PubMed Central]
- Lende, M.; Rijhsinghani, A. Gestational Diabetes: Overview with Emphasis on Medical Management. Int. J. Environ. Res. Public Health 2020, 17, 9573. [Google Scholar] [CrossRef] [PubMed] [PubMed Central]
- Modzelewski, R.; Stefanowicz-Rutkowska, M.M.; Matuszewski, W.; Bandurska-Stankiewicz, E.M. Gestational Diabetes Mellitus-Recent Literature Review. J. Clin. Med. 2022, 11, 5736. [Google Scholar] [CrossRef] [PubMed] [PubMed Central]
- Eades, C.E.; Burrows, K.A.; Andreeva, R.; Stansfield, D.R.; Evans, J.M. Prevalence of gestational diabetes in the United States and Canada: A systematic review and meta-analysis. BMC Pregnancy Childbirth 2024, 24, 204. [Google Scholar] [CrossRef] [PubMed] [PubMed Central]
- Mitsuda, N.; Eitoku, M.; Yamasaki, K.; J-P, N.A.; Fujieda, M.; Maeda, N.; Suganuma, N.; Japan Environment and Children’s Study (JECS) Group. Association between maternal cholesterol level during pregnancy and placental weight and birthweight ratio: Data from the Japan Environment and Children’s Study. BMC Pregnancy Childbirth 2023, 23, 484. [Google Scholar] [CrossRef] [PubMed]
- Epure, A.M.; Rios-Leyvraz, M.; Anker, D.; Di Bernardo, S.; da Costa, B.R.; Chiolero, A.; Sekarski, N. Risk factors during first 1,000 days of life for carotid intima-media thickness in infants, children, and adolescents: A systematic review with meta-analyses. PLoS Med. 2020, 17, e1003414. [Google Scholar] [CrossRef] [PubMed] [PubMed Central]
- Parisi, F.; Milazzo, R.; Savasi, V.M.; Cetin, I. Maternal Low-Grade Chronic Inflammation and Intrauterine Programming of Health and Disease. Int. J. Mol. Sci. 2021, 22, 1732. [Google Scholar] [CrossRef] [PubMed] [PubMed Central]
- Gomez-Roig, M.D.; Mazarico, E.; Valladares, E.; Guirado, L.; Fernandez-Arias, M.; Vela, A. Aortic intima-media thickness and aortic diameter in small for gestational age and growth restricted fetuses. PLoS ONE 2015, 10, e0126842. [Google Scholar] [CrossRef]
- Cosmi, E.; Visentin, S.; Fanelli, T.; Mautone, A.J.; Zanardo, V. Aortic intima media thickness in fetuses and children with intrauterine growth restriction. Obstet. Gynecol. 2009, 114, 1109–1114. [Google Scholar] [CrossRef] [PubMed]
- Visentin, S.; Londero, A.P.; Camerin, M.; Grisan, E.; Cosmi, E. A possible new approach in the prediction of late gestational hypertension: The role of the fetal aortic intima-media thickness. Medicine 2017, 96, e5515. [Google Scholar] [CrossRef] [PubMed]
- Shimizu, T.; Fujii, T.; Iwasaki, J.; Nakano, Y.; Sakurai, M.; Miura, F.; Dobashi, K.; Mizuno, K.; Itabashi, K. Abdominal aortic intima-media thickness in preschool children born preterm. Pediatr. Cardiol. 2014, 35, 121–125. [Google Scholar] [CrossRef] [PubMed]
- Chat, V.; Wu, F.; Demmer, R.T.; Parvez, F.; Ahmed, A.; Eunus, M.; Hasan, R.; Nahar, J.; Shaheen, I.; Sarwar, G.; et al. Association between number of children and carotid intima-media thickness in Bangladesh. PLoS ONE 2018, 13, e0208148. [Google Scholar] [CrossRef]
- Sarikabadayi, Y.U.; Aydemir, O.; Kanmaz, G.; Aydemir, C.; Oguz, S.S.; Erdeve, O.; Eyi, E.G.; Zergeroglu, S.; Dilmen, U. Umbilical artery intima-media and wall thickness in infants of diabetic mothers. Neonatology 2012, 102, 157–162. [Google Scholar] [CrossRef]
- Koklu, E.; Akcakus, M.; Kurtoglu, S.; Koklu, S.; Yikilmaz, A.; Coskun, A.; Gunes, T. Aortic intima-media thickness and lipid profile in macrosomic newborns. Eur. J. Pediatr. 2007, 166, 333–338. [Google Scholar] [CrossRef]
- Gunes, T.; Koklu, E.; Yikilmaz, A.; Ozturk, M.A.; Akcakus, M.; Kurtoglu, S.; Coskun, A.; Koklu, S. Influence of maternal smoking on neonatal aortic intima-media thickness, serum IGF-I and IGFBP-3 levels. Eur. J. Pediatr. 2007, 166, 1039–1044. [Google Scholar] [CrossRef]
- Koklu, E.; Ozturk, M.A.; Kurtoglu, S.; Akcakus, M.; Yikilmaz, A.; Gunes, T. Aortic intima-media thickness, serum IGF-I, IGFBP-3, and leptin levels in intrauterine growth-restricted newborns of healthy mothers. Pediatr. Res. 2007, 62, 704–709. [Google Scholar] [CrossRef]

| Variables | Below 75th % IMT (n = 111) | Above 75th % IMT (n = 41) | p-Value |
|---|---|---|---|
| Maternal age, years (mean ± SD) | 31.4 ± 5.3 | 32.4 ± 5.1 | 0.288 |
| Maternal BMI (mean ± SD) | 24.7 ± 3.6 | 27.5 ± 4.1 | <0.001 |
| Number of gestations (gravidity) | 0.067 | ||
| 1 | 40% | 20% | |
| 2 | 34% | 46% | |
| >2 | 26% | 34% | |
| Cesarean birth | 95% | 88% | 0.151 |
| Preeclampsia | 28% | 46% | 0.031 |
| Insulin necessity | 14% | 27% | 0.075 |
| Gestational hypertension | 17% | 37% | 0.010 |
| Diastolic dysfunction | 11% | 20% | 0.158 |
| Gestational age at birth, weeks (mean ± SD) | 37.5 ± 2.0 | 38.2 ± 1.2 | 0.045 |
| Birth weight (mean ± SD) | 3166.5 ± 473.2 | 4068.78 ± 525.8 | <0.001 |
| APGAR score | 0.005 | ||
| 9–10 | 53% | 32% | |
| 7–8 | 37% | 39% | |
| <7 | 10% | 29% | |
| IMT, (median [IQR]) | 0.721 [0.608–0.834] | 0.954 [0.916–0.992] | <0.001 |
| Variables (Mean ± SD) | Below 75th % IMT (n = 111) | Above 75th % IMT (n = 41) | p-Value |
|---|---|---|---|
| HDL | 68.43 ± 8.16 | 59.12 ± 10.09 | <0.001 |
| LDL | 94.75 ± 17.76 | 101.93 ± 19.51 | 0.032 |
| Triglycerides | 128.34 ± 24.31 | 130.63 ± 22.32 | 0.599 |
| TNF-alpha | 4.96 ± 3.37 | 8.66 ± 3.87 | <0.001 |
| hsCRP | 0.60 ± 0.52 | 0.94 ± 0.46 | <0.001 |
| Parameters | Best Cutoff Value | Sensitivity | Specificity | AUC | p-Value |
|---|---|---|---|---|---|
| BMI | 31.06 | 65.49 | 57.34 | 0.461 | 0.344 |
| HDL | 44.61 | 43.36 | 58.40 | 0.403 | 0.825 |
| LDL | 108.25 | 56.12 | 59.56 | 0.412 | 0.517 |
| Triglycerides | 149.10 | 57.98 | 51.67 | 0.506 | 0.394 |
| TNF-alpha | 10.66 | 81.63 | 70.59 | 0.682 | <0.0001 |
| hsCRP | 2.92 | 84.41 | 79.01 | 0.738 | <0.0001 |
| Compound score 1 | 11.27 | 72.08 | 66.97 | 0.622 | 0.008 |
| Compound score 2 | 6.18 | 86.35 | 81.42 | 0.789 | <0.0001 |
| Factors Above the Best Cutoff | Hazard Ratio | 95% CI | p-Value |
|---|---|---|---|
| BMI | 1.09 | (1.03–1.15) | 0.102 |
| HDL | 0.93 | (0.88–1.36) | 0.078 |
| LDL | 1.06 | (1.01–1.12) | 0.314 |
| Triglycerides | 1.04 | (0.99–1.89) | 0.129 |
| TNF-alpha | 2.21 | (1.15–5.28) | <0.0001 |
| hsCRP | 2.87 | (1.11–4.23) | <0.0001 |
| Compound score 1 | 4.05 | (1.09–6.21) | <0.0001 |
| Compound score 2 | 4.27 | (1.19–8.32) | <0.0001 |
Disclaimer/Publisher’s Note: The statements, opinions and data contained in all publications are solely those of the individual author(s) and contributor(s) and not of MDPI and/or the editor(s). MDPI and/or the editor(s) disclaim responsibility for any injury to people or property resulting from any ideas, methods, instructions or products referred to in the content. |
© 2024 by the authors. Licensee MDPI, Basel, Switzerland. This article is an open access article distributed under the terms and conditions of the Creative Commons Attribution (CC BY) license (https://creativecommons.org/licenses/by/4.0/).
Share and Cite
Belovan, B.; Popa, Z.L.; Ratiu, A.; Citu, C.; Citu, I.M.; Sas, I. Evaluating Maternal Risk Factors Impacting Fetal Intima–Media Thickness of the Abdominal Aorta Measured at 28 Weeks of Gestation. J. Clin. Med. 2024, 13, 6519. https://doi.org/10.3390/jcm13216519
Belovan B, Popa ZL, Ratiu A, Citu C, Citu IM, Sas I. Evaluating Maternal Risk Factors Impacting Fetal Intima–Media Thickness of the Abdominal Aorta Measured at 28 Weeks of Gestation. Journal of Clinical Medicine. 2024; 13(21):6519. https://doi.org/10.3390/jcm13216519
Chicago/Turabian StyleBelovan, Biliana, Zoran Laurentiu Popa, Adrian Ratiu, Cosmin Citu, Ioana Mihaela Citu, and Ioan Sas. 2024. "Evaluating Maternal Risk Factors Impacting Fetal Intima–Media Thickness of the Abdominal Aorta Measured at 28 Weeks of Gestation" Journal of Clinical Medicine 13, no. 21: 6519. https://doi.org/10.3390/jcm13216519
APA StyleBelovan, B., Popa, Z. L., Ratiu, A., Citu, C., Citu, I. M., & Sas, I. (2024). Evaluating Maternal Risk Factors Impacting Fetal Intima–Media Thickness of the Abdominal Aorta Measured at 28 Weeks of Gestation. Journal of Clinical Medicine, 13(21), 6519. https://doi.org/10.3390/jcm13216519

