Next Article in Journal
Novel Surgical Interventions for the Treatment of Obesity
Next Article in Special Issue
Right Ventricular Diastolic Dysfunction Before Coronary Artery Bypass Grafting: Impact on 5-Year Follow-Up Outcomes
Previous Article in Journal
The Role of Sublobar Resection in Early-Stage Non-Small-Cell Lung Cancer
Previous Article in Special Issue
Personalized Guidance of Edge-to-Edge Transcatheter Tricuspid Valve Repair by Multimodality Imaging
 
 
Font Type:
Arial Georgia Verdana
Font Size:
Aa Aa Aa
Line Spacing:
Column Width:
Background:
Article

What Important Information Does Transesophageal Echocardiography Provide When Performed before Transvenous Lead Extraction?

by
Dorota Nowosielecka
1,2,*,
Wojciech Jacheć
3,
Małgorzata Stefańczyk Dzida
2,
Anna Polewczyk
4,5,
Dominika Mościcka
6,
Agnieszka Nowosielecka
7 and
Andrzej Kutarski
8
1
Department of Cardiac Surgery, The Pope John Paul II Province Hospital, 22-400 Zamość, Poland
2
Department of Cardiology, The Pope John Paul II Province Hospital, 22-400 Zamość, Poland
3
2nd Department of Cardiology, Faculty of Medical Sciences in Zabrze, Medical University of Silesia in Katowice, 41-800 Zabrze, Poland
4
Department of Physiology, Pathopysiology and Clinical Immunology, Collegium Medicum of Jan Kochanowski University, 25-369 Kielce, Poland
5
Department of Cardiac Surgery, Swietokrzyskie Cardiology Center, 25-736 Kielce, Poland
6
Internal Medicine Residency Program, Tallahassee Memorial HealthCare, Florida State University, 1300 Miccosukee Road Tallahassee, Tallahassee, FL 32308, USA
7
Department of Internal Medicine and Geriatrics, The A. Falkiewicz Specialist Hospital, 52-114 Wrocław, Poland
8
Department of Cardiology, Medical University, 20-059 Lublin, Poland
*
Author to whom correspondence should be addressed.
J. Clin. Med. 2024, 13(17), 5278; https://doi.org/10.3390/jcm13175278
Submission received: 6 August 2024 / Revised: 25 August 2024 / Accepted: 2 September 2024 / Published: 5 September 2024
(This article belongs to the Special Issue Clinical Application of Echocardiography in Heart Disease)

Abstract

Background: Transesophageal echocardiography (TEE) is mandatory before transvenous lead extraction (TLE), but its usefulness remains underestimated. This study aims to describe the broad range of TEE findings in TLE candidates, as well as their influence on procedure complexity, major complications (MCs) and long-term survival. Methods: Preoperative TEE was performed in 1191 patients undergoing TLE. Results: Lead thickening (OR = 1.536; p = 0.007), lead adhesion to heart structures (OR = 2.531; p < 0.001) and abnormally long lead loops (OR = 1.632; p = 0.006) increased the complexity of TLE. Vegetation-like masses on the lead (OR = 4.080; p = 0.44), lead thickening (OR = 2.389; p = 0.049) and lead adhesion to heart structures (OR = 6.341; p < 0.001) increased the rate of MCs. The presence of vegetations (HR = 7.254; p < 0.001) was the strongest predictor of death during a 1-year follow-up period. Conclusions: TEE before TLE provides a lot of important information for the operator. Apart from the visualization of possible vegetations, it can also detect various forms of lead-related scar tissue. Build-up of scar tissue and the presence of long lead loops are associated with increased complexity of the procedure and risk of MCs. Preoperative TEE performed outside the operating room may have an impact on the clinical decision-making process, such as transferring potentially more difficult patients to a more experienced center or having the procedure performed by the most experienced operator. Moreover, the presence of masses or vegetations on the leads significantly increases 1-year and all-cause mortality.

1. Introduction

Transthoracic echocardiography (TTE) and transesophageal echocardiography (TEE) are well-established as techniques for the assessment of cardiac implantable electronic devices (CIEDs), especially in patients with lead-related complications [1,2,3,4,5,6,7,8,9]. TEE is particularly useful in the identification of infectious complications and essential in diagnosing infective endocarditis [5,6,7,8,9,10]. Recently, TEE has also been used to monitor transvenous lead extraction (TLE) procedures [2,3,11,12,13,14]. In the last few decades, transvenous lead extraction has been regarded as a first-line strategy in the management of lead-related complications [1,2,3]. The guidelines on lead extraction recommend the use of transesophageal or intracardiac echocardiography as a basic and mandatory monitor to improve the safety of the procedure [2,3,11,12,13,14]. According to various reports, the risk of major complications and death during TLE ranges from 0.4 to 3.4% and from 0.0 to 0.5%, respectively [15,16,17,18,19,20].
Apart from intraoperative monitoring, the echocardiographic assessment before and after the procedure is likewise important. Currently, TEE is a widely available method, possible with not only 2D imaging but also with a 3D and a 4D option, recorded in real time [11,12,13,14,21,22,23,24]. Therefore, it allows for a very precise visualization of the intracardiac route of the lead(s) and the consequences of their placement inside heart chambers.
The echocardiography protocol in patients with implanted devices differs from the standard one, and additional evaluation is required, especially in patients prior to TLE. Particular attention should be paid to the consequences of the presence of leads inside the heart, which may potentially affect the course of the future TLE procedure [11,12,13,25]. The information obtained from the preoperative examination aids clinicians in predicting procedure complexity and possible complications related to lead extraction. Therefore, TEE is a valuable supplement to fluoroscopy when choosing the right TLE strategy. The study explores the consequences of long lead implant duration manifesting as different forms and locations of scar tissue build-up, as well as other lead-related findings which may influence the strategy of TLE and further therapeutic decisions.

2. Methods

2.1. Study Population

Of the 1322 consecutive patients undergoing TLE between June 2015 and March 2022, 1191 had a preoperative TEE. The remaining 131 patients in whom TEE examination was not performed for medical contraindications to esophageal tube insertion (26 patients with resistance to tube insertion, esophageal diverticula, varices, bleeding, etc.), or due to incomplete description of the findings or incomplete clinical data (105 patients), were excluded from the study. All information relating to patients, TEE and procedures was entered into the computer on an ongoing basis.

2.2. Lead Extraction Procedure

TLE was defined according to the guidelines on the management of lead-related complications (HRS 2009 and 2017, and EHRA 2018 [1,2,3]. All procedures were performed using mechanical systems (polypropylene Byrd dilator sheaths, Cook® Medical, Leechburg, PA, USA), mainly via the implant vein. If technical difficulties arose, a different vascular access and/or additional tools were used. Laser energy was not applied [17,26]. TLE was performed in patients under general anesthesia with preparation of the surgical field for cardiac surgery. The radial artery was used for continuous invasive blood pressure monitoring. The team consisted of an operator having experience with pacing therapy, a second cardiologist, a cardiac surgeon, an anesthesiologist and a cardiologist with experience in TEE [26].
Non-infectious TLE indications included lead replacement (mechanical lead damage), lead dysfunction, upgrades, abandoned leads/prevention of abandonment, threatening/potentially threatening leads (loops, free ends, left heart, lead-related tricuspid valve regurgitation), the re-establishing of venous access and other indications (MRI indications, cancer, painful pockets or loss of indications for pacing).

2.3. Preoperative TEE

TEE monitoring during the TLE procedure is the current standard [1,2,3]. In practice, we perform a preoperative TEE examination in every patient without contraindications to the insertion of the TEE probe into the esophagus. The preoperative examination is performed when the patient is already under general anesthesia, while the surgical team prepares the patient and the operating field for TLE.
In all patients, preoperative TEE was performed using multi-plane probes 6VT-D (General Electric Company, Boston, MA, USA) or X7-2t Live 3D (Phillips Healthcare, Andover, MA, USA), and the findings were documented in the medical records of each patient. The recorded echocardiograms were retrospectively reassessed for diagnostic accuracy. Leads were assessed in standard esophageal and transgastric views, and, if necessary, non-standard imaging planes were used for better visualization of the structures [11,12,13,24,25]. The examination began after intubation to assess lead position, extent of fibrous encapsulation, lead-to-lead adhesions and additional structures on the leads, as well as function of the tricuspid valve (TV) and the pericardium [25,26,27].

2.4. Definitions of Additional Structures on the Leads and Other Echocardiographic Findings

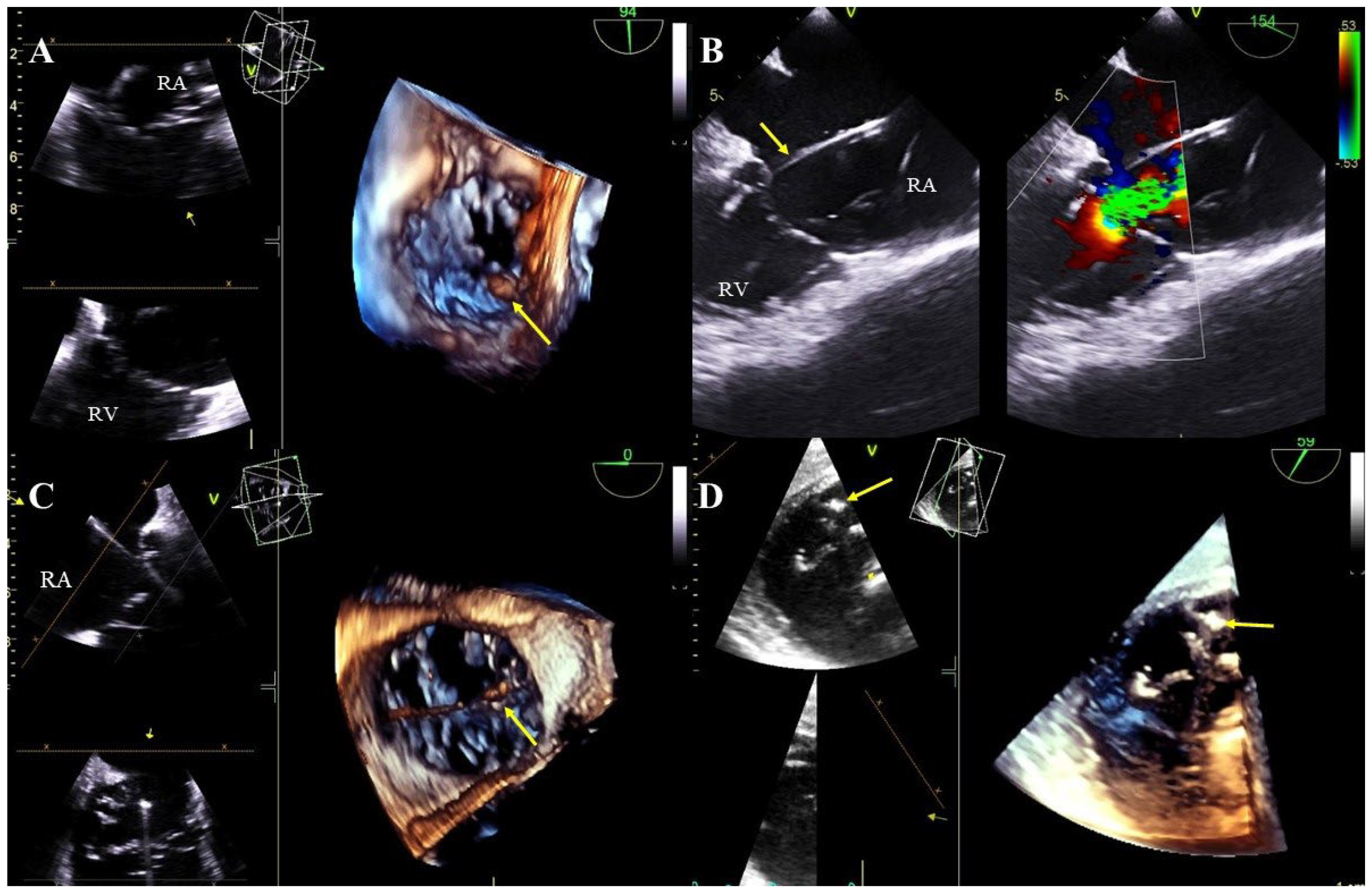
Floating scar tissue attached to the lead: small, hyperechoic structures with uneven contours, more rigid and less mobile than clots of uniform echogenicity being components of scar tissue developed in response to lead presence. They probably arise from progressive fibrosis of non-lysed blood clots (Figure 1A, Movie S1).
Blood clots on the leads: most often airy, hypoechoic, flaccid, flag-like formations, sometimes large and hyperechoic with a smooth surface (Figure 1B, Movie S2).
Vegetation-like masses: well-saturated formations resembling vegetations in shape and mobility, associated with leads and recorded in patients without symptoms of infection. They are probably a residue of past infections (old fibrosed vegetations). It cannot be ruled out that these masses are unusual-looking old clots or adhesions (Figure 1C,D, Movie S3).
Bacterial vegetations: multi-shaped, irregular, of varying size, balloting formations of heterogeneous echogenicity. Vegetations are diagnosed if there are signs of a generalized infection (positive inflammation markers, blood cultures) or local infection (generator pocket infection) (Figure 2A–D, Movie S4).
Lead thickening: segmental thickening and hyperechogenicity caused by the presence of scar tissue. Additionally, uneven outlines of the thickened lead segment with small mobile structures and with a consistent clinical picture may suggest an inflammatory process (Figure 3A–E, Movie S5).
Lead adhesion to surrounding structures: due to the presence of fibrous encapsulation, the lead adheres to the anatomical structures of the heart or the vein wall (Figure 3B–D, Movie S6). A characteristic feature is the joint movement of the bound elements. The term also includes lead-on-lead adhesions (two or three leads) that move together (Figure 3A,E, Movie S5). Attached masses binding the lead to the surrounding structures (vein wall or heart structures) are remnants of a previous asymptomatic inflammatory response to the presence of the lead in the heart. Over time, they may calcify or mineralize, crystallize or even ossify.
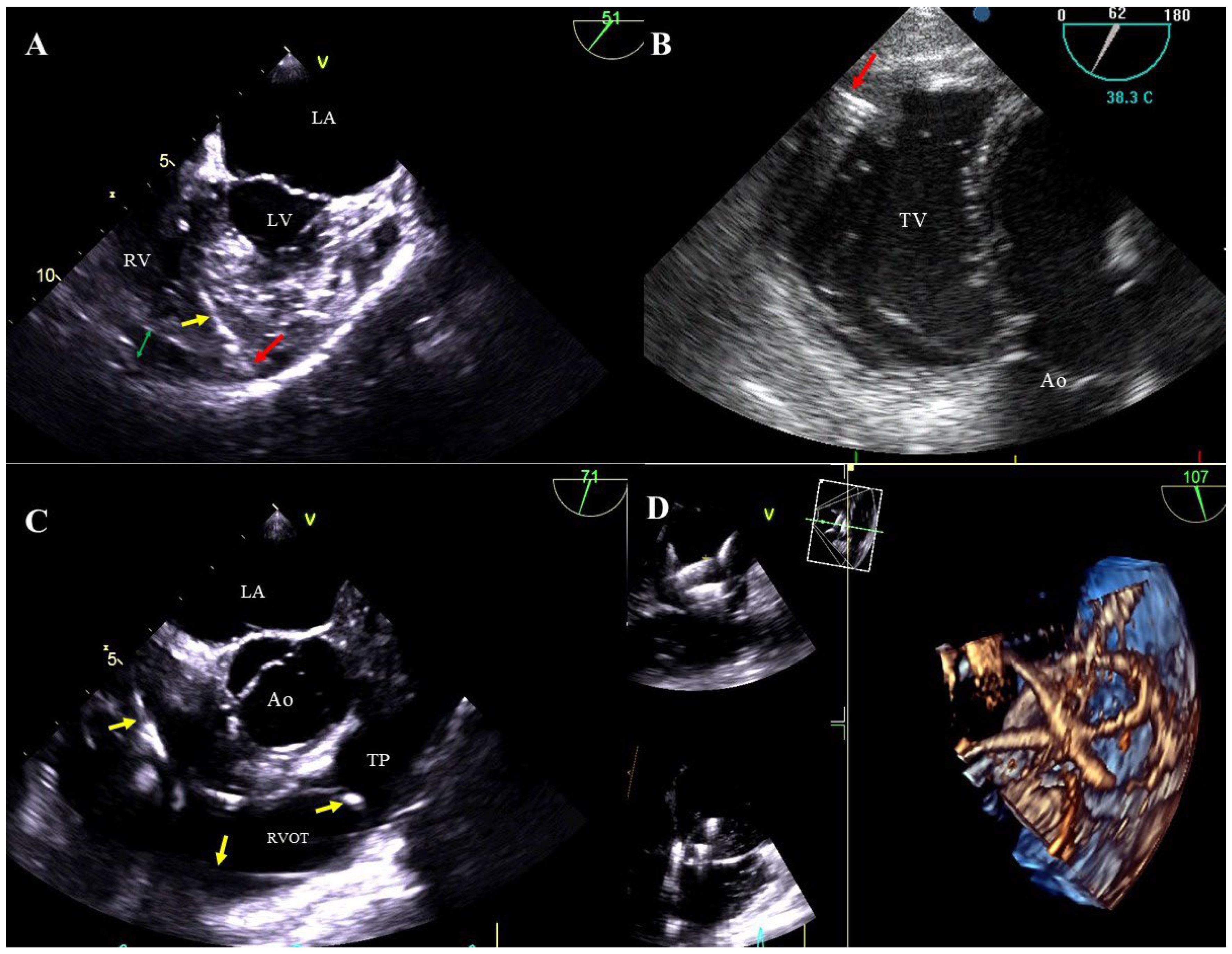
Lead-dependent tricuspid valve dysfunction (LDTVD): new valve regurgitation caused by the lead. The most common mechanism is impingement of the valve, adhesion of the lead to the leaflet or its perforation during implantation (Figure 4A–D, Movie S7).
Lead-related cardiac perforation outside the pericardial sac: visualization of the tip of the lead beyond the outline of the heart wall in the pericardial space, often with pericardial effusion (Figure 5A,B, Movie S8).
Penetration of the heart wall with the lead: the location of the tip of the lead deep at the interface between the muscle and the pericardium. Usually asymptomatic and only as an echocardiographic finding (Movie S9).
Excessively long lead loops: excess length of the lead in the heart. Proper lead arcs should not touch the heart wall, especially the TV leaflets, due to the potential risk of adhesion to these structures and their subsequent dysfunction (Figure 5C,D, Movie S10).

2.5. Dataset and Statistical Methods

2.5.1. Creation of Subgroups for Future Analysis

All patients were divided into 3 subgroups: (1) TLE for non-infectious indications: 930 patients; (2) TLE for isolated pocket infection: 63 patients, and (3) TLE for lead-related systemic infection (sepsis or bacteremia with or without vegetations) with coexisting pocket infection or not: 198 patients.

2.5.2. Statistical Analysis

Continuous variables are presented as the mean ± standard deviation. The categorical variables are presented as numbers and percentages. The significance of differences between groups (1, 2, 3) was determined using the Chi2 test with Yates correction (Yates correction was applied when at least one of the frequencies observed of less than 10 was found) or the unpaired Mann-Whitney U test, as appropriate. The non-parametric Mann-Whitney U test was used due to unequal sizes of the samples and nonlinearity of most of the continuous variable distribution. Including the Bonferoni correction, p < 0.017 was considered statistically significant. To determine the significance of the impact of TEE findings on TLE complexity and major complications, univariable and multivariable logistic regression was used. Univariable and multivariable Cox regressions were used to determine the value of TEE findings as prognostic factors for death after TLE during the 1-year follow-up. p < 0.05 was considered statistically significant. Statistical analysis was performed using Statistica 13.3 (TIBCO Software Inc., Tulsa, OK, USA).

2.5.3. Procedure Complexity

Procedure Complexity was measured using The Complex Indicator of the Difficulty of the TLE, which includes extraction time of all leads >20 min (2 points), average extraction time of a single lead >12 min (2 points) and the need to use a metal sheath or Evolution/TightRail, venous access other than lead implant vein or the need to use lasso catheters or basket catheters (each for 1 point). The sum of the points was the CID-TLE value [28].

2.5.4. Approval of the Bioethics Committee

All patients gave their informed written consent to undergo TLE and use anonymous data from their medical records, approved by the Bioethics Committee at the Regional Chamber of Physicians in Lublin no. 288/2018/KB/VII. The study was conducted according to the ethical guidelines of the Declaration of Helsinki.

3. Results

Table 1 summarizes the basic characteristics of the study groups. TEE before TLE was performed in 1191 patients (females 38.96%), mean age 67.12 ± 14.74 years. Ischemic heart disease was the most common co-morbidity (64.40%). Patients with systemic infection were more likely to have more co-morbidities and, therefore, higher values of the Charlson index (6.35) compared to the non- infectious patients. Among the parameters derived from TTE before the procedure, compared to the non-infectious group, patients with systemic infection had lower LVEF and higher LVEDD and SPAP. Patients with a local pocket infection presented a lower NYHA functional class.
The following TEE findings were analyzed: LDTVD, various forms of scar tissue around the leads and the consequences of its occurrence, such as adhesions at all levels of the cardiovascular system, additional masses associated with the leads, excessively long lead loops in heart chambers, perforation of the heart wall by the lead and the presence of fluid in the pericardial cavity (Table 2).
In the entire group, LDTVD was detected in 6.72% of patients and adhesion of leads to the anatomical heart structures in 29.34%, whereas lead thickening was detected in 36.52%, with no significant differences between infectious and non-infectious subjects. Different forms of scar tissue were observed more frequently in the non-infectious group (40.11%). Bacterial vegetations were much more often detected via TEE than via TTE (77.78% vs. 28.06%), multiple vegetations were most common (56.06%) and the vast majority of them were associated with the leads 98.03%.
Additional structures on the lead included blood clots, vegetation-like masses and adhesions. Adhesions and blood clots were more likely in non-infectious patients (20.43% and 10.97%), whereas vegetation-like masses were more likely in patients with systemic infection (15.15%). Excessively long lead loops were observed at a comparable rate in all groups (19.40%). Perforation was reported in 10.16% of the study population and significantly more often in the non-infectious group (11.82%). Penetration was less frequent (5.54%). Fluid in the pericardial cavity was found in 7.89% of all patients and in as many as 10.61% of patients with endocarditis.
Table 3 summarizes TEE findings and their impact on procedure complexity, complications and long-term survival. Different forms of scar tissue on the leads (74.22 vs. 53.98%; p < 0.001) such as lead thickening (47.30 vs. 33.19%; p < 0.001), lead adhesions at different levels of the cardiovascular system (47.27 vs. 23.72%; p <0.001), lead-on-lead adhesion (43.20 vs. 25.22%; p < 0.001) and lead loops in the heart (27.18 vs. 16.93%; p < 0.001) were more often associated with increased TLE complexity, whereas vegetations were less frequent (8.36 vs. 14.38%; p = 0.011).
Multivariable regression analysis showed that lead thickening (OR = 1.536; p = 0.007), lead adhesion to the anatomical heart structures (OR = 2.531; p < 0.001) and lead loops in the heart (OR = 1.632; p = 0.006) were independent predictors of increased procedure complexity.
Any form of scar tissue on the leads (93.10 vs. 58.00%; p < 0.001)—such as vegetation-like masses (6.90 vs. 3.36%), adhesions (41.38 vs. 17.21%; p = 0.002), lead adhesions at different levels of the cardiovascular system (82.14 vs. 28.03%; p <0.001) and lead-on-lead adhesion (82.75 vs. 28.23%; p < 0.001)—were more common in patients with major complications. Multivariable regression analysis demonstrated that vegetation-like masses on the lead (OR = 4.080; p = 0.44), lead thickening (OR = 2.389; p = 0.049) and lead adhesion to the heart structures (OR = 6.341; p < 0.001) tended to increase the rate of major complications.

4. Discussion

Performing a TEE before TLE is helpful for detecting lead-related changes in the heart [5,7,9,10,11,12,13,21,22,23,24,25,26,27]. The information obtained from the examination performed by an experienced echocardiographer allows the extractor to predict the level of procedure complexity and its major complications [25,26]. It also helps in a better planning of the lead extraction strategy and preparation of the team to take immediate action in the event of acute cardiac tamponade, the most dangerous complication of lead extraction.
The presence of mobile masses attached to the leads in asymptomatic patients is a well-known phenomenon, whereas data on the frequency of their occurrence are ambiguous, dependent on the diagnostic method and the study population. In TTE, additional structures on the leads are visible only in a small proportion of patients (approx. 1.6%) [29]. In TEE, the proportion of such individuals increases to 28% [5,8,9,10], and, in ICE, random structures on the leads are found in 30% [6,7,9,30]. It has not been shown that asymptomatic, mobile masses on the leads have a significant impact on the course and safety of the procedure.
Many investigators have also confirmed the adverse effects of lead-related endocarditis on the life span of patients [31,32,33,34,35,36].
Small, multiple masses attached to the leads are the most common type of vegetations. Their presence does not significantly affect the course of the procedure. The occurrence of large vegetations >2–3 cm is currently less common; in this study, large vegetations were detected in only 2.68% of all infections. If they occur, special attention should be paid to their mobility, size and potential risk of migration during lead removal. In such a situation, pulmonary protection devices should be used during the procedure or the transvenous approach should be abandoned (based on the authors’ personal experience). These measures should be taken to avoid the risk of massive septic pulmonary embolism [1,4,14,24].
The occurrence of lead-associated structures resembling vegetations in candidates for TLE for reasons other than infection deserves attention. Vegetation-like masses were rare in the entire population (3.44%). In the infection group they were detected in 15.15%. Patients were assigned to groups based on retrospective evaluation of the data (medical history and biochemical and bacteriological test results) and online measurements from real time echocardiography, without retrospective verification. Presumably, vegetation-like structures are remnants of old vegetations in asymptomatic patients or an underdiagnosed disorder (based on the authors’ personal observations). It should be remembered that in echocardiographic examinations there are still no certain and unambiguous characteristics that would allow us to clearly distinguish between the infectious and non-infectious origin of the imaged structures. In doubtful situations, additional diagnostic methods should be used, such as 18-fluorodeoxyglucose PET/computed tomography (FDG-PET/CT) and 99mTc labelled hexamethylopropylene amine oxime white blood cell scintigraphy (WBC SPECT) [14].
Apart from mobile structures, there are also stationary masses associated with leads, which are so far not widely presented in the available literature. They are formed by a layer of scar tissue surrounding the lead, causing its thickening, which is characterized by increased echogenicity in ultrasound imaging [10,26,27].
Immediately after CIED implantation, as a result of vascular or endocardial irritation, a clot forms on the lead which, if not degraded, transforms into fibrous encapsulation. A fibrous envelope binds the leads to the structures of the heart and other leads. Build-up can occur at any level of the cardiovascular system, often on multiple levels in a single patient (40.10%). The most common finding was lead adhesion to the right ventricular endocardium and the tricuspid apparatus. Fibrous tissue is a “silent actor” during the extraction procedure. Other investigators have also confirmed the role of fibrous tissue in the assessment of TLE complexity [37,38].
However, no one has presented definite evidence that it is one of the main factors which significantly increases the risk of major complications and the level of procedure difficulty. Paradoxically, it may have a protective effect on the short- and long-term survival of patients, which was demonstrated in our previous study [26] and partially confirmed in the present investigation. Scar tissue is formed in response to the presence of a foreign body, such as the lead. Younger patients, without additional diseases and with increased life expectancy, show a faster and more intense defensive reaction and formation of scar tissue. Predicted survival of these patients is therefore longer, regardless of the TLE procedure they have undergone, and this should explain the relationship [26].
Excessive lead loops is another echocardiographic finding in every fifth CIED patient. Too much slack in the lead significantly increases the risk of technical difficulties during the procedure. This is related to the presence of fibrous tissue on the leads and its role in the formation of adhesions, which can only be visualized via echocardiography. Long leads chronically adhere to the anatomical structures of the heart, and the touching of other leads cause lead-on-lead adhesion, thus becoming a major obstacle to safe lead dissection, freeing and extraction.
The displacement of the lead tip beyond the heart wall into the pericardial space may, apart from pacing disturbances, result in the presence of fluid in the pericardial sac or other pericardial reaction. Most often, this problem concerns ventricular leads implanted in the apical part of the right ventricle. Available evidence shows that perforation is a significant predictor of complications during the procedure. Hence, it is necessary to pay attention to the position of the ventricular lead tip during preoperative evaluation, especially when there is such a suspicion (pacing disturbances or a lead located outside the outline of the heart in fluoroscopy).
It is obvious, however, that when extracting leads with a shorter dwell time, the procedure is likely to be of low complexity, the risk of major complications is negligible and selected patients may even be discharged on the same day [39].
Lead-related valve dysfunction may be due to lead interference with tricuspid valve function. It has not been confirmed that the presence of LDTVD significantly influences the course of the procedure, except for when there is lead adhesion to the tricuspid apparatus. The presence of adhesions is associated with a significantly more frequent use of additional tools, which may result in damage to the leaflets or the tendon threads, as described in our previous studies [17]. The presence of LDTVD is associated with a worse long-term prognosis [40,41,42,43]. Therefore, a proper diagnosis and an appropriate management before progression of right heart dysfunction and significant stretching of the tricuspid ring are of major importance. A well-established treatment is the removal of the lead causing dysfunction and the implantation of a new one under the guidance of TEE, via the tricuspid valve or the use of alternative pacing sites (e.g., coronary sinus, His bundle). The width of the tricuspid ring is a predictor of improved tricuspid valve function after TLE, and therefore its measurement is an important part of the clinical assessment before qualification for lead extraction [44,45].
In summary, it should be noted that preoperative TEE is not only used to detect vegetations but also, and perhaps primarily, to assess the amount of fibrous lead encapsulation, which has a fundamental impact on TLE complexity and difficulty level and the risk of major complications. TEE performed immediately before TLE provides the operator with a lot of important information and helps them to be better prepared for the expected difficulties. Preoperative TEE, performed earlier and outside the operating room, may have an impact on the clinical decision-making process, including regarding transferring potentially more difficult patients to a more experienced center and having the procedure performed by the most experienced operator. However, an earlier TEE examination performed without general anesthesia may cause discomfort in the patient, and is never as accurate as an examination performed under general anesthesia. In a high-volume center it is not justified, but may be considered in selected patients in low-volume centers.

5. Conclusions

  • Performing a TEE before TLE provides the operator with a lot of important information. Apart from the visualization of possible vegetations, it can detect various forms of lead-related scar tissue.
  • Such findings as floating scar tissue attached to the lead, lead thickening, adhesion of leads to the anatomical structures of the heart, lead-to-lead binding, any form of scar tissue and the presence of abnormally long lead loops in the heart are associated with an increased complexity of the procedure and the risk of major complications.
  • The presence of vegetations has no influence on the level of procedure complexity or the risk of major complications, but significantly increases 1-year mortality.

6. Study Limitations

The present study is based on a single-center, observational, prospective experience. TLE was performed using only mechanical systems; laser energy was not applied to free the leads. We did not compare the diagnostic sensitivity of TEE and ICE.

Supplementary Materials

The following supporting information can be downloaded at: https://www.mdpi.com/article/10.3390/jcm13175278/s1, Movie S1. TEE 2D Floating scar tissue connected to the lead; Movie S2. TEE 3D Blood cloth on the lead; Movie S3. TEE 2D Vegetation-like masses on the lead in rght atrium; Movie S4. TEE 2D Bacterial vegetation on the lead in the right atrium moving to the right ventricle; Movie S5. TEE 2D Thickening of the leads and inter-lead adhesion showing common mobility; Movie S6. TEE 2D Interlead adhesion and to the m-atrial septum as well as to the atrial wall. Narrowing of the vena cava superior is caused by the thickened leads and pathologic connective tissue; Movie S7. TEE 3D The lead in the tricuspid valve supports the septal leaflet and hinders proper coaptation of the leaflets; Movie S8.TEE 2D Perforation wall right ventricle through the lead to the pericardial; Movie S9. TEE 2D Penetration of the right ventricle wall with the lead, the tip of lead deeply at the interface between the muscle and the pericardium is referred; Movie S10. TEE 2D A long loop of left ventricular lead translocating to the pulmonary trunk.

Author Contributions

D.N.: writing—original draft, supervision, conceptualization; W.J.: investigation, methodology, statistical study; M.S.D.: data curation; A.P.: supervision, data curation; D.M.: data curation, visualization; M.M: data curation, editing; A.N.: data curation, editing; A.K.: investigation, data curation, writing—reviever. All authors are accountable for all aspects of the work in ensuring that questions related to the accuracy or integrity of any part of the work are appropriately investigated and resolved. All authors have read and agreed to the published version of the manuscript.

Funding

This work received no external funding.

Institutional Review Board Statement

The study was performed according to the principles expressed in the Declaration of Helsinki and approved by the Bioethics Committee at the Regional Chamber of Physicians in Lublin (no. 288/2018/KB/VII). Approval date: 27 November 2018.

Informed Consent Statement

Informed consent was obtained from all subjects involved in the study.

Data Availability Statement

Data are available upon request to authors.

Conflicts of Interest

The authors declare no conflicts of interest.

References

  1. Wilkoff, B.L.; Love, C.J.; Byrd, C.L.; Bongiorni, M.G.; Carrillo, R.G.; Crossley, G.H., 3rd; Epstein, L.M.; Friedman, R.A.; Kennergren, C.E.; Mitkowski, P.; et al. Transvenous lead extraction: Heart Rhythm Society expert consensus on facilities, training, indications, and patient management: This document was endorsed by the American Heart Association (AHA). Heart Rhythm 2009, 2, 1085–1104. [Google Scholar] [CrossRef] [PubMed]
  2. Kusumoto, F.M.; Schoenfeld, M.H.; Wilkoff, B.; Berul, C.I.; Birgersdotter-Green, U.M.; Carrillo, R.; Cha, Y.M.; Clancy, J.; Deharo, J.C.; Ellenbogen, K.A.; et al. 2017 HRS expert consensus statement on cardiovascular implantable electronic device lead management and extraction. Heart Rhythm 2017, 2, e503–e551. [Google Scholar] [CrossRef]
  3. Bongiorni, M.G.; Burri, H.; Deharo, J.C.; Starck, C.; Kennergren, C.; Saghy, L.; Rao, A.; Tascini, C.; Lever, N.; Kutarski, A.; et al. 2018 EHRA expert consensus statement on lead extraction: Recommendations on definitions, endpoints, research trial design, and data collection requirements for clinical scientific studies and registries: Endorsed by APHRS/HRS/LAHRS. Europace 2018, 2, 1217. [Google Scholar] [CrossRef]
  4. Blomström-Lundqvist, C.; Traykov, V.; Erba, P.A.; Burri, H.; Nielsen, J.C.; Bongiorni, M.G.; Poole, J.; Boriani, G.; Costa, R.; Deharo, J.C.; et al. European Heart Rhythm Association (EHRA) international consensus document on how to prevent, diagnose, and treat cardiac implantable electronic device infections—Endorsed by the Heart Rhythm Society (HRS), the Asia Pacific Heart Rhythm Society (APHRS), the Latin American Heart Rhythm Society (LAHRS), International Society for Cardiovascular Infectious Diseases (ISCVID)and the European Society of Clinical Microbiology and Infectious Diseases (ESCMID) in collaboration with the European Association for Cardio-Thoracic Surgery (EACTS). Europace 2020, 2, 515–516. [Google Scholar]
  5. Downey, B.C.; Juselius, W.E.; Pandian, N.G.; Estes, N.A., 3rd; Link, M.S. Incidence and significance of pacemaker and implantable cardioverter-defibrillator lead masses discovered during transesophageal echocardiography. Pacing Clin. Electrophysiol. 2011, 2, 679–683. [Google Scholar] [CrossRef] [PubMed]
  6. Bongiorni, M.G.; Di Cori, A.; Soldati, E.; Zucchelli, G.; Arena, G.; Segreti, L.; De Lucia, R.; Marzilli, M. Intracardiac echocardiography in patients with pacing and defibrillating leads: A feasibility study. Echocardiography 2008, 2, 632–638. [Google Scholar] [CrossRef] [PubMed]
  7. Narducci, M.L.; Pelargonio, G.; Russo, E.; Marinaccio, L.; Di Monaco, A.; Perna, F.; Bencardino, G.; Casella, M.; Di Biase, L.; Santangeli, P.; et al. Usefulness of intracardiac echocardiography for the diagnosis of cardiovascular implantable electronic device-related endocarditis. J. Am. Coll. Cardiol. 2013, 2, 1398–1405. [Google Scholar] [CrossRef] [PubMed]
  8. Lo, R.; D’Anca, M.; Cohen, T.; Kerwin, T. Incidence and prognosis of pacemaker lead-associated masses: A study of 1,569 transesophageal echocardiograms. J. Invasive Cardiol. 2006, 2, 599–601. [Google Scholar]
  9. Dalal, A.; Asirvatham, S.J.; Chandrasekaran, K.; Seward, J.B.; Tajik, T. Intracardiac echocardiography in the detection of pacemaker lead endocarditis. J. Am. Soc. Echocardiogr. 2002, 2, 1027–1028. [Google Scholar] [CrossRef]
  10. Golzio, P.G.; Errigo, D.; Peyracchia, M.; Gallo, E.; Frea, S.; Castagno, D.; Budano, C.; Giustetto, C.; Rinaldi, M. Prevalence and prognosis of lead masses in patients with cardiac implantable electronic devices without infection. J. Cardiovasc. Med. 2019, 2, 372–378. [Google Scholar] [CrossRef]
  11. Nowosielecka, D.; Polewczyk, A.; Jacheć, W.; Tułecki, Ł.; Tomków, K.; Stefańczyk, P.; Kleinrok, A.; Kutarski, A. A new approach to the continuous monitoring of transvenous lead extraction using transesophageal echocardiography-Analysis of 936 procedures. Echocardiography 2020, 2, 601–611. [Google Scholar] [CrossRef] [PubMed]
  12. Nowosielecka, D.; Polewczyk, A.; Jacheć, W.; Kleinrok, A.; Tułecki, Ł.; Kutarski, A. Transesophageal echocardiography as a monitoring tool during transvenous lead extraction—Does it improve procedure effectiveness? J. Clin. Med. 2020, 2, 1382. [Google Scholar] [CrossRef] [PubMed]
  13. Nowosielecka, D.; Polewczyk, A.; Jacheć, W.; Kleinrok, A.; Tułecki, Ł.; Kutarski, A. Transesophageal echocardiography for the monitoring of transvenous lead extraction. Kardiol. Pol. 2020, 2, 1206–1214. [Google Scholar] [CrossRef]
  14. Regoli, F.; Caputo, M.; Conte, G.; Faletra, F.F.; Moccetti, T.; Pasotti, E.; Cassina, T.; Casso, G.; Schlotterbeck, H.; Engeler, A.; et al. Clinical utility of routine use of continuous transesophageal echocardiography monitoring during transvenous lead extraction procedure. Heart Rhythm 2015, 2, 313–320. [Google Scholar] [CrossRef]
  15. Byrd, C.L.; Wilkoff, B.L.; Love, C.J.; Sellers, T.D.; Turk, K.T.; Reeves, R.; Young, R.; Crevey, B.; Kutalek, S.P.; Freedman, R.; et al. Intravascular extraction of problematic or infected permanent pacemaker leads: 1994-1996. U.S. Extraction Database, MED Institute. Pacing. Clin. Electrophysiol. 1999, 2, 1348–1357. [Google Scholar] [CrossRef] [PubMed]
  16. Brunner, M.P.; Cronin, E.M.; Duarte, V.E.; Yu, C.; Tarakji, K.G.; Martin, D.O.; Callahan, T.; Cantillon, D.J.; Niebauer, M.J.; Saliba, W.I.; et al. Clinical predictors of adverse patient outcomes in an experience of more than 5000 chronic endovascular pacemaker and defibrillator lead extractions. Heart Rhythm 2014, 2, 799–805. [Google Scholar] [CrossRef] [PubMed]
  17. Kutarski, A.; Czajkowski, M.; Pietura, R.; Obszanski, B.; Polewczyk, A.; Jachec, W.; Polewczyk, M.; Mlynarczyk, K.; Grabowski, M.; Opolski, G. Effectiveness, safety, and long-term outcomes of non-powered mechanical sheaths for transvenous lead extraction. Europace 2018, 2, 1324–1333. [Google Scholar] [CrossRef] [PubMed]
  18. Bongiorni, M.G.; Kennergren, C.; Butter, C.; Deharo, J.C.; Kutarski, A.; Rinaldi, C.A.; Romano, S.L.; Maggioni, A.P.; Andarala, M.; Auricchio, A.; et al. The European Lead Extraction ConTRolled (ELECTRa) study: A European Heart Rhythm Association (EHRA) Registry of Transvenous Lead Extraction Outcomes. Eur. Heart J. 2017, 2, 2995–3005. [Google Scholar] [CrossRef]
  19. Sood, N.; Martin, D.T.; Lampert, R.; Curtis, J.P.; Parzynski, C.; Clancy, J. Incidence and Predictors of Perioperative Complications with Transvenous Lead Extractions: Real-World Experience With National Cardiovascular Data Registry. Circ. Arrhythm. Electrophysiol. 2018, 2, e004768. [Google Scholar] [CrossRef]
  20. Starck, C.T.; Gonzalez, E.; Al-Razzo, O.; Mazzone, P.; Delnoy, P.P.; Breitenstein, A.; Steffel, J.; Eulert-Grehn, J.; Lanmüller, P.; Melillo, F.; et al. Results of the Patient-Related Outcomes of Mechanical lead Extraction Techniques (PROMET) study: A multicentre retrospective study on advanced mechanical lead extraction techniques. Europace 2020, 2, 1103–1110. [Google Scholar] [CrossRef]
  21. Hilberath, J.N.; Burrage, P.S.; Shernan, S.K.; Varelmann, D.J.; Wilusz, K.; Fox, J.A.; Eltzschig, H.K.; Epstein, L.M.; Nowak-Machen, M. Rescue transoesophageal echocardiography for refractory haemodynamic instability during transvenous lead extraction. Eur. Heart J. Cardiovasc. Imaging 2014, 2, 926–932. [Google Scholar] [CrossRef] [PubMed]
  22. Oestreich, B.A.; Ahlgren, B.; Seres, T.; Zipse, M.M.; Tompkins, C.; Varosy, P.D.; Aleong, R.G. Use of transesophageal echocardiography to improve the safety of Transvenous Lead extraction. JACC Clin. Electrophysiol. 2015, 2, 442–448. [Google Scholar] [CrossRef] [PubMed]
  23. Strachinaru, M.; Kievit, C.M.; Yap, S.C.; Hirsch, A.; Geleijnse, M.L.; Szili-Torok, T. Multiplane/3D transesophageal echocardiography monitoring to improve the safety and outcome of complex transvenous lead extractions. Echocardiography 2019, 2, 980–986. [Google Scholar] [CrossRef] [PubMed]
  24. Endo, Y.; O’Mara, J.E.; Weiner, S.; Han, J.; Goldberger, M.H.; Gordon, G.M.; Nanna, M.; Ferrick, K.J.; Gross, J.N. Clinical utility of intraprocedural transesophageal echocardiography during transvenous lead extraction. J. Am. Soc. Echocardiogr. 2008, 2, 861–867. [Google Scholar] [CrossRef] [PubMed]
  25. Nowosielecka, D.; Jacheć, W.; Polewczyk, A.; Tułecki, Ł.; Kleinrok, A.; Kutarski, A. The role of transesophageal echocardiography in predicting technical problems and complications of transvenous lead extractions procedures. Clin. Cardiol. 2021, 2, 1233–1242. [Google Scholar] [CrossRef] [PubMed]
  26. Nowosielecka, D.; Jacheć, W.; Polewczyk, A.; Tułecki, Ł.; Kleinrok, A.; Kutarski, A. Prognostic Value of Preoperative Echocardiographic Findings in Patients Undergoing Transvenous Lead Extraction. Int. J. Environ. Res. Public Health 2021, 2, 1862. [Google Scholar] [CrossRef] [PubMed]
  27. Nowosielecka, D.; Polewczyk, A.; Jacheć, W.; Tułecki, Ł.; Kleinrok, A.; Kutarski, A. Echocardiographic findings in patients with cardiac implantable electronic devices-analysis of factors predisposing to lead-associated changes. Clin. Physiol. Funct. Imaging 2021, 2, 25–41. [Google Scholar] [CrossRef] [PubMed]
  28. Jacheć, W.; Nowosielecka, D.; Ziaja, B.; Polewczyk, A. Kutarski ALECOM (Lead Extraction COMplexity): ANew Scoring System for Predicting a Difficult Procedure. J. Clin. Med. 2023, 12, 7568. [Google Scholar] [CrossRef]
  29. Robinson, J.; Wang, W.Y.S.; Kaye, G. Mobile Echodensities on Intracardiac Device Leads—Is it always a cause for concern? Pacing Clin. Electrophysiol. 2020, 2, 388–393. [Google Scholar] [CrossRef]
  30. Sugrue, A.; DeSimone, C.V.; Lenz, C.J.; Packer, D.L.; Asirvatham, S.L. Mobile thrombus on cardiac implantable electronic device leads of patients undergoing cardiac ablation: Incidence, management, and outcomes. J. Interv. Card. Electrophysiol. 2016, 2, 115–120. [Google Scholar] [CrossRef]
  31. Deharo, J.C.; Quatre, A.; Mancini, J.; Khairy, P.; Le Dolley, Y.; Casalta, J.P.; Peyrouse, E.; Prévôt, S.; Thuny, F.; Collart, F.; et al. Long-term outcomes following infection of cardiac implantable electronic devices: A prospective matched cohort study. Heart 2012, 2, 724–731. [Google Scholar] [CrossRef] [PubMed]
  32. Habib, A.; Le, K.Y.; Baddour, L.M.; Friedman, P.A.; Hayes, D.L.; Lohse, C.M.; Wilson, W.R.; Steckelberg, J.M.; Sohail, M.R.; Mayo Cardiovascular Infections Study Group. Predictors of mortality in patients with cardiovascular implantable electronic device infections. Am. J. Cardiol. 2013, 2, 874–879. [Google Scholar] [CrossRef]
  33. Deckx, S.; Marynissen, T.; Rega, F.; Ector, J.; Nuyens, D.; Heidbuchel, H.; Willems, R. Predictors of 30-day and 1-year mortality after transvenous lead extraction: A single-centre experience. Europace 2014, 2, 1218–1225. [Google Scholar] [CrossRef] [PubMed]
  34. Tarakji, K.G.; Wazni, O.M.; Harb, S.; Hsu, A.; Saliba, W.; Wilkoff, B.L. Risk factors for 1-year mortality among patients with cardiac implantable electronic device infection undergoing transvenous lead extraction: The impact of the infection type and the presence of vegetation on survival. Europace 2014, 16, 1490–1495. [Google Scholar] [CrossRef] [PubMed]
  35. Gomes, S.; Cranney, G.; Bennett, M.; Giles, R. Lead Extraction for Treatment of Cardiac Device Infection: A 20-Year Single Centre Experience. Heart Lung Circ. 2017, 26, 240–245. [Google Scholar] [CrossRef]
  36. Narducci, M.L.; Di Monaco, A.; Pelargonio, G.; Leoncini, E.; Boccia, S.; Mollo, R.; Perna, F.; Bencardino, G.; Pennestrì, F.; Scoppettuolo, G.; et al. Presence of ‘ghosts’ and mortality after transvenous lead extraction. Europace 2016, 19, 432–440. [Google Scholar] [CrossRef] [PubMed][Green Version]
  37. Segreti, L.; Giannotti Santoro, M.; Di Cori, A.; Zucchelli, G.; Viani, S.; De Lucia, R.; Della Tommasina, V.; Barletta, V.; Paperini, L.; Soldati, E.; et al. Utility of risk scores to predict adverse events in cardiac lead extraction. Expert Rev. Cardiovasc. Ther. 2018, 2, 695–705. [Google Scholar] [CrossRef]
  38. Poole, J.E.; Gleva, M.J.; Mela, T.; Chung, M.K.; Uslan, D.Z.; Borge, R.; Gottipaty, V.; Shinn, T.; Dan, D.; Feldman, L.A.; et al. Complication rates associated with pacemaker or implantable cardioverter-defibrillator generator replacements and upgrade procedures: Results from the REPLACE registry. Circulation 2010, 2, 1553–1561. [Google Scholar] [CrossRef]
  39. Gianni, C.; Elchouemi, M.; Helmy, R.; Spinetta, L.; La Fazia, V.M.; Pierucci, N.; Asfour, I.; Della Rocca, D.G.; Mohanty, S.; Bassiouny, M.A.; et al. Safety and feasibility of same-day discharge following uncomplicated transvenous lead extraction. J. Cardiovasc. Electrophysiol. 2024, 2, 278–287. [Google Scholar] [CrossRef]
  40. Höke, U.; Auger, D.; Thijssen, J.; Wolterbeek, R.; Velde, E.T.; Holman, E.R.; Schalij, M.J.; Bax, J.J.; Delgado, V.; Ajmone Marsan, N. Significant lead-induced tricuspid regurgitation is associated with poor prognosis at long-term follow-up. Heart 2014, 2, 960–968. [Google Scholar] [CrossRef]
  41. Al-Bawardy, R.; Krishnaswamy, A.; Rajeswaran, J.; Bhargava, M.; Wazni, O.; Wilkoff, B.; Tuzcu, E.; Martin, D.; Thomas, J.; Blackstone, E.; et al. Tricuspid Regurgitation and Implantable Devices. Pacing Clin. Electrophysiol. 2015, 2, 259–266. [Google Scholar] [CrossRef] [PubMed]
  42. Chang, J.D.; Manning, W.J.; Ebrille, E.; Zimetbaum, P.J. Tricuspid Valve Dysfunction Following Pacemaker or Cardioverter-Defibrillator Implantation. J. Am. Coll. Cardiol. 2017, 2, 2331–2341. [Google Scholar] [CrossRef] [PubMed]
  43. Polewczyk, A.; Jacheć, W.; Nowosielecka, D.; Tomaszewski, A.; Brzozowski, W.; Szcześniak-Stańczyk, D.; Duda, K.; Kutarski, A. Lead Dependent Tricuspid Valve Dysfunction-Risk Factors, Improvement after Transvenous Lead Extraction and Long-Term Prognosis. J. Clin. Med. 2021, 2, 89. [Google Scholar] [CrossRef] [PubMed]
  44. Montgomery, J.A.; Ellis, C.h.R.; Crossley, G.H. Extraction of looped transvenous pacing leads to reduce tricuspid regurgitation. Pacing Clin. Electrophysiol. 2017, 2, 644–647. [Google Scholar] [CrossRef] [PubMed]
  45. Nazmul, M.N.; Cha, Y.M.; Lin, G.; Asirvatham, S.J.; Powell, B.D. Percutaneous pacemaker or implantable cardioverter-defibrillator lead removal in an attempt to improve symptomatic tricuspid regurgitation. Europace 2013, 2, 409–413. [Google Scholar] [CrossRef] [PubMed]
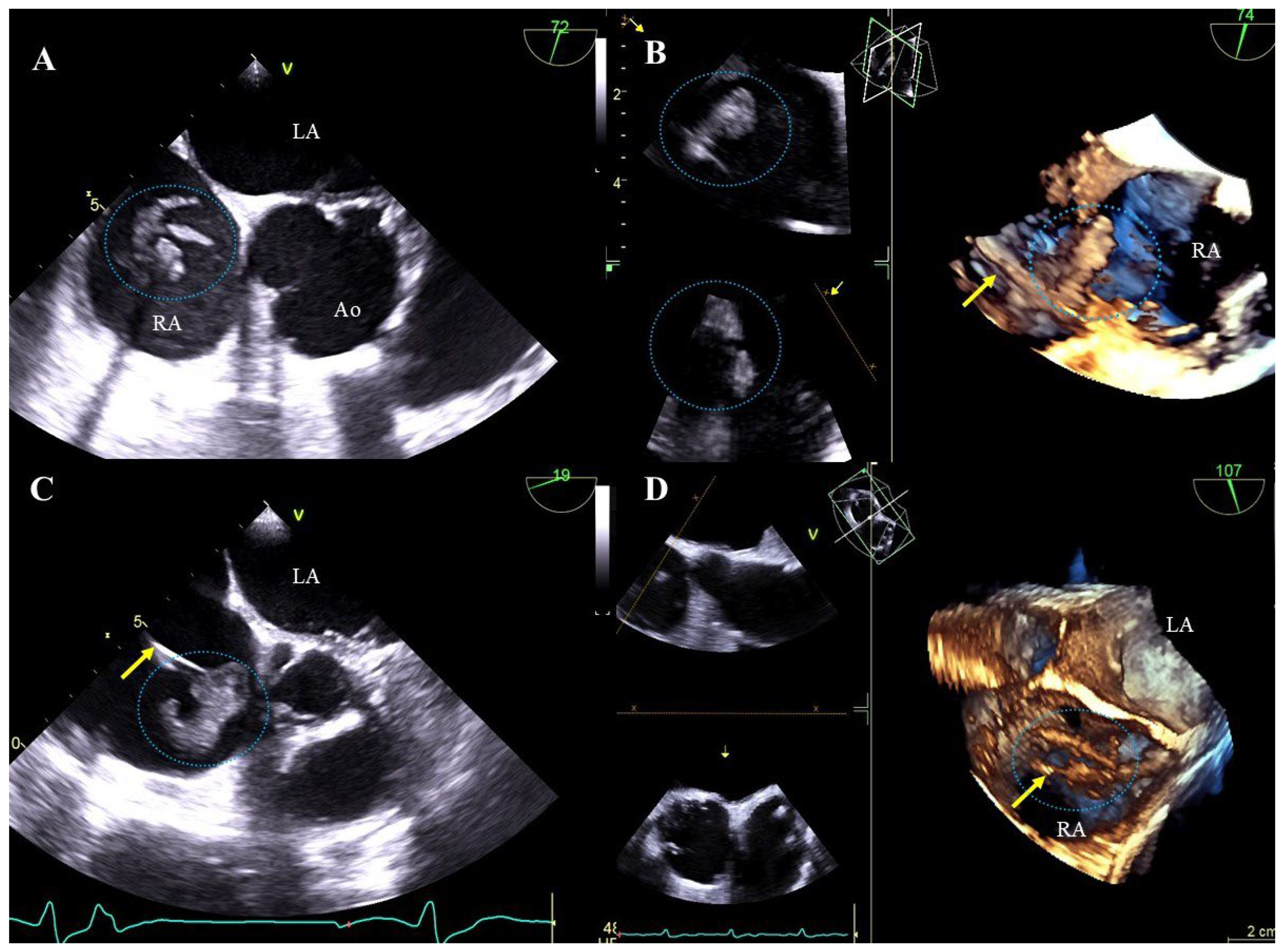
Figure 1. TEE (2D, 3D) before TLE showing additional structures on the leads. Mobile structures correspond to scar tissue on the atrial lead (dashed line) (A). The mass on the lead corresponds to a large thrombus visualized in the right atrium (B). In the right atrium, in the patient with no signs of infection, an additional structure on the lead was visualized, which may correspond to a veg-like structure (C). In the right atrium, in the patient with no signs of infection, an additional structure was binding two leads; this may represent scar tissue or a veg-like structure (D). (Yellow arrows mark the electrodes, and additional structures are displayed in circles.).
Figure 1. TEE (2D, 3D) before TLE showing additional structures on the leads. Mobile structures correspond to scar tissue on the atrial lead (dashed line) (A). The mass on the lead corresponds to a large thrombus visualized in the right atrium (B). In the right atrium, in the patient with no signs of infection, an additional structure on the lead was visualized, which may correspond to a veg-like structure (C). In the right atrium, in the patient with no signs of infection, an additional structure was binding two leads; this may represent scar tissue or a veg-like structure (D). (Yellow arrows mark the electrodes, and additional structures are displayed in circles.).
Jcm 13 05278 g001
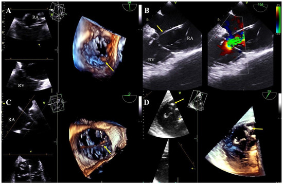
Figure 2. TEE images (2D, 3D) showing vegetations on CIED leads. Various-shaped structures representing bacterial vegetations (blue circles) are visualized on the leads (yellow arrow) in the right atrium. D TEE (A,C), 3D TEE (B,D).
Figure 2. TEE images (2D, 3D) showing vegetations on CIED leads. Various-shaped structures representing bacterial vegetations (blue circles) are visualized on the leads (yellow arrow) in the right atrium. D TEE (A,C), 3D TEE (B,D).
Jcm 13 05278 g002
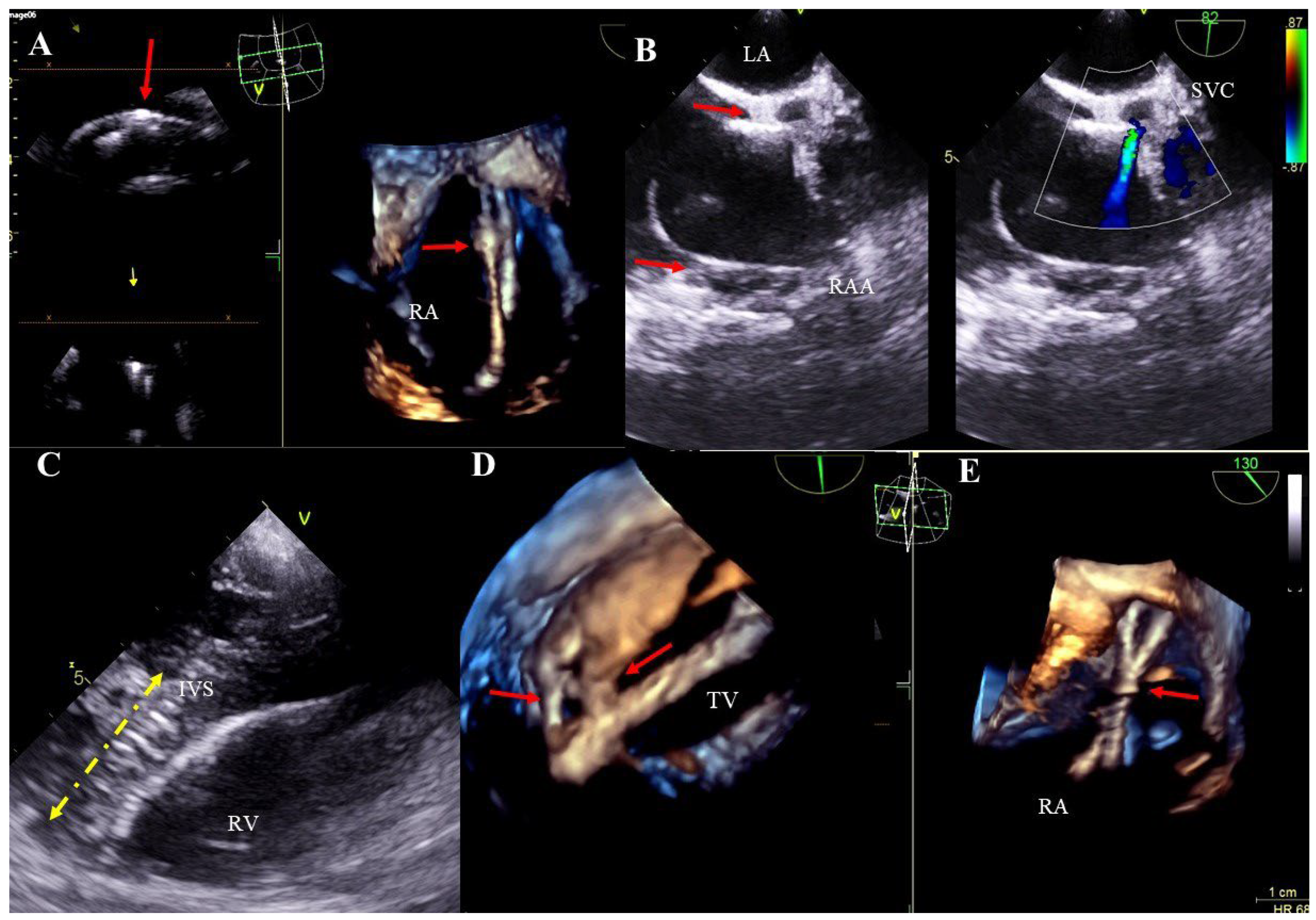
Figure 3. TEE (2D, 3D) showing scar tissue around the leads. Segmental thickening of the leads and lead-on-lead adhesions in the right atrium (red arrow) (A). Pathological attachment of the two leads to the interatrial septum and to the atrial wall near the atrial appendage (red arrows). The narrowing of the vena cava at entry into the atrium is caused by the thickened leads and pathological scar tissue (Doppler color) (B). Thickened ventricular lead (yellow line) pathologically attaches to the endocardium of the interventricular septum in the right ventricle (C). The image from the right ventricle depicts a pathological adhesion (red arrows) of the lead to the edge of the tricuspid valve leaflet (D). Binding and intersection of thickened leads in the atrium (red arrow) (E).
Figure 3. TEE (2D, 3D) showing scar tissue around the leads. Segmental thickening of the leads and lead-on-lead adhesions in the right atrium (red arrow) (A). Pathological attachment of the two leads to the interatrial septum and to the atrial wall near the atrial appendage (red arrows). The narrowing of the vena cava at entry into the atrium is caused by the thickened leads and pathological scar tissue (Doppler color) (B). Thickened ventricular lead (yellow line) pathologically attaches to the endocardium of the interventricular septum in the right ventricle (C). The image from the right ventricle depicts a pathological adhesion (red arrows) of the lead to the edge of the tricuspid valve leaflet (D). Binding and intersection of thickened leads in the atrium (red arrow) (E).
Jcm 13 05278 g003
Figure 4. Tricuspid valve dysfunction caused by the presence of the electrode (TEE 2D, 3D). The lead (yellow arrow) in the tricuspid valve supports the septal leaflet and hinders proper coaptation of the leaflets (TEE 3D) (A,C). Severe tricuspid valve regurgitation resulting from the septal leaflet being pathologically supported by the lead (yellow arrow), (2D, color Doppler image from panel A) (B). The posterior leaflet of the tricuspid valve is perforated by the lead (yellow arrow) (D).
Figure 4. Tricuspid valve dysfunction caused by the presence of the electrode (TEE 2D, 3D). The lead (yellow arrow) in the tricuspid valve supports the septal leaflet and hinders proper coaptation of the leaflets (TEE 3D) (A,C). Severe tricuspid valve regurgitation resulting from the septal leaflet being pathologically supported by the lead (yellow arrow), (2D, color Doppler image from panel A) (B). The posterior leaflet of the tricuspid valve is perforated by the lead (yellow arrow) (D).
Jcm 13 05278 g004
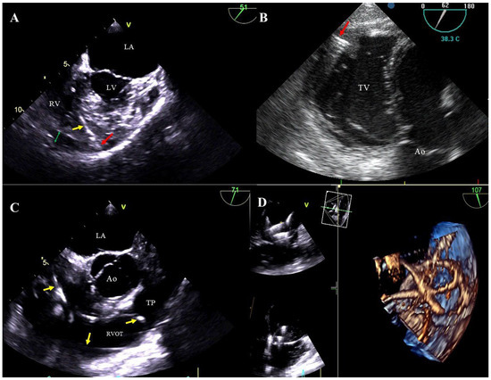
Figure 5. TEE (2D, 3D) showing perforations of the heart wall and excess lead loops. The ventricular lead (yellow arrow) perforating the wall of the right ventricle near the apex, visible in the pericardium (red arrow). Separation of pericardial layers—fluid accumulation (green arrow) (A). Perforation of the anterior wall of the right ventricle caused by the lead (red arrow) (transgastric view) (B). A long loop of the left ventricular lead (yellow arrows) dislodging to the pulmonary trunk (C). In the right atrium, tangled loops of two ventricular leads further impair the tricuspid valve function (D).
Figure 5. TEE (2D, 3D) showing perforations of the heart wall and excess lead loops. The ventricular lead (yellow arrow) perforating the wall of the right ventricle near the apex, visible in the pericardium (red arrow). Separation of pericardial layers—fluid accumulation (green arrow) (A). Perforation of the anterior wall of the right ventricle caused by the lead (red arrow) (transgastric view) (B). A long loop of the left ventricular lead (yellow arrows) dislodging to the pulmonary trunk (C). In the right atrium, tangled loops of two ventricular leads further impair the tricuspid valve function (D).
Jcm 13 05278 g005
Table 1. Characteristics of the study groups.
Table 1. Characteristics of the study groups.
All Patients
N = 1191
Non-Infectious
A: N = 930
Local Pocket Infection
B: N = 63
Systemic Infection
C: N = 198
Mean ± SD
n (%)
Mean ± SD
n (%)
Mean ± SD
n (%)
Mean ± SD
n (%)
P (A vs. B) Chi2/“U”
M-W Test
P (B vs. C) Chi2/“U”
M-W Test
P (A vs. C) Chi2/
“U” M-W Test
Patient age at examination (years)67.12 ± 14.7466.07 ± 15.12
p = 0.004
71.60 ± 10.59
p = 0.584
70.63 ± 12.71
p < 0.001
Patient age at first CIED implantation (years)57.06 ± 16.2555.44 ± 17.22
p = 0.006
61.56 ± 10.53
p = 0.378
63.19 ± 13.40
p < 0.001
Female464 (38.96)394 (42.37)
p = 0.179
21 (33.33)
p = 0.239
49 (24.75)
p < 0.001
Ischemic heart disease767 (64.40)581 (62.47)
p = 0.001
53 (84.13)
p = 0.015
133 (67.17)
p = 0.244
Cardiomyopathy160 (13.43)115 (12.37)
p = 0.399
5 (7.94)
p = 0.040
40 (20.20)
p = 0.005
Valvular heart disease46 (3.86)36 (3.87)
p = 0.560
1 (1.59)
p = 0.491
9 (4.55)
p = 0.810
Other etiology (post inflammatory, congenital, unknown, surgical, post-ablation)218 (18.30)198 (21.29)
p = 0.026
4 (6.35)
p = 0.859
16 (8.08)
p < 0.001
Permanent atrial fibrillation275 (29.09)206 (22.15)
p = 0.886
14 (22.22)
p = 0.859
55 (27.78)
p = 0.107
Congestive heart failure337 (28.30)249 (26.77)
p = 0.927
16 (25.40)
p = 0.147
72 (36.36)
p = 0.009
NYHA class III–IV208 (17.36)142 (15.27)
p = 0.712
8 (12.70)
p = 0.013
58 (29.29)
p < 0.001
Diabetes (any)251 (21.08)176 (18.95)
p = 0.351
11 (17.46)
p = 0.035
64 (32.32)
p = 0.014
Renal failure (any)279 (23.43)190 (20.43)
p = 0.858
14 (22.22)
p = 0.033
75 (37.88)
p < 0.001
Charlson co-morbidity index (points)4.97 ± 3.784.66 ± 3.72
p = 0.245
5.22 ± 3.30
p = 0.040
6.35 ± 3.92
p < 0.001
LVEF [%]48.38 ± 15.5249.22 ± 15.33
p = 0.984
49.18 ± 14.28
p = 0.029
44.18 ± 16.16
p < 0.001
LVEDD [mm]54.20 ± 9.7953.67 ± 9.56
p = 0.711
54.13 ± 9.37
p = 0.079
56.76 ± 10.60
p < 0.001
RVEDD [mm]31.54 ± 3.3331.32 ± 5.28
p = 0.639
31.00 ± 4.52
p = 0.170
32.07 ± 5.61
p = 0.077
SPAP [mmHg]30.44 ± 11.9929.54 ± 4.25
p = 0.002
31.65 ± 11.96
p = 0.152
34.31 ± 13.05
p < 0.001
Mitral regurgitation III–IV grade192 (16.12)141 (15.16)
p = 0.995
9 (14.29)
p = 0.305
42 (21.21)
p = 0.047
Tricuspid regurgitation III–IV grade286 (24.01)214 (23.01)
p = 0.153
20 (31.75)
p = 0.493
52 (26.26)
p = 0.375
Pacemaker (any)833 (81.78)683 (73.44)
p = 0.948
44 (69.84)
p = 0.033
106 (53.54)
p < 0.001
ICD (any)256 (21.94)170 (18.28)
p = 0.356
15 (23.81)
p = 0.705
54 (27.27)
p = 0.005
CRT-D102 (8.56)60 (6.45)
p = 0.816
4 (6.35)
p = 0.027
38 (19.19)
p < 0.001
CIED—cardiac implantable electronic device, NYHA—New York Heart Association (functional class), LVEF—left ventricular ejection fraction, RVEDD—right ventricular end diastolic diameter, SPAP—systolic pulmonary artery pressure, CRT-D—cardiac resynchronization therapy cardioverter defibrillator.
Table 2. Echocardiographic findings before TLE according to indications for lead removal.
Table 2. Echocardiographic findings before TLE according to indications for lead removal.
Comparison of Patient Groups Divided According to Indications for TLE
VariableAll Patients
N = 1191
Non-Infectious
A: N = 930
Local Pocket Infection
B: N = 63
Systemic Infection
C: N = 198
Mean ± SD
n (%)
Mean ± SD
n (%)
Mean ± SD
n (%)
Mean ± SD
n (%)
P (A vs. B) Chi2/M-W U testP (B vs. C) Chi2/M-W U testP (A vs. C) Chi2/M-W U test
Lead dependent tricuspid valve dysfunction reference diagnosis (LDTVD)60 (5.31)57 (6.53)
p = 0.494
2 (3.18)
p = 0.292
1 (0.51)
p = 0.002
LDTVD confirmed80 (6.72)71 (7.63)
p = 0.494
4 (6.35)
p = 0.865
5 (2.52)
p = 0.065
Prop of the leaflet by the lead26 (2.18)22 (2.37)
p = 0.985
2 (3.18)
p = 0.529
2 (1.01)
p = 0.353
Pulling down the leaflet by the lead (immobilization)49 (4.11)43 (4.62)
p = 0.796
3 (4.76)
p = 0.310
3 (1.52)
p = 0.070
Lead impingement of the valve or presence (irritation) 3 (0.25)3 (0.32)
p = 0.463
0 (0.00)
N
0 (0.00)
p = 0.698
Perforation of the leaflet by the lead1 (0.08)1 (0.11)
p = 0.823
0 (0.00)
N
0 (0.00)
p = 0.936
Lead adhesion to the leaflet1 (0.08)1 (0.11)
p = 0.823
0 (0.00)
N
0 (0.00)
p = 0.936
Vegetation-like masses41 (3.44)11 (1.18)
p = 0.806
0 (0.00)
p = 0.002
30 (15.15)
p = 0.001
Scar tissue surrounding the lead212 (17.80)190 (20.43)
p = 0.034
3 (4.76)
p = 0.336
19 (9.60)
p < 0.006
Lead thickening435 (36.52)335 (36.02)
p = 0.845
24 (38.10)
p = 0.914
76 (38.38)
p = 0.585
Lead adhesion to the heart structures (any)338 (29.34)293 (32.77)
p = 0.161
14 (22.22)
p = 0.312
31 (15.90)
p < 0.001
Lead adhesion to the SVC108 (9.07)96 (10.32)
p = 0.990
6 (9.52)
p = 0.072
6 (3.03)
p = 0.002
Lead adhesion to the RA wall116 (9.74)100 (10.75)
p = 0.924
6 (9.52)
p = 0.323
10 (5.05)
p = 0.020
Lead adhesion to the tricuspid apparatus133 (11.17)121 (13.01)
p = 0.036
2 (3.18)
p = 0.784
10 (5.05)
p = 0.002
Lead adhesion to the RV wall167 (14.02)144 (15.48)
p = 0.273
6 (9.52)
p = 0.979
17 (8.59)
p = 0.016
Lead-on-lead adhesion352 (29.56)306 (32.90)
p = 0.106
14 (22.22)
p = 0.363
32 (16.16)
p < 0.001
No scar tissue (as defined above)490 (41.14)360 (38.71)
p = 0.044
33 (52.38)
p = 0.899
97 (48.99)
p = 0.002
One form of scar tissue (as defined above)267 (22.42)197 (21.18)
p = 0.808
12 (19.05)
p = 0.151
58 (29.29)
p = 0.017
Two or more (multiple) forms of scar tissue (as defined above)434 (36.44)373 (40.11)
p = 0.093
18 (28.75)
p = 0.043
43 (21.72)
p < 0.001
Any form of scar tissue in a single patient [number]2.17 ± 1.262.26 ± 1.29
p = 0.169
2.03 ± 1.16
p = 0.019
1.68 ± 0.98
p < 0.001
Blood clots on the lead108 (9.07)102 (10.97)
p = 0.032
1 (1.59)
p = 0.960
5 (2.53)
p < 0.001
Vegetations visible in TTE55 (4.63)0 (0.00)
N
0 (0.00)
p < 0.001
55 (28.06)
p < 0.001
Vegetations visible in TEE154 (12.93)0 (0.00)
N
0 (0.00)
p < 0.001
154 (77.78)
p < 0.001
Vegetation diameter > 2 cm32 (2.69)0 (0.00)
N
0 (0.00)
p < 0.001
32 (16.16)
p < 0.001
Multiple vegetations111 (9.32)0 (0.00)
N
0 (0.00)
p < 0.001
111 (56.06)
p < 0.001
Lead vegetation (attached)149 (98.03)0 (0.00)
N
0 (0.00)
p < 0.001
149 (98.03)
p < 0.001
Lead loops in the heart (any)231 (19.40)179 (19.25)
p = 0.900
12 (19.05)
p = 0.985
40 (20.20)
p = 0.834
Lead loop in the RA173 (14.58)133 (14.33)
p = 0.855
9 (14.52)
p = 0.950
31 (15.74)
p = 0.704
Leas loop in the TV40 (3.36)31 (3.34)
p = 0.696
1 (1.59)
p = 0.594
8 (4.06)
p = 0.779
Lead loop in the RV or PA45 (3.78)37 (3.98)
p = 0.980
3 (4.76)
p = 0.633
5 (2.54)
p = 0.439
Lead perforations and pericardial fluid
Sure perforation121 (10.16)110 (11.83)
p = 0.058
2 (3.18)
p = 0.859
9 (4.55)
p = 0.006
Penetration66 (5.54)54 (5.81)
p = 0.921
4 (6.35)
p = 0.733
8 (4.04)
p = 0.492
Invisible tip of the lead in cases with suspicion of perforation16 (1.34)15 (1.61)
p = 0.630
0 (0.00)
p = 0.563
1 (0.51)
p = 0.419
Fluid in epicardial space due to lead perforation
Epicardial fluid independent of perforation; n (%)46 (3.86)33 (3.56)
p = 0.247
0 (0.00)
p = 0.071
13 (6.57)
p = 0.083
Residual/very thin layer of fluid independent of perforation2 (0.17)1 (0.11)
p = 0.279
1 (1.59)
p = 0.545
0 (0.00)
p = 0.394
Epicardial fluid related to perforation30 (2.52)22 (2.37)
p = 0.972
1 (1.59)
p = 0.702
7 (3.53)
p = 0.493
Residual/very thin layer of fluid related to perforation16 (1.34)15 (1.61)
p = 0.630
0 (0.00)
p = 0.585
1 (0.51)
p = 0.387
LDTVD—lead dependent tricuspid valve dysfunction, SVC—superior vena cava, RA—right atrium, RV—right ventricle, TLE—transvenous lead extraction, TTE—transthoracic echocardiography, PA—pulmonary artery.
Table 3. TEE findings for prediction of TLE complexity, major complications and 1-year mortality after TLE.
Table 3. TEE findings for prediction of TLE complexity, major complications and 1-year mortality after TLE.
Echocardiographic Predictors of Complex TLE
Complex TLEUnivariable RegressionMultivariable Regression
Yes
N = 287
No
N = 904
OR95%CIpOR95%CI
p
Chi2 Test
Vegetation-like masses5
(1.74)
36 (3.98)
p = 0.104
0.8890.420–1.8810.757
Scar tissue surrounding the lead62 (21.60)150 (16.59)
p = 0.065
1.3130.937–1.8410.113
Lead thickening135 (47.30)300 (33.19)
p < 0.001
2.1861.665–2.871p < 0.0011.5361.123–2.1020.007
Lead adhesion to the heart structures (any)130 (47.27)208 (23.72)
p < 0.001
1.5641.421–1.722p < 0.0012.5311.821–3.518p < 0.001
Lead-on-lead adhesion124 (43.20)228 (25.22)
p < 0.001
2.1511.595–2.902p < 0.0011.2160.848–1.7430.287
Any form of scar tissue213 (74.22)488 (53.98)
p < 0.001
1.5731.174–2.1080.002
Blood clots on the lead21
(7.32)
87 (9.62)
p = 0.286
0.7610.458–1.2650.291
Vegetations visible in TEE24
(8.36)
130 (14.38)
p = 0.011
1.2350.669–2.2770.4991.3680.723–2.5890.334
LDTVD confirmed19
(6.62)
61 (6.75)
p = 0.952
1.1790.702–1.9780.533
Lead loops in the heart (any)78 (27.18)153 (16.93)
p < 0.001
2.1321.559–2.916p < 0.0011.6321.152–2.3120.006
Sure perforation28
(9.76)
93 (10.28)
p = 0.883
0.7890.498–1.2490.311
Penetration10
(3.48)
56 (6.19)
p = 0.110
0.9240.593–1.4390.727
Epicardial fluid independent of perforation9
(3.14)
37 (4.09)
p = 0.577
0.8170.403–1.6570.575
Epicardial fluid related to perforation7
(2.44)
23 (2.54)
p = 0.907
0.7580.376–1.5280.437
Echocardiographic predictors of major complications during TLE
Major complicationsUnivariable regressionMultivariable regression
Yes
N = 29
No
N = 1162
OR95%CIpOR95%CIp
Chi2 test
Vegetation-like masses2
(6.90)
39 (3.36)
p = 0.605
3.2110.933–11.0510.0644.0801.038–16.050.044
Scar tissue surrounding the lead12 (41.38)200 (17.21)
p = 0.002
2.8131.317–6.0090.0071.8630.813–4.2680.141
Lead thickening 22 (75.86)413 (35.54)
p < 0.001
4.9392.178–11.20p < 0.0012.3891.050–5.7610.049
Lead adhesion to the heart structures (any)23 (82.14)315 (28.03)
p < 0.001
2.1711.759–2.680p < 0.0016.3412.354–17.08p < 0.001
Lead-on-lead adhesion24 (82.75)328 (28.23)
p < 0.001
4.8412.318–10.11p < 0.0012.0830.921–4.7110.078
Any form of scar tissue27 (93.10)674 (58.00)
p < 0.001
5.1651.558–17.130.007
Blood clots on the lead1
(3.44)
107 (9.21)
p = 0.459
0.3560.048–2.6420.312
Vegetations visible in TEE2
(6.89)
152 (13.08)
p = 0.484
0.4450.105–1.8870.272
Other TEE findings before TLE
LDTVD confirmed1
(3.44)
79 (6.80)
p = 0.737
0.4770.064–3.5530.469
Lead loops in the heart (any)5
(17.12)
226 (19.45)
p = 0.953
1.3030.551–3.0780.546
Sure perforation1
(3.45)
120 (10.33)
p = 0.357
0.2790.038–2.0660.211
Penetration3
(10.32)
63 (5.42)
p = 0.463
1.2730.438–3.7040.657
Epicardial fluid independent of perforation0
(0.00)
46 (3.96)
p = 0.545
00–00
Epicardial fluid related to perforation0
(0.00)
30 (2.58)
p = 0.782
00–00
Echocardiographic predictors of death during 1-year follow-up
Death during 1-year follow-upUnivariable Cox regressionMultivariable Cox regression
Yes
N = 96
No
N = 1095
Chi2 test
Vegetation-like masses3
(3.13)
38 (3.47)
p = 0.909
0.8360.265–2.6410.761
Scar tissue surrounding the lead8
(8.33)
204 (18.63)
p = 0.017
0.4120.200–0.8510.0160.6900.328–1.4510.328
Lead thickening26 (27.83)409 (37.35)
p = 0.058
0.6640.423–1.0420.0750.6420.396–1.0390.071
Lead adhesion to the heart structures (any)17 (17.71)321 (30.40)
p = 0.021
0.7040.578–0.859p < 0.0010.5820.321–1.0560.075
Lead-on-lead adhesion19 (19.79)333 (30.41)
p = 0.044
0.4360.226–0.8390.0130.6220.305–1.2670.191
Any form of scar tissue47 (48.96)654 (59.73)
p = 0.052
1.2510.816–1.920.305
Blood clots on the lead6
(6.25)
102 (9.32)
p = 0.414
0.7080.310–1.6180.413
Vegetations visible in TEE36 (37.50)118 (10.78)
p < 0.001
8.8955.567–14.22p < 0.0017.2544.475–11.76p < 0.001
Other TEE findings before TLE
LDTVD confirmed8
(8.33)
72 (6.58)
p = 0.655
1.3110.636–2.7030.464
Lead loops in the heart (any)11 (11.46)220 (20.09)
p = 0.055
0.5810.317–1.0630.0780.7470.399–1.3980.361
Sure perforation6
(6.32)
115 (10.50)
p = 0.252
0.640.297–1.3810.255
Penetration4
(4.17)
62 (5.66)
p = 0.703
1.0180.543–1.9060.956
Epicardial fluid independent of perforation5
(5.21)
41 (3.74)
p = 0.662
0.4770.118–1.9340.300
Epicardial fluid related to perforation1
(1.04)
29 (2.65)
p = 0.533
1.6240.711–3.710.250
TEE—transesophageal echocardiography, LDTVD—lead dependent tricuspid valve dysfunction.
Disclaimer/Publisher’s Note: The statements, opinions and data contained in all publications are solely those of the individual author(s) and contributor(s) and not of MDPI and/or the editor(s). MDPI and/or the editor(s) disclaim responsibility for any injury to people or property resulting from any ideas, methods, instructions or products referred to in the content.

Share and Cite

MDPI and ACS Style

Nowosielecka, D.; Jacheć, W.; Stefańczyk Dzida, M.; Polewczyk, A.; Mościcka, D.; Nowosielecka, A.; Kutarski, A. What Important Information Does Transesophageal Echocardiography Provide When Performed before Transvenous Lead Extraction? J. Clin. Med. 2024, 13, 5278. https://doi.org/10.3390/jcm13175278

AMA Style

Nowosielecka D, Jacheć W, Stefańczyk Dzida M, Polewczyk A, Mościcka D, Nowosielecka A, Kutarski A. What Important Information Does Transesophageal Echocardiography Provide When Performed before Transvenous Lead Extraction? Journal of Clinical Medicine. 2024; 13(17):5278. https://doi.org/10.3390/jcm13175278

Chicago/Turabian Style

Nowosielecka, Dorota, Wojciech Jacheć, Małgorzata Stefańczyk Dzida, Anna Polewczyk, Dominika Mościcka, Agnieszka Nowosielecka, and Andrzej Kutarski. 2024. "What Important Information Does Transesophageal Echocardiography Provide When Performed before Transvenous Lead Extraction?" Journal of Clinical Medicine 13, no. 17: 5278. https://doi.org/10.3390/jcm13175278

APA Style

Nowosielecka, D., Jacheć, W., Stefańczyk Dzida, M., Polewczyk, A., Mościcka, D., Nowosielecka, A., & Kutarski, A. (2024). What Important Information Does Transesophageal Echocardiography Provide When Performed before Transvenous Lead Extraction? Journal of Clinical Medicine, 13(17), 5278. https://doi.org/10.3390/jcm13175278

Note that from the first issue of 2016, this journal uses article numbers instead of page numbers. See further details here.

Article Metrics

Back to TopTop