Lateral Spinal Artery Aneurysm Causing Subarachnoid Hemorrhage: Literature Review and Case Report
Abstract
1. Introduction
2. Method
2.1. Literature Search and Selection
2.2. Inclusion and Exclusion Criteria
2.2.1. Inclusion Criteria
2.2.2. Exclusion Criteria
2.3. Data Extraction and Analysis
3. Results
3.1. Case Series
3.2. Case Description
3.2.1. Clinical Presentation
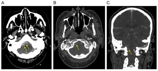
3.2.2. Radiological Findings
3.2.3. Endovascular Treatment
3.2.4. Postoperative Course
3.3. Relationship between PICA, LSA, and PSA
4. Discussion
5. Limitation
6. Conclusions
Supplementary Materials
Author Contributions
Funding
Institutional Review Board Statement
Informed Consent Statement
Data Availability Statement
Conflicts of Interest
Abbreviations
| LSA | lateral spinal artery |
| VA | vertebral artery |
| PICA | posterior inferior cerebellar artery |
| ASA | anterior spinal artery |
| PSA | posterior spinal artery |
| PMA | posterior meningeal artery |
| SAH | subarachnoid hemorrhage |
| ICH | intracerebral hemorrhage |
| IVH | intraventricular hemorrhage |
| AVF | arteriovenous fistula |
| AVM | arteriovenous malformation |
| CT | computed tomography |
| MRI | magnetic resonance imaging |
References
- Siclari, F.; Burger, I.M.; Fasel, J.H.; Gailloud, P. Developmental anatomy of the distal vertebral artery in relationship to variants of the posterior and lateral spinal arterial systems. AJNR Am. J. Neuroradiol. 2007, 28, 1185–1190. [Google Scholar] [CrossRef] [PubMed]
- Wang, C.X.; Cironi, K.; Mathkour, M.; Lockwood, J.; Aysenne, A.; Iwanaga, J.; Loukas, M.; Bui, C.J.; Dumont, A.S.; Tubbs, R.S. Anatomical Study of the Posterior Spinal Artery Branches to the Medulla Oblongata. World Neurosurg. 2021, 149, e1098–e1104. [Google Scholar] [CrossRef] [PubMed]
- Lasjaunias, P.; Vallee, B.; Person, H.; Ter Brugge, K.; Chiu, M. The lateral spinal artery of the upper cervical spinal cord. Anatomy, normal variations, and angiographic aspects. J. Neurosurg. 1985, 63, 235–241. [Google Scholar] [CrossRef] [PubMed]
- Mercier, P.H.; Brassier, G.; Fournier, H.D.; Picquet, J.; Papon, X.; Lasjaunias, P. Vascular microanatomy of the pontomedullary junction, posterior inferior cerebellar arteries, and the lateral spinal arteries. Interv. Neuroradiol. 2008, 14, 49–58. [Google Scholar] [CrossRef] [PubMed]
- Chen, C.C.; Bellon, R.J.; Ogilvy, C.S.; Putman, C.M. Aneurysms of the lateral spinal artery: Report of two cases. Neurosurgery 2001, 48, 949–953. [Google Scholar] [CrossRef] [PubMed]
- Kubota, H.; Suehiro, E.; Yoneda, H.; Nomura, S.; Kajiwara, K.; Fujii, M.; Fujisawa, H.; Kato, S.; Suzuki, M. Lateral spinal artery aneurysm associated with a posterior inferior cerebellar artery main trunk occlusion. Case illustration. J. Neurosurg. Spine 2006, 4, 347. [Google Scholar] [CrossRef] [PubMed]
- Morigaki, R.; Satomi, J.; Shikata, E.; Nagahiro, S. Aneurysm of the lateral spinal artery: A case report. Clin. Neurol. Neurosurg. 2012, 114, 713–716. [Google Scholar] [CrossRef] [PubMed]
- Germans, M.R.; Kulcsar, Z.; Regli, L.; Bozinov, O. Clipping of Ruptured Aneurysm of Lateral Spinal Artery Associated with Anastomosis to Distal Posterior Inferior Cerebellar Artery: A Case Report. World Neurosurg. 2018, 117, 186–189. [Google Scholar] [CrossRef] [PubMed]
- Karakama, J.; Nakagawa, K.; Maehara, T.; Ohno, K. Subarachnoid hemorrhage caused by a ruptured anterior spinal artery aneurysm. Neurol. Med.-Chir. 2010, 50, 1015–1019. [Google Scholar] [CrossRef] [PubMed]
- Song, Y.; Lee, K.; Park, H.; Hwang, S.H.; Baek, H.J.; Park, I.S. Surgical Treatment of Ruptured Aneurysms of Lateral Spinal Artery Presenting as Intracranial Subarachnoid Hemorrhage: Case Series and Literature Review. J. Korean Neurosurg. Soc. 2024, in press. [Google Scholar] [CrossRef] [PubMed]
- Handa, T.; Suzuki, Y.; Saito, K.; Sugita, K.; Patel, S.J. Isolated intramedullary spinal artery aneurysm presenting with quadriplegia. Case report. J. Neurosurg. 1992, 77, 148–150. [Google Scholar] [CrossRef]
- Kurita, M.; Endo, M.; Kitahara, T.; Fujii, K. Subarachnoid haemorrhage due to a lateral spinal artery aneurysm misdiagnosed as a posterior inferior cerebellar artery aneurysm: Case report and literature review. Acta Neurochir. 2009, 151, 165–169. [Google Scholar] [CrossRef] [PubMed]
- Papadimitriou, K.; Quach, E.T.; Golub, D.; Patsalides, A.; Dehdashti, A.R. Far Lateral Approach With C1 Hemilaminotomy for Excision of a Ruptured Fusiform Lateral Spinal Artery Aneurysm: 2-Dimensional Operative Video. Oper. Neurosurg. 2024, 27, 375. [Google Scholar] [CrossRef]
- Lasjaunias, P.; Berenstein, A. Arterial Anatomy: Introduction. In Surgical Neuroangiography: 1 Functional Anatomy of Craniofacial Arteries; Lasjaunias, P., Berenstein, A., Eds.; Springer: Berlin/Heidelberg, Germany, 1987; pp. 1–32. [Google Scholar]
- Chonan, M.; Nishimura, S.; Kimura, N.; Ezura, M.; Uenohara, H.; Tominaga, T. A ruptured aneurysm arising at the leptomeningeal collateral circulation from the extracranial vertebral artery to the posterior inferior cerebellar artery associated with bilateral vertebral artery occlusion. J. Stroke Cerebrovasc. Dis. 2014, 23, e135–e139. [Google Scholar] [CrossRef] [PubMed]
- Kitanaka, C.; Sasaki, T.; Eguchi, T.; Teraoka, A.; Nakane, M.; Hoya, K. Intracranial vertebral artery dissections: Clinical, radiological features, and surgical considerations. Neurosurgery 1994, 34, 620–626; discussion 626–627. [Google Scholar] [CrossRef]
- Kado, K.; Hirai, S.; Kobayashi, S.; Kobayashi, E.; Yamakami, I.; Uchino, Y.; Saeki, N.; Yamaura, A. Potential role of the anterior spinal artery in preventing propagation of thrombus in a therapeutically occluded vertebral artery: Angiographic studies before and after endovascular treatment. Neuroradiology 2002, 44, 347–354. [Google Scholar] [CrossRef] [PubMed]
- Hiramatsu, M.; Sugiu, K.; Yasuhara, T.; Hishikawa, T.; Haruma, J.; Nishi, K.; Yamaoka, Y.; Ebisudani, Y.; Edaki, H.; Kimura, R.; et al. Angioarchitecture of the Normal Lateral Spinal Artery and Craniocervical Junction Arteriovenous Fistula Using Contrast-enhanced Cone-beam CT. Clin. Neuroradiol. 2023, 33, 375–382. [Google Scholar] [CrossRef] [PubMed]
- Tsumoto, T.; Tsurusaki, Y.; Tokunaga, S. Transvenous Embolization Using Cone-beam CT and 3D Roadmap Function for Dural Arteriovenous Fistulas. J. Neuroendovasc. Ther. 2017, 11, 240–245. [Google Scholar] [CrossRef]
- Hiu, T.; Kitagawa, N.; Morikawa, M.; Hayashi, K.; Horie, N.; Morofuji, Y.; Suyama, K.; Nagata, I. Efficacy of DynaCT Digital Angiography in the Detection of the Fistulous Point of Dural Arteriovenous Fistulas. Am. J. Neuroradiol. 2009, 30, 487. [Google Scholar] [CrossRef]
- Aadland, T.D.; Thielen, K.R.; Kaufmann, T.J.; Morris, J.M.; Lanzino, G.; Kallmes, D.F.; Schueler, B.A.; Cloft, H. 3D C-Arm Conebeam CT Angiography as an Adjunct in the Precise Anatomic Characterization of Spinal Dural Arteriovenous Fistulas. Am. J. Neuroradiol. 2010, 31, 476. [Google Scholar] [CrossRef]
- De Simone, M.; Fontanella, M.M.; Choucha, A.; Schaller, K.; Machi, P.; Lanzino, G.; Bijlenga, P.; Kurz, F.T.; Lövblad, K.-O.; De Maria, L. Current and Future Applications of Arterial Spin Labeling MRI in Cerebral Arteriovenous Malformations. Biomedicines 2024, 12, 753. [Google Scholar] [CrossRef] [PubMed]
- Peluso, J.P.; van Rooij, W.J.; Sluzewski, M.; Beute, G.N. Distal aneurysms of cerebellar arteries: Incidence, clinical presentation, and outcome of endovascular parent vessel occlusion. AJNR Am. J. Neuroradiol. 2007, 28, 1573–1578. [Google Scholar] [CrossRef] [PubMed]




| Patient Number (No.) | Age/Sex | H-H Grade a | Location of Aneurysm | Other Vascular Disease at VBJ | Time of Treatment | Treatment for Ruptured LSA An. | Complications Related to Treatment |
|---|---|---|---|---|---|---|---|
| 1. Chen et al. [5] | 72/F | 3 | Rt. LSA | Bilat. VA stenosis | Promptly | Coil embolization Internal trapping (LSA) | PICA infarction |
| 2. Chen et al. [5] | 69/F | 3 | Lt. LSA | Lt. VA stenosis | One month later | Endovascular treatment failed Microsurgical clipping | Subdural hematoma |
| 3. Kubota et al. [6] | 59/F | NA | Rt. LSA | Rt. PICA occlusion | 25 days after | Surgical aneurysmal resection | Disturbed consciousness |
| 4. Kurita et al. [12] | 61/M | 1 | Rt. LSA | None | 1st: on the day of adm 2nd: 3 days later | Microsurgical clipping (twice) | None |
| 5. Morigaki et al. [7] | 78/F | 4 | Lt. LSA | Bilat. VA occlusion | Promptly | Coil embolization Internal trapping (LSA) | PICA infarction |
| 6. Germans et al. [8] | 49/M | 2 | Lt. LSA | Lt. PICA occlusion | Promptly | Microsurgical clipping + anastomosis (LSA and PICA) | None |
| 7. Papadimitriou K et al. [13] | 74/F | 3 | Rt. LSA | None | 2 weeks later | Microsurgical clipping | None |
| 8. Song, Y et al. [10] | 55/M | 2 | Lt. LSA | None | 2 weeks later | Microsurgical clipping | None |
| 9. Song, Y et al. [10] | 64/M | 1 | Lt. LSA | Bilat. VA stenosis | 1 week later | Microsurgical clipping | None |
| 10. Song, Y et al. [10] | 73/F | 1 | Rt. LSA | None | 19 days later | Transfer | Transfer |
| 11. Present case | 51/F | 2 | Rt. LSA | Rt. V4 aplasia | On the day of adm | Proximal occlusion (LSA) | None |
Disclaimer/Publisher’s Note: The statements, opinions and data contained in all publications are solely those of the individual author(s) and contributor(s) and not of MDPI and/or the editor(s). MDPI and/or the editor(s) disclaim responsibility for any injury to people or property resulting from any ideas, methods, instructions or products referred to in the content. |
© 2024 by the authors. Licensee MDPI, Basel, Switzerland. This article is an open access article distributed under the terms and conditions of the Creative Commons Attribution (CC BY) license (https://creativecommons.org/licenses/by/4.0/).
Share and Cite
Jeon, Y.S.; Park, J.J.; Chun, Y.I.; Roh, H.G. Lateral Spinal Artery Aneurysm Causing Subarachnoid Hemorrhage: Literature Review and Case Report. J. Clin. Med. 2024, 13, 4910. https://doi.org/10.3390/jcm13164910
Jeon YS, Park JJ, Chun YI, Roh HG. Lateral Spinal Artery Aneurysm Causing Subarachnoid Hemorrhage: Literature Review and Case Report. Journal of Clinical Medicine. 2024; 13(16):4910. https://doi.org/10.3390/jcm13164910
Chicago/Turabian StyleJeon, Yoo Sung, Jeong Jin Park, Young Il Chun, and Hong Gee Roh. 2024. "Lateral Spinal Artery Aneurysm Causing Subarachnoid Hemorrhage: Literature Review and Case Report" Journal of Clinical Medicine 13, no. 16: 4910. https://doi.org/10.3390/jcm13164910
APA StyleJeon, Y. S., Park, J. J., Chun, Y. I., & Roh, H. G. (2024). Lateral Spinal Artery Aneurysm Causing Subarachnoid Hemorrhage: Literature Review and Case Report. Journal of Clinical Medicine, 13(16), 4910. https://doi.org/10.3390/jcm13164910

