Magnetic Resonance Imaging in Uremic Encephalopathy: Identifying Key Imaging Patterns and Clinical Correlations
Abstract
1. Introduction
2. Material and Methods
2.1. Search Strategy
2.2. Data Extraction
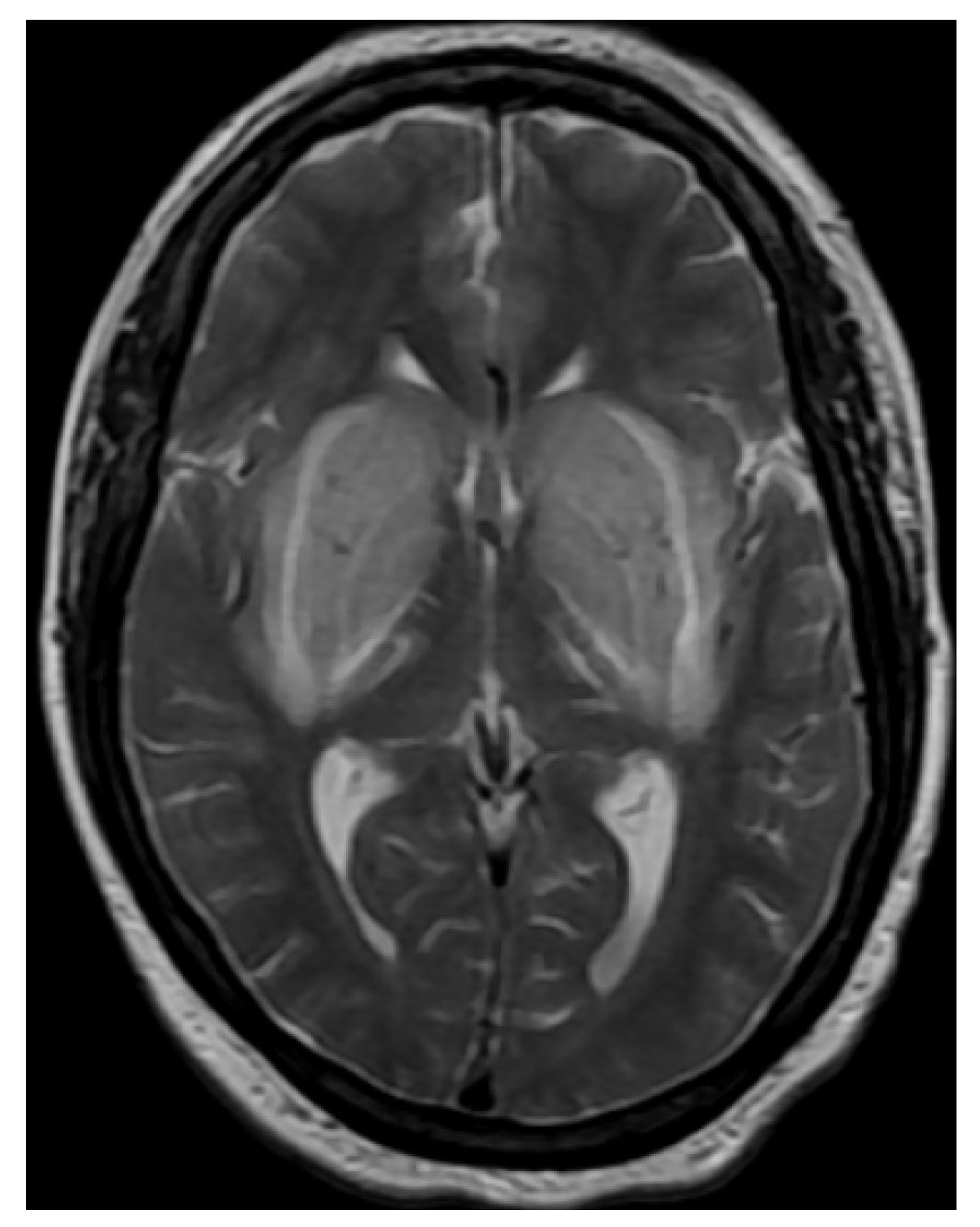
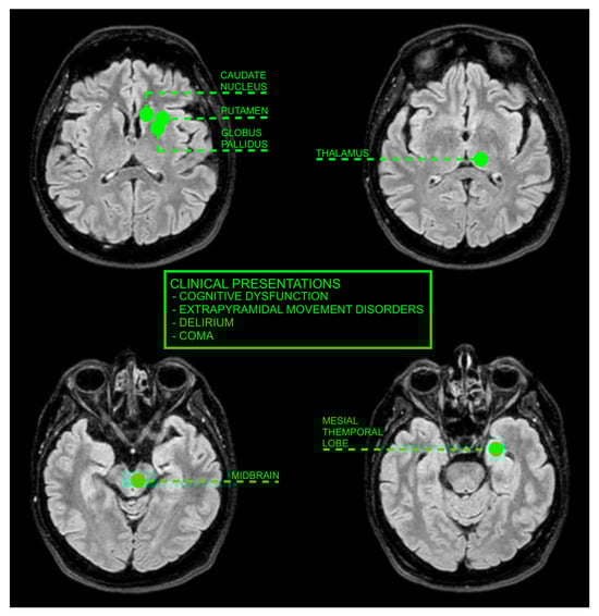
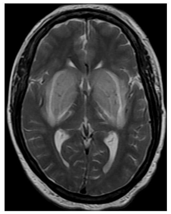
3. The Role of MRI in UE
4. Differential Diagnosis
5. Treatment
6. MRI and Study Limitations
7. Conclusions
Author Contributions
Funding
Conflicts of Interest
References
- Marano, M.; Vespasiani Gentilucci, U.; Altamura, C.; Siotto, M.; Squitti, R.; Bucossi, S.; Quintiliani, L.; Migliore, S.; Greco, F.; Scarciolla, L.; et al. Altered metal metabolism in patients with HCV-related cirrhosis and hepatic encephalopathy. Metab. Brain Dis. 2015, 30, 1445–1452. [Google Scholar] [CrossRef] [PubMed]
- Biasioli, S.; D’Andrea, G.; Feriani, M.; Chiaramonte, S.; Fabris, A.; Ronco, C.; La Greca, G. Uremic Encephalopathy: An Updating. Clin. Nephrol. 1986, 25, 57–63. [Google Scholar] [PubMed]
- Seifter, J.L.; Samuels, M.A. Uremic Encephalopathy and Other Brain Disorders Associated with Renal Failure. Semin. Neurol. 2011, 31, 139–143. [Google Scholar] [CrossRef] [PubMed]
- Meyer, T.W.; Hostetter, T.H. Uremia. N. Engl. J. Med. 2007, 357, 1316–1325. [Google Scholar] [CrossRef] [PubMed]
- Watanabe, H.; Miyamoto, Y.; Otagiri, M.; Maruyama, T. Update on the Pharmacokinetics and Redox Properties of Protein-Bound Uremic Toxins. J. Pharm. Sci. 2011, 100, 3682–3695. [Google Scholar] [CrossRef] [PubMed]
- Assem, M.; Lando, M.; Grissi, M.; Kamel, S.; Massy, Z.; Chillon, J.-M.; Hénaut, L. The Impact of Uremic Toxins on Cerebrovascular and Cognitive Disorders. Toxins 2018, 10, 303. [Google Scholar] [CrossRef] [PubMed]
- Liabeuf, S.; Pepin, M.; Franssen, C.F.M.; Viggiano, D.; Carriazo, S.; Gansevoort, R.T.; Gesualdo, L.; Hafez, G.; Malyszko, J.; Mayer, C.; et al. Chronic Kidney Disease and Neurological Disorders: Are Uraemic Toxins the Missing Piece of the Puzzle? Nephrol. Dial. Transplant. 2021, 37, ii33–ii44. [Google Scholar] [CrossRef] [PubMed]
- Watanabe, K.; Sato, E.; Mishima, E.; Watanabe, M.; Abe, T.; Takahashi, N.; Nakayama, M. Effect of Uremic Toxins on Hippocampal Cell Damage: Analysis in Vitro and in Rat Model of Chronic Kidney Disease. Heliyon 2021, 7, e06221. [Google Scholar] [CrossRef] [PubMed]
- Six, I.; Okazaki, H.; Gross, P.; Cagnard, J.; Boudot, C.; Maizel, J.; Drueke, T.B.; Massy, Z.A. Direct, Acute Effects of Klotho and FGF23 on Vascular Smooth Muscle and Endothelium. PLoS ONE 2014, 9, e93423. [Google Scholar] [CrossRef] [PubMed]
- Adesso, S.; Magnus, T.; Cuzzocrea, S.; Campolo, M.; Rissiek, B.; Paciello, O.; Autore, G.; Pinto, A.; Marzocco, S. Indoxyl Sulfate Affects Glial Function Increasing Oxidative Stress and Neuroinflammation in Chronic Kidney Disease: Interaction between Astrocytes and Microglia. Front. Pharmacol. 2017, 8, 370. [Google Scholar] [CrossRef] [PubMed]
- Li, L.C.; Chen, W.Y.; Chen, J.B.; Lee, W.C.; Chang, C.C.; Tzeng, H.T.; Huang, C.C.; Chang, Y.J.; Yang, J.L. The Ast-120 Recovers Uremic Toxin-Induced Cognitive Deficit via Nlrp3 Inflammasome Pathway in Astrocytes and Microglia. Biomedicines 2021, 9, 1252. [Google Scholar] [CrossRef]
- Bobot, M.; Thomas, L.; Moyon, A.; Fernandez, S.; McKay, N.; Balasse, L.; Garrigue, P.; Brige, P.; Chopinet, S.; Poitevin, S.; et al. Uremic Toxic Blood-Brain Barrier Disruption Mediated by AhR Activation Leads to Cognitive Impairment during Experimental Renal Dysfunction. J. Am. Soc. Nephrol. 2020, 31, 1509–1521. [Google Scholar] [CrossRef] [PubMed]
- Olano, C.G.; Akram, S.M.; Bhatt, H. Uremic Encephalopathy. In StatPearls; StatPearls Publishing: Treasure Island, FL, USA, 2024. [Google Scholar]
- Betjes, M.G. Uremia-Associated Ageing of the Thymus and Adaptive Immune Responses. Toxins 2020, 12, 224. [Google Scholar] [CrossRef] [PubMed]
- Prencipe, M.A.; Del Giudice, A.; Di Giorgio, G.; Aucella, F. Uremic encephalopathy in regular dialysis treatment: Uremic stroke? G. Ital. Nefrol. 2014, 31, gin/31.2.9. [Google Scholar]
- Hamed, S.A. Neurologic Conditions and Disorders of Uremic Syndrome of Chronic Kidney Disease: Presentations, Causes, and Treatment Strategies. Expert Rev. Clin. Pharmacol. 2019, 12, 61–90. [Google Scholar] [CrossRef] [PubMed]
- Rosner, M.H.; Husain-Syed, F.; Reis, T.; Ronco, C.; Vanholder, R. Uremic Encephalopathy. Kidney Int. 2022, 101, 227–241. [Google Scholar] [CrossRef] [PubMed]
- Kim, D.M.; Lee, I.H.; Song, C.J. Uremic Encephalopathy: MR Imaging Findings and Clinical Correlation. AJNR Am. J. Neuroradiol. 2016, 37, 1604–1609. [Google Scholar] [CrossRef] [PubMed]
- Wang, H.-C.; Cheng, S.-J. The Syndrome of Acute Bilateral Basal Ganglia Lesions in Diabetic Uremic Patients. J. Neurol. 2003, 250, 948–955. [Google Scholar] [CrossRef] [PubMed]
- Lee, E.J.; Park, J.-H.; Ihn, Y.k.; Kim, Y.J.; Lee, S.K.; Park, C.S. Acute Bilateral Basal Ganglia Lesions in Diabetic Uraemia: Diffusion-Weighted MRI. Neuroradiology 2007, 49, 1009–1013. [Google Scholar] [CrossRef]
- Wang, H.-C.; Brown, P.; Lees, A.J. Acute Movement Disorders with Bilateral Basal Ganglia Lesions in Uremia. Mov. Disord. 1998, 13, 952–957. [Google Scholar] [CrossRef]
- Sina, F.; Najafi, D.; Aziz-Ahari, A.; Shahraki, E.; Ahimahalle, T.Z.; Namjoo, Z.; Hassanzadeh, S. Uremic Encephalopathy: A Definite Diagnosis by Magnetic Resonance Imaging? Eur. J. Transl. Myol. 2022, 32, 10613. [Google Scholar] [CrossRef] [PubMed]
- Okada, J.; Yoshikawa, K.; Matsuo, H.; Kanno, K.; Oouchi, M. Reversible MRI and CT Findings in Uremic Encephalopathy. Neuroradiology 1991, 33, 524–526. [Google Scholar] [CrossRef] [PubMed]
- Yoon, J.W.; Pahl, M.V.; Vaziri, N.D. Spontaneous Leukocyte Activation and Oxygen-Free Radical Generation in End-Stage Renal Disease. Kidney Int. 2007, 71, 167–172. [Google Scholar] [CrossRef] [PubMed]
- Iwafuchi, Y.; Okamoto, K.; Oyama, Y.; Narita, I. Posterior Reversible Encephalopathy Syndrome in a Patient with Severe Uremia without Hypertension. Intern. Med. 2016, 55, 63–68. [Google Scholar] [CrossRef] [PubMed][Green Version]
- Fugate, J.E.; Claassen, D.O.; Cloft, H.J.; Kallmes, D.F.; Kozak, O.S.; Rabinstein, A.A. Posterior Reversible Encephalopathy Syndrome: Associated Clinical and Radiologic Findings. Mayo Clin. Proc. 2010, 85, 427–432. [Google Scholar] [CrossRef] [PubMed]
- Kang, E.; Jeon, S.J.; Choi, S.-S. Uremic Encephalopathy with Atypical Magnetic Resonance Features on Diffusion-Weighted Images. Korean J. Radiol. 2012, 13, 808–811. [Google Scholar] [CrossRef] [PubMed][Green Version]
- Wang, H.-C.; Hsu, J.L.; Shen, Y.-Y. Acute Bilateral Basal Ganglia Lesions in Patients with Diabetic Uremia: An FDG-PET Study. Clin. Nucl. Med. 2004, 29, 475–478. [Google Scholar] [CrossRef] [PubMed]
- Gupta, N.; Maity, A. MRI Brain Findings in a Case of Uremic Encephalopathy; Case 18186; Eurorad: Stoke-on-Trent, UK, 2023. [Google Scholar]
- Lizarazo, D.A.; Lizarazo, J. Uremic Encephalopathy. Radiology 2023, 307, e221602. [Google Scholar] [CrossRef] [PubMed]
- Li, J.Y.; Yong, T.Y.; Sebben, R.; Khoo, E.; Disney, A.P. Bilateral Basal Ganglia Lesions in Patients with End-stage Diabetic Nephropathy (Brief Communication). Nephrology 2008, 13, 68–72. [Google Scholar] [CrossRef] [PubMed]
- Kumar, G.; Goyal, M.K. Lentiform Fork Sign: A Unique MRI Picture. Is Metabolic Acidosis Responsible? Clin. Neurol. Neurosurg. 2010, 112, 805–812. [Google Scholar] [CrossRef] [PubMed]
- Tatsumoto, N.; Fujisaki, K.; Nagae, H.; Ono-Fujisaki, A.; Kura-Nakamura, N.; Taniguchi, M.; Masutani, K.; Tsuruya, K.; Iida, M. Reversible Posterior Leukoencephalopathy Syndrome in a Patient with Severe Uremic Encephalopathy. Clin. Nephrol. 2010, 74, 154–158. [Google Scholar] [CrossRef] [PubMed]
- McKinney, A.M.; Short, J.; Truwit, C.L.; McKinney, Z.J.; Kozak, O.S.; SantaCruz, K.S.; Teksam, M. Posterior Reversible Encephalopathy Syndrome: Incidence of Atypical Regions of Involvement and Imaging Findings. Am. J. Roentgenol. 2007, 189, 904–912. [Google Scholar] [CrossRef] [PubMed]
- Casey, S.O.; Sampaio, R.C.; Michel, E.; Truwit, C.L. Posterior Reversible Encephalopathy Syndrome: Utility of Fluid-Attenuated Inversion Recovery MR Imaging in the Detection of Cortical and Subcortical Lesions. AJNR Am. J. Neuroradiol. 2000, 21, 1199–1206. [Google Scholar]
- Raman, R.; Devaramane, R.; Jagadish, G.M.; Chowdaiah, S. Various Imaging Manifestations of Posterior Reversible Encephalopathy Syndrome (PRES) on Magnetic Resonance Imaging (MRI). Pol. J. Radiol. 2017, 82, 64–70. [Google Scholar] [CrossRef] [PubMed]
- Kastrup, O.; Schlamann, M.; Moenninghoff, C.; Forsting, M.; Goericke, S. Posterior Reversible Encephalopathy Syndrome: The Spectrum of MR Imaging Patterns. Clin. Neuroradiol. 2015, 25, 161–171. [Google Scholar] [CrossRef] [PubMed]
- Bartynski, W.S.; Boardman, J.F. Distinct Imaging Patterns and Lesion Distribution in Posterior Reversible Encephalopathy Syndrome. AJNR Am. J. Neuroradiol. 2007, 28, 1320–1327. [Google Scholar] [CrossRef] [PubMed]
- Angel, M.J.; Chen, R.; Bryan Young, G. Metabolic Encephalopathies. Handb. Clin. Neurol. 2008, 90, 115–166. [Google Scholar]
- Spadoni, F.; Stefani, A.; Morello, M.; Lavaroni, F.; Giacomini, P.; Sancesario, G. Selective Vulnerability of Pallidal Neurons in the Early Phases of Manganese Intoxication. Exp. Brain Res. 2000, 135, 544–551. [Google Scholar] [CrossRef] [PubMed]
- Sharma, P.; Eesa, M.; Scott, J.N. Toxic and Acquired Metabolic Encephalopathies: MRI Appearance. AJR Am. J. Roentgenol. 2009, 193, 879–886. [Google Scholar] [CrossRef]
- Alquist, C.R.; McGoey, R.; Bastian, F.; Newman, W. Bilateral Globus Pallidus Lesions. J. La. State Med. Soc. 2012, 164, 145–146. [Google Scholar] [PubMed]
- Li, Y.; Gor, D.; Walicki, D.; Jenny, D.; Jones, D.; Barbour, P.; Castaldo, J. Spectrum and Potential Pathogenesis of Reversible Posterior Leukoencephalopathy Syndrome. J. Stroke Cerebrovasc. Dis. 2012, 21, 873–882. [Google Scholar] [CrossRef] [PubMed]
- Yanai, A.; Uchiyama, K.; Ishibashi, Y. Uremic Encephalopathy in Patients Undergoing Assisted Peritoneal Dialysis: A Case Series and Literature Review. CEN Case Rep. 2019, 8, 271–279. [Google Scholar] [CrossRef] [PubMed]


| Severity Level of Encephalopathy | eGFR | Clinical Manifestations |
|---|---|---|
| Early | 40 to 60 mL/min | Fatigue, anorexia, nausea, insomnia, restlessness, decreased attention span, cognitive and memory impairments, difficulty managing ideas, apathy |
| Mild | 30 to 39 mL/min | Similar to early stage but with increased severity; potential mild disorientation and subtle personality changes |
| Moderate | 15 to 29 mL/min | Severe cognitive dysfunction (affecting memory, perception, abstraction), disorientation, slurred speech, disturbances in sleep patterns, mild to moderate deterioration in consciousness, delirium |
| Severe | Less than 15 mL/min | Severe cognitive dysfunction, disorientation, slurred speech, highly disturbed sleep patterns, significant deterioration in level of consciousness, delirium, bizarre behavior, multifocal myoclonus, asterixis, convulsions, psychosis (including visual hallucinations and delusions), catatonia, stupor, and in extreme cases, coma |
| Authors | Year | Country | Aim/Rationale | Patients (n°) | Conclusions |
|---|---|---|---|---|---|
| Kim et al. [18] | 2016 | Republic of Korea | Describe MR imaging findings of UE and correlate them with clinical conditions | 10 | Lentiform fork sign is a reliable early diagnostic indicator; lesions can be cytotoxic and/or vasogenic and may resolve post-dialysis. |
| Wang et al. [19] | 2003 | Taiwan | Clarify the clinical spectrum and possible pathophysiology of UE with BG involvement | 6 | BG lesions in uremic patients are associated with acute movement disorders and are not uncommon. The pathophysiology remains unclear. |
| Lee et al. [20] | 2007 | Republic of Korea | Investigate acute bilateral BG lesions in diabetic uremic patients | 4 | Bilateral BG lesions are primarily vasogenic, with some foci of cytotoxic edema. Lesions and symptoms are reversible post-hemodialysis. |
| Wang et al. [21] | 1998 | Multiple | Report on acute and subacute extrapyramidal movement disorders in uremic patients with BG lesions | 3 | UE with BG lesions leads to movement disorders and is linked to hypoperfusion and toxin vulnerability of the BG. |
| Sina et al. [22] | 2022 | Iran | Investigate MRI findings for diagnosing UE and evaluate their diagnostic usefulness | 20 | MRI findings, including white matter involvement and cerebral atrophy, are critical for diagnosing UE, alongside clinical and laboratory analyses. |
Disclaimer/Publisher’s Note: The statements, opinions and data contained in all publications are solely those of the individual author(s) and contributor(s) and not of MDPI and/or the editor(s). MDPI and/or the editor(s) disclaim responsibility for any injury to people or property resulting from any ideas, methods, instructions or products referred to in the content. |
© 2024 by the authors. Licensee MDPI, Basel, Switzerland. This article is an open access article distributed under the terms and conditions of the Creative Commons Attribution (CC BY) license (https://creativecommons.org/licenses/by/4.0/).
Share and Cite
Greco, F.; Buoso, A.; Cea, L.; D’Andrea, V.; Bernetti, C.; Beomonte Zobel, B.; Mallio, C.A. Magnetic Resonance Imaging in Uremic Encephalopathy: Identifying Key Imaging Patterns and Clinical Correlations. J. Clin. Med. 2024, 13, 4092. https://doi.org/10.3390/jcm13144092
Greco F, Buoso A, Cea L, D’Andrea V, Bernetti C, Beomonte Zobel B, Mallio CA. Magnetic Resonance Imaging in Uremic Encephalopathy: Identifying Key Imaging Patterns and Clinical Correlations. Journal of Clinical Medicine. 2024; 13(14):4092. https://doi.org/10.3390/jcm13144092
Chicago/Turabian StyleGreco, Federico, Andrea Buoso, Laura Cea, Valerio D’Andrea, Caterina Bernetti, Bruno Beomonte Zobel, and Carlo Augusto Mallio. 2024. "Magnetic Resonance Imaging in Uremic Encephalopathy: Identifying Key Imaging Patterns and Clinical Correlations" Journal of Clinical Medicine 13, no. 14: 4092. https://doi.org/10.3390/jcm13144092
APA StyleGreco, F., Buoso, A., Cea, L., D’Andrea, V., Bernetti, C., Beomonte Zobel, B., & Mallio, C. A. (2024). Magnetic Resonance Imaging in Uremic Encephalopathy: Identifying Key Imaging Patterns and Clinical Correlations. Journal of Clinical Medicine, 13(14), 4092. https://doi.org/10.3390/jcm13144092

