Granulomatous Tubulointerstitial Nephritis in a Kidney Allograft: Treatment with Interleukin-6 Receptor Antagonist Stabilises Kidney Function
Abstract
1. Introduction
2. Methods
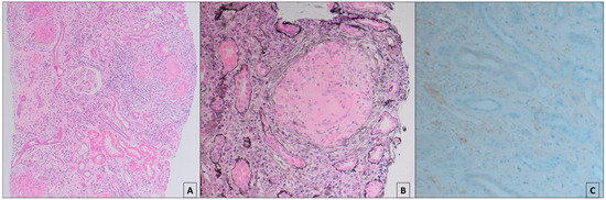
3. Case Presentation
4. Discussion and Literature Review
4.1. Interleukin-6 Pathway Modulation Is Powerfully Anti-Inflammatory
4.2. The Role of Tocilizumab in Kidney Transplantation
4.2.1. HLA-Desensitisation and Pre-Transplant Induction
4.2.2. Treatment of Allograft Rejection
4.2.3. Clazakizumab, a Novel Direct IL-6 Inhibitor
4.2.4. Prevention of Rejection
5. Conclusions
Author Contributions
Funding
Informed Consent Statement
Acknowledgments
Conflicts of Interest
References
- Roufosse, C.; Simmonds, N.; Clahsen-van Groningen, M.; Haas, M.; Henriksen, K.J.; Horsfield, C.; Loupy, A.; Mengel, M.; Perkowska-Ptasińska, A.; Rabant, M.; et al. A 2018 Reference Guide to the Banff Classification of Renal Allograft Pathology. Transplantation 2018, 102, 1795–1814. [Google Scholar] [CrossRef] [PubMed]
- Lane, T.; Williams, R.; Rowczenio, D.; Youngstein, T.; Trojer, H.; Pepper, R.; Brogan, P.; Hawkins, P.; Lachmann, H. A Decade of Anti-IL-1 Therapy in CAPS—A Spectrum of Efficacy in This Spectrum of Diseases. Pediatr. Rheumatol. 2015, 13, O65. [Google Scholar] [CrossRef][Green Version]
- Shen, S.Y.; Hall-Craggs, M.; Posner, J.N.; Shabazz, B. Recurrent Sarcoid Granulomatous Nephritis and Reactive Tuberculin Skin Test in a Renal Transplant Recipient. Am. J. Med. 1986, 80, 699–702. [Google Scholar] [CrossRef] [PubMed]
- Vargas, F.; Gedalia, A.; Craver, R.D.; Vehaskari, V.M. Recurrence of Granulomatous Interstitial Nephritis in Transplanted Kidney. Pediatr. Transplant. 2010, 14, e54–e57. [Google Scholar] [CrossRef] [PubMed]
- Gedalia, A.; Khan, T.A.; Shetty, A.K.; Dimitriades, V.R.; Espinoza, L.R. Childhood Sarcoidosis: Louisiana Experience. Clin. Rheumatol. 2016, 35, 1879–1884. [Google Scholar] [CrossRef] [PubMed]
- Lu, L.; Shen, M.; Jiang, D.; Li, Y.; Zheng, X.; Li, Y.; Li, Z.; Zhang, L.; Tang, J.; Guo, Y.; et al. Blau Syndrome with Good Reponses to Tocilizumab: A Case Report and Focused Literature Review. Semin. Arthritis Rheum. 2018, 47, 727–731. [Google Scholar] [CrossRef] [PubMed]
- Sharp, M.; Donnelly, S.C.; Moller, D.R. Tocilizumab in Sarcoidosis Patients Failing Steroid Sparing Therapies and Anti-TNF Agents. Respir. Med. X 2019, 1, 100004. [Google Scholar] [CrossRef] [PubMed]
- Choy, E.H.; De Benedetti, F.; Takeuchi, T.; Hashizume, M.; John, M.R.; Kishimoto, T. Translating IL-6 Biology into Effective Treatments. Nat. Rev. Rheumatol. 2020, 16, 335–345. [Google Scholar] [CrossRef]
- Miller, C.L.; Madsen, J.C. IL-6 Directed Therapy in Transplantation. Curr. Transpl. Rep. 2021, 8, 191–204. [Google Scholar] [CrossRef]
- Maeda, K.; Mehta, H.; Drevets, D.A.; Coggeshall, K.M. IL-6 Increases B-Cell IgG Production in a Feed-Forward Proinflammatory Mechanism to Skew Hematopoiesis and Elevate Myeloid Production. Blood 2010, 115, 4699–4706. [Google Scholar] [CrossRef]
- Arkatkar, T.; Du, S.W.; Jacobs, H.M.; Dam, E.M.; Hou, B.; Buckner, J.H.; Rawlings, D.J.; Jackson, S.W. B Cell–Derived IL-6 Initiates Spontaneous Germinal Center Formation during Systemic Autoimmunity. J. Exp. Med. 2017, 214, 3207–3217. [Google Scholar] [CrossRef] [PubMed]
- Shankar, A.; Sun, L.; Klein, B.E.K.; Lee, K.E.; Muntner, P.; Javier, F.N.; Tsai, M.Y.; Cruickshanks, K.J.; Schubert, C.R.; Brazy, P.C.; et al. Markers of Inflammation Predict the Long-Term Risk of Developing Chronic Kidney Disease: A Population-Based Cohort Study. Kidney Int. 2011, 80, 1231–1238. [Google Scholar] [CrossRef] [PubMed]
- Amdur, R.L.; Feldman, H.I.; Gupta, J.; Yang, W.; Kanetsky, P.; Shlipak, M.; Rahman, M.; Lash, J.P.; Townsend, R.R.; Ojo, A.; et al. Inflammation and Progression of CKD: The CRIC Study. Clin. J. Am. Soc. Nephrol. 2016, 11, 1546. [Google Scholar] [CrossRef] [PubMed]
- Zhang, W.; Wang, W.; Yu, H.; Zhang, Y.; Dai, Y.; Ning, C.; Tao, L.; Sun, H.; Kellems, R.E.; Blackburn, M.R.; et al. Interleukin 6 Underlies Angiotensin II–Induced Hypertension and Chronic Renal Damage. Hypertension 2012, 59, 136–144. [Google Scholar] [CrossRef] [PubMed]
- Segarra-Medrano, A.; Carnicer-Caceres, C.; Valtierra-Carmeno, N.; Agraz-Pamplona, I.; Ramos-Terrades, N.; Jatem Escalante, E.; Ostos-Roldan, E. Valor de Los Niveles Urinarios de Interleucina 6, Factor de Crecimiento Epidérmico, Proteína Quimioatractante de Monocitos de Tipo 1 y Factor de Crecimiento Transformante Β1 Para La Predicción de La Extensión de Las Lesiones de Fibrosis En Biopsias de Enfermos Con Nefropatía IgA. Nefrología 2017, 37, 531–538. [Google Scholar] [CrossRef] [PubMed]
- Nechemia-Arbely, Y.; Barkan, D.; Pizov, G.; Shriki, A.; Rose-John, S.; Galun, E.; Axelrod, J.H. IL-6/IL-6R Axis Plays a Critical Role in Acute Kidney Injury. J. Am. Soc. Nephrol. 2008, 19, 1106. [Google Scholar] [CrossRef] [PubMed]
- Fielding, C.A.; Jones, G.W.; McLoughlin, R.M.; McLeod, L.; Hammond, V.J.; Uceda, J.; Williams, A.S.; Lambie, M.; Foster, T.L.; Liao, C.-T.; et al. Interleukin-6 Signaling Drives Fibrosis in Unresolved Inflammation. Immunity 2014, 40, 40–50. [Google Scholar] [CrossRef] [PubMed]
- Vo, A.A.; Choi, J.; Kim, I.; Louie, S.; Cisneros, K.; Kahwaji, J.; Toyoda, M.; Ge, S.; Haas, M.; Puliyanda, D.; et al. A Phase I/II Trial of the Interleukin-6 Receptor–Specific Humanized Monoclonal (Tocilizumab) + Intravenous Immunoglobulin in Difficult to Desensitize Patients. Transplantation 2015, 99, 2356. [Google Scholar] [CrossRef] [PubMed]
- Daligault, M.; Bardy, B.; Noble, J.; Bourdin, A.; Masson, D.; Naciri Bennani, H.; Bugnazet, M.; Malvezzi, P.; Rostaing, L.; Jouve, T. Marginal Impact of Tocilizumab Monotherapy on Anti-HLA Alloantibodies in Highly Sensitized Kidney Transplant Candidates. Transplant. Direct 2021, 7, e690. [Google Scholar] [CrossRef]
- Moinuddin, I.; Miles, M.; Sterling, S.; Brown, A.; Kimball, P.; Gupta, G. Pre-Transplant Desensitization Utilizing Intravenous Immune-Globulin and Tocilizumab: A Single Center Experience. ATC Abstr. 2022, 22, 403. [Google Scholar]
- Jouve, T.; Daligault, M.; Noble, J.; Terrec, F.; Imerzoukene, F.; Dard, C.; Bardy, B.; Malvezzi, P.; Rostaing, L. Tocilizumab Evaluation in HLA-Desensitization before Kidney Transplantation as an Add-On Therapy to Apheresis: The TETRA Study. J. Clin. Med. 2023, 12, 424. [Google Scholar] [CrossRef] [PubMed]
- Abdullaev, S.; Sharapov, O. #3440 TOCILIZUMAB INDUCTION THERAPY IN KIDNEY TRANSPLANTATION. Nephrol. Dial. Transplant. 2023, 38, gfad063a_3440. [Google Scholar] [CrossRef]
- Choi, J.; Aubert, O.; Vo, A.; Loupy, A.; Haas, M.; Puliyanda, D.; Kim, I.; Louie, S.; Kang, A.; Peng, A.; et al. Assessment of Tocilizumab (Anti–Interleukin-6 Receptor Monoclonal) as a Potential Treatment for Chronic Antibody-Mediated Rejection and Transplant Glomerulopathy in HLA-Sensitized Renal Allograft Recipients. Am. J. Transplant. 2017, 17, 2381–2389. [Google Scholar] [CrossRef]
- Choi, J.; Huang, E.; Aubert, O.; Vo, A.; Peng, A.; Najjar, R.; Sethi, S.; Ammerman, N.; Lim, K.; Puliyanda, D.; et al. Long Term Outcomes Using Tocilizumab For The Treatment Of Chronic Antibody Mediated Rejection. ATC Abstr. 2019, 19, 454–455. [Google Scholar]
- Lavacca, A.; Presta, R.; Gai, C.; Mella, A.; Gallo, E.; Camussi, G.; Abbasciano, I.; Barreca, A.; Caorsi, C.; Fop, F.; et al. Early Effects of First-Line Treatment with Anti-Interleukin-6 Receptor Antibody Tocilizumab for Chronic Active Antibody-Mediated Rejection in Kidney Transplantation. Clin. Transpl. 2020, 34, e13908. [Google Scholar] [CrossRef] [PubMed]
- Pottebaum, A.A.; Venkatachalam, K.; Liu, C.; Brennan, D.C.; Murad, H.; Malone, A.F.; Alhamad, T. Efficacy and Safety of Tocilizumab in the Treatment of Acute Active Antibody-Mediated Rejection in Kidney Transplant Recipients. Transplant. Direct 2020, 6, e543. [Google Scholar] [CrossRef] [PubMed]
- Kumar, D.; Yakubu, I.; Safavi, F.; Levy, M.; Moinuddin, I.; Kimball, P.; Kamal, L.; King, A.; Massey, D.; Halloran, P.; et al. Lack of Histological and Molecular Signature Response to Tocilizumab in Kidney Transplants with Chronic Active Antibody Mediated Rejection: A Case Series. Kidney360 2020, 1, 663–670. [Google Scholar] [CrossRef] [PubMed]
- Massat, M.; Congy-Jolivet, N.; Hebral, A.-L.; Esposito, L.; Marion, O.; Delas, A.; Colombat, M.; Faguer, S.; Kamar, N.; Del Bello, A.; et al. Do Anti-IL-6R Blockers Have a Beneficial Effect in the Treatment of Antibody-Mediated Rejection Resistant to Standard Therapy after Kidney Transplantation? Am. J. Transpl. 2021, 21, 1641–1649. [Google Scholar] [CrossRef]
- Noble, J.; Giovannini, D.; Laamech, R.; Imerzoukene, F.; Janbon, B.; Marchesi, L.; Malvezzi, P.; Jouve, T.; Rostaing, L. Tocilizumab in the Treatment of Chronic Antibody-Mediated Rejection Post Kidney Transplantation: Clinical and Histological Monitoring. Front. Med. 2021, 8, 790547. [Google Scholar] [CrossRef]
- Sethi, S.; Peng, A.; Najjar, R.; Vo, A.; Jordan, S.C.; Huang, E. Infectious Complications in Tocilizumab-Treated Kidney Transplant Recipients. Transplantation 2021, 105, 1818. [Google Scholar] [CrossRef]
- Pearl, M.; Weng, P.L.; Chen, L.; Dokras, A.; Pizzo, H.; Garrison, J.; Butler, C.; Zhang, J.; Reed, E.F.; Kim, I.K.; et al. Long Term Tolerability and Clinical Outcomes Associated with Tocilizumab in the Treatment of Refractory Antibody Mediated Rejection (AMR) in Pediatric Renal Transplant Recipients. Clin. Transplant. 2022, 36, e14734. [Google Scholar] [CrossRef]
- Chamoun, B.; Sánchez-Sancho, P.; Torres, I.B.; Gabaldon, A.; Perelló, M.; Sellarés, J.; Moreso, F.; Serón, D. Tocilizumab in the Treatment of Active Chronic Humoral Rejection Resistant to Standard Therapy. Nefrologia 2022, 42, 578–584. [Google Scholar] [CrossRef]
- Khairallah, P.; Robbins-Juarez, S.; Patel, S.; Shah, V.; Toma, K.; Fernandez, H.; Dube, G.K.; King, K.; Mohan, S.; Husain, S.A.; et al. Tocilizumab for the Treatment of Chronic Antibody Mediated Rejection in Kidney Transplant Recipients. Clin. Transplant. 2023, 37, e14853. [Google Scholar] [CrossRef]
- Boonpheng, B.; De Castro, I.C.C.; Ng, Y.-H.; Blosser, C.; Bakthavatsalam, R.; Gimferrer, I.; Smith, K.; Leca, N. Tocilizumab for Treatment of Chronic Active Antibody-Mediated Rejection in Kidney Transplant Recipients. Clin. Transplant. 2023, 37, e14936. [Google Scholar] [CrossRef] [PubMed]
- Chandran, S.; Leung, J.; Hu, C.; Laszik, Z.G.; Tang, Q.; Vincenti, F.G. Interleukin-6 Blockade with Tocilizumab Increases Tregs and Reduces T Effector Cytokines in Renal Graft Inflammation: A Randomized Controlled Trial. Am. J. Transpl. 2021, 21, 2543–2554. [Google Scholar] [CrossRef]
- Lefaucheur, C.; Loupy, A.; Hill, G.S.; Andrade, J.; Nochy, D.; Antoine, C.; Gautreau, C.; Charron, D.; Glotz, D.; Suberbielle-Boissel, C. Preexisting Donor-Specific HLA Antibodies Predict Outcome in Kidney Transplantation. J. Am. Soc. Nephrol. 2010, 21, 1398–1406. [Google Scholar] [CrossRef]
- Streichart, L.; Felldin, M.; Ekberg, J.; Mjörnstedt, L.; Lindnér, P.; Lennerling, A.; Bröcker, V.; Mölne, J.; Holgersson, J.; Daenen, K.; et al. Tocilizumab in Chronic Active Antibody-Mediated Rejection: Rationale and Protocol of an in-Progress Randomized Controlled Open-Label Multi-Center Trial (INTERCEPT Study). Trials 2024, 25, 213. [Google Scholar] [CrossRef] [PubMed]
- Vo, A.A.; Huang, E.; Ammerman, N.; Toyoda, M.; Ge, S.; Haas, M.; Zhang, X.; Peng, A.; Najjar, R.; Williamson, S.; et al. Clazakizumab for Desensitization in Highly Sensitized Patients Awaiting Transplantation. Am. J. Transplant. 2022, 22, 1133–1144. [Google Scholar] [CrossRef] [PubMed]
- Doberer, K.; Duerr, M.; Halloran, P.F.; Eskandary, F.; Budde, K.; Regele, H.; Reeve, J.; Borski, A.; Kozakowski, N.; Reindl-Schwaighofer, R.; et al. A Randomized Clinical Trial of Anti-IL-6 Antibody Clazakizumab in Late Antibody-Mediated Kidney Transplant Rejection. J. Am. Soc. Nephrol. 2021, 32, 708–722. [Google Scholar] [CrossRef]
- Jordan, S.C.; Ammerman, N.; Choi, J.; Huang, E.; Najjar, R.; Peng, A.; Sethi, S.; Sandhu, R.; Atienza, J.; Toyoda, M.; et al. Evaluation of Clazakizumab (Anti-Interleukin-6) in Patients With Treatment-Resistant Chronic Active Antibody-Mediated Rejection of Kidney Allografts. Kidney Int. Rep. 2022, 7, 720–731. [Google Scholar] [CrossRef]
- Nickerson, P.W.; Böhmig, G.A.; Chadban, S.; Kumar, D.; Mannon, R.B.; van Gelder, T.; Lee, J.C.; Adler, S.; Chong, E.; Djamali, A. Clazakizumab for the Treatment of Chronic Active Antibody-Mediated Rejection (AMR) in Kidney Transplant Recipients: Phase 3 IMAGINE Study Rationale and Design. Trials 2022, 23, 1042. [Google Scholar] [CrossRef] [PubMed]


| Report | Number Receiving TCZ | Method Summary | Key Findings |
|---|---|---|---|
| TCZ as desensitisation therapy | |||
| Vo et al., 2015 [18] | 10 | Prospective (Phase I/II), single-centre (Cedars-Sinai Medical Center, CSMC). TCZ and IVIg after failure of desensitisation with IVIg + rituximab twice. | Reduction in DSA strength. In total, 5/10 patients subsequently transplanted within a mean of 8.1 months. No ABMR on 6-month biopsy. In total, 1/10 colonic perforation and 1/10 Bell’s palsy. |
| Daligault et al., 2021 [19] | 14 | Case series (Grenoble University Hospital, GUH). Tocilizumab monotherapy first-line for desensitization. | Statistically significant reduction in DSA strength, but only 1/14 below a threshold of MFI 10,000 set as a transplantable threshold. |
| Moinuddin et al., 2022 (abstract) [20] | 15 | Single-centre (Virginia Commonwealth University, VCU) case series. Cohort: calculated panel reactive antibody(cPRA) > 80%; no transplant 1 year after SOC. | Non-statistically significant decline in Class I and Class II HLA PRA. In total, 4/15 (27%) patients were transplanted at a median of 9 months after starting TCZ. |
| Jouve et al., 2023 [21] | 15 | Prospective, non-randomised, open-label single-centre (GUH). Cohort: cPRA > 80% or DSA against target recipient. Tocilizumab + SOC compared with SOC (rituximab and plasmapheresis, n = 26) | In total, 7/15 in a TCZ group were transplanted (SOC rate is not reported). TCZ group had higher MFI and more numerous antibody types at baseline. Among those receiving a transplant, graft function and survival similar in both cohorts. |
| TCZ as induction therapy | |||
| Abdullaev et al., 2023 (abstract) [22] | 114 | Single-centre (Nephrology Service Uzbekistan) randomised control, open-label study. Compared with basiliximab (n = 101); stratified by acute rejection risk. | Statistically and clinically significant reduction in the rate of acute rejection with TCZ at 6 and 12 months and among low-risk patients at 24 months. |
| TCZ as a treatment for ABMR | |||
| Choi et al., 2017 [23] | 36 | Single-centre (CSMC) case series. TCZ after failure of SOC. | Significantly reduced DSA. Significantly reduced g + ptc scores and C4d deposition (n = 9 with post-TCZ biopsy). Graft survival was 89% with a median follow-up of 3.26 years. The centre reported a comparable non-TCZ cABMR graft survival of approximately 50% at 2 years. |
| Choi et al., 2019 (abstract) [24] | 73 | Single-centre (CSMC) case series abstract. TCZ after failure of SOC. | Extension of above. Non-statistically significant immunodominant DSA decrease; 81% graft survival; projected 50% graft survival at 7 years. |
| Lavacca et al., 2020 [25] | 15 | Single-centre (Città della Salute e della Scienza Hospital, University of Turin) case series. TCZ monotherapy, first line. Median follow-up, 20.7 months. | Six-month protocol biopsy: reduction in microvascular inflammation; stabilisation of chronicity; reduction in mean DSA MFI.; reduced rate of eGFR decline; 1/15 graft loss. Mentions 13 additional patients on TCZ who had no graft failure with a reduction in DSA MFI. |
| Pottebaum et al., 2020 [26] | 7 | Single-centre (Barnes-Jewish Hospital, WA.) case series. TCZ + SOC for acute active AMR. | A >50% reduction in immunodominant DSA was seen in 4 patients; stabilisation of renal function decline; 2/7 graft loss; 2/7 adverse infectious events. |
| Kumar et al., 2020 [27] | 10 | Single-centre (VCU) case series. TCZ after failure of SOC. Twelve months post-TCZ compared with twelve months prior per patient. | No improvement in eGFR decline and worsening of chronicity on biopsy. Higher inflammation and chronicity scores at baseline than those of Choi et al. |
| Massat et al., 2021 [28] | 9 | Single-centre (HU Toulouse Rangueil) case-control study. TCZ after failure of SOC. Cohort included mixed rejection. Compared with 37 historical SOC cohorts. | Comparatively reduced DSA MFI in TCZ vs. SOC. Greater reduction in g and ti scores. Similar graft outcomes compared with a control group and a similar rate of infection. |
| Noble et al., 2021 [29] | 40 | Single-centre (GUH) case series. TCZ for cABMR; mix of first- and second-line indications. | No statistical difference between baseline and follow-up biopsies for IFTA, g, ptc, i, t, or v scores suggests stabilisation, though there was evidence of ongoing inflammation. However, this analysis excludes those who lost their graft—15% graft loss after one year. |
| Sethi et al. 2021 [30] | 148 | Single-centre (CSMC) case–control study focusing on infectious complications. | Lower incidence rate of infections observed in tocilizumab-treated patients compared with IVIG/rituximab-treated patients (463 infections/1000 patient-years versus 730 infections/1000 patient-years). |
| Pearl et al., 2022 [31] | 25 | Single-centre (CSMC) case series—paediatric cohort; median follow-up, 15.8 months. | Stabilisation of eGFR and chronicity scores on biopsy; DSA largely stable; 1/25 graft loss. |
| Chamoun et al., 2022 [32] | 5 | Single-centre (Hospital Universitari Vall d’Hebron, Universidad Autónoma de Barcelona) case series. TCZ after failure of SOC. | Two patients discontinued after first dose; no improvement in eGFR decline; no reduction of DSA intensity. |
| Khairallah et al., 2023 [33] | 38 | Single-centre (Columbia University Irving Medical Center) case series. At least 6 months follow-up compared with 3 months prior. | No change in DSA titres; reduced interstitial inflammation scores; reduction in the rate of eGFR decline compared with before treatment; 8/18 patients rejected soon after discontinuation; 32% developed infections and 39% leukopenia. |
| Boonpheng et al., 2023 [34] | 11 | Single-centre (University of Washington Medical Center, Seattle) case series. Median TCZ duration, 12 months. | No significant difference in DSA MFI (n = 6); stabilised eGFR and modestly reduced donor-derived cell-free DNA, suggesting resolving kidney damage. Two moderate/severe infections. |
| TCZ for subclinical inflammation | |||
| Chandran et al., 2021 [35] | 16 | Single-centre (University of California, San Francisco), randomised control trial for subclinical inflammation on protocol biopsy. Total of 17 in SOC group; 1 year follow-up. | Reduced inflammation scores (Banff ti scores) on repeat biopsy in the treatment arm and a change in T cell profiles towards regulatory T cell phenotype. |
Disclaimer/Publisher’s Note: The statements, opinions and data contained in all publications are solely those of the individual author(s) and contributor(s) and not of MDPI and/or the editor(s). MDPI and/or the editor(s) disclaim responsibility for any injury to people or property resulting from any ideas, methods, instructions or products referred to in the content. |
© 2024 by the authors. Licensee MDPI, Basel, Switzerland. This article is an open access article distributed under the terms and conditions of the Creative Commons Attribution (CC BY) license (https://creativecommons.org/licenses/by/4.0/).
Share and Cite
Doctor, G.T.; Dudreuilh, C.; Perera, R.; Dorling, A. Granulomatous Tubulointerstitial Nephritis in a Kidney Allograft: Treatment with Interleukin-6 Receptor Antagonist Stabilises Kidney Function. J. Clin. Med. 2024, 13, 3427. https://doi.org/10.3390/jcm13123427
Doctor GT, Dudreuilh C, Perera R, Dorling A. Granulomatous Tubulointerstitial Nephritis in a Kidney Allograft: Treatment with Interleukin-6 Receptor Antagonist Stabilises Kidney Function. Journal of Clinical Medicine. 2024; 13(12):3427. https://doi.org/10.3390/jcm13123427
Chicago/Turabian StyleDoctor, Gabriel T., Caroline Dudreuilh, Ranmith Perera, and Anthony Dorling. 2024. "Granulomatous Tubulointerstitial Nephritis in a Kidney Allograft: Treatment with Interleukin-6 Receptor Antagonist Stabilises Kidney Function" Journal of Clinical Medicine 13, no. 12: 3427. https://doi.org/10.3390/jcm13123427
APA StyleDoctor, G. T., Dudreuilh, C., Perera, R., & Dorling, A. (2024). Granulomatous Tubulointerstitial Nephritis in a Kidney Allograft: Treatment with Interleukin-6 Receptor Antagonist Stabilises Kidney Function. Journal of Clinical Medicine, 13(12), 3427. https://doi.org/10.3390/jcm13123427

