Abstract
Background/Objectives: De-escalation of axillary surgery is made possible by advancements in both neoadjuvant systemic therapy (NST) and in localisation technology for breast lesions. Magseed®, developed in 2013 by Dr. Michael Douk of Cambridge, United Kingdom, is a wire-free localisation technology that facilitates the localisation and retrieval of lymph nodes for staging. Targeted axillary dissection (TAD), which entails marked lymph node biopsy (MLNB) and sentinel lymph node biopsy (SLNB), has emerged as the preferred method to assess residual disease in post-NST node-positive patients. This systematic review and pooled analysis evaluate the performance of Magseed® in TAD. Methods: The search was carried out in PubMed and Google Scholar. An assessment of localisation, retrieval rates, concordance between MLNB and SLNB, and pathological complete response (pCR) in clinically node-positive patients post NST was undertaken. Results: Nine studies spanning 494 patients and 497 procedures were identified, with a 100% successful deployment rate, a 94.2% (468/497) [95% confidence interval (CI), 93.7–94.7] localisation rate, a 98.8% (491/497) retrieval rate, and a 68.8% (247/359) [95% CI 65.6–72.0] concordance rate. pCR was observed in 47.9% (220/459) ) [95% CI 43.3–52.6] of cases. Subgroup analysis of studies reporting the pathological status of MLNB and SLNB separately revealed an FNR of 4.2% for MLNB and 17.6% for SLNB (p = 0.0013). Mean duration of implantation was 37 days (range: 0–188). Conclusions: These findings highlight magnetic seed localisation’s efficacy in TAD for NST-treated node-positive patients, aiding in accurate axillary pCR identification and safe de-escalation of axillary surgery in excellent responders.
1. Introduction
Due to the significant morbidity associated with it, complete axillary lymph node dissection (ALND), in which a group of lymph nodes is removed from the axilla of a patient with breast cancer to assess the extent of cancer spread and to remove potentially cancerous lymph nodes for further examination, has largely been supplanted by the less-invasive sentinel lymph node biopsy (SLNB) as the gold standard for regional axillary staging in clinically node-negative breast cancer patients undergoing upfront surgery or staging the axilla in patients with cN0 breast cancer after neoadjuvant systemic therapy (NST) where chemotherapy, hormone therapy, or targeted therapy is given before surgery or other primary treatments [].
Recent trials, including After Mapping of the Axilla: Radiotherapy Or Surgery trial (AMAROS, 2023) [] and the American College of Surgeons Oncology Group Z0011 trial (ACOSOG Z0011, 2017) [], have shown that skipping ALND in patients with a positive SLNB does not impact overall survival (OS). These findings have sparked interest in broadening the scope of axillary surgery de-escalation to include patients with cN1 breast cancer who respond favourably to NST. However, in biopsy-proven node-positive patients undergoing NST, studies on SLNB have shown inconsistent rates of false negatives and identification []. Our recent meta-analysis (2016), encompassing over 3000 patients with breast cancer involving the axillary lymph nodes, revealed a false negative rate (FNR) of 13% after NST exceeding the safe threshold of 10% [].
The studies included in our meta-analysis were retrospective in nature, displayed significant heterogeneity, and lacked standardisation of protocols. The relatively high FNRs associated with SLNB post NST has been attributed to anatomical changes leading to altered lymphatic drainage, NST-induced fibrosis, fat necrosis, granulation tissue formation, or characteristics of the tumour itself. Hence, the subsequent logical progression was to investigate the potential integration of postoperative pathological evaluation of the biopsy-proven lymph node that had been tagged before NST. We have shown that incorporating the marked lymph node biopsy, whereby a biopsy-proven clipped node is marked with a localisation technique such as Magseed (MLNB) alongside SLNB in this context, is linked to an acceptably low FNR of 5.18% (95% CI: 3.41–7.54) [].
Until recently, axillary lymph node dissection (ALND) was the standard approach for managing the axilla in patients with clinically positive lymph nodes (cN+), irrespective of their response to neoadjuvant systemic therapy (NST) []. However, the landmark Z0011 trial [] demonstrated that early-stage breast cancer patients with low nodal burden on sentinel lymph node biopsy (SLNB) did not have inferior outcomes compared to those who underwent ALND. These findings do not support routine use of ALND in this population based on 10-year outcomes. Despite this, concerns have arisen regarding the oncological safety of SLNB due to its high false-negative rate (FNR) in patients initially cN+ rendered ypN0 post-NST. The FNR ranged between 11.9 and 14.2 higher than the accepted rate of 10% which is considered oncologically safe [,,,].
Pathological complete response (pCR) is defined as the absence of any residual invasive cancer in the breast and/or lymph nodes following NST. Achieving pCR in the breast often correlates with axillary pCR, prompting consideration for de-escalating ALND in responders to minimise morbidity and improve quality of life [,]. Particularly, locally advanced and biologically aggressive breast cancers such as triple-negative and HER2-positive subtypes exhibit high pCR rates post NST [].
To address the need for precise localisation of tumour-involved lymph nodes while minimising surgical invasiveness, novel wire-free technologies such as Magseed® have been developed. Magseed® is a nonradioactive ferromagnetic marker containing iron particles. A handheld magnetometer called Sentimag was developed specifically for this purpose. The Sentimag probe generates an alternating magnetic field that briefly magnetises the iron in Magseed®. The Sentimag probe detects the small magnetic signature produced by Magseed®. Measuring 5 × 1 mm in length, Magseed® can be deployed under mammography, ultrasound, or computed tomographic guidance using a preloaded sterile 18-gauge needle and can be detected within 4 cm depth from the skin’s surface [,]. It is used to mark breast lesions and/or lymph nodes preoperatively. Intraoperatively, the probe detects the seed placed in the lesion, accurately directing the surgeon to the lesion and facilitating the retrieval of the lesion for pathological assessment. However, challenges arise in localising biopsy-proven lymph nodes post NST, as they may normalise and become difficult to identify on imaging [,,]. A node containing the seed is termed a marked lymph node (MLN). In addition to magnetic seeds, other wire-free methods for marking pathological lymph nodes, such as iodine-125 (125I) seeds, electromagnetic reflectors, or radio-frequency tags can be combined with SLNB in an operative strategy termed targeted axillary dissection (TAD) in the hope to reduce the FNR associated with SLNB alone after NST for node-positive breast cancer [,].
While 125I radioactive seed localisation (RSL) is commonly used for axillary node localisation, its strict handling regulations and signal decay over time pose limitations []. In contrast, Magseed® offers advantages as a non-radioactive alternative, with no signal decay and being certified as safe for prolonged implantation by the Federal Drug Administration (FDA), allowing for pre-NST placement []. This systematic review assesses Magseed’s performance in TAD and its efficacy in patients undergoing NST for node-positive early breast cancer.
2. Materials and Methods
2.1. Literature Search
This study received approval from the multidisciplinary breast cancer board of the London Breast Institute. A comprehensive literature search was conducted using PubMed and Google Scholar databases up to February 2024. The search utilised the following keywords:
- [magnetic seed] OR [Magseed];
- [targeted axillary dissection] OR [TAD];
- [breast cancer];
- [neoadjuvant].
Additionally, bibliographies of relevant studies were examined for potential inclusion. A significance threshold of p < 0.05 was applied for statistical analyses.
2.2. Inclusion and Exclusion Criteria
Studies identified in the literature search were evaluated based on the following inclusion and exclusion criteria.
2.2.1. Inclusion Criteria
Studies were included if they met the following criteria:
- Retrospective or prospective cohort design;
- Investigation of the role of magnetic seeds in TAD in patients undergoing neoadjuvant systemic therapy (NST);
- Availability of data endpoints, including successful localisation and retrieval rate, SLNB-MLNB concordance rate, pathological complete response (pCR), and migration rate.
2.2.2. Exclusion Criteria
Studies meeting the following criteria were excluded:
- Manuscripts not available in English;
- Studies involving non-human subjects;
- Non-peer-reviewed studies;
- Studies with 10 or fewer eligible cases;
- Case reports.
2.2.3. Statistical Analysis
The statistical analysis software ‘STATA’ (STATA Corporation, College Station, TX, USA) was employed to assess heterogeneity and produce a forest plot for successful localisation endpoints. GraphPad software was used to determine 95% confidence intervals. MedCalc software was used to conduct a chi-square test.
Statistical results were considered significant if the p-value was less than 0.05.
3. Results
3.1. Literature Search Results
The search yielded 145 articles, of which 9 met the inclusion criteria, encompassing 494 patients (Table 1; Figure 1) [,,,,,,,,].

Table 1.
NST: neoadjuvant systemic therapy, pCR: pathological complete response, SLNB: sentinel lymph node biopsy, MLNB: marked lymph node biopsy.

Figure 1.
PRISMA flow diagram illustrating the inclusion and exclusion of studies.
3.2. Pooled Analysis
Nine studies involving 494 patients (497 procedures) met the inclusion criteria. The pooled average age was 53 years (range: 17–92). The pooled analysis revealed the following:
Successful localisation rate: 94.2% (468/497) [95% confidence interval (CI), 93.7–94.7];
Retrieval rate: 98.8% (491/497) [95% CI: 97.3–99.6];
Concordance rate between SLNB and MLNB: 68.8% (247/359) [95% CI 65.6–72.0]. Subgroup analysis of studies reporting the pathological status of MLNB and SLNB separately revealed an FNR of 4.2% for MLNB and 17.6% for SLNB (p = 0.0013; chi-square statistic).
pCR was observed in 47.9% of cases (220/459) [95% CI 43.3–52.6], with no reported migration or procedure-specific complications.
In one study, the Magseed was not retrieved, possibly lost during suction in the operating theatre. No significant artefact was observed on postoperative MRI [].
The successful deployment rate was 100%, but one patient required repeat deployment due to seed misplacement during ultrasound-guided localisation [].
In another study, localisation was compromised in two patients due to the inability to visualise the clip by ultrasound, and a technical difficulty led to malposition in one patient [].
The pooled average number of lymph nodes retrieved in the TAD procedure was 1.8 (range: 1–11).
The pooled average duration from magnetic seed deployment to surgery was 37 days (range: 0–188 days).
There was no significant heterogeneity among the studies analysed (I2 = 33%, p = 0.15). Figure 2 shows a forest plot of the pooled analysis for the successful localisation rate.

Figure 2.
Forest plot of successful localisation rate in the pooled analysis [,,,,,,,,].
4. Discussion
4.1. Performance of Magseed® in Targeted Axillary Dissection (TAD)
Magseed® technology, introduced into clinical practice in 2016, has undergone improvements to enhance user-friendliness and MRI compatibility, expanding its utility []. Initially utilised primarily for non-palpable breast lesions [], its acceptance for axillary applications has gradually increased. However, there remains limited literature on its efficacy in aiding TAD. Our analysis, encompassing 494 Magseed® TAD procedures, provides evidence of its performance since the publication of the first study by Greenwood et al. in 2019. The 100% successful deployment rate is facilitated by the small size of the seed (5 × 1 mm) and narrow bore of the introducer needle (18 gauge) [] (Figure 3).

Figure 3.
Specimen radiograph of a magnetic seed containing a lymph node harvested during TAD in a 65-year-old patient who received NST after the deployment of the seed (Magseed®).
Our analysis confirmed high successful localisation (94.2%) and retrieval rates (98.8%), indicating Magseed®’s excellent efficacy in aiding TAD. Notably, the successful localisation rate of 94.2% compares favourably with that reported in our previously pooled analysis (90%) encompassing various technologies and involving 1470 marked lymph nodes [].
Our analysis showed a limited concordance rate of 68.8% between the SLNB and MLNB, underscoring the need to include both components in TAD to accurately stage the axilla post NST. The FNR of the SLNB (17.6%) alone is aligned with previous studies and is above the acceptable threshold of 10% [].
The deployment of Magseed® pre NST demonstrated significantly higher success rates compared to post-NST deployment, attributed to technical challenges in localising treated lymph nodes post NST, as they can often shrink significantly and consequently are difficult to visualise []. The single-stage approach of deploying the magnetic seed at the time of biopsy is also more cost-effective. Magseed®’s approval for long-term use in soft tissue enables pre-NST deployment, streamlining the localisation process and avoiding additional patient visits. Importantly, successful localisation is crucial for accurate pathological assessment and subsequent treatment decisions. The low FNR of TAD compared with ALND underscores its potential oncological safety and its role in identifying patients responding favourably to NST.
4.2. Comparison of Wireless Technologies for Localisation
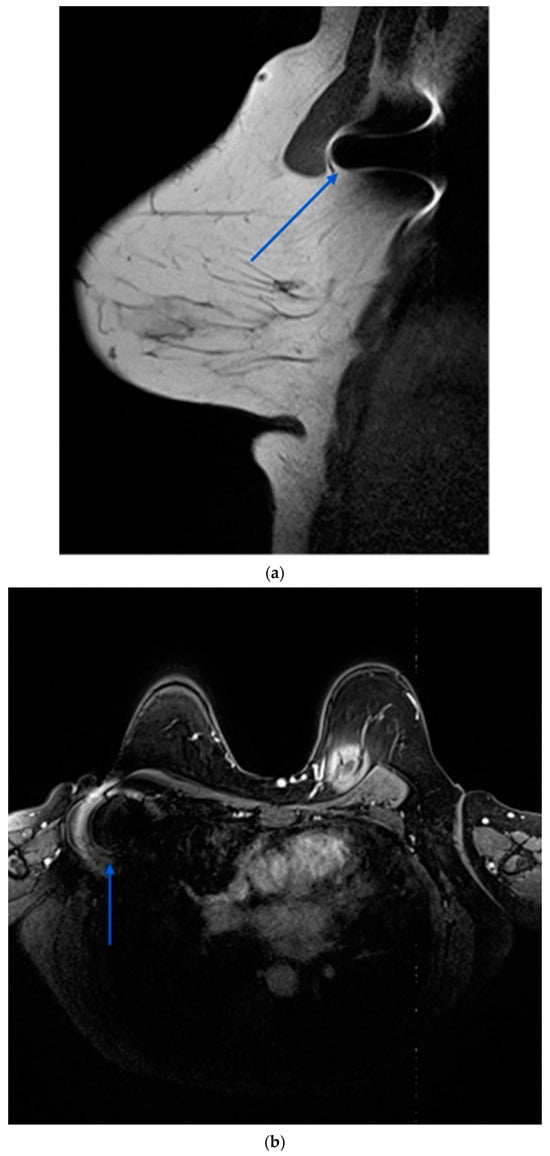
Several localisation technologies, including RSL, magnetic seeds (Magseed®), radio-frequency identification (RFID) tags, and SAVI SCOUT, offer advantages and limitations. Magseed®, a non-radioactive wireless marker, demonstrates high localisation rates and can be deployed at the time of biopsy, facilitating streamlined surgical procedures. However, it entails higher costs and may interfere with MRI interpretation due to the generation of significant void signals up to 4 cm (Figure 4) [,].

Figure 4.
Contrast enhanced MRI after completion of NST demonstrating ferromagnetic artefact (blue arrows) generated by a magnetic seed previously placed in a right pathological axillary lymph node. (a): sagittal view; (b): axial view.
RSL is cost-effective when compared to other wireless marking techniques but requires radioactive handling and strict regulatory compliance. Furthermore, the marker can be safely implanted for up to 7 days only, limiting the flexibility of surgical scheduling [,].
RFID tags offer wireless deployment but may suffer from migration and create interference artefacts in MRI scans [].
SAVI SCOUT, another non-radioactive wireless option, provides accurate localisation but is larger than Magseed® and lacks flexibility in marker adjustment post deployment [].
A prominent limitation of the Magseed® system would be the requirement to remove all metal instruments from the surgical field during the use of the Sentimag probe. Furthermore, the ferromagnetic seeds interfere with MRI creating significant artefacts that can compromise the assessment of response to NST in both the axilla and the lateral aspect of the breast [,]. Additional drawbacks of this technology involve the necessity for frequent recalibration of the Sentimag due to interference from paramagnetic equipment, as well as its limited depth for accurate detection, which extends only up to 30 mm.
Table 2 summaries the features of the main wire-free technologies.

Table 2.
Comparison of wireless technologies.
4.3. Imaging Modalities
While imaging modalities play a crucial role in BC diagnosis and staging, their efficacy in assessing residual axillary lymph node disease post NST is limited. Current non-invasive imaging modalities exhibit suboptimal accuracy in detecting residual disease, highlighting the necessity for axillary procedures post NST. A recent meta-analysis studying the sensitivity, specificity, positive predictive value (PPV), and negative predictive value (NPV) of current modalities, including ultrasound, MRI, and 18F-FDG PET-CT, found values considerably below those for surgical biopsy procedures [].
Some new modalities show promise. De Mooij et al. reported on a pilot study exploring the potential role of hybrid PET-MRI in predicting pCR preoperatively and observed a PPV of 100% and NPV of 67%. The NPV rose to 90% after excluding clinically inert micro-metastases [].
4.4. The Role of Artificial Intelligence (AI)
The integration of AI into imaging modalities is currently a very active area of development in the treatment of breast cancer. Computer-assisted detection (CAD) has been approved for use in the screening and diagnosis of breast cancer since 1998 [,], and has achieved an uptake of 92% in US centres []. However, CAD has been associated with added costs to imaging and high false-positive rates in reading mammograms, which has caused controversy regarding its utility []. More recently, deep learning and convolutional neural networks (CNNs) have reignited the interest in the development of AI tools to assist in imaging []. As of 2022, nine AI products have received FDA approval for use in breast screening [].
Imaging-related AI tools either assist with workflow or assist with detection. Li et al. reported using an AI-assisted diagnosis system with 18F-FDG PET-CT in 407 patients with breast cancer. They found that the AI tool increased clinician sensitivity by 2–4% []. Tahmasebi et al. studied the performance of three AI models powered by AutoML (Alphabet Inc., Mountain View, CA, USA) on a set of 64 ultrasound scans of patient’s axillae and compared their performance with that of three radiologists. They found that the performance of human radiologists and the AI models was comparable, with higher sensitivity for the human assessors, and higher specificity for the AI models []. Ge et al. tested an AI-enabled workflow to generate personalised ultrasound reports for breast patients and trained it on 4809 patients. They found it increased physicians’ work efficiency by 90% []. Zhang et al. described an AI assistant that increased the efficiency of annotating breast MRIs by a factor of 20 [].
The development of AI tools is becoming an area of rapid development in the current era which will need to be revisited often.
4.5. Oncological Safety of Targeted Axillary Dissection (TAD)
One of the predominant trends in modern oncological practice has been the incremental de-escalation of surgical treatment of breast cancer. Modified radical mastectomy has given way to wide local excision as the preferred surgical approach towards the primary tumour in early breast cancer []. Similarly, SLNB represents a significant de-escalation in the approach to axillary staging and treatment of axillary disease when compared to the gold-standard practice of the past [,]. This has all been possible because of evidence of the safety of de-escalation furnished by multiple seminal clinical trials [].
This trend towards de-escalation has continued in more niche clinical scenarios, such the treatment of axillary disease in node-positive patients after NST. In terms of survival, currently available evidence contends that there is no difference between SLNB and ALND after the completion of NST [,]. However, there are concerns regarding the reliability of SLNB as a staging modality in node-positive patients who undergo NST. As per a systematic review by El Haj et al., the FNR of such an SLNB could be as high as 13% []. Indeed, it was such concerns which lead to the development of TAD, in which SLNB is combined with MLNB. In their initial description, Caudle et al. reported an FNR of 2% for TAD [].
Since the original description of the procedure in 2016 [], evidence of the oncological safety of TAD has been gradually accumulating. Kuemmel et al. reported a prospective study including 199 patients comparing survival in patients undergoing TAD alone and TAD combined with ALND. After 43 months of follow-up, similar recurrence and survival was seen in both groups if at least three nodes were harvested in TAD []. Similarly, Wu et al., while reporting on a prospective registry study comparing TAD and ALND, found similar outcomes in both groups in terms of survival and disease recurrence [].
A further piece of evidence in favour of de-escalation of axillary surgery is the recently presented 5-year data of the NSABP B-51 trial, which included patients who received NST for cN1 disease and were down-staged to ypN0 and compared outcomes in patients who received regional nodal irradiation (RNI) with those who did not. The data presented at the 2023 San Antonio Breast Cancer Symposium by the trial authors suggest that RNI could be safely omitted in such cases []. When taken with the conclusions of the AMOROS trial, which found similar survival outcomes in patients undergoing ALND and RNI [], a robust case could be made for de-escalation of axillary surgery in patients who respond well to NST. In patients with N2-3 disease, a recent prospective registry study involving 218 patients undergoing NST and TAD according to the MARI protocol showed that omission of ALND in selected patients who attained pCR and received radiation treatment was associated with excellent oncologic outcomes after a median follow-up of 44 months. The next crucial step is to carry out trials that would involve replicating the B-51 trial to evaluate whether RNI can also be safely omitted in addition to ALND in pCR cases within the context of cN2-3 disease []. It should be noted that although both studies were presented at international conferences and their abstracts have been published, the peer-reviewed full articles have not been published yet.
The adoption of TAD has been increasing of late. A survey conducted by the Northeastern German Society of Gynaecological Oncology (NOGGO) to find out the attitudes of surgeons/radiologists towards TAD revealed widespread utilisation of TAD in patients converting to ycN0 post NST. However, the survey also highlighted a heterogeneous approach to axillary management, suggesting the need for comparative evaluations of different marking techniques []. A total of 116 physicians completed the survey. TAD was used at the departments of 82% of respondents and was offered to all cN+ converting to ycN0 by 57% and only to selected patients. The most common marking was clip or coil. The survey highlights the need for further studies such as this one to introduce more physicians to these novel marking techniques. Furthermore, TAD is cited as a superior alternative to SLNB in post-NST patients who presented with node-positive disease in the 2022 NCCN Clinical Practice Guidelines for breast cancer []
4.6. Limitations
This study collates data from the current literature regarding the use of Magseed® in TAD and is a useful starting point for discussions regarding the use of this novel technology in this clinical role. However, the limitations of this study have to be acknowledged. At this early stage, the available studies are limited, and the data used in this study include retrospective as well as prospective studies. Some of the studies used have been carried out in a single institution and can only reflect on the learning experience of that institution. In most of the studies used, there was no survey on patient satisfaction or economic analysis. Hopefully, the availability of more prospective studies in the future would enable more complete systemic reviews from which conclusion could be drawn with more confidence.
Although the data presented relate to Magseed®, it is worth noting that there are other systems that utilise magnetic seeds for localisation, such as the magnetic marker localisation (MaMaLoc, Sirius Medical Systems B.V., Eindhoven., The Netherlands) system. However, there are currently no data available regarding the use of MaMaLoc in TAD [].
5. Conclusions
Magnetic seed localisation demonstrates efficiency in TAD for NST-treated patients with positive nodes, facilitating accurate axillary pCR identification and safe omission of ALND in terms of survival and decreased associated morbidity in strong responders. Furthermore, accurate cancer staging after NST can facilitate risk-adapted treatment optimisation. The substantial MRI artefacts generated by magnetic seeds represent a significant limitation in the context of an optimal TAD approach.
Author Contributions
Conceptualisation, K.M. (Kefah Mokbel) and M.A.; methodology, K.M. (Kinan Mokbel) and M.A.; software, U.W.; validation, K.M. (Kefah Mokbel) and M.A.; formal analysis, K.M. (Kefah Mokbel) and K.M. (Kinan Mokbel); investigation, U.W.; resources, M.A.; data curation, U.W.; writing—original draft preparation, U.W.; drafting and editing, M.A., R.A.S. and J.V.; data extraction, K.M. (Kefah Mokbel) and M.A.; supervision, K.M. (Kefah Mokbel); project administration, K.M. (Kefah Mokbel) and M.A. All authors have read and agreed to the published version of the manuscript.
Funding
This research received no external funding.
Institutional Review Board Statement
This study was approved by the Chair of the Multidisciplinary Breast Cancer board of The London Breast Institute (approval code: MS310324; approval date: 15/3/2024).
Informed Consent Statement
Patients provided consent for the use of anonymised medical images for illustration purposes.
Data Availability Statement
The datasets generated in this study are publicly available in this open access publication without any restrictions.
Acknowledgments
The lead author (Kefah Mokbel) expresses his gratitude to Jocelyn Rosenberg and her late husband, Michael Rosenberg, for their support of his research program.
Conflicts of Interest
Kefah Mokbel has received honoraria for offering academic and clinical advice to Merit Medical and Q Medical and Sebbin corporations. Other authors declare no conflict of interest. Merit Medical had no role in the design of this study, collection and interpretation of data, or the decision to proceed with the publication.
References
- Mansel, R.E.; Fallowfield, L.; Kissin, M.; Goyal, A.; Newcombe, R.G.; Dixon, J.M.; Yiangou, C.; Horgan, K.; Bundred, N.; Monypenny, I.; et al. Randomized multicenter trial of sentinel node biopsy versus standard axillary treatment in operable breast cancer: The ALMANAC Trial. J. Natl. Cancer Inst. 2006, 98, 599–609. [Google Scholar] [CrossRef] [PubMed]
- Bartels, S.A.L.; Donker, M.; Poncet, C.; Sauve, N.; Straver, M.E.; van de Velde, C.J.H.; Mansel, R.E.; Blanken, C.; Orzalesi, L.; Klinkenbijl, J.H.G.; et al. Radiotherapy or Surgery of the Axilla After a Positive Sentinel Node in Breast Cancer: 10-Year Results of the Randomized Controlled EORTC 10981-22023 AMAROS Trial. J. Clin. Oncol. 2023, 41, 2159–2165. [Google Scholar] [CrossRef] [PubMed]
- Giuliano, A.E.; Ballman, K.V.; McCall, L.; Beitsch, P.D.; Brennan, M.B.; Kelemen, P.R.; Ollila, D.W.; Hansen, N.M.; Whitworth, P.W.; Blumencranz, P.W.; et al. Effect of Axillary Dissection vs No Axillary Dissection on 10-Year Overall Survival Among Women With Invasive Breast Cancer and Sentinel Node Metastasis: The ACOSOG Z0011 (Alliance) Randomized Clinical Trial. JAMA 2017, 318, 918–926. [Google Scholar] [CrossRef] [PubMed]
- El Hage Chehade, H.; Headon, H.; El Tokhy, O.; Heeney, J.; Kasem, A.; Mokbel, K. Is sentinel lymph node biopsy a viable alternative to complete axillary dissection following neoadjuvant chemotherapy in women with node-positive breast cancer at diagnosis? An updated meta-analysis involving 3398 patients. Am. J. Surg. 2016, 212, 969–981. [Google Scholar] [CrossRef] [PubMed]
- Swarnkar, P.K.; Tayeh, S.; Michell, M.J.; Mokbel, K. The Evolving Role of Marked Lymph Node Biopsy (MLNB) and Targeted Axillary Dissection (TAD) after Neoadjuvant Chemotherapy (NACT) for Node-Positive Breast Cancer: Systematic Review and Pooled Analysis. Cancers 2021, 13, 1539. [Google Scholar] [CrossRef] [PubMed]
- Kantor, O.; Sipsy, L.M.; Yao, K.; James, T.A. A Predictive Model for Axillary Node Pathologic Complete Response after Neoadjuvant Chemotherapy for Breast Cancer. Ann. Surg. Oncol. 2018, 25, 1304–1311. [Google Scholar] [CrossRef]
- Langer, I.; Guller, U.; Berclaz, G.; Koechli, O.R.; Schaer, G.; Fehr, M.K.; Hess, T.; Oertli, D.; Bronz, L.; Schnarwyler, B.; et al. Morbidity of sentinel lymph node biopsy (SLN) alone versus SLN and completion axillary lymph node dissection after breast cancer surgery: A prospective Swiss multicenter study on 659 patients. Ann. Surg. 2007, 245, 452–461. [Google Scholar] [CrossRef]
- Murphy, B.L.; Day, C.N.; Hoskin, T.L.; Habermann, E.B.; Boughey, J.C. Neoadjuvant Chemotherapy Use in Breast Cancer is Greatest in Excellent Responders: Triple-Negative and HER2+ Subtypes. Ann. Surg. Oncol. 2018, 25, 2241–2248. [Google Scholar] [CrossRef]
- Cheang, E.; Ha, R.; Thornton, C.M.; Mango, V.L. Innovations in image-guided preoperative breast lesion localization. Br. J. Radiol. 2018, 91, 20170740. [Google Scholar] [CrossRef]
- Price, E.R.; Khoury, A.L.; Esserman, L.J.; Joe, B.N.; Alvarado, M.D. Initial Clinical Experience With an Inducible Magnetic Seed System for Preoperative Breast Lesion Localization. AJR Am. J. Roentgenol. 2018, 210, 913–917. [Google Scholar] [CrossRef]
- Nguyen, T.T.; Hieken, T.J.; Glazebrook, K.N.; Boughey, J.C. Localizing the Clipped Node in Patients with Node-Positive Breast Cancer Treated with Neoadjuvant Chemotherapy: Early Learning Experience and Challenges. Ann. Surg. Oncol. 2017, 24, 3011–3016. [Google Scholar] [CrossRef] [PubMed]
- Man, V.; Kwong, A. Different strategies in marking axillary lymph nodes in breast cancer patients undergoing neoadjuvant medical treatment: A systematic review. Breast Cancer Res. Treat. 2021, 186, 607–615. [Google Scholar] [CrossRef] [PubMed]
- Caudle, A.S.; Yang, W.T.; Krishnamurthy, S.; Mittendorf, E.A.; Black, D.M.; Gilcrease, M.Z.; Bedrosian, I.; Hobbs, B.P.; DeSnyder, S.M.; Hwang, R.F.; et al. Improved Axillary Evaluation Following Neoadjuvant Therapy for Patients With Node-Positive Breast Cancer Using Selective Evaluation of Clipped Nodes: Implementation of Targeted Axillary Dissection. J. Clin. Oncol. 2016, 34, 1072–1078. [Google Scholar] [CrossRef] [PubMed]
- Barry, P.A.; Harborough, K.; Sinnett, V.; Heeney, A.; St John, E.R.; Gagliardi, T.; Bhaludin, B.N.; Downey, K.; Pope, R.; O’Connell, R.L.; et al. Clinical utility of axillary nodal markers in breast cancer. Eur. J. Surg. Oncol. 2023, 49, 709–715. [Google Scholar] [CrossRef] [PubMed]
- Zatecky, J.; Coufal, O.; Zapletal, O.; Kubala, O.; Kepicova, M.; Faridova, A.; Raus, K.; Gatek, J.; Kosac, P.; Peteja, M. Ideal marker for targeted axillary dissection (IMTAD): A prospective multicentre trial. World J. Surg. Oncol. 2023, 21, 252. [Google Scholar] [CrossRef] [PubMed]
- Martinez, M.; Jimenez, S.; Guzman, F.; Fernandez, M.; Arizaga, E.; Sanz, C. Evaluation of Axillary Lymph Node Marking with Magseed(R) before and after Neoadjuvant Systemic Therapy in Breast Cancer Patients: MAGNET Study. Breast J. 2022, 2022, 6111907. [Google Scholar] [CrossRef] [PubMed]
- Reitsamer, R.; Peintinger, F.; Forsthuber, E.; Sir, A. The applicability of Magseed(R) for targeted axillary dissection in breast cancer patients treated with neoadjuvant chemotherapy. Breast 2021, 57, 113–117. [Google Scholar] [CrossRef] [PubMed]
- Simons, J.M.; Scoggins, M.E.; Kuerer, H.M.; Krishnamurthy, S.; Yang, W.T.; Sahin, A.A.; Shen, Y.; Lin, H.; Bedrosian, I.; Mittendorf, E.A.; et al. Prospective Registry Trial Assessing the Use of Magnetic Seeds to Locate Clipped Nodes After Neoadjuvant Chemotherapy for Breast Cancer Patients. Ann. Surg. Oncol. 2021, 28, 4277–4283. [Google Scholar] [CrossRef] [PubMed]
- Miller, M.E.; Patil, N.; Li, P.; Freyvogel, M.; Greenwalt, I.; Rock, L.; Simpson, A.; Teresczuk, M.; Carlisle, S.; Penuela, M.; et al. Hospital System Adoption of Magnetic Seeds for Wireless Breast and Lymph Node Localization. Ann. Surg. Oncol. 2021, 28, 3223–3229. [Google Scholar] [CrossRef]
- Mariscal Martinez, A.; Vives Rosello, I.; Salazar Gomez, A.; Catanese, A.; Perez Molina, M.; Sola Suarez, M.; Pascual Miguel, I.; Blay Aulina, L.; Rios Gozalvez, C.; Julian Ibanez, J.F.; et al. Advantages of preoperative localization and surgical resection of metastatic axillary lymph nodes using magnetic seeds after neoadjuvant chemotherapy in breast cancer. Surg. Oncol. 2021, 36, 28–33. [Google Scholar] [CrossRef]
- Laws, A.; Dillon, K.; Kelly, B.N.; Kantor, O.; Hughes, K.S.; Gadd, M.A.; Smith, B.L.; Lamb, L.R.; Specht, M. Node-Positive Patients Treated with Neoadjuvant Chemotherapy Can Be Spared Axillary Lymph Node Dissection with Wireless Non-Radioactive Localizers. Ann. Surg. Oncol. 2020, 27, 4819–4827. [Google Scholar] [CrossRef] [PubMed]
- Greenwood, H.I.; Wong, J.M.; Mukhtar, R.A.; Alvarado, M.D.; Price, E.R. Feasibility of Magnetic Seeds for Preoperative Localization of Axillary Lymph Nodes in Breast Cancer Treatment. AJR Am. J. Roentgenol. 2019, 213, 953–957. [Google Scholar] [CrossRef] [PubMed]
- Gera, R.; Tayeh, S.; Al-Reefy, S.; Mokbel, K. Evolving Role of Magseed in Wireless Localization of Breast Lesions: Systematic Review and Pooled Analysis of 1559 Procedures. Anticancer. Res. 2020, 40, 1809–1815. [Google Scholar] [CrossRef] [PubMed]
- Tayeh, S.; Gera, R.; Perry, N.; Michell, M.; Malhotra, A.; Mokbel, K. The Use of Magnetic Seeds and Radiofrequency Identifier Tags in Breast Surgery for Non-palpable Lesions. Anticancer. Res. 2020, 40, 315–321. [Google Scholar] [CrossRef] [PubMed]
- Langhans, L.; Tvedskov, T.F.; Klausen, T.L.; Jensen, M.B.; Talman, M.L.; Vejborg, I.; Benian, C.; Roslind, A.; Hermansen, J.; Oturai, P.S.; et al. Radioactive Seed Localization or Wire-guided Localization of Nonpalpable Invasive and In Situ Breast Cancer: A Randomized, Multicenter, Open-label Trial. Ann. Surg. 2017, 266, 29–35. [Google Scholar] [CrossRef] [PubMed]
- Munck, F.; Andersen, I.S.; Vejborg, I.; Gerlach, M.K.; Lanng, C.; Kroman, N.T.; Tvedskov, T.H.F. Targeted Axillary Dissection with (125)I Seed Placement Before Neoadjuvant Chemotherapy in a Danish Multicenter Cohort. Ann. Surg. Oncol. 2023, 30, 4135–4142. [Google Scholar] [CrossRef] [PubMed]
- Wazir, U.; Tayeh, S.; Perry, N.; Michell, M.; Malhotra, A.; Mokbel, K. Wireless Breast Localization Using Radio-frequency Identification Tags: The First Reported European Experience in Breast Cancer. In Vivo 2020, 34, 233–238. [Google Scholar] [CrossRef] [PubMed]
- Tayeh, S.; Muktar, S.; Heeney, J.; Michell, M.J.; Perry, N.; Suaris, T.; Evans, D.; Malhotra, A.; Mokbel, K. Reflector-guided Localization of Non-palpable Breast Lesions: The First Reported European Evaluation of the SAVI SCOUT(R) System. Anticancer. Res. 2020, 40, 3915–3924. [Google Scholar] [CrossRef]
- Hartmann, S.; Banys-Paluchowski, M.; Stickeler, E.; de Boniface, J.; Gentilini, O.D.; Kontos, M.; Seitz, S.; Kaltenecker, G.; Warnberg, F.; Zetterlund, L.H.; et al. Applicability of magnetic seeds for target lymph node biopsy after neoadjuvant chemotherapy in initially node-positive breast cancer patients: Data from the AXSANA study. Breast Cancer Res. Treat. 2023, 202, 497–504. [Google Scholar] [CrossRef]
- Friedewald, S.M. (Ed.) Breast Imaging, An Issue of Radiologic Clinics of North America; Elsevier: Philadelphia PA, USA, 2017. [Google Scholar]
- Mango, V.; Ha, R.; Gomberawalla, A.; Wynn, R.; Feldman, S. Evaluation of the SAVI SCOUT Surgical Guidance System for Localization and Excision of Nonpalpable Breast Lesions: A Feasibility Study. AJR Am. J. Roentgenol. 2016, 207, W69–W72. [Google Scholar] [CrossRef]
- Harvey, J.R.; Lim, Y.; Murphy, J.; Howe, M.; Morris, J.; Goyal, A.; Maxwell, A.J. Safety and feasibility of breast lesion localization using magnetic seeds (Magseed): A multi-centre, open-label cohort study. Breast Cancer Res. Treat. 2018, 169, 531–536. [Google Scholar] [CrossRef]
- Hayes, M.K. Update on Preoperative Breast Localization. Radiol. Clin. N. Am. 2017, 55, 591–603. [Google Scholar] [CrossRef]
- Samiei, S.; de Mooij, C.M.; Lobbes, M.B.I.; Keymeulen, K.; van Nijnatten, T.J.A.; Smidt, M.L. Diagnostic Performance of Noninvasive Imaging for Assessment of Axillary Response After Neoadjuvant Systemic Therapy in Clinically Node-positive Breast Cancer: A Systematic Review and Meta-analysis. Ann. Surg. 2021, 273, 694–700. [Google Scholar] [CrossRef]
- de Mooij, C.M.; Samiei, S.; Mitea, C.; Lobbes, M.B.I.; Kooreman, L.F.S.; Heuts, E.M.; Beets-Tan, R.G.H.; van Nijnatten, T.J.A.; Smidt, M.L. Axillary lymph node response to neoadjuvant systemic therapy with dedicated axillary hybrid (18)F-FDG PET/MRI in clinically node-positive breast cancer patients: A pilot study. Clin. Radiol. 2022, 77, e732–e740. [Google Scholar] [CrossRef]
- Potnis, K.C.; Ross, J.S.; Aneja, S.; Gross, C.P.; Richman, I.B. Artificial Intelligence in Breast Cancer Screening: Evaluation of FDA Device Regulation and Future Recommendations. JAMA Intern. Med. 2022, 182, 1306–1312. [Google Scholar] [CrossRef] [PubMed]
- U.S. Food and Drug Administration. Premarket Approval (PMA): M1000 IMAGECHECKER; U.S. Food and Drug Administration: Silver Spring, MD, USA, 1998.
- Keen, J.D.; Keen, J.M.; Keen, J.E. Utilization of Computer-Aided Detection for Digital Screening Mammography in the United States, 2008 to 2016. J. Am. Coll. Radiol. 2018, 15, 44–48. [Google Scholar] [CrossRef] [PubMed]
- Muralidhar, G.S.; Haygood, T.M.; Stephens, T.W.; Whitman, G.J.; Bovik, A.C.; Markey, M.K. Computer-aided detection of breast cancer—Have all bases been covered? Breast Cancer 2008, 2, 5–9. [Google Scholar] [CrossRef]
- Soffer, S.; Ben-Cohen, A.; Shimon, O.; Amitai, M.M.; Greenspan, H.; Klang, E. Convolutional Neural Networks for Radiologic Images: A Radiologist’s Guide. Radiology 2019, 290, 590–606. [Google Scholar] [CrossRef] [PubMed]
- Li, Z.; Kitajima, K.; Hirata, K.; Togo, R.; Takenaka, J.; Miyoshi, Y.; Kudo, K.; Ogawa, T.; Haseyama, M. Preliminary study of AI-assisted diagnosis using FDG-PET/CT for axillary lymph node metastasis in patients with breast cancer. EJNMMI Res. 2021, 11, 10. [Google Scholar] [CrossRef]
- Tahmasebi, A.; Qu, E.; Sevrukov, A.; Liu, J.B.; Wang, S.; Lyshchik, A.; Yu, J.; Eisenbrey, J.R. Assessment of Axillary Lymph Nodes for Metastasis on Ultrasound Using Artificial Intelligence. Ultrason. Imaging 2021, 43, 329–336. [Google Scholar] [CrossRef]
- Ge, S.; Ye, Q.; Xie, W.; Sun, D.; Zhang, H.; Zhou, X.; Yuan, K. AI-assisted Method for Efficiently Generating Breast Ultrasound Screening Reports. Curr. Med. Imaging 2023, 19, 149–157. [Google Scholar] [CrossRef] [PubMed]
- Zhang, J.; Cui, Z.; Shi, Z.; Jiang, Y.; Zhang, Z.; Dai, X.; Yang, Z.; Gu, Y.; Zhou, L.; Han, C.; et al. A robust and efficient AI assistant for breast tumor segmentation from DCE-MRI via a spatial-temporal framework. Patterns 2023, 4, 100826. [Google Scholar] [CrossRef]
- Fisher, B.; Anderson, S.; Bryant, J.; Margolese, R.G.; Deutsch, M.; Fisher, E.R.; Jeong, J.H.; Wolmark, N. Twenty-year follow-up of a randomized trial comparing total mastectomy, lumpectomy, and lumpectomy plus irradiation for the treatment of invasive breast cancer. N. Engl. J. Med. 2002, 347, 1233–1241. [Google Scholar] [CrossRef]
- Ozmen, T.; Ozmen, V. Treatment Changes in Breast Cancer Management and De-Escalation of Breast Surgery. Eur. J. Breast Health 2023, 19, 186–190. [Google Scholar] [CrossRef]
- Rana, M.; Weiss, A.; Laws, A.; Mita, C.; King, T.A. Long-term outcomes of sentinel lymph node biopsy following neoadjuvant chemotherapy for initially node-positive breast cancer: A systematic review and meta-analysis. In Proceedings of the San Antonio Breast Cancer Symposium, San Antonio, TX, USA, 5–9 December 2023. [Google Scholar]
- Chun, J.W.; Kim, J.; Chung, I.Y.; Ko, B.S.; Kim, H.J.; Lee, J.W.; Son, B.H.; Ahn, S.H.; Lee, S.B. Sentinel node biopsy alone for breast cancer patients with residual nodal disease after neoadjuvant chemotherapy. Sci. Rep. 2021, 11, 9056. [Google Scholar] [CrossRef] [PubMed]
- Kuemmel, S.; Heil, J.; Bruzas, S.; Breit, E.; Schindowski, D.; Harrach, H.; Chiari, O.; Hellerhoff, K.; Bensmann, E.; Hanf, V.; et al. Safety of Targeted Axillary Dissection After Neoadjuvant Therapy in Patients With Node-Positive Breast Cancer. JAMA Surg. 2023, 158, 807–815. [Google Scholar] [CrossRef]
- Wu, S.Y.; Li, J.W.; Wang, Y.J.; Jin, K.R.; Yang, B.L.; Li, J.J.; Yu, X.L.; Mo, M.; Hu, N.; Shao, Z.M.; et al. Clinical feasibility and oncological safety of non-radioactive targeted axillary dissection after neoadjuvant chemotherapy in biopsy-proven node-positive breast cancer: A prospective diagnostic and prognostic study. Int. J. Surg. 2023, 109, 1863–1870. [Google Scholar] [CrossRef]
- Mamounas, E.; Bandos, H.; White, J.; Julian, T.B.; Khan, A.; Shaitelman, S. GS02-07 Loco-regional irradiation in patients with biopsy-proven axillary node involvement at presentation who become pathologically node-negative after neoadjuvant chemotherapy: Primary outcomes of NRG Oncology/NSABP B-51/RTOG 1304. In Proceedings of the 2023 San Antonio Breast Cancer Symposium, San Antonio, TX, USA, 5–9 December 2023. [Google Scholar]
- van Hemert, A.; van Loevezijn, A.A.; Baas, M.S.P.D.; Stokkel, M.P.M.; Groen, E.; Loo, C.; van der Noort, V.; Sonke, G.S.; Russell, N.S.; van Duijnhoven, F.H.; et al. Omission of axillary lymph node dissection in cN2-3 breast cancer patients with an excellent response on primary systemic treatment is safe: 4-year oncologic outcome of the MARI protocol. Eur. J. Cancer 2024, 200, 113618. [Google Scholar] [CrossRef]
- Banys-Paluchowski, M.; Untch, M.; Krawczyk, N.; Thurmann, M.; Kuhn, T.; Sehouli, J.; Gasparri, M.L.; de Boniface, J.; Gentilini, O.D.; Stickeler, E.; et al. Current trends in diagnostic and therapeutic management of the axilla in breast cancer patients receiving neoadjuvant therapy: Results of the German-wide NOGGO MONITOR 24 survey. Arch. Gynecol. Obstet. 2023, 307, 1547–1556. [Google Scholar] [CrossRef]
- Gradishar, W.J.; Moran, M.S.; Abraham, J.; Aft, R.; Agnese, D.; Allison, K.H.; Anderson, B.; Burstein, H.J.; Chew, H.; Dang, C.; et al. Breast Cancer, Version 3.2022, NCCN Clinical Practice Guidelines in Oncology. J. Natl. Compr. Cancer Netw. 2022, 20, 691–722. [Google Scholar] [CrossRef]
- Struik, G.M.; Schermers, B.; Mares, I.; Lont, H.E.; Bradshaw, J.W.; Ten Haken, B.; Ruers, T.J.M.; Mourik, J.E.M.; Birnie, E.; Klem, T. Randomized controlled trial comparing magnetic marker localization (MaMaLoc) with wire-guided localization in the treatment of early-stage breast cancer. Breast J. 2021, 27, 638–650. [Google Scholar] [CrossRef] [PubMed]
Disclaimer/Publisher’s Note: The statements, opinions and data contained in all publications are solely those of the individual author(s) and contributor(s) and not of MDPI and/or the editor(s). MDPI and/or the editor(s) disclaim responsibility for any injury to people or property resulting from any ideas, methods, instructions or products referred to in the content. |
© 2024 by the authors. Licensee MDPI, Basel, Switzerland. This article is an open access article distributed under the terms and conditions of the Creative Commons Attribution (CC BY) license (https://creativecommons.org/licenses/by/4.0/).