Malignant Bone and Soft Tissue Lesions of the Foot
Abstract
1. Introduction
2. Evaluation
3. Malignant Bone Tumors
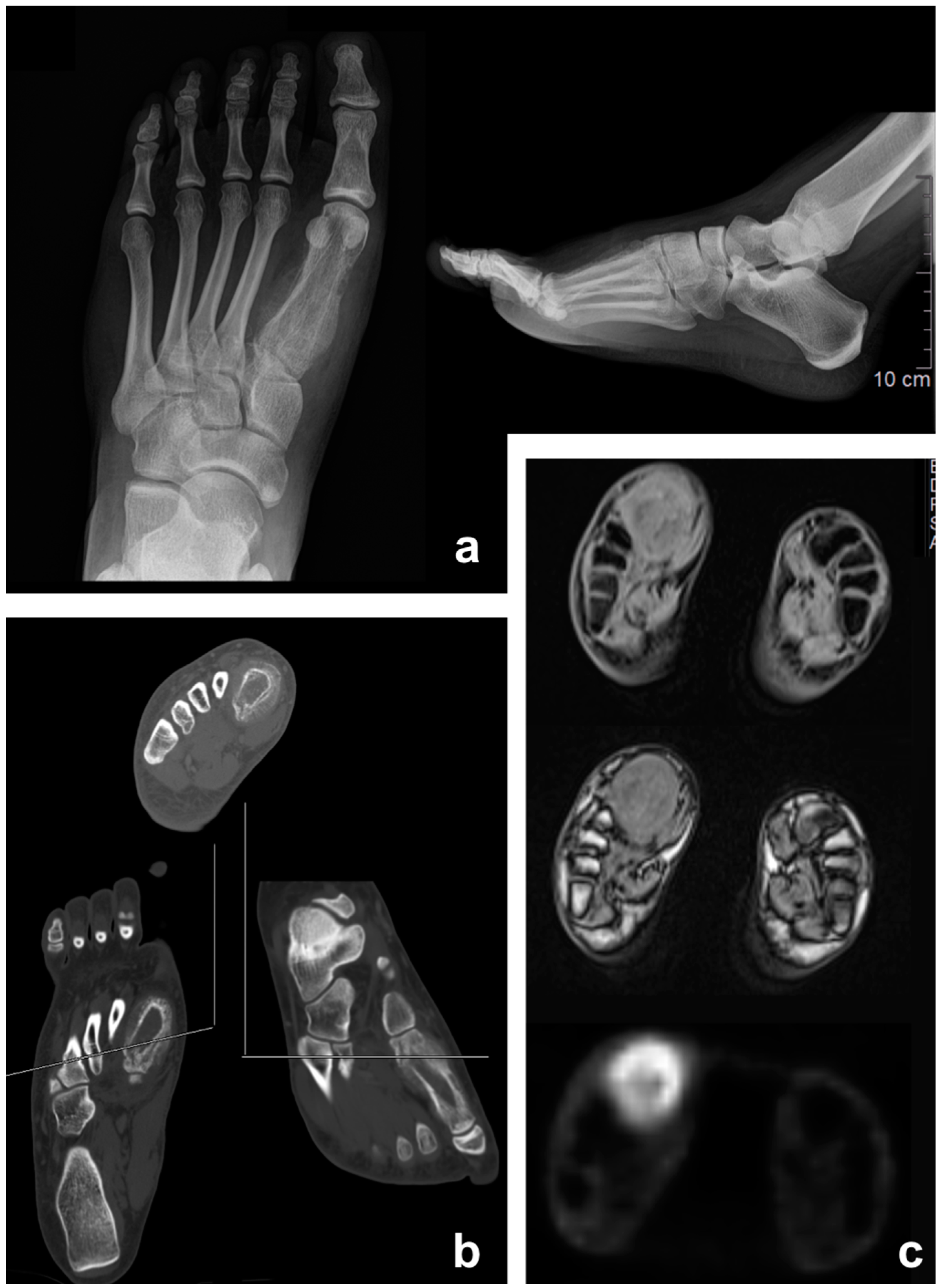
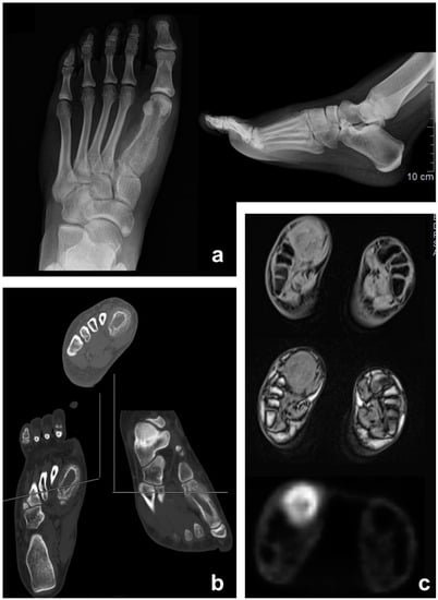
3.1. Osteosarcoma
3.2. Chondrosarcoma
3.3. Ewing Sarcoma
3.4. Acrometastases
4. Soft-Tissue Sarcomas
4.1. Melanoma
4.2. Epithelioid Sarcoma
4.3. Synovial Sarcoma
4.4. Clear-Cell Sarcoma
4.5. Rhabdomyosarcoma
4.6. Leiomyosarcoma
4.7. Liposarcoma
5. Limitations of the Study and Methodology
6. Conclusions
Author Contributions
Funding
Institutional Review Board Statement
Informed Consent Statement
Data Availability Statement
Conflicts of Interest
References
- Ruggieri, P.; Angelini, A.; Jorge, F.D.; Maraldi, M.; Giannini, S. Review of Foot Tumors Seen in a University Tumor Institute. J. Foot Ankle Surg. 2014, 53, 282–285. [Google Scholar] [CrossRef] [PubMed]
- Toepfer, A.; Harrasser, N.; Recker, M.; Lenze, U.; Pohlig, F.; Gerdesmeyer, L.; von Eisenhart-Rothe, R. Distribution patterns of foot and ankle tumors: A university tumor institute experience. BMC Cancer 2018, 18, 735. [Google Scholar] [CrossRef] [PubMed]
- Murari, T.M.; Callaghan, J.J.; Berrey, B.H.; Sweet, D.E. Primary Benign and Malignant Osseous Neoplasms of the Foot. Foot Ankle 1989, 10, 68–80. [Google Scholar] [CrossRef] [PubMed]
- Chou, L.B.; Malawer, M.M. Analysis of Surgical Treatment of 33 Foot and Ankle Tumors. Foot Ankle Int. 1994, 15, 175–181. [Google Scholar] [CrossRef]
- Sarkar, M.; Schulte, M.; Bauer, G.; Hartwig, E.; Von Baer, A. Primary bone and soft tissue tumours of the foot. Oncological and functional considerations. Foot Ankle Surg. 1996, 2, 261–270. [Google Scholar] [CrossRef]
- Ozdemir, H.M.; Yildiz, Y.; Yilmaz, C.; Saglik, Y. Tumors of the foot and ankle: Analysis 196 cases. J. Foot Ankle Surg. 1997, 36, 403–408. [Google Scholar] [CrossRef]
- Kinoshita, G.; Matsumoto, M.; Maruoka, T.; Shiraki, T.; Tsunemi, K.; Futani, H.; Maruo, S. Bone and soft tissue tumours of the foot: Review of 83 cases. J. Orthop. Surg. 2002, 10, 173–178. [Google Scholar] [CrossRef]
- Cedillo, E.A.D.; Martínez, G.R.; González, L.M.L.; Villaseñor, E.E.; Hernández, S.R.L.; Campos, R.B. Epidemiology of bone tumors and soft parts of foot and ankle. Acta Ortop. Mex. 2007, 21, 144–150. [Google Scholar]
- Azevedo, C.P.; Casanova, J.M.; Guerra, M.G.; Santos, A.L.; Portela, M.I.; Tavares, P.F. Tumors of the Foot and Ankle: A Single-institution Experience. J. Foot Ankle Surg. 2013, 52, 147–152. [Google Scholar] [CrossRef]
- Mavrogenis, A.F.; Angelini, A.; Vottis, C.; Palmerini, E.; Rimondi, E.; Rossi, G.; Papagelopoulos, P.J.; Ruggieri, P. State-of-the-art approach for bone sarcomas. Eur. J. Orthop. Surg. Traumatol. 2014, 25, 5–15. [Google Scholar] [CrossRef]
- Sands, A.K.; Rammelt, S.; Manoli, A., 2nd. Foot compartment syndrome—A clinical review. Fuß Sprunggelenk 2015, 13, 11–21. [Google Scholar] [CrossRef]
- Mercuri, M.C.R. Tumors in the foot. Foot Ankle Surg. 2002, 8, 175–190. [Google Scholar] [CrossRef]
- Toepfer, A. Tumors of the foot and ankle—A review of the principles of diagnostics and treatment. Fuß Sprunggelenk 2017, 15, 82–96. [Google Scholar] [CrossRef]
- Angelini, A.; Ceci, F.; Castellucci, P.; Graziani, T.; Polverari, G.; Trovarelli, G.; Palmerini, E.; Ferrari, S.; Fanti, S.; Ruggieri, P. The role of 18F-FDG PET/CT in the detection of osteosarcoma recurrence. Eur. J. Nucl. Med. Mol. Imaging 2017, 44, 1712–1720. [Google Scholar] [CrossRef]
- Tzeng, C.-W.D.; Smith, J.K.; Heslin, M.J. Soft Tissue Sarcoma: Preoperative and Postoperative Imaging for Staging. Surg. Oncol. Clin. N. Am. 2007, 16, 389–402. [Google Scholar] [CrossRef]
- Rimondi, E.; Rossi, G.; Bartalena, T.; Ciminari, R.; Alberghini, M.; Ruggieri, P.; Errani, C.; Angelini, A.; Calabrò, T.; Abati, C.N.; et al. Percutaneous CT-guided biopsy of the musculoskeletal system: Results of 2027 cases. Eur. J. Radiol. 2011, 77, 34–42. [Google Scholar] [CrossRef]
- Mavrogenis, A.F.; Angelini, A.; Errani, C.; Rimondi, E. How Should Musculoskeletal Biopsies Be Performed? Orthopedics 2014, 37, 585–588. [Google Scholar] [CrossRef]
- Araki, Y.; Yamamoto, N.; Maeda, T.; Kimura, H.; Ota, T.; Shimozaki, S.; Kato, T.; Inoue, D.; Higuchi, T.; Abe, K.; et al. Management of Soft-tissue Tumors with a Size of 2–5 cm, Including Malignancy. Anticancer Res. 2022, 42, 1555–1562. [Google Scholar] [CrossRef]
- Holzapfel, B.M.; Lüdemann, M.; Holzapfel, D.E.; Rechl, H.; Rudert, M. Offene biopsie von knochen- und weichteiltumoren: Richtlinien für ein korrektes chirurgisches vorgehen [Open biopsy of bone and soft tissue tumors: Guidelines for precise surgical procedures]. Oper Orthop. Traumatol. 2012, 24, 403–415, quiz 416–417. [Google Scholar] [CrossRef]
- Pavlidis, E.T.; Pavlidis, T.E. New trends in the surgical management of soft tissue sarcoma: The role of preoperative biopsy. World J. Clin. Oncol. 2023, 14, 89–98. [Google Scholar] [CrossRef]
- Sakellariou, V.I.; Mavrogenis, A.F.; Mazis, G.A.; Papagelopoulos, P.J. Osteosarcoma of navicular bone. En bloc excision and salvage of the foot. Foot Ankle Surg. 2012, 18, e29–e33. [Google Scholar] [CrossRef] [PubMed]
- Schuster, A.J.; Kager, L.; Reichardt, P.; Baumhoer, D.; Csóka, M.; Hecker-Nolting, S.; Lang, S.; Lorenzen, S.; Mayer-Steinacker, R.; Von Kalle, T.; et al. High-Grade Osteosarcoma of the Foot: Presentation, Treatment, Prognostic Factors, and Outcome of 23 Cooperative Osteosarcoma Study Group COSS Patients. Sarcoma 2018, 2018, 1632978. [Google Scholar] [CrossRef] [PubMed]
- Anninga, J.K.; Picci, P.; Fiocco, M.; Kroon, H.M.J.A.; Vanel, D.; Alberghini, M.; Gelderblom, H.; Hogendoorn, P.C.W. Osteosarcoma of the hands and feet: A distinct clinico-pathological subgroup. Virchows Arch. 2012, 462, 109–120. [Google Scholar] [CrossRef] [PubMed]
- Ritter, J.; Bielack, S.S. Osteosarcoma. Ann. Oncol. 2010, 21 (Suppl. 7), vii320–vii325. [Google Scholar] [CrossRef]
- Enneking, W.F.; Spanier, S.S.; Goodman, M.A. A system for the surgical staging of musculoskeletal sarcoma. Clin. Orthop. Relat. Res. 1980, 153, 106–120. [Google Scholar] [CrossRef]
- Jeys, L.M.; Thorne, C.J.; Parry, M.; Gaston, C.L.L.; Sumathi, V.P.; Grimer, R.J. A Novel System for the Surgical Staging of Primary High-grade Osteosarcoma: The Birmingham Classification. Clin. Orthop. Relat. Res. 2017, 475, 842–850. [Google Scholar] [CrossRef]
- Shoman, H.; Al-Kassmy, J.; Ejaz, M.; Matta, J.; Alakhras, S.; Kahla, K.; D’Acunto, M. Surgical margin assessment of bone tumours: A systematic review of current and emerging technologies. J. Bone Oncol. 2023, 39, 100469. [Google Scholar] [CrossRef]
- Tsukamoto, S.; Errani, C.; Angelini, A.; Mavrogenis, A.F. Current Treatment Considerations for Osteosarcoma Metastatic at Presentation. Orthopedics 2020, 43, e345–e358. [Google Scholar] [CrossRef]
- Tian, Z.; Gu, Z.; Wang, X.; Liu, Z.; Yao, W.; Wang, J.; Zhang, P.; Cai, Q.; Ge, H. Efficacy and Safety of Apatinib in Treatment of Osteosarcoma after Failed Standard Multimodal Therapy: An Observational Study. Available online: https://pubmed.ncbi.nlm.nih.gov/31083265/ (accessed on 18 August 2020). [CrossRef]
- Basile, P.; Greengard, E.; Weigel, B.; Spector, L. Prognostic Factors for Development of Subsequent Metastases in Localized Osteosarcoma: A Systematic Review and Identification of Literature Gaps. Sarcoma 2020, 2020, 7431549. [Google Scholar] [CrossRef]
- Angelini, A.; Guerra, G.; Mavrogenis, A.F.; Pala, E.; Picci, P.; Ruggieri, P. Clinical outcome of central conventional chondrosarcoma. J. Surg. Oncol. 2012, 106, 929–937. [Google Scholar] [CrossRef]
- Chow, W.A. Chondrosarcoma: Biology, Genetics, and Epigenetics. F1000Research 2018, 7, 1826. [Google Scholar] [CrossRef] [PubMed]
- Henderson, E.R.; Pala, E.; Angelini, A.; Rimondi, E.; Ruggieri, P. Dedifferentiated Peripheral Chondrosarcoma: A Review of Radiologic Characteristics. Sarcoma 2013, 2013, 505321. [Google Scholar] [CrossRef] [PubMed]
- Özmanevra, R.; Calikoglu, E.; Mocan, G.; Erler, K. Grade 2 Chondrosarcoma of the Great Toe: An Unusual Location. J. Am. Podiatr. Med. Assoc. 2019, 109, 393–396. [Google Scholar] [CrossRef]
- Baba, M.A.; Nazir, N.; Shabeer, M.; Mir, B.A.; Kawoosa, A.A. A High-Grade Chondrosarcoma of Calcaneum Mimicking as a Benign Pathology: Delayed Diagnosis and Management. Foot Ankle Spec. 2016, 9, 457–460. [Google Scholar] [CrossRef]
- Fayad, L.M.; Ahlawat, S.; Khan, M.S.; McCarthy, E. Chondrosarcomas of the Hands and Feet: A Case Series and Systematic Review of the Literature. Eur. J. Radiol. 2015, 84, 2004–2012. [Google Scholar] [CrossRef] [PubMed]
- Evans, H.L.; Ayala, A.G.; Romsdahl, M.M. Prognostic factors in chondrosarcoma of bone: A clinicopathologic analysis with emphasis on histologic grading. Cancer 1977, 40, 818–831. [Google Scholar] [CrossRef]
- Mondal, S.K. Chondrosarcoma of the Distal Phalanx of the Right Great Toe: Report of a Rare Malignancy and Review of Literature. J. Cancer Res. Ther. 2012, 8, 123–125. [Google Scholar] [CrossRef]
- Wells, M.E.; Eckhoff, M.D.; Kafchinski, L.A.; Polfer, E.M.; Potter, B.K. Conventional Cartilaginous Tumors: Evaluation and Treatment. JBJS Rev. 2021, 9, e20. [Google Scholar] [CrossRef]
- Chen, X.; Yu, L.J.; Peng, H.M.; Jiang, C.; Ye, C.H.; Zhu, S.B.; Qian, W.W. Is Intralesional Resection Suitable for Central Grade 1 Chondrosarcoma: A Systematic Review and Updated Meta-Analysis. Eur. J. Surg. Oncol. 2017, 43, 1718–1726. [Google Scholar] [CrossRef]
- Şahin, K.; Bayram, S.; Salduz, A. Calcaneal Ewing’s Sarcoma with Skip Metastases to Tarsals and Lymph Node Involvement: A Case Report. J. Foot Ankle Surg. 2018, 57, 162–166. [Google Scholar] [CrossRef]
- Parida, L.; Fernandez-Pineda, I.; Uffman, J.; Navid, F.; Davidoff, A.M.; Neel, M.; Krasin, M.J.; Rao, B.N. Clinical Management of Ewing Sarcoma of the Bones of the Hands and Feet: A Retrospective Single-Institution Review. J. Pediatr. Surg. 2012, 47, 1806–1810. [Google Scholar] [CrossRef] [PubMed]
- Caro-Domínguez, P.; Navarro, O.M. Bone Tumors of the Pediatric Foot: Imaging Appearances. Pediatr. Radiol. 2017, 47, 739–749. [Google Scholar] [CrossRef] [PubMed]
- Sbaraglia, M.; Righi, A.; Gambarotti, M.; Dei Tos, A.P. Ewing Sarcoma and Ewing-like Tumors. Virchows Arch. 2020, 476, 109–119. [Google Scholar] [CrossRef] [PubMed]
- Cesari, M.; Righi, A.; Colangeli, M.; Gambarotti, M.; Spinnato, P.; Ferraro, A.; Longhi, A.; Abate, M.E.; Palmerini, E.; Paioli, A.; et al. Bone Marrow Biopsy in the Initial Staging of Ewing Sarcoma: Experience from a Single Institution. Pediatr. Blood Cancer 2019, 66, e27653. [Google Scholar] [CrossRef]
- Froeb, D.; Ranft, A.; Boelling, T.; Paulussen, M.; Klco-Brosius, S.; Jürgens, H.; Dirksen, U. Ewing Sarcoma of the Hand or Foot. Klin. Padiatr. 2012, 224, 348–352. [Google Scholar] [CrossRef] [PubMed]
- Synchronous Phalangeal Metastases in Upper and Lower Limbs from Primary Breast Malignancy: A Rare Case Scenario with a Review of the Literature—PubMed. Available online: https://pubmed.ncbi.nlm.nih.gov/26698209/ (accessed on 18 August 2020).
- Stomeo, D.; Tulli, A.; Ziranu, A.; Perisano, C.; De Santis, V.; Maccauro, G. Acrometastasis: A Literature Review. Eur. Rev. Med. Pharmacol. Sci. 2015, 19, 2906–2915. [Google Scholar]
- Apollonatou, V.; Loukides, S.; Papaioannou, A.I.; Papiris, S. Acrometastasis Due to Lung Adenocarcinoma. Adv. Respir. Med. 2018, 86, 97–100. [Google Scholar] [CrossRef]
- Ryder, J.H.; McGarry, S.V.; Wang, J. Calcaneal Acrometastasis from Urothelial Carcinoma of the Ureter: A Case Report and Literature Review. Clin. Interv. Aging 2013, 8, 395–399. [Google Scholar] [CrossRef]
- Mavrogenis, A.F.; Angelini, A.; Vottis, C.; Pala, E.; Calabrò, T.; Papagelopoulos, P.J.; Ruggieri, P. Modern Palliative Treatments for Metastatic Bone Disease: Evaluation and Treatment. Clin. J. Pain 2016, 32, 337–350. [Google Scholar] [CrossRef]
- Sahoo, T.K.; Das, S.K.; Majumdar, S.K.D.; Senapati, S.N.; Parida, D.K. Digital Acrometastasis as Initial Presentation in Carcinoma of Lung A Case Report and Review of Literature. J. Clin. Diagn. Res. 2016, 10, XD01–XD02. [Google Scholar] [CrossRef]
- Mariotti, F.; Caravelli, S.; Mosca, M.; Massimi, S.; Casadei, R.; Zaffagnini, S. Achilles Tendon Reconstruction with Peroneus Tendon Transfer Following Epithelioid Sarcoma Resection: A Rare Case Report at 5 Years Follow-Up. J. Exp. Orthop. 2020, 7, 16. [Google Scholar] [CrossRef]
- Kirby, E.J.; Shereff, M.J.; Lewis, M.M. Soft-tissue tumors and tumor-like lesions of the foot. An analysis of eighty-three cases. J. Bone Jt. Surg. 1989, 71, 621–626. [Google Scholar] [CrossRef]
- Murray, D.; Topfer, J.; Decilveo, A.P.; Wittig, J.C. Benefits Associated with Early Diagnosis and Treatment of Soft Tissue Sarcomas of the Foot and Ankle. J. Foot Ankle Surg. 2016, 55, 980–984. [Google Scholar] [CrossRef] [PubMed]
- Salipas, A.; Dowsey, M.M.; May, D.; Choong, P.F.M. “Beware the Lump in the Foot!”: Predictors of Recurrence and Survival in Bone and Soft-Tissue Sarcomas of the Foot and Ankle. ANZ J. Surg. 2014, 84, 533–538. [Google Scholar] [CrossRef] [PubMed]
- Kim, Y.J.; Song, S.Y.; Choi, W.; Je, H.U.; Ahn, J.-H.; Chung, H.W.; Lee, J.-S. Postoperative Radiotherapy After Limb-Sparing Surgery for Soft-Tissue Sarcomas of the Distal Extremities. Anticancer Res. 2016, 36, 4825–4831. [Google Scholar] [CrossRef]
- Houdek, M.T.; Beahrs, T.R.; Wyles, C.C.; Rose, P.S.; Sim, F.H.; Turner, N.S. What Factors Are Predictive of Outcome in the Treatment of Soft Tissue Sarcomas of the Foot and Ankle? Foot Ankle Spec. 2017, 10, 12–19. [Google Scholar] [CrossRef]
- Erstad, D.J.; Ready, J.; Abraham, J.; Ferrone, M.L.; Bertagnolli, M.M.; Baldini, E.H.; Raut, C.P. Amputation for Extremity Sarcoma: Contemporary Indications and Outcomes. Ann. Surg. Oncol. 2018, 25, 394–403. [Google Scholar] [CrossRef]
- Angelini, A.; Piazza, M.; Pagliarini, E.; Trovarelli, G.; Spertino, A.; Ruggieri, P. The Orthopedic-Vascular Multidisciplinary Approach Improves Patient Safety in Surgery for Musculoskeletal Tumors: A Large-Volume Center Experience. J. Pers. Med. 2021, 11, 462. [Google Scholar] [CrossRef]
- Angelini, A.; Tiengo, C.; Sonda, R.; Berizzi, A.; Bassetto, F.; Ruggieri, P. One-Stage Soft Tissue Reconstruction Following Sarcoma Excision: A Personalized Multidisciplinary Approach Called “Orthoplasty”. J. Pers. Med. 2020, 10, 278. [Google Scholar] [CrossRef]
- Suarez Gonzalez, L.A.; Del Canto Peruyera, P.; Cerviño Alvarez, J.; Alvarez Fernandez, L.J. Misdiagnosed Malignant Tumor on an Ischemic Limb. Wounds 2019, 31, E12–E13. [Google Scholar]
- Desai, A.; Ugorji, R.; Khachemoune, A. Acral Melanoma Foot Lesions. Part 2: Clinical Presentation, Diagnosis, and Management. Clin. Exp. Dermatol. 2018, 43, 117–123. [Google Scholar] [CrossRef] [PubMed]
- Flores-Terry, M.; Romero-Aguilera, G.; Mendoza, C.; Franco, M.; Cortina, P.; Garcia-Arpa, M.; Gonzalez-Ruiz, L.; Garrido, J.A. Functional Surgery for Malignant Subungual Tumors: A Case Series and Literature Review. Actas Dermo Sifiliográficas 2018, 109, 712–721. [Google Scholar] [CrossRef] [PubMed]
- Bristow, I.; Bower, C. Melanoma of the Foot. Clin. Podiatr. Med. Surg. 2016, 33, 409–422. [Google Scholar] [CrossRef] [PubMed]
- Finlay, B.; Ramachandren, T.; Hussey, K.; Parkyn, S.; Meyer, K.; Barrett, K. Nodular Melanoma Presenting as an Exophytic Subungual Mass. Scott. Med. J. 2018, 63, 32–34. [Google Scholar] [CrossRef] [PubMed]
- Liopyris, K.; Navarrete-Dechent, C.; Mancebo, S.E.; Busam, K.J.; Pulitzer, M.P.; Marghoob, A.A.; Marchetti, M.A. Dermoscopic Appearance of Amelanotic Volar Melanoma Compared with Volar Angioma. JAMA Dermatol. 2019, 155, 500–501. [Google Scholar] [CrossRef]
- Hernández-Bel, P.; Marín, S.; Soler, S.; Peréz, A.; Monteagudo, C.; Alegre, V. Epithelioid Sarcoma: Report of 3 Cases. Cutis 2014, 93, E8–E9. [Google Scholar]
- Mascard, E.; Gaspar, N.; Brugières, L.; Glorion, C.; Pannier, S.; Gomez-Brouchet, A. Malignant Tumours of the Foot and Ankle. EFORT Open Rev. 2017, 2, 261–271. [Google Scholar] [CrossRef]
- Feuerstein, L.; Markert, E.; Toepfer, A. Pitfalls in correct diagnosis and treatment of Soft Tissue Sarcoma of the foot and ankle—A report of two challenging cases. Fuß Sprunggelenk 2023, in press. [Google Scholar] [CrossRef]
- Toepfer, A.; Harrasser, N.; Dreyer, F.; Mogler, C.; Walther, M.; von Eisenhart-Rothe, R. Epithelioid Sarcoma of the Plantar Fascia Mimicking Morbus Ledderhose—A Severe Pitfall for Clinical and Histopathological Misinterpretation. Foot Ankle Surg. 2017, 23, e25–e30. [Google Scholar] [CrossRef]
- Outani, H.; Imura, Y.; Tanaka, T.; Takenaka, S.; Oshima, K.; Hamada, K.; Kakunaga, S.; Joyama, S.; Naka, N.; Kudawara, I.; et al. Clinical Outcomes of Patients with Epithelioid Sarcomas: Impact and Management of Nodal Metastasis. Int. J. Clin. Oncol. 2018, 23, 181–188. [Google Scholar] [CrossRef]
- Lepow, G.M.; Grimmer, D.L.; Lemar, O.V.; Bridges, E.A. Synovial Sarcoma in the Foot of a 5-Year-Old ChildA Case Report. J. Am. Podiatr. Med. Assoc. 2016, 106, 283–288. [Google Scholar] [CrossRef]
- Yu, N.-Z.; Cheng, F.; Jin, H.-T.; Xiao, L.-W.; Tong, P.-J.; Wang, C.-X. Synovial Sarcoma of the Foot: A Case Report. Orthop. Surg. 2010, 2, 319–322. [Google Scholar] [CrossRef] [PubMed]
- Taranto, J.; Havlat, M.F. Synovial Sarcoma of the Digits: A Case Report of an Unplanned Excision. J. Foot Ankle Surg. 2018, 57, 388–392. [Google Scholar] [CrossRef] [PubMed]
- Bekarev, M.; Elsinger, E.C.; Villanueva-Siles, E.; Borzykowski, R.M.; Geller, D.S. Synovial Sarcoma of the Foot. J. Foot Ankle Surg. 2013, 52, 513–517. [Google Scholar] [CrossRef] [PubMed]
- Boc, S.F.; Das-Wattley, S.; Roberts, E. Synovial Sarcoma Arising in the Foot: Case Report. J. Foot Ankle Surg. 2011, 50, 117–121. [Google Scholar] [CrossRef]
- Scheer, M.; Greulich, M.; Loff, S.; Vokuhl, C.; Feuchtgruber, S.; von Kalle, T.; Münter, M.; Stegmaier, S.; Sparber-Sauer, M.; Kazanowska, B.; et al. Localized Synovial Sarcoma of the Foot or Ankle: A Series of 32 Cooperative Weichteilsarkom Study Group Patients. J. Surg. Oncol. 2019, 119, 109–119. [Google Scholar] [CrossRef]
- Afshar, A.; Ilkhanizadeh, B. Photoclinic. Clear Cell Sarcoma. Arch. Iran. Med. 2014, 17, 853–854. [Google Scholar]
- Xu, Z.; Suo, H.; Zhang, Y.; Feng, W. Primary Clear Cell Sarcoma of the Calcaneus: Report of a Rare Case and Review of the Literature. Available online: https://pubmed.ncbi.nlm.nih.gov/30623235/ (accessed on 18 August 2020). [CrossRef]
- Fusumae, T.; Kamiya, K.; Maekawa, T.; Komine, M.; Murata, S.; Ohtsuki, M. Clear Cell Sarcoma with Intraepidermal Nests Requiring the Differential Diagnosis of Malignant Melanoma. J. Dermatol. 2018, 45, 115–116. [Google Scholar] [CrossRef]
- Trevisan, F.; Pinto, J.C.C.L.; de Moraes Alves, C.A.X.; Pinto, C.A.L.; de Macedo, M.P.; Costa, F.D.; Duprat Neto, J.P. Clear Cell Sarcoma: A Case Report from Clinic to Cytogenetic Studies. Int. J. Dermatol. 2015, 54, e126–e131. [Google Scholar] [CrossRef]
- Sharma, K.; Yadav, S.K.; Valluru, B.; Liu, L. Significance of MRI in the Diagnosis and Differentiation of Clear Cell Sarcoma of Tendon and Aponeurosis (CCSTA): A Case Report. Medicine 2018, 97, e11012. [Google Scholar] [CrossRef]
- Juel, J.; Ibrahim, R.M. A Case of Clear Cell Sarcoma-A Rare Malignancy. Int. J. Surg. Case Rep. 2017, 36, 151–154. [Google Scholar] [CrossRef]
- Lee, H.L.; Ho, W.Y.; Lam, Y.L.; Ng, T.P.; Li, K.H.; Shek, T.; Mak, K.L.; Fong, S.T.; So, Y.C.; Ngan, R.K.C.; et al. Prognostic Factors Associated with Clear Cell Sarcoma in 14 Chinese Patients. J. Orthop. Surg. 2014, 22, 236–239. [Google Scholar] [CrossRef] [PubMed]
- Bolger, J.C.; Walsh, J.C.; Hughes, R.E.; Eustace, S.J.; Harrington, P. Alveolar Rhabdomyosarcoma Originating between the Fourth and Fifth Metatarsal--Case Report and Literature Review. Foot Ankle Surg. 2010, 16, e51–e54. [Google Scholar] [CrossRef] [PubMed]
- Casanova, M.; Meazza, C.; Favini, F.; Fiore, M.; Morosi, C.; Ferrari, A. Rhabdomyosarcoma of the Extremities: A Focus on Tumors Arising in the Hand and Foot. Pediatr. Hematol. Oncol. 2009, 26, 321–331. [Google Scholar] [CrossRef] [PubMed]
- Inarejos Clemente, E.J.; Navallas, M.; Barber Martínez de la Torre, I.; Suñol, M.; Munuera Del Cerro, J.; Torner, F.; Garraus, M.; Navarro, O.M. MRI of Rhabdomyosarcoma and Other Soft-Tissue Sarcomas in Children. Radiographics 2020, 40, 791–814. [Google Scholar] [CrossRef] [PubMed]
- La, T.H.; Wolden, S.L.; Su, Z.; Linardic, C.; Randall, R.L.; Hawkins, D.S.; Donaldson, S.S. Local Therapy for Rhabdomyosarcoma of the Hands and Feet: Is Amputation Necessary? A Report from the Children’s Oncology Group. Int. J. Radiat. Oncol. Biol. Phys. 2011, 80, 206–212. [Google Scholar] [CrossRef]
- Engel, E.; Butler, M.; Anain, J. Leiomyosarcoma of the Foot: A Case Study. J. Am. Podiatr. Med. Assoc. 2007, 97, 475–479. [Google Scholar] [CrossRef]
- Angelini, A.; Barastegui, D.; Gambarotti, M.; Ruggieri, P. Leiomyosarcoma of the Hand. Handchir. Mikrochir. Plast. Chir. 2015, 47, 139–141. [Google Scholar] [CrossRef]
- Bibbo, C.; Schroeder, M. Review of Vascular Leiomyosarcoma and Report of a Case Localized to the Greater Saphenous Vein of the Ankle. J. Foot Ankle Surg. 2011, 50, 329–335. [Google Scholar] [CrossRef]
- Efstathopoulos, N.; Lazarettos, J.; Nikolaou, V.; Chronopoulos, E. Inflammatory Leiomyosarcoma of the Ankle: A Case Report and Review of the Literature. J. Foot Ankle Surg. 2006, 45, 127–130. [Google Scholar] [CrossRef]
- Buehler, D.; Marburger, T.B.; Billings, S.D. Primary Subcutaneous Myxoid Liposarcoma: A Clinicopathologic Review of Three Cases with Molecular Confirmation and Discussion of the Differential Diagnosis. J. Cutan. Pathol. 2014, 41, 907–915. [Google Scholar] [CrossRef]
- Daniels, J.; Green, C.; Paul, A. Liposarcoma of the Great Toe: A Case Report. J. Foot Ankle Surg. 2014, 53, 493–496. [Google Scholar] [CrossRef] [PubMed]
- Bekers, E.M.; Song, W.; Suurmeijer, A.J.H.; Bonenkamp, J.J.; van der Geest, I.C.; Braam, P.M.; Ploegmakers, M.J.M.; Desar, I.M.E.; Tops, B.B.J.; van Gorp, J.M.; et al. Myxoid Liposarcoma of the Foot: A Study of 8 Cases. Ann. Diagn. Pathol. 2016, 25, 37–41. [Google Scholar] [CrossRef] [PubMed]







Disclaimer/Publisher’s Note: The statements, opinions and data contained in all publications are solely those of the individual author(s) and contributor(s) and not of MDPI and/or the editor(s). MDPI and/or the editor(s) disclaim responsibility for any injury to people or property resulting from any ideas, methods, instructions or products referred to in the content. |
© 2023 by the authors. Licensee MDPI, Basel, Switzerland. This article is an open access article distributed under the terms and conditions of the Creative Commons Attribution (CC BY) license (https://creativecommons.org/licenses/by/4.0/).
Share and Cite
Angelini, A.; Biz, C.; Cerchiaro, M.; Longhi, V.; Ruggieri, P. Malignant Bone and Soft Tissue Lesions of the Foot. J. Clin. Med. 2023, 12, 3038. https://doi.org/10.3390/jcm12083038
Angelini A, Biz C, Cerchiaro M, Longhi V, Ruggieri P. Malignant Bone and Soft Tissue Lesions of the Foot. Journal of Clinical Medicine. 2023; 12(8):3038. https://doi.org/10.3390/jcm12083038
Chicago/Turabian StyleAngelini, Andrea, Carlo Biz, Mariachiara Cerchiaro, Valentina Longhi, and Pietro Ruggieri. 2023. "Malignant Bone and Soft Tissue Lesions of the Foot" Journal of Clinical Medicine 12, no. 8: 3038. https://doi.org/10.3390/jcm12083038
APA StyleAngelini, A., Biz, C., Cerchiaro, M., Longhi, V., & Ruggieri, P. (2023). Malignant Bone and Soft Tissue Lesions of the Foot. Journal of Clinical Medicine, 12(8), 3038. https://doi.org/10.3390/jcm12083038

