Abstract
This study aimed to determine the incidence of maxillary sinus pathology in patients with a midfacial fracture who underwent osteosynthesis surgery and evaluate the associated risk factors. We conducted a retrospective case-control analysis of patients with midfacial fractures involving a maxillary sinus wall who were treated with open reduction and internal fixation (ORIF) between January 2015 and December 2020. Fracture reduction, the number of screws implanted in the maxillary sinus, and the number of screws penetrating the maxillary sinus, etc., were examined as potential risk factors. Maxillary sinus pathology on postoperative CT was considered the primary outcome for case-control analysis. Binary logistic regression was used to identify variables associated with postoperative maxillary sinus pathology. Thereafter, propensity score matching (PSM) was used to extract confounding factors. A total of 262 patients (totaling 372 maxillary sinuses) were included for analysis. PSM yielded 178, 246, and 70 matched sinuses, respectively, depending on the potential risk factors. Postoperative maxillary sinus pathology was visualized in 218 of the 372 maxillary sinuses (58.60%). The risk factors for postoperative maxillary sinus pathology included the number of screws penetrating the maxillary sinus (odds ratio (OR), 1.124; p = 0.007), an imperfect maxillary sinus wall fracture reduction (OR, 2.901; p = 0.021), and the number of sinus walls involved (OR, 1.383; p = 0.011). After PSM, postoperative maxillary sinus pathology was still more prevalent in sinuses with multiple maxillary sinus wall fractures (64.04% vs. 48.31%, p = 0.034), sinuses with more screws penetrating the maxillary sinus (64.23% vs. 50.41%, p = 0.028), and sinuses with an imperfect reduction (80% vs. 51.43%, p = 0.012). In conclusion, maxillary sinus pathology is common after the ORIF of midfacial fractures. Patients with a fracture of multiple maxillary sinus walls require a close follow-up. Screw penetration of the maxillary sinus should be avoided to prevent maxillary sinus pathology after a midfacial fracture ORIF.
1. Introduction
Midfacial fractures account for 45.4% to 79.1% of all facial fractures and can seriously affect patient appearance and function [1,2,3,4,5]. The midfacial region is defined based on the resulting AO CMF classification system within anatomical regions: zygoma, upper central midface, intermediate central midface, lower central midface, frontal, parietal, sphenoidal, and temporal [6]. The involvement of the maxillary sinus walls is frequent. Sinusitis is the most common disorder of the maxillary sinus after trauma [7,8,9,10]. The symptoms of maxillary sinusitis include nasal congestion, nasal discharge, facial pain, rhinocnesmus, etc., [11,12]. Acute maxillary sinusitis can lead to life-threatening complications while chronic disease can seriously affect quality of life because of recurrent episodes and related discomfort [13,14,15]. Decreasing the incidence of maxillary sinusitis has become a goal of facial fracture management.
Many researchers have focused on the pathogenesis of post-traumatic maxillary sinusitis to explore possible risk factors. Cengiz et al. suggested that hematocele and maxillary sinus fractures can cause sinus outflow obstruction and cause long-term sinusitis [16]. Ballon et al. indicated that tissue or fracture fragment herniation into the sinus may be related to post-traumatic sinusitis-associated discomfort [17]. This complication can also be provoked iatrogenically. The separation of bones around the maxillary sinus, changes in the clearance mechanism of the maxillary sinus, and hematocele formation in the sinus cavity when performing Le Fort I osteotomy can cause inflammatory changes in the maxillary sinus [18,19,20], which can also occur after the reduction of midfacial fractures. In addition, Elhamruni showed that dental implants that penetrate the maxillary sinus by >3 mm can cause inflammatory changes in the sinus [21]. Similarly, the screws used in open reduction and internal fixation (ORIF) procedures for midfacial fracture repair often penetrate the maxillary sinus. However, no studies have been performed to investigate the risk factors for maxillary sinusitis after the ORIF of midfacial fractures.
Maxillary sinus pathology can be evaluated objectively by assessing characteristics such as mucosal thickening, gas–fluid level, and maxillary sinus opacity on computed tomography (CT) [22,23,24]. This study aimed to determine the incidence of maxillary sinus pathology in the CT of patients with a midfacial fracture involving a maxillary sinus wall who underwent ORIF surgery and to evaluate the associated risk factors.
2. Materials and Methods
2.1. Ethical Considerations
The study followed the rules of the Declaration of Helsinki and was approved by the Institutional Review Board of the West China Hospital of Stomatology, Sichuan University (protocol code WCHSIRB-D-2021-299).
2.2. Study Population
This hospital-based retrospective case-control study examined the medical and radiological records of patients diagnosed with a midfacial fracture involving a maxillary sinus wall who underwent ORIF surgery using titanium plates and screws in our department between January 2015 and December 2020. Based on the Kendall rule and events per variable (EPV) theory [25,26], the theoretical sample size is as least 90. All patients underwent CT before surgery and had at least 3 months of postoperative CT follow-up. We excluded patients with a history of preoperative sinusitis and/or rhinitis and those with obvious dental lesions (e.g., periapical disease, advanced periodontal disease, and oroantral communication following dentoalveolar surgery) or pre-existing maxillary sinus pathology on CT.
2.3. Factors of Interest and Data Collection
Factors of interest included age, gender, history of diabetes, number of sinus walls involved, preoperative CT evaluation of maxillary sinus, the presence or absence of endotracheal intubation, number of screws implanted in the maxillary sinus wall, number of screws penetrating the maxillary sinus, and fracture reduction. Age, gender, history of diabetes, and the presence or absence of endotracheal intubation were collected from medical records. The number of sinus walls involved and preoperative CT evaluations of the maxillary sinus were evaluated by preoperative CT. The number of screws implanted in the maxillary sinus wall, the number of screws penetrating the maxillary sinus, and fracture reduction were evaluated by postoperative CT.
The patients were classified as children (under 18), adults (18–59 years), and the aged (60 and older than 60).
The number of sinus walls involved ranged from 1 to 5 (including the anterior wall, posterior wall, superior wall, medial wall, and floor).
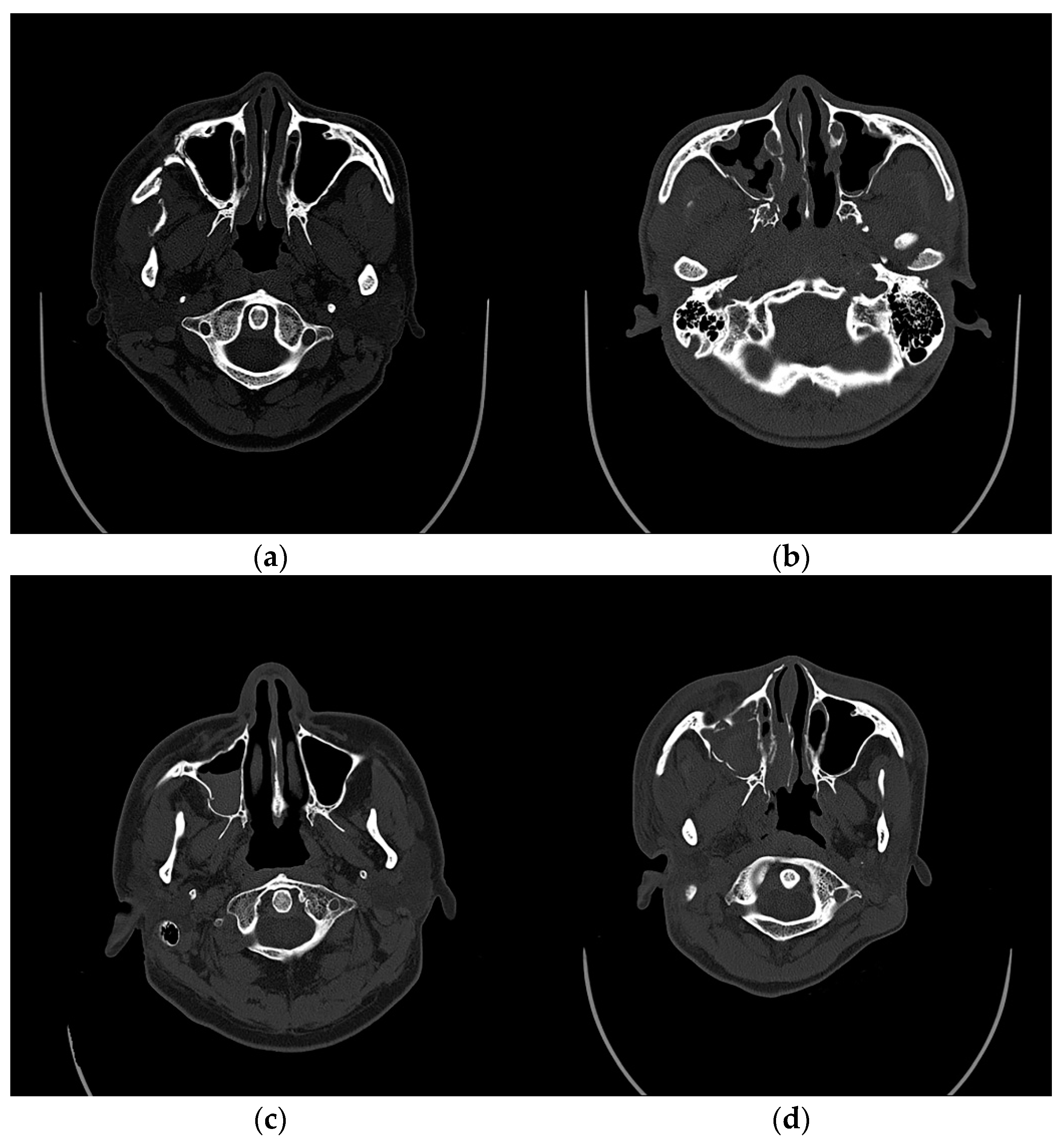
Preoperative CT evaluations of the maxillary sinus were classified as normal, mucosal thickening, gas–fluid level, and total opacification based on Rouby’s classification and Gliklich Metson’s classification (Figure 1) [22,23,24]. As for the mucosa thickening, the author used the criterion of Sanchez-Perez et al., in which the thickening of the mucosa from 2 mm was considered pathological [27]. This was considered only when the mucosa thickening location was not related to obvious dental lesions. The presence of gas–fluid in the sinus was evaluated based on the presence of a fluid opacification, noted on the CT axial scan image, according to the criterion of Bomeli [28]. The presence of total opacification in the sinus was noted on the CT axial, sagittal, and coronal scan images.
Figure 1.
Representative CT sections showing the different preoperative evaluations of the maxillary sinus. (a) normal; (b) maxillary mucosal thickening; (c) gas–fluid level; (d) total opacification.
Considering the medial and posterior walls of the maxillary sinus were unapproachable and inaccessible during ORIF, the screws implanted in the anterior wall, superior wall, and floor were counted as the number of screws implanted in the maxillary sinus wall. And once these screws penetrated through the bone wall of the maxillary sinus, they were counted as the number of screws penetrating the maxillary sinus (Figure 2).
Figure 2.
Implant penetration into the maxillary sinus. (a) The arrow indicates the implants (screws) penetrated the maxillary sinus. (b) The arrow indicates the implants (screws) within the maxillary sinus wall.
Maxillary sinus wall fracture reduction evaluation was based on Ellis’s classification [29]. Any asymmetry on the images more than 2 mm in magnitude was considered an imperfect reduction of the fracture on the CT axial scan image (Figure 3).
Figure 3.
Imperfect reduction. Axial scan through the superior portion of the maxillary sinus and zygomatic arch. The arrow indicates the imperfect reduction of the maxillary sinus wall.
Maxillary sinus pathology including mucosal thickening, gas–fluid level, and maxillary sinus opacity on the postoperative CT was considered the primary outcome for the case-control analysis.
All patients’ preoperative and postoperative CT data were acquired from the CT scanner (Philips, Best, The Netherlands). The obtained CT images were viewed using the PACS (Picture Archiving and Communication System) giving a three-dimensional reconstruction module and the multiplanar reformations module, i.e., axial, sagittal, and coronal slices. All images were assessed under standardized conditions at the same examination place. Radiographic examinations were assessed by two investigators, who followed our standardized clinic protocol, and their assessments were tested for consistency.
2.4. Statistical Analysis
Statistical analyses were performed using SPSS software version 22.0 (IBM Corp., Armonk, NY, USA). The presence and/or extent of each factor of interest was assigned a value as shown in Table 1. The analysis unit in the study was the sinus. Descriptive data are presented as means with standard deviations. Binary logistic regression was used to identify variables associated with post-traumatic maxillary sinus pathology after adjusting for confounding variables. A logistic regression was implemented and the criteria used for the entry and removal variables were 0.05 and 0.1, respectively, in the final model. Considering that in a logistic model, even if a factor is not found to be significantly different, if it is a confounding factor, the propensity score matching (PSM) will increase the statistical precision and improve the quality of the study. In order to further remove the potential bias of confounding factors, a PSM was performed to verify the above results. A 1:1 PSM method was used, within propensity score calipers of ±0.002 SD [30]. Further, a post-matching logistic regression analysis was conducted to check whether the distribution of potential confounding variables was equal in both groups. Finally, the chi-square test was performed to verify the correlation between post-traumatic maxillary sinus pathology and three potential risk factors, respectively, (number of sinus walls involved, number of screws penetrating the maxillary sinus, and the reduction of the sinus wall); p-values lower than 0.05 were considered statistically significant. Results are presented as odds ratios (ORs) with 95% confidence intervals (CIs). The kappa statistic was used to evaluate interrater reliability; p <0.05 was considered significant.
Table 1.
Variables and assignment of values.
3. Results
A total of 285 patients were eligible for study inclusion. Twenty-three were excluded based on the criteria. Therefore, 262 patients (totaling 372 maxillary sinuses) were included for analysis. Fractures were bilateral in 152 patients and unilateral in 110. One hundred ninety-eight patients were men (75.57%) and 64 were women (24.43%). The mean age was 35.79 ± 14.13 years (range, 3–67).
Based on postoperative CTs, 218 of 372 maxillary sinuses (58.60%) exhibited post-traumatic maxillary sinus pathology. Among these, mucosal thickening was most common (52.15%), followed by maxillary sinus opacity (5.37%), and gas–fluid level (1.08%). Patient and radiological characteristics are shown in Table 2.
Table 2.
Patient and radiological characteristics.
The results of the binary logistic regression evaluation of risk factors for post-traumatic maxillary sinus pathology were shown in Table 3. Three factors were associated with increased odds of post-traumatic maxillary sinus pathology: the number of screws penetrating the maxillary sinus (OR, 1.124; p = 0.007), an imperfect maxillary sinus wall fracture reduction (OR, 2.901; p = 0.021), and the number of sinus walls involved (OR, 1.383; p = 0.011). Other potential risk factors were not statistically significant.
Table 3.
Binary logistic regression evaluation of risk factors for post-traumatic maxillary sinus pathology.
The above results showed that three risk factors were statistically significant (the number of sinus walls involved, the number of screws penetrating the maxillary sinus, and the fracture reduction of the maxillary sinus wall). Based on this result, a PSM was performed to further remove the potential bias of confounding factors. The above three risk factors with statistical significance were set as the group indicators of the PSM, and all other factors were set as confounding factors. First of all, the 1:1 PSM procedure yielded 178, 246, and 70 matched sinuses, respectively, depending on the above-mentioned three risk factors. Then, three post-matching logistic regression analyses were performed to check whether the distribution of the potential confounding variables was equal in the different groups. As shown in Table 4, all confounding factors were balanced in different groups (the number of sinus walls involved (≤3) vs. the number of sinus walls involved (>3), the number of screws penetrating the maxillary sinus (≤4) vs. the number of screws penetrating the maxillary sinus (>4), and imperfect reduction vs. perfect reduction). Finally, three chi-square tests were performed, respectively, to verify whether these three risk factors were statistically significant after adjusting for confounding factors (Table 5). The results showed that after the PSM, postoperative maxillary sinus pathology was still more prevalent in sinuses with multiple maxillary sinus walls fractured (64.04% vs. 48.31%, p = 0.034), sinuses with more screws penetrating the maxillary sinus (64.23% vs. 50.41%, p = 0.028), and sinuses with an imperfect reduction (80% vs. 51.43%, p = 0.012).
Table 4.
Patients’ potential confounding variables in different groups based on potential risk factors.
Table 5.
Evaluation of risk factors for post-traumatic maxillary sinus pathology before and after PSM.
The kappa statistic for the two radiography examiners was 0.813 (p = 0.000), indicating high interobserver agreement.
4. Discussion
Post-traumatic maxillary sinusitis is a common complication of midfacial fractures that can be detected by CT. Although surgeons are concerned about maxillary sinus pathology after these fractures, few clinical studies have investigated the associated risk factors. To our knowledge, this is the first large-scale study to examine the incidence of maxillary sinus pathology in patients with surgically repaired midfacial fractures and perform a multivariate analysis to determine the associated risk factors.
Previous studies have focused on the prevalence of maxillary sinus pathology in the non-traumatic population and reported rates ranging from 37.2% to 45.1% [31,32]. Aksoy, Manor, and Penarrocha-Oltra et al. found that a history of sinusitis and dental lesions were associated with maxillary sinus pathology [33,34,35]. Considering that the main purpose of this study was to investigate traumatic and iatrogenic factors contributing to maxillary sinus pathology, we excluded patients with a history of sinusitis or obvious dental lesions. Even so, maxillary sinus pathology was present in 218 of 372 maxillary sinuses imaged (58.60%), showing that maxillary sinus pathology is common after the ORIF of midfacial fractures. This suggests that clinical attention should be paid to the condition of the maxillary sinus in these patients.
Considering such a high prevalence of maxillary sinus pathology after surgery for midfacial fracture, the risk factors for this symptom are worth discussing. Although no systematic study has been performed to discuss risk factors for post-traumatic maxillary sinus pathology, there have been some similar studies in the non-traumatic field. Dentistry studies have determined that dental implants penetrating the maxillary sinus are associated with maxillary sinus pathology [20,36]. Given that the screws used in ORIF procedures often penetrate the maxillary sinus, we examined the number of titanium screws penetrating the maxillary sinus as a potential risk factor. Not surprisingly, this factor was shown to increase the risk of postoperative maxillary sinus pathology either in the entire study population or in a propensity score-matched population. Despite the well-known acknowledgment that surgeons tend to avoid penetrating screws into the maxillary sinus when performing ORIF of midfacial fractures, no evidence exists, and thus this study further verified this viewpoint for the first time. We suggest that screws should be placed in regions of thicker bone, represented by the horizontal and vertical buttresses. Furthermore, bone thickness at the horizontal and vertical buttresses should be measured before surgery to select screws of the appropriate length to avoid maxillary sinus penetration [37].
The imperfect reduction of the maxillary sinus wall also increased the risk of postoperative maxillary sinus pathology in our study. Previous studies have illustrated that the most important goals of midfacial fracture treatment include the correction of malocclusion, improvement of poor facial aesthetics, restoration of midfacial height, and repair of midface projection [38]. The accurate reduction of the maxillary sinus wall has not been an established treatment goal and is often ignored. However, our results emphasize the importance of accurate reduction, as an imperfect reduction was associated with maxillary sinus pathology. Therefore, surgeons should attempt to accurately reduce maxillary sinus wall fractures when performing ORIF procedures.
In the present study, we also found that a greater number of sinus walls involved in the fracture increased the risk of post-traumatic maxillary sinus pathology, as would be expected. A greater number of involved sinus walls indicates a more severe injury and a higher possibility of fracture-associated mucosal laceration in the sinus and displacement of fracture fragments. This finding implies that patients with a fracture of multiple maxillary sinus walls require close follow-up.
Considering that this was a retrospective study that was not randomized, we combined binary regression analysis with PSM to provide a control group very similar to what may be achieved in a randomized controlled trial. PSM methods provide certain advantages over more traditional logistic regression methods to control confounding factors to generate an unbiased control group enabling the exploration of causal relationships using observational data [39]. According to this method, the results after PSM further verified the results of the logistic regression before PSM.
There remain some limitations in this study, such as a retrospective and single-center study, etc. As a result, selection bias may still exist. Although it has been confirmed that the prevalence of maxillary sinus pathology was high in patients after ORIF of midfacial fractures and the risk factors for that included the number of titanium screws penetrating the maxillary sinus, an imperfect reduction, and the number of sinus walls involved. The results indicated that a random controlled trial or a multicenter and large sample study is necessary to further verify this conclusion.
5. Conclusions
In conclusion, maxillary sinus pathology is common after the ORIF of midfacial fractures. This suggests that clinical attention should be paid to the condition of the maxillary sinus in these patients, especially patients with a fracture of multiple maxillary sinus walls. When performing ORIF for midfacial fractures, screw penetration of the maxillary sinus should be avoided and sinus wall fractures should be reduced as accurately as possible to prevent post-traumatic maxillary sinus pathology.
Author Contributions
L.J. contributed to the conception, design, data acquisition, analysis, and interpretation, and drafted the manuscript; M.W. contributed to data acquisition and analysis; H.L. contributed to data acquisition; J.L. contributed to data acquisition; J.C. contributed to the conception, design, and data interpretation, drafted, and critically revised the manuscript; L.L. contributed to the conception, design, and critically revised the manuscript. All authors have read and agreed to the published version of the manuscript.
Funding
Applied Basic Research Project of Sichuan Province (2020YJ0278).
Institutional Review Board Statement
The study was conducted in accordance with the Declaration of Helsinki, and approved by the Institutional Review Board of the West China Hospital of Stomatology, Sichuan University, China (protocol code WCHSIRB-D-2021-299, date of approval: 15 July 2021).
Informed Consent Statement
Informed consent was obtained from all subjects involved in the study.
Data Availability Statement
Not applicable.
Conflicts of Interest
The authors declare no conflict of interest.
References
- Al-Bokhamseen, M.; Salma, R.; Al-Bodbaij, M. Patterns of maxillofacial fractures in Hofuf, Saudi Arabia: A 10-year retrospective case series. Saudi Dent. J. 2019, 31, 129–136. [Google Scholar] [CrossRef] [PubMed]
- Gelin, S.P.; Giot, J.P. Epidemiology of Maxillofacial Traumatisms in French Alps Metropole (Grenoble) Specificity for the mountain sports and evolution in the last 40 years. J. Stomatol. Oral Maxillofac. Surg. 2021, 122, 529–534. [Google Scholar] [CrossRef] [PubMed]
- AlAli, A.M.; Ibrahim, H.; Algharib, A.; Alsaad, F.; Rajab, B. Characteristics of pediatric maxillofacial fractures in Kuwait: A single-center retrospective study. Dent. Traumatol. 2021, 37, 557–561. [Google Scholar] [CrossRef] [PubMed]
- Cabalag, M.S.; Wasiak, J.; Andrew, N.E.; Tang, J.; Kirby, J.C.; Morgan, D.J. Epidemiology and management of maxillofacial fractures in an Australian trauma centre. J. Plast. Reconstr. Aesthetic Surg. 2014, 67, 183–189. [Google Scholar] [CrossRef] [PubMed]
- Boffano, P.; Roccia, F.; Zavattero, E.; Dediol, E.; Uglešić, V.; Kovačič, Ž.; Vesnaver, A.; Konstantinovic, V.; Petrović, M.; Stephens, J.; et al. European Maxillofacial Trauma (EURMAT) project: A multicentre and prospective study. J. Craniomaxillofac. Surg. 2015, 43, 62–70. [Google Scholar] [CrossRef]
- Ehrenfeld, M.; Manson, P.N.; Prein, J. Principles of Internal Fixation of the Craniomaxillofacial Skeleton: Trauma and Orthognathic Surgery; Thieme Medical Publishers, Inc.: New York, NY, USA, 2012. [Google Scholar]
- Kuhnel, T.S.; Reichert, T.E. Trauma of the midface. GMS Curr. Top. Otorhinolaryngol. Head Neck Surg. 2015, 14, 14–20. [Google Scholar] [CrossRef]
- Cohn, J.E.; Iezzi, Z.; Licata, J.J.; Othman, S.; Zwillenberg, S. An Update on Maxillary Fractures: A Heterogenous Group. J. Craniofac. Surg. 2020, 31, 1920–1924. [Google Scholar] [CrossRef] [PubMed]
- Top, H.; Aygit, C.; Sarikaya, A.; Karaman, D.; Firat, M.F. Evaluation of maxillary sinus after treatment of midfacial fractures. J. Oral Maxillofac. Surg. 2004, 62, 1229–1236. [Google Scholar] [CrossRef]
- Lenkeit, C.P.; Lofgren, D.H.; Shermetaro, C. Maxillary sinus fracture. In StatPearls [Internet]; StatPearls Publishing: Treasure Island, FL, USA, 2021. [Google Scholar]
- Mattos, J.L.; Rudmik, L.; Schlosser, R.J.; Smith, T.L.; Mace, J.C.; Alt, J.; Soler, Z.M. Symptom importance, patient expectations, and satisfaction in chronic rhinosinusitis. Int. Forum Allergy Rhinol. 2019, 9, 593–600. [Google Scholar] [CrossRef] [PubMed]
- Alam, E.S.; Musselman, D.L.; Chyou, D.; Shukri, G.; Levine, C.G.; Sanghvi, S.; Zhang, H.; Casiano, R.R. Somatization, Depression, and Anxiety Disorders in a Rhinology Practice. Am. J. Rhinol. Allergy. 2019, 33, 470–477. [Google Scholar] [CrossRef]
- Kazi, A.; West, E.; Rahman, S.; Kim, S.; Sima, A.; Schuman, T.A. Pain Catastrophizing and Quality of Life in Adults with Chronic Rhinosinusitis. Laryngoscope 2021, 131, 1939–1945. [Google Scholar] [CrossRef] [PubMed]
- Shrestha, D.; Yadav, L.K.; Thapa, P. Chronic maxillary sinusitis: Clinical and microbiological evaluation. J. Coll. Med. Sci. 2011, 7, 17–22. [Google Scholar] [CrossRef]
- FFokkens, W.J.; Lund, V.J.; Hopkins, C.; Hellings, P.W.; Kern, R.; Reitsma, S.; Toppila-Salmi, S.; Bernal-Sprekelsen, M.; Mullol, J.; Alobid, I.; et al. European Position Paper on Rhinosinusitis and Nasal Polyps 2020. Rhinology 2020, 58 (Suppl. S29), 1–464. [Google Scholar] [CrossRef] [PubMed]
- Cengiz, M.; Celikbilek, G.; Andic, C.; Dosemeci, L.; Yilmaz, M.; Karaali, K.; Ramazanoglu, A. Maxillary sinusitis in patients ventilated for a severe head injury and with nostrils free of any foreign body. Injury 2011, 42, 33–37. [Google Scholar] [CrossRef] [PubMed]
- Ballon, A.; Landes, C.A.; Zeilhofer, H.F.; Herzog, M.; Klein, C.; Sader, R. The importance of the primary reconstruction of the traumatized anterior maxillary sinus wall. J. Craniofac. Surg. 2008, 19, 505–509. [Google Scholar] [CrossRef] [PubMed]
- Pereira-Filho, V.A.; Gabrielli, M.F.; Gabrielli, M.A.; Pinto, F.A.; Rodrigues-Junior, A.L.; Klüppel, L.E.; Passeri, L.A. Incidence of maxillary sinusitis following Le Fort I osteotomy: Clinical, radiographic, and endoscopic study. J. Oral Maxillofac. Surg. 2011, 69, 346–351. [Google Scholar] [CrossRef] [PubMed]
- Ueki, K.; Yoshizawa, K.; Moroi, A.; Tsutsui, T.; Fukaya, K.; Hiraide, R.; Takayama, A.; Tsunoda, T.; Saito, Y.; Iguchi , R.; et al. Evaluation of maxillary sinus after Le Fort I osteotomy using various fixation materials. J. Craniomaxillofac. Surg. 2017, 45, 552–557. [Google Scholar] [CrossRef]
- Iwamoto, M.; Watanabe, M.; Yamamoto, M.; Narita, M.; Kamio, T.; Takaki, T.; Shibahara, T.; Katakura, A. Prognostic factors for maxillary sinus mucosal thickening following Le Fort I osteotomy: A retrospective analysis. Maxillofac. Plast. Reconstr. Surg. 2019, 41, 12. [Google Scholar] [CrossRef] [PubMed]
- Elhamruni, L.M.M.; Marzook, H.A.M.; Ahmed, W.M.S.; Abdul-Rahman, M. Experimental study on penetration of dental implants into the maxillary sinus at different depths. Oral Maxillofac. Surg. 2016, 20, 281–287. [Google Scholar] [CrossRef] [PubMed]
- Rouby, J.J.; Laurent, P.; Gosnach, M.; Cambau, E.; Lamas, G.; Zouaoui, A.; Leguillou, J.L.; Bodin, L.; Khac, T.D.; Marsault, C. Risk factors and clinical relevance of nosocomial maxillary sinusitis in the critically ill. Am. J. Respir. Crit. Care Med. 1994, 150, 776–783. [Google Scholar] [CrossRef] [PubMed]
- Gliklich, R.E.; Metson, R. Techniques for outcomes research in chronic sinusitis. Laryngoscope 1995, 105 Pt 1, 387–390. [Google Scholar] [CrossRef] [PubMed]
- Guerra-Pereira, I.; Vaz, P.; Faria-Almeida, R.; Braga, A.C.; Felino, A. CT maxillary sinus evaluation—A retrospective cohort study. Med. Oral Patol. Oral Cir. Bucal. 2015, 20, e419–e426. [Google Scholar] [CrossRef] [PubMed]
- Weber, E.; Kendall, M. Multivariate Analysis. Charles Griffin b Co. LTD. London, High Wycombe 1975. 210 s., 9 Abb., 27 Tab., 1 Anhang, £ 6,80. Biom. J. 1977, 19, 309. [Google Scholar] [CrossRef]
- Moons, K.G.; de Groot, J.A.; Bouwmeester, W.; Vergouwe, Y.; Mallett, S.; Altman, D.G.; Reitsma, J.B.; Collins, G.S. Critical appraisal and data extraction for systematic reviews of prediction modelling studies: The CHARMS checklist. PLoS Med. 2014, 11, e1001744. [Google Scholar] [CrossRef]
- Sanchez-Perez, A.; Boracchia, A.C.; Lopez-Jornet, P.; Boix-Garcia, P. Characterization of the Maxillary Sinus Using Cone Beam Computed Tomography. A Retrospective Radiographic Study. Implant Dent. 2016, 25, 762–769. [Google Scholar] [CrossRef] [PubMed]
- Bomeli, S.R.; Branstetter, B.T.; Ferguson, B.J. Frequency of a dental source for acute maxillary sinusitis. Laryngoscope 2009, 119, 580–584. [Google Scholar] [CrossRef] [PubMed]
- Ellis, E.R.; Kittidumkerng, W. Analysis of treatment for isolated zygomaticomaxillary complex fractures. J. Oral Maxillofac. Surg. 1996, 54, 386–400, discussion 400-1. [Google Scholar] [CrossRef]
- Tian, Y.; Zhu, Y.; Zhang, K.; Tian, M.; Qin, S.; Li, X. Relationship Between Preoperative Hypoalbuminemia and Postoperative Pneumonia Following Geriatric Hip Fracture Surgery: A Propensity-Score Matched and Conditional Logistic Regression Analysis. Clin. Interv. Aging 2022, 17, 495–503. [Google Scholar] [CrossRef]
- Manji, A.; Faucher, J.; Resnik, R.R.; Suzuki, J.B. Prevalence of maxillary sinus pathology in patients considered for sinus augmentation procedures for dental implants. Implant Dent. 2013, 22, 428–435. [Google Scholar] [CrossRef] [PubMed]
- Hsiao, Y.J.; Yang, J.; Resnik, R.R.; Suzuki, J.B. Prevalence of Maxillary Sinus Pathology Based on Cone-Beam Computed Tomography Evaluation of Multiethnicity Dental School Population. Implant Dent. 2019, 28, 356–366. [Google Scholar] [CrossRef] [PubMed]
- Manor, Y.; Mardinger, O.; Bietlitum, I.; Nashef, A.; Nissan, J.; Chaushu, G. Late signs and symptoms of maxillary sinusitis after sinus augmentation. Oral Surg. Oral Med. Oral Pathol. Oral Radiol. Endod. 2010, 110, e1–e4. [Google Scholar] [CrossRef]
- Aksoy, U.; Orhan, K. Association between odontogenic conditions and maxillary sinus mucosal thickening: A retrospective CBCT study. Clin. Oral Investig. 2019, 23, 123–131. [Google Scholar] [CrossRef] [PubMed]
- Penarrocha-Oltra, S.; Soto-Penaloza, D.; Bagan-Debon, L.; Bagan, J.V.; Penarrocha-Oltra, D. Association between maxillary sinus pathology and odontogenic lesions in patients evaluated by cone beam computed tomography. A systematic review and meta-analysis. Med. Oral Patol. Oral Cir. Bucal. 2020, 25, e34–e48. [Google Scholar] [CrossRef]
- Jung, J.-H.; Choi, B.-H.; Jeong, S.-M.; Li, J.; Lee, S.-H.; Lee, H.-J. A retrospective study of the effects on sinus complications of exposing dental implants to the maxillary sinus cavity. Oral Surg. Oral Med. Oral Pathol. Oral Radiol. Endod. 2007, 103, 623–625. [Google Scholar] [CrossRef] [PubMed]
- Hierl, T.; Doerfler, H.M.; Huempfner-Hierl, H.; Kruber, D. Evaluation of the Midface by Statistical Shape Modeling. J. Oral Maxillofac. Surg. 2021, 79, 202.e1–202.e6. [Google Scholar] [CrossRef] [PubMed]
- Phillips, B.J.; Turco, L.M. Le Fort Fractures: A Collective Review. Bull. Emerg. Trauma 2017, 5, 221–230. [Google Scholar] [CrossRef] [PubMed]
- Benedetto, U.; Head, S.J.; Angelini, G.D.; Blackstone, E.H. Statistical primer: Propensity score matching and its alternatives. Eur. J. Cardiothorac. Surg. 2018, 53, 1112–1117. [Google Scholar] [CrossRef] [PubMed]
Publisher’s Note: MDPI stays neutral with regard to jurisdictional claims in published maps and institutional affiliations. |
© 2022 by the authors. Licensee MDPI, Basel, Switzerland. This article is an open access article distributed under the terms and conditions of the Creative Commons Attribution (CC BY) license (https://creativecommons.org/licenses/by/4.0/).


