Immunohistochemical Markers and TILs Evaluation for Endometrial Carcinoma
Abstract
1. Introduction
2. Materials and Methods
2.1. Study Population
2.2. IHC Analysis
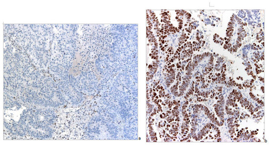
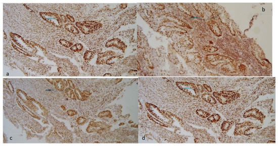
2.2.1. MMR Status
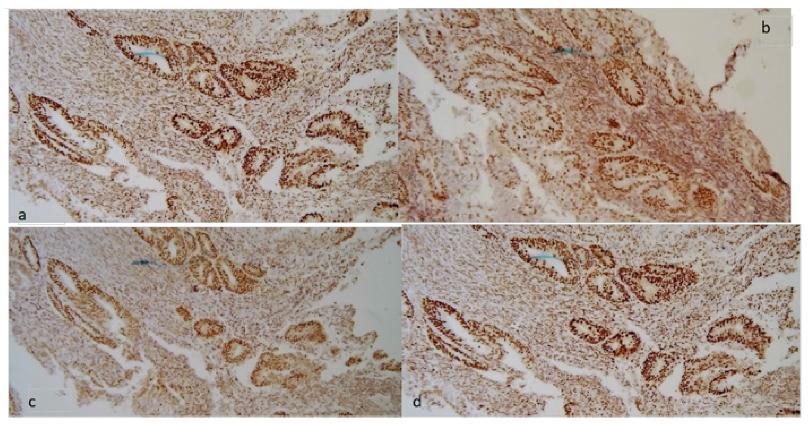
2.2.2. Hormone Receptors
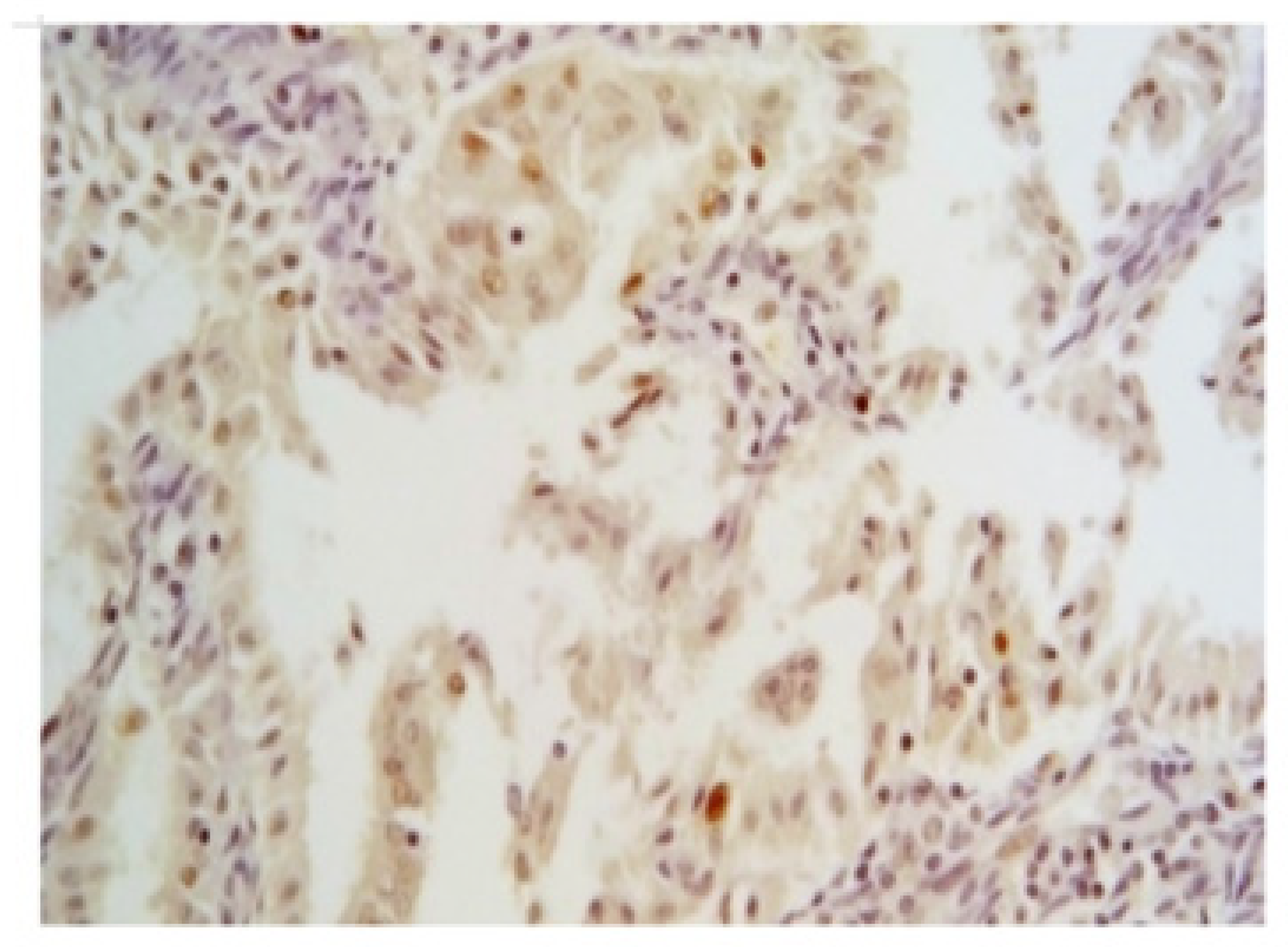
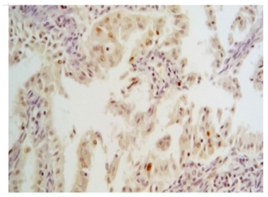
2.2.3. p53
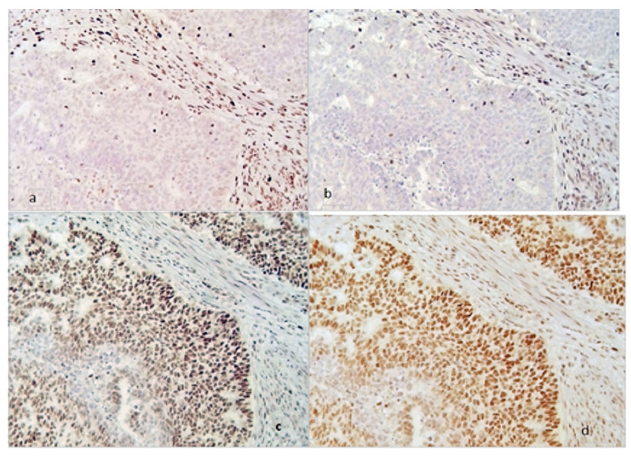
2.3. TILs
2.4. Statistical Analysis
3. Results
3.1. Clinical and Pathological Features
3.2. IHC Features
3.2.1. MMR Status
3.2.2. p53 Status
3.2.3. Hormone Receptors
ESTROGEN-RECEPTORS (ER)
PROGESTERONE RECEPTOR PgR
3.2.4. TILs
3.3. Outcome
3.3.1. DFS
3.3.2. OS
4. Discussion
Author Contributions
Funding
Institutional Review Board Statement
Informed Consent Statement
Data Availability Statement
Acknowledgments
Conflicts of Interest
References
- Concin, N.; Matias-Guiu, X.; Vergote, I.; Cibula, D.; Mirza, M.R.; Marnitz, S.; Ledermann, J.; Bosse, T.; Chargari, C.; Fagotti, A.; et al. ESGO/ESTRO/ESP Guidelines for the Management of Patients with Endometrial Carcinoma. Int. J. Gynecol. Cancer 2021, 31, 12–39. [Google Scholar] [CrossRef] [PubMed]
- Crosbie, E.J.; Zwahlen, M.; Kitchener, H.C.; Egger, M.; Renehan, A.G. Body Mass Index, Hormone Replacement Therapy, and Endometrial Cancer Risk: A Meta-Analysis BMI, HRT, and Endometrial Cancer. Cancer Epidemiol. Biomark. Prev. 2010, 19, 3119–3130. [Google Scholar] [CrossRef] [PubMed]
- Ferlay, J.; Soerjomataram, I.; Dikshit, R.; Eser, S.; Mathers, C.; Rebelo, M.; Parkin, D.M.; Forman, D.; Bray, F. Cancer Incidence and Mortality Worldwide: Sources, Methods and Major Patterns in GLOBOCAN 2012. Int. J. Cancer 2015, 136, E359–E386. [Google Scholar] [CrossRef] [PubMed]
- Morice, P.; Leary, A.; Creutzberg, C.; Abu-Rustum, N.; Darai, E. Endometrial Cancer. Lancet 2016, 387, 1094–1108. [Google Scholar] [CrossRef]
- Talhouk, A.; McAlpine, J.N. New Classification of Endometrial Cancers: The Development and Potential Applications of Genomic-Based Classification in Research and Clinical Care. Gynecol. Oncol. Res. Pract. 2016, 3, 14. [Google Scholar] [CrossRef] [PubMed]
- Murali, R.; Soslow, R.A.; Weigelt, B. Classification of Endometrial Carcinoma: More than Two Types. Lancet Oncol. 2014, 15, e268–e278. [Google Scholar] [CrossRef]
- Gilks, C.B.; Oliva, E.; Soslow, R.A. Poor Interobserver Reproducibility in the Diagnosis of High-Grade Endometrial Carcinoma. Am. J. Surg. Pathol. 2013, 37, 874–881. [Google Scholar] [CrossRef]
- Murali, R.; Davidson, B.; Fadare, O.; Carlson, J.A.; Crum, C.P.; Gilks, C.B.; Irving, J.A.; Malpica, A.; Matias-Guiu, X.; McCluggage, W.G.; et al. High-Grade Endometrial Carcinomas: Morphologic and Immunohistochemical Features, Diagnostic Challenges and Recommendations. Int. J. Gynecol. Pathol. 2019, 38 (Suppl. S1), S40–S63. [Google Scholar] [CrossRef]
- Soslow, R.A.; Tornos, C.; Park, K.J.; Malpica, A.; Matias-Guiu, X.; Oliva, E.; Parkash, V.; Carlson, J.; McCluggage, W.G.; Gilks, C.B. Endometrial Carcinoma Diagnosis: Use of FIGO Grading and Genomic Subcategories in Clinical Practice: Recommendations of the International Society of Gynecological Pathologists. Int. J. Gynecol. Pathol. 2019, 38 (Suppl. S1), S64–S74. [Google Scholar] [CrossRef]
- Cancer Genome Atlas Research Network; Kandoth, C.; Schultz, N.; Cherniack, A.D.; Akbani, R.; Liu, Y.; Shen, H.; Robertson, A.G.; Pashtan, I.; Shen, R.; et al. Integrated Genomic Characterization of Endometrial Carcinoma. Nature 2013, 497, 67–73. [Google Scholar] [CrossRef]
- Kommoss, S.; McConechy, M.K.; Kommoss, F.; Leung, S.; Bunz, A.; Magrill, J.; Britton, H.; Kommoss, F.; Grevenkamp, F.; Karnezis, A.; et al. Final Validation of the ProMisE Molecular Classifier for Endometrial Carcinoma in a Large Population-Based Case Series. Ann. Oncol. 2018, 29, 1180–1188. [Google Scholar] [CrossRef] [PubMed]
- Lomo, L.; Nucci, M.R.; Lee, K.R.; Lin, M.-C.; Hirsch, M.S.; Crum, C.P.; Mutter, G.L. Histologic and Immunohistochemical Decision-Making in Endometrial Adenocarcinoma. Mod. Pathol. 2008, 21, 937–942. [Google Scholar] [CrossRef] [PubMed]
- Goebel, E.A.; Vidal, A.; Matias-Guiu, X.; Blake Gilks, C. The Evolution of Endometrial Carcinoma Classification through Application of Immunohistochemistry and Molecular Diagnostics: Past, Present and Future. Virchows Arch. 2018, 472, 885–896. [Google Scholar] [CrossRef] [PubMed]
- Bansal, N.; Yendluri, V.; Wenham, R.M. The Molecular Biology of Endometrial Cancers and the Implications for Pathogenesis, Classification, and Targeted Therapies. Cancer Control 2009, 16, 8–13. [Google Scholar] [CrossRef] [PubMed]
- Bellone, S.; Bignotti, E.; Lonardi, S.; Ferrari, F.; Centritto, F.; Masserdotti, A.; Pettinella, F.; Black, J.; Menderes, G.; Altwerger, G.; et al. Polymerase ε (POLE) Ultra-Mutation in Uterine Tumors Correlates with T Lymphocyte Infiltration and Increased Resistance to Platinum-Based Chemotherapy in Vitro. Gynecol. Oncol. 2017, 144, 146–152. [Google Scholar] [CrossRef]
- Raffone, A.; Travaglino, A.; Raimondo, D.; Boccellino, M.P.; Maletta, M.; Borghese, G.; Casadio, P.; Insabato, L.; Mollo, A.; Zullo, F.; et al. Tumor-Infiltrating Lymphocytes and POLE Mutation in Endometrial Carcinoma. Gynecol. Oncol. 2021, 161, 621–628. [Google Scholar] [CrossRef]
- Carnevali, I.; Libera, L.; Chiaravalli, A.; Sahnane, N.; Furlan, D.; Viel, A.; Cini, G.; Cimetti, L.; Rossi, T.; Formenti, G.; et al. Somatic Testing on Gynecological Cancers Improve the Identification of Lynch Syndrome. Int. J. Gynecol. Cancer 2017, 27, 1543–1549. [Google Scholar] [CrossRef]
- Cho, K.R.; Cooper, K.; Croce, S.; Djordevic, B.; Herrington, S.; Howitt, B.; Hui, P.; Ip, P.; Koebel, M.; Lax, S.; et al. International Society of Gynecological Pathologists (ISGyP) Endometrial Cancer Project: Guidelines From the Special Techniques and Ancillary Studies Group. Int. J. Gynecol. Pathol. 2019, 38 (Suppl. S1), S114–S122. [Google Scholar] [CrossRef]
- Raffone, A.; Travaglino, A.; Cerbone, M.; Gencarelli, A.; Mollo, A.; Insabato, L.; Zullo, F. Diagnostic Accuracy of Immunohistochemistry for Mismatch Repair Proteins as Surrogate of Microsatellite Instability Molecular Testing in Endometrial Cancer. Pathol. Oncol. Res. 2020, 26, 1417–1427. [Google Scholar] [CrossRef]
- Stelloo, E.; Nout, R.A.; Osse, E.M.; Jürgenliemk-Schulz, I.J.; Jobsen, J.J.; Lutgens, L.C.; van der Steen-Banasik, E.M.; Nijman, H.W.; Putter, H.; Bosse, T.; et al. Improved Risk Assessment by Integrating Molecular and Clinicopathological Factors in Early-Stage Endometrial Cancer-Combined Analysis of the PORTEC Cohorts. Clin. Cancer Res. 2016, 22, 4215–4224. [Google Scholar] [CrossRef]
- Raffone, A.; Travaglino, A.; Cerbone, M.; De Luca, C.; Russo, D.; Di Maio, A.; De Marco, M.; Turco, M.C.; Insabato, L.; Zullo, F. Diagnostic Accuracy of P53 Immunohistochemistry as Surrogate of TP53 Sequencing in Endometrial Cancer. Pathol. Res. Pract. 2020, 216, 153025. [Google Scholar] [CrossRef] [PubMed]
- Salgado, R.; Denkert, C.; Demaria, S.; Sirtaine, N.; Klauschen, F.; Pruneri, G.; Wienert, S.; Van den Eynden, G.; Baehner, F.L.; Penault-Llorca, F.; et al. The Evaluation of Tumor-Infiltrating Lymphocytes (TILs) in Breast Cancer: Recommendations by an International TILs Working Group 2014. Ann. Oncol. 2015, 26, 259–271. [Google Scholar] [CrossRef] [PubMed]
- Sung, H.; Ferlay, J.; Siegel, R.L.; Laversanne, M.; Soerjomataram, I.; Jemal, A.; Bray, F. Global Cancer Statistics 2020: GLOBOCAN Estimates of Incidence and Mortality Worldwide for 36 Cancers in 185 Countries. CA. Cancer J. Clin. 2021, 71, 209–249. [Google Scholar] [CrossRef]
- Ryan, N.A.J.; McMahon, R.; Tobi, S.; Snowsill, T.; Esquibel, S.; Wallace, A.J.; Bunstone, S.; Bowers, N.; Mosneag, I.E.; Kitson, S.J.; et al. The Proportion of Endometrial Tumours Associated with Lynch Syndrome (PETALS): A Prospective Cross-Sectional Study. PLoS Med. 2020, 17, e1003263. [Google Scholar] [CrossRef] [PubMed]
- Vermij, L.; Smit, V.; Nout, R.; Bosse, T. Incorporation of Molecular Characteristics into Endometrial Cancer Management. Histopathology 2020, 76, 52–63. [Google Scholar] [CrossRef] [PubMed]
- Njoku, K.; Barr, C.E.; Crosbie, E.J. Current and Emerging Prognostic Biomarkers in Endometrial Cancer. Front. Oncol. 2022, 12, 890908. [Google Scholar] [CrossRef] [PubMed]
- Bokhman, J.V. Two Pathogenetic Types of Endometrial Carcinoma. Gynecol. Oncol. 1983, 15, 10–17. [Google Scholar] [CrossRef]
- Dong, D.; Lei, H.; Liu, D.; Bai, H.; Yang, Y.; Tang, B.; Li, K.; Liu, J.; Xu, G.; Xiao, X. POLE and Mismatch Repair Status, Checkpoint Proteins and Tumor-Infiltrating Lymphocytes in Combination, and Tumor Differentiation: Identify Endometrial Cancers for Immunotherapy. Front. Oncol. 2021, 11, 640018. [Google Scholar] [CrossRef]
- Talhouk, A.; Derocher, H.; Schmidt, P.; Leung, S.; Milne, K.; Gilks, C.B.; Anglesio, M.S.; Nelson, B.H.; McAlpine, J.N. Molecular Subtype Not Immune Response Drives Outcomes in Endometrial Carcinoma Molecular Subtype Not Immune Response Drives EC Outcomes. Clin. Cancer Res. 2019, 25, 2537–2548. [Google Scholar] [CrossRef]
- Howitt, B.E.; Shukla, S.A.; Sholl, L.M.; Ritterhouse, L.L.; Watkins, J.C.; Rodig, S.; Stover, E.; Strickland, K.C.; D’Andrea, A.D.; Wu, C.J.; et al. Association of Polymerase E-Mutated and Microsatellite-Instable Endometrial Cancers With Neoantigen Load, Number of Tumor-Infiltrating Lymphocytes, and Expression of PD-1 and PD-L1. JAMA Oncol. 2015, 1, 1319–1323. [Google Scholar] [CrossRef]
- Murali, R.; Grisham, R.N.; Soslow, R.A. The Roles of Pathology in Targeted Therapy of Women with Gynecologic Cancers. Gynecol. Oncol. 2018, 148, 213–221. [Google Scholar] [CrossRef] [PubMed]
- Sloan, E.A.; Moskaluk, C.A.; Mills, A.M. Mucinous Differentiation With Tumor Infiltrating Lymphocytes Is a Feature of Sporadically Methylated Endometrial Carcinomas. Int. J. Gynecol. Pathol. 2017, 36, 205–216. [Google Scholar] [CrossRef] [PubMed]
- Soong, R.; Knowles, S.; Williams, K.E.; Hammond, I.G.; Wysocki, S.J.; Iacopetta, B.J. Overexpression of P53 Protein Is an Independent Prognostic Indicator in Human Endometrial Carcinoma. Br. J. Cancer 1996, 74, 562–567. [Google Scholar] [CrossRef] [PubMed]
- Salvesen, H.B.; Iversen, O.E.; Akslen, L.A. Prognostic Significance of Angiogenesis and Ki-67, P53, and P21 Expression: A Population-Based Endometrial Carcinoma Study. J. Clin. Oncol. 1999, 17, 1382–1390. [Google Scholar] [CrossRef]
- van der Putten, L.J.M.; Visser, N.C.M.; van de Vijver, K.; Santacana, M.; Bronsert, P.; Bulten, J.; Hirschfeld, M.; Colas, E.; Gil-Moreno, A.; Garcia, A.; et al. Added Value of Estrogen Receptor, Progesterone Receptor, and L1 Cell Adhesion Molecule Expression to Histology-Based Endometrial Carcinoma Recurrence Prediction Models: An ENITEC Collaboration Study. Int. J. Gynecol. Cancer 2018, 28, 514–523. [Google Scholar] [CrossRef]
- Tomica, D.; Ramić, S.; Danolić, D.; Knezević, F.; Kolak, T.; Balja, M.P.; Alvir, I.; Mamić, I.; Puljiz, M. A Correlation between the Expression of Estrogen Receptors and Progesterone Receptors in Cancer Cells and in the Myometrium and Prognostic Factors in Endometrial Cancer. Coll. Antropol. 2014, 38, 129–134. [Google Scholar]








| Clinical and Pathological Features | n (%) n = 100 | |
|---|---|---|
| AGE | MEDIAN (RANGE) | 65 (36–87) |
| MEAN (SD) | 66 (SD ± 10) | |
| DIAGNOSIS BEFORE 50 YEARS OLD | 7 (7%) | |
| FAMILY HISTORY (FOR PELVIC AND GASTROINTESTINAL TUMOURS) | NEGATIVE | 86 (86%) |
| POSITIVE | 14 (14%) | |
| HISTOTYPE | ENDOMETRIOID | 84 (84%) |
| sEROUS | 8 (8%) | |
| MIXED | 7 (7%) | |
| UNDIFFERENTIATED | 1 (1%) | |
| MYOMETRIAL INVASION | <50% | 52 (52%) |
| ≥50% | 48 (48%) | |
| TUMOUR GRADE | G1 | 20 (20%) |
| G2 | 42 (42%) | |
| G3 | 38 (38%) | |
| FIGO STAGE | IA | 41 (41%) |
| IB | 26 (26%) | |
| II | 13 (13%) | |
| IIIA | 3 (3%) | |
| IIIB | 7 (7%) | |
| IIIC | 8 (8%) | |
| IV | 2 (2%) | |
| LYMPHADENECTOMY | NONE | 55 (55%) |
| PELVIC | 24 (24%) | |
| PELVIC + PARA-AORTIC | 17 (17%) | |
| BULKY | 4 (4%) | |
| LVSI † | PRESENT | 36 (36%) |
| ABSENT | 64 (64%) | |
| ADJUVANT TREATMENT (N = 99, 99%) | SURVEILLANCE | 51 |
| BRACHYTHERAPY | 6 | |
| EBRT ‡ | 12 | |
| EBRT+BRACHYTHERAPY | 7 | |
| CT § +EBRT (“SANDWICH”) | 16 | |
| CT | 4 | |
| CT + EBRT | 3 | |
| NEOADJUVANT TREATMENT (N = 1, 1%) | 1 | |
| p53 wt (n = 78) | p53 abn (n = 22) | Total (n = 100) | p-Value | |
|---|---|---|---|---|
| Histology | 0.0001 | |||
| − endometrioid | 70 (89.7%) | 14 (58.3%) | 84 (84%) | |
| − non-endometrioid | 8 (10.3%) | 8 (41.7%) | 16 (16%) | |
| Tumor grade | 0.004 | |||
| − G1 | 17 (22.4%) | 3 (12.5%) | 20 (20%) | |
| − G2 | 37 (48.7%) | 5 (20.8%) | 42 (42%) | |
| − G3 | 22 (28.9%) | 16 (66.7%) | 38 (38%) | |
| FIGO stage | 0.023 | |||
| − IA | 34 (44.7%) | 7 (29.2%) | 41 (41%) | |
| − IB | 22 (28.9%) | 4 (16.7%) | 26 (26%) | |
| − II | 10 (13.2%) | 3 (12.5%) | 13 (13%) | |
| − III–IV | 10 (13.2%) | 10 (41.7%) | 20 (20%) |
| ER− (n = 16) | ER+ (n = 84) | Total (n = 100) | p-Value | |
|---|---|---|---|---|
| Histology | 0.003 | |||
| − endometrioid | 9 (56.2%) | 75 (89.3%) | 84 (84%) | |
| − non-endometrioid | 7 (43.8%) | 9 (10.7%) | 16 (16%) | |
| Grade | 0.011 | |||
| − G1 | 0 (0%) | 20 (23.8%) | 20 (20%) | |
| − G2 | 5 (31.3%) | 37 (44%) | 42 (42%) | |
| − G3 | 11 (68.8%) | 27 (32.2%) | 38 (38%) | |
| FIGO stage | 0.013 | |||
| − IA | 2 (12.5%) | 39 (46.4%) | 41 (41%) | |
| − IB | 6 (37.5%) | 20 (23.8%) | 26 (26%) | |
| − II | 1 (6.3%) | 12 (14.3%) | 13 (13%) | |
| − III–IV | 7 (43.8%) | 13 (15.5%) | 20 (20%) |
| PgR− (n = 16) | PgR+ (n = 84) | Total (n = 100) | p-Value | |
|---|---|---|---|---|
| Histology | 0.029 | |||
| − endometrioid | 10 (62.5%) | 74 (88%) | 84 (84%) | |
| − non-endometrioid | 6 (37.5%) | 10 (12%) | 16 (16%) | |
| Grading | 0.003 | |||
| − G1 | 0 (0%) | 20 (23.8%) | 20 (20%) | |
| − G2 | 4 (25%) | 38 (45.2%) | 42 (42%) | |
| − G3 | 12 (75%) | 26 (31%) | 38 (38%) | |
| FIGO stage | 0.077 | |||
| − IA | 3 (18.8%) | 38 (45.2%) | 41 (41%) | |
| − IB | 6 (37.5%) | 20 (23.8%) | 26 (26%) | |
| − II | 1 (6.3%) | 12 (14.3%) | 13 (13%) | |
| − III–IV | 6 (37.5%) | 14 (16.7%) | 20 (20%) |
Publisher’s Note: MDPI stays neutral with regard to jurisdictional claims in published maps and institutional affiliations. |
© 2022 by the authors. Licensee MDPI, Basel, Switzerland. This article is an open access article distributed under the terms and conditions of the Creative Commons Attribution (CC BY) license (https://creativecommons.org/licenses/by/4.0/).
Share and Cite
Bounous, V.E.; Ferrero, A.; Campisi, P.; Fuso, L.; Pezua Sanjinez, J.O.S.; Manassero, S.; De Rosa, G.; Biglia, N. Immunohistochemical Markers and TILs Evaluation for Endometrial Carcinoma. J. Clin. Med. 2022, 11, 5678. https://doi.org/10.3390/jcm11195678
Bounous VE, Ferrero A, Campisi P, Fuso L, Pezua Sanjinez JOS, Manassero S, De Rosa G, Biglia N. Immunohistochemical Markers and TILs Evaluation for Endometrial Carcinoma. Journal of Clinical Medicine. 2022; 11(19):5678. https://doi.org/10.3390/jcm11195678
Chicago/Turabian StyleBounous, Valentina Elisabetta, Annamaria Ferrero, Paola Campisi, Luca Fuso, Jeremy Oscar Smith Pezua Sanjinez, Sabrina Manassero, Giovanni De Rosa, and Nicoletta Biglia. 2022. "Immunohistochemical Markers and TILs Evaluation for Endometrial Carcinoma" Journal of Clinical Medicine 11, no. 19: 5678. https://doi.org/10.3390/jcm11195678
APA StyleBounous, V. E., Ferrero, A., Campisi, P., Fuso, L., Pezua Sanjinez, J. O. S., Manassero, S., De Rosa, G., & Biglia, N. (2022). Immunohistochemical Markers and TILs Evaluation for Endometrial Carcinoma. Journal of Clinical Medicine, 11(19), 5678. https://doi.org/10.3390/jcm11195678

