Surgical Resection of a Recurrent Hepatocellular Carcinoma with Portal Vein Thrombosis: Is It a Good Treatment Option? A Case Report and Systematic Review of the Literature
Abstract
1. Introduction
2. Materials and Methods
2.1. Study Selection
2.2. Inclusion and Exclusion Criteria
2.3. Data Extraction
- Population: HCC patients with PVTT.
- Intervention: All curative surgical resection.
- Control: Patients treated with other therapies including TACE, RFA, HAIC, TARE systemic chemotherapy, best-supportive care and other non-surgical treatments.
- Outcome: Median Overall Survival, 1-, 2-, 3-year Median Overall Survival.
2.4. Statistical Analysis
3. Results
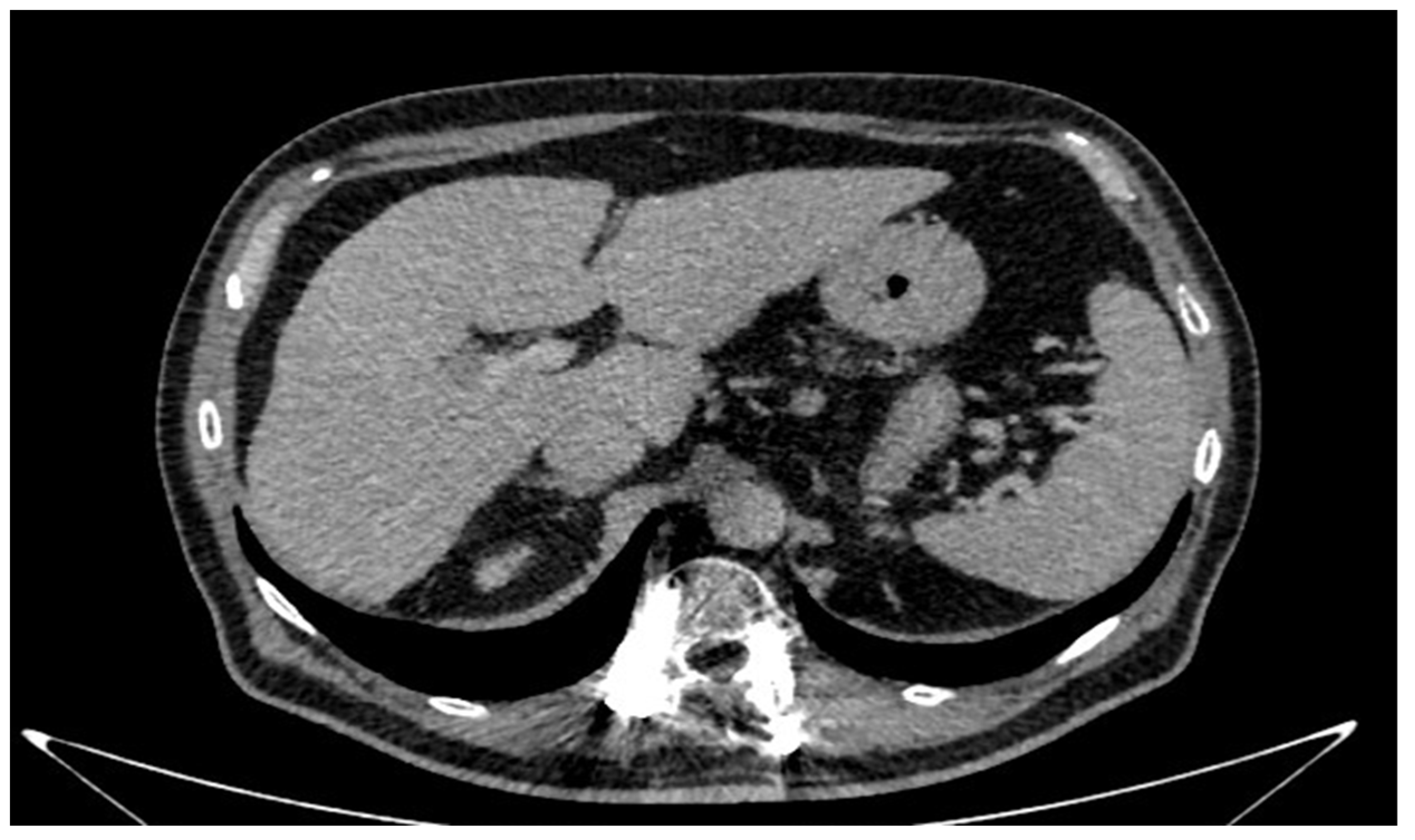
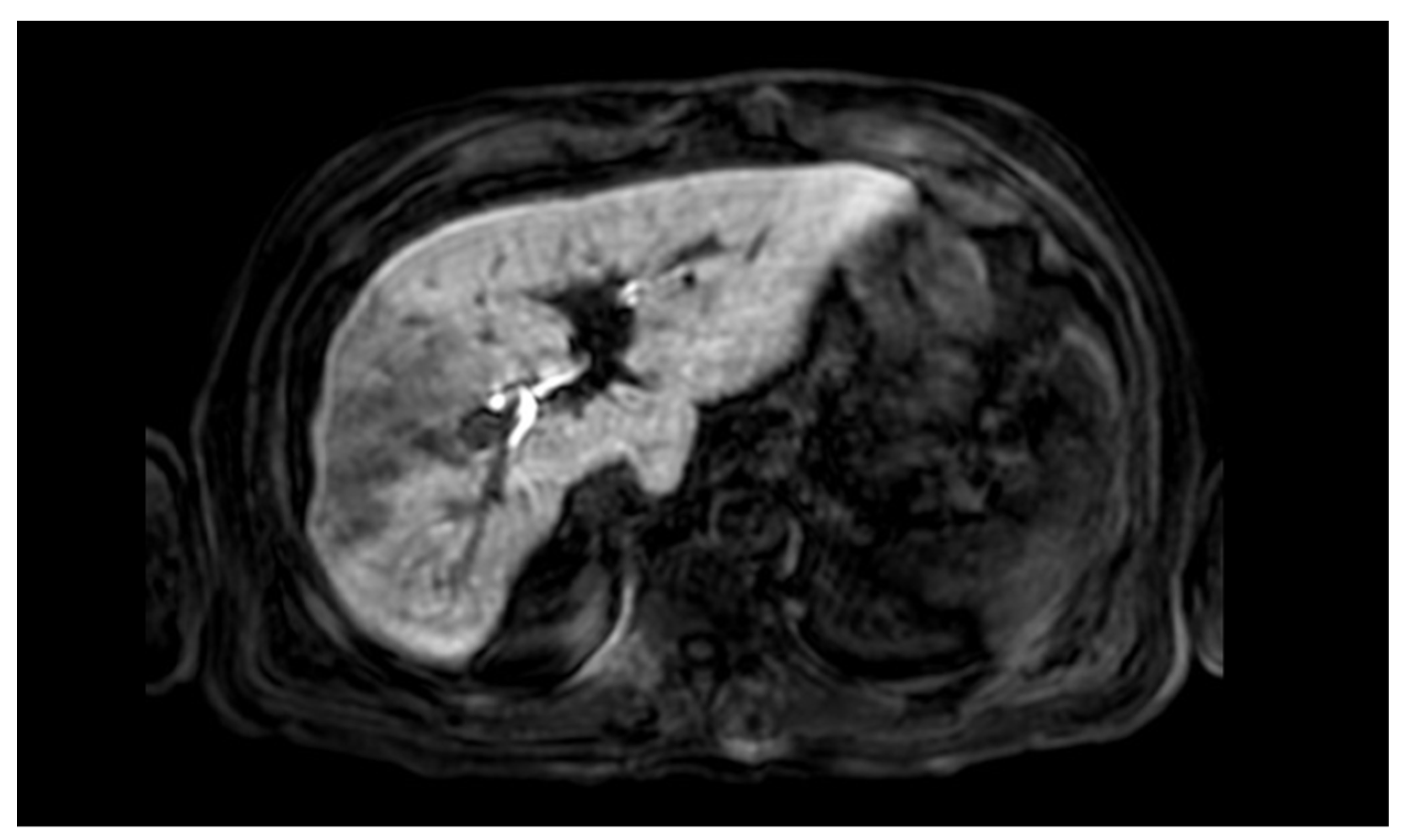
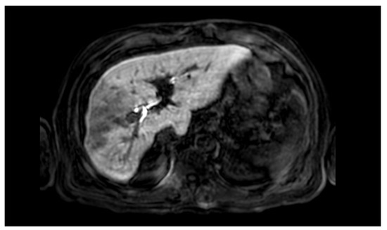
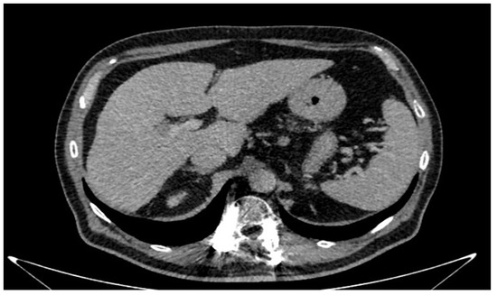
3.1. Case Presentation
3.2. Results of the Systematic Review
4. Discussion
5. Conclusions
Author Contributions
Funding
Institutional Review Board Statement
Informed Consent Statement
Data Availability Statement
Conflicts of Interest
References
- Jemal, A.; Bray, F.; Center, M.M.; Ferlay, J.; Ward, E.; Forman, D. Liver Cancer Estimated Incidence, Mortality and Prevalence Worldwide in 2012. Global Cancer Statistics. CA Cancer J. Clin. 2011, 61, 69–90. [Google Scholar] [CrossRef] [PubMed]
- Venook, A.P.; Papandreou, C.; Furuse, J.; de Guevara, L.L. The Incidence and Epidemiology of Hepatocellular Carcinoma: A Global and Regional Perspective. Oncologist 2010, 15, 5–13. [Google Scholar] [CrossRef] [PubMed]
- Zhang, Z.-M.; Lai, E.C.; Zhang, C.; Yu, H.-W.; Liu, Z.; Wan, B.-J.; Liu, L.-M.; Tian, Z.-H.; Deng, H.; Sun, Q.-H.; et al. The strategies for treating primary hepatocellular carcinoma with portal vein tumor thrombus. Int. J. Surg. 2015, 20, 8–16. [Google Scholar] [CrossRef]
- Florman, S.; Weaver, M.; Primeaux, P.; Killackey, M.; Sierra, R.; Gomez, S.; Haque, S.; Regenstein, F.; Balart, L. Aggressive Resection of Hepatocellular Carcinoma with Right Atrial Involvement. Am. Surg. 2009, 75, 1104–1108. [Google Scholar] [CrossRef] [PubMed]
- Hashimoto, T.; Minagawa, M.; Aoki, T.; Hasegawa, K.; Sano, K.; Imamura, H.; Sugawara, Y.; Makuuchi, M.; Kokudo, N. Caval Invasion by Liver Tumor Is Limited. J. Am. Coll. Surg. 2008, 207, 383–392. [Google Scholar] [CrossRef]
- Katagiri, S.; Yamamoto, M. Multidisciplinary treatments for hepatocellular carcinoma with major portal vein tumor thrombus. Surg. Today 2013, 44, 219–226. [Google Scholar] [CrossRef] [PubMed]
- Reig, M.; Forner, A.; Rimola, J.; Ferrer-Fàbrega, J.; Burrel, M.; Garcia-Criado, Á.; Kelley, R.K.; Galle, P.R.; Mazzaferro, V.; Salem, R.; et al. BCLC strategy for prognosis prediction and treatment recommendation Barcelona Clinic Liver Cancer (BCLC) staging system: The 2022 update. J. Hepatol. 2021, 76, 681–693. [Google Scholar] [CrossRef]
- Vitale, A.; Trevisani, F.; Farinati, F.; Cillo, U. Treatment of Hepatocellular Carcinoma in the Precision Medicine Era: From Treatment Stage Migration to Therapeutic Hierarchy. Hepatology 2020, 72, 2206–2218. [Google Scholar] [CrossRef]
- Omata, M.; Lesmana, L.A.; Tateishi, R.; Chen, P.-J.; Lin, S.-M.; Yoshida, H.; Kudo, M.; Lee, J.M.; Choi, B.I.; Poon, R.T.P.; et al. Asian Pacific Association for the Study of the Liver consensus recommendations on hepatocellular carcinoma. Hepatol. Int. 2010, 4, 439–474. [Google Scholar] [CrossRef]
- Qin, S. Primary Liver Cancer Diagnosis and Treatment Expert Panel of the Chinese Ministry of Health. Guidelines on the diagnosis and treatment of primary liver cancer (2011 edition). Chin. Clin. Oncol. 2012, 1, 1–32. [Google Scholar]
- Moher, D.; Liberati, A.; Tetzlaff, J.; Altman, D.G. Preferred reporting items for systematic reviews and meta-analyses: The PRISMA statement. Ann. Intern. Med. 2009, 151, 264–269. [Google Scholar] [CrossRef] [PubMed]
- Gagnier, J.J.; Kienle, G.; Altman, D.G.; Moher, D.; Sox, H.; Riley, D.; CARE Group. The CARE guidelines: Consensus-based clinical case reporting guideline development. BMJ Case Rep. 2013, 7, 223. [Google Scholar]
- Shi, J.; Lai, E.C.H.; Li, N.; Guo, W.-X.; Xue, J.; Lau, W.-Y.; Wu, M.-C.; Cheng, S.-Q. A new classification for hepatocellular carcinoma with portal vein tumor thrombus. J. Hepato-Biliary-Pancreat. Sci. 2010, 18, 74–80. [Google Scholar] [CrossRef]
- Sterne, J.A.; Hernán, M.A.; Reeves, B.C.; Savović, J.; Berkman, N.D.; Viswanathan, M.; Henry, D.; Altman, D.G.; Ansari, M.T.; Boutron, I.; et al. ROBINS-I: A tool for assessing risk of bias in non-randomised studies of interventions. BMJ 2016, 355, i4919. [Google Scholar] [CrossRef] [PubMed]
- Hamaoka, M.; Kobayashi, T.; Kuroda, S.; Iwako, H.; Okimoto, S.; Kimura, T.; Aikata, H.; Nagata, Y.; Chayama, K.; Ohdan, H. Hepatectomy after down-staging of hepatocellular carcinoma with portal vein tumor thrombus using chemoradiotherapy: A retrospective cohort study. Int. J. Surg. 2017, 44, 223–228. [Google Scholar] [CrossRef]
- Ryon, E.L.; Kronenfeld, J.P.; Lee, R.M.; Yopp, A.; Wang, A.; Lee, A.Y.; Luu, S.; Hsu, C.; Silberfein, E.; Russell, M.C.; et al. Surgical management of hepatocellular carcinoma patients with portal vein thrombosis: The United States Safety Net and Academic Center Collaborative Analysis. J. Surg. Oncol. 2020, 123, 407–415. [Google Scholar] [CrossRef] [PubMed]
- Peng, Z.-W.; Guo, R.-P.; Zhang, Y.-J.; Lin, X.-J.; Chen, M.-S.; Lau, W.Y. Hepatic resection versus transcatheter arterial chemoembolization for the treatment of hepatocellular carcinoma with portal vein tumor thrombus. Cancer 2012, 118, 4725–4736. [Google Scholar] [CrossRef]
- Zheng, N.; Wei, X.; Zhang, D.; Chai, W.; Che, M.; Wang, J.; Du, B. Hepatic resection or transarterial chemoembolization for hepatocellular carcinoma with portal vein tumor thrombus. Medicine 2016, 95, e3959. [Google Scholar] [CrossRef]
- Kokudo, T.; Hasegawa, K.; Matsuyama, Y.; Takayama, T.; Izumi, N.; Kadoya, M.; Kudo, M.; Ku, Y.; Sakamoto, M.; Nakashima, O.; et al. Survival benefit of liver resection for hepatocellular carcinoma associated with portal vein invasion. J. Hepatol. 2016, 65, 938–943. [Google Scholar] [CrossRef]
- Tang, Q.-H.; Li, A.-J.; Yang, G.-M.; Lai, E.C.; Zhou, W.-P.; Jiang, Z.-H.; Lau, W.Y.; Wu, M.-C. Surgical Resection Versus Conformal Radiotherapy Combined with TACE for Resectable Hepatocellular Carcinoma with Portal Vein Tumor Thrombus: A Comparative Study. World J. Surg. 2013, 37, 1362–1370. [Google Scholar] [CrossRef]
- Fan, J.; Zhou, J.; Wu, Z.Q.; Qiu, S.J.; Wang, X.Y.; Shi, Y.H.; Tang, Z.Y. Efficacy of different treatment strategies for hepatocellular carcinoma with portal vein tumor thrombosis. World J. Gastroenterol. 2005, 28, 1215–1219. [Google Scholar] [CrossRef] [PubMed]
- Ye, J.-Z.; Zhang, Y.-Q.; Ye, H.-H.; Bai, T.; Ma, L.; Xiang, B.-D.; Li, L.-Q. Appropriate treatment strategies improve survival of hepatocellular carcinoma patients with portal vein tumor thrombus. World J. Gastroenterol. 2014, 20, 17141–17147. [Google Scholar] [CrossRef] [PubMed]
- Zhang, Y.-F.; Wei, W.; Guo, Z.-X.; Wang, J.-H.; Shi, M.; Guo, R.-P. Hepatic resection versus transcatheter arterial chemoembolization for the treatment of hepatocellular carcinoma with hepatic vein tumor thrombus. Jpn. J. Clin. Oncol. 2015, 45, 837–843. [Google Scholar] [CrossRef] [PubMed][Green Version]
- Takayasu, K.; Arii, S.; Ikai, I.; Omata, M.; Okita, K.; Ichida, T.; Matsuyama, Y.; Nakanuma, Y.; Kojiro, M.; Makuuchi, M.; et al. Prospective Cohort Study of Transarterial Chemoembolization for Unresectable Hepatocellular Carcinoma in 8510 Patients. Gastroenterology 2006, 131, 461–469. [Google Scholar] [CrossRef]
- Luo, J.; Guo, R.; Lai, E.C.H.; Zhang, Y.; Lau, W.Y.; Chen, M.-S.; Shi, M. Transarterial Chemoembolization for Unresectable Hepatocellular Carcinoma with Portal Vein Tumor Thrombosis: A Prospective Comparative Study. Ann. Surg. Oncol. 2010, 18, 413–420. [Google Scholar] [CrossRef]
- Kim, K.M.; Kim, J.H.; Park, I.S.; Ko, G.-Y.; Yoon, H.-K.; Sung, K.-B.; Lim, Y.-S.; Lee, H.C.; Chung, Y.H.; Lee, Y.S.; et al. Reappraisal of repeated transarterial chemoembolization in the treatment of hepatocellular carcinoma with portal vein invasion. J. Gastroenterol. Hepatol. 2009, 24, 806–814. [Google Scholar] [CrossRef]
- Lee, H.S.; Kim, J.S.; Choi, I.J.; Chung, J.W.; Park, J.H.; Kim, C.Y. The safety and efficacy of transcatheter arterial chemoembolization in the treatment of patients with hepatocellular carcinoma and main portal vein obstruction. A prospective controlled study. Cancer 1997, 79, 2087–2094. [Google Scholar] [CrossRef]
- Finn, R.S.; Qin, S.; Ikeda, M.; Galle, P.R.; Ducreux, M.; Kim, T.-Y.; Kudo, M.; Breder, V.; Merle, P.; Kaseb, A.O.; et al. Atezolizumab plus Bevacizumab in Unresectable Hepatocellular Carcinoma. N. Engl. J. Med. 2020, 382, 1894–1905. [Google Scholar] [CrossRef]
- Llovet, J.M.; Ricci, S.; Mazzaferro, V.; Hilgard, P.; Gane, E.; Blanc, J.F.; De Oliveira, A.C.; Santoro, A.; Raoul, J.L.; Forner, A.; et al. Sorafenib in advanced hepatocellular carcinoma. N. Engl. J. Med. 2008, 359, 378–390. [Google Scholar] [CrossRef]
- Shi, J.; Lai, E.C.H.; Li, N.; Guo, W.-X.; Xue, J.; Lau, W.Y.; Wu, M.-C.; Cheng, S.-Q. Surgical Treatment of Hepatocellular Carcinoma with Portal Vein Tumor Thrombus. Ann. Surg. Oncol. 2010, 17, 2073–2080. [Google Scholar] [CrossRef]
- Konishi, M.; Ryu, M.; Kinoshita, T.; Inoue, K. Surgical treatment of hepatocellular carcinoma with direct removal of the tumor thrombus in the main portal vein. Hepato Gastroenterol. 2001, 48, 1421–1424. [Google Scholar]
- Pawlik, T.M.; Poon, R.T.; Abdalla, E.K.; Ikai, I.; Nagorney, D.M.; Belghiti, J.; Kianmanesh, R.; Ng, I.O.L.; Curley, S.A.; Yamaoka, Y.; et al. Hepatectomy for hepatocellular carcinoma with major portal or hepatic vein invasion: Results of a multicenter study. Surgery 2005, 137, 403–410. [Google Scholar] [CrossRef] [PubMed]
- Kondo, K.; Chijiiwa, K.; Kai, M.; Otani, K.; Nagaike, K.; Ohuchida, J.; Hiyoshi, M.; Nagano, M. Surgical Strategy for Hepatocellular Carcinoma Patients with Portal Vein Tumor Thrombus Based on Prognostic Factors. J. Gastrointest. Surg. 2009, 13, 1078–1083. [Google Scholar] [CrossRef] [PubMed]
- Ikai, I.; Hatano, E.; Hasegawa, S.; Fujii, H.; Taura, K.; Uyama, N.; Shimahara, Y. Prognostic Index for Patients with Hepatocellular Carcinoma Combined with Tumor Thrombosis in the Major Portal Vein. J. Am. Coll. Surg. 2006, 202, 431–438. [Google Scholar] [CrossRef]
- Le Treut, Y.P.; Hardwigsen, J.; Ananian, P.; Saisse, J.; Gregoire, E.; Richa, H.; Campan, P. Resection of hepatocellular carcinoma with tumor thrombus in the major vasculature. A European case-control series. J. Gastrointest. Surg. 2006, 10, 855–862. [Google Scholar] [CrossRef]
- Xue, T.-C.; Xie, X.-Y.; Zhang, L.; Yin, X.; Zhang, B.-H.; Ren, Z.-G. Transarterial chemoembolization for hepatocellular carcinoma with portal vein tumor thrombus: A meta-analysis. BMC Gastroenterol. 2013, 13, 60. [Google Scholar] [CrossRef]
- Chok, K.S.H.; Cheung, T.T.; Chan, S.C.; Poon, R.T.P.; Fan, S.T.; Lo, C.M. Surgical Outcomes in Hepatocellular Carcinoma Patients with Portal Vein Tumor Thrombosis. World J. Surg. 2013, 38, 490–496. [Google Scholar] [CrossRef]
- Shaohua, L.; Qiaoxuan, W.; Peng, S.; Qing, L.; Zhongyuan, Y.; Ming, S.; Wei, W.; Rongping, G. Surgical Strategy for Hepatocellular Carcinoma Patients with Portal/Hepatic Vein Tumor Thrombosis. PLoS ONE 2015, 10, e0130021. [Google Scholar] [CrossRef]
- Wu, C.C.; Hsieh, S.R.; Chen, J.T.; Ho, W.L.; Lin, M.C.; Yeh, D.C.; Liu, T.J.; P’eng, F.K. An appraisal of liver and portal vein resection for hepatocellular carcinoma with tumor thrombi extending to portal bifurcation. Arch. Surg. 2000, 135, 1273–1279. [Google Scholar] [CrossRef]
- Peng, B.-G.; He, Q.; Li, J.-P.; Zhou, F. Adjuvant transcatheter arterial chemoembolization improves efficacy of hepatectomy for patients with hepatocellular carcinoma and portal vein tumor thrombus. Am. J. Surg. 2009, 198, 313–318. [Google Scholar] [CrossRef]
- Li, Q.; Wang, J.; Sun, Y.; Cui, Y.L.; Juzi, J.T.; Li, H.X.; Qian, B.Y.; Hao, X.S. Efficacy of postoperative transarterial chemoembolization and portal vein chemotherapy for patients with hepatocellular carcinoma complicated by portal vein tumor thrombosis-a randomized study. World J. Surg. 2006, 30, 2004–2011. [Google Scholar] [CrossRef] [PubMed]
- Sena, G.; Picciariello, A.; Marino, F.; Goglia, M.; Rocca, A.; Meniconi, R.L.; Gallo, G. One-Stage Total Laparoscopic Treatment for Colorectal Cancer with Synchronous Metastasis. Is It Safe and Feasible? Front. Surg. 2021, 8, 752135. [Google Scholar] [CrossRef] [PubMed]
- Cheng, S.; Yang, J.; Shen, F.; Zhou, W.; Wang, Y.; Cong, W.; Shun Yang, G.; Cheng, H.; Hu, H.; Gao, C.; et al. Multidisciplinary management of hepatocellular carcinoma with portal vein tumor thrombus—Eastern Hepatobiliary Surgical Hospital consensus statement. Oncotarget 2016, 7, 40816. [Google Scholar] [CrossRef] [PubMed]




| Reference | Year | Number of Patients | Mean Age (Years) | Male | Median Survival (Months) | 1-2-3 Years Survival Rate (%) | Study Type | |||||
|---|---|---|---|---|---|---|---|---|---|---|---|---|
| SR | n-SR | SR | n-SR | SR | N-SR | SR | n-SR | SR | n-SR | |||
| Hamaoka [15] | 2017 | 7 | 43 | 66 | 64 | 7 | 40 | 38 | 13.1 | 100; 100; 71 | 50; 20; 18 | Retrospective |
| Ryon [16] | 2020 | 21 | 186 | 55.2 | 61.2 | 18 | 151 | 19 | 5.8 | N/A | N/A | Retrospective |
| Peng [17] | 2011 | 201 | 402 | 55 | 55 | 187 | 374 | 20 | 13 | 42; 14.1; 11.1 | 37.8; 7.3; 0.5 | Retrospective |
| Zheng [18] | 2016 | 96 | 134 | 51.9 | 51.6 | 75 | 98 | N/A | N/A | 86.5; 0.4; 33.3 | 77.6; 47.8; 20.9 | Retrospective |
| Kokudo [19] | 2016 | 2093 | 4381 | 63.2 | 66.4 | 1744 | 3490 | 34.4 | 13.3 | 74.8; 49.1; 39.1 | 53.1; 25.3; 16.0 | Retrospective |
| Tang [20] | 2013 | 186 | 185 | 48.4 | 49.7 | 166 | 155 | 10 | 12.3 | 51.6; 28.4; 19.9 | 40.1; 17.0; 13.6 | Retrospective |
| Fan [21] | 2005 | 24 | 53 | 55 | 58 | 20 | 49 | 10 | 7.3 | 22.7; 9.8; 0 | 11.8; 0; 0 | Prospective |
| Ye [22] | 2014 | 90 | 75 | 49 | 45 | 81 | 80 | 8.2 | 7 | 28; 20; 15 | 17.5; 0; 0 | Prospective |
| Zhang [23] | 2015 | 28 | 56 | 47 | 51 | 27 | 54 | 15.6 | 9.1 | 66.5; 37.4; 28.5 | 32.3; 18.7; 15.6 | Prospective |
| Reference | Treatment | Child-Pugh | Portal Hypertension Yes (%) | AFP | PVTT Type Ⅰ(%)/Ⅱ(%)/Ⅲ(%)/Ⅳ(%) | HBV (%) | |
|---|---|---|---|---|---|---|---|
| A | B | ||||||
| Hamaoka [15] | SR | 7 | 0 | N/A | 0.321 | N/A; N/A; 3(42.8); 4 (57.1) | 42.8 |
| TACE, RFA, HAIC | 32 | 11 | N/A | N/A; N/A; 18(41.8); 25(58.1) | 32.5 | ||
| p Value | 0.130 | N/A | 0.830 | 0.728 | |||
| Ryon [16] | SR | 12 | 6 | N/A | 0.027 | N/A | 81 |
| TACE, RFA, Y90 radioembolization, systemic therapy | 67 | 85 | N/A | N/A | 83.1 | ||
| p Value | 0.171 | N/A | N/A | 0.750 | |||
| Peng [17] | SR | 197 | 4 | N/A | 0.07 | 27(14.4); 69 (34.3); 83 (41.2); 23(11.4) | 85.5 |
| TACE | 389 | 13 | N/A | 54(13.4); 136(33.8); 166(41.2); 46(11.4) | 88.5 | ||
| p Value | 0.447 | N/A | 1.00 | 0.755 | |||
| Zheng [18] | SR | 75 | 21 | 85.4 | 0.816 | 25(26.0); 23(23.9); 23(23.9; 25(26.0) | 58.3 |
| TACE | 101 | 33 | 88 | 31(23.1); 32(23.8); 33(24.6); 38(28.3) | 5.4 | ||
| p Value | 0.628 | 0.55 | 0.589 | 0.562 | |||
| Kokudo [19] | SR | 1877 | 216 | 12.8 | <0.001 | 893 (42.7); 528 (25.2); 466 (22.3); 206 (9.8) | 29.0 |
| TACE, RFA, HAIC, Systemic therapy | 2512 | 1869 | 41.0 | 879 (20.1); 947 (21.6); 1476 (33.7); 1079 (24.6) | 20.6 | ||
| p Value | 0.001 | N/A | 0.001 | 0.001 | |||
| Tang [20] | SR | 171 | 15 | N/A | 0.031 | 80 (43.0); 66 (35.5); 40 (21.5); N/A | 85.4 |
| RFA+TACE | 169 | 16 | N/A | 72 (38.9); 64 (34.6); 49 (26.5); N/A | 80.5 | ||
| p Value | 0.49 | N/A | 0.687 | 0.513 | |||
| Fan [21] | SR | 18 | 6 | N/A | N/A | N/A | N/A |
| Systemic therapy | 39 | 14 | N/A | N/A | |||
| p Value | 0.351 | N/A | N/A | N/A | |||
| Ye [22] | SR | 84 | 6 | 4.6 | 0.704 | N/A | 13.3 |
| TACE | 78 | 9 | 44.1 | N/A | 20.9 | ||
| p Value | 0.601 | 0.161 | N/A | 0.702 | |||
| Zhang [23] | SR | 28 | 0 | N/A | 0.417 | N/A | 92.8 |
| TACE | 53 | 3 | N/A | N/A | 80.3 | ||
| p Value | 0.457 | N/A | N/A | 0.203 | |||
| Reference | Baseline Confounding | Selection of Partecipants | Classification of Intervention | Deviation from Intended Intervention | Missing Data | Measurement of Outcomes | Selection of Reported Results | Overall Risk of Bias |
|---|---|---|---|---|---|---|---|---|
| Hamaoka [15] | Low | Moderate | Low | Moderate | Low | Low | Low | Moderate |
| Ryon [16] | Moderate | Moderate | Low | Moderate | Moderate | Low | Low | Moderate |
| Peng [17] | Low | Low | Low | Low | Low | Low | Low | Low |
| Zheng [18] | Low | Moderate | Low | Low | Moderate | Low | Low | Moderate |
| Kokudo [19] | Moderate | Serious | Moderate | Moderate | Serious | Low | Low | Serious |
| Tang [20] | Moderate | Moderate | Low | Moderate | Moderate | Low | Low | Moderate |
| Fan [21] | Serious | Moderate | Moderate | Serious | Moderate | Low | Moderate | Serious |
| Ye [22] | Moderate | Moderate | Moderate | Seious | Moderate | Moderate | Low | Serious |
| Zhang [23] | Moderate | Moderate | Low | Moderate | Low | Moderate | Moderate | Moderate |
Publisher’s Note: MDPI stays neutral with regard to jurisdictional claims in published maps and institutional affiliations. |
© 2022 by the authors. Licensee MDPI, Basel, Switzerland. This article is an open access article distributed under the terms and conditions of the Creative Commons Attribution (CC BY) license (https://creativecommons.org/licenses/by/4.0/).
Share and Cite
Sena, G.; Paglione, D.; Gallo, G.; Goglia, M.; Osso, M.; Nardo, B. Surgical Resection of a Recurrent Hepatocellular Carcinoma with Portal Vein Thrombosis: Is It a Good Treatment Option? A Case Report and Systematic Review of the Literature. J. Clin. Med. 2022, 11, 5287. https://doi.org/10.3390/jcm11185287
Sena G, Paglione D, Gallo G, Goglia M, Osso M, Nardo B. Surgical Resection of a Recurrent Hepatocellular Carcinoma with Portal Vein Thrombosis: Is It a Good Treatment Option? A Case Report and Systematic Review of the Literature. Journal of Clinical Medicine. 2022; 11(18):5287. https://doi.org/10.3390/jcm11185287
Chicago/Turabian StyleSena, Giuseppe, Daniele Paglione, Gaetano Gallo, Marta Goglia, Mariasara Osso, and Bruno Nardo. 2022. "Surgical Resection of a Recurrent Hepatocellular Carcinoma with Portal Vein Thrombosis: Is It a Good Treatment Option? A Case Report and Systematic Review of the Literature" Journal of Clinical Medicine 11, no. 18: 5287. https://doi.org/10.3390/jcm11185287
APA StyleSena, G., Paglione, D., Gallo, G., Goglia, M., Osso, M., & Nardo, B. (2022). Surgical Resection of a Recurrent Hepatocellular Carcinoma with Portal Vein Thrombosis: Is It a Good Treatment Option? A Case Report and Systematic Review of the Literature. Journal of Clinical Medicine, 11(18), 5287. https://doi.org/10.3390/jcm11185287

