Arthroscopic Reduction and Fixation of Coronoid Fractures with Bending K-Wire: A New Technique
Abstract
1. Introduction
2. Surgical Technique
3. Postoperative Care
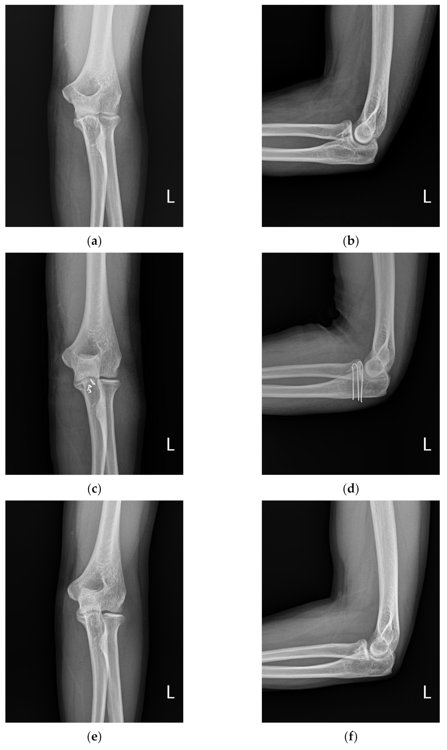
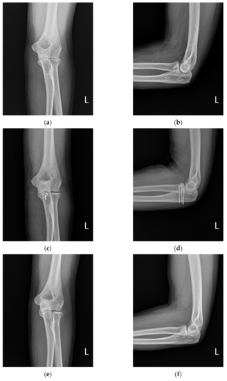
4. Case Series
5. Discussion
Author Contributions
Funding
Institutional Review Board Statement
Informed Consent Statement
Data Availability Statement
Conflicts of Interest
References
- Adams, J.E.; Merten, S.M.; Steinmann, S.P. Arthroscopic-assisted treatment of coronoid fractures. Arthroscopy 2007, 23, 1060–1065. [Google Scholar] [CrossRef]
- Clarke, S.E.; Lee, S.Y.; Raphael, J.R. Coronoid fixation using suture anchors. Hand N. Y. 2009, 4, 156–160. [Google Scholar] [CrossRef]
- Cho, C.H.; Kim, D.H.; Park, S.G.; Shin, D.; Kim, B.S. Characteristics of Elbow Dislocation in Patients with Preexisting Cubitus Varus. Clin. Orthop. Surg. 2021, 13, 83–87. [Google Scholar] [CrossRef]
- Schneeberger, A.G.; Sadowski, M.M.; Jacob, H.A. Coronoid process and radial head as posterolateral rotatory stabilizers of the elbow. J. Bone Jt. Surg. Am. 2004, 86, 975–982. [Google Scholar] [CrossRef]
- Doornberg, J.N.; Ring, D.C. Fracture of the anteromedial facet of the coronoid process. J. Bone Jt. Surg. Am. 2006, 88, 2216–2224. [Google Scholar] [CrossRef] [PubMed]
- Mallard, F.; Hubert, L.; Steiger, V.; Cronier, P. An original internal fixation technique by tension band wiring with steel wire in fractures of the coronoid process. Orthop. Traumatol. Surg. Res. 2015, 101, S211–S215. [Google Scholar] [CrossRef] [PubMed][Green Version]
- Ring, D.; Doornberg, J.N. Fracture of the anteromedial facet of the coronoid process. Surgical technique. J. Bone Jt. Surg. Am. 2007, 89, 267–283. [Google Scholar] [CrossRef] [PubMed]
- Cho, C.H.; Bae, K.C.; Kim, D.H. Biomaterials Used for Suture Anchors in Orthopedic Surgery. Clin. Orthop. Surg. 2021, 13, 287–292. [Google Scholar] [CrossRef] [PubMed]
- Luceri, F.; Lesman, J.J.; Cucchi, D.; Domzalski, M.; Randelli, P.S.; Arrigoni, P. Antegrade Reduction and Fixation of Coronoid Fractures: A New Arthroscopic Technique. Tech. Shoulder Elb. Surg. 2020, 21, 1–5. [Google Scholar] [CrossRef]
- Doornberg, J.N.; Ring, D. Coronoid fracture patterns. J. Hand Surg. Am. 2006, 31, 45–52. [Google Scholar] [CrossRef] [PubMed]
- Yang, X.; Chang, W.; Chen, W.; Liu, S.; Zhu, Y.; Zhang, Y. A novel anterior approach for the fixation of ulnar coronoid process fractures. Orthop. Traumatol. Surg. Res. 2017, 103, 899–904. [Google Scholar] [CrossRef] [PubMed]
- Regan, W.; Morrey, B.F. Classification and treatment of coronoid process fractures. Orthopedics 1992, 15, 845–848. [Google Scholar] [CrossRef] [PubMed]
- Keyt, L.K.; Jensen, A.R.; O’Driscoll, S.W.; Sanchez-Sotelo, J.; Morrey, M.E.; Camp, C.L. Establishing the learning curve for elbow arthroscopy: Surgeon and trainee perspectives on number of cases needed and optimal methods for acquiring skill. J. Shoulder Elb. Surg. 2020, 29, e434–e442. [Google Scholar] [CrossRef] [PubMed]
- Kang, L.Q.; Ding, Z.Q.; Sha, M.; Hong, J.Y.; Chen, W. A minimally invasive anterior approach to reduction and screw fixation of coronoid fractures. J. Hand Surg. Eur. Vol. 2010, 35, 224–227. [Google Scholar] [CrossRef] [PubMed]
- Arrigoni, P.; D’Ambrosi, R.; Cucchi, D.; Nicoletti, S.; Guerra, E. Arthroscopic fixation of coronoid process fractures through coronoid tunnelling and capsular plication. Joints 2016, 4, 153–158. [Google Scholar] [CrossRef] [PubMed]
- McKee, M.D.; Pugh, D.M.; Wild, L.M.; Schemitsch, E.H.; King, G.J. Standard surgical protocol to treat elbow dislocations with radial head and coronoid fractures. Surgical technique. J. Bone Jt. Surg Am. 2005, 87, 22–32. [Google Scholar] [CrossRef] [PubMed]
- Ring, D.; Jupiter, J.B. Reconstruction of posttraumatic elbow instability. Clin. Orthop. Relat. Res. 2000, 370, 44–56. [Google Scholar] [CrossRef] [PubMed]
- Shimada, N.; ShirakiIt, K.; Saita, K. Arthroscopic Osteosynthesis for the Treatment of Coronoid Process Fractures: A Case Series. Case Rep. Orthop. 2018, 2018, 8512963. [Google Scholar] [CrossRef] [PubMed]




| Case | Gender | Age | Anesthesia | Injury Mechanism | O’Driscoll Classification | Fragment Size (mm) | Follow Up (Months) | Associated Injury |
|---|---|---|---|---|---|---|---|---|
| 1 | M | 29 | Regional | Slip down | II (subtype 2) | 11 × 21 | 11 | None |
| 2 | M | 43 | General | Slip down | III (subtype 1) | 9 × 16 | 6 | None |
| 3 | M | 54 | General | Slip down | III (subtype 1) | 11 × 18 | 12 | * MCL, LUCL rupture |
| 4 | M | 57 | General | Fall down | II (subtype2) | 7 × 18 | 12 | ** Radial head fracture LUCL rupture |
| 5 | M | 26 | General | Fall down | II (subtype1) | 8 × 9 | 18 | ** Radial head fracture LUCL rupture |
| Mean | 42 | 12 |
| Case | Extension (0) | Flexion (150) | Internal Rotation (80) | External Rotation (80) | Range of Motion | MEPS | DASH |
|---|---|---|---|---|---|---|---|
| 1 | 0 | 130 | 85 | 85 | 300 | 100 | 1.7 |
| 2 | −10 | 130 | 85 | 80 | 285 | 100 | 0.9 |
| 3 | 0 | 150 | 90 | 90 | 330 | 100 | 0 |
| 4 | 0 | 120 | 90 | 80 | 290 | 100 | 0 |
| 5 | −5 | 120 | 70 | 50 | 235 | 85 | 9.5 |
| Mean | −3 | 130 | 84 | 77 | 288 | 97 | 2.42 |
Publisher’s Note: MDPI stays neutral with regard to jurisdictional claims in published maps and institutional affiliations. |
© 2022 by the authors. Licensee MDPI, Basel, Switzerland. This article is an open access article distributed under the terms and conditions of the Creative Commons Attribution (CC BY) license (https://creativecommons.org/licenses/by/4.0/).
Share and Cite
Choi, C.H.; Seok, H.-G.; Park, S.-G. Arthroscopic Reduction and Fixation of Coronoid Fractures with Bending K-Wire: A New Technique. J. Clin. Med. 2022, 11, 4964. https://doi.org/10.3390/jcm11174964
Choi CH, Seok H-G, Park S-G. Arthroscopic Reduction and Fixation of Coronoid Fractures with Bending K-Wire: A New Technique. Journal of Clinical Medicine. 2022; 11(17):4964. https://doi.org/10.3390/jcm11174964
Chicago/Turabian StyleChoi, Chang Hyun, Hyun-Gyu Seok, and Sam-Guk Park. 2022. "Arthroscopic Reduction and Fixation of Coronoid Fractures with Bending K-Wire: A New Technique" Journal of Clinical Medicine 11, no. 17: 4964. https://doi.org/10.3390/jcm11174964
APA StyleChoi, C. H., Seok, H.-G., & Park, S.-G. (2022). Arthroscopic Reduction and Fixation of Coronoid Fractures with Bending K-Wire: A New Technique. Journal of Clinical Medicine, 11(17), 4964. https://doi.org/10.3390/jcm11174964

