Should We Quantify Valvular Calcifications on Cardiac CT in Patients with Infective Endocarditis?
Abstract
:1. Introduction
2. Materials and Methods
2.1. Population
2.2. Acquisition Protocol
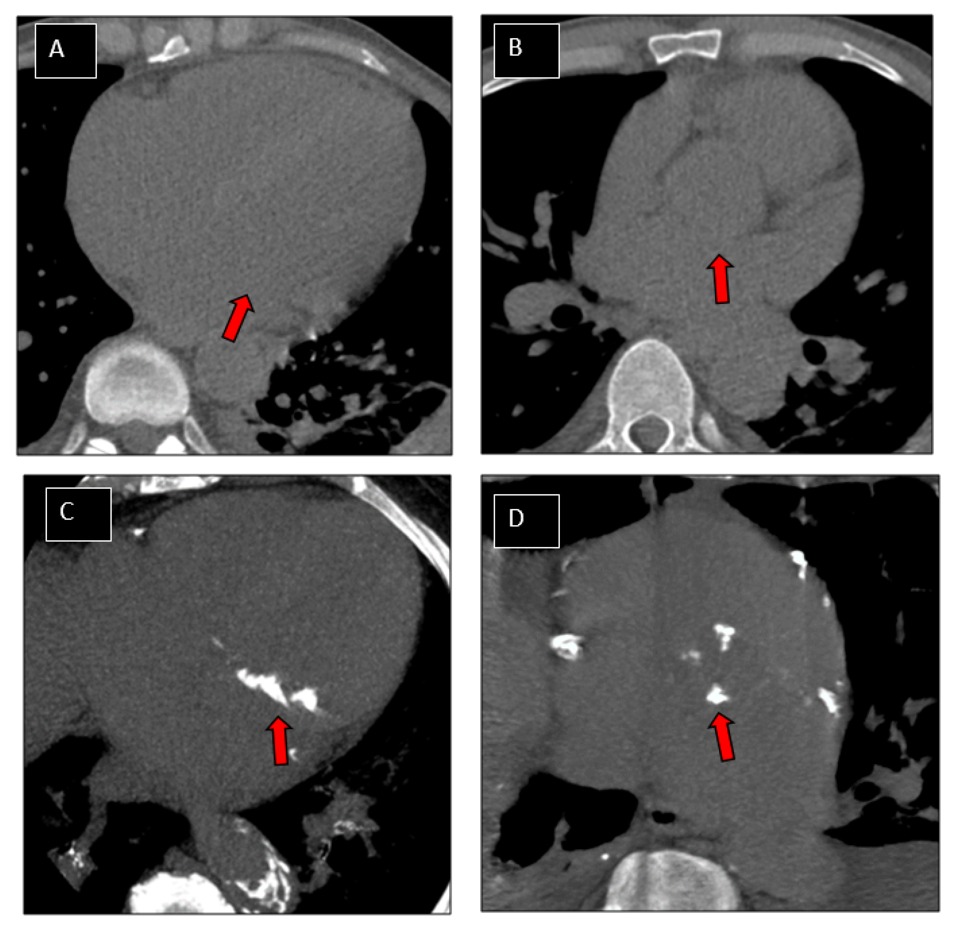
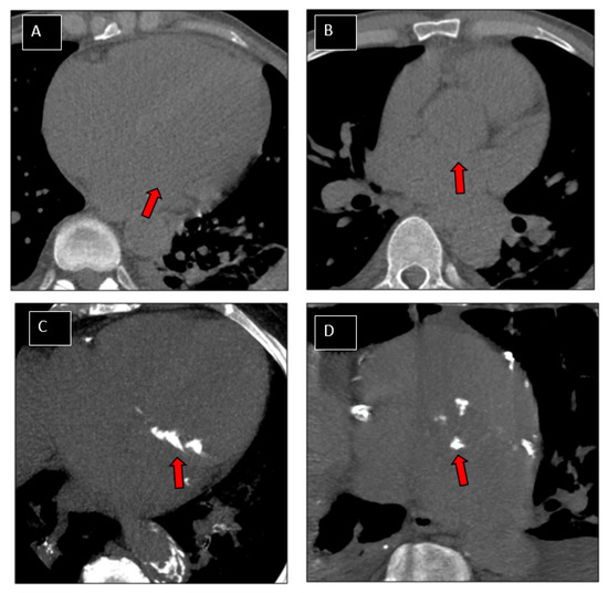
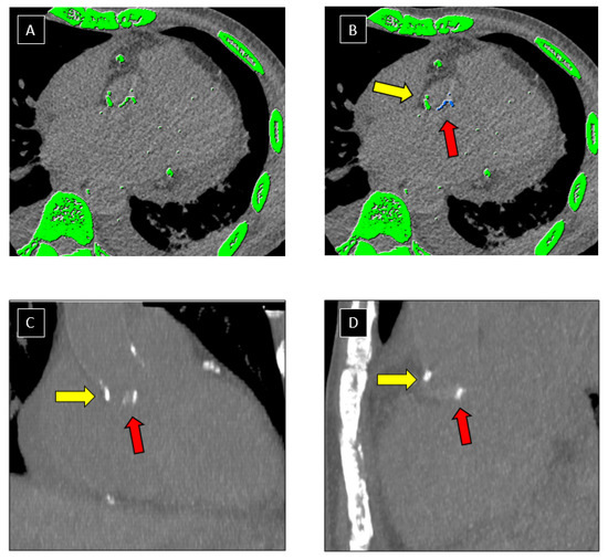
2.3. Post Processing
2.4. Patient’s Clinical Data
2.5. Statistical Analysis
3. Results
3.1. Population Characteristics
3.2. Global VCS Measurement
3.2.1. Patients with Native Mitral IE
3.2.2. Patients with Native Aortic IE
3.3. Radiation Exposure
4. Discussion
5. Conclusions
Author Contributions
Funding
Institutional Review Board Statement
Informed Consent Statement
Acknowledgments
Conflicts of Interest
References
- Agatston, A.S.; Janowitz, F.W.R.; Hildner, F.J.; Zusmer, N.R.; Viamonte, M., Jr.; Detrano, R. Quantification of coronary artery calcium using ultrafast computed tomography. J. Am. Coll. Cardiol. 1990, 15, 827–832. [Google Scholar] [CrossRef] [Green Version]
- Linde, L.; Carter-Storch, R.; Christensen, N.L.; Øvrehus, K.A.; Diederichsen, A.C.P.; Laursen, K.; Jensen, P.S.; Rasmussen, L.M.; Møller, J.E.; Dahl, J.S. Sex differences in aortic valve calcification in severe aortic valve stenosis: Association between computer tomography assessed calcification and valvular calcium concentrations. Eur. Heart J. Cardiovasc. Imaging 2021, 22, 581–588. [Google Scholar] [CrossRef]
- Bonow, R.O.; Brown, A.S.; Gillam, L.D.; Kapadia, S.R.; Kavinsky, C.J.; Lindman, B.R.; Mack, M.J.; Thourani, V.H.; Dehmer, G.J.; Beaver, T.M.; et al. ACC/AATS/AHA/ASE/EACTS/HVS/SCA/SCAI/SCCT/SCMR/STS 2017 Appropriate Use Criteria for the Treatment of Patients With Severe Aortic Stenosis: A Report of the American College of Cardiology Appropriate Use Criteria Task Force, American Association for Thoracic Surgery, American Heart Association, American Society of Echocardiography, European Association for Cardio-Thoracic Surgery, Heart Valve Society, Society of Cardiovascular Anesthesiologists, Society for Cardiovascular Angiography and Interventions, Society of Cardiovascular Computed Tomography, Society for Cardiovascular Magnetic Resonance, and Society of Thoracic Surgeons. J. Am. Soc. Echocardiogr. 2018, 31, 117–147. [Google Scholar] [CrossRef]
- Clavel, M.-A.; Burwash, I.G.; Pibarot, P. Cardiac Imaging for Assessing Low-Gradient Severe Aortic Stenosis. JACC Cardiovasc. Imaging 2017, 10, 185–202. [Google Scholar] [CrossRef]
- Cueff, C.; Serfaty, J.-M.; Cimadevilla, C.; Laissy, J.-P.; Himbert, D.; Tubach, F.; Duval, X.; Iung, B.; Enriquez-Sarano, M.; Vahanian, A.; et al. Measurement of aortic valve calcification using multislice computed tomography: Correlation with haemodynamic severity of aortic stenosis and clinical implication for patients with low ejection fraction. Heart Br. Card Soc. 2010, 97, 721–726. [Google Scholar] [CrossRef]
- Guerrero, M.; Wang, D.D.; Pursnani, A.; Eleid, M.; Khalique, O.; Urena, M.; Salinger, M.; Kodali, S.; Kaptzan, T.; Lewis, B.; et al. A Cardiac Computed Tomography–Based Score to Categorize Mitral Annular Calcification Severity and Predict Valve Embolization. JACC Cardiovasc. Imaging 2020, 13, 1945–1957. [Google Scholar] [CrossRef]
- Malguria, N.; Zimmerman, S.; Fishman, E.K. Coronary Artery Calcium Scoring. J. Comput. Assist. Tomogr. 2018, 42, 887–897. [Google Scholar] [CrossRef]
- Budoff, M.J.; Mayrhofer, T.; Ferencik, M.; Bittner, D.; Lee, K.L.; Lu, M.T.; Coles, A.; Jang, J.; Krishnam, M.; Douglas, P.S.; et al. Prognostic Value of Coronary Artery Calcium in the PROMISE Study (Prospective Multicenter Imaging Study for Evaluation of Chest Pain). Circulation 2017, 136, 1993–2005. [Google Scholar] [CrossRef]
- Isma’Eel, H.; Min, D.; Al-Shaar, L.; Hachamovitch, R.; Halliburton, S.; Gentry, J.; Griffin, B.; Schoenhagen, P.; Phelan, D. Assessing Level of Agreement for Atherosclerotic Cardiovascular Disease Risk Categorization Between Coronary Artery Calcium Score and the American College of Cardiology/American Heart Association Cardiovascular Prevention Guidelines and the Potential Impact on Treatment Recommendations. Am. J. Cardiol. 2016, 118, 1480–1485. [Google Scholar] [CrossRef]
- Alshahrani, A.M.; Mahmood, H.; Wells, G.A.; Hossain, A.; Rybicki, F.J.; Achenbach, S.; Al-Mallah, M.H.; Andreini, D.; Bax, J.J.; Berman, D.S.; et al. Point of Care Clinical Risk Score to Improve the Negative Diagnostic Utility of an Agatston Score of Zero: Averting the Need for Coronary Computed Tomography Angiography. Circ. Cardiovasc. Imaging 2019, 12, e008737. [Google Scholar] [CrossRef]
- Ciolina, F.; Sedati, P.; Zaccagna, F.; Galea, N.; Noce, V.; Miraldi, F.; Cavarretta, E.; Francone, M.; Carbone, I. Aortic valve stenosis: Non-invasive preoperative evaluation using 64-slice CT angiography. J. Cardiovasc. Surg. 2015, 56, 799–808. [Google Scholar]
- Pawade, T.A.; Newby, D.E.; Dweck, M.R. Calcification in Aortic Stenosis. J. Am. Coll. Cardiol. 2015, 66, 561–577. [Google Scholar] [CrossRef] [Green Version]
- Koos, R.; Mahnken, A.H.; Sinha, A.M.; Wildberger, J.E.; Hoffmann, R.; Kühl, H.P. Aortic Valve Calcification as a Marker for Aortic Stenosis Severity: Assessment on 16-MDCT. Am. J. Roentgenol. 2004, 183, 1813–1818. [Google Scholar] [CrossRef]
- Sturla, F.; Ronzoni, M.; Vitali, M.; Dimasi, A.; Vismara, R.; Preston-Maher, G.; Burriesci, G.; Votta, E.; Redaelli, A. Impact of different aortic valve calcification patterns on the outcome of transcatheter aortic valve implantation: A finite element study. J. Biomech. 2016, 49, 2520–2530. [Google Scholar] [CrossRef] [Green Version]
- Larroche, J.; Panh, L.; Lhermusier, T.; Bataille, V.; Marachet, M.-A.; Chollet, T.; Petermann, A.; Bouisset, F.; Boudou, N.; Marcheix, B.; et al. Impact of aortic valve calcification severity on device success after transcatheter aortic valve replacement. Int. J. Cardiovasc. Imaging 2020, 36, 731–740. [Google Scholar] [CrossRef]
- Bosmans, B.; Collas, V.; Verhoelst, E.; Paelinck, B.; Sloten, J.V.; Bosmans, J. Morphological Characteristics and Calcification of the Native Aortic Valve and the Relation to Significant Aortic Regurgitation after CoreValve TAVI. J. Heart Valve Dis. 2016, 25, 410–416. [Google Scholar]
- Guimarães, L.; Ferreira-Neto, A.N.; Urena, M.; Nombela-Franco, L.; Wintzer-Wehekind, J.; Levesque, M.-H.; Himbert, D.; Fischer, Q.; Armijo, G.; Vera, R.; et al. Transcatheter aortic valve replacement with the balloon-expandable SAPIEN 3 valve: Impact of calcium score on valve performance and clinical outcomes. Int. J. Cardiol. 2020, 306, 20–24. [Google Scholar] [CrossRef]
- Loeser, H.; Wittersheim, M.; Puetz, K.; Friemann, J.; Buettner, R.; Fries, J.W. Potential complications of transcatheter aortic valve implantation (TAVI)—An autopsy perspective. Cardiovasc. Pathol. 2013, 22, 319–323. [Google Scholar] [CrossRef]
- Nejjari, M.; Cacoub, L.; Digne, F. Management of non-rhythmic complications of TAVI procedures. Ann. Cardiol. D’angéiologie 2019, 68, 439–442. [Google Scholar] [CrossRef]
- Prendergast, B.D.; Tornos, P. Surgery for Infective Endocarditis: Who and when? Circulation 2010, 121, 1141–1152. [Google Scholar] [CrossRef] [Green Version]
- Savage, E.B.; Saha-Chaudhuri, P.; Asher, C.R.; Brennan, J.M.; Gammie, J.S. Outcomes and Prosthesis Choice for Active Aortic Valve Infective Endocarditis: Analysis of the Society of Thoracic Surgeons Adult Cardiac Surgery Database. Ann. Thorac. Surg. 2014, 98, 806–814. [Google Scholar] [CrossRef]
- Byrne, J.G.; Rezai, K.; Sanchez, J.; Bernstein, R.A.; Okum, E.; Leacche, M.; Balaguer, J.M.; Prabhakaran, S.; Bridges, C.R.; Higgins, R.S. Surgical Management of Endocarditis: The Society of Thoracic Surgeons Clinical Practice Guideline. Ann. Thorac. Surg. 2011, 91, 2012–2019. [Google Scholar] [CrossRef]
- Habib, G.; Erba, P.A.; Iung, B.; Donal, E.; Cosyns, B.; Laroche, C.; Popescu, B.A.; Prendergast, B.; Tornos, P.; Sadeghpour, A.; et al. Clinical presentation, aetiology and outcome of infective endocarditis. Results of the ESC-EORP EURO-ENDO (European infective endocarditis) registry: A prospective cohort study. Eur. Heart J. 2019, 40, 3222–3232. [Google Scholar] [CrossRef] [Green Version]
- Habib, G.; Lancellotti, P.; Erba, P.-A.; Sadeghpour, A.; Meshaal, M.; Sambola, A.; Furnaz, S.; Citro, R.; Ternacle, J.; Donal, E.; et al. The ESC-EORP EURO-ENDO (European Infective Endocarditis) registry. Eur. Heart J. Qual. Care Clin. Outcomes 2019, 5, 202–207. [Google Scholar] [CrossRef]
- Li, J.S.; Sexton, D.J.; Mick, N.; Nettles, R.; Fowler, J.V.G.; Ryan, T.; Bashore, T.; Corey, G.R. Proposed Modifications to the Duke Criteria for the Diagnosis of Infective Endocarditis. Clin. Infect. Dis. 2000, 30, 633–638. [Google Scholar] [CrossRef]
- Habib, G.; Lancellotti, P.; Antunes, M.J.; Bongiorni, M.G.; Casalta, J.-P.; Del Zotti, F.; Dulgheru, R.; El Khoury, G.; Erba, P.A.; Iung, B.; et al. 2015 ESC Guidelines for the management of infective endocarditis: The Task Force for the Management of Infective Endocarditis of the European Society of Cardiology (ESC). Endorsed by: European Associ-ation for Cardio-Thoracic Surgery (EACTS), the European Association of Nuclear Medicine (EANM). Eur. Heart J. 2015, 36, 3075–3128. [Google Scholar] [CrossRef]
- Chaosuwannakit, N.; Makarawate, P. Value of cardiac computed tomography angiography in pre-operative assessment of infective endocarditis. J. Cardiothorac. Surg. 2019, 14, 56. [Google Scholar] [CrossRef] [Green Version]
- Sims, J.R.; Anavekar, N.S.; Chandrasekaran, K.; Steckelberg, J.M.; Wilson, W.R.; Gersh, B.J.; Baddour, L.M.; DeSimone, D.C. Utility of cardiac computed tomography scanning in the diagnosis and pre-operative evaluation of patients with infective endocarditis. Int. J. Cardiovasc. Imaging 2018, 34, 1155–1163. [Google Scholar] [CrossRef]
- Hryniewiecki, T.; Zatorska, K.; Abramczuk, E.; Zakrzewski, D.; Szymański, P.; Kuśmierczyk, M.; Michałowska, I. The usefulness of cardiac CT in the diagnosis of perivalvular complications in patients with infective endocarditis. Eur. Radiol. 2019, 29, 4368–4376. [Google Scholar] [CrossRef] [Green Version]
- Koneru, S.; Huang, S.S.; Oldan, J.; Betancor, J.; Popovic, Z.B.; Rodriguez, L.L.; Shrestha, N.K.; Gordon, S.; Pettersson, G.; Bolen, M.A. Role of preoperative cardiac CT in the evaluation of infective endocarditis: Comparison with transesophageal echocardiography and surgical findings. Cardiovasc. Diagn. Ther. 2018, 8, 439–449. [Google Scholar] [CrossRef]
- Gahide, G.; Bommart, S.; DeMaria, R.; Sportouch, C.; Dambia, H.; Albat, B.; Vernhet-Kovacsik, H. Preoperative Evaluation in Aortic Endocarditis: Findings on Cardiac CT. Am. J. Roentgenol. 2010, 194, 574–578. [Google Scholar] [CrossRef]
- Feuchtner, G.M.; Stolzmann, P.; Dichtl, W.; Schertler, T.; Bonatti, J.; Scheffel, H.; Mueller, S.; Plass, A.; Mueller, L.; Bartel, T.; et al. Multislice Computed Tomography in Infective Endocarditis: Comparison With Transesophageal Echocardiography and Intraoperative Findings. J. Am. Coll. Cardiol. 2009, 53, 436–444. [Google Scholar] [CrossRef]
- Ouchi, K.; Sakuma, T.; Ojiri, H. Cardiac computed tomography as a viable alternative to echocardiography to detect vegetations and perivalvular complications in patients with infective endocarditis. Jpn. J. Radiol. 2018, 36, 421–428. [Google Scholar] [CrossRef]
- Habets, J.; Tanis, W.; van Herwerden, L.A.; Brink, R.B.A.V.D.; Mali, W.P.T.M.; De Mol, B.A.J.M.; Chamuleau, S.A.J.; Budde, R.P.J. Cardiac computed tomography angiography results in diagnostic and therapeutic change in prosthetic heart valve endocarditis. Int. J. Cardiovasc. Imaging 2014, 30, 377–387. [Google Scholar] [CrossRef] [Green Version]
- Lentini, S.; Monaco, F.; Tancredi, F.; Savasta, M.; Gaeta, R. Aortic Valve Infective Endocarditis: Could Multi-Detector CT Scan Be Proposed for Routine Screening of Concomitant Coronary Artery Disease Before Surgery? Ann. Thorac. Surg. 2009, 87, 1585–1587. [Google Scholar] [CrossRef]
- Bruun, N.E.; Habib, G.; Thuny, F.; Sogaard, P. Cardiac imaging in infectious endocarditis. Eur. Heart J. 2014, 35, 624–632. [Google Scholar] [CrossRef] [Green Version]
- Koo, H.J.; Yang, D.H.; Kang, J.-W.; Lee, J.Y.; Kim, D.-H.; Song, J.-M.; Kang, D.-H.; Song, J.-K.; Kim, J.B.; Jung, S.-H.; et al. Demonstration of infective endocarditis by cardiac CT and transoesophageal echocardiography: Comparison with intra-operative findings. Eur. Heart J. Cardiovasc. Imaging 2017, 19, 199–207. [Google Scholar] [CrossRef] [Green Version]
- Gomes, A.; Glaudemans, A.W.J.M.; Touw, D.J.; van Melle, J.P.; Willems, T.P.; Maass, A.H.; Natour, E.; Prakken, N.; Borra, R.; van Geel, P.P.; et al. Diagnostic value of imaging in infective endocarditis: A systematic review. Lancet Infect. Dis. 2017, 17, e1–e14. [Google Scholar] [CrossRef]
- Harding, D.; Prendergast, B. Advanced imaging improves the diagnosis of infective endocarditis. F1000Research 2018, 7, 674. [Google Scholar] [CrossRef] [Green Version]
- Nishimura, R.A.; Otto, C.M.; Bonow, R.O.; Carabello, B.A.; Erwin, J.P.; Guyton, R.A.; O’Gara, P.T.; Ruiz, C.E.; Skubas, N.J.; Sorajja, P.; et al. AHA/ACC Guideline for the Management of Patients with Valvular Heart Disease: A Report of the American College of Cardiology/American Heart Association Task Force on Practice Guidelines. Circulation 2014. [Google Scholar] [CrossRef]
- Carstensen, B.; Plummer, M.; Laara, E.; Hills, M. Epi: A Package for Statistical Analysis in Epidemiology. R Package Version 2.44. 2021. Available online: https://CRAN.R-project.org/package=Epi (accessed on 27 September 2021).
- Venables, W.N.; Ripley, B.D. Modern Applied Statistics with S, 4th ed.; Springer: New York, NY, USA, 2002. [Google Scholar]
- R: Firth’s Bias-Reduced Logistic Regression. Available online: http://finzi.psych.upenn.edu/library/logistf/html/logistf-package.html (accessed on 9 June 2020).
- R: A Language and Environment for Statistical Computing. Available online: https://www.gbif.org/fr/tool/81287/r-a-language-and-environment-for-statistical-computing (accessed on 9 June 2020).




| Patients (n = 70) | ||
|---|---|---|
| Age, y | 75.0 (61.5–83.5) | |
| Gender, Female | 28 (40.0) | |
| Bacteria | Streptoccocus | 34 (48.5) |
| Staphyloccocus | 25 (35.8) | |
| Other | 11 (15.7) | |
| Involved valve | Native aortic valve | 36 (51.5) |
| Native mitral valve | 31 (44.2) | |
| Native bi-valvular | 3 (4.3) | |
| Vegetation size (mm) | 13 ± 5 | |
| Peripheral embolism | 29 (41.4) | |
| Surgery | 50 (71.4) | |
| Type of Surgery * | Valve replacement | 36 (72.0) |
| Plasty | 23 (46.0) | |
| Death | 14 (20.0) | |
| Mitral IE (n = 34) | p value | |||
|---|---|---|---|---|
| High Calcified (VCS > 100) (n = 15) | Low Calcified (VCS ≤ 100) (n = 19) | |||
| Age, y | 80.5 (77.3–85.3) | 58.0 (42.5–62.5) | <0.001 | |
| Gender, Female | 6 (40.0) | 7 (36.8) | 1 | |
| Bacteria | Streptoccocus | 3 (20.0) | 9 (47.4) | 0.19 |
| Staphyloccocus | 10 (66.6) | 7 (36.8) | 0.17 | |
| Other | 2 (13.3) | 3 (15.8) | 1 | |
| Vegetation (mm) | 12 ± 2 | 14 ± 1 | 0.55 | |
| Peripheral embolism | 3 (20.0) | 9 (47.4) | 0.08 | |
| Surgery | 6 (40.0) | 15 (78.9) | 0.03 | |
| Type of surgery $ | Valve replacement | 3 (50.0) | 6 (40.0) | 1 |
| Plasty | 5 (83.3) | 14 (93.3) | ||
| Death | 8 (53.3) | 2 (10.5) | 0.04 | |
| Aortic IE (n = 39) | p value | |||
|---|---|---|---|---|
| High Calcified (VCS > 100) (n = 18) | Low Calcified (VCS ≤ 100) (n = 21) | |||
| Age, y | 76.5 (69.3–82.0) | 54.0 (43–63) | <0.001 | |
| Gender, Female | 6 (33.3) | 9 (42.8) | 0.11 | |
| Bacteria | Streptoccocus | 9 (50.0) | 14 (66.6) | 0.21 |
| Staphyloccocus | 3 (16.7) | 6 (28.6) | 0.46 | |
| Other | 6 (33.3) | 1 (4.8) | 0.03 | |
| Vegetation (mm) | 13 ± 2 | 12 ± 1 | 0.9 | |
| Peripheral embolism | 5 (27.7) | 12 (57.1) | 0.13 | |
| Surgery | 12 (66.6) | 17 (80.9) | 0.46 | |
| Type of surgery $ | Valve replacement | 12 (100) | 15 (88.2) | 1 |
| Plasty | 2 (16.7) | 2 (11.7) | ||
| Death | 3 (16.7) | 1 (4.8) | 0.32 | |
Publisher’s Note: MDPI stays neutral with regard to jurisdictional claims in published maps and institutional affiliations. |
© 2021 by the authors. Licensee MDPI, Basel, Switzerland. This article is an open access article distributed under the terms and conditions of the Creative Commons Attribution (CC BY) license (https://creativecommons.org/licenses/by/4.0/).
Share and Cite
Chevance, V.; Valter, R.; Nouri, M.R.; Sifaoui, I.; Moussafeur, A.; Lepeule, R.; Bergoend, E.; Mule, S.; Tacher, V.; Huguet, R.; et al. Should We Quantify Valvular Calcifications on Cardiac CT in Patients with Infective Endocarditis? J. Clin. Med. 2021, 10, 4458. https://doi.org/10.3390/jcm10194458
Chevance V, Valter R, Nouri MR, Sifaoui I, Moussafeur A, Lepeule R, Bergoend E, Mule S, Tacher V, Huguet R, et al. Should We Quantify Valvular Calcifications on Cardiac CT in Patients with Infective Endocarditis? Journal of Clinical Medicine. 2021; 10(19):4458. https://doi.org/10.3390/jcm10194458
Chicago/Turabian StyleChevance, Virgile, Remi Valter, Mohamed Refaat Nouri, Islem Sifaoui, Amina Moussafeur, Raphael Lepeule, Eric Bergoend, Sebastien Mule, Vania Tacher, Raphaelle Huguet, and et al. 2021. "Should We Quantify Valvular Calcifications on Cardiac CT in Patients with Infective Endocarditis?" Journal of Clinical Medicine 10, no. 19: 4458. https://doi.org/10.3390/jcm10194458
APA StyleChevance, V., Valter, R., Nouri, M. R., Sifaoui, I., Moussafeur, A., Lepeule, R., Bergoend, E., Mule, S., Tacher, V., Huguet, R., Folliguet, T., Canoui-Poitrine, F., Lim, P., & Deux, J.-F. (2021). Should We Quantify Valvular Calcifications on Cardiac CT in Patients with Infective Endocarditis? Journal of Clinical Medicine, 10(19), 4458. https://doi.org/10.3390/jcm10194458

