Prostate Artery Embolization Using N-Butyl Cyanoacrylate Glue for Urinary Tract Symptoms Due to Benign Prostatic Hyperplasia: A Valid Alternative to Microparticles?
Abstract
1. Introduction
2. Materials and Methods
2.1. Study Population
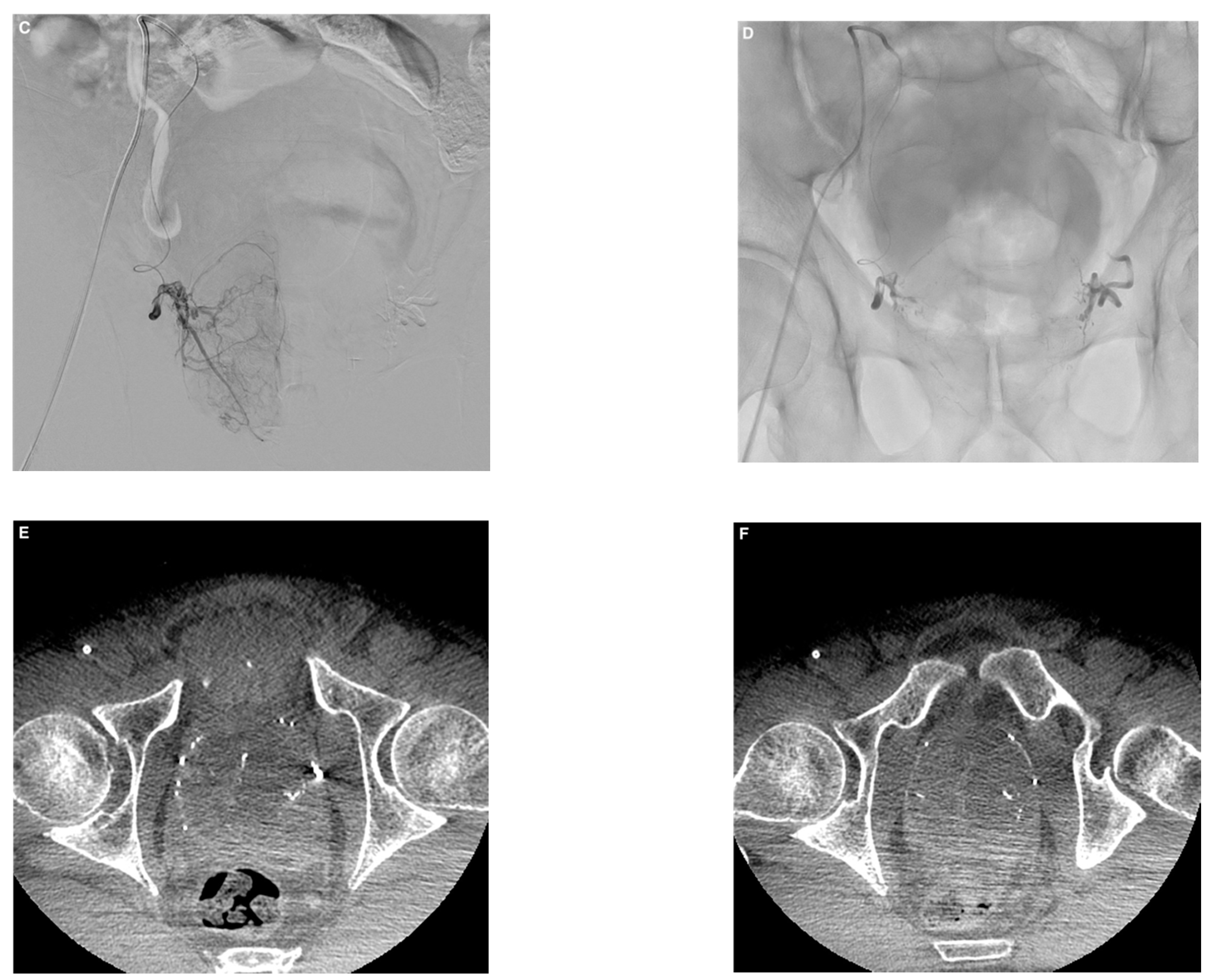
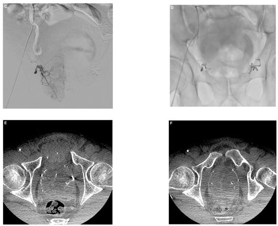
2.2. Endovascular Procedure
2.3. Endpoints and Follow-Up
2.4. Statistical Analysis
3. Results
3.1. Patients
3.2. Prostate Artery Embolization Procedure
3.3. Safety and Outcomes
3.4. Prognostic Factors
4. Discussion
5. Conclusions
Author Contributions
Funding
Institutional Review Board Statement
Informed Consent Statement
Data Availability Statement
Acknowledgments
Conflicts of Interest
References
- Burnett, A.L.; Wein, A.J. Benign prostatic hyperplasia in primary care: What you need to know. J. Urol. 2006, 175, S19–S24. [Google Scholar] [CrossRef]
- Parsons, J.K.; Dahm, P.; Köhler, T.S.; Lerner, L.B.; Wilt, T.J. Surgical management of lower urinary tract symptoms attributed to benign prostatic hyperplasia: AUA guideline amendment 2020. J. Urol. 2002, 204, 799–804. [Google Scholar] [CrossRef] [PubMed]
- Cormio, L.; Calò, B.; Falagario, U.; Iezzi, M.; Lamolinara, A.; Vitaglione, P.; Silecchia, G.; Carrieri, G.; Fogliano, V.; Iacobelli, S.; et al. Improvement of urinary tract symptoms and quality of life in benign prostate hyperplasia patients associated with consumption of a newly developed whole tomato-based food supplement: A phase II prospective, randomized double-blinded, placebo-controlled study. Transl. Med. 2021, 19, 24. [Google Scholar] [CrossRef]
- Geevarghese, R.; Harding, J.; Parsons, N.; Hutchinson, C.; Parsons, C. The relationship of embolic particle size to patient outcomes in prostate artery embolisation for benign prostatic hyperplasia: A systematic review and meta-regression. Clin. Radiol. 2020, 75, 366–374. [Google Scholar] [CrossRef]
- Maclean, D.; Harris, M.; Drake, T.; Maher, B.; Modi, S.; Dyer, J.; Somani, B.; Hacking, N.; Bryant, T. Factors predicting a good symptomatic outcome after prostate artery embolisation (PAE). Cardiovasc. Interv. Radiol. 2018, 41, 1152–1159. [Google Scholar] [CrossRef]
- Wang, M.; Guo, L.; Duan, F.; Yuan, K.; Zhang, G.; Li, K.; Yan, J.; Wang, Y.; Kang, H. Prostatic arterial embolization for the treatment of lower urinary tract symptoms caused by benign prostatic hyperplasia: A comparative study of medium- and large-volume prostates. BJU Int. 2016, 117, 155–164. [Google Scholar] [CrossRef]
- Zumstein, V.; Betschart, P.; Vetterlein, M.W.; Kluth, L.A.; Hechelhammer, L.; Mordasini, L.; Engeler, D.S.; Kessler, T.M.; Schmid, H.P.; Abt, D. Prostatic artery embolization versus standard surgical treatment for lower urinary tract symptoms secondary to benign prostatic hyperplasia: A systematic review and meta-analysis. Eur. Urol. Focus 2019, 5, 1091–1100. [Google Scholar] [CrossRef]
- Russo, G.I.; Kurbatov, D.; Sansalone, S.; Lepetukhin, A.; Dubsky, S.; Sitkin, I.; Salamone, C.; Fiorino, L.; Rozhivanov, R.; Cimino, S.; et al. Prostatic arterial embolization vs open prostatectomy: A 1-year matched-pair analysis of functional outcomes and morbidities. Urology 2015, 86, 343–348. [Google Scholar] [CrossRef] [PubMed]
- Carnevale, F.C.; Iscaife, A.; Yoshinaga, E.M.; Moreira, A.M.; Antunes, A.A.; Srougi, M. Transurethral resection of the prostate (TURP) versus original and PErFecTED prostate artery embolization (PAE) due to benign prostatic hyperplasia (BPH): Preliminary results of a single center, prospective, urodynamic-controlled analysis. Cardiovasc. Interv. Radiol. 2016, 39, 44–52. [Google Scholar] [CrossRef] [PubMed]
- DeMeritt, J.S.; Elmasri, F.F.; Esposito, M.P.; Rosenberg, G.S. Relief of benign prostatic hyperplasia-related bladder outlet obstruction after transarterial polyvinyl alcohol prostate embolization. J. Vasc. Interv. Radiol. 2000, 11, 767–770. [Google Scholar] [CrossRef]
- Abt, D.; Hechelhammer, L.; Müllhaupt, G.; Markart, S.; Güsewell, S.; Kessler, T.M.; Schmid, H.P.; Engeler, D.S.; Mordasini, L. Comparison of prostatic artery embolisation (PAE) versus transurethral resection of the prostate (TURP) for benign prostatic hyperplasia: Randomised, open label, non-inferiority trial. BMJ 2018, 361, k2338. [Google Scholar] [CrossRef]
- Ray, A.F.; Powell, J.; Speakman, M.J.; Longford, N.T.; DasGupta, R.; Bryant, T.; Modi, S.; Dyer, J.; Harris, M.; Carolan-Rees, G.; et al. Efficacy and safety of prostate artery embolization for benign prostatic hyperplasia: An observational study and propensity-matched comparison with transurethral resection of the prostate (the UK-ROPE study). BJU Int. 2018, 122, 270–282. [Google Scholar] [CrossRef]
- Carnevale, F.C.; Moreira, A.M.; de Assis, A.M.; Antunes, A.A.; Cristina de Paula Rodrigues, V.; Srougi, M.; Cerri, G.G. Prostatic artery embolization for the treatment of lower urinary tract symptoms due to benign prostatic hyperplasia: 10 years’ experience. Radiology 2020, 296, 444–451. [Google Scholar] [CrossRef] [PubMed]
- Gravas, S.; Cornu, J.N.; Gacci, M.; Gratzke, C.; Herrmann, T.R.W.; Mamoulakis, C.; Rieken, M.; Speakman, M.J.; Tikkinen, K.A.O. Management of non-neurogenic male LUTS. EAU Guidelines Edn presented at the EAU Annual Congress Amsterdam 2020 [Internet]. EAU. 2020. Available online: http://uroweb.org/guidelines/compilations-of-all-guidelines/ (accessed on 9 July 2021).
- Bilhim, T.; Pisco, J.; Pereira, J.A.; Costa, N.V.; Fernandes, L.; Campos Pinheiro, L.; Duarte, M.; Oliveira, A.G. Predictors of clinical outcome after prostate artery embolization with spherical and nonspherical polyvinyl alcohol particles in patients with benign prostatic hyperplasia. Radiology 2016, 281, 289–300. [Google Scholar] [CrossRef] [PubMed]
- Abdulmalak, G.; Chevallier, O.; Falvo, N.; Di Marco, L.; Bertaut, A.; Moulin, B.; Abi-Khalil, C.; Gehin, S.; Charles, P.E.; Latournerie, M.; et al. Safety and efficacy of transcatheter embolization with Glubran®2 cyanoacrylate glue for acute arterial bleeding: A single-center experience with 104 patients. Abdom Radiol. 2018, 43, 723–733. [Google Scholar] [CrossRef]
- Loffroy, R.; Desmyttere, A.S.; Mouillot, T.; Pellegrinelli, J.; Facy, O.; Drouilllard, A.; Falvo, N.; Charles, P.E.; Bardou, M.; Midulla, M.; et al. Ten-year experience with arterial embolization for peptic ulcer bleeding: N-butyl cyanoacrylate glue versus other embolic agents. Eur. Radiol. 2021, 31, 3015–3026. [Google Scholar] [CrossRef] [PubMed]
- Loffroy, R.; Guiu, B.; Cercueil, J.P.; Krausé, D. Endovascular therapeutic embolisation: An overview of occluding agents and their effects on embolised tissues. Curr. Vasc. Pharm. 2009, 7, 250–263. [Google Scholar] [CrossRef]
- Barry, M.J.; Williford, W.O.; Chang, Y.; Machi, M.; Jones, K.M.; Walker-Corkery, E.; Lepor, H. Benign prostatic hyperplasia specific health status measures in clinical research: How much change in the American Urological Association symptom index and the benign prostatic hyperplasia impact index is perceptible to patients? J. Urol. 1995, 154, 1770–1774. [Google Scholar] [CrossRef]
- Sacks, D.; McClenny, T.E.; Cardella, J.F.; Lewis, C.A. Society of Interventional Radiology clinical practice guidelines. J. Vasc. Interv. Radiol. 2003, 14, S199–S202. [Google Scholar] [CrossRef]
- Khalilzadeh, O.; Baerlocher, M.O.; Shyn, P.B.; Connolly, B.L.; Devane, A.M.; Morris, C.S.; Cohen, A.M.; Midia, M.; Thornton, R.H.; Gross, K.; et al. Proposal of a new adverse event classification by the Society of Interventional Radiology standards of practice committee. J. Vasc. Interv. Radiol. 2017, 28, 1432–1437.e3. [Google Scholar] [CrossRef]
- Ayyagari, R.; Powell, T.; Staib, L.; Chapiro, J.; Perez-Lozada, J.C.; Bhatia, S.; Chai, T.; Schoenberger, S.; Devito, R. Prostatic artery embolization in nonindex benign prostatic hyperplasia patients: Single-center outcomes for urinary retention and gross prostatic hematuria. Urology 2020, 136, 212–217. [Google Scholar] [CrossRef]
- Dindo, D.; Demartines, N.; Clavien, P.A. Classification of surgical complications: A new proposal with evaluation in a cohort of 6336 patients and results of a survey. Ann. Surg. 2004, 240, 205–213. [Google Scholar] [CrossRef]
- Moss, J.G.; Cooper, K.G.; Khaund, A.; Murray, L.S.; Murray, G.D.; Wu, O.; Craig, L.E.; Lumsden, M.A. Randomised comparison of uterine artery embolisation (UAE) with surgical treatment in patients with symptomatic uterine fibroids (REST trial): 5-year results. BJOG 2011, 118, 936–944. [Google Scholar] [CrossRef] [PubMed]
- Kuang, M.; Vu, A.; Athreya, S. A systematic review of prostatic artery embolization in the treatment of symptomatic benign prostatic hyperplasia. Cardiovasc. Interv. Radiol. 2017, 40, 655–663. [Google Scholar] [CrossRef] [PubMed]
- Malling, B.; Røder, M.A.; Brasso, K.; Forman, J.; Taudorf, M.; Lönn, L. Prostate artery embolisation for benign prostatic hyperplasia: A systematic review and meta-analysis. Eur. Radiol. 2019, 29, 287–298. [Google Scholar] [CrossRef] [PubMed]
- Bilhim, T.; Pisco, J.; Rio Tinto, H.; Fernandes, L.; Campos Pinheiro, L.; Duarte, M.; Pereira, J.A.; Oliveira, A.G.; O’Neill, J. Unilateral versus bilateral prostatic arterial embolization for lower urinary tract symptoms in patients with prostate enlargement. Cardiovasc. Interv. Radiol. 2013, 36, 403–411. [Google Scholar] [CrossRef] [PubMed]
- Pyo, J.S.; Cho, W.J. Systematic review and meta-analysis of prostatic artery embolisation for lower urinary tract symptoms related to benign prostatic hyperplasia. Clin. Radiol. 2017, 72, 16–22. [Google Scholar] [CrossRef]
- Jiang, Y.L.; Qian, L.J. Transurethral resection of the prostate versus prostatic artery embolization in the treatment of benign prostatic hyperplasia: A meta-analysis. BMC Urol. 2019, 19, 11. [Google Scholar] [CrossRef]
- Jung, J.H.; McCutcheon, K.A.; Borofsky, M.; Young, S.; Golzarian, J.; Reddy, B.; Shin, T.Y.; Kim, M.H.; Narayan, V.; Dahm, P. Prostatic arterial embolization for the treatment of lower urinary tract symptoms in men with benign prostatic hyperplasia. Cochrane Database Syst. Rev. 2020, 12, CD012867. [Google Scholar] [CrossRef][Green Version]
- Wang, M.Q.; Wang, Y.; Yan, J.Y.; Yuan, K.; Zhang, G.D.; Duan, F.; Li, K. Prostatic artery embolization for the treatment of symptomatic benign prostatic hyperplasia in men ≥75 years: A prospective single-center study. World J. Urol. 2016, 34, 1275–1283. [Google Scholar] [CrossRef] [PubMed]
- Shuster, A.; Gunnarsson, T.; Klurfan, P.; Larrazabal, R. N-butyl cyanoacrylate proved beneficial to avoid a nontarget embolization of the ophthalmic artery in endovascular management of epistaxis. A neurointerventional report and literature review. Interv. Neuroradiol. 2011, 17, 17–21. [Google Scholar] [CrossRef] [PubMed]
- Li, Y.J.; Barthes-Biesel, D.; Salsac, A.V. Polymerization kinetics of n-butyl cyanoacrylate glues used for vascular embolization. J. Mech. Behav. Biomed. Mater. 2017, 69, 307–317. [Google Scholar] [CrossRef]
- Li, Y.J.; Barthes-Biesel, D.; Salsac, A.V. Polymerization kinetics of a mixture of Lipiodol and Glubran 2 cyanoacrylate glue upon contact with a proteinaceous solution. J. Mech. Behav. Biomed. Mater. 2017, 74, 84–92. [Google Scholar] [CrossRef] [PubMed]
- Loffroy, R.; Mouillot, T.; Bardou, M.; Chevallier, O. Current role of cyanoacrylate glue transcatheter embolization in the treatment of acute nonvariceal gastrointestinal bleeding. Expert Rev. Gastroenterol. Hepatol. 2020, 14, 975–984. [Google Scholar] [CrossRef] [PubMed]
- Kurbatov, D.; Russo, G.I.; Lepetukhin, A.; Dubsky, S.; Sitkin, I.; Morgia, G.; Rozhivanov, R.; Cimino, S.; Sansalone, S. Prostatic artery embolization for prostate volume greater than 80 cm3: Results from a single-center prospective study. Urology 2014, 84, 400–404. [Google Scholar] [CrossRef]
- Loffroy, R.; Lin, M.D.; Yenokyan, G.; Rao, P.P.; Bhagat, N.; Noordhoek, N.; Radaelli, N.; Blijd, J.; Liapi, E.; Geschwind, J.F. Intraprocedural C-arm dual-phase cone-beam CT: Can it be used to predict short-term response to TACE with drug-eluting beads in patients with hepatocellular carcinoma? Radiology 2013, 266, 636–648. [Google Scholar] [CrossRef]
- Tanaka, F.; Kawai, N.; Sato, M.; Minamiguchi, H.; Nakai, M.; Nakata, K.; Sanda, H.; Sonomura, T.; Matuzaki, I.; Murata, S. Effect of transcatheter arterial embolization with a mixture of n-butyl cyanoacrylate, lipiodol, and ethanol on the vascular wall: Macroscopic and microscopic studies. Jpn. J. Radiol. 2015, 33, 404–409. [Google Scholar] [CrossRef]
- Jae, H.J.; Chung, J.W.; Kim, H.C.; So, Y.H.; Lim, H.G.; Lee, W.; Kim, B.K.; Park, J.H. Experimental study on acute ischemic small bowel changes induced by superselective embolization of superior mesenteric artery branches with N-butyl cyanoacrylate. J. Vasc. Interv. Radiol. 2008, 19, 755–763. [Google Scholar] [CrossRef]
- Wang, M.Q.; Duan, F.; Yuan, K.; Zhang, G.D.; Yan, J.; Wang, Y. Benign prostatic hyperplasia: Cone-beam CT in conjunction with DSA for identifying prostatic arterial anatomy. Radiology 2017, 282, 271–280. [Google Scholar] [CrossRef]
- Maron, S.Z.; Sher, A.; Kim, J.; Lookstein, R.A.; Rastinehad, A.R.; Fischman, A. Effect of median lobe enlargement on early prostatic artery embolization outcomes. J. Vasc. Interv. Radiol. 2020, 31, 370–377. [Google Scholar] [CrossRef]
- Stamatiou, K. The impact of prostate artery embolization (PAE) on the physical history and pathophysiology of benign prostatic hyperplasia (BPH). Arch. Ital. Urol. 2018, 90, 40–43. [Google Scholar] [CrossRef] [PubMed]
- Loffroy, R.; Chevallier, O.; Gehin, S.; Midulla, M.; Berthod, P.E.; Galland, C.; Briche, P.; Duperron, C.; Majbri, N.; Mousson, C.; et al. Endovascular management of arterial injuries after blunt or iatrogenic renal trauma. Quant. Imaging Med. Surg. 2017, 7, 434–442. [Google Scholar] [CrossRef]
- Bardin, F.; Chevallier, O.; Bertaut, A.; Delorme, E.; Moulin, M.; Pottecher, P.; Di Marco, L.; Gehin, S.; Mourey, E.; Cormier, L.; et al. Selective arterial embolization of symptomatic and asymptomatic renal angiomyolipomas: A retrospective study of safety, outcomes and tumor size reduction. Quant. Imaging Med. Surg. 2017, 7, 8–23. [Google Scholar] [CrossRef] [PubMed]
- Cochetti, G.; Del Zingaro, M.; Boni, A.; Allegritti, M.; De Vermandois, J.A.R.; Paladini, A.; Egidi, M.G.; Poli, G.; Ursi, P.; Cirocchi, R.; et al. Renal artery embolization before radical nephrectomy for complex renal tumour: Which are the true advantages? Open Med. 2019, 14, 797–804. [Google Scholar] [CrossRef]
- Loffroy, R.; Pottecher, P.; Cherblanc, V.; Favelier, S.; Estivalet, L.; Koutlidis, N.; Moulin, M.; Cercueil, J.P.; Cormier, L.; Krausé, D. Current role of transcatheter arterial embolization for bladder and prostate hemorrhage. Diagn. Interv. Imaging 2014, 95, 1027–1034. [Google Scholar] [CrossRef]
- De Vermandois, J.A.R.; Cochetti, G.; Del Zingaro, M.; Santoro, A.; Panciarola, M.; Boni, A.; Marsico, M.; Gaudio, G.; Paladini, A.; Guiggi, P.; et al. Evaluation of surgical site infection in mini-invasive urological surgery. Open Med. 2019, 14, 711–718. [Google Scholar] [CrossRef] [PubMed]
- Cochetti, G.; Abraha, I.; Randolph, J.; Montedori, A.; Boni, A.; Arezzo, A.; Mazza, E.; De Vermandois, J.A.R.; Cirocchi, R.; Mearini, E.; et al. Surgical wound closure by staples or sutures?: Systematic review. Medicine 2020, 99, e20573. [Google Scholar] [CrossRef]



| Characteristics | Data |
|---|---|
| Age, years | |
| Mean ± SD | 67.6 ± 7.4 |
| Median (IQR) | 69.0 (54.0–85.0) |
| Urological medical history, n (%) | |
| Yes 1 | 5 (10.0) |
| No | 45 (90.0) |
| Cardiovascular medical history, n (%) | 15 (30.0) |
| High blood pressure/diabetes | 12 (24.0) |
| Smoking | 7 (14.00) |
| Dyslipidemia | 5 (10.0) |
| Medication(s) for BPH 2, n (%) | 40 (80.0) |
| Alpha-1 adrenergic receptor antagonists | 37 (74.0) |
| 5-alpha reductase inhibitors | 5 (10.0) |
| Phosphodiesterase inhibitors | 3 (6.0) |
| Others and more than one drug | 17 (34.0) |
| Anticoagulant ± antiplatelet therapy, n (%) | 9 (18.0) |
| Baseline IPSS score | |
| Mean ± SD | 20.5 ± 6.7 |
| Median (IQR) | 20.5 (16.7–25) |
| Baseline QoL score | |
| Mean ± SD | 4.9 ± 1.0 |
| Median (IQR) | 5.0 (4.0–6.0) |
| Baseline IIEF5 score | |
| Mean ± SD | 16.2 ± 7.5 |
| Median (IQR) | 17.5 (11.0–23.0) |
| Baseline PSA, ng/mL | |
| Mean ± SD | 6.4 ± 3.7 |
| Median (IQR) | 5.6 (4.0–7.6) |
| Baseline prostate volume, mL | |
| Mean ± SD | 98.3 ± 40.2 |
| Median (IQR) | 91.2 (67.6–122.3) |
| Variables | Data |
|---|---|
| Arterial approach, n (%) | |
| Left radial | 11 (22.0) |
| Right femoral | 39 (78.0) |
| Type of embolization, n (%) | |
| Unilateral | 3 (6.0) |
| Bilateral | 47 (94.0) |
| Number of embolized arteries, n (%) | |
| 1 | 3 (6.0) |
| 2 | 37 (74.0) |
| 3 | 10 (20.0) |
| Total injected embolic mixture a volume, mL | |
| Mean ± SD | 0.9 ± 0.3 |
| Median (IQR) | 0.8 (0.6–1.1) |
| Total mixture a injection time, s | |
| Mean ± SD | 21.9 ± 7.8 |
| Median (IQR) | 20.5 (15.3–27.5) |
| Total PAE duration, min | |
| Mean ± SD | 95.0 ± 29.0 |
| Median | 93 (80–120) |
| Fluoroscopy duration, min | |
| Mean ± SD | 27.5 ± 11.3 |
| Median | 23.7 (19.6–33.5) |
| Radiation dose (mGy·cm) | |
| Mean ± SD | 18 458 ± 16 397 |
| Median (IQR) | 14 907 (8 947–24 000) |
| Technical success b, n (%) | 50 (100.0) |
| Clinical success c, n (%) | 43 (86.0) |
| Complications according to SIR d, n (%) | |
| Minor | 11 (22.0) |
| A | 9 (18.0) |
| B | 2 (4.0) |
| Major | 0 (0.0) |
| Clavien–Dindo score, n (%) | |
| I | 9 (18.0) |
| II | 2 (4.0) |
| Follow-up (months) | |
| Mean ± SD | 4.7 ± 5.0 |
| Median (IQR) | 3.0 (3.0–5.0) |
| Variables | Baseline | 3 Months | Change (%) | p Value |
|---|---|---|---|---|
| IPSS | ||||
| Mean ± SD | 20.5 ± 6.7 | 9.9 ± 6.8 | −10.6 (51.7) | 0.0001 |
| Median (IQR) | 20.5 (16.7–25) | 8.0 (5.3–13.0) | −12.5 (61.0) | |
| QoL score | ||||
| Mean ± SD | 4.9 ± 1.0 | 2.2 ± 1.5 | −2.7 (55.1) | 0.0001 |
| Median (IQR) | 5.0 (4.0–6.0) | 2.0 (1.0–3.0) | −3 (60.0) | |
| IIEF5 | ||||
| Mean ± SD | 16.2 ± 7.5 | 15.8 ± 7.9 | −0.4 (2.5) | 0.078 |
| Median (IQR) | 17.5 (11.0–23.0) | 18.0 (10.0–23.0) | +0.5 (2.8) | |
| PSA (ng/mL) | ||||
| Mean ± SD | 6.4 ± 3.7 | 4.6 ± 3.0 | −1.8 (28.1) | 0.0001 |
| Median (IQR) | 5.6 (4.0–7.6) | 4.1 (2.3–5.9) | −1.5 (26.8) | |
| Prostate volume (mL) | ||||
| Mean ± SD | 98.3 ± 40.2 | 77.3 ± 30.5 | −21 (21.4) | 0.0001 |
| Median (IQR) | 91.2 (67.6–122.3) | 70.7 (57.7–94.6) | −20.5 (22.5) |
| Variables | β Coefficient | 95% CI | p Value |
|---|---|---|---|
| Age | −0.14 | −0.35 to 0.03 | 0.167 |
| Baseline prostate volume | 0.012 | −0.03 to 0.05 | 0.053 |
| Bilateral PAE | 2.14 | −4.52 to 8.80 | 0.528 |
| Anticoagulant therapy | 3.70 | −0.96 to 8.36 | 0.120 |
| Variables | β Coefficient | 95% CI | p Value |
|---|---|---|---|
| Age | −0.04 | −0.07–0.00 | 0.024 |
| Baseline IIEF5 | −0.04 | −0.07–0.00 | 0.049 |
| Bilateral PAE | 0.47 | −0.07–0.88 | 0.023 |
| Adverse events a | −0.23 | −0.78–0.32 | 0.411 |
| Anticoagulant therapy | 0.26 | −0.35–0.87 | 0.407 |
| Medication for BPH | −0.36 | −1.05–0.32 | 0.297 |
Publisher’s Note: MDPI stays neutral with regard to jurisdictional claims in published maps and institutional affiliations. |
© 2021 by the authors. Licensee MDPI, Basel, Switzerland. This article is an open access article distributed under the terms and conditions of the Creative Commons Attribution (CC BY) license (https://creativecommons.org/licenses/by/4.0/).
Share and Cite
Loffroy, R.; Guillen, K.; Salet, E.; Marcelin, C.; Comby, P.-O.; Midulla, M.; Grenier, N.; Chevallier, O.; Petitpierre, F. Prostate Artery Embolization Using N-Butyl Cyanoacrylate Glue for Urinary Tract Symptoms Due to Benign Prostatic Hyperplasia: A Valid Alternative to Microparticles? J. Clin. Med. 2021, 10, 3161. https://doi.org/10.3390/jcm10143161
Loffroy R, Guillen K, Salet E, Marcelin C, Comby P-O, Midulla M, Grenier N, Chevallier O, Petitpierre F. Prostate Artery Embolization Using N-Butyl Cyanoacrylate Glue for Urinary Tract Symptoms Due to Benign Prostatic Hyperplasia: A Valid Alternative to Microparticles? Journal of Clinical Medicine. 2021; 10(14):3161. https://doi.org/10.3390/jcm10143161
Chicago/Turabian StyleLoffroy, Romaric, Kévin Guillen, Etienne Salet, Clément Marcelin, Pierre-Olivier Comby, Marco Midulla, Nicolas Grenier, Olivier Chevallier, and François Petitpierre. 2021. "Prostate Artery Embolization Using N-Butyl Cyanoacrylate Glue for Urinary Tract Symptoms Due to Benign Prostatic Hyperplasia: A Valid Alternative to Microparticles?" Journal of Clinical Medicine 10, no. 14: 3161. https://doi.org/10.3390/jcm10143161
APA StyleLoffroy, R., Guillen, K., Salet, E., Marcelin, C., Comby, P.-O., Midulla, M., Grenier, N., Chevallier, O., & Petitpierre, F. (2021). Prostate Artery Embolization Using N-Butyl Cyanoacrylate Glue for Urinary Tract Symptoms Due to Benign Prostatic Hyperplasia: A Valid Alternative to Microparticles? Journal of Clinical Medicine, 10(14), 3161. https://doi.org/10.3390/jcm10143161

