Chest X-ray Score and Frailty as Predictors of In-Hospital Mortality in Older Adults with COVID-19
Abstract
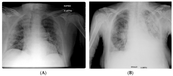
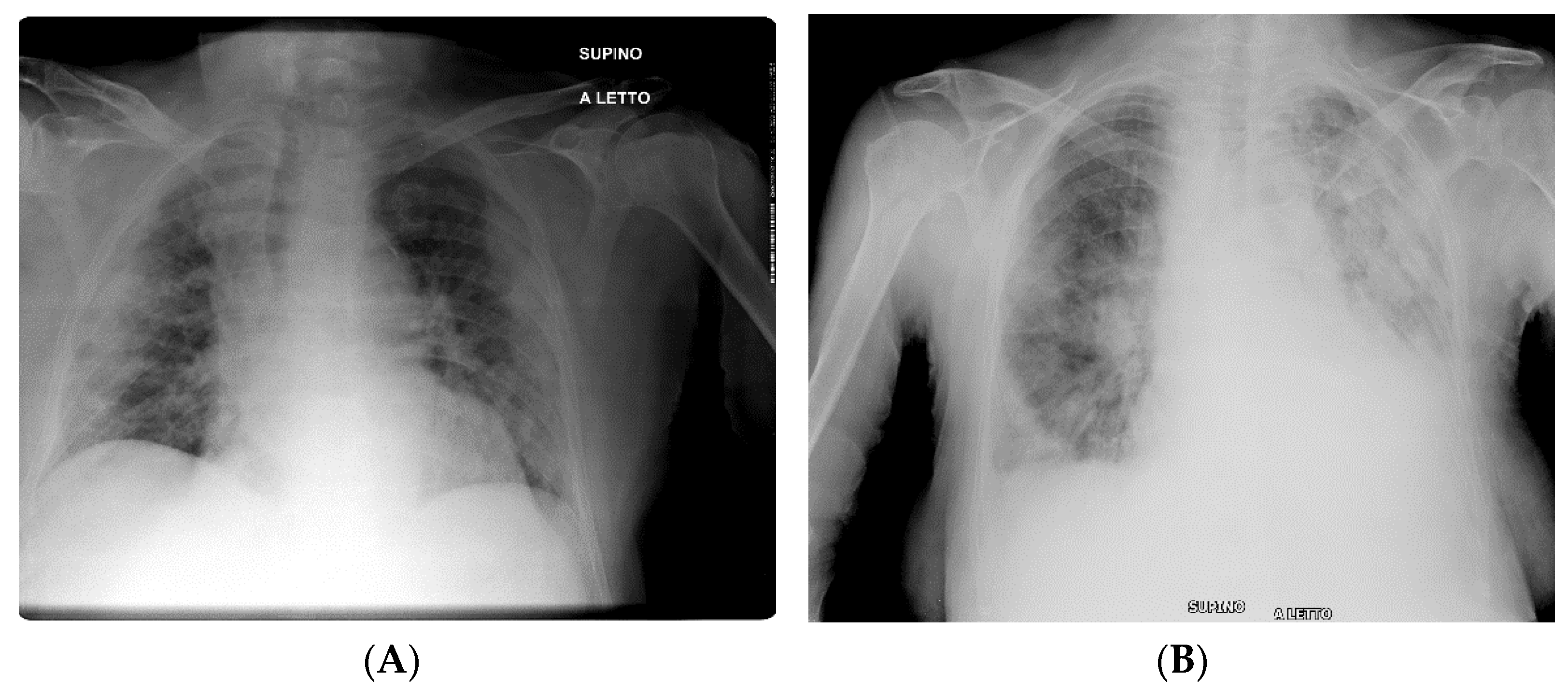
:1. Introduction
2. Materials and Methods
2.1. Study Design and Inclusion Criteria
2.2. Outcome
2.3. Statistical Analysis
3. Results
4. Discussion
5. Conclusions
Author Contributions
Funding
Institutional Review Board Statement
Informed Consent Statement
Data Availability Statement
Conflicts of Interest
References
- Available online: covid19.who.int/region/euro/country/it (accessed on 31 May 2021).
- Zhou, F.; Yu, T.; Du, R.; Fan, G.; Liu, Y.; Liu, Z.; Xiang, J.; Wang, Y.; Song, B.; Gu, X.; et al. Clinical course and risk factors for mortality of adult inpatients with COVID-19 in Wuhan, China: A retrospective cohort study. Lancet 2020, 395, 1054–1062. [Google Scholar] [CrossRef]
- Wei, C.; Liu, Y.; Liu, Y.; Zhang, K.; Su, D.; Zhong, M.; Meng, X. Clinical characteristics and manifestations in older patients with COVID-19. BMC Geriatr. 2020, 20, 395. [Google Scholar] [CrossRef] [PubMed]
- Liang, W.; Liang, H.; Ou, L.; Chen, B.; Chen, A.; Li, C.; Li, Y.; Guan, W.; Sang, L.; Lu, J.; et al. Development and Validation of a Clinical Risk Score to Predict the Occurrence of Critical Illness in Hospitalized Patients with COVID-19. JAMA Intern. Med. 2020, 180, 1081–1089. [Google Scholar] [CrossRef]
- Haimovich, A.D.; Ravindra, N.G.; Stoytchev, S.; Young, H.P.; Wilson, F.P.; Van Dijk, D.; Schulz, W.L.; Taylor, R.A. Development and Validation of the Quick COVID-19 Severity Index: A Prognostic Tool for Early Clinical Decompensation. Ann. Emerg. Med. 2020, 76, 442–453. [Google Scholar] [CrossRef] [PubMed]
- Knight, S.R.; Ho, A.; Pius, R.; Buchan, I.; Carson, G.; Drake, T.M.; Dunning, J.; Fairfield, C.J.; Gamble, C.; Green, C.A.; et al. Risk stratification of patients admitted to hospital with covid-19 using the ISARIC WHO Clinical Characterisation Protocol: Development and validation of the 4C Mortality Score. BMJ 2020, 370, m3339. [Google Scholar] [CrossRef] [PubMed]
- Covino, M.; De Matteis, G.; Burzo, M.L.; Russo, A.; Forte, E.; Carnicelli, A.; Piccioni, A.; Simeoni, B.; Gasbarrini, A.; Franceschi, F.; et al. Predicting In-Hospital Mortality in COVID -19 Older Patients with Specifically Developed Scores. J. Am. Geriatr. Soc. 2021, 69, 37–43. [Google Scholar] [CrossRef] [PubMed]
- Hewitt, J.; Carter, B.; Vilches-Moraga, A.; Quinn, T.J.; Braude, P.; Verduri, A.; Pearce, L.; Stechman, M.; Short, R.; Price, A.; et al. The effect of frailty on survival in patients with COVID-19 (COPE): A multicentre, European, observational cohort study. Lancet Public Health 2020, 5, e444–e451. [Google Scholar] [CrossRef]
- Chinnadurai, R.; Ogedengbe, O.; Agarwal, P.; Money-Coomes, S.; Abdurrahman, A.Z.; Mohammed, S.; Kalra, P.A.; Rothwell, N.; Pradhan, S. Older age and frailty are the chief predictors of mortality in COVID-19 patients admitted to an acute medical unit in a secondary care setting- a cohort study. BMC Geriatr. 2020, 20, 409. [Google Scholar] [CrossRef]
- Keeley, P.; Buchanan, D.; Carolan, C.; Pivodic, L.; Tavabie, S.; Noble, S. Symptom burden and clinical profile of COVID-19 deaths: A rapid systematic review and evidence summary. BMJ Support. Palliat. Care 2020, 10, 381. [Google Scholar] [CrossRef]
- Yang, W.; Sirajuddin, A.; Zhang, X.; Liu, G.; Teng, Z.; Zhao, S.; Lu, M. The role of imaging in 2019 novel coronavirus pneumonia (COVID-19). Eur. Radiol. 2020, 30, 4874–4882. [Google Scholar] [CrossRef] [Green Version]
- Moroni, C.; Cozzi, D.; Albanesi, M.; Cavigli, E.; Bindi, A.; Luvarà, S.; Busoni, S.; Mazzoni, L.N.; Grifoni, S.; Nazerian, P.; et al. Chest X-ray in the emergency department during COVID-19 pandemic descending phase in Italy: Correlation with patients’ outcome. Radiol. Med. 2021, 126, 661–668. [Google Scholar] [CrossRef]
- Brogna, B.; Bignardi, E.; Brogna, C.; Volpe, M.; Lombardi, G.; Rosa, A.; Gagliardi, G.; Capasso, P.; Gravino, E.; Maio, F.; et al. A Pictorial Review of the Role of Imaging in the Detection, Management, Histopathological Correlations, and Complications of COVID-19 Pneumonia. Diagnostics 2021, 11, 437. [Google Scholar] [CrossRef]
- Borakati, A.; Perera, A.; Johnson, J.; Sood, T. Diagnostic accuracy of X-ray versus CT in COVID-19: A propensity-matched database study. BMJ Open 2020, 10, e042946. [Google Scholar] [CrossRef]
- Brogna, B.; Bignardi, E.; Brogna, C.; Alberigo, M.; Grappone, M.; Megliola, A.; Salvatore, P.; Fontanella, G.; Mazza, E.; Musto, L. Typical CT findings of COVID-19 pneumonia in patients presenting with repetitive negative RT-PCR. Radiography 2021, 27, 743–747. [Google Scholar] [CrossRef]
- Cozzi, A.; Schiaffino, S.; Arpaia, F.; Della Pepa, G.; Tritella, S.; Bertolotti, P.; Menicagli, L.; Monaco, C.G.; Carbonaro, L.A.; Spairani, R.; et al. Chest x-ray in the COVID-19 pandemic: Radiologists’ real-world reader performance. Eur. J. Radiol. 2020, 132, 109272. [Google Scholar] [CrossRef] [PubMed]
- Schiaffino, S.; Tritella, S.; Cozzi, A.; Carriero, S.; Blandi, L.; Ferraris, L.; Sardanelli, F. Diagnostic Performance of Chest X-Ray for COVID-19 Pneumonia During the SARS-CoV-2 Pandemic in Lombardy, Italy. J. Thorac. Imaging 2020, 35, W105–W106. [Google Scholar] [CrossRef] [PubMed]
- Wong, H.Y.F.; Lam, H.Y.S.; Fong, A.H.-T.; Leung, S.T.; Chin, T.W.-Y.; Lo, C.S.Y.; Lui, M.M.-S.; Lee, J.C.Y.; Chiu, K.W.-H.; Chung, T.W.-H.; et al. Frequency and Distribution of Chest Radiographic Findings in Patients Positive for COVID-19. Radiology 2020, 296, E72–E78. [Google Scholar] [CrossRef] [PubMed] [Green Version]
- Vancheri, S.G.; Savietto, G.; Ballati, F.; Maggi, A.; Canino, C.; Bortolotto, C.; Valentini, A.; Dore, R.; Stella, G.M.; Corsico, A.G.; et al. Radiographic findings in 240 patients with COVID-19 pneumonia: Time-dependence after the onset of symptoms. Eur. Radiol. 2020, 30, 6161–6169. [Google Scholar] [CrossRef]
- Balbi, M.; Caroli, A.; Corsi, A.; Milanese, G.; Surace, A.; Di Marco, F.; Novelli, L.; Silva, M.; Lorini, F.L.; Duca, A.; et al. Chest X-ray for predicting mortality and the need for ventilatory support in COVID-19 patients presenting to the emergency department. Eur. Radiol. 2021, 31, 1999–2012. [Google Scholar] [CrossRef]
- Borghesi, A.; Maroldi, R. COVID-19 outbreak in Italy: Experimental chest X-ray scoring system for quantifying and monitoring disease progression. Radiol. Med. 2020, 125, 509–513. [Google Scholar] [CrossRef] [PubMed]
- Cozzi, D.; Albanesi, M.; Cavigli, E.; Moroni, C.; Bindi, A.; Luvarà, S.; Lucarini, S.; Busoni, S.; Mazzoni, L.N.; Miele, V. Chest X-ray in new Coronavirus Disease 2019 (COVID-19) infection: Findings and correlation with clinical outcome. Radiol. Med. 2020, 125, 730–737. [Google Scholar] [CrossRef] [PubMed]
- Toussie, D.; Voutsinas, N.; Finkelstein, M.; A Cedillo, M.; Manna, S.; Maron, S.Z.; Jacobi, A.; Chung, M.; Bernheim, A.; Eber, C.; et al. Clinical and Chest Radiography Features Determine Patient Outcomes in Young and Middle Age Adults with COVID-19. Radiology 2020, 297, E197–E206. [Google Scholar] [CrossRef] [PubMed]
- Gupta, R.K.; Harrison, E.M.; Ho, A.; Docherty, A.B.; Knight, S.R.; van Smeden, M.; Abubakar, I.; Lipman, M.; Quartagno, M.; Pius, R.; et al. Development and validation of the ISARIC 4C Deterioration model for adults hospitalised with COVID-19: A prospective cohort study. Lancet Respir. Med. 2021, 9, 349–359. [Google Scholar] [CrossRef]
- Rockwood, K.; Theou, O. Using the Clinical Frailty Scale in Allocating Scarce Health Care Resources. Can. Geriatr. J. 2020, 23, 210–215. [Google Scholar] [CrossRef]
- Hansell, D.M.; Bankier, A.A.; MacMahon, H.; McLoud, T.C.; Müller, N.L.; Remy, J. Fleischner Society: Glossary of Terms for Thoracic Imaging. Radiology 2008, 246, 697–722. [Google Scholar] [CrossRef] [Green Version]
- Warren, M.A.; Zhao, Z.; Koyama, T.; A Bastarache, J.; Shaver, C.M.; Semler, M.W.; Rice, T.W.; A Matthay, M.; Calfee, C.S.; Ware, L.B. Severity scoring of lung oedema on the chest radiograph is associated with clinical outcomes in ARDS. Thorax 2018, 73, 840–846. [Google Scholar] [CrossRef]
- Maltese, G.; Corsonello, A.; Di Rosa, M.; Soraci, L.; Vitale, C.; Corica, F.; Lattanzio, F. Frailty and COVID-19: A Systematic Scoping Review. J. Clin. Med. 2020, 9, 2106. [Google Scholar] [CrossRef] [PubMed]
- NICE. COVID-19 Rapid Guideline: Critical Care in Adults; NICE: London, UK, 2020. [Google Scholar]
- Sablerolles, R.S.G.; Lafeber, M.; Kempen, J.A.L.V.; A van de Loo, B.P.; Boersma, E.; Rietdijk, W.J.R.; A Polinder-Bos, H.; Mooijaart, S.P.; van der Kuy, H.; Versmissen, J.; et al. Association between Clinical Frailty Scale score and hospital mortality in adult patients with COVID-19 (COMET): An international, multicentre, retrospective, observational cohort study. Lancet Health Longev. 2021, 2, e163–e170. [Google Scholar] [CrossRef]
- Maroldi, R.; Rondi, P.; Agazzi, G.M.; Ravanelli, M.; Borghesi, A.; Farina, D. Which role for chest x-ray score in predicting the outcome in COVID-19 pneumonia? Eur. Radiol. 2021, 31, 4016–4022. [Google Scholar] [CrossRef]


| All n = 122 | Survivors n = 55 | Non-Survivors n = 67 | p | Unadjusted HR (95% CI) | |
|---|---|---|---|---|---|
| Male gender, n(%) | 55 (45.1%) | 24 (43.6%) | 31 (46.3%) | 0.771 | 1.03 (0.63–1.66) |
| Age, mean ± SD | 87.1 ± 6.0 | 86.1 ± 6.7 | 87.9 ± 5.3 | 0.089 | 1.06 (1.01–1.10) |
| CXR score, median (IQR), range | 2 (3), 0–8 | 1 (2), 0–4 | 2 (4), 0–8 | <0.001 | 1.17 (1.06–1.30) |
| CFS, median (IQR), range | 7 (4), 2–9 | 6 (4), 2–8 | 7 (3), 2–9 | 0.001 | 1.29 (1.13–1.46) |
| Diagnoses | |||||
| Hypertension, n(%) | 95 (78.5%) | 43 (78.2%) | 52 (78.8%) | 0.936 | 1.10 (0.61–1.99) |
| Diabetes, n(%) | 32 (26.2%) | 11 (20.0%) | 21 (31.3%) | 0.156 | 1.42 (0.85–2.39) |
| Stroke, n(%) | 17 (13.9%) | 5 (9.1%) | 12 (17.9%) | 0.162 | 1.86 (0.99–3.50) |
| Cancer, n(%) | 13 (10.7%) | 4 (7.3%) | 9 (13.4%) | 0.273 | 1.36 (0.67–2.75) |
| COPD, n(%) | 26 (21.3%) | 13 (23.6%) | 13 (19.4%) | 0.570 | 0.83 (0.45–1.52) |
| Asthma, n(%) | 4 (3.3%) | 3 (5.5%) | 1 (1.5%) | 0.227 | 0.42 (0.06–3.06) |
| Angina, n(%) | 7 (5.8%) | 3 (5.6%) | 4 (6.0%) | 0.923 | 0.86 (0.31–2.38) |
| Myocardial Infarction, n(%) | 21 (17.6%) | 9 (17.0%) | 12 (18.2%) | 0.864 | 1.00 (0.53–1.88) |
| Atrial Fibrillation, n(%) | 30 (24.8%) | 10 (18.2%) | 20 (30.3%) | 0.124 | 1.31 (0.77–2.23) |
| CHF, n(%) | 25 (20.8%) | 6 (11.1%) | 19 (28.8%) | 0.018 | 1.76 (1.02–3.05) |
| Dementia, n(%) | 69 (56.6%) | 24 (43.6%) | 45 (67.2%) | 0.009 | 2.31 (1.38–3.86) |
| CKD, n(%) | 42 (35.0%) | 17 (31.5%) | 25 (37.9%) | 0.465 | 1.22 (0.74–2.01) |
| Previous ADRs, n(%) | 9 (7.4%) | 4 (7.3%) | 5 (7.5%) | 0.968 | 0.85 (0.34–2.14) |
| Concomitant Bacterial Infections, n(%) | 10 (8.4%) | 5 (9.3%) | 5 (7.7%) | 0.759 | 0.87 (0.35–2.17) |
| Comorbidity score, median(IQR), range | 5 (1), 3–12 | 5 (2), 4–11 | 5 (1), 3–12 | 0.085 | 1.14 (0.99–1.32) |
| Symptoms | |||||
| Fever, n(%) | 64 (52.5%) | 22 (40.0%) | 42 (62.7%) | 0.013 | 1.70 (1.03–2.81) |
| Cough, n(%) | 39 (33.1%) | 19 (34.5%) | 20 (31.7%) | 0.747 | 0.81 (0.48–1.39) |
| Dyspnea, n(%) | 88 (72.1%) | 29 (52.7%) | 59 (88.1%) | <0.001 | 3.38 (1.61–7.09) |
| Diarrhea, n(%) | 11 (9.0%) | 6 (10.9%) | 5 (7.5%) | 0.508 | 0.61 (0.24 1.54) |
| Nausea, n(%) | 5 (4.1%) | 4 (7.3%) | 1 (1.5%) | 0.109 | 0.34 (0.05–2.48) |
| Vomit, n(%) | 4 (3.3%) | 2 (3.6%) | 2 (3.0%) | 0.841 | 0.48 (0.11–2.04) |
| Abnormal lab parameters | |||||
| WBC (×103/µL), n(%) | 51 (41.8%) | 21 (38.2%) | 30 (44.8%) | 0.462 | 1.24 (0.76–2.02) |
| Lymphocytes (×103/µL), n(%) | 67 (54.9%) | 32 (58.2%) | 35 (52.2%) | 0.512 | 0.70 (0.42–1.18) |
| CPK (U/L), n(%) | 44 (36.4%) | 25 (46.3%) | 19 (28.4%) | 0.041 | 1.89 (0.74–4.82) |
| LDH (U/L), n(%) | 76 (62.8%) | 27 (50.0%) | 49 (73.1%) | 0.009 | 2.55 (0.98–6.65) |
| eGFR (mL/min/1.73 m2), n(%) | 105 (86.1%) | 44 (80.0%) | 61 (91.0%) | 0.080 | 2.26 (0.97–5.26) |
| NLR, n(%) | 77 (63.1%) | 31 (56.4%) | 46 (68.7%) | 0.161 | 1.33 (0.79–2.23) |
| CRP (mg/dL), n(%) | 115 (94.2%) | 49 (89.1%) | 66 (98.5%) | 0.080 | 0.52 (0.07–3.80) |
| D-dimer (ng/mL), n(%) | 116 (95.9%) | 53 (98.2%) | 63 (94.0%) | 0.258 | 1.09 (0.39–3.05) |
| Procalcitonin (ng/mL), n(%) | 73 (59.8%) | 28 (50.9%) | 45 (67.2%) | 0.125 | 2.61 (1.17 5.83) |
| IL-6 (pg/mL), n(%) | 98 (80.3%) | 38 (69.1%) | 60 (89.5%) | 0.005 | 1.48 (0.58–3.75) |
| n = 122 | Model 1 | Model 2 | Model 3 | Model 4 | Model 5 |
|---|---|---|---|---|---|
| HR (95% CI) | HR (95% CI) | HR (95% CI) | HR (95% CI) | HR (95% CI) | |
| CXR score | 1.16 (1.04–1.28) | 1.14 (1.01–1.27) | 1.12 (0.99–1.26) | 1.11 (0.99–1.26) | 1.10 (0.97–1.25) |
| Age | 1.04 (0.99–1.10) | 1.04 (0.99–1.10) | 1.04 (0.98–1.10) | 1.04 (0.98–1.10) | 1.04 (0.98–1.11) |
| Male gender | 1.71 (1.01–2.89) | 1.70 (1.01–2.87) | 1.71 (0.99–2.94) | 1.73 (1.01–2.95) | 1.87 (1.05–3.32) |
| CFS | 1.27 (1.09–1.47) | 1.21 (1.01–1.45) | 1.28 (1.09–1.49) | 1.24 (1.03–1.49) | 1.23 (1.04–1.46) |
| Comorbidity score | 1.12 (0.96–1.31) | - | 1.12 (0.95–1.32) | - | 1.11 (0.94–1.32) |
| Stroke | - | 1.38 (0.69–2.75) | - | 1.15 (0.57–2.31) | - |
| CHF | - | 1.19 (0.67–2.11) | - | 1.17 (0.66–2.08) | - |
| Dementia | - | 1.29 (0.64–2.58) | - | 1.11 (0.55–2.21) | - |
| Fever | - | - | 1.75 (1.03–2.97) | 1.71 (1.00–2.93) | - |
| Dyspnea | - | - | 1.59 (0.70–3.64) | 1.60 (0.69–3.66) | - |
| Abnormal CPK (U/L) | - | - | - | - | 0.99 (0.39–2.54) |
| Abnormal LDH (U/L) | - | - | - | - | 2.29 (0.82–6.38) |
| Abnormal D-dimer (ng/mL) | - | - | - | - | 0.69 (0.21–2.23) |
| Abnormal Procalcitonin (ng/mL) | - | - | - | - | 1.72 (0.77–3.84) |
| Abnormal IL-6 (pg/mL) | - | - | - | - | 1.27 (0.42–3.86) |
| Outcome | Addition | AUC (95% CI) | Overall NRI (95% CI) | ΔAUC (95% CI) | p |
|---|---|---|---|---|---|
| Death (n = 122) | 0.701 (0.611–0.790) | ||||
| CFS | 0.355 (0.065–0.788) | 0.080 (0.006–0.153) | 0.033 | ||
| Fever | 0.454 (−0.336–0.794) | 0.026 (−0.350–0.086) | 0.410 | ||
| CFS and Fever | 0.460 (0.102–0.888) | 0.117 (0.041–0.192) | 0.003 |
Publisher’s Note: MDPI stays neutral with regard to jurisdictional claims in published maps and institutional affiliations. |
© 2021 by the authors. Licensee MDPI, Basel, Switzerland. This article is an open access article distributed under the terms and conditions of the Creative Commons Attribution (CC BY) license (https://creativecommons.org/licenses/by/4.0/).
Share and Cite
Cecchini, S.; Di Rosa, M.; Soraci, L.; Fumagalli, A.; Misuraca, C.; Colombo, D.; Piomboni, I.; Carnevali, F.; Paci, E.; Galeazzi, R.; et al. Chest X-ray Score and Frailty as Predictors of In-Hospital Mortality in Older Adults with COVID-19. J. Clin. Med. 2021, 10, 2965. https://doi.org/10.3390/jcm10132965
Cecchini S, Di Rosa M, Soraci L, Fumagalli A, Misuraca C, Colombo D, Piomboni I, Carnevali F, Paci E, Galeazzi R, et al. Chest X-ray Score and Frailty as Predictors of In-Hospital Mortality in Older Adults with COVID-19. Journal of Clinical Medicine. 2021; 10(13):2965. https://doi.org/10.3390/jcm10132965
Chicago/Turabian StyleCecchini, Sara, Mirko Di Rosa, Luca Soraci, Alessia Fumagalli, Clementina Misuraca, Daniele Colombo, Iacopo Piomboni, Francesca Carnevali, Enrico Paci, Roberta Galeazzi, and et al. 2021. "Chest X-ray Score and Frailty as Predictors of In-Hospital Mortality in Older Adults with COVID-19" Journal of Clinical Medicine 10, no. 13: 2965. https://doi.org/10.3390/jcm10132965
APA StyleCecchini, S., Di Rosa, M., Soraci, L., Fumagalli, A., Misuraca, C., Colombo, D., Piomboni, I., Carnevali, F., Paci, E., Galeazzi, R., Giordano, P., Fedecostante, M., Cherubini, A., & Lattanzio, F. (2021). Chest X-ray Score and Frailty as Predictors of In-Hospital Mortality in Older Adults with COVID-19. Journal of Clinical Medicine, 10(13), 2965. https://doi.org/10.3390/jcm10132965

