Green Recovery and Identification of Antioxidant and Enzyme Inhibitor Molecules from Pisco Grape Pomace by Targeted Effects Analysis Using Thin-Layer Chromatography, Bioassay, and Mass Spectrometry
Abstract
1. Introduction
2. Materials and Methods
2.1. Reagents, Chemicals, Solvents, and Solutions
2.2. Raw Material and Preparation
2.3. Extract Preparation
2.3.1. Extract Obtained by Enzymatic Extraction (EAE)
2.3.2. Extract Obtained by Pressurized Liquid Extraction (PLE)
2.4. High-Performance Thin-Layer Chromatography (HPTLC)
2.5. HPTLC Bioassay for Detection of Antioxidant Molecules in Pisco Grape Pomace Extracts
2.6. HPTLC Bioassay for Detection of Acetylcholinesterase (AChE) Inhibitors in Pisco Grape Pomace Extracts
2.7. HPTLC Bioassay for Detection of Cyclooxygenase (COX-2) Inhibitors from Pisco Grape Pomace Extracts
2.8. Bioactive Compound Identification by Mass Spectrometry
2.9. Characterization of EAE and PLE Extracts
2.10. Statistical Analysis
3. Results and Discussion
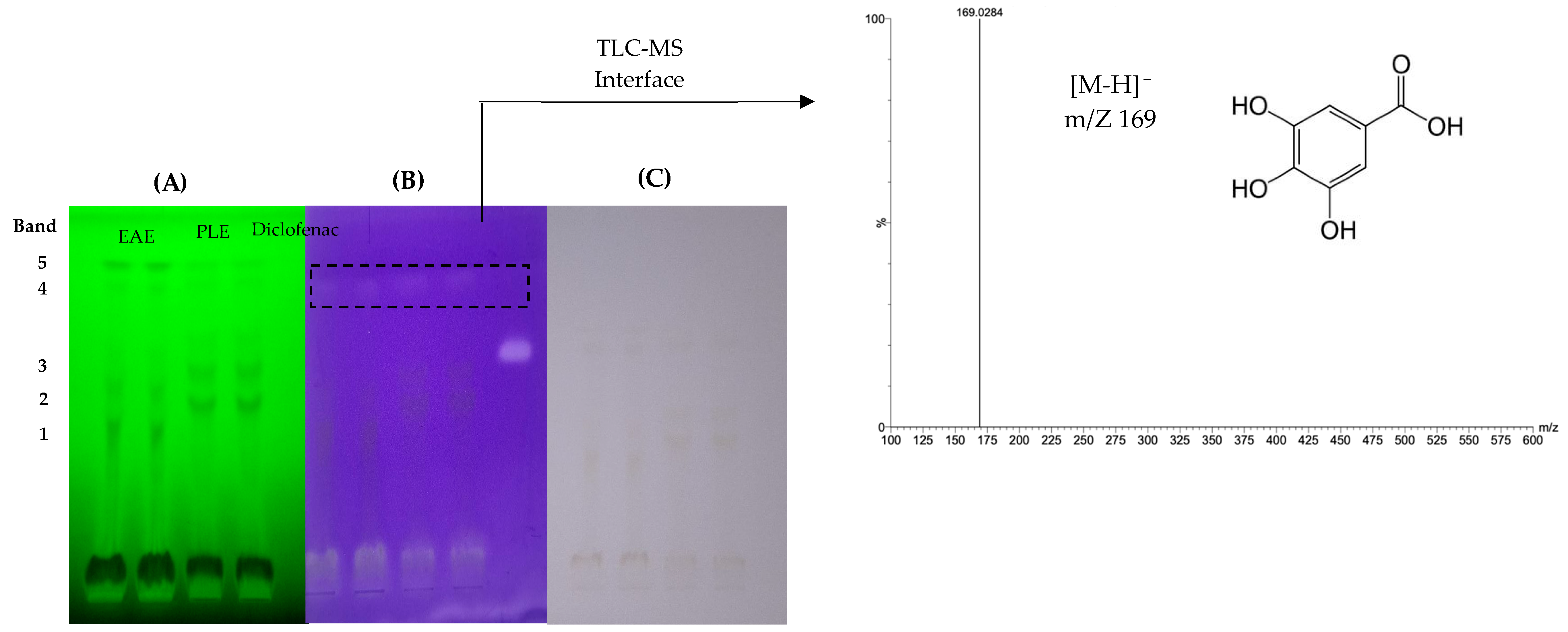
3.1. Detection of Molecules with Antioxidant Capacity in Pisco Grape Pomace Extracts
3.2. Detection of Acetylcholinesterase Inhibitors in Pomace Extracts
3.3. Detection of Cyclooxygenase (COX-2) Inhibitors from Pisco Grape Pomace Extracts
Author Contributions
Funding
Institutional Review Board Statement
Informed Consent Statement
Data Availability Statement
Acknowledgments
Conflicts of Interest
References
- Di Prima, G.; Belfiore, E.; Angellotti, G.; De Caro, V. Green Next-Generation Excipients Enriched in Polyphenols from Recovery of Grape Processing Waste Black Bentonite: Influence of Unconventional Extraction Solvents on Antioxidant Properties and Composition. Sustain. Chem. Pharm. 2024, 37, 101414. [Google Scholar] [CrossRef]
- Kato-Schwartz, C.G.; Corrêa, R.C.G.; de Souza Lima, D.; de Sá-Nakanishi, A.B.; de Almeida Gonçalves, G.; Seixas, F.A.V.; Haminiuk, C.W.I.; Barros, L.; Ferreira, I.C.F.R.; Bracht, A.; et al. Potential Anti-Diabetic Properties of Merlot Grape Pomace Extract: An in Vitro, in Silico and in Vivo Study of α-Amylase and α-Glucosidase Inhibition. Food Res. Int. 2020, 137, 109462. [Google Scholar] [CrossRef] [PubMed]
- Galarce-Bustos, O.; Pavón, J.; Henríquez-Aedo, K.; Aranda, M. Detection and Identification of Acetylcholinesterase Inhibitors in Annona Cherimola Mill. by Effect-Directed Analysis Using Thin-Layer Chromatography-Bioassay-Mass Spectrometry. Phytochem. Anal. 2019, 30, 679–686. [Google Scholar] [CrossRef] [PubMed]
- World Health Organization. Available online: https://www.who.int/ (accessed on 27 June 2024).
- Poblete, J.; Quispe-Fuentes, I.; Aranda, M.; Vega-Gálvez, A. Application of Vacuum and Convective Drying Processes for the Valorization of Pisco Grape Pomace to Enhance the Retention of Its Bioactive Compounds. Waste Biomass Valorization 2023, 15, 3093–3107. [Google Scholar] [CrossRef]
- Rodríguez-Ramos, F.; Cañas-Sarazúa, R.; Briones-Labarca, V. Pisco Grape Pomace: Iron/Copper Speciation and Antioxidant Properties, towards Their Comprehensive Utilization. Food Biosci. 2022, 47, 101781. [Google Scholar] [CrossRef]
- Allcca-Alca, E.E.; León-Calvo, N.C.; Luque-Vilca, O.M.; Martínez-Cifuentes, M.; Pérez-Correa, J.R.; Mariotti-Celis, M.S.; Huamán-Castilla, N.L. Hot Pressurized Liquid Extraction of Polyphenols from the Skin and Seeds of Vitis Vinifera L. Cv. Negra Criolla Pomace a Peruvian Native Pisco Industry Waste. Agronomy 2021, 11, 866. [Google Scholar] [CrossRef]
- Verma, N. Himshweta Extraction of Phenolic Compounds by Conventional and Green Innovative Techniques. In Green Sustainable Process for Chemical and Environmental Engineering and Science: Green Solvents and Extraction Technology; Elsevier: Amsterdam, The Netherlands, 2023; pp. 355–394. ISBN 9780323951562. [Google Scholar]
- Pimpley, V.A.; Murthy, P.S. Influence of Green Extraction Techniques on Green Coffee: Nutraceutical Compositions, Antioxidant Potential and in Vitro Bio-Accessibility of Phenolics. Food Biosci. 2021, 43, 101284. [Google Scholar] [CrossRef]
- Machado, T.O.X.; Portugal, I.; de Kodel, H.A.C.; Droppa-Almeida, D.; Dos Santos Lima, M.; Fathi, F.; Oliveira, M.B.P.P.; de Albuquerque-Júnior, R.L.C.; Dariva, C.; Souto, E.B. Therapeutic Potential of Grape Pomace Extracts: A Review of Scientific Evidence. Food Biosci. 2024, 60, 104210. [Google Scholar] [CrossRef]
- García, P.; Fredes, C.; Cea, I.; Lozano-Sánchez, J.; Leyva-Jiménez, F.J.; Robert, P.; Vergara, C.; Jimenez, P. Recovery of Bioactive Compounds from Pomegranate (Punica Granatum L.). Foods 2021, 10, 203. [Google Scholar] [CrossRef]
- Cheng, B.; Wang, Q.; An, Y.; Chen, F. Recent Advances in the Total Synthesis of Galantamine, a Natural Medicine for Alzheimer’s Disease. Nat. Prod. Rep. 2024, 41, 1060–1090. [Google Scholar] [CrossRef]
- Galarce-Bustos, O.; Pavón-Pérez, J.; Henríquez-Aedo, K.; Aranda, M. An Improved Method for a Fast Screening of α-Glucosidase Inhibitors in Cherimoya Fruit (Annona Cherimola Mill.) Applying Effect-Directed Analysis via High-Performance Thin-Layer Chromatography-Bioassay-Mass Spectrometry. J. Chromatogr. A 2019, 1608, 460415. [Google Scholar] [CrossRef] [PubMed]
- Agatonovic-Kustrin, S.; Wong, S.; Dolzhenko, A.V.; Gegechkori, V.; Ku, H.; Tucci, J.; Morton, D.W. Evaluation of Bioactive Compounds from Ficus Carica L. Leaf Extracts via High-Performance Thin-Layer Chromatography Combined with Effect-Directed Analysis. J. Chromatogr. A 2023, 1706, 464241. [Google Scholar] [CrossRef] [PubMed]
- Reguigui, A.; Ott, P.G.; Darcsi, A.; Bakonyi, J.; Romdhane, M.; Móricz, Á.M. Nine-Dimensional Bioprofiles of Tunisian Sages (Salvia Officinalis, S. Aegyptiaca and S. Verbenaca) by High-Performance Thin-Layer Chromatography—Effect-Directed Analyses. J. Chromatogr. A 2023, 1688, 463704. [Google Scholar] [CrossRef] [PubMed]
- Krüger, S.; Bergin, A.; Morlock, G.E. Effect-Directed Analysis of Ginger (Zingiber Officinale) and Its Food Products, and Quantification of Bioactive Compounds via High-Performance Thin-Layer Chromatography and Mass Spectrometry. Food Chem. 2018, 243, 258–268. [Google Scholar] [CrossRef]
- Khan, H.; Marya; Amin, S.; Kamal, M.A.; Patel, S. Flavonoids as Acetylcholinesterase Inhibitors: Current Therapeutic Standing and Future Prospects. Biomed. Pharmacother. 2018, 101, 860–870. [Google Scholar] [CrossRef]
- Patrignani, P.; Patrono, C. Cyclooxygenase Inhibitors: From Pharmacology to Clinical Read-Outs. Biochim. Biophys. Acta Mol. Cell Biol. Lipids 2015, 1851, 422–432. [Google Scholar] [CrossRef]
- Paun, G.; Neagu, E.; Moroeanu, V.; Albu, C.; Ursu, T.M.; Zanfirescu, A.; Negres, S.; Chirita, C.; Radu, G.L. Anti-Inflammatory and Antioxidant Activities of the Impatiens Noli-Tangere and Stachys Officinalis Polyphenolic-Rich Extracts. Rev. Bras. Farmacogn. 2018, 28, 57–64. [Google Scholar] [CrossRef]
- Oyarzún, P.; Carrasco, J.; Peterssen, D.; Tereucan, G.; Aranda, M.; Henríquez-Aedo, K. A High Throughput Method for Detection of Cyclooxygenase-2 Enzyme Inhibitors by Effect-Directed Analysis Applying High Performance Thin Layer Chromatography-Bioassay-Mass Spectrometry. J. Chromatogr. A 2023, 1711, 464426. [Google Scholar] [CrossRef]
- Singleton, V.L.; Rossi, J.A. Colorimetry of Total Phenolics with Phosphomolybdic-Phosphotungstic Acid Reagents. Am. J. Enol. Vitic. 1965, 16, 144–158. [Google Scholar] [CrossRef]
- Dini, I.; Tenore, G.C.; Dini, A. Antioxidant Compound Contents and Antioxidant Activity before and after Cooking in Sweet and Bitter Chenopodium Quinoa Seeds. LWT 2010, 43, 447–451. [Google Scholar] [CrossRef]
- Grajeda-Iglesias, C.; Salas, E.; Barouh, N.; Baréa, B.; Panya, A.; Figueroa-Espinoza, M.C. Antioxidant Activity of Protocatechuates Evaluated by DPPH, ORAC, and CAT Methods. Food Chem. 2016, 194, 749–757. [Google Scholar] [CrossRef] [PubMed]
- Zhang, L.; Li, J.; Hogan, S.; Chung, H.; Welbaum, G.E.; Zhou, K. Inhibitory Effect of Raspberries on Starch Digestive Enzyme and Their Antioxidant Properties and Phenolic Composition. Food Chem. 2010, 119, 592–599. [Google Scholar] [CrossRef]
- Briones-Labarca, V.; Plaza-Morales, M.; Giovagnoli-Vicuña, C.; Jamett, F. High Hydrostatic Pressure and Ultrasound Extractions of Antioxidant Compounds, Sulforaphane and Fatty Acids from Chilean Papaya (Vasconcellea Pubescens) Seeds: Effects of Extraction Conditions and Methods. LWT 2015, 60, 525–534. [Google Scholar] [CrossRef]
- Re, R.; Pellegrini, N.; Proteggente, A.; Pannala, A.; Yang, M.; Rice-Evans, C. Antioxidant activity applying an improved ABTS radical cation decolorization assay. Free. Radic. Biol. Med. 1999, 26, 1231–1237. [Google Scholar] [CrossRef] [PubMed]
- Cabezudo, I.; Salazar, M.O.; Ramallo, I.A.; Furlan, R.L.E. Effect-Directed Analysis in Food by Thin-Layer Chromatography Assays. Food Chem. 2022, 390, 132937. [Google Scholar] [CrossRef]
- Roussel, J.M.; Bardot, V.; Berthomier, L.; Cotte, C.; Dubourdeaux, M.; Holowacz, S.; Bernard-Savary, P. Application of the Life Cycle Management of Analytical Methods Concept to a HPTLC-DPPH Assay Method for Acteoside Content in Industrial Extracts of Plantago Lanceolata L. J. Chromatogr. B Analyt Technol. Biomed. Life Sci. 2021, 1181, 122923. [Google Scholar] [CrossRef]
- Kadouh, H.C.; Sun, S.; Zhu, W.; Zhou, K. α-Glucosidase Inhibiting Activity and Bioactive Compounds of Six Red Wine Grape Pomace Extracts. J. Funct. Foods 2016, 26, 577–584. [Google Scholar] [CrossRef]
- Abouelenein, D.; Mustafa, A.M.; Caprioli, G.; Ricciutelli, M.; Sagratini, G.; Vittori, S. Phenolic and Nutritional Profiles, and Antioxidant Activity of Grape Pomaces and Seeds from Lacrima Di Morro d’Alba and Verdicchio Varieties. Food Biosci. 2023, 53, 102808. [Google Scholar] [CrossRef]
- Serni, E.; Tomada, S.; Haas, F.; Robatscher, P. Characterization of Phenolic Profile in Dried Grape Skin of Vitis Vinifera L. Cv. Pinot Blanc with UHPLC-MS/MS and Its Development during Ripening. J. Food Compos. Anal. 2022, 114, 104731. [Google Scholar] [CrossRef]
- Kammerer, D.; Claus, A.; Carle, R.; Schieber, A. Polyphenol Screening of Pomace from Red and White Grape Varieties (Vitis Vinifera L.) by HPLC-DAD-MS/MS. J. Agric. Food Chem. 2004, 52, 4360–4367. [Google Scholar] [CrossRef]
- José Jara-Palacios, M.; Hernanz, D.; Escudero-Gilete, M.L.; Heredia, F.J. Antioxidant Potential of White Grape Pomaces: Phenolic Composition and Antioxidant Capacity Measured by Spectrophotometric and Cyclic Voltammetry Methods. Food Res. Int. 2014, 66, 150–157. [Google Scholar] [CrossRef]
- D’Andrea, G. Quercetin: A Flavonol with Multifaceted Therapeutic Applications? Fitoterapia 2015, 106, 256–271. [Google Scholar] [CrossRef] [PubMed]
- Septembre-Malaterre, A.; Boumendjel, A.; Seteyen, A.L.S.; Boina, C.; Gasque, P.; Guiraud, P.; Sélambarom, J. Focus on the High Therapeutic Potentials of Quercetin and Its Derivatives. Phytomedicine Plus 2022, 2, 100220. [Google Scholar] [CrossRef] [PubMed]
- Vollmannová, A.; Bojňanská, T.; Musilová, J.; Lidiková, J.; Cifrová, M. Quercetin as One of the Most Abundant Represented Biological Valuable Plant Components with Remarkable Chemoprotective Effects—A Review. Heliyon 2024, 10, e33342. [Google Scholar] [CrossRef]
- Xiang, Z.; Guan, H.; Zhao, X.; Xie, Q.; Xie, Z.; Cai, F.; Dang, R.; Li, M.; Wang, C. Dietary Gallic Acid as an Antioxidant: A Review of Its Food Industry Applications, Health Benefits, Bioavailability, Nano-Delivery Systems, and Drug Interactions. Food Res. Int. 2024, 180, 114068. [Google Scholar] [CrossRef]
- Rahmawati, I.; Pratama, A.W.; Pratama, S.A.; Khozin, M.N.; Firmanda, A.; Irawan, F.H.; Asranudin; Ansori, A.N.M.; Sucipto, T.H. Gallic Acid: A Promising Bioactive Agent for Food Preservation and Sustainable Packaging Development. Case Stud. Chem. Environ. Eng. 2024, 10, 100776. [Google Scholar] [CrossRef]
- Pohanka, M. Assays of Antioxidant Capacity: Optics and Voltammetry. Int. J. Electrochem. Sci. 2023, 18, 100276. [Google Scholar] [CrossRef]
- Bisby, R.H.; Brooke, R.; Navaratnam, S. Effect of Antioxidant Oxidation Potential in the Oxygen Radical Absorption Capacity (ORAC) Assay. Food Chem. 2008, 108, 1002–1007. [Google Scholar] [CrossRef]
- Bello, A.A.; Katta, A.; Obaydo, R.H.; Jazmati, A. Phytochemical Analysis and Antioxidant Efficacy of Chrysojasminum fruticans (L.) Banfi in Syrian Flora. Heliyon 2024, 10, e37322. [Google Scholar] [CrossRef]
- Wang, C.; You, Y.; Huang, W.; Zhan, J. The High-Value and Sustainable Utilization of Grape Pomace: A Review. Food Chem. X 2024, 24, 101845. [Google Scholar] [CrossRef]
- Dai, R.; Sun, Y.; Su, R.; Gao, H. Anti-Alzheimer’s Disease Potential of Traditional Chinese Medicinal Herbs as Inhibitors of BACE1 and AChE Enzymes. Biomed. Pharmacother. 2022, 154, 113576. [Google Scholar] [CrossRef] [PubMed]
- Surya Prakash, V.; Radhakrishnan, N.; Vasantha-Srinivasan, P.; Veeramani, C.; El Newehy, A.S.; Alsaif, M.A.; Al-Numair, K.S. In Silico Analysis of Selected Nutrition Rich Fruit of Bunch Berry (Lantana camara) Constituents as Human Acetylcholinesterase (HAchE), Carbonic Anhydrase II (HCA-II) and Carboxylesterase 1 (HCES-1) Inhibitory Agents. Saudi J. Biol. Sci. 2023, 30, 103847. [Google Scholar] [CrossRef] [PubMed]
- Huamán-Castilla, N.L.; Campos, D.; García-Ríos, D.; Parada, J.; Martínez-Cifuentes, M.; Mariotti-Celis, M.S.; Pérez-Correa, J.R. Chemical Properties of Vitis Vinifera Carménère Pomace Extracts Obtained by Hot Pressurized Liquid Extraction, and Their Inhibitory Effect on Type 2 Diabetes Mellitus Related Enzymes. Antioxidants 2021, 10, 472. [Google Scholar] [CrossRef] [PubMed]
- Jin, S.; Zhang, L.; Wang, L. Kaempferol, a Potential Neuroprotective Agent in Neurodegenerative Diseases: From Chemistry to Medicine. Biomed. Pharmacother. 2023, 165, 115215. [Google Scholar] [CrossRef]
- Hussain, M.S.; Altamimi, A.S.A.; Afzal, M.; Almalki, W.H.; Kazmi, I.; Alzarea, S.I.; Gupta, G.; Shahwan, M.; Kukreti, N.; Wong, L.S.; et al. Kaempferol: Paving the Path for Advanced Treatments in Aging-Related Diseases. Exp. Gerontol. 2024, 188, 112389. [Google Scholar] [CrossRef]
- Dwibedi, V.; Jain, S.; Singhal, D.; Mittal, A.; Rath, S.K.; Saxena, S. Inhibitory Activities of Grape Bioactive Compounds against Enzymes Linked with Human Diseases. Appl. Microbiol. Biotechnol. 2022, 106, 1399–1417. [Google Scholar] [CrossRef]
- Teh, S.S.; Morlock, G.E. Effect-Directed Analysis of Cold-Pressed Hemp, Flax and Canola Seed Oils by Planar Chromatography Linked with (Bio)Assays and Mass Spectrometry. Food Chem. 2015, 187, 460–468. [Google Scholar] [CrossRef]
- Biase, T.M.M.A.; Rocha, J.G.M.; Silva, M.T.; Ribeiro-Vaz, I.; Galvao, T.F. Renal Effects of Selective Cyclooxygenase-2 Inhibitor Anti-Inflammatory Drugs: A Systematic Review and Meta-Analysis. Explor. Res. Clin. Soc. Pharm. 2024, 15, 100475. [Google Scholar] [CrossRef]
- Majeed, U.; Shafi, A.; Majeed, H.; Akram, K.; Liu, X.; Ye, J.; Luo, Y. Grape (Vitis Vinifera L.) Phytochemicals and Their Biochemical Protective Mechanisms against Leading Pathologies. Food Chem. 2023, 405, 134762. [Google Scholar] [CrossRef]
- Bilawal, A.; Ishfaq, M.; Gantumur, M.A.; Qayum, A.; Shi, R.; Fazilani, S.A.; Anwar, A.; Jiang, Z.; Hou, J. A Review of the Bioactive Ingredients of Berries and Their Applications in Curing Diseases. Food Biosci. 2021, 44, 101407. [Google Scholar] [CrossRef]
- Venkidasamy, B.; Samynathan, R.; Ramasamy, P.; Santhosh Kumar, M.P.; Thiruvengadam, M.; Khayrullin, M.; Shariati, M.A.; Nile, A.S.; Nile, S.H. Unveiling Novel Applications of Fruit Pomace for Sustainable Production of Value-Added Products and Health Benefits: A Review. Food Biosci. 2024, 61, 104533. [Google Scholar] [CrossRef]
- Zhao, X.; Zhang, L.; Wu, N.; Liu, Y.; Xie, J.; Su, L.; Zhu, Q.; Unger, B.H.; Altaf, F.; Hu, Y.; et al. Gallic Acid Acts as an Anti-Inflammatory Agent via PPARγ-Mediated Immunomodulation and Antioxidation in Fish Gut-Liver Axis. Aquaculture 2024, 578, 740142. [Google Scholar] [CrossRef]
- Jajo, H.; Baishya, T.; Das, P.; Ashraf, G.J.; Dua, T.K.; Paul, P.; Nandi, G.; Sahu, R. GC-MS and HPTLC Bioautography-Based Phytochemical Profiling and Evaluation of Biological Activity Neptunia Prostrata Linn Whole Plant and Leaves. Pharmacol. Res. —Nat. Prod. 2024, 2, 100013. [Google Scholar] [CrossRef]




| Band | Compounds | [M]+ [M-H]− m/z a | MS/MS Fragments m/z a |
|---|---|---|---|
| 1 | Quercetin 3-O-glucuronide | 477 | 301 |
| 2 | Quercetin 3-O-glucoside | 463 | 300 |
| 3 | Kaempferol-3-O-glucoside | 447 | 284 |
| 4 | Gallic acid | 169 | 125 |
| 5 | Not detected | - | - |
| Extraction Method | ||
|---|---|---|
| Analysis | EAE | PLE |
| TPC (mg GAE)/g dry extract) | 33.21 ± 1.54 a | 62.68 ± 3.62 b |
| TFC (mg QE/g dry extract) | 134.2 ± 2.80 a | 254.17 ± 2.10 b |
| DPPH (μmol TE/g dry extract) | 399.4 ± 23.54 a | 557.61 ± 25.03 b |
| ORAC (μmol TE/g dry extract) | 668.2 ± 26.3 a | 871.28 ± 12.03 b |
| FRAP (μmol TE/g dry extract) | 414.4 ± 11.73 a | 668.22 ± 22.45 b |
| AATS (μmol TE/g dry extract) | 317.4 ± 10.67 a | 469.05 ± 14.65 b |
Disclaimer/Publisher’s Note: The statements, opinions and data contained in all publications are solely those of the individual author(s) and contributor(s) and not of MDPI and/or the editor(s). MDPI and/or the editor(s) disclaim responsibility for any injury to people or property resulting from any ideas, methods, instructions or products referred to in the content. |
© 2024 by the authors. Licensee MDPI, Basel, Switzerland. This article is an open access article distributed under the terms and conditions of the Creative Commons Attribution (CC BY) license (https://creativecommons.org/licenses/by/4.0/).
Share and Cite
Poblete, J.; Fernández-Martínez, J.; Aranda, M.; Quispe-Fuentes, I. Green Recovery and Identification of Antioxidant and Enzyme Inhibitor Molecules from Pisco Grape Pomace by Targeted Effects Analysis Using Thin-Layer Chromatography, Bioassay, and Mass Spectrometry. Antioxidants 2024, 13, 1418. https://doi.org/10.3390/antiox13111418
Poblete J, Fernández-Martínez J, Aranda M, Quispe-Fuentes I. Green Recovery and Identification of Antioxidant and Enzyme Inhibitor Molecules from Pisco Grape Pomace by Targeted Effects Analysis Using Thin-Layer Chromatography, Bioassay, and Mass Spectrometry. Antioxidants. 2024; 13(11):1418. https://doi.org/10.3390/antiox13111418
Chicago/Turabian StylePoblete, Jacqueline, Joaquín Fernández-Martínez, Mario Aranda, and Issis Quispe-Fuentes. 2024. "Green Recovery and Identification of Antioxidant and Enzyme Inhibitor Molecules from Pisco Grape Pomace by Targeted Effects Analysis Using Thin-Layer Chromatography, Bioassay, and Mass Spectrometry" Antioxidants 13, no. 11: 1418. https://doi.org/10.3390/antiox13111418
APA StylePoblete, J., Fernández-Martínez, J., Aranda, M., & Quispe-Fuentes, I. (2024). Green Recovery and Identification of Antioxidant and Enzyme Inhibitor Molecules from Pisco Grape Pomace by Targeted Effects Analysis Using Thin-Layer Chromatography, Bioassay, and Mass Spectrometry. Antioxidants, 13(11), 1418. https://doi.org/10.3390/antiox13111418

