Phenolic Characterization Using cLC-DAD Analysis and Evaluation of In Vitro and In Vivo Pharmacological Activities of Ruta tuberculata Forssk
Abstract
:1. Introduction
2. Materials and Methods
2.1. Chemicals
2.2. Plant Material and Extraction
Ruta tuberculata
2.3. Phytochemical Analysis
2.3.1. Determination of Total Bioactive Compounds’ Content
2.3.2. cLC-DAD Analysis
2.4. In Vitro Antioxidant Activity
2.4.1. DPPH Free Radical-Scavenging Capacity
2.4.2. ABTS Radical Cation Scavenging Activity
2.4.3. Total Antioxidant Capacity by Phosphomolybdenum Assay (TAC)
2.4.4. Ferric Reducing Antioxidant Power (FRAP) Assay
2.4.5. Cupric Reducing Antioxidant Capacity (CUPRAC)
2.4.6. β-Carotene–Linoleic Acid Bleaching Inhibition Assay
2.5. Anti-Acetylcholinesterase Activity
2.6. Acute Oral Toxicity
2.7. In Vitro and In Vivo Anti-Inflammatory Activities
2.7.1. In Vitro Anti-Arthritic Activity (Bovine Albumin Denaturation Assay)
2.7.2. Carrageenan-Induced Paw Edema
2.7.3. Estimation of Inhibition Edema Rate
2.8. Ethanol-Induced Gastric Mucosal Damage
2.8.1. Estimation of Ulcer Index (UI)
2.8.2. Histopathological Examination
2.9. Statistical Analysis
3. Results
3.1. Spectrophotometric Determination of Total Phenolic Content
3.2. cLC-DAD Quantitative Analysis
3.3. In Vitro Antioxidant Activity
3.3.1. Radicals Scavenging Activity
3.3.2. Reducing Power
3.3.3. Lipid Peroxidation Inhibition Activity
3.3.4. Total Antioxidant Activity
3.4. Anti-Alzheimer Activity
3.5. Acute Oral Toxicity
3.6. In Vitro and In Vivo Anti-Inflammatory Activity
3.6.1. Bovine Albumin Denaturation Inhibition
3.6.2. Carrageenan-Induced Paw Edema
3.7. Antiulcer Activity
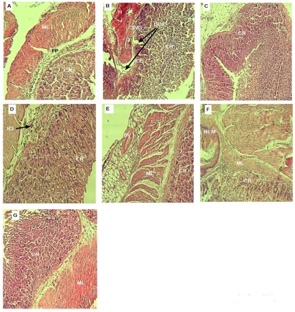
3.8. Histological Assessment of In Vivo Anti-Inflammatory and Antiulcer Effects
4. Discussion
5. Conclusions
Author Contributions
Funding
Institutional Review Board Statement
Informed Consent Statement
Data Availability Statement
Acknowledgments
Conflicts of Interest
References
- Khadhri, A.; Bouali, I.; Belkhir, S.; Mokded, R.; Smiti, S.; Falé, P.; Araújo, M.E.M.; Serralheiro, M.L.M. In vitro digestion, antioxidant and antiacetylcholinesterase activities of two species of Ruta: Rutachalepensisand Rutamontana. Pharm. Biol. 2016, 55, 101–107. [Google Scholar] [CrossRef] [PubMed] [Green Version]
- Gali, L.; Bedjou, F. Antioxidant and anticholinesterase effects of the ethanol extract, ethanol extract fractions and total alkaloids from the cultivated Rutachalepensis. S. Afr. J. Bot. 2018, 120, 163–169. [Google Scholar] [CrossRef]
- Saidi, A.; Hambaba, L.; Kucuk, B.; Cacan, E.; Erenler, R. Phenolic Profile, Acute Toxicity, and Hepatoprotective and Antiproliferative Activities of Algerian Rutatuberculata Forssk. Curr. Bioac Compd. 2022, 18, 72–83. [Google Scholar] [CrossRef]
- Sugimoto, M.; Vago, J.; Perretti, M.; Teixeira, M. Mediators of the Resolution of the Inflammatory Response. Trends Immunol. 2019, 40, 212–227. [Google Scholar] [CrossRef] [PubMed]
- Bensaad, M.S.; Dassamiour, S.; Hambaba, L.; Saidi, A.; Melakhsou, M.A.; Nouicer, F.; Baghiani, A.; Khennouf, S.; Kahoul, M.A.; Kadrine, N. In vivo investigation of antidiabetic, hepatoprotective, anti-inflammatory and antipyretic activities of Centaurea tougourensis Boiss. & Reut. J. Physiol. Pharmacol. 2021, 72, 439–449. [Google Scholar]
- Bensaad, M.S.; Dassamiour, S.; Hambaba, L.; Kahoul, M.A.; Benhoula, M. Evidence of anti-inflammatory and anti-ulcer properties of aerial parts of Centaurea tougourensis Boiss and Reut. Trop. J. Pharm. Res. 2021, 20, 1647–1654. [Google Scholar] [CrossRef]
- Deghima, A.; Righi, N.; Rosales-Conrado, N.; León-González, M.E.; Gómez-Mejía, E.; Madrid, Y.; Baali, F.; Bedjou, F. Bioactive polyphenols from Ranunculus macrophyllus Desf. Roots: Quantification, identification and antioxidantactivity. S. Afr. J. Bot. 2020, 132, 1–11. [Google Scholar] [CrossRef]
- Carvalho, L.S.A.d.; Queiroz, L.S.; Junior, I.J.A.; Almeida, A.d.C.; Coimbra, E.S.; Pinto, P.d.F.; Silva, M.P.N.d.; Moraes, J.D.; Filho, A.A.D.S. In Vitro Schistosomicidal Activity of the Alkaloid-Rich Fraction from Ruta graveolens L. (Rutaceae) and Its Characterization by UPLC-QTOF-MS. Evid. Based Complement. Alternat. Med. 2019, 2019, 7909137–7909144. [Google Scholar] [CrossRef] [Green Version]
- Rha, C.S.; Jeong, H.W.; Park, S.; Lee, S.; Jung, Y.S.; Kim, D.O. Antioxidative, anti-inflammatory, and anticancer effects of purified flavonol glycosides and aglycones in green tea. Antioxidants 2019, 8, 278. [Google Scholar] [CrossRef] [Green Version]
- Ullah, H.; Khan, H. Anti-Parkinson Potential of Silymarin: Mechanistic Insight and Therapeutic Standing. Front. Pharmacol. 2018, 9, 422–431. [Google Scholar] [CrossRef] [Green Version]
- Al-Brashdi, A.S.; Al-Ariymi, H.; Hashmi, M.A.; Khan, S.A. Evaluation of antioxidant potential, total phenolic content and phytochemical screening of aerial parts of a folkloric medicine, Haplophyllum tuberculatum (Forssk) A. Juss. J. Coast. Life Med. 2016, 4, 315–319. [Google Scholar] [CrossRef]
- Aguila, L.; Ruedlinger, J.; Mansilla, K.; Ordenes, J.; Salvatici, R.; Campos, R.R.d.; Romero, F. Relaxant effects of a hydroalcoholic extract of Ruta graveolens on isolated rat tracheal rings. Biol. Res. 2015, 48, 28–33. [Google Scholar] [CrossRef] [PubMed] [Green Version]
- Hamdi, A.; Majouli, K.; Abdelhamid, A.; Marzouk, B.; Belghith, H.; Chraief, I.; Bouraoui, A.; Marzouk, Z.; Heyden, Y.V. Pharmacological activities of the organic extracts and fatty acid composition of the petroleum ether extract from Haplophyllum tuberculatum leaves. J. Ethnopharmacol. 2018, 216, 97–103. [Google Scholar] [CrossRef] [PubMed]
- Al-Rehaily, A.J.; Al-Howiriny, T.A.; Ahmad, M.S.; Al-Yahya, M.A.; El-Feraly, F.S.; Hufford, C.D.; McPhail, A.T. Alkaloids from Haplophyllum tuberculatum. Phytochemistry 2001, 57, 597–602. [Google Scholar] [CrossRef]
- Eissa, T.F.; González-Burgos, E.; Carretero, M.E.; Gómez-Serranillos, M.P. Compositional analysis and in vitro protective activity against oxidative stress of essential oils from egyptian plants used in traditional medicine. Nat. Prod. Commun. 2014, 9, 1377–1382. [Google Scholar] [CrossRef] [Green Version]
- Ulubelen, A.; Öztürk, M. Alkaloids, Coumarins and Lignans from Haplophyllum Species. Rec. Nat. Prod. 2008, 2, 54–69. [Google Scholar]
- Eissa, T.F.; González-Burgos, E.; Carretero, M.E.; Gómez-Serranillos, M.P. Biological activity of HPLC-characterized ethanol extract from the aerial parts of Haplophyllum tuberculatum. Pharm. Biol. 2014, 52, 151–156. [Google Scholar] [CrossRef]
- Asgharian, S.; Hojjati, M.R.; Ahrari, M.; Bijad, E.; Deris, F.; Lorigooini, Z. Ruta graveolens and rutin, as its major compound: Investigating their effect on spatial memory and passive avoidance memory in rats. Pharm. Biol. 2020, 58, 447–453. [Google Scholar] [CrossRef]
- Ratheesh, M.; Shyni, G.L.; Sindhu, G.; Helen, A. Protective Effects of Isolated Polyphenolic and Alkaloid Fractions of Ruta graveolens L. on Acute and Chronic Models of Inflammation. Inflammation 2009, 33, 18–24. [Google Scholar] [CrossRef]
- Khlifi, D.; Sghaier, R.M.; Amouri, S.; Laouini, D.; Hamdi, M.; Bouajila, J. Composition and anti-oxidant, anti-cancer and anti-inflammatory activities of Artemisia herba-alba, Rutachalepensis L. and Peganum harmala L. Food Chem. Toxicol. 2013, 55, 202–208. [Google Scholar] [CrossRef]
- Slinkard, K.; Singleton, V.L. Total phenol analyse: Automation and comparison with manual methods. Am. J. Enol. Vitic. 1977, 28, 49–55. [Google Scholar]
- Bahorun, T.; Grinier, B.; Trotin, F.; Brunet, G.; Pin, T.; Luncky, M.; Vasseur, J.; Cazin, M.; Cazin, C.; Pinkas, M. Oxygen species scavenging activity of phenolic extracts from hawthorn fresh plant organs and pharmaceutical preparations. Arzneimitt Forsch. 1996, 46, 1086–1089. [Google Scholar]
- Heimler, D.; Vignolini, P.; Dini, M.G.; Vincieri, F.F.; Romani, A. Antiradical activity and polyphenol composition of local Brassicaceae edible varieties. Food Chem. 2006, 99, 464–469. [Google Scholar] [CrossRef]
- Erenler, R.; Sen, O.; Yaglioglu, A.S.; Demirtas, I. Bioactivity-Guided Isolation of Antiproliferative Sesquiterpene Lactones from Centaurea solstitialis L. ssp. Solstitialis. Comb. Chem. High Throughput Screen. 2016, 19, 66–72. [Google Scholar] [CrossRef]
- Blois, M.S. Antioxidant determinations by the use of a stable Free Radical. Nature 1958, 4617, 1119–1200. [Google Scholar] [CrossRef]
- Re, R.; Pellegrini, N.; Proteggente, A.; Pannala, A.; Yang, M.; Rice-Evans, C. Antioxidant activity applying an improved ABTS radical cationdecoloriza-tionassay. Free. Radic. Biol. Med. 1999, 26, 1231–1237. [Google Scholar] [CrossRef]
- Prieto, P.; Pineda, M.; Aguilar, M. Spectrophotometric quantitation of antioxidant capacity through the formation of a phosphomolybdenum complex: Specific application to the determination of vitamin E. Anal. Biochem. 1999, 269, 337–341. [Google Scholar] [CrossRef] [PubMed]
- Oyaizu, M. Studies on products of browning reactions: Antioxidative activities of browning reaction prepared from glucosamine. Jpn. J. Nutr. 1986, 44, 307–315. [Google Scholar] [CrossRef] [Green Version]
- Apak, R.; Guclu, K.; Ozyurek, M.; Karademir, S.E. Novel total antioxidant ca-pacity index for dietary polyphenols and vitamins C and E, using their cupric ion re-ducing capability in the presence of neocuproine: CUPRAC method. J. Agric. Food Chem. 2004, 52, 7970–7981. [Google Scholar] [CrossRef]
- Marco, G.J. A rapid method for evaluation of antioxidants. J. Am. Oil Chem. Soc. 1968, 45, 594–598. [Google Scholar] [CrossRef]
- Ellman, G.L.; Courtney, K.D.; Andres Jr, V.; Featherstone, R.M. A new and rapid colorimetric determination of acetylcholinesterase activity. Biochem. Pharmacol. 1961, 7, 88–95. [Google Scholar] [CrossRef]
- NIH Guide. Revised Guide for the Care and Use of Laboratory Animals. NIH Guide in: Guide for the Care and Use of Laboratory Animals, 8th ed.; National Academies Press: Washington, DC, USA, 1996; Volume 25, pp. 1–246. [Google Scholar]
- OECD. OECD guidelines for the testing of chemicals. Acute Oral. Toxic. Proced. 2008, 425, 29–37. [Google Scholar]
- Kandikattu, K.; Kumar, P.B.R.; Priya, R.V.; Kumar, K.S.; Singh, R.; Rathore, B. Evaluation of Anti-Inflammatory Activity of Canthium Parviflorum by In-Vitro Method. Indian. J. Res. Pharm. Biotechnol. 2013, 1, 729–730. [Google Scholar]
- Lu, T.C.; Ko, Y.Z.; Huang, H.W.; Hung, Y.C.; Lin, Y.C.; Peng, W.H. Analgesic and anti-inflammatory activities of aqueous extract from Glycine tomentella root in mice. J. Ethnopharmacol. 2007, 113, 142–148. [Google Scholar] [CrossRef]
- Li, Q.; Hu, X.; Xuan, Y.; Ying, J.; Fei, Y.; Rong, J.; Zhang, Y.; Zhang, J.; Liu, C.; Liu, Z. Kaempferol protects ethanolinduced gastric ulcers in mice via pro-inflammatory cytokines and NO. Acta Biochim. Biophys. Sin. 2018, 50, 246–253. [Google Scholar] [CrossRef] [Green Version]
- Suhaimi, S.A.; Hong, S.L.; Malek, S.N.A. Rutamarin, an active constituent from Ruta angustifolia Pers., induced apoptotic cell death in the HT29 colon adenocarcinoma cell line. Phcog. Mag. 2017, 13, S179–S188. [Google Scholar]
- Zengin, G.; Sarikurkcu, C.; Aktumsek, A.; Ceylan, R.; Ceylan, O. A comprehensive study on phytochemical characterization of Haplophyllum myrtifolium Boiss. endemic to Turkey and its inhibitory potential against key enzymes involved in Alzheimer, skin diseases and type II diabetes. Ind. Crops. Prod. 2014, 53, 244–251. [Google Scholar] [CrossRef]
- Kacem, M.; Kacem, I.; Simon, G.; BenMansour, A.; Chaabouni, S.; Feki, A.f.E.; Bouaziz, M. Phytochemicals and biological activities of Rutachalepensis L. growing in Tunisia. Food Biosci. 2015, 12, 73–83. [Google Scholar] [CrossRef]
- Aberrane, S.; Djouahri, A.; Djerrad, Z.; Saka, B.; Benseradj, F.; Aitmoussa, S.; Sabaou, N.; Baaliouamer, A.; Boudarene, L. Changes in essential oil composition of Haplophyllumtuberculatum(Forssk.) A. Juss. aerial parts according to the developmental stage of growth and incidence on the biological activities. J. Essent. Oil Res. 2019, 31, 69–89. [Google Scholar] [CrossRef]
- Loizzo, M.R.; Falco, T.; Bonesi, M.; Sicari, V.; Tundis, R.; Bruno, M. Rutachalepensis L. (Rutaceae) leaf extract: Chemical composition, antioxidant and hypoglicaemic activities. Nat. Prod. Res. 2017, 32, 521–528. [Google Scholar] [CrossRef]
- Ouerghemmi, I.; Rebey, I.B.; Rahali, F.Z.; Bourgou, S.; Pistelli, L.; Ksouri, R.; Marzouk, B.; Tounsi, M.S. Antioxidant and antimicrobial phenolic compounds from extracts of cultivated and wild-grown Tunisian Rutachalepensis. J. Food. Drug. Anal. 2017, 25, 350–359. [Google Scholar] [CrossRef] [PubMed] [Green Version]
- Coimbra, A.T.; Ferreira, S.; Duarte, A.P. Genus Ruta: A natural source of high value products with biological and pharmacological properties. J. Ethnopharmacol. 2020, 260, 1–81. [Google Scholar] [CrossRef]
- Kahkeshani, N.; Farzaei, F.; Fotouhi, M.; Alavi, S.S.; Bahramsoltani, R.; Naseri, R.; Momtaz, S.; Abbasabadi, Z.; Rahimi, R.; Farzaei, M.H.; et al. Pharmacological Effects of Gallic Acid in Health and Disease: A Mechanistic Review. Iran. J. Basic Med. Sci. 2019, 22, 225–237. [Google Scholar] [PubMed]
- Obrenovich, M.E.; Li, Y.; Parvathaneni, K.; Yendluri, B.B.; Palacios, H.H.; Leszek, J.; Aliev, G. Antioxidants in health, disease and aging. CNS Neurol. Disord. Drug. Targets. 2011, 10, 192–207. [Google Scholar] [CrossRef] [PubMed]
- Bazine, I.; Cheraiet, Z.; Bensegueni, R.; Bensouici, C.; Boukhari, A. Synthesis, antioxidant and anticholinesterase activities of novel quinoline-aminophosphonate derivatives. J. Heterocyclic. Chem. 2020, 57, 1–11. [Google Scholar] [CrossRef]
- Nićiforović, N.; Polak, T.; Makuc, D.; Ulrih, N.P.; Abramovic, H. A kinetic approach in the evaluation of radical-scavenging efficiency of sinapic acid and its derivatives. Molecules 2017, 22, 375. [Google Scholar] [CrossRef] [Green Version]
- Zerin, T.; Kim, Y.S.; Hong, S.Y.; Song, H.Y. Quercetin reduces oxidative damage induced by paraquat via modulating expression of antioxidant genes in A549 cells. J. Appl. Toxicol. 2013, 33, 1460–1467. [Google Scholar] [CrossRef]
- Sun, L.; Xu, G.; Dong, Y.; Li, M.; Yang, L.; Lu, W. Quercetin Protects Against Lipopolysaccharide-Induced Intestinal Oxidative Stress in Broiler Chickens through Activation of Nrf2 Pathway. Molecules 2020, 25, 1053. [Google Scholar] [CrossRef] [Green Version]
- Santos, L.F.S.; Stolfo, A.; Calloni, C.; Salvador, M. Catechin and epicatechin reduce mitochondrial dysfunction and oxidative stress induced by amiodarone in human lung fibroblasts. J. Arrhythm. 2017, 33, 220–225. [Google Scholar] [CrossRef]
- Lafay, S.; Gueux, E.; Rayssiguier, Y.; Mazur, A.; Rémésy, C.; Scalbert, A. Caffeic acid inhibits oxidative Stress and reduces hypercholesterolemia induced by iron overload in rats. International journal for vitamin and nutrition research. Int. J. Vitam. Nutr. Res. 2005, 75, 119–125. [Google Scholar] [CrossRef]
- Gutierrez-Zetina, S.M.; González-Manzano, S.; Ayuda-Durán, B.; Santos-Buelga, C.; González-Paramás, A.M. Caffeic and Dihydrocaffeic Acids Promote Longevity and Increase Stress Resistance in Caenorhabditis elegans by Modulating Expression of Stress-Related Genes. Molecules 2021, 26, 1517. [Google Scholar] [CrossRef]
- Bensaad, M.S.; Dassamiour, S.; Hambaba, L.; Bensouici, C.; Haba, H. In vitro assessment of antioxidant, anti-inflammatory, neuroprotective and antimicrobial activities of Centaurea tougourensis Boiss. & Reut. J. Pharm. Pharmacogn. Res. 2021, 9, 790–802. [Google Scholar]
- Narayan, A.; Bhattacharjee, K.; Naganathan, A. Thermally versus Chemically Denatured Protein States. Biochemistry 2019, 58, 2519–2523. [Google Scholar] [CrossRef] [PubMed] [Green Version]
- Ruzza, P.; Honisch, C.; Hussain, R.; Siligardi, G. Free Radicals and ROS Induce Protein Denaturation by UV Photostability Assay. Int. J. Mol. Sci. 2021, 22, 6512. [Google Scholar] [CrossRef] [PubMed]
- Mouffouk, C.; Hambaba, L.; Haba, H.; Moufouk, S.; Bensouici, C.; Moufouk, S.; Hachemi, M.; Khadraoui, H. Acute toxicity and in vivo antiinflammatory effects and in vitro antioxidant and anti-arthritic potential of Scabiosa stellata. Orient. Pharm. Exp. Med. 2018, 18, 335–348. [Google Scholar] [CrossRef]
- Sęczyk, Ł.; Świeca, M.; Kapusta, I.; Gawlik-Dziki, U. Protein-Phenolic Interactions as a Factor Affecting the Physicochemical Properties of White Bean Proteins. Molecules 2019, 24, 408. [Google Scholar] [CrossRef] [Green Version]
- Hämäläinen, M.; Nieminen, R.; Asmawi, M.Z.; Vuorela, P.; Vapaatalo, H.; Eoilanen, M. Effects of flavonoids on prostaglandin E2 production and on COX-2 and mPGES-1 expressions in activated macrophages. Planta Med. 2011, 77, 1504–1511. [Google Scholar] [CrossRef] [Green Version]
- Sabry, O.M.; El Sayed, A.M.; Sleem, A. Potential anti-microbial, anti-inflammatory and anti-oxidant activities of Haplophyllum tuberculatum growing in Libya. J. Pharmacogn. Nat. Prod. 2016, 2, 1–5. [Google Scholar] [CrossRef] [Green Version]
- Chung, C.S.; Chiang, T.H.; Lee, Y.C. A systematic approach for the diagnosis and treatment of idiopathic peptic ulcers. Korean J. Intern. Med. 2015, 30, 559–570. [Google Scholar] [CrossRef]
- Mascaraque, C.; Aranda, C.; Ocón, B.; Monte, M.J.; Suárez, M.D.; Zarzuelo, A.; Marín, J.J.; Martínez-Augustin, O.; de Medina, F.S. Rutin has intestinal anti-inflammatory effects in the CD4+ CD62L+ T cell transfer model of colitis. Pharmacol. Res. 2014, 90, 48–57. [Google Scholar] [CrossRef]
- Tian, C.; Liu, X.; Chang, Y.; Wang, R.; Yang, M.; Liu, M. Rutin prevents inflammation induced by lipopolysaccharide in RAW 264.7 cells via conquering the TLR4-MyD88-TRAF6-NF-κB signalling pathway. J. Pharm. Pharmacol. 2021, 73, 110–117. [Google Scholar] [CrossRef] [PubMed]
- Yoon, C.H.; Chung, S.J.; Lee, S.W.; Park, Y.B.; Lee, S.K.; Park, M.C. Gallic acid, a natural polyphenolic acid, induces apoptosis and inhibits proinflammatory gene expressions in rheumatoid arthritis fibroblast-like synoviocytes. Joint Bone Spine 2013, 80, 274–279. [Google Scholar] [CrossRef]
- Vilar, M.S.; de Souza, G.L.; Vilar, D.; Leite, J.A.; Raffin, F.N.; Barbosa-Filho, J.M.; Nogueira, F.H.; Rodrigues-Mascarenhas, S.; Moura, T.F. Assessment of Phenolic Compounds and Anti-Inflammatory Activity of Ethyl Acetate Phase of Anacardium occidentale L. Bark. Molecules 2016, 21, 1087. [Google Scholar] [CrossRef] [PubMed] [Green Version]
- Tanaka, M.; Sugama, A.; Sumi, K.; Shimizu, K.; Kishimoto, Y.; Kondo, K.; Iida, K. Gallic acid regulates adipocyte hypertrophy and suppresses inflammatory gene expression induced by the paracrine interaction between adipocytes and macrophages in vitro and in vivo. Nutr. Res. 2020, 73, 58–66. [Google Scholar] [CrossRef] [PubMed]
- Liu, Z.K.; Xiao, H.B.; Fang, J. Anti-inflammatory properties of kaempferol via its inhibition of aldosterone signaling and aldosterone-induced gene expression. Can. J. Physiol. Pharmacol. 2014, 92, 117–123. [Google Scholar] [CrossRef] [PubMed]
- Alam, W.; Khan, H.; Shah, M.A.; Cauli, O.; Saso, L. Kaempferol as a Dietary Anti-Inflammatory Agent: Current Therapeutic Standing. Molecules 2020, 25, 4073. [Google Scholar] [CrossRef]
- Talić, S.; Dragičević, I.; Ćorajević, L.; Bevanda, A.M. Acetylcholinesterase and butyrylcholinesterase inhibitory activity of extracts from medicinal plants. Bull. Chem. Technol. Bosnia Herceg. 2014, 43, 11–14. [Google Scholar]
- Nag, G.; De, B. Acetylcholinesterase inhibitory activity of Terminalia chebula, Terminalia bellerica and Emblica officinalis and some phenolic compounds. Int. J. Pharm. Pharm. Sci. 2011, 3, 121–124. [Google Scholar]
- Jung, H.A.; Jung, Y.J.; Hyun, S.K.; Min, B.S.; Kim, D.W.; Jung, J.H.; Choi, J.S. Selective cholinesterase inhibitory activities of a new monoterpene diglycoside and other constituents from Nelumbo nuciferastamens. Biol. Pharm. Bull. 2010, 33, 267–272. [Google Scholar] [CrossRef] [Green Version]
- Hernandez, M.F.; Falé, P.L.V.; Araújo, M.E.M.; Serralheiro, M.L.M. Acetylcholinesterase inhibition and antioxidant activity of the water extracts of several Hypericum species. Food Chem. 2010, 120, 1076–1082. [Google Scholar] [CrossRef]
- Cardoso-Lopes, E.M.; Maier, J.A.; Silva, M.R.d.; Regasini, L.O.; Simote, S.Y.; Lopes, N.P.; Pirani, J.R.; Bolzani, V.d.S.; Young, M.C.M. Alkaloids from stems of Esenbeckialeiocarpa Engl. (Rutaceae) as potential treatment for Alzheimer Disease. Molecules 2010, 15, 9205–9213. [Google Scholar] [CrossRef] [PubMed] [Green Version]
- Hussein, R.M.; Mohamed, W.R.; Omar, H.A. A neuroprotective role of kaempferol against chlorpyrifos-induced oxidative stress and memory deficits in rats via GSK3β-Nrf2 signaling pathway. Pestic. Biochem. Physiol. 2018, 152, 29–37. [Google Scholar] [CrossRef] [PubMed]
- Filomeni, G.; Graziani, I.; De Zio, D.; Dini, L.; Centonze, D.; Rotilio, G.; Ciriolo, M.R. Neuroprotection of kaempferol by autophagy in models of rotenone-mediated acute toxicity: Possible implications for Parkinson’s disease. Neurobiol. Aging 2012, 33, 767–785. [Google Scholar] [CrossRef]
- Ay, M. Vanillic acid induces mitochondrial biogenesis in SH-SY5Y cells. Mol. Biol. Rep. 2022, 49, 4443–4449. [Google Scholar] [CrossRef] [PubMed]
- Ullah, R.; Ikram, M.; Park, T.J.; Ahmad, R.; Saeed, K.; Alam, S.I.; Rehman, I.U.; Khan, A.; Khan, I.; Jo, M.G.; et al. Vanillic Acid, a Bioactive Phenolic Compound, Counteracts LPS-Induced Neurotoxicity by Regulating c-Jun N-Terminal Kinase in Mouse Brain. Int. J. Mol. Sci. 2020, 22, 361. [Google Scholar] [CrossRef] [PubMed]
- Amin, F.U.; Shah, S.A.; Kim, M.O. Vanillic acid attenuates Aβ1-42-induced oxidative stress and cognitive impairment in mice. Sci. Rep. 2017, 7, 407531–407545. [Google Scholar] [CrossRef]
- Kim, H.B.; Lee, S.; Hwang, E.S.; Maeng, S.; Park, J.H. p-Coumaric acid enhances long-term potentiation and recovers scopolamine-induced learning and memory impairments. Biochem. Biophys. Res. Commun. 2017, 492, 493–499. [Google Scholar] [CrossRef] [PubMed]
- Sakamula, R.; Thong-Asa, W. Neuroprotective effect of p-coumaric acid in mice with cerebral ischemia reperfusion injuries. Metab. Brain Dis. 2018, 33, 765–773. [Google Scholar] [CrossRef]
- Chandra, S.; Roy, A.; Jana, M.; Pahan, K. Cinnamic acid activates PPARα to stimulate Lysosomal biogenesis and lower Amyloid plaque pathology in an Alzheimer’s disease mouse model. Neurobiol. Dis. 2019, 124, 379–395. [Google Scholar] [CrossRef]
- Okello, E.J.; Mather, J. Comparative Kinetics of Acetyl- and Butyryl-Cholinesterase Inhibition by Green Tea Catechins|Relevance to the Symptomatic Treatment of Alzheimer’s Disease. Nutrients 2020, 12, 1090. [Google Scholar] [CrossRef] [Green Version]






| N° | Compound | cLC-DAD | |||
|---|---|---|---|---|---|
| RT (min) | UV (nm) | RAE | RME | ||
| Extracted Amount (mg/100 g d.E) | |||||
| 1 | Gallic acid | 10.37 | 280 | 264.16 | 24.53 |
| 2 | Catechin | 14.12 | 280 | 7.00 | 16.75 |
| 3 | Chlorogenic acid | Nt | Nt | Nt | Nt |
| 4 | Gentisic acid | Nt | Nt | Nt | Nt |
| 5 | p-hydroxybenzoic acid | 14.80 | 254 | 21.32 | 10.38 |
| 6 | Vanillic acid | 16.68 | 280 | 11.19 | 10.40 |
| 7 | Caffeic acid | 15.62 | 325 | 4.14 | 27.15 |
| 8 | 4-hydroxy benzaldehyde | Nt | Nt | Nt | Nt |
| 9 | p-coumaric acid | 17.32 | 280 | 2.41 | 2.93 |
| 10 | Trans-Ferulic acid | 17.94 | 325 | 10.28 | 3.19 |
| 11 | Rutin | 19.14 | 360 | 31.67 | 58.31 |
| 12 | Myricetin | 19.51 | 360 | 2624.82 | 5368.64 |
| 13 | Sylimarin | 19.96 | 280 | 701.62 | 700.00 |
| 14 | Naringenin | 18.02 | 280 | 20.21 | 69.97 |
| 15 | Quercetin | 20. 81 | 360 | 4.50 | 25.86 |
| 17 | Kaempferol | Nt | Nt | Nt | Nt |
| 18 | Cinnamic acid | 20. 89 | 280 | 25.38 | 100.99 |
| 19 | Trans-cinnamic acid | 21.36 | 280 | 112.07 | 131.87 |
| Extract/ Standard | Radical Scavenging | Lipid Peroxidation | Reducing Power | Total Antioxidant Capacity (TAC) | ||
|---|---|---|---|---|---|---|
| DPPH | ABT’S | FRAP | CUPRAC | |||
| IC50 (μg/mL) | A0.5 (μg/mL) | AAE (mg/g E) | ||||
| RAE | 74,87 ± 1.1 ns,a,b,d | 143.54 ± 1.0 d | 254. 58 ± 1.7 d | 132.92 ± 0.9 ns,d | 196.9 ± 0.8 a,d | 369.57 ± 1.0 d |
| RME | 53.78 ± 0.5 ns,b,d | 80.72 ± 0.9 d | 153.18 ± 0.06 d | 132.71 ± 1.1 ns,d | 211.34 ± 2.2 d | 135.8 ± 0.02 |
| BHT | 49.77± 0.1 a,c,d | 1.55 ± 0.26 d | 1.24 ± 0.00 ns,d | >50 | 9.62 ± 0.9 d | Nt |
| BHA | 15.74 ± 0.5 c,d | 7.54 ± 0.7 d | 1.26 ± 0.00 ns,d | 8.41 ± 0.7 a,d | 3.64 ± 0.2 d | Nt |
| Ascorbic acid | 26.38 ± 0.5 a,c,d | Nt | Nt | 9.01 ± 1.5 a,d | Nt | Nt |
| Gallic acid | 53.03 ± 0.0 b,c,d | Nt | Nt | 6.91 ± 0.0 a,d | Nt | Nt |
| Quercetin | 60.77 ± 0.0 a,d | Nt | Nt | 24.01 ± 0.0 d | Nt | Nt |
| Extract/ Standard | AChE Inhibition Assay | Bovine Albumin Denaturation Assay | ||
|---|---|---|---|---|
| Max Inhibition (%) | IC50 (μg/mL) | Max Inhibition (%) | IC50 (μg/mL) | |
| RAE | 89.7 ± 1.5 | 51.08 ± 1.6 a,d | 57.9 ± 0.04 | 212.27 ± 0.04 b,c |
| RME | 82.3 ± 1.4 | 56.7 ± 0.97 a,d | 48.1 ± 0.02 | >400 |
| Galanthamine | 94.7 ± 0.3 | 6.27 ± 1.1 | Nt | Nt |
| Diclofenac sodium | Nt | Nt | 84.9 ± 0.8 | 115.76 ± 0.8 |
| Treatment | Dose (mg/kg, p.o.) | ∆ Paw Diameter (mm) | |||||
|---|---|---|---|---|---|---|---|
| Before Treatment | After Treatment | ||||||
| 1 h | 2 h | 3 h | 4 h | 5 h | |||
| Carrageenan-IPE Control | Normal Saline | 1.65 ± 0.02 | 2.82 ± 0.03 | 3.24 ± 0.03 | 3.68 ± 0.06 | 4.02 ± 0.01 | 4.37 ± 0.04 |
| Indomethacin | 20 | 1.62 ± 0.09 ns | 2,01 ± 0,07 c (28.73%) | 2,00 ± 0,06 c (38.36%) | 1,86 ± 0,04 d (49.64%) | 1,76 ± 0,02 d (56.28%) | 1.73 ± 0.04 d (60.37%) |
| RAE | 200 | 1.67 ± 0.16 ns | 2.44 ± 0.12 b (13.55%) | 2.24 ± 0.11 c (30.84%) | 2.06 ± 0.12 c,a (43.98%) | 1.99 ± 0.11 d,b (50.39%) | 1.87 ± 0.07 d (57.16%) |
| RAE | 400 | 1.65 ± 0.11 ns | 2.37 ± 0.05 b (15.92%) | 2.19 ± 0.06 c (32.34%) | 2.05 ± 0.04 c,a (44.48%) | 1.96 ± 0.06 d,b (51.32%) | 1.73 ± 0.02 d (60.32%) |
| RME | 200 | 1.70 ± 0.07 ns | 2,43 ± 0.10 b (13.73%) | 2,20 ± 0.17 c (31.95%) | 2,17 ± 0.18 c,a (41.22%) | 1.99 ± 0.17 d,b(50.60%) | 1.77 ± 0.02 d (59.45%) |
| RME | 400 | 1.66 ± 0.11 ns | 2.35 ± 0.10 b (16.50%) | 2.13 ± 0.11 c (34.09%) | 2.02 ± 0.07 c,a (45.11%) | 1.95 ± 0.08 d,b (51.51%) | 1.67 ± 0.04 d (61.78%) |
| Groups | Treatment | Dose (mg/kg) | Ulcer Index (UI) | PP (%) |
|---|---|---|---|---|
| 1 | EtOH-IGU Control | Normal saline (10 mL/kg) | 4.7 ± 0.24 | 0 |
| 2 | Omeprazole | 20 | 0.9 ± 0.1 d | 80.9 ± 0.7 |
| 3 | RAE | 200 | 1.9 ± 0.12 c,b,a | 59.6 ± 0.63 c,a |
| 4 | RAE | 400 | 0.9 ± 0.05 d | 81.3 ± 0.6 ns,a |
| 5 | RME | 200 | 2.2 ± 0.13 b,c,a | 53.2 ± 1.3 c,a |
| 6 | RME | 400 | 1.1 ± 0.1 d | 76.6 ± 1.0 b |
Publisher’s Note: MDPI stays neutral with regard to jurisdictional claims in published maps and institutional affiliations. |
© 2022 by the authors. Licensee MDPI, Basel, Switzerland. This article is an open access article distributed under the terms and conditions of the Creative Commons Attribution (CC BY) license (https://creativecommons.org/licenses/by/4.0/).
Share and Cite
Saidi, A.; Hambaba, L.; Bensaad, M.S.; Melakhessou, M.A.; Bensouici, C.; Ferhat, N.; Kahoul, M.A.; Helal, M.; Sami, R.; Alharthy, S.A.; et al. Phenolic Characterization Using cLC-DAD Analysis and Evaluation of In Vitro and In Vivo Pharmacological Activities of Ruta tuberculata Forssk. Antioxidants 2022, 11, 1351. https://doi.org/10.3390/antiox11071351
Saidi A, Hambaba L, Bensaad MS, Melakhessou MA, Bensouici C, Ferhat N, Kahoul MA, Helal M, Sami R, Alharthy SA, et al. Phenolic Characterization Using cLC-DAD Analysis and Evaluation of In Vitro and In Vivo Pharmacological Activities of Ruta tuberculata Forssk. Antioxidants. 2022; 11(7):1351. https://doi.org/10.3390/antiox11071351
Chicago/Turabian StyleSaidi, Asma, Leila Hambaba, Mohamed Sabri Bensaad, Mohamed Akram Melakhessou, Chawki Bensouici, Nouicer Ferhat, Mohamed Amine Kahoul, Mahmoud Helal, Rokayya Sami, Saif A. Alharthy, and et al. 2022. "Phenolic Characterization Using cLC-DAD Analysis and Evaluation of In Vitro and In Vivo Pharmacological Activities of Ruta tuberculata Forssk" Antioxidants 11, no. 7: 1351. https://doi.org/10.3390/antiox11071351
APA StyleSaidi, A., Hambaba, L., Bensaad, M. S., Melakhessou, M. A., Bensouici, C., Ferhat, N., Kahoul, M. A., Helal, M., Sami, R., Alharthy, S. A., Baty, R. S., Alsubhi, N. H., Alrefaei, G. I., Elhakem, A., Alharthi, S., Elsaid, F. G., & Shati, A. A. (2022). Phenolic Characterization Using cLC-DAD Analysis and Evaluation of In Vitro and In Vivo Pharmacological Activities of Ruta tuberculata Forssk. Antioxidants, 11(7), 1351. https://doi.org/10.3390/antiox11071351

