Protective Effect of Pyrus ussuriensis Maxim. Extract against Ethanol-Induced Gastritis in Rats
Abstract
1. Introduction
2. Materials and Methods
2.1. Chemicals/Reagents
2.2. Plant Material Sampling and Extract Preparation
2.3. Phytochemical Profile of PUE
2.3.1. Gas Chromatography Coupled Mass Spectroscopy Analysis
2.3.2. Identification of Bioactive Compound by HPLC Analysis
2.4. Antioxidant Effects
2.4.1. DPPH Radical Scavenging Activity
2.4.2. ABTS Radical Scavenging Activity
2.5. Animal Ethics and Housing
2.6. Experiment Design for In-Vivo Study
2.7. Necropsy and Plasma Sampling
2.8. Isolation of the Stomach and Quantification of Injury Index for the Gastric Mucosa
2.9. Gastric Tissue Histology and Immunohistochemistry
2.10. Biochemical Analysis of Plasma and Gastric Mucosa for Prostaglandin E2 (PGE2), Histamine and cAMP
2.11. Total RNA Extraction and Quantitative Reverse Transcription Polymerase Chain Reaction (PCR) Analysis
2.12. Statistical Analysis
3. Results
3.1. Phytochemical Composition of PUE
3.2. Antioxidant Activity of PUE
3.3. Gross Anatomy of Gastric Mucosa and Ulcer Score in Different Groups
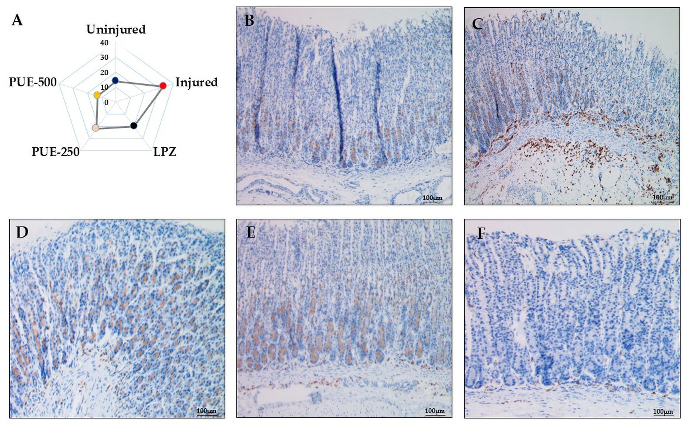
3.4. Histological Studies and Immunohistochemistry
3.5. The Changes in PGE2, cAMP, and Histamine Levels
3.6. Quantitative Reverse Transcription (qRT) PCR Analysis
4. Discussion
4.1. Phytochemical Composition
4.2. Antioxidant Effects of PUE
4.3. Gastroprotective Effects of PUE
5. Conclusions
Supplementary Materials
Author Contributions
Funding
Institutional Review Board Statement
Informed Consent Statement
Data Availability Statement
Conflicts of Interest
References
- Arun, M.; Asha, V. Gastroprotective effect of Dodonaea viscosa on various experimental ulcer models. J. Ethnopharmacol. 2008, 118, 460–465. [Google Scholar] [CrossRef]
- Kim, J.Y.; Park, S.-D.; Nam, W.; Nam, B.; Bae, C.H.; Kim, H.J.; Kim, J.; Lee, J.-L.; Sim, J.-H. Gastroprotective Effects of Cudrania tricuspidata Leaf Extracts by Suppressing Gastric cAMP and Increasing Gastric Mucins. Prev. Nutr. Food Sci. 2020, 25, 158–165. [Google Scholar] [CrossRef]
- Wallace, J.L. Recent advances in gastric ulcer therapeutics. Curr. Opin. Pharmacol. 2005, 5, 573–577. [Google Scholar] [CrossRef] [PubMed]
- Laine, L.; Takeuchi, K.; Tarnawski, A. Gastric Mucosal Defense and Cytoprotection: Bench to Bedside. Gastroenterology 2008, 135, 41–60. [Google Scholar] [CrossRef] [PubMed]
- Salih, B.A.; Abasiyanik, M.F.; Bayyurt, N.; Sander, E. H pylori infection and other risk factors associated with peptic ulcers in Turkish patients: A retrospective study. World J. Gastroenterol. 2007, 13, 3245. [Google Scholar] [CrossRef]
- Shimoyama, A.T.; Santin, J.R.; Machado, I.D.; Silva, A.M.D.O.E.; De Melo, I.L.P.; Mancini-Filho, J.; Farsky, S.H.P. Antiulcerogenic activity of chlorogenic acid in different models of gastric ulcer. Naunyn-Schmiedeberg’s Arch. Pharmacol. 2013, 386, 5–14. [Google Scholar] [CrossRef] [PubMed]
- Kopic, S.; Geibel, J.P. Gastric Acid, Calcium Absorption, and Their Impact on Bone Health. Physiol. Rev. 2013, 93, 189–268. [Google Scholar] [CrossRef]
- Abdelwahab, S.I.; Taha, M.M.E.; Abdulla, M.A.; Nordin, N.; Hadi, A.A.; Mohan, S.; Jayapalan, J.J.; Hashim, O.H. Gastroprotective mechanism of Bauhinia thonningii Schum. J. Ethnopharmacol. 2013, 148, 277–286. [Google Scholar] [CrossRef] [PubMed]
- Sumbul, S.; Ahmad, M.A.; Mohd, A.; Mohd, A. Role of phenolic compounds in peptic ulcer: An overview. J. Pharm. Bioallied Sci. 2011, 3, 361. [Google Scholar] [PubMed]
- Al Mofleh, I.A. Spices, herbal xenobiotics and the stomach: Friends or foes? World J. Gastroenterol. 2010, 16, 2710–2719. [Google Scholar] [CrossRef] [PubMed]
- Li, X.; Wang, T.; Zhou, B.; Gao, W.; Cao, J.; Huang, L. Chemical composition and antioxidant and anti-inflammatory potential of peels and flesh from 10 different pear varieties (Pyrus spp.). Food Chem. 2014, 152, 531–538. [Google Scholar] [CrossRef] [PubMed]
- Cui, T.; Nakamura, K.; Ma, L.; Li, J.-Z.; Kayahara, H. Analyses of Arbutin and Chlorogenic Acid, the Major Phenolic Constituents in Oriental Pear. J. Agric. Food Chem. 2005, 53, 3882–3887. [Google Scholar] [CrossRef]
- Lee, C.-E.; Kim, Y.-H.; Lee, B.-G.; Lee, D.-H. Anti-cancer and anti-microbial effect of the fraction isolated from Pyrus ussuriensis Leaves. J. Korean Soc. For. Sci. 2011, 100, 136–141. [Google Scholar]
- Li, X.; Zhang, J.-Y.; Gao, W.-Y.; Wang, Y.; Wang, H.-Y.; Cao, J.-G.; Huang, L.-Q. Chemical Composition and Anti-inflammatory and Antioxidant Activities of Eight Pear Cultivars. J. Agric. Food Chem. 2012, 60, 8738–8744. [Google Scholar] [CrossRef]
- Shaw, S.; Herbert, V.; Colman, N.; Jayatilleke, E. Effect of ethanol-generated free radicals on gastric intrinsic factor and glutathione. Alcohol 1990, 7, 153–157. [Google Scholar] [CrossRef]
- Kocyigit-Kaymakcioglu, B.; Toklu, H.Z.; Ikiz, S.; Bagcigil, A.F.; Rollas, S.; Ozgur, N.Y.; Ak, S. Synthesis and antinociceptive-antimicrobial activities of some new amide derivatives of 3,5-di/-and 1,3,5-trimethylpyrazoles. J. Enzym. Inhib. Med. Chem. 2008, 23, 454–461. [Google Scholar] [CrossRef] [PubMed]
- Qu, J.-H.; Du, B.; Peng, F.; Wang, T.-K.; Yang, Y.-D. Optimisation of triterpenoids extraction from Anli pears (Pyrus ussuriensis Maxim) by pressurised liquid extraction. Qual. Assur. Saf. Crop. Foods 2016, 8, 105–110. [Google Scholar] [CrossRef]
- Salta, J.; Martins, A.; Santos, R.G.; Neng, N.R.; Nogueira, J.M.; Justino, J.; Rauter, A.P. Phenolic composition and antioxidant activity of Rocha pear and other pear cultivars—A comparative study. J. Funct. Foods 2010, 2, 153–157. [Google Scholar] [CrossRef]
- Sadiq, A.; Rashid, U.; Ahmad, S.; Zahoor, M.; Alajmi, M.F.; Ullah, R.; Noman, O.M.; Ullah, F.; Ayaz, M.; Khan, I.; et al. Treating Hyperglycemia From Eryngium caeruleum M. Bieb: In-vitro α-Glucosidase, Antioxidant, in-vivo Antidiabetic and Molecular Docking-Based Approaches. Front. Chem. 2020, 8, 1064. [Google Scholar] [CrossRef]
- Park, N.; Lee, S.; Boby, N.; Park, S. Gas chromatographic-mass spectrometric analysis, antimicrobial and antioxidant effects of ethanolic garlic extract. Int. J. Phytomed. 2017, 9, 324–331. [Google Scholar] [CrossRef][Green Version]
- National Research Council. Guide for the Care and Use of Laboratory Animals; The National Academies Press: Washington, DC, USA, 1996; p. 140. [CrossRef]
- Arab, H.H.; Salama, S.A.; Omar, H.A.; Arafa, E.-S.A.; Maghrabi, I.A. Diosmin Protects against Ethanol-Induced Gastric Injury in Rats: Novel Anti-Ulcer Actions. PLoS ONE 2015, 10, e0122417. [Google Scholar] [CrossRef] [PubMed]
- Guth, P.H.; Aures, D.; Paulsen, G. Topical Aspirin Plus HCl Gastric Lesions in the Rat. Gastroenterology 1979, 76, 88–93. [Google Scholar] [CrossRef]
- Ban, J.O.; Hwang, I.G.; Kim, T.M.; Hwang, B.Y.; Lee, U.S.; Jeong, H.-S.; Yoon, Y.W.; Kim, D.J.; Hong, J.T. Anti-proliferate and pro-apoptotic effects of 2, 3-dihydro-3, 5-dihydroxy-6-methyl-4H-pyranone through inactivation of NF-κB in human colon cancer cells. Arch. Pharm. Res. 2007, 30, 1455. [Google Scholar] [CrossRef] [PubMed]
- Yu, X.; Zhao, M.; Liu, F.; Zeng, S.; Hu, J. Identification of 2, 3-dihydro-3, 5-dihydroxy-6-methyl-4H-pyran-4-one as a strong antioxidant in glucose–histidine Maillard reaction products. Food Res. Int. 2013, 51, 397–403. [Google Scholar] [CrossRef]
- Gu, H.; Jiang, Y.-B.; Jiang, H.-Y.; Xu, D.-Q.; Yu, J.-T.; Ding, X.; Zhao, F.-M.; Zhan, Z.; Wang, M.-Y. Effect of 5-hydroxymethyl furfural on BCL-2 and NF-kappaB gene expression of apoptotic rat hippocampal neurons injured by H2O2. Zhong Yao Cai 2011, 34, 1753–1756. [Google Scholar] [PubMed]
- Gu, H.; Jiang, Z.; Wang, M.; Jiang, H.; Zhao, F.; Ding, X.; Cai, B.; Zhan, Z. 5-Hydroxymethylfurfural from wine-processed Fructus corni inhibits hippocampal neuron apoptosis. Neural Regen. Res. 2013, 8, 2605–2614. [Google Scholar] [PubMed]
- Shapla, U.M.; Solayman, M.; Alam, N.; Khalil, I.; Gan, S.H. 5-Hydroxymethylfurfural (HMF) levels in honey and other food products: Effects on bees and human health. Chem. Cent. J. 2018, 12, 1–18. [Google Scholar] [CrossRef]
- Wölkart, G.; Schrammel, A.; Koyani, C.N.; Scherübel, S.; Zorn-Pauly, K.; Malle, E.; Pelzmann, B.; Andrä, M.; Ortner, A.; Mayer, B. Cardioprotective effects of 5-hydroxymethylfurfural mediated by inhibition of L-type Ca2+ currents. Br. J. Pharmacol. 2017, 174, 3640–3653. [Google Scholar] [CrossRef]
- Popov, S.V.; Ovodova, R.G.; Golovchenko, V.V.; Khramova, D.S.; Markov, P.A.; Smirnov, V.V.; Shashkov, A.S.; Ovodov, Y.S. Pectic polysaccharides of the fresh plum Prunus domestica L. isolated with a simulated gastric fluid and their anti-inflammatory and antioxidant activities. Food Chem. 2014, 143, 106–113. [Google Scholar] [CrossRef] [PubMed]
- Lee, C.-E.; Kim, Y.-H.; Lee, B.-G.; Lee, D.-H. Antioxidant effect of the fraction isolated from Pyrus ussuriensis Leaves. J. Korean Soc. For. Sci. 2010, 99, 885–890. [Google Scholar]
- Pattanayak, M.; Maity, P.; Samanta, S.; Sen, I.K.; Manna, D.K.; Nandi, A.K.; Ghosh, S.; Acharya, K.; Islam, S.S. Studies on structure and antioxidant properties of a heteroglycan isolated from wild edible mushroom Lentinus sajor-caju. Int. J. Biol. Macromol. 2018, 107, 322–331. [Google Scholar] [CrossRef] [PubMed]
- Filoche, S.K.; Soma, K.; Sissons, C.H. Antimicrobial effects of essential oils in combination with chlorhexidine digluconate. Oral Microbiol. Immunol. 2005, 20, 221–225. [Google Scholar] [CrossRef] [PubMed]
- Nieto, G. Biological Activities of Three Essential Oils of the Lamiaceae Family. Medicines 2017, 4, 63. [Google Scholar] [CrossRef]
- Palaniappan, K.; Holley, R.A. Use of natural antimicrobials to increase antibiotic susceptibility of drug resistant bacteria. Int. J. Food Microbiol. 2010, 140, 164–168. [Google Scholar] [CrossRef] [PubMed]
- Shawkat, H.; Westwood, M.-M.; Mortimer, A. Mannitol: A review of its clinical uses. Contin. Educ. Anaesth. Crit. Care Pain 2012, 12, 82–85. [Google Scholar] [CrossRef]
- Cha, J.W.; Piao, M.J.; Kim, K.C.; Yao, C.W.; Zheng, J.; Kim, S.M.; Hyun, C.L.; Ahn, Y.S.; Hyun, J.W. The Polyphenol Chlorogenic Acid Attenuates UVB-mediated Oxidative Stress in Human HaCaT Keratinocytes. Biomol. Ther. 2014, 22, 136–142. [Google Scholar] [CrossRef]
- Feng, R.; Lu, Y.; Bowman, L.L.; Qian, Y.; Castranova, V.; Ding, M. Inhibition of Activator Protein-1, NF-κB, and MAPKs and Induction of Phase 2 Detoxifying Enzyme Activity by Chlorogenic Acid. J. Biol. Chem. 2005, 280, 27888–27895. [Google Scholar] [CrossRef] [PubMed]
- Lee, S.W.; Lee, Y.G.; Cho, J.-Y.; Kim, Y.C.; Lee, S.-H.; Kim, W.-S.; Moon, J.-H. Establishment of a simple method for purification of high purity chlorogenic acid from immature fruit of pear (Pyrus pyrifolia Nakai). J. Korean Soc. Appl. Biol. Chem. 2015, 58, 335–341. [Google Scholar] [CrossRef]
- Sato, Y.; Itagaki, S.; Kurokawa, T.; Ogura, J.; Kobayashi, M.; Hirano, T.; Sugawara, M.; Iseki, K. In Vitro and In Vivo antioxidant properties of chlorogenic acid and caffeic acid. Int. J. Pharm. 2011, 403, 136–138. [Google Scholar] [CrossRef] [PubMed]
- Nartey, E.T.; Ofosuhene, M.; Kudzi, W.; Agbale, C.M. Antioxidant and gastric cytoprotective prostaglandins properties of Cassia sieberiana roots bark extract as an anti-ulcerogenic agent. BMC Complement. Altern. Med. 2012, 12, 65. [Google Scholar] [CrossRef]
- La Casa, C.; Villegas, I.; de la Lastra, C.A.; Motilva, V.; Calero, M.M. Evidence for protective and antioxidant properties of rutin, a natural flavone, against ethanol induced gastric lesions. J. Ethnopharmacol. 2000, 71, 45–53. [Google Scholar] [CrossRef]
- Peng, F.; Li, G.; Xie, Y.; Yin, H.-Y.; Li, X.-J.; Yang, Y.-D. Compositional characterization of Pyrus ussuriensis Maxim and their antioxidant activities and induction of apoptosis in Bel-7402 cell. J. Food Biochem. 2020, 44, e13222. [Google Scholar] [CrossRef] [PubMed]
- Qiu, D.; Guo, J.; Yu, H.; Yan, J.; Yang, S.; Li, X.; Zhang, Y.; Sun, J.; Cong, J.; He, S.; et al. Antioxidant phenolic compounds isolated from wild Pyrus ussuriensis Maxim. fruit peels and leaves. Food Chem. 2018, 241, 182–187. [Google Scholar] [CrossRef]
- Lee, I.-C.; Baek, H.-S.; Kim, S.-H.; Moon, C.; Park, S.-H.; Shin, I.-S.; Kim, J.-C. Effect of diallyl disulfide on acute gastric mucosal damage induced by alcohol in rats. Hum. Exp. Toxicol. 2015, 34, 227–239. [Google Scholar] [CrossRef] [PubMed]
- Ning, J.-W.; Lin, G.-B.; Ji, F.; Xu, J.; Sharify, N. Preventive effects of geranylgeranylacetone on rat ethanol-induced gastritis. World J. Gastroenterol. 2012, 18, 2262–2269. [Google Scholar] [CrossRef] [PubMed]
- Bunout, D. Nutritional and metabolic effects of alcoholism: Their relationship with alcoholic liver disease. Nutrition 1999, 15, 583–589. [Google Scholar] [CrossRef]
- Choi, J.-I.; Raghavendran, H.R.B.; Sung, N.-Y.; Kim, J.-H.; Chun, B.S.; Ahn, D.H.; Choi, H.-S.; Kang, K.-W.; Lee, J.-W. Effect of fucoidan on aspirin-induced stomach ulceration in rats. Chem. Biol. Interact. 2010, 183, 249–254. [Google Scholar] [CrossRef] [PubMed]
- Sabiu, S.; Garuba, T.; Sunmonu, T.; Ajani, E.; Sulyman, A.O.; Nurain, I.; Balogun, A. Indomethacin-induced gastric ulceration in rats: Protective roles of Spondias mombin and Ficus exasperata. Toxicol. Rep. 2015, 2, 261–267. [Google Scholar] [CrossRef]
- Sabiu, S.; Garuba, T.; Sunmonu, T.O.; Sulyman, A.O.; Ismail, N.O. Indomethacin-induced gastric ulceration in rats: Ameliorative roles of Spondias mombin and Ficus exasperata. Pharm. Biol. 2016, 54, 180–186. [Google Scholar] [CrossRef] [PubMed]
- Orlando, R.C. The integrity of the esophageal mucosa. Balance between offensive and defensive mechanisms. Best Pract. Res. Clin. Gastroenterol. 2010, 24, 873–882. [Google Scholar] [CrossRef] [PubMed]
- Mersereau, W.A.; Hinchey, E.J. Role of gastric mucosal folds in formation of focal ulcers in the rat. Surgery 1982, 91, 150–155. [Google Scholar] [PubMed]
- Takeuchi, K.; Nobuhara, Y. Inhibition of gastric motor activity by 16, 16-dimethyl prostaglandin E2. Dig. Dis. Sci. 1985, 30, 1181–1188. [Google Scholar] [CrossRef]
- Morais, T.C.; Pinto, N.B.; Carvalho, K.M.M.; Rios, J.B.; Ricardo, N.M.P.; Trevisan, M.T.S.; Rao, V.S.; Santos, F.A. Protective effect of anacardic acids from cashew (Anacardium occidentale) on ethanol-induced gastric damage in mice. Chem. Interact. 2010, 183, 264–269. [Google Scholar] [CrossRef]
- Wallace, J.L.; Miller, M.J. Nitric oxide in mucosal defense: A little goes a long way. Gastroenterology 2000, 119, 512–520. [Google Scholar] [CrossRef] [PubMed]
- Olbe, L.; Carlsson, E.; Lindberg, P. A proton-pump inhibitor expedition: The case histories of omeprazole and esomeprazole. Nat. Rev. Drug Discov. 2003, 2, 132–139. [Google Scholar] [CrossRef] [PubMed]
- Sheen, E.; Triadafilopoulos, G. Adverse Effects of Long-Term Proton Pump Inhibitor Therapy. Dig. Dis. Sci. 2011, 56, 931–950. [Google Scholar] [CrossRef] [PubMed]
- Peskar, B.M.; Ehrlich, K.; Peskar, B.A. Role of ATP-sensitive potassium channels in prostaglandin-mediated gastroprotection in the rat. J. Pharmacol. Exp. Ther. 2002, 301, 969–974. [Google Scholar] [CrossRef] [PubMed]








Publisher’s Note: MDPI stays neutral with regard to jurisdictional claims in published maps and institutional affiliations. |
© 2021 by the authors. Licensee MDPI, Basel, Switzerland. This article is an open access article distributed under the terms and conditions of the Creative Commons Attribution (CC BY) license (http://creativecommons.org/licenses/by/4.0/).
Share and Cite
Boby, N.; Abbas, M.A.; Lee, E.-B.; Im, Z.-E.; Hsu, W.H.; Park, S.-C. Protective Effect of Pyrus ussuriensis Maxim. Extract against Ethanol-Induced Gastritis in Rats. Antioxidants 2021, 10, 439. https://doi.org/10.3390/antiox10030439
Boby N, Abbas MA, Lee E-B, Im Z-E, Hsu WH, Park S-C. Protective Effect of Pyrus ussuriensis Maxim. Extract against Ethanol-Induced Gastritis in Rats. Antioxidants. 2021; 10(3):439. https://doi.org/10.3390/antiox10030439
Chicago/Turabian StyleBoby, Naila, Muhammad Aleem Abbas, Eon-Bee Lee, Zi-Eum Im, Walter H. Hsu, and Seung-Chun Park. 2021. "Protective Effect of Pyrus ussuriensis Maxim. Extract against Ethanol-Induced Gastritis in Rats" Antioxidants 10, no. 3: 439. https://doi.org/10.3390/antiox10030439
APA StyleBoby, N., Abbas, M. A., Lee, E.-B., Im, Z.-E., Hsu, W. H., & Park, S.-C. (2021). Protective Effect of Pyrus ussuriensis Maxim. Extract against Ethanol-Induced Gastritis in Rats. Antioxidants, 10(3), 439. https://doi.org/10.3390/antiox10030439

