Syringomyelia in the Course of Resection of Foramen Magnum Pathology: A Case Report with an Intriguing Therapeutic Solution and Systematic Review
Abstract
1. Introduction
2. Methods
3. Results
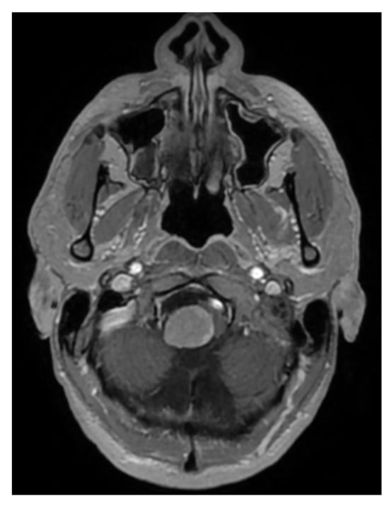
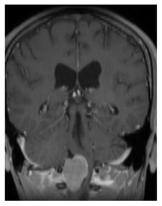
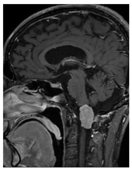
Case Report
4. Discussion
5. Conclusions
Author Contributions
Funding
Institutional Review Board Statement
Informed Consent Statement
Data Availability Statement
Conflicts of Interest
References
- Flint, G. Syringomyelia: Diagnosis and management. Pract. Neurol. 2021, 21, 403–411. [Google Scholar] [CrossRef] [PubMed]
- Gardner, W.J.; Angel, J. The mechanism of syringomyelia and its surgical correction. Clin. Neurosurg. 1958, 6, 131–140. [Google Scholar] [CrossRef]
- Williams, B. On the pathogenesis of syringomyelia: A review. J. R. Soc. Med. 1980, 73, 798–806. [Google Scholar] [CrossRef] [PubMed]
- Ball, M.J.; Dayan, A.D. Pathogenesis of syringomyelia. Lancet 1972, 14, 799–801. [Google Scholar] [CrossRef]
- Oldfield, E.H.; Muraszko, K.; Shawker, T.H.; Patronas, N.J. Pathophysiology of syringomyelia associated with Chiari I malformation of the cerebellar tonsils. Implications for diagnosis and treatment. J. Neurosurg. 1994, 80, 3–15. [Google Scholar] [CrossRef]
- Koyanagi, I.; Houkin, K. Pathogenesis of syringomyelia associated with Chiari type 1 malformation: Review of evidences and proposal of a new hypothesis. Neurosurg. Rev. 2010, 33, 271–284. [Google Scholar] [CrossRef]
- Giner, J.; Pérez López, C.; Hernández, B.; Gómez de la Riva, Á.; Isla, A.; Roda, J.M. Update on the pathophysiology and management of syringomyelia unrelated to Chiari malformation. Neurologia 2019, 34, 318–325. [Google Scholar] [CrossRef]
- Egu, C.B.; Kumaria, A.; Paterson, A.; Robertson, I. Delayed presentation of syringomyelia after retrosigmoid craniectomy and resection of vestibular schwannoma: Discussion of mechanisms. BMJ Case Rep. 2021, 14, 246714. [Google Scholar] [CrossRef]
- Moola, S.; Munn, Z.; Tufanaru, C.; Aromataris, E.; Sears, K.; Sfetcu, R.; Currie, M.; Qureshi, R.; Mattis, P.; Lisy, K.; et al. Chapter 7: Systematic reviews of etiology and risk. In JBI Manual for Evidence Synthesis; Aromataris, E., Munn, Z., Eds.; JBI: Osaka, Japan, 2020. [Google Scholar]
- Honorato, D.; Borges, W.; Vargas, A.A.; Ramina, R. Syringohydromyelia associated to therapeutic procedures for severe forms of neurocysticercoses: Case report. Arq. Neuropsiquiatr. 2004, 62, 885–888. [Google Scholar] [CrossRef]
- Peraud, A.; Grau, S. Decompensated hydrocephalus causing syringomyelia and tetraparesis: A case report. Childs Nerv. Syst. 2009, 25, 263–266. [Google Scholar] [CrossRef] [PubMed]
- Khan, S.; Pioro, E.P. Cervical epidural injection complicated by syrinx formation: A case report. Spine 2010, 35, 614–616. [Google Scholar] [CrossRef]
- Kersey, J.; Cato-Addison, W.; Holliman, D. Iatrogenic syringomyelia secondary to lumboperitoneal shunt altered by the raised intra-abdominal pressure of pregnancy. Br. J. Neurosurg. 2017, 32, 684–685. [Google Scholar] [CrossRef]
- Gade, S.P.; Harjpal, P.; Kovela, R.K. Novelty in Impact of Neurorehabilitation in a Classic Case of Syringomyelia. Cureus 2022, 14, 29126. [Google Scholar] [CrossRef] [PubMed]
- Ciaramitaro, P.; Garbossa, D.; Peretta, P.; Piatelli, G.; Massimi, L.; Valentini, L.; Migliaretti, G.; Baldovino, S.; Roccatello, D.; Kodra, Y.; et al. Syringomyelia and Chiari Syndrome Registry: Advances in epidemiology, clinical phenotypes and natural history based on a North Western Italy cohort. Ann. Ist. Super. Sanita 2020, 56, 48–58. [Google Scholar] [PubMed]
- George, T.M.; Higginbotham, N.H. Defining the signs and symptoms of Chiari malformation type I with and without syringomyelia. Neurol. Res. 2011, 33, 240–246. [Google Scholar] [CrossRef]
- Gower, D.J.; Pollay, M.; Leech, R. Pediatric syringomyelia. J. Child. Neurol. 1994, 9, 14–21. [Google Scholar] [CrossRef]
- Zheng, Y.C.; Liu, Y.T.; Wei, K.C.; Huang, Y.C.; Chen, P.Y.; Hsu, Y.H.; Lin, C.L. Outcome predictors and clinical presentation of syringomyelia. Asian J. Surg. 2023, 46, 705–711. [Google Scholar] [CrossRef]
- Arnautovic, A.; Splavski, B.; Boop, F.A.; Arnautovic, K.I. Pediatric and adult Chiari malformation Type I surgical series 1965-2013: A review of demographics, operative treatment, and outcomes. J. Neurosurg. Pediatr. 2015, 15, 161–177. [Google Scholar] [CrossRef]
- Tanghe, H.L. Magnetic resonance imaging (MRI) in syringomyelia. Acta Neurochir. 1995, 134, 93–99. [Google Scholar] [CrossRef] [PubMed]
- Honey, C.M.; Martin, K.W.; Heran, M.K.S. Syringomyelia Fluid Dynamics and Cord Motion Revealed by Serendipitous Null Point Artifacts during Cine MRI. AJNR Am. J. Neuroradiol. 2017, 38, 1845–1847. [Google Scholar] [CrossRef]
- Mauer, U.M.; Freude, G.; Danz, B.; Kunz, U. Cardiac-gated phase-contrast magnetic resonance imaging of cerebrospinal fluid flow in the diagnosis of idiopathic syringomyelia. Neurosurgery 2008, 63, 1139–1144. [Google Scholar] [CrossRef] [PubMed]
- Marais, S.; Roos, I.; Mitha, A.; Patel, V.; Bhigjee, A.I. Posttubercular syringomyelia in HIV-infected patients: A report of 10 cases and literature review. J. Neurol. Sci. 2018, 395, 54–61. [Google Scholar] [CrossRef]
- Caplan, L.R.; Norohna, A.B.; Amico, L.L. Syringomyelia and arachnoiditis. J. Neurol. Neurosurg. Psychiatry 1990, 53, 106–113. [Google Scholar] [CrossRef]
- Li, Y.D.; Therasse, C.; Kesavabhotla, K.; Lamano, J.B.; Ganju, A. Radiographic assessment of surgical treatment of post-traumatic syringomyelia. J. Spinal Cord. Med. 2021, 44, 861–869. [Google Scholar] [CrossRef] [PubMed]
- Arai, A.; Aihara, H.; Miyake, S.; Hanada, Y.; Kohmura, E. Syringomyelia due to thoracic spinal stenosis with ossified ligamentum flavum—Case report. Neurol. Med. Chir. 2011, 51, 157–159. [Google Scholar] [CrossRef][Green Version]
- Wang, J.; Alotaibi, N.M.; Samuel, N.; Ibrahim, G.M.; Fallah, A.; Cusimano, M.D. Acquired Chiari Malformation and Syringomyelia Secondary to Space-Occupying Lesions: A Systematic Review. World Neurosurg. 2017, 98, 800–808.e2. [Google Scholar] [CrossRef] [PubMed]
- Kurzbuch, A.R.; Magdum, S. CSF goes astray no matter what is in the way: Occipital intradiploic pseudomeningocele and de novo syringomyelia following foramen magnum decompression for Chiari I malformation in a pediatric patient. J. Neurosurg. Pediatr. 2020, 25, 529–534. [Google Scholar] [CrossRef]
- Frič, R.; Ringstad, G.; Eide, P.K. Low versus High Intracranial Compliance in Adult Patients with Chiari Malformation Type 1-Comparison of Long-Term Outcome After Tailored Treatment. World Neurosurg. 2023, 173, 699–707. [Google Scholar] [CrossRef]
- Spennato, P.; Vitulli, F.; Tafuto, R.; Imperato, A.; Mirone, G.; Cinalli, G. Fourth ventricle to spinal subarachnoid space stenting in pediatric patients with refractory syringomyelia: Case series and systematic review. Neurosurg. Rev. 2023, 46, 67. [Google Scholar] [CrossRef] [PubMed]
- Guan, J.; Yuan, C.; Zhang, C.; Ma, L.; Yao, Q.; Cheng, L.; Liu, Z.; Wang, K.; Duan, W.; Wang, X.; et al. Intradural Pathology Causing Cerebrospinal Fluid Obstruction in Syringomyelia and Effectiveness of Foramen Magnum and Foramen of Magendie Dredging Treatment. World Neurosurg. 2020, 144, 178–188. [Google Scholar] [CrossRef]
- Dyste, G.N.; Menezes, A.H.; VanGilder, J.C. Symptomatic Chiari malformations. An analysis of presentation, management, and long-term outcome. J. Neurosurg. 1989, 71, 159–168. [Google Scholar] [CrossRef] [PubMed]
- Sun, M.; Tao, B.; Gao, G.; Li, S.; Li, T.; Shang, A. An Effective Surgical Method for Terminal Syringomyelia: Terminal Ventriculostomy-Associated “V”-Type Ostomy. Glob. Spine J. 2023, 13, 796–803. [Google Scholar] [CrossRef]
- Logue, V.; Edwards, M.R. Syringomyelia and its surgical treatment—An analysis of 75 patients. J. Neurol. Neurosurg. Psychiatry 1981, 44, 273–284. [Google Scholar] [CrossRef]
- Bratelj, D.; Stalder, S.; Capone, C.; Jaszczuk, P.; Dragalina, C.; Pötzel, T.; Gebhard, C.; Fiechter, M. Spinal cord tethering and syringomyelia after trauma: Impact of age and surgical outcome. Sci. Rep. 2023, 13, 114–142. [Google Scholar] [CrossRef]
- Batzdorf, U.; Khoo, L.T.; McArthur, D.L. Observations on spine deformity and syringomyelia. Neurosurgery 2007, 61, 370–377. [Google Scholar] [CrossRef]
- Hida, K.; Iwasaki, Y.; Koyanagi, I.; Sawamura, Y.; Abe, H. Surgical indication and results of foramen magnum decompression versus syringosubarachnoid shunting for syringomyelia associated with Chiari I malformation. Neurosurgery 1995, 37, 673–678. [Google Scholar] [CrossRef]
- Kurzbuch, A.R.; Magdum, S. Iatrogenic syringomyelia postcranial surgery in pediatric patients: Systematic review and illustrative case. Childs Nerv. Syst. 2021, 37, 2879–2890. [Google Scholar] [CrossRef] [PubMed]







| Author | Theory |
|---|---|
| Gardner and Angel [2] | The so-called “hydrodynamic theory”, in which the hindbrain’s hernias obstruct the CSF flow, which then diverts into the central canal and causes gradual widening of the canal by pulsation resulting from the heart’s work (“water-hammer” effect). |
| Wiliams [3] | During Valsalva maneuvers, gradients exceeding 100 mm Hg across the foramen magnum cause suctional force that draws ventricular CSF into the syrinx cavity. The entered fluid impacts the walls, causing their dilation. |
| Ball and Dayan [4] | Increased spinal CSF pressure during coughing or other activity leads to increased pressure gradients, and with a foramen magnum obstruction, this causes CSF to flow through the Virchow-Robin spaces along the spinal cord surface. |
| Oldfield et al. [5] | The CSF pressure wave generated during systole causes a caudal spinal cord displacement which forces the fluid to enter the syrinx cavities and subarachnoid spaces. |
| Koyanagi, and Houkinkoya [6] | Non-physiological rapid movement of CSF through the central canal promotes the creation of a low-pressure zone within the canal, leading the extracellular fluid to concentrate and form a syrinx. |
| Publication | Year/Ref. | Author I | Author II | Average |
|---|---|---|---|---|
| Honorato D. | 2004 [10] | 6 | 6 | 6 |
| Peraud A. | 2009 [11] | 7 | 6.5 | 7 |
| Khan S | 2010 [12] | 5 | 6 | 5.5 |
| Kersey J. | 2017 [13] | 7 | 7 | 7 |
| Egu C.B. | 2021 [8] | 6.5 | 6 | 6.5 |
| Author | Year | Patient History | Procedure Performed | Time from Surgery to the Occurrence of Syringomyelia |
|---|---|---|---|---|
| Honorato D. [10] | 2004 | 33 y.o. female with hydrocephalus treated with ventriculoperitoneal (VP) shunt. After 3 months, surgical removal of cysticercoid cyst in the left temporal region was conducted with additional pharmacological treatment. After a few months, neuroinfection of unknown etiology occurred. In March 2000, the patient experienced frequent dizziness, nausea, and occasional vomiting. An MRI examination showed diffuse arachnoiditis and a cyst in the IV ventricle which was treated with a craniectomy of the posterior fossa with the IV ventricle cyst removal. Over the next few months, neuroinfection occurred again and a VP shunt replacement was conducted. | Posterior fossa craniectomy with IV ventricle cyst removal/VP shunt replacement. | 14 months (VP shunt replacement)/16 months (posterior fossa craniectomy). |
| Peraud A. et al. [11] | 2009 | 33 y.o. female. Hydrocephalus at the age of 16 was treated with a VP shunt. In the meantime, the patient experienced 3 pregnancies. | Natural childbirth (3rd). | 1 week. |
| Khan S. et al. [12] | 2010 | 52 y.o. female suffering from chronic neck pain. | Cervical epidural injection (CEI) under fluoroscopy. | Immediately after the procedure. |
| Kersey J. [13] | 2017 | 37 y.o. female with idiopathic intracranial hypertension; headache; and visual obscurations. | VP shunt. | Following months. |
| Egu C.B. [8] | 2021 | 26 y.o. female diagnosed with right-sided cystic vestibular schwannoma. Absent right-sided hearing at presentation and patient reported that this had deteriorated over the preceding 7 years. | Right-sided retrosigmoid craniec tomy and complete excision. | 4 years. |
| Author | Symptoms Related to the Occurrence of Syringomyelia | MRI Findings | Treatment | Follow-Up |
|---|---|---|---|---|
| Honorato D. [10] | Asymptomatic, then 5 months after syringomyelia diagnosis, progressive paraparesis (with massive syrinx progression in control MRI). | Dilatation of the IV ventricle due to obstruction of the inferior aqueductorifice and the lateral and median foramens of the IV ventricle. Cervical syringohydromyelia and suffusion in the medullar parenchyma. | Posterior fossa exposure, widening the previous craniectomy, and communicating the hydrosyringomyelia with the subarachnoid space. | In the control MRI, reestablishment of normal CSF dynamics in the posterior fossa with reduction of the cervical syringohydromyelic cavity. |
| Peraud A. et al. [11] | Rapidly progressive spastic tetraparesis more pronounced on the legs. Motor strength grade 2/5 on the lower and 4/5 on the upper extremities with brisk reflexes. | Extensive syringomyelia involving the entire spinal cord, generalized ventricular enlargement, as well as cystic-appearing alterations in the fourth ventricle. | Operation on 5th day after the delivery. A suboccipital trepanation with resection of the fourth ventricular cyst and an insertion of a new VP shunt with a programmable valve. | MRI—reduced flow in the spinal syrinx as a veritable sign for a significant drainage; 5th day post-op motor deficits recovery. Two years after surgery, patient regained the ability to walk without support. No remaining sensory deficits are present. Urine bladder has regained some function. |
| Khan S. et al. [12] | Inability to move right arm and leg; numbness of the right side of the body below the neck; and urinary retention. | C1 to Th4 Syrinx, without mass effect. | A high dose of steroids were administered; after patient was transferred to another hospital, steroids were discontinued, and conservative treatment was applied. | At discharge, resolution of urinary retention. No more details mentioned. |
| Kersey J. [13] | Mild mid-thoracic pain with no neurological deficits. | cervicothoracic syrinx | Regulation the VP shunt pressure after the delivery. | At one year postpartum there had been no progression of symptoms. The valve was set at 2.0. |
| Egu C.B. [8] | After the surgery, four admissions over the next 4 months with intermittent headaches, nausea, and craniectomy site swelling. CT revealed a pseudomeningocoele with hydrocephalus. Therapeutic lumbar punctures and drainage during each admission. In the meantime, the patient experienced several infections and worsening of symptoms. Progressive worsening of headaches, bilateral hands paresthesia, and vomiting. | Enlarged fourth ventricle with outflow obstruction, plugging of the foramen magnum, and an extensive new upper cervical cord syrinx. | Posterior fossa and upper cervical decompression and drainage of the syrinx were performed on account of the enlarged fourth ventricle with outflow obstruction, plugging of the foramen magnum and an extensive new upper cervical cord syrinx occurring 4 years following the initial right- sided retrosigmoid craniectomy and complete excision of the incidental vestibular schwannoma. | Symptoms improved and she was discharged with her VP shunt functioning well. For 5 years, there was a complete resolution of symptoms. |
Disclaimer/Publisher’s Note: The statements, opinions and data contained in all publications are solely those of the individual author(s) and contributor(s) and not of MDPI and/or the editor(s). MDPI and/or the editor(s) disclaim responsibility for any injury to people or property resulting from any ideas, methods, instructions or products referred to in the content. |
© 2025 by the authors. Licensee MDPI, Basel, Switzerland. This article is an open access article distributed under the terms and conditions of the Creative Commons Attribution (CC BY) license.
Share and Cite
Rajski, R.; Kolodziej, W.; Sobolewski, T.; Kandziora, K.; Klepinowski, T.; Latka, A.; Labuz-Roszak, B.; Latka, D.; Latka, K. Syringomyelia in the Course of Resection of Foramen Magnum Pathology: A Case Report with an Intriguing Therapeutic Solution and Systematic Review. Brain Sci. 2026, 16, 14. https://doi.org/10.3390/brainsci16010014
Rajski R, Kolodziej W, Sobolewski T, Kandziora K, Klepinowski T, Latka A, Labuz-Roszak B, Latka D, Latka K. Syringomyelia in the Course of Resection of Foramen Magnum Pathology: A Case Report with an Intriguing Therapeutic Solution and Systematic Review. Brain Sciences. 2026; 16(1):14. https://doi.org/10.3390/brainsci16010014
Chicago/Turabian StyleRajski, Rafal, Waldemar Kolodziej, Tomasz Sobolewski, Krzysztof Kandziora, Tomasz Klepinowski, Anna Latka, Beata Labuz-Roszak, Dariusz Latka, and Kajetan Latka. 2026. "Syringomyelia in the Course of Resection of Foramen Magnum Pathology: A Case Report with an Intriguing Therapeutic Solution and Systematic Review" Brain Sciences 16, no. 1: 14. https://doi.org/10.3390/brainsci16010014
APA StyleRajski, R., Kolodziej, W., Sobolewski, T., Kandziora, K., Klepinowski, T., Latka, A., Labuz-Roszak, B., Latka, D., & Latka, K. (2026). Syringomyelia in the Course of Resection of Foramen Magnum Pathology: A Case Report with an Intriguing Therapeutic Solution and Systematic Review. Brain Sciences, 16(1), 14. https://doi.org/10.3390/brainsci16010014

