Nonverbal Communication Processing in Deaf Adults: An Activation Likelihood Estimation Meta-Analysis
Abstract
1. Introduction
1.1. Neural Correlates of Different Types of Nonverbal Communications
1.2. Intramodal Plasticity
1.3. Cross-Modal Plasticity
1.4. Current Study
2. Method
2.1. Search Strategy
2.2. Screening Process
2.3. Activation Likelihood Estimation
2.4. Jackknife Sensitivity Analysis
3. Results
3.1. Neural Substrates of Nonverbal Communication in Deaf Individuals
3.2. Neural Substrates of Nonverbal Communication in Hearing Individuals
3.3. Contrast of Activation Maps Between Deaf and Hearing Individuals
3.4. Jackknife Sensitivity Analysis
4. Discussion
4.1. Nonverbal Communication Processing in Deaf Adults
4.1.1. Broca’s Area
4.1.2. Fusiform Gyrus
4.2. Nonverbal Communication Processing in Hearing Adults
4.2.1. Precentral Gyrus
4.2.2. STG
4.2.3. Fusiform Gyrus
4.2.4. IPL
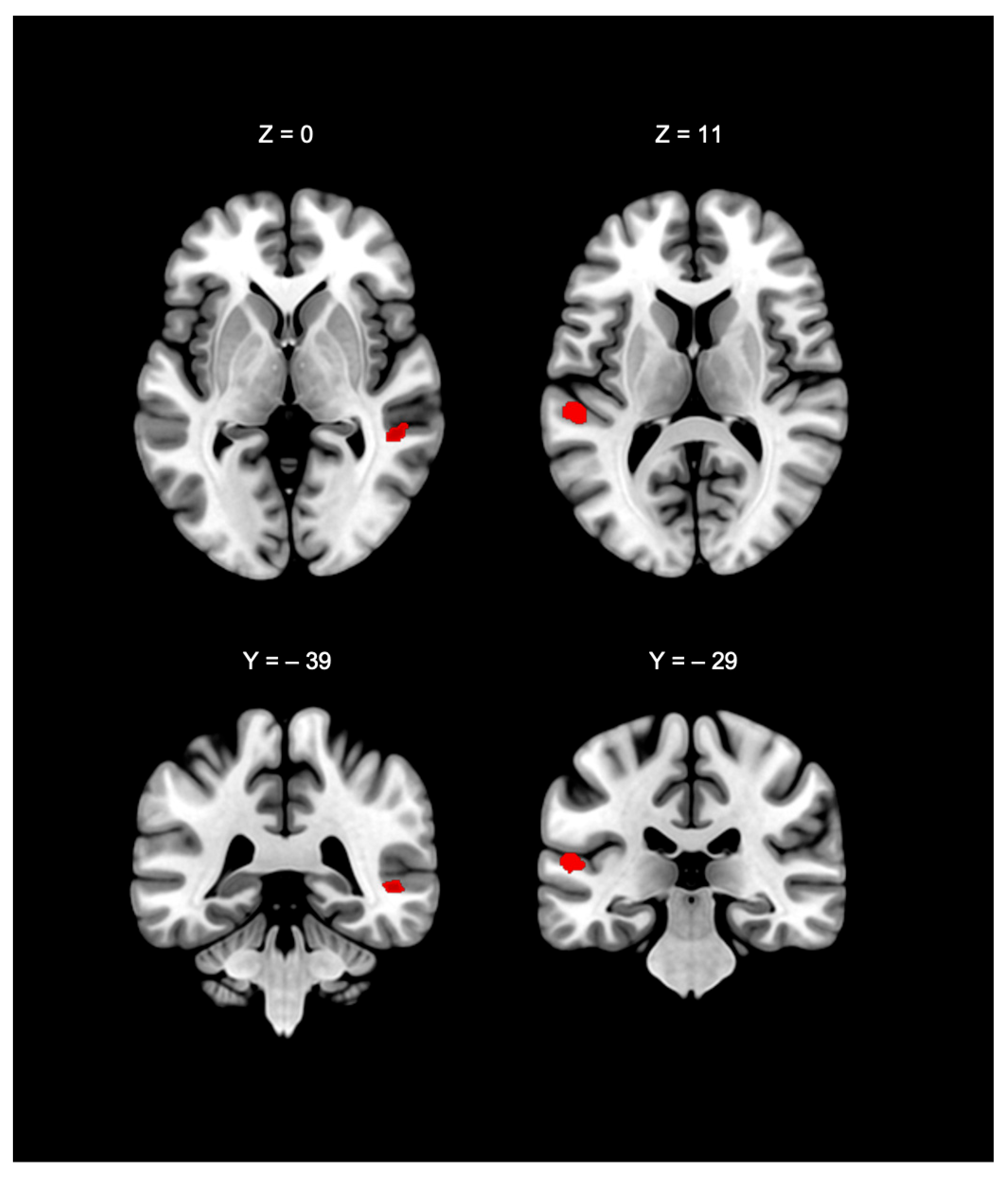
4.3. Contrast of Deaf > Hearing Individuals
STG
4.4. Limitations
4.5. Implications
5. Conclusions
Supplementary Materials
Author Contributions
Funding
Data Availability Statement
Conflicts of Interest
References
- Maya-Vetencourt, J.F.; Origlia, N. Visual Cortex Plasticity: A Complex Interplay of Genetic and Environmental Influences. Neural Plast. 2012, 2012, e631965. [Google Scholar] [CrossRef]
- Moberly, A.C.; Bates, C.; Harris, M.S.; Pisoni, D.B. The Enigma of Poor Performance by Adults with Cochlear Implants. Otol. Neurotol. 2016, 37, 1522–1528. [Google Scholar] [CrossRef]
- Paulesu, E.; Perani, D.; Blasi, V.; Silani, G.; Borghese, N.A.; De Giovanni, U.; Sensolo, S.; Fazio, F. A Functional-Anatomical Model for Lipreading. J. Neurophysiol. 2003, 90, 2005–2013. [Google Scholar] [CrossRef]
- Campbell, R.; Capek, C. Seeing Speech and Seeing Sign: Insights from a fMRI Study. Int. J. Audiol. 2008, 47, S3–S9. [Google Scholar] [CrossRef]
- Emmorey, K.; McCullough, S.; Mehta, S.; Grabowski, T.J. How Sensory-Motor Systems Impact the Neural Organization for Language: Direct Contrasts between Spoken and Signed Language. Front. Psychol. 2014, 5, 484. [Google Scholar] [CrossRef] [PubMed]
- MacSweeney, M.; Campbell, R.; Woll, B.; Brammer, M.J.; Giampietro, V.; David, A.S.; Calvert, G.A.; McGuire, P.K. Lexical and Sentential Processing in British Sign Language. Hum. Brain Mapp. 2006, 27, 63–76. [Google Scholar] [CrossRef] [PubMed]
- MacSweeney, M.; Campbell, R.; Woll, B.; Giampietro, V.; David, A.S.; McGuire, P.K.; Calvert, G.A.; Brammer, M.J. Dissociating Linguistic and Nonlinguistic Gestural Communication in the Brain. NeuroImage 2004, 22, 1605–1618. [Google Scholar] [CrossRef] [PubMed]
- MacSweeney, M.; Capek, C.M.; Campbell, R.; Woll, B. The Signing Brain: The Neurobiology of Sign Language. Trends Cogn. Sci. 2008, 12, 432–440. [Google Scholar] [CrossRef]
- Husain, F.T.; Patkin, D.J.; Thai-Van, H.; Braun, A.R.; Horwitz, B. Distinguishing the Processing of Gestures from Signs in Deaf Individuals: An fMRI Study. Brain Res. 2009, 1276, 140–150. [Google Scholar] [CrossRef]
- Corina, D.P.; Lawyer, L.A.; Hauser, P.; Hirshorn, E. Lexical Processing in Deaf Readers: An fMRI Investigation of Reading Proficiency. PLoS ONE 2013, 8, e54696. [Google Scholar] [CrossRef]
- Emmorey, K.; Weisberg, J.; McCullough, S.; Petrich, J.A.F. Mapping the Reading Circuitry for Skilled Deaf Readers: An fMRI Study of Semantic and Phonological Processing. Brain Lang. 2013, 126, 169–180. [Google Scholar] [CrossRef] [PubMed]
- Kumar, U.; Dhanik, K.; Mishra, M.; Pandey, H.R.; Keshri, A. Mapping the Unique Neural Engagement in Deaf Individuals During Picture, Word, and Sign Language Processing: fMRI Study. Brain Imaging Behav. 2024, 18, 835–851. [Google Scholar] [CrossRef] [PubMed]
- Lazard, D.S.; Giraud, A.-L. Faster Phonological Processing and Right Occipito-Temporal Coupling in Deaf Adults Signal Poor Cochlear Implant Outcome. Nat. Commun. 2017, 8, 14872. [Google Scholar] [CrossRef]
- Bavelier, D.; Tomann, A.; Hutton, C.; Mitchell, T.; Corina, D.; Liu, G.; Neville, H. Visual Attention to the Periphery Is Enhanced in Congenitally Deaf Individuals. J. Neurosci. 2000, 20, RC93. [Google Scholar] [CrossRef]
- Bottari, D.; Heimler, B.; Caclin, A.; Dalmolin, A.; Giard, M.-H.; Pavani, F. Visual Change Detection Recruits Auditory Cortices in Early Deafness. NeuroImage 2014, 94, 172–184. [Google Scholar] [CrossRef]
- Hauthal, N.; Sandmann, P.; Debener, S.; Thorne, J.D. Visual Movement Perception in Deaf and Hearing Individuals. Adv. Cogn. Psychol. 2013, 9, 53–61. [Google Scholar] [CrossRef]
- Bottari, D.; Nava, E.; Ley, P.; Pavani, F. Enhanced Reactivity to Visual Stimuli in Deaf Individuals. Restor. Neurol. Neurosci. 2010, 28, 167–179. [Google Scholar] [CrossRef]
- Bottari, D.; Caclin, A.; Giard, M.-H.; Pavani, F. Changes in Early Cortical Visual Processing Predict Enhanced Reactivity in Deaf Individuals. PLoS ONE 2011, 6, e25607. [Google Scholar] [CrossRef] [PubMed]
- Stropahl, M.; Chen, L.-C.; Debener, S. Cortical Reorganization in Postlingually Deaf Cochlear Implant Users: Intra-Modal and Cross-Modal Considerations. Hear. Res. 2017, 343, 128–137. [Google Scholar] [CrossRef]
- Doucet, M.E.; Bergeron, F.; Lassonde, M.; Ferron, P.; Lepore, F. Cross-Modal Reorganization and Speech Perception in Cochlear Implant Users. Brain 2006, 129, 3376–3383. [Google Scholar] [CrossRef]
- Kral, A.; Sharma, A. Crossmodal Plasticity in Hearing Loss. Trends Neurosci. 2023, 46, 377–393. [Google Scholar] [CrossRef]
- Medwetsky, L. Spoken Language Processing Model: Bridging Auditory and Language Processing to Guide Assessment and Intervention. Lang. Speech Hear. Serv. Sch. 2011, 42, 286–296. [Google Scholar] [CrossRef]
- Buckley, K.A.; Tobey, E.A. Cross-Modal Plasticity and Speech Perception in Pre- and Postlingually Deaf Cochlear Implant Users. Ear Hear. 2011, 32, 2–15. [Google Scholar] [CrossRef] [PubMed]
- Finney, E.M.; Clementz, B.A.; Hickok, G.; Dobkins, K.R. Visual Stimuli Activate Auditory Cortex in Deaf Subjects: Evidence from MEG. NeuroReport 2003, 14, 1425. [Google Scholar] [CrossRef]
- Sandmann, P.; Dillier, N.; Eichele, T.; Meyer, M.; Kegel, A.; Pascual-Marqui, R.D.; Marcar, V.L.; Jäncke, L.; Debener, S. Visual Activation of Auditory Cortex Reflects Maladaptive Plasticity in Cochlear Implant Users. Brain 2012, 135, 555–568. [Google Scholar] [CrossRef] [PubMed]
- Paul, B.T.; Bajin, M.D.; Uzelac, M.; Chen, J.; Le, T.; Lin, V.; Dimitrijevic, A. Evidence of Visual Crossmodal Reorganization Positively Relates to Speech Outcomes in Cochlear Implant Users. Sci. Rep. 2022, 12, 17749. [Google Scholar] [CrossRef] [PubMed]
- Prince, P.; Paul, B.T.; Chen, J.; Le, T.; Lin, V.; Dimitrijevic, A. Neural Correlates of Visual Stimulus Encoding and Verbal Working Memory Differ Between Cochlear Implant Users and Normal-Hearing Controls. Eur. J. Neurosci. 2021, 54, 5016–5037. [Google Scholar] [CrossRef]
- Stropahl, M.; Plotz, K.; Schönfeld, R.; Lenarz, T.; Sandmann, P.; Yovel, G.; De Vos, M.; Debener, S. Cross-Modal Reorganization in Cochlear Implant Users: Auditory Cortex Contributes to Visual Face Processing. NeuroImage 2015, 121, 159–170. [Google Scholar] [CrossRef]
- Campbell, J.; Sharma, A. Cross-Modal Re-Organization in Adults with Early Stage Hearing Loss. PLoS ONE 2014, 9, e90594. [Google Scholar] [CrossRef]
- Ding, H.; Qin, W.; Liang, M.; Ming, D.; Wan, B.; Li, Q.; Yu, C. Cross-Modal Activation of Auditory Regions during Visuo-Spatial Working Memory in Early Deafness. Brain 2015, 138, 2750–2765. [Google Scholar] [CrossRef]
- McCullough, S.; Emmorey, K. Effects of Deafness and Sign Language Experience on the Human Brain: Voxel-Based and Surface-Based Morphometry. Lang. Cogn. Neurosci. 2021, 36, 422–439. [Google Scholar] [CrossRef] [PubMed]
- Li, Y.; Huang, R.; Wang, A.; Wang, L.; Lv, M.; Bao, X.; Zhang, G. Cortical Structure Abnormalities in Patients With Noise-Induced Hearing Loss: A Surface-Based Morphometry Study. Brain Behav. 2025, 15, e70813. [Google Scholar] [CrossRef]
- Schecklmann, M.; Lehner, A.; Poeppl, T.B.; Kreuzer, P.M.; Rupprecht, R.; Rackl, J.; Burger, J.; Frank, E.; Hajak, G.; Langguth, B.; et al. Auditory Cortex Is Implicated in Tinnitus Distress: A Voxel-Based Morphometry Study. Brain Struct. Funct. 2013, 218, 1061–1070. [Google Scholar] [CrossRef]
- Ma, X.; Chen, N.; Wang, F.; Zhang, C.; Dai, J.; Ding, H.; Yan, C.; Shen, W.; Yang, S. Surface-Based Functional Metrics and Auditory Cortex Characteristics in Chronic Tinnitus. Heliyon 2022, 8, e10989. [Google Scholar] [CrossRef]
- Wei, X.; Lv, H.; Chen, Q.; Wang, Z.; Liu, C.; Zhao, P.; Gong, S.; Yang, Z.; Wang, Z. Cortical Thickness Alterations in Patients with Tinnitus Before and After Sound Therapy: A Surface-Based Morphometry Study. Front. Neurosci. 2021, 15, 633364. [Google Scholar] [CrossRef]
- Lee, S.; Pyun, S.-B.; Sim, Y.; Um, S.; Tae, W.-S.; Nam, E.-C. Voxel-Based Morphometry and Subfield Volumetry Analysis Reveal Limbic System Involvement in Tinnitus. J. Neuroimaging 2025, 35, e70008. [Google Scholar] [CrossRef] [PubMed]
- Anderson, C.A.; Wiggins, I.M.; Kitterick, P.T.; Hartley, D.E.H. Adaptive Benefit of Cross-Modal Plasticity Following Cochlear Implantation in Deaf Adults. Proc. Natl. Acad. Sci. USA 2017, 114, 10256–10261. [Google Scholar] [CrossRef]
- Trettenbrein, P.C.; Papitto, G.; Friederici, A.D.; Zaccarella, E. Functional Neuroanatomy of Language without Speech: An ALE Meta-Analysis of Sign Language. Hum. Brain Mapp. 2021, 42, 699–712. [Google Scholar] [CrossRef] [PubMed]
- Page, M.J.; Mckenzie, J.E.; Bossuyt, P.M.; Boutron, I.; Hoffmann, T.C.; Mulrow, C.D.; Shamseer, L.; Tetzlaff, J.M.; Akl, E.A.; Brennan, S.E.; et al. The PRISMA 2020 Statement: An Updated Guideline for Reporting Systematic Reviews. BMJ 2021, 372, n71. [Google Scholar] [CrossRef]
- Talairach, J.; Tournoux, P. Co-Planar Stereotaxic Atlas of the Human Brain: 3-Dimensional Proportional System: An Approach to Cerebral Imaging; G. Thieme: New York, NY, USA, 1988; ISBN 978-3-13-711701-8. [Google Scholar]
- Kral, A.; Sharma, A. Developmental Neuroplasticity after Cochlear Implantation. Trends Neurosci. 2012, 35, 111–122. [Google Scholar] [CrossRef]
- Di Martino, A.; Ross, K.; Uddin, L.Q.; Sklar, A.B.; Castellanos, F.X.; Milham, M.P. Functional Brain Correlates of Social and Nonsocial Processes in Autism Spectrum Disorders: An Activation Likelihood Estimation Meta-Analysis. Biol. Psychiatry 2009, 65, 63–74. [Google Scholar] [CrossRef]
- Budde, K.S.; Barron, D.S.; Fox, P.T. Stuttering, Induced Fluency, and Natural Fluency: A Hierarchical Series of Activation Likelihood Estimation Meta-Analyses. Brain Lang. 2014, 139, 99–107. [Google Scholar] [CrossRef]
- Wensing, T.; Cieslik, E.C.; Müller, V.I.; Hoffstaedter, F.; Eickhoff, S.B.; Nickl-Jockschat, T. Neural Correlates of Formal Thought Disorder: An Activation Likelihood Estimation Meta-Analysis. Hum. Brain Mapp. 2017, 38, 4946–4965. [Google Scholar] [CrossRef] [PubMed]
- Tryfon, A.; Foster, N.E.V.; Sharda, M.; Hyde, K.L. Speech Perception in Autism Spectrum Disorder: An Activation Likelihood Estimation Meta-Analysis. Behav. Brain Res. 2018, 338, 118–127. [Google Scholar] [CrossRef]
- Stefaniak, J.D.; Alyahya, R.S.W.; Lambon Ralph, M.A. Language Networks in Aphasia and Health: A 1000 Participant Activation Likelihood Estimation Meta-Analysis. NeuroImage 2021, 233, 117960. [Google Scholar] [CrossRef]
- Lacadie, C.M.; Fulbright, R.K.; Constable, R.T.; Papademetris, X. More Accurate Talairach Coordinates for NeuroImaging Using Nonlinear Registration. NeuroImage 2008, 42, 717–725. [Google Scholar] [CrossRef]
- Eickhoff, S.B.; Bzdok, D.; Laird, A.R.; Kurth, F.; Fox, P.T. Activation Likelihood Estimation Meta-Analysis Revisited. NeuroImage 2012, 59, 2349–2361. [Google Scholar] [CrossRef]
- Müller, V.I.; Cieslik, E.C.; Laird, A.R.; Fox, P.T.; Radua, J.; Mataix-Cols, D.; Tench, C.R.; Yarkoni, T.; Nichols, T.E.; Turkeltaub, P.E.; et al. Ten Simple Rules for Neuroimaging Meta-Analysis. Neurosci. Biobehav. Rev. 2018, 84, 151–161. [Google Scholar] [CrossRef] [PubMed]
- Turkeltaub, P.E.; Eickhoff, S.B.; Laird, A.R.; Fox, M.; Wiener, M.; Fox, P. Minimizing Within-experiment and Within-group Effects in Activation Likelihood Estimation Meta-analyses. Hum. Brain Mapp. 2012, 33, 1–13. [Google Scholar] [CrossRef] [PubMed]
- Nichols, T.; Brett, M.; Andersson, J.; Wager, T.; Poline, J.-B. Valid Conjunction Inference with the Minimum Statistic. NeuroImage 2005, 25, 653–660. [Google Scholar] [CrossRef]
- Eickhoff, S.B.; Nichols, T.E.; Laird, A.R.; Hoffstaedter, F.; Amunts, K.; Fox, P.T.; Bzdok, D.; Eickhoff, C.R. Behavior, Sensitivity, and Power of Activation Likelihood Estimation Characterized by Massive Empirical Simulation. NeuroImage 2016, 137, 70–85. [Google Scholar] [CrossRef] [PubMed]
- Aparicio, M.; Demont, E.; Gounot, D.; Metz-Lutz, M.-N. Is There an Alternative Cerebral Network Associated with Enhanced Phonological Processing in Deaf Speech-Users? An Exceptional Case. Scand. J. Psychol. 2009, 50, 445–455. [Google Scholar] [CrossRef]
- Aparicio, M.; Peigneux, P.; Charlier, B.; Balériaux, D.; Kavec, M.; Leybaert, J. The Neural Basis of Speech Perception through Lipreading and Manual Cues: Evidence from Deaf Native Users of Cued Speech. Front. Psychol. 2017, 8, 426. [Google Scholar] [CrossRef]
- Emmorey, K.; Xu, J.; Gannon, P.; Goldin-Meadow, S.; Braun, A. CNS Activation and Regional Connectivity during Pantomime Observation: No Engagement of the Mirror Neuron System for Deaf Signers. NeuroImage 2010, 49, 994–1005. [Google Scholar] [CrossRef]
- Gizewski, E.R.; Lambertz, N.; Ladd, M.E.; Timmann, D.; Forsting, M. Cerebellar Activation Patterns in Deaf Participants for Perception of Sign Language and Written Text. Neuroreport 2005, 16, 1913–1917. [Google Scholar] [CrossRef] [PubMed]
- Trumpp, N.M.; Kiefer, M. Functional Reorganization of the Conceptual Brain System After Deafness in Early Childhood. PLoS ONE 2018, 13, e0198894. [Google Scholar] [CrossRef]
- MacSweeney, M.; Calvert, G.A.; Campbell, R.; McGuire, P.K.; David, A.S.; Williams, S.C.R.; Woll, B.; Brammer, M.J. Speechreading Circuits in People Born Deaf. Neuropsychologia 2002, 40, 801–807. [Google Scholar] [CrossRef]
- MacSweeney, M. Neural Systems Underlying British Sign Language and Audio-Visual English Processing in Native Users. Brain 2002, 125, 1583–1593. [Google Scholar] [CrossRef]
- Que, M.; Jiang, X.; Yi, C.; Gui, P.; Jiang, Y.; Zhou, Y.-D.; Wang, L. Language and Sensory Neural Plasticity in the Superior Temporal Cortex of the Deaf. Neural Plast. 2018, 2018, 9456891. [Google Scholar] [CrossRef] [PubMed]
- Sadato, N.; Okada, T.; Honda, M.; Matsuki, K.-I.; Yoshida, M.; Kashikura, K.-I.; Takei, W.; Sato, T.; Kochiyama, T.; Yonekura, Y. Cross-Modal Integration and Plastic Changes Revealed by Lip Movement, Random-Dot Motion and Sign Languages in the Hearing and Deaf. Cereb. Cortex 2005, 15, 1113–1122. [Google Scholar] [CrossRef]
- Twomey, T.; Price, C.J.; Waters, D.; MacSweeney, M. The Impact of Early Language Exposure on the Neural System Supporting Language in Deaf and Hearing Adults. NeuroImage 2020, 209, 116411. [Google Scholar] [CrossRef]
- Waters, D.; Campbell, R.; Capek, C.M.; Woll, B.; David, A.S.; McGuire, P.K.; Brammer, M.J.; MacSweeney, M. Fingerspelling, Signed Language, Text and Picture Processing in Deaf Native Signers: The Role of the Mid-Fusiform Gyrus. NeuroImage 2007, 35, 1287–1302. [Google Scholar] [CrossRef]
- Kotowicz, J.; Banaszkiewicz, A.; Dzięgiel-Fivet, G.; Emmorey, K.; Marchewka, A.; Jednoróg, K. Neural Underpinnings of Sentence Reading in Deaf, Native Sign Language Users. Brain Lang. 2024, 255, 105447. [Google Scholar] [CrossRef]
- Emmorey, K. New Perspectives on the Neurobiology of Sign Languages. Front. Commun. 2021, 6, 748430. [Google Scholar] [CrossRef] [PubMed]
- Kilner, J.M.; Neal, A.; Weiskopf, N.; Friston, K.J.; Frith, C.D. Evidence of Mirror Neurons in Human Inferior Frontal Gyrus. J. Neurosci. 2009, 29, 10153–10159. [Google Scholar] [CrossRef]
- Kilner, J.M.; Lemon, R.N. What We Know Currently about Mirror Neurons. Curr. Biol. 2013, 23, R1057–R1062. [Google Scholar] [CrossRef] [PubMed]
- Reilly, J.S.; Mcintire, M.; Bellugi, U. The Acquisition of Conditionals in American Sign Language: Grammaticized Facial Expressions. Appl. Psycholinguist. 1990, 11, 369–392. [Google Scholar] [CrossRef]
- McCullough, S.; Emmorey, K.; Sereno, M. Neural Organization for Recognition of Grammatical and Emotional Facial Expressions in Deaf ASL Signers and Hearing Nonsigners. Cogn. Brain Res. 2005, 22, 193–203. [Google Scholar] [CrossRef]
- Itabashi, R.; Nishio, Y.; Kataoka, Y.; Yazawa, Y.; Furui, E.; Matsuda, M.; Mori, E. Damage to the Left Precentral Gyrus Is Associated with Apraxia of Speech in Acute Stroke. Stroke 2016, 47, 31–36. [Google Scholar] [CrossRef]
- Josephs, K.A.; Duffy, J.R.; Strand, E.A.; Machulda, M.M.; Senjem, M.L.; Master, A.V.; Lowe, V.J.; Jack, C.R., Jr.; Whitwell, J.L. Characterizing a Neurodegenerative Syndrome: Primary Progressive Apraxia of Speech. Brain 2012, 135, 1522–1536. [Google Scholar] [CrossRef]
- Kaestner, E.; Thesen, T.; Devinsky, O.; Doyle, W.; Carlson, C.; Halgren, E. An Intracranial Electrophysiology Study of Visual Language Encoding: The Contribution of the Precentral Gyrus to Silent Reading. J. Cogn. Neurosci. 2021, 33, 2197–2214. [Google Scholar] [CrossRef]
- Skipper, J.I.; Devlin, J.T.; Lametti, D.R. The Hearing Ear Is Always Found Close to the Speaking Tongue: Review of the Role of the Motor System in Speech Perception. Brain Lang. 2017, 164, 77–105. [Google Scholar] [CrossRef]
- Perron, M.; Ross, B.; Alain, C. Left Motor Cortex Contributes to Auditory Phonological Discrimination. Cereb. Cortex 2024, 34, bhae369. [Google Scholar] [CrossRef]
- Alain, C.; Arnott, S.R.; Hevenor, S.; Graham, S.; Grady, C.L. “What” and “Where” in the Human Auditory System. Proc. Natl. Acad. Sci. USA 2001, 98, 12301–12306. [Google Scholar] [CrossRef] [PubMed]
- Arnott, S.R.; Binns, M.A.; Grady, C.L.; Alain, C. Assessing the Auditory Dual-Pathway Model in Humans. NeuroImage 2004, 22, 401–408. [Google Scholar] [CrossRef] [PubMed]
- Ozker, M.; Schepers, I.M.; Magnotti, J.F.; Yoshor, D.; Beauchamp, M.S. A Double Dissociation Between Anterior and Posterior Superior Temporal Gyrus for Processing Audiovisual Speech Demonstrated by Electrocorticography. J. Cogn. Neurosci. 2017, 29, 1044–1060. [Google Scholar] [CrossRef] [PubMed]
- Reale, R.A.; Calvert, G.A.; Thesen, T.; Jenison, R.L.; Kawasaki, H.; Oya, H.; Howard, M.A.; Brugge, J.F. Auditory-Visual Processing Represented in the Human Superior Temporal Gyrus. Neuroscience 2007, 145, 162–184. [Google Scholar] [CrossRef]
- Singh-Curry, V.; Husain, M. The Functional Role of the Inferior Parietal Lobe in the Dorsal and Ventral Stream Dichotomy. Neuropsychologia 2009, 47, 1434–1448. [Google Scholar] [CrossRef]
- Sharp, D.J.; Awad, M.; Warren, J.E.; Wise, R.J.S.; Vigliocco, G.; Scott, S.K. The Neural Response to Changing Semantic and Perceptual Complexity during Language Processing. Hum. Brain Mapp. 2010, 31, 365–377. [Google Scholar] [CrossRef]
- Brownsett, S.L.E.; Wise, R.J.S. The Contribution of the Parietal Lobes to Speaking and Writing. Cereb. Cortex 2010, 20, 517–523. [Google Scholar] [CrossRef]
- Capek, C.M.; MacSweeney, M.; Woll, B.; Waters, D.; McGuire, P.K.; David, A.S.; Brammer, M.J.; Campbell, R. Cortical Circuits for Silent Speechreading in Deaf and Hearing People. Neuropsychologia 2008, 46, 1233–1241. [Google Scholar] [CrossRef] [PubMed]
- Lambertz, N.; Gizewski, E.R.; De Greiff, A.; Forsting, M. Cross-Modal Plasticity in Deaf Subjects Dependent on the Extent of Hearing Loss. Cogn. Brain Res. 2005, 25, 884–890. [Google Scholar] [CrossRef]
- Hennesy, T.; Cardon, G.; Campbell, J.; Glick, H.; Bell-Souder, D.; Sharma, A. Cross-Modal Reorganization from Both Visual and Somatosensory Modalities in Cochlear Implanted Children and Its Relationship to Speech Perception. Otol. Neurotol. 2022, 43, e872. [Google Scholar] [CrossRef]
- Sandler, W.; Lillo-Martin, D.C. Sign Language and Linguistic Universals; Cambridge University Press: Cambridge, UK, 2006; ISBN 978-0-521-48248-6. [Google Scholar]
- Capek, C.M.; Woll, B.; MacSweeney, M.; Waters, D.; McGuire, P.K.; David, A.S.; Brammer, M.J.; Campbell, R. Superior Temporal Activation as a Function of Linguistic Knowledge: Insights from Deaf Native Signers Who Speechread. Brain Lang. 2010, 112, 129–134. [Google Scholar] [CrossRef]
- Bosworth, R.G.; Dobkins, K.R. Left-Hemisphere Dominance for Motion Processing in Deaf Signers. Psychol. Sci. 1999, 10, 256–262. [Google Scholar] [CrossRef]
- Corina, D.; Chiu, Y.-S.; Knapp, H.; Greenwald, R.; San Jose-Robertson, L.; Braun, A. Neural Correlates of Human Action Observation in Hearing and Deaf Subjects. Brain Res. 2007, 1152, 111–129. [Google Scholar] [CrossRef]
- Kral, A.; Eggermont, J.J. What’s to Lose and What’s to Learn: Development Under Auditory Deprivation, Cochlear Implants and Limits of Cortical Plasticity. Brain Res. Rev. 2007, 56, 259–269. [Google Scholar] [CrossRef]
- Sharma, A.; Dorman, M.F. Central Auditory Development in Children with Cochlear Implants: Clinical Implications. Adv. Otorhinolaryngol. 2006, 64, 66–88. [Google Scholar] [CrossRef]
- Sharma, A.; Gilley, P.M.; Dorman, M.F.; Baldwin, R. Deprivation-Induced Cortical Reorganization in Children with Cochlear Implants. Int. J. Audiol. 2007, 46, 494–499. [Google Scholar] [CrossRef] [PubMed]
- Emmorey, K. Ten Things You Should Know About Sign Languages. Curr. Dir. Psychol. Sci. 2023, 32, 387–394. [Google Scholar] [CrossRef]




| Study | Task | Contrast | Participants Demographics | Foci (Deaf, Hearing) | Coordinate Space |
|---|---|---|---|---|---|
| [4] | Speechreading: watched the speech patterns produced by the model and made a response when the model was seen to be saying ‘yes’. | Deaf: speechreading vs. rest; hearing: speechreading vs. rest | Deaf participants: n = 13, mean age (SD): 27.4 (7.6). Hearing participants: n = 13, mean age (SD): 29.4 (6.15). | 12, 12 | Talairach |
| [7] | British Sign Language (BSL) Task: identified semantically anomalous BSL sentences. Baseline = rest. | deaf signers: BSL vs. baseline; hearing signers: BSL vs. baseline | Deaf signers: n = 8, mean age (range): 30.5 (18–48), all acquired BSL from deaf parents. Hearing signers: n = 8: mean age (range): 32.8 (20–51); all were native signers; six of the hearing native signers were employed as a BSL interpreter or communicator. | 8, 16 | MNI |
| [53] | Visual rhyming task (VRT): judged whether two French words rhyme. Baseline condition: identical strings judgement task. | Deaf: VRT vs. baseline; Hearing: VRT vs. baseline | Deaf participants: n = 4, mean age: 28.25. All wore hearing aids. Hearing participants: n = 15, mean age: 26. | 17, 3 | MNI |
| [54] | For deaf participants: Passively viewed videos of (a) cued speech: oral + manual (CSLM); (b) cued speech manual, (c) cued speech oral (lip reading). For Hearing: audio-visual speech, auditory speech, visual speech: lipreading. Baseline = still. | Deaf: CSLM vs. baseline; Hearing: audio-visual speech vs. baseline | Deaf participants: n = 14 (13 were congenitally deaf), mean age (range): 25 (18–33). All were fitted with hearing aids between 6 months and 2 years of age. Hearing participants: n = 15, mean age (range) *: 25.2 (20–37). | 6, 3 | MNI |
| [55] | Video watching: watched videos of pantomimes (e.g., peeling an imaginary banana) and action verbs in American Sign Language (ASL). Baseline = stare at a fixation cross. | Deaf: ASL vs. baseline; Hearing: ASL vs. baseline | Deaf participants: n = 14, mean age (range): 22.3 (19–43); all were native signers. Hearing participants: n = 14, mean age (range): 24.3 (22–29); all had no knowledge of a signed language. | 6, 25 | MNI |
| [56] | Silent video watching: watched a video in which a translator told a story using German Sign Language (GSL). | Deaf: sign language watching vs. rest; Hearing: sign language watching vs. rest | Deaf participants: n = 12, mean age: 46, Mean age on losing hearing (years): 2.2; all were proficient in GSL (good to excellent). Hearing participants: n = 12, mean age: 32; none of them knew GSL at all. | 6, 2 | Talairach |
| [57] | Sign language observation for deaf participants: watched videos of common objects lexicalized in GSL, Sound listening for Hearing: listened to sounds from animals and artificial objects. | Deaf: sign language observation vs. baseline; Hearing: sound listening vs. baseline | Deaf participants: n = 16, mean age (range): 43.7 (33–67), mean age on losing hearing (months): 11.38, all were native GSL signers. Hearing participants: n = 18, mean age (range): 41.3 (19–68); none of them know GSL at all. | 67, 39 | MNI |
| [58] | Silent speechreading: watched the speaker in the video and covertly repeated the numbers. Baseline: counted gurning faces. | Deaf: speechreading vs. baseline; Hearing: speechreading vs. baseline | Deaf participants: n = 6, mean age (range): 30 (29–38). Hearing participants: n = 7, mean age (range): 29 (21–55). | 8, 7 | Talairach |
| [59] | Participants watched signed BSL sentences or audio-visual English translations of the same sentences and chose semantically anomalous BSL sentences. Baseline = rest. | Deaf: BSL vs. baseline; Hearing: BSL vs. baseline | Deaf participants: n = 9, mean age: 30.4; all were native signers. Hearing participants: n = 9, mean age: 32.67; all were native signers. | 11, 11 | Talairach |
| [60] | Attended alternating blocks of four different visual stimuli: checkerboard, words, sign language, and lip-reading. Baseline = rest. | Both groups: words vs. baseline; sign language vs. baseline; lip-reading vs. baseline | Deaf participants: n = 34, mean age: 20.8, mean age on losing hearing (years): 1.6; all were proficient signers. Fifteen deaf participants used hearing aids. Hearing participants: n = 15, mean age: 20.3; all had no knowledge of sign language. | 16, 3 | MNI |
| [61] | Sign-word discrimination task: decide whether hand movements constitute a real word. | Deaf: sign-word discrimination vs. rest; Hearing: sign-word discrimination vs. rest | Deaf participants: n = 7, mean age ± SD: 31.6 ± 7.1, Age on losing hearing (years): <3; All were fluent in sign language. Hearing participants: n = 19, mean age ± SD: 10.7. All were fluent in sign language. | 24, 25 | Talairach |
| [62] | BSL sentence judgement: determined whether a BSL sentence contained a semantic anomaly. Baseline = fixation. | Deaf: BSL vs. baseline; Hearing: BSL vs. baseline | Deaf signers: n = 15, mean age (range): 34.25 (23.5–59); all were native signers. Five wore hearing aids. Hearing signers: n = 14, mean age (range): 34.5 (20.25–60), all were native signers. | 9, 4 | MNI |
| [63] | BSL sign task: pressed a button when the item signed was an animal; baseline: responded when the fixation cross went red. | Deaf signers: BSL vs. baseline; hearing signers: BSL vs. baseline | Deaf signers: n = 13, mean age (range): 27.4 (18.9–49.25); all were native signers. Hearing non-signers: n = 13, mean age (range): 29.7 (18.9–43.3), all had no prior exposure to sign language. | 2, 2 | Talairach |
| [64] | Semantic judgement reading task: judged whether two-word, grammatically correct phrases were meaningful or nonsensical. Baseline: searched visually for hashtags (#) embedded in two-word consonant strings | Both groups: semantic judgement reading task vs. baseline | Deaf participants: n = 12, mean age ± SD: 27.4 ±4.4. Eight used hearing aids. Hearing participants: n = 20, mean age ± SD: 23.7 ± 1.4. | 10, 2 | MNI |
| Cluster # | Cluster Size | Anatomical Area | ALE Value | p Value | z-Score | MNI Coordinates (x y z) | # Studies/ Cluster * | ||
|---|---|---|---|---|---|---|---|---|---|
| 1 | 3112 mm3 | Left superior temporal gyrus, BA41 | 0.016 | <0.001 | 4.65 | −56 | −22 | 8 | 6 |
| Left superior temporal gyrus, BA22 | 0.015 | <0.001 | 4.43 | −60 | −8 | 2 | |||
| Left superior temporal gyrus, BA41 | 0.015 | <0.001 | 4.39 | −56 | −28 | 10 | |||
| Left superior temporal gyrus, BA41 | 0.014 | <0.001 | 4.08 | −46 | −34 | 10 | |||
| Left superior temporal gyrus, BA22 | 0.013 | <0.001 | 3.92 | −64 | −18 | −2 | |||
| 2 | 1912 mm3 | Right superior temporal gyrus, BA41 | 0.013 | <0.001 | 3.98 | 54 | −24 | 4 | 8 |
| Right superior temporal gyrus, BA21 | 0.013 | <0.001 | 3.9 | 54 | −24 | −6 | |||
| Right sub-gyral, BA37 | 0.013 | <0.001 | 3.89 | 50 | −40 | −4 | |||
| Right superior temporal gyrus, BA22 | 0.012 | <0.001 | 3.72 | 52 | −34 | 4 | |||
| 3 | 1512 mm3 | Left inferior frontal gyrus, BA9 | 0.015 | <0.001 | 4.45 | −46 | 12 | 28 | 7 |
| Left inferior frontal gyrus, BA45 | 0.014 | <0.001 | 4.13 | −48 | 18 | 14 | |||
| 4 | 776 mm3 | Left middle temporal gyrus, BA37 | 0.010 | <0.001 | 3.38 | −54 | −60 | 2 | 5 |
| 5 | 728 mm3 | Left fusiform gyrus, BA37 | 0.014 | <0.001 | 4.32 | −42 | −62 | −14 | 3 |
| Cluster # | Cluster Size | Anatomical Area | ALE Value | p Value | z-Score | MNI Coordinates (x y z) | # Studies/ Cluster * | ||
|---|---|---|---|---|---|---|---|---|---|
| 1 | 2088 mm3 | Left superior temporal gyrus, BA22 | 0.022 | <0.001 | 5.55 | −64 | −18 | 2 | 5 |
| 2 | 1200 mm3 | Left precentral gyrus, BA4 | 0.015 | <0.001 | 4.41 | −48 | −4 | 46 | 5 |
| Left middle frontal gyrus, BA6 | 0.012 | <0.001 | 3.89 | −44 | 6 | 38 | |||
| 3 | 1184 mm3 | Right inferior parietal lobule, BA39 | 0.019 | <0.001 | 5.08 | 34 | −48 | 42 | 5 |
| 4 | 1136 mm3 | Left fusiform gyrus, BA37 | 0.015 | <0.001 | 4.29 | −44 | −66 | −8 | 4 |
| 5 | 880 mm3 | Right fusiform gyrus, BA37 | 0.020 | <0.001 | 5.29 | 44 | −60 | −12 | 4 |
| Cluster # | Cluster Size | Anatomical Area | p Value | z-Score | MNI Coordinates (x, y, z) | ||
|---|---|---|---|---|---|---|---|
| 1 | 584 mm3 | Left superior temporal gyrus, BA41 | 0.0159 | 2.15 | −56 | −32 | 12 |
| Left superior temporal gyrus, BA41 | 0.0178 | 2.1 | −54 | −28 | 10 | ||
| 2 | 192 mm3 | Right middle temporal gyrus, BA21 | 0.0167 | 2.09 | 52 | −38 | 2 |
Disclaimer/Publisher’s Note: The statements, opinions and data contained in all publications are solely those of the individual author(s) and contributor(s) and not of MDPI and/or the editor(s). MDPI and/or the editor(s) disclaim responsibility for any injury to people or property resulting from any ideas, methods, instructions or products referred to in the content. |
© 2025 by the authors. Licensee MDPI, Basel, Switzerland. This article is an open access article distributed under the terms and conditions of the Creative Commons Attribution (CC BY) license (https://creativecommons.org/licenses/by/4.0/).
Share and Cite
Mo, S.; Dimitrijevic, A.; Alain, C. Nonverbal Communication Processing in Deaf Adults: An Activation Likelihood Estimation Meta-Analysis. Brain Sci. 2025, 15, 1299. https://doi.org/10.3390/brainsci15121299
Mo S, Dimitrijevic A, Alain C. Nonverbal Communication Processing in Deaf Adults: An Activation Likelihood Estimation Meta-Analysis. Brain Sciences. 2025; 15(12):1299. https://doi.org/10.3390/brainsci15121299
Chicago/Turabian StyleMo, Shimin, Andrew Dimitrijevic, and Claude Alain. 2025. "Nonverbal Communication Processing in Deaf Adults: An Activation Likelihood Estimation Meta-Analysis" Brain Sciences 15, no. 12: 1299. https://doi.org/10.3390/brainsci15121299
APA StyleMo, S., Dimitrijevic, A., & Alain, C. (2025). Nonverbal Communication Processing in Deaf Adults: An Activation Likelihood Estimation Meta-Analysis. Brain Sciences, 15(12), 1299. https://doi.org/10.3390/brainsci15121299

