The Pathogenesis of Disinhibition in Patients with Traumatic Brain Injury: A Two Patient Case Report
Abstract
1. Background
2. Case Presentation
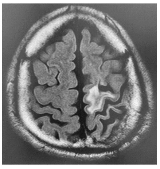
2.1. Case 1
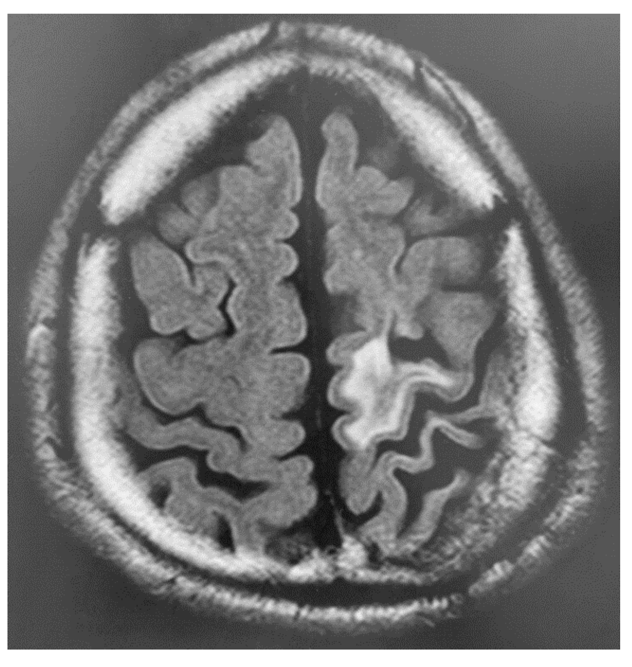
2.2. Case 2
3. Instruments Used for Brain Imaging
4. Discussion and Conclusions
Mechanism Underlying the Pathogenesis
Author Contributions
Funding
Institutional Review Board Statement
Informed Consent Statement
Data Availability Statement
Conflicts of Interest
References
- Hiraoka, T. Interpretations and Applications of the Term, “Higher Brain Dysfunction”. JJCRS 2021, 12, 1–3. [Google Scholar] [CrossRef]
- Ministry of Health, Labour and Welfare, Social Welfare and War Victims’ Relief Bureau, Department of Health and Welfare for Persons with Disabilities, National Rehabilitation Center for Persons with Disabilities (Ed.) Handbook for Aiding People with Higher Brain Dysfunction, 2nd ed.; Tokorozawa, Japan, 2008. [Google Scholar]
- Filipčíková, M.; Wearne, T.; McDonald, S. Disinhibited and Angry: Investigating the Relationship Between Social Disinhibition and the Components of Aggression Following Severe TBI. Neuropsychol. Rehabil. 2022, 29, 1–22. [Google Scholar] [CrossRef] [PubMed]
- Tate, R.L. Executive Dysfunction and Characterological Changes after Traumatic Brain Injury: Two Sides of the Same Coin? Cortex 1999, 35, 39–55. [Google Scholar] [CrossRef]
- Osborne-Crowley, K.; McDonald, S. Hyposmia, Not Emotion Perception, Is Associated with Psychosocial Outcome After Severe Traumatic Brain Injury. Neuropsychology 2016, 30, 820–829. [Google Scholar] [CrossRef] [PubMed]
- Osborne-Crowley, K.; McDonald, S. A Review of Social Disinhibition after Traumatic Brain Injury. J. Neuropsychol. 2018, 12, 176–199. [Google Scholar] [CrossRef] [PubMed]
- Filipčíková, M.; Wearne, T.; Li, R.; McDonald, S. The Prevalence, Predictors, Associated Symptoms, and Outcomes of Social Disinhibition following Moderate-to-Severe TBI: A Scoping Review of Quantitative Evidence. J. Clin. Exp. Neuropsychol. 2021, 43, 716–736. [Google Scholar] [CrossRef]
- Filipčíková, M.; Quang, H.; Cassel, A.; Darke, L.; Wilson, E.; Wearne, T.; Rosenberg, H.; McDonald, S. Exploring Neuropsychological Underpinnings of Poor Communication After Traumatic Brain Injury: The Role of Apathy, Disinhibition and Social Cognition. Int. J. Lang. Commun. Disord. 2022; early view. [Google Scholar] [CrossRef]
- Nakajima, Y. Research on How to Cope with Social Participation Difficulties Caused by Social Behavior Disorders of People with Higher Brain Dysfunction. Available online: http://www.rehab.go.jp/brain_fukyu/data/results/ (accessed on 12 April 2023). (In Japanese).
- Milders, M. Relationship between social cognition and social behaviour following traumatic brain injury. Brain Inj. 2019, 33, 62–68. [Google Scholar] [CrossRef]
- Lanfermann, H.; Raab, P.; Kretschmann, H.J.; Weinrich, W. Cranial Neuroimaging and Clinical Neuroanatomy, 4th ed.; Thieme: New York, NY, USA, 2019; ISBN 978-3-13-672604-4. [Google Scholar]
- Cummings, J.L. Frontal-Subcortical Circuits and Human Behavior. Arch. Neurol. 1993, 50, 873–880. [Google Scholar] [CrossRef]
- Jahfari, S.; Waldorp, L.; van den Wildenberg, W.P.; Scholte, H.S.; Ridderinkhof, K.R.; Forstmann, B.U. Effective Connectivity Reveals Important Roles for Both the Hyperdirect (Fronto-Subthalamic) and the Indirect (Fronto-Striatal-Pallidal) Fronto-Basal Ganglia Pathways During Response Inhibition. J. Neurosci. 2011, 31, 6891–6899. [Google Scholar] [CrossRef]
- Li, C.S.; Yan, P.; Sinha, R.; Lee, T.W. Subcortical Processes of Motor Response Inhibition During a Stop Signal Task. Neuroimage 2008, 41, 1352–1363. [Google Scholar]
- Schmidt, R.; Leventhal, D.K.; Mallet, N.; Chen, F.; Berke, J.D. Canceling Actions Involves a Race Between Basal Ganglia Pathways. Nat. Neurosci. 2013, 16, 1118–1124. [Google Scholar] [CrossRef]
- Zandbelt, B.B.; Vink, M. On the Role of the Striatum in Response Inhibition. PLoS ONE 2010, 5, e13848. [Google Scholar] [CrossRef]
- Ogasawara, T.; Nejime, M.; Takada, M.; Matsumoto, M. Primate Nigrostriatal Dopamine System Regulates Saccadic Response Inhibition. Neuron 2018, 100, 1513–1526.e4. [Google Scholar] [CrossRef]
- McGeer, P.L.; Eccles, J.C.; McGeer, E.G. Molecular Neurobiology of the Mammalian Brain, 2nd ed.; Plenum Press: New York, NY, USA, 1987; ISBN 978-0306423291. [Google Scholar]
- Kötter, R.; Meyer, N. The Limbic System: A Review of Its Empirical Foundation. Behav. Brain Res. 1992, 52, 105–127. [Google Scholar] [CrossRef] [PubMed]
- LeDoux, J.E. Emotion Circuits in the Brain. Annu. Rev. Neurosci. 2000, 23, 155–184. [Google Scholar] [CrossRef] [PubMed]
- Broca, P. Anatomie Comparée des Circonvolutions Cérébrales. Le Grand Lobe Limbique et la Scissure Limbique dans la Série des Mammiferes. Rev. Anthropol. 1878, 1, 385–498. [Google Scholar]
- Heimer, L.; Van Hoesen, G.W. The Limbic Lobe and Its Output Channels: Implications for Emotional Functions and Adaptive Behavior. Neurosci. Biobehav. Rev. 2006, 30, 126–147. [Google Scholar] [CrossRef]
- Maclean, P.D. Some Psychiatric Implications of Physiological Studies on Frontotemporal Portion of Limbic System (Visceral Brain). Electroencephalogr. Clin. Neurophysiol. 1952, 4, 407–418. [Google Scholar] [CrossRef]
- Mesulam, M.M.; Mufson, E.J. Insula of the Old World Monkey. I. Architectonics in the Insulo-Orbito-Temporal Component of the Paralimbic Brain. J. Comp. Neurol. 1982, 212, 1–22. [Google Scholar] [CrossRef]
- Papez, J.W. A Proposed Mechanism of Emotion. 1937. J. Neuropsychiatry Clin. Neurosci. 1995, 7, 103–112. [Google Scholar] [PubMed]
- Yakovlev, P.I. A Proposed Definition of the Limbic System. In Limbic System Mechanisms and Autonomic Function; Hockman, C.H., Ed.; Thomas: New York, NY, USA, 1972; pp. 241–283. ISBN 978-0398023157. [Google Scholar]
- Masuzawa, H.; Hirakawa, K.; Tomita, H.; Nakamura, N. Higher Brain Dysfunction Due to Traumatic Brain Injury through Traffic Accident. Jpn. J. Neurosurg. 2004, 13, 104–110. (In Japanese) [Google Scholar] [CrossRef][Green Version]
- Sahuquillo, J.; Vilalta, J.; Lamarca, J.; Rubio, E.; Rodriguez-Pazos, M.; Salva, J.A. Diffuse Axonal Injury after Severe Head Trauma. A Clinico-Pathological Study. Acta Neurochir. 1989, 101, 149–158. [Google Scholar] [CrossRef] [PubMed]
- Ohigashi, Y. Frontal Lobe Related Disorders and Social Behavioral Impairment. HBFR 2012, 32, 212–217. (In Japanese) [Google Scholar] [CrossRef]
- Nakajima, Y.; Imahashi, K. Social Behavior Disorder. In Approach to Higher Brain Dysfunction for Welfare Service Staffs; Chuohoki Publishing Co., Ltd.: Tokyo, Japan, 2016; pp. 24–26. (In Japanese) [Google Scholar]
- Research Group on Challenges in Social Participation Linked to Social Behavior Disorders of Persons with Higher Brain Dysfunction. Responses and Support for Social Behavior Disorders. Available online: http://www.rehab.go.jp/application/files/8215/6591/4352/201908_pdf (accessed on 12 April 2023).



| Day of Injury + 6 M | Day of Injury + 1 Y | Day of Injury + 7 Y | ||
|---|---|---|---|---|
| WAIS-Ⅲ | VIQ | 92 | 92 | - |
| PIQ | 74 | 79 | - | |
| FIQ | 82 | 85 | - | |
| VC | 86 | 90 | - | |
| PO | 79 | 87 | - | |
| WM | 105 | 94 | - | |
| PS | 54 | 54 | - | |
| WMS-R | Verbal memory | - | 118 | 99 |
| Visual memory | - | 105 | 109 | |
| General memory | - | 117 | 101 | |
| Attention | - | 114 | 111 | |
| Delayed recall | - | 115 | 99 | |
| BADS | - | Above average | - | |
| FAB | 17/18 | - | 18/18 | |
| TMT-A | 88 s | - | 62 s | |
| TMT-B | 145 s | - | 66 s |
| Day of Injury + 1 Y | Day of Injury + 17 Y | Day of Injury + 23 Y | ||
|---|---|---|---|---|
| WISC-R | VIQ | 80 | - | - |
| PIQ | 77 | - | - | |
| IQ | 77 | - | - | |
| WAIS-Ⅲ | VIQ | - | 82 | 84 |
| PIQ | - | 70 | 84 | |
| FIQ | - | 74 | 83 | |
| VC | - | 84 | 90 | |
| PO | - | 72 | 89 | |
| WM | - | 81 | 83 | |
| PS | - | 66 | 75 | |
| WMS-R | Verbal memory | - | 66 | 69 |
| Visual memory | - | 67 | 71 | |
| General memory | - | 61 | 65 | |
| Attention | - | 76 | 86 | |
| Delayed recall | - | 50 | 50 | |
| IGT | - | - | - | ¥147,500 (insufficient understanding of rules) |
| FAB | - | - | - | 16/18 |
| TMT-A | - | - | - | 42 s |
| TMT-B | - | - | - | 96 s |
Disclaimer/Publisher’s Note: The statements, opinions and data contained in all publications are solely those of the individual author(s) and contributor(s) and not of MDPI and/or the editor(s). MDPI and/or the editor(s) disclaim responsibility for any injury to people or property resulting from any ideas, methods, instructions or products referred to in the content. |
© 2023 by the authors. Licensee MDPI, Basel, Switzerland. This article is an open access article distributed under the terms and conditions of the Creative Commons Attribution (CC BY) license (https://creativecommons.org/licenses/by/4.0/).
Share and Cite
Hiraoka, T.; Yagi, M. The Pathogenesis of Disinhibition in Patients with Traumatic Brain Injury: A Two Patient Case Report. Brain Sci. 2023, 13, 1227. https://doi.org/10.3390/brainsci13081227
Hiraoka T, Yagi M. The Pathogenesis of Disinhibition in Patients with Traumatic Brain Injury: A Two Patient Case Report. Brain Sciences. 2023; 13(8):1227. https://doi.org/10.3390/brainsci13081227
Chicago/Turabian StyleHiraoka, Takashi, and Masami Yagi. 2023. "The Pathogenesis of Disinhibition in Patients with Traumatic Brain Injury: A Two Patient Case Report" Brain Sciences 13, no. 8: 1227. https://doi.org/10.3390/brainsci13081227
APA StyleHiraoka, T., & Yagi, M. (2023). The Pathogenesis of Disinhibition in Patients with Traumatic Brain Injury: A Two Patient Case Report. Brain Sciences, 13(8), 1227. https://doi.org/10.3390/brainsci13081227

