Combination Treatment of Locoregionally Aggressive Granulomatosis with Polyangiitis and Cranial Base Infiltration
Abstract
1. Introduction
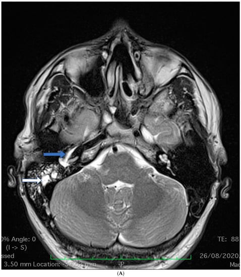
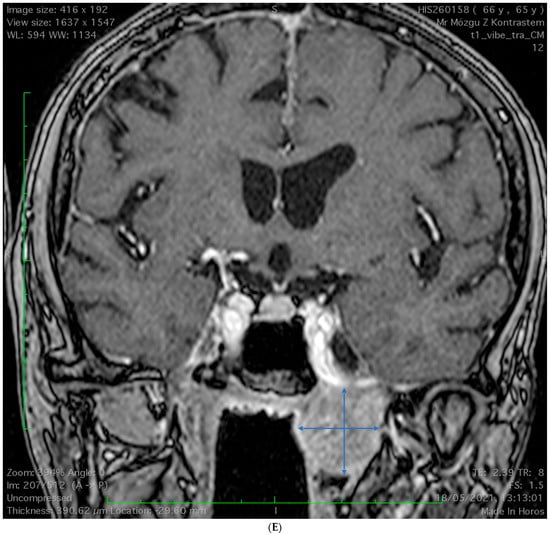
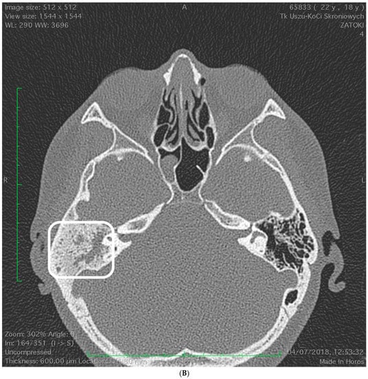
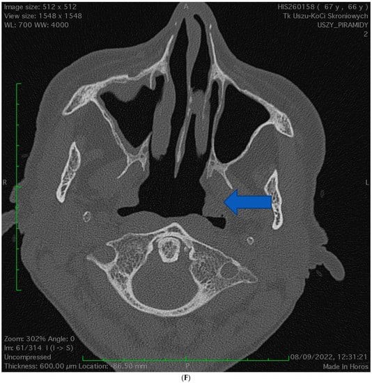
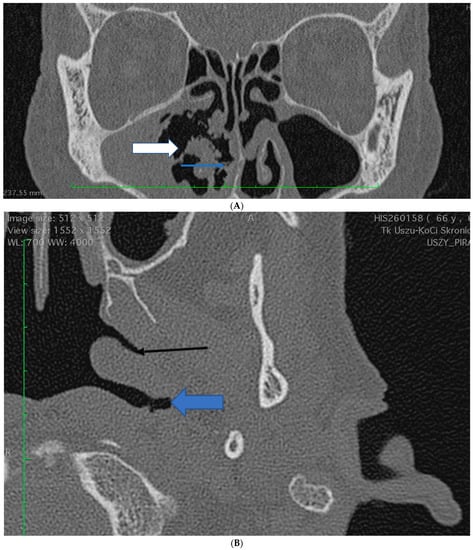
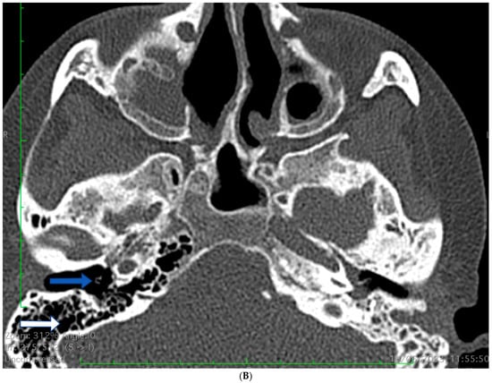
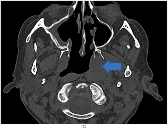
2. Case Reports
2.1. Case 1
2.2. Case 2
2.3. Case 3
3. Discussion
4. Conclusions
Supplementary Materials
Author Contributions
Funding
Institutional Review Board Statement
Informed Consent Statement
Data Availability Statement
Conflicts of Interest
References
- Yates, M.; Watts, R.; Bajema, I.; Cid, M.; Crestani, B.; Hauser, T.; Hellmich, B.; Holle, J.; Laudien, M.; Little, M.A.; et al. EULAR/ERA-EDTA recommendations for the management of ANCA-associated vasculitis. Ann. Rheum. Dis. 2016, 75, 1583–1594. Available online: https://ard.bmj.com/lookup/doi/10.1136/annrheumdis-2016-209133 (accessed on 1 March 2023). [CrossRef]
- Koike, H.; Nishi, R.; Ohyama, K.; Morozumi, S.; Kawagashira, Y.; Furukawa, S.; Mouri, N.; Fukami, Y.; Iijima, M.; Sobue, G.; et al. ANCA-Associated Vasculitic Neuropathies: A Review. Neurol. Ther. 2022, 11, 21–38. [Google Scholar] [CrossRef] [PubMed]
- Kristin, J.; Beutner, C.; Klenzner, T.; Knapp, F.B. Granulomatosis with polyangiitis and multiple bilateral cranial nerve palsies: A diagnostic challenge. B-ENT 2014, 10, 231–235. Available online: http://www.ncbi.nlm.nih.gov/pubmed/25675671 (accessed on 1 March 2023). [PubMed]
- Pagán, A.J.; Ramakrishnan, L. The Formation and Function of Granulomas. Annu. Rev. Immunol. 2018, 36, 639–665. [Google Scholar] [CrossRef] [PubMed]
- Lamprecht, P.; Csernok, E.; Gross, W.L. Effector memory T cells as driving force of granuloma formation and autoimmunity in Wegener’s granulomatosis. J. Intern. Med. 2006, 260, 187–191. [Google Scholar] [CrossRef]
- Austin, K.; Janagan, S.; Wells, M.; Crawshaw, H.; McAdoo, S.; Robson, J.C. ANCA Associated Vasculitis Subtypes: Recent Insights and Future Perspectives. J. Inflamm. Res. 2022, 15, 2567–2582. [Google Scholar] [CrossRef] [PubMed]
- Schreiber, A.; Xiao, H.; Jennette, J.C.; Schneider, W.; Luft, F.C.; Kettritz, R. C5a receptor mediates neutrophil activation and ANCA-induced glomerulonephritis. J. Am. Soc. Nephrol. 2009, 20, 289–298. [Google Scholar] [CrossRef]
- Voswinkel, J.; Mueller, A.; Kraemer, J.A.; Lamprecht, P.; Herlyn, K.; Holl-Ulrich, K.; Feller, A.C.; Pitann, S.; Gause, A.; Gross, W.L. B lymphocyte maturation in Wegener’s granulomatosis: A comparative analysis of VH genes from endonasal lesions. Ann. Rheum. Dis. 2006, 65, 859–864. [Google Scholar] [CrossRef]
- Cornec, D.; Berti, A.; Hummel, A.; Peikert, T.; Pers, J.O.; Specks, U. Identification and phenotyping of circulating autoreactive proteinase 3-specific B cells in patients with PR3-ANCA associated vasculitis and healthy controls. J. Autoimmun. 2017, 84, 122–131. [Google Scholar] [CrossRef]
- Lamprecht, P.; Wieczorek, S.; Epplen, J.T.; Ambrosch, P.; Kallenberg, C.G. Granuloma formation in ANCA-associated vasculitides. APMIS 2009, 117, 32–36. [Google Scholar] [CrossRef]
- Henderson, S.R.; Horsley, H.; Frankel, P.; Khosravi, M.; Goble, T.; Carter, S.; Antonelou, M.; Evans, R.D.R.; Zhang, X.; Chu, T.-Y.; et al. Proteinase 3 promotes formation of multinucleated giant cells and granuloma-like structures in patients with granulomatosis with polyangiitis. Ann. Rheum. Dis. 2023, 82, 848–856. [Google Scholar] [CrossRef] [PubMed]
- Voswinkel, J.; Muller, A.; Lamprecht, P. Is PR3-ANCA formation initiated in Wegener’s granulomatosis lesions? Granulomas as potential lymphoid tissue maintaining autoantibody production. Ann. N. Y. Acad. Sci. 2005, 1051, 12–19. [Google Scholar] [CrossRef]
- Kitching, A.R.; Anders, H.J.; Basu, N.; Brouwer, E.; Gordon, J.; Jayne, D.R.; Kullman, J.; Lyons, P.A.; Merkel, P.A.; Savage, C.O.S.; et al. ANCA-Associated Vasculitis. Nat. Rev. Dis. Prim. 2020, 6, 45. [Google Scholar] [CrossRef] [PubMed]
- Müller, A.; Krause, B.; Kerstein-Stähle, A.; Comdühr, S.; Klapa, S.; Ullrich, S.; Holl-Ulrich, K.; Lamprecht, P. Granulomatous Inflammation in ANCA-Associated Vasculitis. Int. J. Mol. Sci. 2021, 22, 6474. [Google Scholar] [CrossRef] [PubMed]
- Kienle, K.; Lämmermann, T. Neutrophil Swarming: An Essential Process of the Neutrophil Tissue Response. Immunol. Rev. 2016, 273, 76–93. [Google Scholar] [CrossRef]
- Delgado-Rizo, V.; Martínez-Guzmán, M.A.; Iñiguez-Gutierrez, L.; García-Orozco, A.; Alvarado-Navarro, A.; Fafutis-Morris, M. Neutrophil Extracellular Traps and Its Implications in Inflammation: An Overview. Front. Immunol. 2017, 8, 81. [Google Scholar] [CrossRef]
- Singh, H.; Kumar, U.; Senapati, S. Translational implications of humoral and cellular immune dysfunction in granulomatosis with polyangiitis. Cytokine 2023, 164, 156154. [Google Scholar] [CrossRef]
- Herbath, M.; Fabry, Z.; Sandor, M. Current concepts in granulomatous immune responses. Biol. Futur. 2021, 72, 61–68. [Google Scholar] [CrossRef]
- Wen, Y.; Luo, Y.J.C. Prognostic Factors in Patients with Granulomatosis with Polyangiitis Requiring Hospitalization—A 10 Year Nationwide Analysis. In Arthritis & Rheumatology; Wiley: Hoboken, NJ, USA, 2017; Volume 69. [Google Scholar]
- Grygiel-Górniak, B.; Limphaibool, N.; Perkowska, K.; Puszczewicz, M. Clinical manifestations of granulomatosis with polyangiitis: Key considerations and major features. Postgrad. Med. 2018, 130, 581–596. Available online: https://www.tandfonline.com/doi/full/10.1080/00325481.2018.1503920 (accessed on 1 March 2023). [CrossRef]
- Wójcik, K.; Wawrzycka-Adamczyk, K.; Włudarczyk, A.; Sznajd, J.; Zdrojewski, Z.; Masiak, A.; Czuszyńska, Z.; Majdan, M.; Jeleniewicz, R.; Klinger, M.; et al. Clinical characteristics of Polish patients with ANCA-associated vasculitides—Retrospective analysis of POLVAS registry. Clin. Rheumatol. 2019, 38, 2553–2563. Available online: http://link.springer.com/10.1007/s10067-019-04538-w (accessed on 1 March 2023). [CrossRef]
- King, C.; Druce, K.L.; Nightingale, P.; Kay, E.; Basu, N.; Salama, A.D.; Harper, L. Predicting relapse in anti-neutrophil cytoplasmic antibody-associated vasculitis: A Systematic review and meta-analysis. Rheumatol. Adv. Pract. 2021, 5, rkab018. Available online: https://academic.oup.com/rheumap/article/doi/10.1093/rap/rkab018/6164942 (accessed on 1 March 2023). [CrossRef] [PubMed]
- He, P.; Hu, J.; Tian, X.; He, L.; Sun, S.; Huang, C. Prevalence and risk factors of relapse in patients with ANCA-associated vasculitis receiving cyclophosphamide induction: A systematic review and meta-analysis of large observational studies. Rheumatology 2021, 60, 1067–1079. Available online: https://academic.oup.com/rheumatology/article/60/3/1067/6008980 (accessed on 1 March 2023). [CrossRef]
- Brożek-Mądry, E.; Szopiński, K.; Życińska, K.; Krzeski, A. Granulomatosis with Polyangiitis and Nasal Involvement—What Radiological Markers Point the Disease. Polish Arch. Intern. Med. 2021, 131, 649–657. Available online: https://www.mp.pl/paim/issue/article/15998 (accessed on 1 March 2023). [CrossRef]
- Kiessling, P.T.; Marinelli, J.P.; Peters, P.A.; DeLone, D.R.; Lane, J.I.; Koster, M.J.; Carlson, M.L. Cranial Base Manifestations of Granulomatosis with Polyangiitis. Otolaryngol. Neck Surg. 2020, 162, 666–673. Available online: http://journals.sagepub.com/doi/10.1177/0194599820912025 (accessed on 1 March 2023). [CrossRef] [PubMed]
- Wawrzecka, A.; Szymańska, A.; Jeleniewicz, R.; Szymański, M. Granulomatosis with Polyangiitis with Bilateral Facial Palsy and Severe Mixed Hearing Loss. Case Rep. Otolaryngol. 2016, 2016, 1–4. Available online: http://www.hindawi.com/journals/criot/2016/5206170/ (accessed on 1 March 2023). [CrossRef]
- Maranhão, A.S.; Chen, V.G.; Rossini, B.A.; Testa, J.R.; Penido, N.D. Mastoidite e paralisia facial como manifestações iniciais de Granulomatose de Wegener. Braz. J. Otorhinolaryngol. 2012, 78, 80–86. Available online: http://www.scielo.br/scielo.php?script=sci_arttext&pid=S1808-86942012000200013&lng=pt&nrm=iso&tlng=en (accessed on 1 March 2023). [CrossRef]
- Iannella, G.; Greco, A.; Granata, G.; Manno, A.; Pasquariello, B.; Angeletti, D.; Didona, D.; Magliulo, G. Granulomatosis with polyangiitis and facial palsy: Literature review and insight in the autoimmune pathogenesis. Autoimmun. Rev. 2016, 15, 621–631. Available online: https://linkinghub.elsevier.com/retrieve/pii/S1568997216300313 (accessed on 1 March 2023). [CrossRef] [PubMed]
- Liu, S.; Xu, Y.; Li, N.; Chen, S.; Zhang, S.; Peng, L.; Bai, W.; Wang, J.; Gao, J.; Zeng, X.; et al. Pituitary Involvement in Granulomatosis with Polyangiitis: A Retrospective Analysis in a Single Chinese Hospital and a Literature Review. Int. J. Endocrinol. 2019, 2019, 2176878. Available online: https://www.hindawi.com/journals/ije/2019/2176878/ (accessed on 1 March 2023). [CrossRef] [PubMed]
- Simon, F.P.; Stenner, M.; Beutner, D.; Laudes, M.; Peter Klussmann, J. Fatal course of Wegener’s granulomatosis with bilateral otomastoiditis and bilateral facial nerve palsy. Otolaryngol. Neck Surg. 2008, 138, 799–800. Available online: http://journals.sagepub.com/doi/10.1016/j.otohns.2007.12.045 (accessed on 1 March 2023). [CrossRef]
- Jayne, D.R.W.; Merkel, P.A.; Schall, T.J.; Bekker, P.; ADVOCATE Study Group. Avacopan for the Treatment of ANCA-Associated Vasculitis. N. Engl. J. Med. 2021, 384, 599–609. [Google Scholar] [CrossRef]
- van Leeuwen, J.R.; Popov, T.; Obergfell, A.; Rabelink, T.J.; Teng, Y.K.O. Preliminary Assessment of Safety and Tolerability of Avacopan during the Early Access Program for ANCA-Associated Vasculitis. Biologics 2023, 17, 11–14. [Google Scholar] [CrossRef] [PubMed]
- Peters, J.E.; Gupta, V.; Saeed, I.T.; Offiah, C.; Jawad, A.S.M. Severe localised granulomatosis with polyangiitis (Wegener’s granulomatosis) manifesting with extensive cranial nerve palsies and cranial diabetes insipidus: A case report and literature review. BMC Neurol. 2018, 18, 59. Available online: https://bmcneurol.biomedcentral.com/articles/10.1186/s12883-018-1058-8 (accessed on 1 March 2023). [CrossRef] [PubMed]
- Mueller, A.; Holl-Ulrich, K.; Gross, W.L. Granuloma in ANCA-Associated Vasculitides: Another Reason to Distinguish Between Syndromes? Curr. Rheumatol. Rep. 2013, 15, 376. Available online: http://link.springer.com/10.1007/s11926-013-0376-5 (accessed on 1 March 2023). [CrossRef] [PubMed]
- Jenette, C.J.; Falk, R.J. L1. Pathogenesis of ANCA-associated vasculitis: Observations, theories and speculations. Presse Med. 2013, 42, 493–498. Available online: https://linkinghub.elsevier.com/retrieve/pii/S0755498213000523 (accessed on 1 March 2023). [CrossRef] [PubMed]
- Holle, J.U.; Dubrau, C.; Herlyn, K.; Heller, M.; Ambrosch, P.; Noelle, B.; Reinhold-Keller, E.; Gross, W.L. Rituximab for refractory granulomatosis with polyangiitis (Wegener’s granulomatosis): Comparison of efficacy in granulomatous versus vasculitic manifestations. Ann. Rheum. Dis. 2012, 71, 327–333. Available online: https://ard.bmj.com/lookup/doi/10.1136/ard.2011.153601 (accessed on 1 March 2023). [CrossRef] [PubMed]
- Martinez Del Pero, M.; Chaudhry, A.; Jones, R.B.; Sivasothy, P.; Jani, P.; Jayne, D. B-cell depletion with rituximab for refractory head and neck Wegener’s granulomatosis: A cohort study. Clin. Otolaryngol. 2009, 34, 328–335. Available online: https://onlinelibrary.wiley.com/doi/10.1111/j.1749-4486.2009.01968.x (accessed on 1 March 2023). [CrossRef]
- Cortazar, F.B.; Muhsin, S.A.; Pendergraft, W.F.; Wallace, Z.S.; Dunbar, C.; Laliberte, K.; Niles, J.L. Combination Therapy With Rituximab and Cyclophosphamide for Remission Induction in ANCA Vasculitis. Kidney Int. Rep. 2018, 3, 394–402. Available online: https://linkinghub.elsevier.com/retrieve/pii/S2468024917304394 (accessed on 1 March 2023). [CrossRef]
- McAdoo, S.P.; Medjeral-Thomas, N.; Gopaluni, S.; Tanna, A.; Mansfield, N.; Galliford, J.; Griffith, M.; Levy, J.; Cairns, T.D.; Jayne, D.; et al. Long-term follow-up of a combined rituximab and cyclophosphamide regimen in renal anti-neutrophil cytoplasm antibody-associated vasculitis. Nephrol. Dial. Transplant. 2019, 34, 63–73. [Google Scholar] [CrossRef]
- Kim, S.H.; Jung, A.R.; Kim, S.I.; Yeo, S.G. Refractory Granulomatosis with Polyangiitis Presenting as Facial Paralysis and Bilateral Sudden Deafness. J. Audiol. Otol. 2016, 20, 55–58. [Google Scholar] [CrossRef][Green Version]
- Bear, Z.W.; Mikulec, A.A. Intratympanic steroid therapy for treatment of idiopathic sudden sensorineural hearing loss. Mo. Med. 2014, 111, 352–356. [Google Scholar]
- Carpentier, A.S.; Riehm, S.; Charpiot, A.; Onea, A.; Debry, C.; Schultz, P. Wegener’s granulomatosis of the temporal bone and skull base that mimicked an inflammatory myofibroblastic tumour: A case report. B-ENT 2010, 6, 135–138. [Google Scholar] [PubMed]
- Sharma, A.; Deshmukh, S.; Shaikh, A.; Dabholkar, J. Wegener’s granulomatosis mimicking skull base osteomyelitis. J. Laryngol. Otol. 2012, 126, 203–206. [Google Scholar] [CrossRef] [PubMed]
- Bernat, A.L.; Lefevre, E.; Sène, D.; Herman, P.; Biassette, H.A.; Froelich, S. Management Scheme for Cerebral Wegener Granulomatosis: An Unusual Pseudotumoral Skull Base Pathology. World Neurosurg. 2016, 96, 608.e13–608.e16. [Google Scholar] [CrossRef]
- Andrews, J.T.; Kountakis, S.E. Wegener’s granulomatosis of the skull base. Am. J. Otolaryngol. 1996, 17, 349–352. [Google Scholar] [CrossRef] [PubMed]
- Qureshi, H.A.; Bandhlish, A.; DeConde, R.P.; Humphreys, I.M.; Abuzeid, W.M.; Jafari, A. Initial Presentation of Granulomatosis with Polyangiitis as Progressive Skull Base Osteomyelitis. ORL J. Otorhinolaryngol. Relat. Spec. 2022, 84, 342–346. [Google Scholar] [CrossRef]
- Kim, S.; Johnson, S.M.; Lopez, E.; Stack, T.; Lamb, M.M.; Zeatoun, A.L.; Mohammad, I.; Alicea Delgado, D.; Norris, M.; Klatt-Cromwell, C.; et al. Granulomatosis with Polyangiitis Presenting as an Infratemporal Fossa Mass. Clin. Med. Insights Case Rep. 2023, 23, 11795476231161982. [Google Scholar] [CrossRef]










Disclaimer/Publisher’s Note: The statements, opinions and data contained in all publications are solely those of the individual author(s) and contributor(s) and not of MDPI and/or the editor(s). MDPI and/or the editor(s) disclaim responsibility for any injury to people or property resulting from any ideas, methods, instructions or products referred to in the content. |
© 2023 by the authors. Licensee MDPI, Basel, Switzerland. This article is an open access article distributed under the terms and conditions of the Creative Commons Attribution (CC BY) license (https://creativecommons.org/licenses/by/4.0/).
Share and Cite
Bonek, K.; Brożek-Mądry, E.; Wroński, J.; Płaza, M.; Zielińska, A.; Helon, K.; Wójcik, K.; Wisłowska, M. Combination Treatment of Locoregionally Aggressive Granulomatosis with Polyangiitis and Cranial Base Infiltration. Brain Sci. 2023, 13, 1140. https://doi.org/10.3390/brainsci13081140
Bonek K, Brożek-Mądry E, Wroński J, Płaza M, Zielińska A, Helon K, Wójcik K, Wisłowska M. Combination Treatment of Locoregionally Aggressive Granulomatosis with Polyangiitis and Cranial Base Infiltration. Brain Sciences. 2023; 13(8):1140. https://doi.org/10.3390/brainsci13081140
Chicago/Turabian StyleBonek, Krzysztof, Eliza Brożek-Mądry, Jakub Wroński, Mateusz Płaza, Agnieszka Zielińska, Katarzyna Helon, Krzysztof Wójcik, and Małgorzata Wisłowska. 2023. "Combination Treatment of Locoregionally Aggressive Granulomatosis with Polyangiitis and Cranial Base Infiltration" Brain Sciences 13, no. 8: 1140. https://doi.org/10.3390/brainsci13081140
APA StyleBonek, K., Brożek-Mądry, E., Wroński, J., Płaza, M., Zielińska, A., Helon, K., Wójcik, K., & Wisłowska, M. (2023). Combination Treatment of Locoregionally Aggressive Granulomatosis with Polyangiitis and Cranial Base Infiltration. Brain Sciences, 13(8), 1140. https://doi.org/10.3390/brainsci13081140

