Dentin–Pulp Complex Response in Molars of Rats after Occlusal and Cervical Restorations with Conventional Glass Ionomer Cement and Nano-Hydroxyapatite Silica Glass Ionomer Cement
Abstract
1. Introduction
2. Materials and Methods
2.1. Materials
2.2. Operative Procedures
2.3. Cavity Preparation and Restoration
2.4. Animal Sacrifice and Histopathological Procedure
2.5. Histological Assessment of Dentine Pulp Complex (DPC) Response
2.6. Statistical Analysis
3. Results
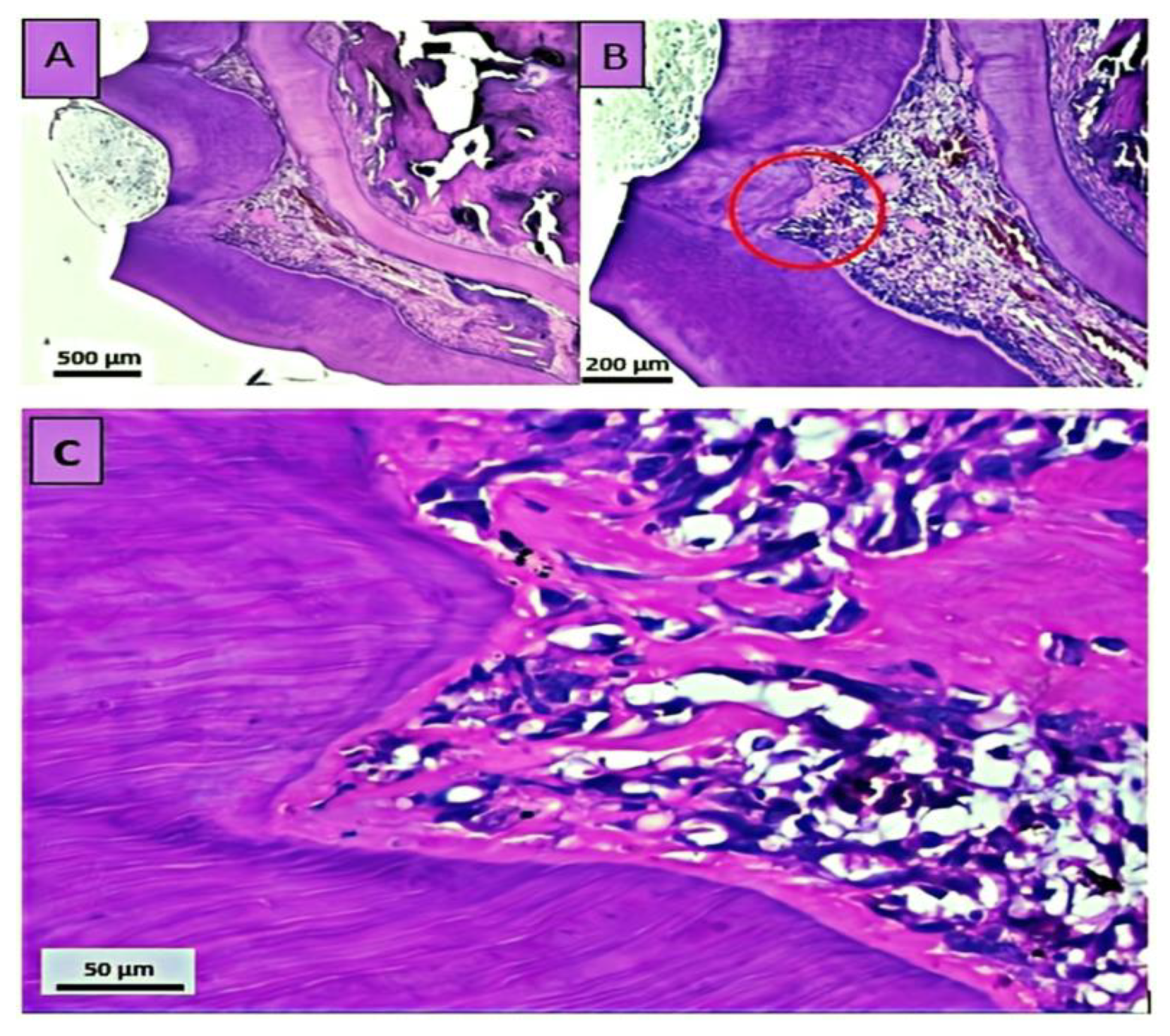
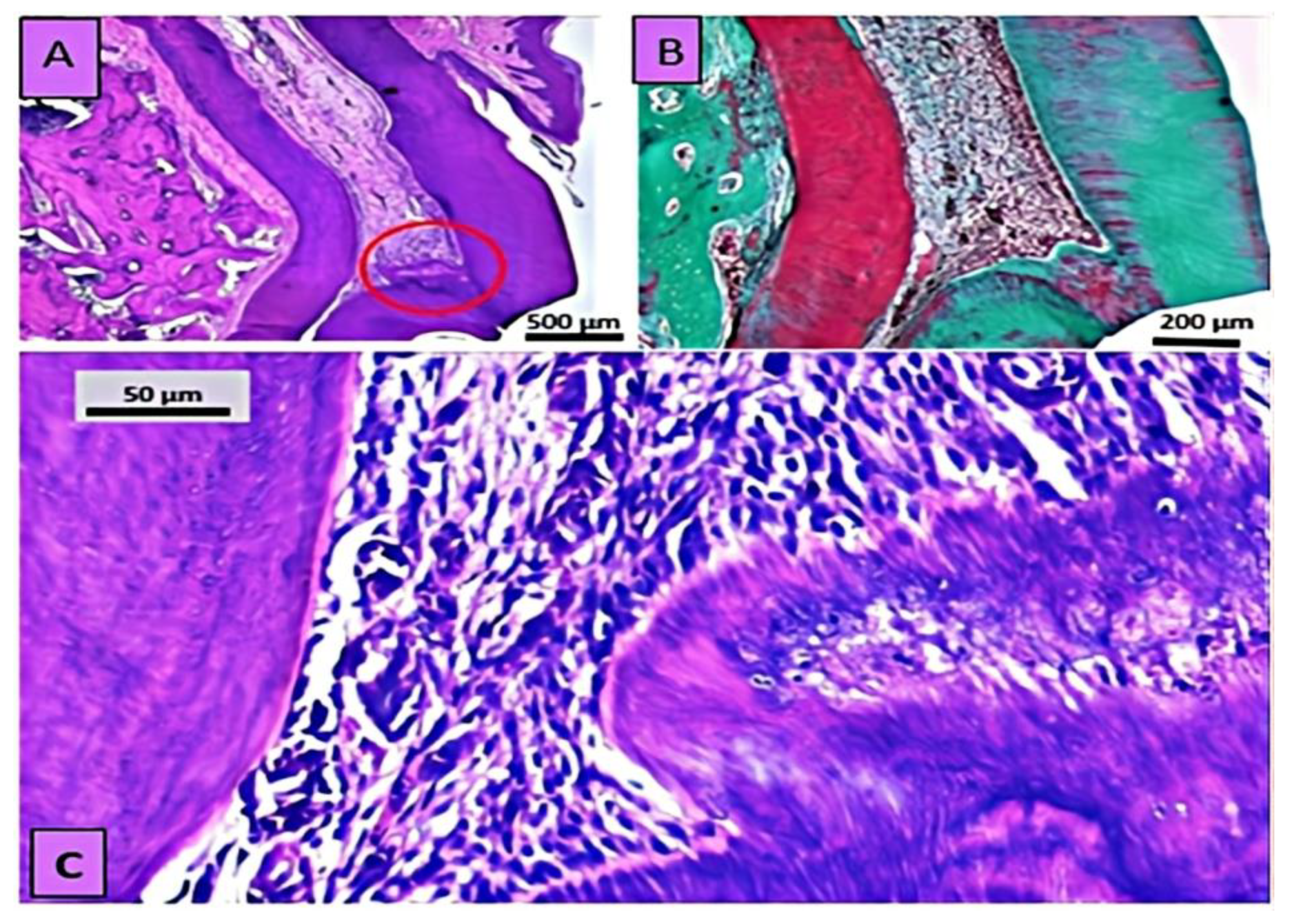
3.1. Dentine Pulp Complex Response
3.1.1. Pulp Tissue Disorganization
3.1.2. Inflammatory Cell Infiltration
3.1.3. Bacterial Detection
3.1.4. Residual Dentin Thickness and Tertiary Dentin Formation
4. Discussion
5. Conclusions
Author Contributions
Funding
Institutional Review Board Statement
Informed Consent Statement
Data Availability Statement
Acknowledgments
Conflicts of Interest
References
- Li, Z.; Liu, L.; Wang, L.; Song, D. The effects and potential applications of concentrated growth factor in dentin-pulp complex regeneration. Stem Cell Res. Ther. 2021, 12, 357. [Google Scholar] [CrossRef]
- Berman, L.; Hargreaves, K. Cohen’s Pathways of the Pulp-E-Book; Elsevier Health Sciences: Amsterdam, The Netherlands, 2020. [Google Scholar]
- Zhang, L.; Chen, Z. Autophagy in the dentin-pulp complex against inflammation. Oral Dis. 2018, 24, 11–13. [Google Scholar] [CrossRef]
- Ferracane, J.; Cooper, P.; Smith, A. Can interaction of materials with the dentin-pulp complex contribute to dentin regeneration? Odontology 2010, 98, 2–14. [Google Scholar] [CrossRef]
- Amin, F.; Rahman, S.; Khurshid, Z.; Zafar, M.; Sefat, F.; Kumar, N. Effect of Nanostructures on the Properties of Glass Ionomer Dental Restoratives/Cements: A Comprehensive Narrative Review. Materials 2021, 14, 6260. [Google Scholar] [CrossRef]
- Mickenautsch, S.; Yengopal, V.; Banerjee, A. Pulp response to resin-modified glass ionomer and calcium hydroxide cements in deep cavities: A quantitative systematic review. Dent. Mater. 2010, 26, 761–770. [Google Scholar] [CrossRef]
- Scholtanus, J.; Huysmans, M. Clinical failure of class-II restorations of a highly viscous glass-ionomer material over a 6-year period: A retrospective study. J. Dent. 2007, 35, 156–162. [Google Scholar] [CrossRef]
- Farrugia, C.; Camilleri, J. Antimicrobial properties of conventional restorative filling materials and advances in antimicrobial properties of composite resins and glass ionomer cements—A literature review. Dent. Mater. 2015, 31, e89–e99. [Google Scholar] [CrossRef]
- Berg, J.; Croll, T. Glass ionomer restorative cement systems: An update. Pediatr. Dent. 2015, 37, 116–124. [Google Scholar]
- Kumar, R.S.; Ravikumar, N.; Kavitha, S.; Mahalaxmi, S.; Jayasree, R.; Kumar, T.S.; Haneesh, M. Nanochitosan modified glass ionomer cement with enhanced mechanical properties and fluoride release. Int. J. Biol. Macromol. 2017, 104 Pt B, 1860–1865. [Google Scholar] [CrossRef]
- Beyth, N.; Houri-Haddad, Y.; Baraness-Hadar, L.; Yudovin-Farber, I.; Domb, A.; Weiss, E. Surface antimicrobial activity and biocompatibility of incorporated polyethylenimine nanoparticles. Biomaterials 2008, 29, 4157–4163. [Google Scholar] [CrossRef]
- Zhou, J.; Xu, Q.; Fan, C.; Ren, H.; Xu, S.; Hu, F.; Wang, L.; Yang, K.; Ji, Q. Characteristics of chitosan-modified glass ionomer cement and their effects on the adhesion and proliferation of human gingival fibroblasts: An in vitro study. J. Mater. Sci. Mater. Med. 2019, 30, 39. [Google Scholar] [CrossRef] [PubMed]
- Paiva, L.; Fidalgo, T.; da Costa, L.; Maia, L.; Balan, L.; Anselme, K.; Ploux, L.; Thiré, R. Antibacterial properties and compressive strength of new one-step preparation silver nanoparticles in glass ionomer cements (NanoAg-GIC). J. Dent. 2018, 69, 102–109. [Google Scholar] [CrossRef] [PubMed]
- Kantovitz, K.; Fernandes, F.; Feitosa, I.; Lazzarini, M.; Denucci, G.; Gomes, O.; Giovani, P.; Moreira, K.; Pecorari, V.; Borges, A.; et al. TiO2 nanotubes improve physico-mechanical properties of glass ionomer cement. Dent. Mater. 2020, 36, e85–e92. [Google Scholar] [CrossRef] [PubMed]
- Moheet, I.; Luddin, N.; Rahman, I.; Kannan, T.; Ghani, N.N.A.; Masudi, S. Modifications of Glass Ionomer Cement Powder by Addition of Recently Fabricated Nano-Fillers and Their Effect on the Properties: A Review. Eur. J. Dent. 2019, 13, 470–477. [Google Scholar] [CrossRef] [PubMed]
- Sasaki, J.; Kiba, W.; Abe, G.; Katata, C.; Hashimoto, M.; Kitagawa, H.; Imazato, S. Fabrication of strontium-releasable inorganic cement by incorporation of bioactive glass. Dent. Mater. 2019, 35, 780–788. [Google Scholar] [CrossRef] [PubMed]
- Garcia, I.; Leitune, V.; Balbinot, G.; Samuel, S.; Collares, F. Influence of niobium pentoxide addition on the properties of glass ionomer cements. Acta Biomater. Odontol. Scand. 2016, 2, 138–143. [Google Scholar] [CrossRef] [PubMed]
- Mabrouk, M.; Selim, M.; Beherei, H.; El-Gohary, M. Effect of incorporation of nano bioactive silica into commercial Glass Ionomer Cement (GIC). J. Genet. Eng. Biotechnol. 2012, 10, 113–119. [Google Scholar] [CrossRef]
- Huang, S.; Gao, S.; Cheng, L.; Yu, H. Remineralization potential of nano-hydroxyapatite on initial enamel lesions: An in vitro study. Caries Res. 2011, 45, 460–468. [Google Scholar] [CrossRef]
- Moshaverinia, A.; Ansari, S.; Movasaghi, Z.; Billington, R.; Darr, J.; Rehman, I. Modification of conventional glass-ionomer cements with N-vinylpyrrolidone containing polyacids, nano-hydroxy and fluoroapatite to improve mechanical properties. Dent. Mater. 2008, 24, 1381–1390. [Google Scholar] [CrossRef]
- Rahman, I.; MASUDI, S.; Luddin, N.; Shiekh, R. One-pot synthesis of hydroxyapatite–silica nanopowder composite for hardness enhancement of glass ionomer cement (GIC). Bull. Mater. Sci. 2014, 37, 213–219. [Google Scholar] [CrossRef]
- Tamilselvi, R.; Dakshinamoorthy, M.; Arumugam, K.; Sathyapriya, B.; Lakshmanan, P. Effect of CPP ACP and Nano Hydroxyapatite Incorporated GIC on Remineralization of Dentin. Indian J. Public Health Res. Dev. 2019, 10, 936–941. [Google Scholar] [CrossRef]
- Moheet, I.; Luddin, N.; Rahman, I.A.; Masudi, S.; Kannan, T.; Ghani, N.N.A. Analysis of Ionic-Exchange of Selected Elements between Novel Nano-Hydroxyapatite-Silica Added Glass Ionomer Cement and Natural Teeth. Polymers 2021, 13, 3504. [Google Scholar] [CrossRef] [PubMed]
- Noorani, T.; Luddin, N.; Rahman, I.; Masudi, S. In vitro cytotoxicity evaluation of novel nano-hydroxyapatite-silica incorporated glass ionomer cement. J. Clin. Diagn. Res. JCDR 2017, 11, ZC105. [Google Scholar] [CrossRef] [PubMed]
- Hii, S.; Luddin, N.; Kannan, T.; Rahman, I.A.; Ghani, N.N.A. The Biological Evaluation of Conventional and Nano-Hydroxyapatite-Silica Glass Ionomer Cement on Dental Pulp Stem Cells: A Comparative Study. Contemp. Clin. Dent. 2019, 10, 324–332. [Google Scholar] [PubMed]
- Sert, N.P.; Hurst, V.; Ahluwalia, A.; Alam, S.; Avey, M.; Baker, M.; Browne, W.; Clark, A.; Cuthill, I.; Dirnagl, U.; et al. The ARRIVE guidelines 2019: Updated guidelines for reporting animal research. bioRxiv 2019, 703181. [Google Scholar] [CrossRef]
- Li, F.; Wang, P.; Weir, M.; Fouad, A.; Xu, H. Evaluation of antibacterial and remineralizing nanocomposite and adhesive in rat tooth cavity model. Acta Biomater. 2014, 10, 2804–2813. [Google Scholar] [CrossRef]
- Rendjova, V.; Gjorgoski, I.; Ristoski, T.; Apostolska, S. In vivo study of pulp reaction to glass ionomer cements and dentin adhesives. Prilozi 2012, 33, 265–277. [Google Scholar]
- Six, N.; Lasfargues, J.; Goldberg, M. In vivo study of the pulp reaction to Fuji IX, a glass ionomer cement. J. Dent. 2000, 28, 413–422. [Google Scholar] [CrossRef]
- Trongkij, P.H.; Sutimuntanakul, S.; Lapthanasupkul, P.; Chaimanakarn, C.; Wong, R.H.; Banomyong, D. Pulpal responses after direct pulp capping with two calcium-silicate cements in a rat model. Dent. Mater. J. 2019, 38, 584–590. [Google Scholar] [CrossRef]
- De Souza Costa, C.A.; Giro, E.M.A.; do Nascimento, A.B.L.; Teixeira, H.M.; Hebling, J. Short-term evaluation of the pulpo-dentin complex response to a resin-modified glass-ionomer cement and a bonding agent applied in deep cavities. Dent. Mater. 2003, 19, 739–746. [Google Scholar] [CrossRef]
- Von Böhl, M.; Ren, Y.; Kuijpers-Jagtman, A.; Fudalej, P.; Maltha, J. Age-related changes of dental pulp tissue after experimental tooth movement in rats. PeerJ 2016, 4, e1625. [Google Scholar] [CrossRef]
- Dammaschke, T. Rat molar teeth as a study model for direct pulp capping research in dentistry. Lab. Anim. 2010, 44, 1–6. [Google Scholar] [CrossRef]
- Ohshima, H. Ultrastructural changes in odontoblasts and pulp capillaries following cavity preparation in rat molars. Arch. Histol. Cytol. 1990, 53, 423–438. [Google Scholar] [CrossRef]
- Korwar, A.; Sharma, S.; Logani, A.; Shah, N. Pulp response to high fluoride releasing glass ionomer, silver diamine fluoride, and calcium hydroxide used for indirect pulp treatment: An in-vivo comparative study. Contemp. Clin. Dent. 2015, 6, 288–292. [Google Scholar]
- Sveen, O.; Hawes, R. Differentiation of new odontoblasts and dentine bridge formation in rat molar teeth after tooth grinding. Arch. Oral Biol. 1968, 13, 1399–1409. [Google Scholar] [CrossRef]
- Stanislawski, L.; Daniau, X.; Lauti, A.; Goldberg, M. Factors responsible for pulp cell cytotoxicity induced by resin-modified glass ionomer cements. J. Biomed. Mater. Res. 1999, 48, 277–288. [Google Scholar] [CrossRef]
- Lan, W.; Lan, W.; Wang, T.; Lee, Y.; Tseng, W.; Lin, C.; Jeng, J.; Chang, M. Cytotoxicity of conventional and modified glass ionomer cements. Oper. Dent. 2003, 28, 251–259. [Google Scholar] [PubMed]
- Ribeiro, A.; Sacono, N.; Soares, D.; Bordini, E.; de Souza Costa, C.; Hebling, J. Human pulp response to conventional and resin-modified glass ionomer cements applied in very deep cavities. Clin. Oral Investig. 2020, 24, 1739–1748. [Google Scholar] [CrossRef] [PubMed]
- Padovani, G.C.; Feitosa, V.P.; Sauro, S.; Tay, F.R.; Durán, G.; Paula, A.J.; Durán, N. Advances in Dental Materials through Nanotechnology: Facts, Perspectives and Toxicological Aspects. Trends Biotechnol. 2015, 33, 621–636. [Google Scholar] [CrossRef] [PubMed]
- Feng, X.; Chen, A.; Zhang, Y.; Wang, J.; Shao, L.; Wei, L. Application of dental nanomaterials: Potential toxicity to the central nervous system. Int. J. Nanomed. 2015, 10, 3547. [Google Scholar]
- Shiekh, R.; Rahman, I.A.; Luddin, N. Modification of glass ionomer cement by incorporating hydroxyapatite-silica nano-powder composite: Sol–gel synthesis and characterization. Ceram. Int. 2014, 40, 3165–3170. [Google Scholar] [CrossRef]
- Cooper, P.; Takahashi, Y.; Graham, L.; Simon, S.; Imazato, S.; Smith, A. Inflammation–regeneration interplay in the dentine–pulp complex. J. Dent. 2010, 38, 687–697. [Google Scholar] [CrossRef]
- Lovschall, H.; Fejerskov, O.; Josephsen, K. Age-related and site-specific changes in the pulpodentinal morphology of rat molars. Arch. Oral Biol. 2002, 47, 361–367. [Google Scholar] [CrossRef] [PubMed]
- Gotjamanos, T. Pulp response in primary teeth with deep residual caries treated with silver fluoride and glass ionomer cement (‘atraumatic’technique). Aust. Dent. J. 1996, 41, 328–334. [Google Scholar] [CrossRef] [PubMed]
- Hirata, M.; Yamaza, T.; Mei, Y.; Akamine, A. Expression of osteocalcin and Jun D in the early period during reactionary dentin formation after tooth preparation in rat molars. Cell Tissue Res. 2005, 319, 455–465. [Google Scholar] [CrossRef]
- Ching, H.S.; Ponnuraj, K.T.; Luddin, N.; Rahman, I.A.; Ghani, N.N.A. Early Odontogenic Differentiation of Dental Pulp Stem Cells Treated with Nanohydroxyapatite–Silica–Glass Ionomer Cement. Polymers 2020, 12, 2125. [Google Scholar] [CrossRef]
- Yap, A.; Pek, Y.; Kumar, R.; Cheang, P.; Khor, K. Experimental studies on a new bioactive material: HAIonomer cements. Biomaterials 2002, 23, 955–962. [Google Scholar] [CrossRef]
- Wang, R.; Wang, Q.; Wang, X.; Tian, L.; Liu, H.; Zhao, M.; Peng, C.; Cai, Q.; Shi, Y. Enhancement of nano-hydroxyapatite bonding to dentin through a collagen/calcium dual-affinitive peptide for dentinal tubule occlusion. J. Biomater. Appl. 2014, 29, 268–277. [Google Scholar] [CrossRef]
- Moheet, I.; Luddin, N.; Rahman, I.A.; Masudi, S.; Kannan, T.; Ghani, N.A. Evaluation of mechanical properties and bond strength of nano-hydroxyapatite-silica added glass ionomer cement. Ceram. Int. 2018, 44, 9899–9906. [Google Scholar] [CrossRef]
- Ghani, N.; Sazri, A.; Yee, C.; Luddin, N.; Ponnuraj, K. Genotoxicity evaluation of locally produced nano-hydroxyapatite-silica: An in vitro study using the bacterial reverse mutation test. Dent. Med. Res. 2019, 7, 12. [Google Scholar] [CrossRef]
- Murugan, R.; Yazid, F.; Nasruddin, N.; Anuar, N. Effects of Nanohydroxyapatite Incorporation into Glass Ionomer Cement (GIC). Minerals 2021, 12, 9. [Google Scholar] [CrossRef]







| Score | Histological Characterization |
|---|---|
| A | Pulp tissue disorganization |
| 0 | Normal tissue |
| 1 | Odontoblastic layer disorganized but normal central pulp |
| 2 | Disorganization of pulp tissue morphology |
| 3 | Pulp necrosis |
| B | Inflammatory cell infiltration |
| 0 | None or few scattered inflammatory cells present in the pulp area corresponding to the pulpal/axial wall, characteristic of normal connective tissue |
| 1 | Mild inflammatory cell infiltrate with polymorphonuclear (PMNs) or mononuclear leukocytes (MNLs) |
| 2 | Moderate inflammatory cell infiltrate involving the coronal pulp |
| 3 | Severe inflammatory cell infiltrate involving the coronal pulp or characterizing abscess |
| C | Bacterial detection |
| 0 | Absent or few scattered bacteria next to the area of pulp exposure or newly formed tertiary dentin |
| 1 | Presence of bacteria with a clearly visible amount in the coronal pulp |
| D | Tertiary dentin deposition |
| 0 | No or very mild tertiary dentin deposition (0–49 µm = Grade 0) |
| 1 | Initial tertiary dentin deposition extending to not more than one-half of the cavity floor (50–99 µm = Grade 1) |
| 2 | Moderate tertiary dentin deposition extending to more than one-half of the cavity floor but not completely closing the cavity floor (100–249 µm = Grade 2) |
| 3 | Intense tertiary dentin deposition, extending entirely along the cavity floor (250–500 µm = Grade 3) |
| Study Parameters | Time Interval | c-GIC (n = 8) | Nano-HA-SiO2-GIC (n = 8) | Two-Way ANOVA p ≤ 0.05 |
|---|---|---|---|---|
| Pulp tissue disorganization | 1 week | 1.00 (0.53) | 1.12 (0.64) | 0.317 |
| 1 month | 0.25 (0.46) | 0.62 (1.06) | 0.180 | |
| Inflammatory cell infiltration | 1 week | 0.87 (0.83) | 1.25 (0.70) | 0.083 |
| 1 month | 0.00 (0.00) | 0.85 (1.06) | 0.059 | |
| Bacterial detection | 1 week | 0.00 (0.00) | 0.00 (0.00) | NA |
| 1 month | 0.00 (0.00) | 0.00 (0.00) | NA | |
| Tertiary dentin formation | 1 week | 0.62 (0.74) | 0.75 (0.46) | 0.564 |
| 1 month | 1.00 (0.53) | 1.25 (0.46) | 0.157 |
| Study Parameters | Time Interval | c-GIC (n = 8) | Nano-HA-SiO2-GIC (n = 8) | Two-Way ANOVA p ≤ 0.05 |
|---|---|---|---|---|
| Pulp tissue disorganization | 1 week | 0.75 (0.88) | 0.75 (0.88) | 1.000 |
| 1 month | 0.75 (1.03) | 0.50 (0.75) | 0.157 | |
| Inflammatory cell infiltration | 1 week | 0.50 (0.75) | 1.00 (0.53) | 0.046 * |
| 1 month | 0.70 (0.75) | 0.25 (0.46) | 0.170 | |
| Bacterial detection | 1 week | 0.00 (0.00) | 0.00 (0.00) | NA |
| 1 month | 0.12 (0.35) | 0.00 (0.00) | 0.351 | |
| Tertiary dentin formation | 1 week | 0.75 (0.70) | 0.87 (0.83) | 0.317 |
| 1 month | 2.00 (0.92) | 2.37 (0.91) | 0.083 |
| Occlusal 1 Week | Occlusal 1 Month | Cervical 1 Week | Cervical 1 Month | |
|---|---|---|---|---|
| Mean (SD) | Mean (SD) | Mean (SD) | Mean (SD) | |
| Nano-HA-SiO2-GIC | 96.66 (41.24) | 100.10 (56.53) | 85.82 (17.69) | 219.59 (118.85) |
| c-GIC | 66.21 (43.15) | 78.29 (54.55) | 83.30 (70.34) | 185.72 (112.51) |
| 2nd molar | 31.97 (5.30) | 44.48 (7.79) | 30.70 (21.18) | 23.38 (7.51) |
| p: 0.005 * | p: 0.070 | p: 0.075 | p: 0.001 * |
Disclaimer/Publisher’s Note: The statements, opinions and data contained in all publications are solely those of the individual author(s) and contributor(s) and not of MDPI and/or the editor(s). MDPI and/or the editor(s) disclaim responsibility for any injury to people or property resulting from any ideas, methods, instructions or products referred to in the content. |
© 2023 by the authors. Licensee MDPI, Basel, Switzerland. This article is an open access article distributed under the terms and conditions of the Creative Commons Attribution (CC BY) license (https://creativecommons.org/licenses/by/4.0/).
Share and Cite
Niazi, F.H.; Luddin, N.; Harun, M.H.; Hasan, A.; Kannan, T.P.; Mohamad, S.; Mahmood, A. Dentin–Pulp Complex Response in Molars of Rats after Occlusal and Cervical Restorations with Conventional Glass Ionomer Cement and Nano-Hydroxyapatite Silica Glass Ionomer Cement. Appl. Sci. 2023, 13, 3156. https://doi.org/10.3390/app13053156
Niazi FH, Luddin N, Harun MH, Hasan A, Kannan TP, Mohamad S, Mahmood A. Dentin–Pulp Complex Response in Molars of Rats after Occlusal and Cervical Restorations with Conventional Glass Ionomer Cement and Nano-Hydroxyapatite Silica Glass Ionomer Cement. Applied Sciences. 2023; 13(5):3156. https://doi.org/10.3390/app13053156
Chicago/Turabian StyleNiazi, Fayez Hussain, Norhayati Luddin, Masitah Hayati Harun, Arshad Hasan, Thirumulu Ponnuraj Kannan, Suharni Mohamad, and Amer Mahmood. 2023. "Dentin–Pulp Complex Response in Molars of Rats after Occlusal and Cervical Restorations with Conventional Glass Ionomer Cement and Nano-Hydroxyapatite Silica Glass Ionomer Cement" Applied Sciences 13, no. 5: 3156. https://doi.org/10.3390/app13053156
APA StyleNiazi, F. H., Luddin, N., Harun, M. H., Hasan, A., Kannan, T. P., Mohamad, S., & Mahmood, A. (2023). Dentin–Pulp Complex Response in Molars of Rats after Occlusal and Cervical Restorations with Conventional Glass Ionomer Cement and Nano-Hydroxyapatite Silica Glass Ionomer Cement. Applied Sciences, 13(5), 3156. https://doi.org/10.3390/app13053156

