Textural Analysis Supports Prostate MR Diagnosis in PIRADS Protocol
Abstract
:1. Introduction
- Very low (highly unlikely present clinically significant PCa);
- Low (unlikely clinically significant PCa);
- Intermediate (equivocal presence of PCa disease);
- High (likely present clinically significant PCa);
- Very high (highly likely present clinically significant PCa).
2. Materials and Methods
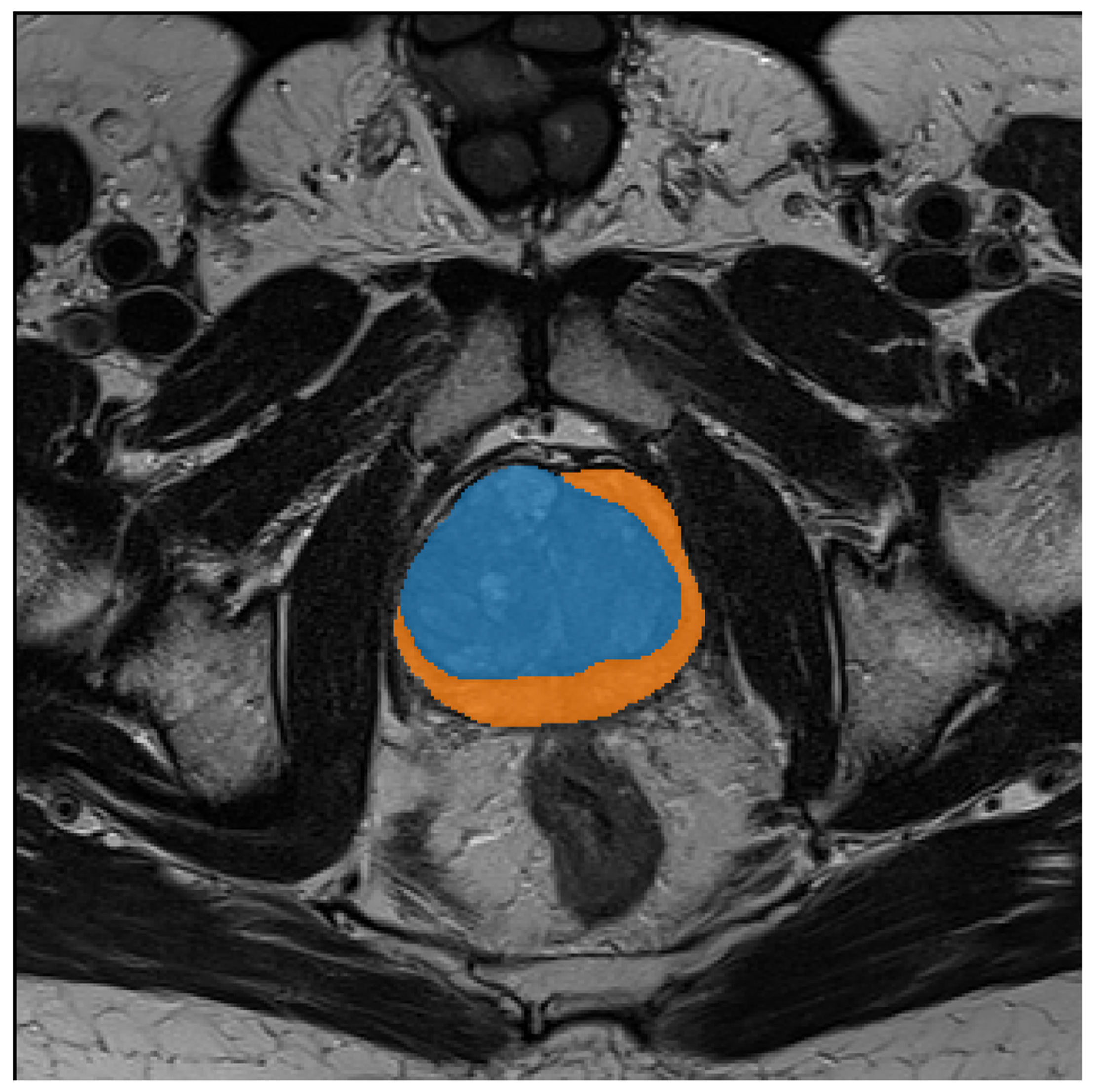
2.1. Prostate MRI Dataset
2.2. Texture Analysis
2.3. Multiple Instance Learning by Support Vector Machine
3. Results
4. Discussion
5. Conclusions
Supplementary Materials
Author Contributions
Funding
Institutional Review Board Statement
Informed Consent Statement
Data Availability Statement
Conflicts of Interest
References
- Culp, M.B.; Soerjomataram, I.; Efstathiou, J.A.; Bray, F.; Jemal, A. Recent Global Patterns in Prostate Cancer Incidence and Mortality Rates. Eur. Urol. 2020, 77, 38. [Google Scholar] [CrossRef] [PubMed]
- Leitzmann, M.F.; Rohrmann, S. Risk factors for the onset of prostatic cancer: Age, location, and behavioral correlates. Clin. Epidemiol. 2012, 4, 1–11. [Google Scholar] [CrossRef]
- Bell, K.J.; Del Mar, C.; Wright, G.; Dickinson, J.; Glasziou, P. Prevalence of incidental prostate cancer: A systematic review of autopsy studies. Int. J. Cancer 2015, 137, 1749. [Google Scholar] [CrossRef] [PubMed]
- Hemminki, K. Familial risk and familial survival in prostate cancer. World J. Urol. 2012, 30, 143. [Google Scholar] [CrossRef]
- Jansson, K.F.; Akre, O.; Garmo, H.; Bill-Axelson, A.; Adolfsson, J.; Stattin, P.; Bratt, O. Con-cordance of tumor differentiation among brothers with prostate cancer. Eur. Urol. 2012, 62, 656. [Google Scholar] [CrossRef]
- Randazzo, M.; Müller, A.; Carlsson, S.; Eberli, D.; Huber, A.; Grobholz, R.; Manka, L.; Mortezavi, A.; Sulser, T.; Recker, F.; et al. A positive family history as a risk factor for prostate cancer in a population-based study with organised prostate-specific antigen screening: Re-sults of the Swiss European Randomised Study of Screening for Prostate Cancer (ERSPC, Aarau). BJU Int. 2016, 117, 576. [Google Scholar] [CrossRef]
- Carvalhal, G.F.; Smith, D.S.; Mager, D.E.; Ramos, C.; Catalona, W.J. Digital rectal examination for detecting prostate cancer at prostate specific antigen levels of 4 ng./mL. or less. J. Urol. 1999, 161, 835. [Google Scholar] [CrossRef]
- Eldred-Evans, D.; Tam, H.; Sokhi, H.; Padhani, A.R.; Winkler, M.; Ahmed, H.U. Rethinking prostate cancer screening: Could MRI be an alternative screening test? Nat. Rev. Urol. 2020, 17, 526–539. [Google Scholar] [CrossRef]
- Nam, R.K.; Wallis, C.J.; Stojcic-Bendavid, J.; Milot, L.; Sherman, C.; Sugar, L.; Haider, M.A. A Pilot Study to Evaluate the Role of Magnetic Resonance Imaging for Prostate Cancer Screening in the General Population. J. Urol. 2016, 196, 361–366. [Google Scholar] [CrossRef]
- Eldred-Evans, D.; Burak, P.; Connor, M.J.; Day, E.; Evans, M.; Fiorentino, F.; Gammon, M.; Hosking-Jervis, F.; Klimowska-Nassar, N.; McGuire, W.; et al. Population-based prostate cancer screening with magnetic resonance imaging or ultrasonography: The IP1-PROSTAGRAM Study. JAMA Oncol. 2021, 7, 395. [Google Scholar] [CrossRef]
- Al Olama, A.A.; Dadaev, T.; Hazelett, D.J.; Li, Q.; Leongamornlert, D.; Saunders, E.J.; Stephens, S.; Cieza-Borrella, C.; Whitmore, I.; Garcia, S.B.; et al. Multiple novel prostate cancer susceptibility signals identified by fine-mapping of known risk loci among Europeans. Hum. Mol. Genet. 2015, 24, 5589. [Google Scholar] [CrossRef] [PubMed]
- Eeles, R.A.; The COGS–Cancer Research UK GWAS–ELLIPSE (part of GAME-ON) Initiative; Al Olama, A.A.; Benlloch, S.; Saunders, E.J.; Leongamornlert, D.; Tymrakiewicz, M.; Ghoussaini, M.; Luccarini, C.; Dennis, J.; et al. Identification of 23 new prostate cancer susceptibility loci using the iCOGS custom genotyping array. Nat. Genet. 2013, 45, 385. [Google Scholar] [CrossRef] [PubMed]
- Schumacher, F.R.; Al Olama, A.A.; Berndt, S.I.; Benlloch, S.; Ahmed, M.; Saunders, E.J.; Dadaev, T.; Leongamornlert, D.; Anokian, E.; Cieza-Borrella, C.; et al. Association analyses of more than 140,000 men identify 63 new prostate cancer susceptibility loci. Nat. Genet. 2018, 50, 928. [Google Scholar] [CrossRef] [PubMed]
- Ewing, C.M.; Ray, A.M.; Lange, E.M.; Zuhlke, K.A.; Robbins, C.M.; Tembe, W.D.; Wiley, K.E.; Isaacs, S.D.; Johng, D.; Wang, Y.; et al. Germline Mutations in HOXB13 and Prostate-Cancer Risk. N. Engl. J. Med. 2012, 366, 141. [Google Scholar] [CrossRef]
- Lynch, H.T.; Kosoko-Lasaki, O.; Leslie, S.W.; Rendell, M.; Shaw, T.; Snyder, C.; D’Amico, A.V.; Buxbaum, S.; Isaacs, W.B.; Loeb, S.; et al. Screening for familial and hereditary prostate cancer. Int. J. Cancer 2016, 138, 2579. [Google Scholar] [CrossRef]
- Giri, V.N.; Knudsen, K.E.; Kelly, W.K.; Cheng, H.H.; Cooney, K.A.; Cookson, M.S.; Dahut, W.; Weissman, S.; Soule, H.R.; Petrylak, D.P.; et al. Implementation of Germline Testing for Prostate Cancer: Philadelphia Prostate Cancer Consensus Conference 2019. J. Clin. Oncol. 2020, 38, 2798. [Google Scholar] [CrossRef]
- Dickinson, L.; Ahmed, H.U.; Allen, C.; Barentsz, J.O.; Carey, B.; Futterer, J.J.; Heijmink, S.W.; Hoskin, P.J.; Kirkham, A.; Padhani, A.R.; et al. Magnetic Resonance Imaging for the Detection, Localisation, and Characterisation of Prostate Cancer: Recommendations from a European Consensus Meeting. Eur. Urol. 2011, 59, 477–494. [Google Scholar] [CrossRef]
- Barentsz, J.O.; Richenberg, J.; Clements, R.; Choyke, P.; Verma, S.; Villeirs, G.; Rouviere, O.; Logager, V.; Fütterer, J.J. European Society of Urogenital Radiology ESUR prostate MR guidelines 2012. Eur. Radiol. 2012, 22, 746–757. [Google Scholar] [CrossRef]
- Walker, S.M.; Türkbey, B. PI-RADSv2.1: Current status. Turk J. Urol. 2021, 47 (Supp. 1), S45–S48. [Google Scholar] [CrossRef]
- Weinreb, J.C.; Barentsz, J.O.; Choyke, P.L.; Cornud, F.; Haider, M.A.; Macura, K.J.; Margolis, D.; Schnall, M.D.; Shtern, F.; Tempany, C.M.; et al. 12 PI-RADS prostate imaging—Reporting and data system: 2015, Version 2. Eur. Urol. 2016, 69, 16–40. [Google Scholar] [CrossRef]
- Zhang, L.; Tang, M.; Chen, S.; Lei, X.; Zhang, X.; Huan, Y. A meta-analysis of use of prostate imaging reporting and data dystem version 2 (PI-RADS V2) with multiparametric MR imaging for the detection of prostate cancer. Eur. Radiol. 2017, 27, 5204–5214. [Google Scholar] [CrossRef] [PubMed]
- Turkbey, B.; Rosenkrantz, A.B.; Haider, M.A.; Padhani, A.R.; Villeirs, G.; Macura, K.J.; Tempany, C.M.; Choyke, P.L.; Cornud, F.; Margolis, D.J.; et al. Prostate imaging reporting and data system version 2.1: 2019 update of prostate im-aging reporting and data system version 2. Eur. Urol. 2019, 76, 340–351. [Google Scholar] [CrossRef]
- Barentsz, J.O.; Weinreb, J.C.; Verma, S.; Thoeny, H.C.; Tempany, C.M.; Shtern, F.; Padhani, A.R.; Margolis, D.; Macura, K.J.; Haider, M.A.; et al. Synopsis of the PI-RADS v2 Guidelines for Multiparametric Prostate Magnetic Resonance Imaging and Recommendations for Use. Eur. Urol. 2016, 69, 41–49. [Google Scholar] [CrossRef] [PubMed]
- Muller, B.G.; Shih, J.H.; Sankineni, S.; Marko, J.; Rais-Bahrami, S.; George, A.K.; de la Rosette, J.J.M.C.H.; Merino, M.J.; Wood, B.J.; Pinto, P.; et al. Prostate Cancer: Interobserver Agreement and Accuracy with the Revised Prostate Imaging Reporting and Data System at Multiparametric MR Imaging. Radiology 2015, 277, 741–750. [Google Scholar] [CrossRef]
- Drost, F.-J.H.; Osses, D.F.; Nieboer, D.; Steyerberg, E.W.; Bangma, C.H.; Roobol, M.J.; Schoots, I.G. Prostate MRI, with or without MRI-targeted biopsy, and systematic biopsy for detecting prostate cancer. Cochrane Database Syst. Rev. 2019, 4, CD012663. [Google Scholar] [CrossRef] [PubMed]
- Kasivisvanathan, V.; Rannikko, A.S.; Borghi, M.; Panebianco, V.; Mynderse, L.A.; Vaarala, M.H.; Briganti, A.; Budäus, L.; Hellawell, G.; Hindley, R.G.; et al. MRI-Targeted or Standard Biopsy for Prostate-Cancer Diagnosis. N. Engl. J. Med. 2018, 378, 1767. [Google Scholar] [CrossRef]
- Rouvière, O.; Puech, P.; Renard-Penna, R.; Claudon, M.; Roy, C.; Mège-Lechevallier, F.; Decaussin-Petrucci, M.; Dubreuil-Chambardel, M.; Magaud, L.; Remontet, L.; et al. Use of prostate systematic and targeted biopsy on the basis of multiparametric MRI in biopsy-naive patients (MRI-FIRST): A prospective, multicentre, paired diagnostic study. Lancet Oncol. 2019, 20, 100. [Google Scholar] [CrossRef]
- van der Leest, M.; Cornel, E.; Israël, B.; Hendriks, R.; Padhani, A.R.; Hoogenboom, M.; Zamecnik, P.; Bakker, D.; Setiasti, A.Y.; Veltman, J.; et al. Head-to-head Comparison of Transrectal Ultrasound-guided Prostate Biopsy Versus Multiparametric Prostate Resonance Imaging with Subsequent Magnetic Resonance-guided Biopsy in Biopsy-naïve Men with Elevated Prostate-specific Antigen: A Large Prospective Multicenter Clinical Study. Eur. Urol. 2019, 75, 570. [Google Scholar]
- Woo, S.; Suh, C.H.; Kim, S.Y.; Cho, J.Y.; Kim, S.H. Diagnostic performance of prostate imaging reporting and data system version 2 for detection of prostate cancer: A systematic review and diagnostic meta-analysis. Eur. Urol. 2017, 72, 177–188. [Google Scholar] [CrossRef]
- Eastham, J.A.; Auffenberg, G.B.; Barocas, D.A.; Chou, R.; Crispino, T.; Davis, J.W.; Eggener, S.; Horwitz, E.M.; Kane, C.J.; Kirkby, E.; et al. Clinically Localized Prostate Cancer: AUA/ASTRO Guideline, Part I: Introduction, Risk Assessment, Staging, and Risk-Based Management. J. Urol. 2022, 208, 10–18. [Google Scholar] [CrossRef]
- Johnson, D.C.; Raman, S.S.; Mirak, S.A.; Kwan, L.; Bajgiran, A.M.; Hsu, W.; Maehara, C.K.; Ahuja, P.; Faiena, I.; Pooli, A.; et al. Detection of Individual Prostate Cancer Foci via Multiparametric Magnetic Resonance Imaging. Eur. Urol. 2019, 75, 712–720. [Google Scholar] [CrossRef] [PubMed]
- Lee, M.S.; Moon, M.H.; Kim, Y.A.; Sung, C.K.; Woo, H.; Jeong, H.; Son, H. Is prostate imaging reporting and data system version 2 sufficiently discovering clinically significant prostate cancer? Per-lesion radiology-pathology correlation study. AJR Am. J. Roentgenol. 2018, 211, 114–120. [Google Scholar] [CrossRef] [PubMed]
- Kundel, H.L. Reader error, object recognition, and visual search. Radiology 2002, 222, 453–459.24. [Google Scholar]
- Manning, D.J.; Gale, A.; Krupinski, E.A. Perception research in medical imaging. Br. J. Radiol. 2005, 78, 683–685. [Google Scholar] [CrossRef] [PubMed]
- Rosenkrantz, A.B.; Ayoola, A.; Hoffman, D.; Khasgiwala, A.; Prabhu, V.; Smereka, P.; Somberg, M.; Taneja, S.S. The Learning Curve in Prostate MRI Interpretation: Self-Directed Learning Versus Continual Reader Feedback. Am. J. Roentgenol. 2017, 208, W92–W100. [Google Scholar] [CrossRef]
- Rosenkrantz, A.B.; Ginocchio, L.A.; Cornfeld, D.; Froemming, A.T.; Gupta, R.T.; Turkbey, B.; Westphalen, A.C.; Babb, J.S.; Margolis, D.J.; Shankar, P.R.; et al. Interobserver Reproducibility of the PI-RADS Version 2 Lexicon: A Multicenter Study of Six Experienced Prostate Radiologists. Radiology 2016, 280, 793–804. [Google Scholar] [CrossRef]
- Flood, T.F.; Pokharel, S.S.; Patel, N.U.; Clark, T.J. Accuracy and Interobserver Variability in Reporting of PI-RADS Version 2. J. Am. Coll. Radiol. 2017, 14, 1202–1205. [Google Scholar] [CrossRef]
- Purysko, A.S.; Bittencourt, L.K.; Bullen, J.A.; Mostardeiro, T.R.; Herts, B.R.; Klein, E.A. Accuracy and Interobserver Agreement for Prostate Imaging Reporting and Data System, Version 2, for the Characterization of Lesions Identified on Multiparametric MRI of the Prostate. Am. J. Roentgenol. 2017, 209, 339–349. [Google Scholar] [CrossRef]
- Glazer, D.I.; Mayo-Smith, W.W.; Sainani, N.I.; Sadow, C.A.; Vangel, M.G.; Tempany, C.M.; Dunne, R.M. Interreader Agreement of Prostate Imaging Reporting and Data System Version 2 Using an In-Bore MRI-Guided Prostate Biopsy Cohort: A Single Institution’s Initial Experience. Am. J. Roentgenol. 2017, 209, W145–W151. [Google Scholar] [CrossRef]
- Chen, F.; Cen, S.; Palmer, S. Application of prostate imaging reporting and data system version 2 (PI-RADS v2): Interobserver agreement and positive predictive value for localization of intermediate- and high-grade prostate cancers on multiparametric magnetic resonance imaging. Acad. Radiol. 2017, 24, 1101–1106. [Google Scholar] [CrossRef]
- Syer, T.; Mehta, P.; Antonelli, M.; Mallett, S.; Atkinson, D.; Ourselin, S.; Punwani, S. Artificial Intelligence Compared to Radiologists for the Initial Diagnosis of Prostate Cancer on Magnetic Resonance Imaging: A Systematic Review and Recommendations for Future Studies. Cancers 2021, 13, 3318. [Google Scholar] [CrossRef]
- World Medical Association. Issue Information-Declaration of Helsinki. J. Bone Miner. Res. 2018, 33, 34–51. [Google Scholar] [CrossRef]
- Szczypinski, P.M.; Klepaczko, A.; Kociolek, M. QMaZda—Software tools for image analysis and pattern recognition. In Proceedings of the Signal Processing—Algorithms, Architectures, Arrangements, and Ap-plications Conference Proceedings—SPA 2017, Poznan, Poland, 20–22 September 2017. [Google Scholar]
- Vipin, T. Understanding Digital Image Processing; CRC Press: Boca Raton, FL, USA, 2021. [Google Scholar]
- Haralick, R.M. Statistical and structural approaches to texture. Proc. IEEE 1979, 67, 786–804.71. [Google Scholar] [CrossRef]
- Kashyap, R.; Chellappa, R. Estimation and choice of neighbors in spatial-interaction models of images. IEEE Trans. Inf. Theory 1983, 29, 60–72. [Google Scholar] [CrossRef]
- Porter, R.; Canagarajah, N. Rotation invariant texture classification schemes using GMRFs and wavelets. In Proceedings IWISP’96; Elsevier Science Ltd.: Amsterdam, The Netherlands, 1996; pp. 183–186. [Google Scholar]
- Galloway, M.M. Texture analysis using grey level run lengths. Comput. Graph. Image Process 1975, 4, 172–179. [Google Scholar] [CrossRef]
- Ahonen, T.; Hadid, A.; Pietikainen, M. Face Description with Local Binary Patterns: Application to Face Recognition. IEEE Trans. Pattern Anal. Mach. Intell. 2006, 28, 2037–2041. [Google Scholar] [CrossRef]
- Dalal, N.; Triggs, B. Histograms of oriented gradients for human detection. In Proceedings of the IEEE Computer Society Conference on Computer Vision and Pattern Recognition (CVPR’05), San Diego, CA, USA, 20–25 June 2005; Volume 1, pp. 886–893. [Google Scholar]
- de Rooij, M.; Israël, B.; Tummers, M.; Ahmed, H.U.; Barrett, T.; Giganti, F.; Hamm, B.; Løgager, V.; Padhani, A.; Panebianco, V.; et al. ESUR/ESUI consensus statements on multi-parametric MRI for the detection of clinically significant prostate cancer: Quality re-quirements for image acquisition, interpretation and radiologists’ training. Eur. Radiol. 2020, 30, 5404. [Google Scholar] [CrossRef] [PubMed]
- Labus, S.; Altmann, M.M.; Huisman, H.; Tong, A.; Penzkofer, T.; Choi, M.H.; Shabunin, I.; Winkel, D.J.; Xing, P.; Szolar, D.H.; et al. A concurrent, deep learning–based computer-aided detection system for prostate multiparametric MRI: A performance study involving experienced and less-experienced radiologists. Eur. Radiol. 2023, 33, 64–76. [Google Scholar] [CrossRef]
- Winkel, D.J.; Tong, A.; Lou, B.; Kamen, A.; Comaniciu, D.; Disselhorst, J.A.; Rodríguez-Ruiz, A.; Huisman, H.; Szolar, D.; Shabunin, I.; et al. A novel deep learning based computer aided diagnosis system improves the accuracy and efficiency of radiologists in reading bi-parametric magnetic resonance images of the prostate: Results of a multireader, multicase study. Investig. Radiol. 2021, 56, 605–613. [Google Scholar] [CrossRef] [PubMed]
- Sushentsev, N.; Da Silva, N.M.; Yeung, M.; Barrett, T.; Sala, E.; Roberts, M.; Rundo, L. Comparative performance of fully-automated and semi-automated artificial intelligence methods for the detection of clinically significant prostate cancer on MRI: A systematic review. Insights Imaging 2022, 13, 59. [Google Scholar] [CrossRef]
- Roest, C.; Kwee, T.; Saha, A.; Fütterer, J.; Yakar, D.; Huisman, H. AI-assisted biparametric MRI surveillance of prostate cancer: Feasibility study. Eur. Radiol. 2023, 33, 89–96. [Google Scholar] [CrossRef] [PubMed]
- Smith, C.P.; Harmon, S.A.; Barrett, T.; Bittencourt, L.K.; Law, Y.M.; Shebel, H.; An, J.Y.; Czarniecki, M.; Mehralivand, S.; Coskun, M.; et al. Intra- and interreader reproducibility of PI-RADSv2: A multireader study. J. Magn. Reson. Imaging 2019, 49, 1694–1703. [Google Scholar] [CrossRef]
- Liu, Y.; Zheng, H.; Liang, Z.; Miao, Q.; Brisbane, W.G.; Marks, L.S.; Raman, S.S.; Reiter, R.E.; Yang, G.; Sung, K. Textured-Based Deep Learning in Prostate Cancer Classification with 3T Multiparametric MRI: Comparison with PI-RADS-Based Classification. Diagnostics 2021, 11, 1785. [Google Scholar] [CrossRef]
- Arslan, A.; Alis, D.; Erdemli, S.; Seker, M.E.; Zeybel, G.; Sirolu, S.; Kurtcan, S.; Karaarslan, E. Does deep learning software improve the consistency and performance of radiologists with various levels of experience in assessing bi-parametric prostate MRI? Insights Imaging 2023, 14, 48. [Google Scholar] [CrossRef] [PubMed]
- Giannini, V.; Mazzetti, S.; Armando, E.; Carabalona, S.; Russo, F.; Giacobbe, A.; Muto, G.; Regge, D. Multiparametric magnetic resonance imaging of the prostate with computer-aided detection: Experienced observer performance study. Eur. Radiol. 2017, 27, 4200–4208. [Google Scholar] [CrossRef]
- Giannini, V.; Mazzetti, S.; Defeudis, A.; Stranieri, G.; Calandri, M.; Bollito, E.; Bosco, M.; Porpiglia, F.; Manfredi, M.; De Pascale, A.; et al. A Fully Automatic Artificial Intelligence System Able to Detect and Characterize Prostate Cancer Using Multiparametric MRI: Multicenter and Multi-Scanner Validation. Front. Oncol. 2021, 11, 718155. [Google Scholar] [CrossRef]
- Bhattacharya, I.; Khandwala, Y.S.; Vesal, S.; Shao, W.; Yang, Q.; Soerensen, S.J.; Fan, R.E.; Ghanouni, P.; Kunder, C.A.; Brooks, J.D.; et al. A review of artificial intelligence in prostate cancer detection on imaging. Ther. Adv. Urol. 2022, 14, 17562872221128791. [Google Scholar] [CrossRef] [PubMed]
- Virarkar, M.; Szklaruk, J.; Diab, R.; Bassett, J.R.; Bhosale, P. Diagnostic value of 3.0 T versus 1.5 T MRI in staging prostate cancer: Systematic review and meta-analysis. Pol. J. Radiol. 2022, 87, e421–e429. [Google Scholar] [CrossRef]



| Parameter | Value |
|---|---|
| Time echo | 105 |
| Relaxation time | 3320 |
| Flip angle | 160 |
| Imaging matrix | 256 × 320 |
| Voxel | 0.6 × 0.6 × 2 |
| Field of view | 200 |
| Concentrations | 2 |
| Averages | 4 |
| Parallel acquisition | 2 |
| Distance factor | 0 |
| Overall sequence time | 300 |
| Accuracy | Precision | Recall | F1-Score | Feature 1 | Feature 2 |
|---|---|---|---|---|---|
| 0.8152 | 0.8485 | 0.7000 | 0.7671 | YN7GlcmZ3DifEntrp | YS8ArmTeta2 |
| 0.7609 | 0.9394 | 0.6078 | 0.7381 | YS7ArmTeta2 | YD8GradMean |
| 0.7500 | 0.9394 | 0.5962 | 0.7294 | YS8ArmTeta2 | YD8GradMean |
| 0.7500 | 0.9091 | 0.6000 | 0.7229 | YS6ArmTeta2 | YD8HistSkewness |
| 0.7391 | 0.9394 | 0.5849 | 0.7209 | YS6ArmTeta2 | YD8GradMean |
| 0.7609 | 0.8485 | 0.6222 | 0.7180 | YN7GlcmN4DifEntrp | YS8ArmTeta2 |
| 0.7500 | 0.8788 | 0.6042 | 0.7161 | YS7GlcmN4DifEntrp | YS8ArmTeta2 |
| 0.7500 | 0.8788 | 0.6042 | 0.7161 | YS6GlcmN5DifEntrp | YS8ArmTeta2 |
| 0.7391 | 0.9091 | 0.5882 | 0.7143 | YM4GlcmH1SumVarnc | YD8Gab12V6Mag |
| 0.7391 | 0.8788 | 0.5918 | 0.7073 | YS8GlcmZ3DifEntrp | YS8ArmTeta2 |
| Accuracy | Precision | Recall | F1-Score | Feature 1 | Feature 2 |
|---|---|---|---|---|---|
| 0.7363 | 0.8750 | 0.5833 | 0.7000 | YS6GlcmV3SumEntrp | YD8HistMean |
| 0.7253 | 0.9063 | 0.5686 | 0.6988 | YS6GlcmV3InvDfMom | YD8HistMean |
| 0.7363 | 0.8125 | 0.5909 | 0.6842 | YN5ArmTeta2 | YD8HistMean |
| 0.7253 | 0.8438 | 0.5745 | 0.6835 | YN4GlcmN3InvDfMom | YD8HistMean |
| 0.7363 | 0.7813 | 0.5952 | 0.6757 | YN5GlcmV3DifEntrp | YD8HistMean |
| 0.7143 | 0.8438 | 0.5625 | 0.6750 | YM4GlcmN3SumOfSqs | YS8DwtHaarS1HH |
| 0.7033 | 0.8750 | 0.5490 | 0.6747 | YN5GlcmH4Entropy | YD8HistKurtosis |
| 0.7033 | 0.8750 | 0.5490 | 0.6747 | YN7HogO8b3 | YM8HistPerc01 |
| 0.7033 | 0.8438 | 0.5510 | 0.6667 | YM4GlcmH3DifEntrp | YD8HistMean |
| 0.6813 | 0.9063 | 0.5273 | 0.6667 | YN6GlcmH2SumEntrp | YD8HistMean |
| Accuracy | Precision | Recall | F1-Score | Feature 1 | Feature 2 |
|---|---|---|---|---|---|
| 0.7500 | 0.8788 | 0.6042 | 0.7161 | YM4GlcmZ3Contrast | YD8HistMean |
| 0.7500 | 0.8485 | 0.6087 | 0.7089 | YM6GlcmN4SumEntrp | YD5ArmTeta4 |
| 0.7500 | 0.8485 | 0.6087 | 0.7089 | YM5GlcmZ5Entropy | YD5ArmTeta4 |
| 0.7391 | 0.8788 | 0.5918 | 0.7073 | YM6GlcmZ2SumEntrp | YD5ArmTeta4 |
| 0.7500 | 0.8182 | 0.6136 | 0.7013 | YM7GlcmZ4SumVarnc | YD5ArmTeta4 |
| 0.7500 | 0.8182 | 0.6136 | 0.7013 | YM6GlcmZ4SumVarnc | YD5ArmTeta4 |
| 0.7500 | 0.8182 | 0.6136 | 0.7013 | YM5GlcmH4SumEntrp | YD5ArmTeta4 |
| 0.7500 | 0.8182 | 0.6136 | 0.7013 | YM5GlcmZ4SumVarnc | YD5ArmTeta4 |
| 0.7391 | 0.8485 | 0.5957 | 0.7000 | YM6GlcmH2SumEntrp | YD5ArmTeta4 |
| 0.7283 | 0.8788 | 0.5800 | 0.6988 | YM5GlcmN2SumVarnc | YD5ArmTeta4 |
Disclaimer/Publisher’s Note: The statements, opinions and data contained in all publications are solely those of the individual author(s) and contributor(s) and not of MDPI and/or the editor(s). MDPI and/or the editor(s) disclaim responsibility for any injury to people or property resulting from any ideas, methods, instructions or products referred to in the content. |
© 2023 by the authors. Licensee MDPI, Basel, Switzerland. This article is an open access article distributed under the terms and conditions of the Creative Commons Attribution (CC BY) license (https://creativecommons.org/licenses/by/4.0/).
Share and Cite
Gibała, S.; Obuchowicz, R.; Lasek, J.; Piórkowski, A.; Nurzynska, K. Textural Analysis Supports Prostate MR Diagnosis in PIRADS Protocol. Appl. Sci. 2023, 13, 9871. https://doi.org/10.3390/app13179871
Gibała S, Obuchowicz R, Lasek J, Piórkowski A, Nurzynska K. Textural Analysis Supports Prostate MR Diagnosis in PIRADS Protocol. Applied Sciences. 2023; 13(17):9871. https://doi.org/10.3390/app13179871
Chicago/Turabian StyleGibała, Sebastian, Rafał Obuchowicz, Julia Lasek, Adam Piórkowski, and Karolina Nurzynska. 2023. "Textural Analysis Supports Prostate MR Diagnosis in PIRADS Protocol" Applied Sciences 13, no. 17: 9871. https://doi.org/10.3390/app13179871
APA StyleGibała, S., Obuchowicz, R., Lasek, J., Piórkowski, A., & Nurzynska, K. (2023). Textural Analysis Supports Prostate MR Diagnosis in PIRADS Protocol. Applied Sciences, 13(17), 9871. https://doi.org/10.3390/app13179871

