Maxillary Response Induced by Rapid Palatal Expansion vs. Clear Aligners: A Short-Term Retrospective Evaluation of the Dento-Alveolar Effects in Mixed Dentition
Abstract
1. Introduction
2. Materials and Methods
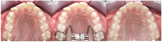
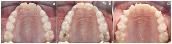
2.1. Treatment Protocol
2.2. Measurement Protocol
- Inter-canine width: linear distance between cusp tips of the deciduous canines (A);
- First inter-deciduous molar width: linear distance between the vestibular cusp tips of the first deciduous molars (B);
- Second inter-deciduous molar width: linear distance between the sulcus of the second deciduous molars (C);
- First inter-molar mesial width: linear distance between the mesiobuccal cusp tips of the first molars (D);
- First inter-molar distal width: linear distance between the distobuccal cusp tips of the first molars (E);
- First inter-molar transpalatal width: linear distance between the groove of the first molars at the mucosa (F);
- Inter-canine transpalatal width: linear distance between the groove of the deciduous canines at the mucosa (A’);
- First inter-deciduous molar transpalatal width: linear distance between the groove of the first deciduous molars at the mucosa (B’);
- Second inter-deciduous molar transpalatal width: linear distance between the groove of the second deciduous molars at the mucosa (C’).
2.3. Statistical Analysis
3. Results
4. Discussion
Limitations of the Study
5. Conclusions
Author Contributions
Funding
Institutional Review Board Statement
Informed Consent Statement
Data Availability Statement
Conflicts of Interest
References
- Rosa, M.; Lucchi, P.; Manti, G.; Caprioglio, A. Rapid Palatal Expansion in the absence of posterior cross-bite to intercept maxillary incisor crowding in the mixed dentition: A CBCT evaluation of spontaneous changes of untouched permanent molars. Eur. J. Paediatr. Dent. 2016, 17, 286–294. [Google Scholar] [PubMed]
- Vidal-Bernárdez, M.L.; Vilches-Arenas, Á.; Sonnemberg, B.; Solano-Reina, E.; Solano-Mendoza, B. Efficacy and predictability of maxillary and mandibular expansion with the Invisalign® system. J. Clin. Exp. Dent. 2021, 13, e669–e677. [Google Scholar] [CrossRef] [PubMed]
- Adkins, M.D.; Nanda, R.S.; Currier, G.F. Arch perimeter changes on rapid palatal expansion. Am. J. Orthod. Dentofac. Orthop. 1990, 97, 194–199. [Google Scholar] [CrossRef] [PubMed]
- Lione, R.; Ballanti, F.; Franchi, L.; Baccetti, T.; Cozza, P. Treatment and posttreatment skeletal effects of rapid maxillary expansion studied with low-dose computed tomography in growing subjects. Am. J. Orthod. Dentofac. Orthop. 2008, 134, 389–392. [Google Scholar] [CrossRef] [PubMed]
- Lione, R.; Franchi, L.; Fanucci, E.; Laganà, G.; Cozza, P. Three-dimensional densitometric analysis of maxillary sutural changes induced by rapid maxillary expansion. Dentomaxillofac. Radiol. 2013, 42, 71798010. [Google Scholar] [CrossRef] [PubMed]
- Cerruto, C.; Ugolini, A.; Di Vece, L.; Doldo, T.; Caprioglio, A.; Silvestrini-Biavati, A. Cephalometric and dental arch changes to Haas-type rapid maxillary expander anchored to deciduous vs permanent molars: A multicenter, randomized controlled trial. J. Orofac. Orthop. 2017, 78, 385–393. [Google Scholar] [CrossRef] [PubMed]
- Mohan, C.N.; Araujo, E.A.; Oliver, D.R.; Kim, K.B. Long-term stability of rapid palatal expansion in the mixed dentition vs the permanent dentition. Am. J. Orthod. Dentofac. Orthop. 2016, 149, 856–862. [Google Scholar] [CrossRef] [PubMed]
- Levrini, L.; Carganico, A.; Abbate, L. Maxillary expansion with clear aligners in the mixed dentition: A preliminary study with Invisalign® First system. Eur. J. Paediatr. Dent. 2021, 22, 125–128. [Google Scholar] [CrossRef] [PubMed]
- Lione, R.; Cretella Lombardo, E.; Paoloni, V.; Meuli, S.; Pavoni, C.; Cozza, P. Upper arch dimensional changes with clear aligners in the early mixed dentition: A prospective study. J. Orofac. Orthop. 2021, 84, 33–40. [Google Scholar] [CrossRef] [PubMed]
- Tollaro, I.; Baccetti, T.; Franchi, L.; Tanasescu, C.D. Role of posterior transverse interarch discrepancy in Class II, Division 1 malocclusion during the mixed dentition phase. Am. J. Orthod. Dentofac. Orthop. 1996, 110, 417–422. [Google Scholar] [CrossRef] [PubMed]
- Cozza, P.; Giancotti, A.; Petrosino, A. Butterfly expander for use in the mixed dentition. J. Clin. Orthod. 1999, 33, 583–587. [Google Scholar] [PubMed]
- Paoloni, V.; Giuntini, V.; Lione, R.; Nieri, M.; Barone, V.; Merlo, M.M.; Mazza, F.; Passaleva, S.; Cozza, P.; Franchi, L. Comparison of the dento-skeletal effects produced by Leaf expander versus rapid maxillary expander in prepubertal patients: A two-center randomized controlled trial. Eur. J. Orthod. 2021, 44, 163–169. [Google Scholar] [CrossRef] [PubMed]
- Ricketts, R.M. Occlusion—The medium of dentistry. J. Prosthet. Dent. 1969, 21, 39–60. [Google Scholar] [CrossRef] [PubMed]
- Lione, R.; Paoloni, V.; Bartolommei, L.; Gazzani, F.; Meuli, S.; Pavoni, C.; Cozza, P. Maxillary arch development with Invisalign system. Angle Orthod. 2021, 91, 433–440. [Google Scholar] [CrossRef] [PubMed]
- Springate, S.D. The effect of sample size and bias on the reliability of estimates of error: A comparative study of Dahlberg’s formula. Eur. J. Orthod. 2012, 34, 158–163. [Google Scholar] [CrossRef] [PubMed]
- Haas, A.J. Palatal expansion: Just the biginning of facial orthopedics. Am. J. Orthod. 1970, 57, 219–255. [Google Scholar] [CrossRef] [PubMed]
- Davidovitch, M.; Efstathiou, S.; Sarne, O.; Vardimon, A.D. Skeletal and dental response to rapid maxillary expansion with 2- versus 4-band appliances. Am. J. Orthod. Dentofac. Orthop. 2005, 127, 483–492. [Google Scholar] [CrossRef] [PubMed]
- McNamara, J.A., Jr.; Baccetti, T.; Franchi, L.; Herberger, T.A. Rapid maxillary expansion followed by fixed appliances: A long-term evaluation of changes in arch dimensions. Angle Orthod. 2003, 73, 344–353. [Google Scholar] [CrossRef] [PubMed]




| Variables |
CAG (n = 15; 8 F; 7 M) |
RG (n = 17; 9 F; 8 M) | ||||||
|---|---|---|---|---|---|---|---|---|
| Mean | SD | Mean | SD | Diff | SD | 95% CI | p Value | |
| Linear measurements (mm) | ||||||||
| Inter-canine width (III-III) | 31.6 | 1.2 | 30.5 | 2.8 | 1.1 | 0.8 | −0.494 to 2.694 | NS |
| First inter-deciduous molar width (IV-IV) | 37.7 | 1.3 | 37.6 | 2.5 | 0.1 | 0.7 | −1.369 to 1.569 | NS |
| Second inter-deciduous molar width (V-V) | 43.6 | 2.3 | 43.6 | 2.7 | 0.0 | 0.9 | −1.824 to 1.824 | NS |
| First inter-molar mesial width (6-6 mesial cusps) | 49.6 | 3.2 | 49 | 2.3 | 0.6 | 1 | −1.394 to 2.594 | NS |
| First inter-molar distal width (6-6 distal cusps) | 52 | 2.8 | 51.5 | 2.6 | 0.5 | 1 | −1.450 to 2.450 | NS |
| First inter-molar transpalatal width (6-6 transpalatal) | 34.7 | 2.9 | 33.3 | 3.3 | 1.4 | 1.1 | −0.857 to 3.657 | NS |
| Inter-canine transpalatal width (III-III) | 25.2 | 1.1 | 24.2 | 2.1 | 1 | 0.6 | −0.236 to 2.236 | NS |
| First inter-deciduous molar transpalatal width (IV-IV) | 27.3 | 1.4 | 26.3 | 2.3 | 1 | 0.7 | −0.398 to 2.398 | NS |
| Second inter-deciduous molar transpalatal width (V-V) | 31.1 | 2.1 | 30.2 | 2.5 | 0.9 | 0.8 | −0.780 to 2.580 | NS |
| Angular measurements (°) | ||||||||
| Right deciduous canine crown angulation (53) | 19.6 | 4.4 | 21.4 | 2.4 | −1.8 | 1.2 | −4.317 to 0.717 | NS |
| Left deciduous canine crown angulation (63) | 17.1 | 2.5 | 19.3 | 3.6 | −2.2 | 1.1 | −4.468 to 0.068 | NS |
| Right first deciduous molar crown angulation (54) | 17.3 | 1.8 | 17.8 | 2.1 | −0.5 | 0.7 | −1.922 to 0.922 | NS |
| Left first deciduous molar crown angulation (64) | 26.0 | 3.9 | 26.0 | 2.7 | 0 | 1.2 | −2.398 to 2.398 | NS |
| Right second deciduous molar crown angulation (55) | 24.6 | 3.4 | 24.9 | 3.3 | −0.3 | 1.2 | −2.721 to 2.121 | NS |
| Left second deciduous molar crown angulation (65) | 23.2 | 3.4 | 24 | 2.9 | −0.8 | 1.1 | −3.074 to 1.474 | NS |
| Right first molar crown angulation (16) | 19.2 | 7.4 | 21 | 5 | −1.8 | 2.2 | −6.312 to 2.712 | NS |
| Left first molar crown angulation (26) | 22.3 | 8.2 | 22.3 | 5.2 | 0 | 2.4 | −4.896 to 4.896 | NS |
| Variables | CAG (n = 15; 8 F; 7 M) | RG (n = 17; 9 F; 8 M) | ||||||
|---|---|---|---|---|---|---|---|---|
| Linear Measurements (mm) | Mean | SD | Mean | SD | Diff | SD | 95% CI | p Value |
| Inter-canine width (III-III) | 3.3 | 1.5 | 1.8 | 1.1 | 1.5 | 0.5 | 0.558 to 2.442 | ** |
| First inter-deciduous molar width (IV-IV) | 3.9 | 1.2 | 2.5 | 1.3 | 1.4 | 0.4 | 0.493 to 2.307 | ** |
| Second inter-deciduous molar width (V-V) | 4.1 | 1.3 | 3.6 | 1.2 | 0.5 | 0.4 | −0.403 to 1.403 | NS |
| First inter-molar mesial width (6-6 mesial cusps) | 3.3 | 0.7 | 3.6 | 1.7 | -0.3 | 0.5 | −1.263 to 0.663 | NS |
| First inter-molar distal width (6-6 distal cusps) | 2.1 | 0.8 | 3.3 | 1.2 | −1.2 | 0.4 | −1.947 to −0.453 | ** |
| Inter-canine transpalatal width (III-III) | 3.3 | 0.9 | 1.8 | 1.3 | 1.5 | 0.4 | 0.682 to 2.318 | *** |
| First inter-deciduous molar transpalatal width (IV-IV) | 4.0 | 0.9 | 2.6 | 1.2 | 1.4 | 0.4 | 0.626 to 2.174 | *** |
| Second inter-deciduous molar transpalatal width (V-V) | 4.1 | 0.7 | 4.0 | 1.3 | 0.1 | 0.4 | −0.669 to 0.869 | NS |
| First inter-molar transpalatal width (6-6 transpalatal) | 2.2 | 0.6 | 3.1 | 2.1 | −1 | 0.6 | −2.048 to 0.248 | NS |
| Variables | CAG (n = 15; 8 F; 7 M) | RG (n = 17; 9 F; 8 M) | ||||||
|---|---|---|---|---|---|---|---|---|
| Mean | SD | Mean | SD | Diff | SD | 95% CI | p Value | |
| Angular measurements (°) | ||||||||
| Right deciduous canine crown angulation (53) | −7 | 1.3 | 2.4 | 0.6 | −9.4 | 0,4 | −10.116 to −8.684 | *** |
| Left deciduous canine crown angulation (63) | −6.4 | 0.9 | 2.7 | 0.7 | −9.1 | 0.3 | −9.678 to −8.522 | *** |
| Right first deciduous molar crown angulation (54) | −10.6 | 6.3 | 1.1 | 0.5 | −11.7 | 1.5 | −14.825 to −8.575 | *** |
| Left first deciduous molar crown angulation (64) | −12.8 | 2.0 | 1.6 | 1.2 | −14.4 | 0.6 | −15.574 to −13.226 | *** |
| Right second deciduous molar crown angulation (55) | −6.1 | 2.6 | −6.8 | 2.4 | 0.7 | 0.9 | −1.105 to 2.505 | NS |
| Left second deciduous molar crown angulation (65) | −6.8 | 2.4 | −7 | 1.8 | 0.2 | 0.7 | −1.320 to 1.720 | NS |
| Right first molar crown angulation (16) | 1.1 | 0.7 | −7.2 | 2.7 | 8.3 | 0.7 | 6.832 to 9.768 | *** |
| Left first molar crown angulation (26) | 2.1 | 0.5 | −7.0 | 1.5 | 9.1 | 0.4 | 8.270 to 9.930 | *** |
Disclaimer/Publisher’s Note: The statements, opinions and data contained in all publications are solely those of the individual author(s) and contributor(s) and not of MDPI and/or the editor(s). MDPI and/or the editor(s) disclaim responsibility for any injury to people or property resulting from any ideas, methods, instructions or products referred to in the content. |
© 2023 by the authors. Licensee MDPI, Basel, Switzerland. This article is an open access article distributed under the terms and conditions of the Creative Commons Attribution (CC BY) license (https://creativecommons.org/licenses/by/4.0/).
Share and Cite
Cretella Lombardo, E.; Fanelli, S.; Pavoni, C.; Cozza, P.; Lione, R. Maxillary Response Induced by Rapid Palatal Expansion vs. Clear Aligners: A Short-Term Retrospective Evaluation of the Dento-Alveolar Effects in Mixed Dentition. Appl. Sci. 2023, 13, 8675. https://doi.org/10.3390/app13158675
Cretella Lombardo E, Fanelli S, Pavoni C, Cozza P, Lione R. Maxillary Response Induced by Rapid Palatal Expansion vs. Clear Aligners: A Short-Term Retrospective Evaluation of the Dento-Alveolar Effects in Mixed Dentition. Applied Sciences. 2023; 13(15):8675. https://doi.org/10.3390/app13158675
Chicago/Turabian StyleCretella Lombardo, Elisabetta, Silvia Fanelli, Chiara Pavoni, Paola Cozza, and Roberta Lione. 2023. "Maxillary Response Induced by Rapid Palatal Expansion vs. Clear Aligners: A Short-Term Retrospective Evaluation of the Dento-Alveolar Effects in Mixed Dentition" Applied Sciences 13, no. 15: 8675. https://doi.org/10.3390/app13158675
APA StyleCretella Lombardo, E., Fanelli, S., Pavoni, C., Cozza, P., & Lione, R. (2023). Maxillary Response Induced by Rapid Palatal Expansion vs. Clear Aligners: A Short-Term Retrospective Evaluation of the Dento-Alveolar Effects in Mixed Dentition. Applied Sciences, 13(15), 8675. https://doi.org/10.3390/app13158675

