You are currently viewing a new version of our website. To view the old version click .
Applied Sciences
  • Article
  • Open Access

21 June 2023

The Influence of the Ultrasound Disintegration of Microalgal–Bacterial Granular Sludge on Anaerobic Digestion Efficiency

,
,
and
1
Department of Environmental Engineering, Faculty of Geoengineering, University of Warmia and Mazury in Olsztyn, 10-720 Olsztyn, Poland
2
Department of Water Supply and Sewage Systems, Faculty of Civil Engineering and Environmental Sciences, Bialystok University of Technology, 15-351 Bialystok, Poland
*
Author to whom correspondence should be addressed.
This article belongs to the Special Issue New Insights into Microalgae Cultivation and Downstream Processes, Volume II

Abstract

It has been proven that the biocenosis of microalgae and bacteria improves the chemical properties of biomass for its use in anaerobic digestion. However, this anaerobic digestion can be limited by the strong, compact, and complex structure of granulated biomass. Therefore, there is a need to search for an effective method for microalgal–bacterial granular sludge pretreatment, which has not been undertaken in previous scientific works. In this study, ultrasonic pretreatment was used to determine the effects of sonication on anaerobic digestion efficiency. Anaerobic digestion was performed in batch respirometric reactors. It was found that the ultrasonic pretreatment enhanced the biomass solubility; thus, the organic matter concentration increased more than six times compared to the variant without pretreatment. The study showed a positive effect of sonication on the kinetics of the anaerobic process and methane production. The highest methane yield was found in the variants in which the ultrasonication lasted from 150 s to 200 s, and this yield was from 534 ± 16 mL CH4/g VS to 561 ± 17 mL CH4/g VS. The data analysis confirmed strong correlations between the pretreatment time, the amount of biogas and methane production, and the gross energy gain. The highest net energy output and net energy gain were obtained for 150 s of sonication, and, respectively, were 4.21 ± 0.17 Wh/g VS and 1.19 ± 0.18 Wh/g VS.

1. Introduction

Increasing the ecological, technological, and socio-environmental competitiveness of biofuel technologies based on the production and use of microalgae grown on wastes can be achieved through the use of symbiotic microalgae–bacteria consortia. According to the latest data from the literature, microalgae–bacteria consortia can be used to overcome the barriers and limitations identified in wastewater treatment and bioenergy production [,,,,,]. The treatment of municipal and industrial wastewater is usually characterized by a high energy consumption, high production of excess sludge, and high operation costs []. Alternatively, using both microalgae and bacteria to treat wastewater is a new approach that ensures a lower energy demand because oxygen can be provided through photosynthesis, and a high carbon-neutral potential through microalgae growth, leading to boosting the wastewater treatment efficiency [,,]. Symbiotic microalgae–bacteria consortia could be used to improve the production of microalgae biomass rich in valuable chemical compounds and energy carriers, such as biohydrogen, biodiesel, bioethanol, and biogas [,,,,]. This can be achieved by integrating microalgae processes with bacteria processes in conventional wastewater treatment systems and biofuel technologies [,,].
Ecological studies have identified a variety of interactions between microalgae and bacteria. These are mainly food dependencies and environmental relationships that are based primarily on mutualism, commensalism, and, to a lesser extent, on competition and parasitism [,]. The interactions between microalgae and bacteria communities depend on the biodiversity of the emerging biocenoses [,,]. These general interactions are related to the excretion of dissolved organic carbon by microalgae, which becomes available to bacteria and, in return, these bacteria remineralize sulphur, nitrogen, and phosphorous to support the further growth of microalgae [,,]. Additionally, there are some specific interactions where heterotrophic bacteria provide microalgae B vitamins as organic cofactors or produce siderophores to fix iron, while microalgae provide fixed carbon to bacteria []. The identification and determination of the relationship in microalgae–bacteria symbiosis and the development of protocols and growth models allow for a reliable assessment of the technological effects necessary for the further development of these solutions [,,,].
According to the literature, the conversion of algae biomass into biogas may be highly profitable and the amount of methane produced can reach 140–360 mL CH4/g volatile solids (VS) []. The biochemical composition of microalgae biomass meets the requirements of anaerobic microorganisms and the amount of biogas produced depends on the species of microalgae used as the feedstock in anaerobic digestion (AD), [,,,,]. However, a factor limiting the effectiveness of methanogenesis is the resistance of algal cell walls to anaerobic degradation, due to their multilayered structure and high content of cellulose [,,]. For many years, the appearance of bacterial cultures during the growth of microalgae was an undesirable phenomenon. Nowadays, it is realized that microalgae–bacteria consortia may be utilized to improve algal biomass production and enrich the biomass with valuable chemical and energy compounds, as well as be used as a valuable feedstock in AD [,,]. According to Lü et al. [], bacterial bioaugmentation with Clostridium thermocellum improved the degradation of Chlorella vulgaris biomass, resulting in higher biogas and methane yields. Similarly, the methane yield was enhanced by 37% with Cyanobacteria, which was attributed to their proteolytic activity []. In turn, the addition of an algalytic bacterial mixture to granular sludge increased the methane yield by 11% and changed the microbial structure in the anaerobic reactor [].
However, there have only been few reports on the AD of microalgal–bacterial granular sludge (M–BGS). Due to the different characteristics of M–BGS, there is a need to assess the suitability and technological effectiveness of the anaerobic treatment devices that treat sewage sludge for M–BGS digestion. Certainly, the structure, size, and biochemical characteristics of M–BGS can determine the performance of AD. One of the important factors affecting AD and the efficiency of biogas and methane production is the amount of easy available organic substances dissolved in the feedstock. Efficient hydrolysis and the rapid transfer of organic matter from the solid phase to the dissolved phase affect the rates of both acidogenesis and methanogenesis. When dispersed activated sludge or microalgae biomass is a feedstock in AD, the hydrolysis process takes place efficiently, consequently enhancing the anaerobic processes. In turn, the M–BGS has a greater hydrophobicity, density, compact granule structure, and EPS content, and there is a significant share of filamentous bacteria in the granule structure, which significantly reduce its susceptibility to anaerobic biodegradation and the rate of digestion. Thus, there is a need for studying the effective pretreatment of M–BGS prior to anaerobic digestion.
Pretreatment solutions before anaerobic digestion are dynamically developing technologies. They cause the destruction of the substrate structure, including the fragmentation of flocs, damage to microbial cells, and the release of organic matter and extracellular polymers into the dissolved phase []. Various pretreatment methods are used, including mechanical, high-pressure, cavitation, biological, chemical, such as acidification, alkalization, oxidation, ozonation, and thermal methods, such as heat treatment and freeze–thaw. Combined, hybrid pre-treatment technologies are also used. The tested pretreatment methods in most cases produce satisfactory technological results related to the efficiency of the fermentation process. A significant increase in the biogas production efficiency, methane, and/or hydrogen content is obtained, and a higher degree of mineralization and decomposition of organic matter is observed [].
So far, little attention has been paid to the possibility of using ultrasound (UD) in the combined process of ultrasonic disintegration and hydrothermal depolymerization. In systems exposed to UD, stresses appear that can cause numerous modifications in the structures of molecules. They can change the charge of the cell surface, the permeability of the cell membrane, and also promote cell rupture, disintegration, and fragmentation []. The phenomenon of cavitation is the formation of pulsating vacuum bubbles in a liquid, sometimes filled with saturated water vapor or gas dissolved in this liquid []. Vesicles oscillating around the cell membrane cause it to vibrate, which leads to stream movements in the biomass structure. As a result of these processes, the cell is exposed to shear stresses that can cause its damage, disintegration, and the transfer of organic matter to the dissolved phase [].
The aim of this study was to determine the effect of an ultrasonic pretreatment (UP) of M–BGS on enhancing AD. In the study, the solubilization of organic matter was monitored, as well as the yields of the methane and biogas production. An energy gain assessment of the AD of the M–BGS for different sonication conditions was also performed.

2. Materials and Methods

2.1. Study Organization

Five variants (V1–V5) of UP times were tested on the M–BGS biodegradability under anaerobic conditions, corresponding to different ultrasonic energy inputs (ES). The study organization and UP conditions are summarized in Table 1.
Table 1. The study organization and setup conditions during ultrasonic pretreatment of microalgal–bacterial granular sludge (M–BGS).

2.2. Materials

2.2.1. Microalgal-Bacterial Granular Sludge

In the study, M–BGS was pretreated with ultrasonics and then used as a substrate in AD. The M–BGS originated from the hybrid system of a photobioreactor and open raceway pond (H-PBR) with a working volume of 1.0 m3. A single four-blade mechanical agitator was run at 30 rpm with a circulation flow rate of 0.5 m/s. Illumination during low-sunlight periods was provided by fluorescent lamps with narrowband phosphors. The H-PBR was capped with transparent, sunlight-permeable covers. The sunlight-permeable reactor surface (transparent covers) was approx. 2.6 m2. The heating was provided by electrical heaters with a heating capacity of 1.0 kW. A liquid fraction of digested sewage sludge (LF-DSS) produced in a municipal wastewater treatment plant was used to grow the algal biomass in the H-PBR. The H-PBR was operated in a Municipal Wastewater Treatment Plant, “Łyna”, in Olsztyn. Detailed characteristics of the construction and operation of the H-PBR, as well as the formation course of the M–BGS structure, are presented in the authors’ previous publication [].
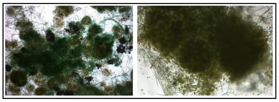
The M–BGS biomass was previously separated using a two-stage drum microsieve with mesh sizes of 10.0 µm (first step of filtration) and 5.0 µm (second step of filtration) (Hydrotech, Veolia Water Technologies, Warsaw, Poland). The thickened M–BGS biomass was then pretreated using ultrasound and subsequently digested in anaerobic conditions. The characteristics of the M–BGS are presented in Table 2, while a microscopic image at x 100 magnification is shown in Figure 1.
Table 2. Characteristics of microalgal–bacterial granular sludge (M–BGS).
Figure 1. The mature microalgal–bacterial granular sludge (M–BGS) used in the study.

2.2.2. Anaerobic Sludge

Anaerobic sludge originating from the continuous complete mixing of anaerobic-reactor-treated microalgae biomass (Chlorella sp. 70% w/w, Scenedesmus sp. 30% w/w) was used as an inoculum for the anaerobic respirometers []. The temperature in the reaction chamber was maintained at 38 °C. The initial concentration of the anaerobic sludge was approx. 4.0 g TS/L. The organic loading rate (OLR) and hydraulic retention time (HRT) were, respectively, 5.0 g VS/L·d and 40 d. The anaerobic sludge was starved for 10 days before being used as inoculum. The characteristics of the anaerobic sludge used as the inoculum of the anaerobic respirometers during the AD are shown in Table 3.
Table 3. Characteristics of anaerobic sludge used as the inoculum of respirometers.

2.3. Experimental Setup

The thickened M–BGS biomass was sonicated using an ultrasonic disintegrator (UP400S, Hielscher Ultrasonics GmbH, Teltow, Germany) operating at a power of 400 W power and a frequency of 24 kHz. In subsequent variants, the sonication time was extended to dose the appropriate value of specific energy to the constant volume of the sample. The specific energy (ES) inputs used for the UP ranged from 0 to 1.32 Wh/g VS (Table 1). The pretreated biomass was used as a feedstock in AD.
The AD was carried out in batch respirometric reactors (AMPTS II, BPC Instruments AB, Lund, Sweden), with a simultaneous measurement of methane outputs using a recording device connected to the acquisition system. The digestion process was performed for 30 days. The temperature in the reaction chambers was set at 37 ± 1 °C. The active volume of the respirometers was 200 mL, while the initial OLR was 5.0 g VS/L. Anaerobic conditions inside the respirometers were ensured by flushing the reaction chambers with nitrogen gas (5 min, 150 L/h). The respirometers were equipped with vertical agitators set to 30 s on/10 min off at 100 rpm. The biogas produced during the AD was treated with an alkaline scrubbing solution (3M NaOH) to absorb CO2 and other non-methane gases in an ex situ absorption unit. A gas production report was recorded in the software once a day, using a program that generated results for a normalized volume of gas (a standard atmospheric pressure of 101.3 kPa at 0 °C and zero humidity). The AD process was continued until the organic compounds in the samples were completely digested. Biogas production reports were automatically compared against each other, and the variant of the experiment ended when ten biogas volume measurements did not differ by more than 1%. Endogenous biogas production was excluded from the calculations.
In this manuscript, constant rates were determined via non-linear regression. The iterative method was applied. The coefficient of convergence was adopted as the measure of the curve’s fit to obtain experimental data. This is the ratio of the sum square of the deviations of the values, calculated on the basis of the determined function from the experimental values to the sum square of the deviations of the experimental values from the mean value. Such a fit of the model to the experimental points was adopted, in which the coefficient of convergence did not exceed 0.2.

2.4. Calculation Methods

The specific energy input (Es) of the ultrasonics in Wh/g VS was calculated as a function of the ultrasonic power and the amount of volatile solids in the treated sample (1):
E s = P · t / M
where P is the ultrasonic power [W], t is the disintegration duration [h], and M is the VS mass in the sample treated by ultrasound [g VS].
The gross energy output (EGout) in Wh/g VS generated from the methane production was calculated as:
E Gout = ( Y CH 4   · CV CH 4 ) / M VS
where YCH4 is the methane production [L], CVCH4 is the methane calorific value [Wh/L], and MVS is the VS mass of the digested sample [g VS].
The net energy output (ENout) in Wh/g VS was calculated as:
E Nout =   E Gout     ES  
The net energy gain (Enet) in Wh/g VS was calculated by subtracting the energy output in the n–variant and the energy output in variant 1 (without pretreatment) as follows:
E net =   E net   nV   E net   V 1    
where Enet nV is the net energy output in the n–variant with UP [Wh/g VS] and Enet V1 is the net energy output in variant 1 without UP [Wh/g VS].
Equations (5) and (6) present, respectively, the COD and TOC solubilization degree [%] calculation []. In this equation, sCODS0/sTOCS0 is the soluble COD/TOC before the UD [mg/L], sCODS1/sTOCS1 is the soluble COD/TOC after the UD, and CODT0/TOCT0 is the total COD/TOC [mg/L] before the UD.
COD solubilization degree = [(sCODS1 − sCODS0)/(CODT0 − sCODS0)] × 100
TOC solubilization degree = [(sTOCS1 − sTOCS0)/(TOCT0 − sTOCS0)] × 100

2.5. Analytical Methods

The total solids (TS) and volatile solids (VS) concentrations were determined using the gravimetric method (part of EPA Standard Method 2540). Dried biomass samples (at 105 °C) were assayed for their total carbon (TC), total organic carbon (TOC), and total nitrogen (TN) using a Thermo Flash 2000 organic elemental molecule analyzer (Thermo Scientific, Waltham, MA, USA). The determination of the total phosphorus (TP) was carried out colorimetrically in ammonium metavanadate (V) and ammonium molybdate, after prior mineralization in a mixture of sulfuric (VI) and chloric (VII) acids at 390 nm using a DR 2800 spectrophotometer (Hach-Lange GmbH, Düsseldorf, Germany). The total protein (TP) concentration was calculated by multiplying the TN value by a protein conversion factor of 6.25. Saccharides were determined as reducing sugars colorimetrically using an anthrone reagent at 600 nm and a DR 2800 spectrophotometer (Hach-Lange GmbH, Düsseldorf, Germany). Lipids analyses were carried out using Büchi extraction apparatus (B-811, Büchi AG, Flawil, Switzerland) with the Soxhlet method. The dissolved chemical oxygen demand (COD) was determined using a DR 5000 spectrophotometer with a HT 200 s mineralizer (Hach-Lange GmbH, Düsseldorf, Germany), and the dissolved total organic carbon (TOC) was determined using a TOC-L analyzer TOC-L (Shimadzu, Kyoto, Japan). The pH in the samples was determined using the following procedure. In total, 10 g of the homogenized air-dried sample was weighed in a 100 mL beaker with 50 mL of distilled water, and then the pH of the sample was measured with calibrated apparatus (VWR 1000 L, Germany). The methane in biogas was analyzed using a GC Agillent 7890 A gas chromatograph (Santa Clara, CA, USA) with a thermal conductivity detector (TCD), two Hayesep Q columns (80/100 mesh), two molecular sieves columns (60/80 mesh), and a Porapak Q column (80/100). The temperatures of the injection and detector ports were set at 150 °C and 250 °C, respectively. Helium and argon were used as carrier gases at a flow rate of 15 mL/min.

2.6. Statistical Analysis

The Statistica 13.1 PL software package (StatSoft, Inc., Tulsa, OK, USA) was used for the analysis of the results. Differences between the variables were analyzed using a one-way analysis of variance (ANOVA). Tukey’s HSD test was used to indicate the significance of these differences between the variables. The results were considered significant at p = 0.05 and a confidence level of 95%. The experiments were carried out and the samples were analyzed in four replicates.

3. Results and Discussion

3.1. Effects of Ultrasonic Pretreatment on Solubilization of Organic Matter

The experimental results showed a significant increase in the concentration of the soluble organic compounds in variants V1–V4. In V1, where the M–BGS biomass was not pretreated with ultrasonics, the soluble COD concentration was on the level of 119 ± 11 mgO2/L, while the soluble TOC was 89 ± 6 mg/L (Table 4). A dynamic transfer of the COD and TOC to the dissolved phases in V2 and V3 was found, which, respectively, reached 344 ± 39 mgO2/L and 302 ± 27 mg/L in V2, and in V3, respectively, was 617 ± 43 mgO2/L and 476 ± 52 mg/L (Table 4). The COD solubilization degrees were 25 ± 2.1% (V2) and 55.3 ± 3.9% (V3), respectively. For TOC, this indicator was 35.0 ± 2.4% (V2) and 63.6 ± 7.0% (V3). In the next variant of the experiment, the COD and TOC solubilizations were still at a high level. In V4, the COD and TOC concentrations were, respectively, 719 ± 49 mgO2/L and 533 ± 42 mg/L, while the solubilization degrees were 66.7 ± 3.0% and 73.0 ± 7.9% (Table 4). A higher ultrasonic energy input connected with a longer sonication time of 200 s did not enhance the solubilization of the organic matter. In V5, no significant increase in the concentrations of the organic compounds in the dissolved phase was found. The amounts of soluble COD and TOC were 771 ± 83 mgO2/L (solubilization degree 72.4 ± 7.3%) and 560 ± 42 mg/L (solubilization degree 77.5 ± 8.5%), respectively (Table 4).
Table 4. Effects of ultrasonic pretreatment on COD and TOC solubilization, depending on experimental variant.
Ultrasonication is a very popular and effective mechanical pretreatment method used for treating different kinds of biomass prior to AD [,,,,]. This method improves the biodegradability of biomass by disrupting its structure, thus changing its physical, chemical, and biological properties [,]. The primary purpose of the ultrasonic technique is to damage the structure of the cell walls, and then release the available intracellular matter for subsequent biodegradation in AD [,]. The main mechanism of action in ultrasound is cavitation, which is generated by the formation, growth, and violent collapse of bubbles created under excessively large negative pressure in the rarefaction regions [,]. The degree of biomass disintegration is evaluated by the changes in the physical properties (e.g., the particle size of biomass, turbidity, and settleability), chemical composition (increase in soluble organic matter concentration, and in protein, polysaccharide, ammonium nitrogen, and nitrate nitrogen concentrations in the dissolved phase), and biological characteristics (e.g., specific oxygen uptake rate) [].
The solubilization of organic matter is the main parameter used to evaluate the efficiency of biomass disintegration [,,,]. However, the obtained results depend on the biomass characteristics and the parameters of the ultrasonic device, such as the power supply, frequency, and sonication time [,]. In this study, in most of the variants, the soluble COD and TOC concentrations increased by more than six times (more than 600%) compared to the variant without UP. The extension of the sonication time to 200 s consequently increased the centration of the soluble COD and TOC. Similarly, the ultrasonic treatment of the excess sludge at 0.5 W/mL for 30 min increased the soluble COD concentration by 690% []. Dębowski et al. [] studied the ultrasonic disintegration of Scenedesmus sp. and Pinnularia sp. microalgae. They found that sonication for 200 s with a 400 W, 24 kHz ultrasonic device increased the soluble COD and TOC, respectively, from 64 ± 7 mg O2/L to 512 ± 31 mg O2/L and from 47 ± 6 mg/L to 441 ± 35 mg/L for Scenedesmus sp. and from 59 ± 4 mg O2/L to 360 ± 12 mg O2/L and from 50 ± 2 mg/L to 263 ± 18 mg/L for Pinnularia sp. Lower effects were observed by Passos et al. [], who obtained an increase in the organic matter solubilization between 16% and 100% during the UP of microalgae. The ultrasonic method for microalgal biomass disintegration before AD was also used by Park et al. []. In general, they found that the higher energy applied resulted in a higher COD solubilization. Some studies have shown positive effects of ultrasonication on the disintegration of anaerobic and aerobic granules [,]. Ultrasounds disintegrate both cellular and extracellular matter, therefore, the increase in the concentration of the soluble COD is achieved by solubilizing the solid matter, as well as the extracellular polymeric substances (EPS) dissolved in the aqueous phase []. Particle size reduction in pretreated biomass, resulting in an increase in the soluble COD concentration, plays a fundamental role in improving the biogas and methane production in AD [].

3.2. Effects of Ultrasonic Pretreatment on Biogas and Methane Production

Generally, in this study, positive effects of UP on the efficiency of the AD of M–BGS and biogas and methane production were found. The biogas and methane yields in V1 without UP were, respectively, 506 ± 38 cm3/g VS and 329 ± 20 cm3/g VS, and the concentration of methane in the biogas reached 65.5 ± 3.0% (Table 5, Figure 2a). The methane production rate (r) was at an average level of 43.4 cm3/g VS·d, while the process rate constant (k) was 0.13 (Figure 2a). A significant increase in the AD efficiency and biogas and methane production was observed with the use of ultrasound. In V2, 577 ± 42 cm3/g VS of biogas and 382 ± 29 cm3/g VS of CH4 were obtained (Table 5, Figure 2b). In this variant, the AD kinetics increased significantly in relation to the CH4 production (k = 64.9 cm3/g VS·d, r = 0.17), (Figure 2b). Extending the pretreatment time up to 100 s in V3 resulted in an increase of 479 ± 22 cm3/g VS (r = 91.0 cm3/g VS·d, k = 0.19) in the methane yield and 697 ± 37 cm3/g VS in the biogas yield (Table 5, Figure 2c), while the concentration of methane in the biogas achieved 68.7 ± 2.1% (Table 5). The highest efficiency of methane and biogas production was obtained in V4 and V5 at the highest dose of ultrasound, which was connected with longer UP time from 150 s to 200 s. In V4, the methane production was 534 ± 16 cm3/g VS, while in V5, it was 561 ± 17 cm3/g VS (Table 5, Figure 2d,e). The methane concentration in the biogas amounted to 68.2 ± 1.4% in V4 and 69.4 ± 3.2% in V5, and the rates of CH4 production were, respectively, 101.4 cm3/g VS·d and 106.6 cm3/g VS·d (Figure 2d,e, Table 5). The differences in the biogas and CH4 yields in V4 and V5 were not statistically significant.
Table 5. Effects of ultrasonic pretreatment on biogas and methane production depending on experimental variant.
Figure 2. Kinetics of methane production depending on experimental variant: (a) V1; (b) V2; (c) V3; (d) V4; and (e) V5.
In AD, hydrolysis is the rate-limiting step in the biodegradation of particle biomass and is carried out by extracellular enzymes [,,]. Hydrolysis enhancement can be achieved via ultrasonic pretreatment, which disrupts the cell walls of the biomass and releases the intracellular components into the dissolved phase, making the organic matter more accessible to hydrolytic enzymes [,,]. The ultrasonic solubilization of organic matter directly enhances the hydrolysis step but not acidogenesis; however, it promotes methanogenesis []. Thus, the effectiveness of ultrasonic biomass disintegration can also be assessed by the yields of biogas and methane [,,]. According to Apul and Sanin [], the improvement in the methane and biogas production can be more than 75% and 50%, respectively, compared to the achievements without biomass sonication. In this study, UP enhanced the methane and biogas production by approx. 70.5% and 60%, respectively, at a sonication time of 200 s. Similar achievements were observed by Zeynali et al. [], who studied the effects of UP on fruit and vegetable market wastes’ biogas yield in AD. They found the highest biogas yield of 396 mL/g VSin at 18 min of sonication, which was 80% higher than that without pretreatment. An ultrasonication of the filamentous alga Hydrodictyon reticulatum prior to AD resulted in a methane production of 384 mL/g VSin, which was 2.3 times higher than the production obtained for an untreated sample [].

3.3. Correlation Analysis of Experimental Data

A statistical analysis of the obtained data made it possible to determine the relationship between the variables. A strong positive linear correlation was found between the experimental variant, the UP time, and the soluble organic compounds in the dissolved phase. The coefficient of determination R2 was 0.9285 for the COD and 0.8820 for the TOC (Figure 3a). Very strong positive correlations were also noted between the UP time used and the effectiveness of the AD, measured as methane and biogas production. It was found that the coefficient of determination R2 for the methane yield was 0.9671, while for the biogas production, it was 0.871 (Figure 3b).
Figure 3. Correlation analysis: (a) concentrations of organic compounds in the dissolved phase depending on sonication time; and (b) biogas and methane production yield depending on sonication time.

3.4. Energy Balance of Anaerobic Digestion and Ultrasonic Pretreatment

In general, UP enhances the yield of methane. On the other hand, the sonication process consumes additional energy; thus, an energy balance should be performed to assess the cost-effectiveness of this process.
Taking into account the technological parameters of the AD process, the amount of CH4 obtained, and its energy value of 9.17 Wh/L, the highest gross energy outputs (EGout) generated from the methane production were obtained in V4 and V5, and, respectively, were 4.89 ± 0.17 Wh/g VS and 5.14 ± 0.15 Wh/g VS, while in V1 without UP, this was only 3.02 ± 0.18 Wh/g VS (Table 6, Figure 4). The contribution of the specific energy input (Es) was proportional to the duration of the disintegration and ranged from 0.23 Wh/g VS to 1.32 Wh/g VS (Table 6). Considering the energy expenditures, the highest net energy output (ENout) was achieved in V4 and it was 4.21 ± 0.17 Wh/g VS. In the remaining variants, the ENout was significantly lower and ranged from 3.02 ± 0.18 Wh/g VS in V1 to 3.93 ± 0.20 Wh/g VS in V3 (Table 6, Figure 4). The net energy gain (Enet) is shown in Figure 4. The highest Enet was recorded in V4 and it was 1.19 ± 0.18 Wh/g VS (Table 6, Figure 4). There was a strong positive correlation between the duration of the UP and the gross energy output (R2 = 0.9671), as well as the net energy output (R2 = 0.6.759), (Figure 4).
Table 6. Energy gain assessment of the anaerobic digestion of M–BGS pretreated with ultrasound.
Figure 4. Effects of ultrasonic pretreatment duration on (a) the gross and net energy output; and (b) the net energy gain.
Biomass solubilization efficiency mostly depends on specific energy input (Es), and the threshold of Es used for UP usually reported in literature is between 1000 and 16,000 kJ/kg TS [,,]. The ultrasonication time also affects the results of the methane generation, however, a long sonication exposure period could result in the release of free radicals, lipids oxidation, and an accumulation of generated heat, which is not favorable in the enhancement of AD []. It should be also noted that a higher Es and longer sonication consume more energy.
In this study, the longest sonication time of 200 s and highest Es of 1.32 Wh/g VS provided the highest solubilization of organic matter and methane production. Taking into account the energy consumption, the highest net energy output and net energy gain were achieved with a sonication time of 150 s and an Es of 0.69 Wh/g VS. Zeynali et al. [] found that an increase in the methane production yield after the UP of biomass (the energy obtained was 2.17 kJ/g VS) compensated the energy needed for the sonication (1.03 Wh/g VS). Kisielewska et al. [] observed that the process of the UP of Sida hermaphrodita prior to AD was energetically favorable when the Es ranged from 25 to 50 kJ/kg VS, because a higher Es did not compensate the energy consumption for irradiation.
Unfortunately, ultrasonic technology for biomass pretreatment is generally not established, because the effectiveness of UP is strongly dependent on the biomass composition and its physical properties []. Moreover, most studies on UP have been conducted on a laboratory scale; hence, it is difficult to evaluate the practical feasibility of UP, as well as to optimize its technological parameters in full-scale installations []. However, UP represents a great potential for biomass disintegration prior to AD.

4. Conclusions

The use of ultrasound as a technique for the pretreatment of M–BGS biomass significantly influenced the efficiency of the AD process. The effects concerned both a higher solubilization of organic matter and a significant increase in the kinetics of the anaerobic processes.
The ultrasonication of M–BGS resulted in an increase in the concentration of the dissolved COD and TOC fractions. In most of the variants, the COD and TOC concentrations increased by more than six times compared to the variant without UP. Strong positive correlations were found between the duration of UP and the COD and TOC concentrations in the dissolved phase, which allows for the use of simple linear models to predict the obtained technological effects.
The study showed a positive effect of UP on the AD of M–BGS biomass. The highest efficiency of CH4 production was found in the variants in which the ultrasonication lasted from 150 s to 200 s, and this was from 534 ± 16 cm3 CH4/g VS to 561 ± 17 cm3 CH4/g VS. These variants were also characterized by the fastest kinetics of the anaerobic process.
An energy gain assessment of the anaerobic digestion of the M–BGS pretreated with ultrasound showed that the highest net energy output of 4.21 ± 0.17 Wh/g VS was obtained with 150 s of sonication. Similarly, the estimation of the net energy gain indicated this variant of the experiment as the most effective. The data analysis confirmed the existence of strong correlations between the UP time, amount of biogas and methane production, and gross energy gain.
It should be emphasized that the obtained results are only the basis for further development work. This type of innovative solution must reach the appropriate technical readiness level (TRL) before the development of implementation assumptions. This is performed in many stages throughout the concept, then small-scale tests, the design and construction of a prototype, a pilot-scale exploitation, and a fractional-scale operation can occur. Only then can the appropriate knowledge base be acquired to assess the ultimate performance and cost-effectiveness of the technology at scale. The research presented in the study is preliminary laboratory work at the initial TRL. This technology requires significant supplementation both with the results of the application of optimization techniques and a verification of the obtained technological efficiency and economic profitability in the operating conditions of a significantly larger installation.

Author Contributions

Conceptualization, M.D. and M.Z.; methodology, M.D. and M.Z. validation, M.D.; formal analysis, M.D. and M.Z.; investigation, M.D., M.K. and M.Z.; resources, M.D., M.K., M.Z. and J.K.; data curation, M.D., M.K., M.Z. and J.K.; writing—original draft preparation, M.D. and M.K.; writing—review and editing, M.D., M.K., M.Z. and J.K.; visualization, M.D. and M.K.; supervision, M.D.; project administration, M.D. and M.K.; funding acquisition, M.D. All authors have read and agreed to the published version of the manuscript.

Funding

The manuscript was supported by Project financially supported by Minister of Education and Science in the range of the program entitled “Regional Initiative of Excellence” for the years 2019–2023, project no. 010/RID/2018/19, amount of funding: 12,000,000 PLN, and the work WZ/WB-IIŚ/3/2022, funded by the Minister of Education and Science.

Institutional Review Board Statement

Not applicable.

Data Availability Statement

Not applicable.

Conflicts of Interest

The authors declare no conflict of interest. The funders had no role in the design of the study; in the collection, analyses, or interpretation of data; in the writing of the manuscript; or in the decision to publish the results.

References

  1. Li, S.; Li, F.; Zhu, X.; Liao, Q.; Chang, J.S.; Ho, S.H. Biohydrogen production from microalgae for environmental sustainability. Chemosphere 2022, 291, 132717. [Google Scholar] [CrossRef]
  2. Jia, H.; Yuan, Q. Removal of nitrogen from wastewater using microalgae and microalgae–bacteria consortia. Cogent Environ. Sci. 2016, 2, 1275089. [Google Scholar] [CrossRef]
  3. Fallahi, A.; Rezvani, F.; Asgharnejad, H.; Nazloo, E.K.; Hajinajaf, N.; Higgins, B. Interactions of microalgae-bacteria consortia for nutrient removal from wastewater: A review. Chemosphere 2021, 272, 129878. [Google Scholar] [CrossRef] [PubMed]
  4. Sánchez-Zurano, A.; Rodríguez-Miranda, E.; Guzmán, J.L.; Acién-Fernández, F.G.; Fernández-Sevilla, J.M.; Molina Grima, E. ABACO: A new model of microalgae-bacteria consortia for biological treatment of wastewaters. Appl. Sci. 2021, 11, 998. [Google Scholar] [CrossRef]
  5. Yao, S.; Lyu, S.; An, Y.; Lu, J.; Gjermansen, C.; Schramm, A. Microalgae–bacteria symbiosis in microalgal growth and biofuel production: A review. J. Appl. Microbiol. 2019, 126, 359–368. [Google Scholar] [CrossRef]
  6. Olguín, E.J. Dual purpose microalgae–bacteria-based systems that treat wastewater and produce biodiesel and chemical products within a Biorefinery. Biotechnol. Adv. 2012, 30, 1031–1046. [Google Scholar] [CrossRef] [PubMed]
  7. Fito, J.; Alemu, K. Microalgae–bacteria consortium treatment technology for municipal wastewater management. Nanotechnol Environ. Eng. 2019, 4, 1–9. [Google Scholar] [CrossRef]
  8. Law, X.N.; Cheah, W.Y.; Chew, K.W.; Ibrahim, M.F.; Park, Y.K.; Ho, S.H.; Show, P.L. Microalgal-based biochar in wastewater remediation: Its synthesis, characterization and applications. Environ. Res. 2022, 204, 111966. [Google Scholar] [CrossRef]
  9. Goswami, G.; Makut, B.B.; Das, D. Sustainable production of bio-crude oil via hydrothermal liquefaction of symbiotically grown biomass of microalgae-bacteria coupled with effective wastewater treatment. Sci. Rep. 2019, 9, 15016. [Google Scholar] [CrossRef]
  10. Magro, F.G.; Freitag, J.F.; Bergoli, A.; Cavanhi, V.A.F.; Colla, L.M. Microalgae consortia cultivation using effluents for bioproduct manufacture. Rev. Environ. Sci. Biotechnol. 2021, 20, 865–886. [Google Scholar] [CrossRef]
  11. Ray, A.; Nayak, M.; Ghosh, A. A review on co-culturing of microalgae: A greener strategy towards sustainable biofuels production. Sci. Total. Environ. 2022, 802, 149765. [Google Scholar] [CrossRef]
  12. Qin, L.; Wang, Z.; Sun, Y.; Shu, Q.; Feng, P.; Zhu, L.; Xu, J.; Yuan, Z. Microalgae consortia cultivation in dairy wastewater to improve the potential of nutrient removal and biodiesel feedstock production. Environ. Sci. Pollut. Res. 2016, 23, 8379–8387. [Google Scholar] [CrossRef]
  13. Nagarajan, D.; Lee, D.J.; Varjani, S.; Lam, S.S.; Allakhverdiev, S.I.; Chang, J.S. Microalgae-based wastewater treatment–Microalgae-bacteria consortia, multi-omics approaches and algal stress response. Sci. Total Environ. 2022, 845, 157110. [Google Scholar] [CrossRef]
  14. Iqbal, K.; Saxena, A.; Pande, P.; Tiwari, A.; Joshi, N.C.; Varma, A.; Mishra, A. Microalgae-bacterial granular consortium: Striding towards sustainable production of biohydrogen coupled with wastewater treatment. Bioresour. Technol. 2022, 354, 127203. [Google Scholar] [CrossRef] [PubMed]
  15. Ramanan, R.; Kim, B.H.; Cho, D.H.; Oh, H.M.; Kim, H.S. Algae–bacteria interactions: Evolution, ecology and emerging applications. Biotechnol. Adv. 2016, 34, 14–29. [Google Scholar] [CrossRef]
  16. Fuentes, J.L.; Garbayo, I.; Cuaresma, M.; Montero, Z.; González-del-Valle, M.; Vílchez, C. Impact of microalgae-bacteria interactions on the production of algal biomass and associated compounds. Mar. Drugs 2016, 14, 100. [Google Scholar] [CrossRef] [PubMed]
  17. Aditya, L.; Mahlia, T.I.; Nguyen, L.N.; Vu, H.P.; Nghiem, L.D. Microalgae-bacteria consortium for wastewater treatment and biomass production. Sci. Total Environ. 2022, 838, 155871. [Google Scholar] [CrossRef]
  18. Li, S.; Chu, Y.; Xie, P.; Xie, Y.; Chang, H.; Ho, S.H. Insights into the microalgae-bacteria consortia treating swine wastewater: Symbiotic mechanism and resistance genes analysis. Bioresour. Technol. 2022, 349, 126892. [Google Scholar] [CrossRef] [PubMed]
  19. Chan, S.S.; Khoo, K.S.; Chew, K.W.; Ling, T.C.; Show, P.L. Recent advances biodegradation and biosorption of organic compounds from wastewater: Microalgae-bacteria consortium-A review. Bioresour. Technol. 2022, 344, 126159. [Google Scholar] [CrossRef]
  20. Qu, W.; Zhang, C.; Chen, X.; Ho, S.H. New concept in swine wastewater treatment: Development of a self-sustaining synergetic microalgae-bacteria symbiosis (ABS) system to achieve environmental sustainability. J. Hazard. Mater. 2021, 418, 126264. [Google Scholar] [CrossRef]
  21. Yan, H.; Lu, R.; Liu, Y.; Cui, X.; Wang, Y.; Yu, Z.; Ruan, R.; Zhang, Q. Development of microalgae-bacteria symbiosis system for enhanced treatment of biogas slurry. Bioresour. Technol. 2022, 354, 127187. [Google Scholar] [CrossRef] [PubMed]
  22. Qv, M.; Dai, D.; Liu, D.; Wu, Q.; Tang, C.; Li, S.; Zhu, L. Towards advanced nutrient removal by microalgae-bacteria symbiosis system for wastewater treatment. Bioresour. Technol. 2023, 370, 128574. [Google Scholar] [CrossRef] [PubMed]
  23. Wang, M.; Park, C. Investigation of anaerobic digestion of Chlorella sp. and Micractinium sp. grown in high-nitrogen wastewater and their co-digestion with waste activated sludge. Biomass Bioenergy 2015, 80, 30–37. [Google Scholar] [CrossRef]
  24. Uggetti, E.; Sialve, B.; Trably, E.; Steyer, J.P. Integrating microalgae production with anaerobic digestion: A biorefinery approach. Biofuels Bioprod. Biorefining 2014, 8, 516–529. [Google Scholar] [CrossRef]
  25. Kisielewska, M.; Dębowski, M.; Zieliński, M. Comparison of biogas production from anaerobic digestion of microalgae species belonged to various taxonomic groups. Arch. Environ. Prot. 2020, 46, 33–40. [Google Scholar] [CrossRef]
  26. Ward, A.J.; Lewis, D.M.; Green, F.B. Anaerobic digestion of algae biomass: A review. Algal Res. 2014, 5, 204–214. [Google Scholar] [CrossRef]
  27. Vargas-Estrada, L.; Longoria, A.; Arenas, E.; Moreira, J.; Okoye, P.U.; Bustos-Terrones, Y.; Sebastian, P.J. A review on current trends in biogas production from microalgae biomass and microalgae waste by anaerobic digestion and co-digestion. BioEnergy Res. 2022, 15, 77–92. [Google Scholar] [CrossRef]
  28. Magdalena, J.A.; Ballesteros, M.; González-Fernandez, C. Efficient anaerobic digestion of microalgae biomass: Proteins as a key macromolecule. Molecules 2018, 23, 1098. [Google Scholar] [CrossRef]
  29. Muñoz, C.; Hidalgo, C.; Zapata, M.; Jeison, D.; Riquelme, C.; Rivas, M. Use of cellulolytic marine bacteria for enzymatic pretreatment in microalgal biogas production. Appl. Environ. Microbiol. 2014, 80, 4199–4206. [Google Scholar] [CrossRef]
  30. Rokicka, M.; Zieliński, M.; Dudek, M.; Dębowski, M. Effects of ultrasonic and microwave pretreatment on lipid extraction of microalgae and methane production from the residual extracted biomass. BioEnergy Res. 2021, 14, 752–760. [Google Scholar] [CrossRef]
  31. Dębowski, M.; Kazimierowicz, J.; Świca, I.; Zieliński, M. Ultrasonic Disintegration to Improve Anaerobic Digestion of Microalgae with Hard Cell Walls—Scenedesmus sp. and Pinnularia sp. Plants 2023, 12, 53. [Google Scholar] [CrossRef] [PubMed]
  32. Han, P.; Lu, Q.; Fan, L.; Zhou, W. A review on the use of microalgae for sustainable aquaculture. Appl. Sci. 2019, 9, 2377. [Google Scholar] [CrossRef]
  33. Arcila, J.S.; Buitrón, G. Microalgae–bacteria aggregates: Effect of the hydraulic retention time on the municipal wastewater treatment, biomass settleability and methane potential. J. Chem. Technol. Biotechnol. 2016, 91, 2862–2870. [Google Scholar] [CrossRef]
  34. Lü, F.; Ji, J.; Shao, L.; He, P. Bacterial bioaugmentation for improving methane and hydrogen production from microalgae. Biotechnol. Biofuels 2013, 6, 92. [Google Scholar] [CrossRef]
  35. Miao, H.; Lu, M.; Zhao, M.; Huang, Z.; Ren, H.; Yan, Q.; Ruan, W. Enhancement of Taihu blue algae anaerobicdigestion efficiency by natural storage. Bioresour. Technol. 2013, 149, 359–366. [Google Scholar] [CrossRef] [PubMed]
  36. Doloman, A.; Pererva, Y.; Cortez, M.H.; Sims, R.C.; Miller, C.D. Augmentation of granular anaerobic sludge with algalytic bacteria enhances methane production from microalgal biomass. Fermentation 2019, 5, 88. [Google Scholar] [CrossRef]
  37. Mainardis, M.; Buttazzoni, M.; Gievers, F.; Vance, C.; Magnolo, F.; Murphy, F.; Goi, D. Life cycle assessment of sewage sludge pretreatment for biogas production: From laboratory tests to full-scale applicability. J. Clean. Prod. 2021, 322, 129056. [Google Scholar] [CrossRef]
  38. Ruiz-Espinoza, J.E.; Córdova-Lizama, A.; Yañez-Palma, R.; Hernández-Martínez, G.; Ben-Youssef, C.; Zepeda-Pedreguera, A. Ultrasonic pretreatment of sewage sludge, an effective tool to improve the anaerobic digestion: Current challenges, recent developments, and perspectives. In Development in Wastewater Treatment Research and Processes: Treatment and Reuse of Sewage Sludge: An Innovative Approach for Wastewater Treatment, 1st ed.; Shah, M., Rodriguez-Couto, S., Shah, N., Banerjee, R., Eds.; Elsevier Science: Amsterdam, The Netherlands, 2022; Chapter 8; pp. 119–138. [Google Scholar] [CrossRef]
  39. Komarov, S.; Yamamoto, T.; Fang, Y.; Hariu, D. Combined effect of acoustic cavitation and pulsed discharge plasma on wastewater treatment efficiency in a circulating reactor: A case study of rhodamine b. Ultrason. Sonochem. 2020, 68, 105236. [Google Scholar] [CrossRef]
  40. Karthikesh, M.S.; Yang, X. The effect of ultrasound cavitation on endothelial cells. Exp. Biol. Med. 2021, 246, 758–770. [Google Scholar] [CrossRef] [PubMed]
  41. Kazimierowicz, J.; Dębowski, M.; Zieliński, M. Taxonomic Structure Evolution, Chemical Composition and Anaerobic Digestibility of Microalgae-Bacterial Granular Sludge (M-BGS) Grown during Treatment of Digestate. Appl. Sci. 2023, 13, 1098. [Google Scholar] [CrossRef]
  42. Dębowski, M.; Zieliński, M.; Kisielewska, M.; Krzemieniewski, M. Anaerobic co-digestion of the energy crop Sida hermaphrodita and microalgae biomass for enhanced biogas production. Int. J. Environ. Res. 2017, 11, 243–250. [Google Scholar] [CrossRef]
  43. Zou, X.; Yang, R.; Zhou, X.; Cao, G.; Zhu, R.; Ouyang, F. Effects of Mixed Alkali-Thermal Pretreatment on Anaerobic Digestion Performance of Waste Activated Sludge. J. Clean. Prod. 2020, 259, 120940. [Google Scholar] [CrossRef]
  44. Flores, E.M.; Cravotto, G.; Bizzi, C.A.; Santos, D.; Iop, G.D. Ultrasound-assisted biomass valorization to industrial interesting products: State-of-the-art, perspectives and challenges. Ultrason. Sonochem. 2021, 72, 105455. [Google Scholar] [CrossRef]
  45. Kisielewska, M.; Rusanowska, P.; Dudek, M.; Nowicka, A.; Krzywik, A.; Dębowski, M.; Kazimierowicz, J.; Zieliński, M. Evaluation of ultrasound pretreatment for enhanced anaerobic digestion of Sida hermaphrodita. Bioenergy Res. 2020, 13, 824–832. [Google Scholar] [CrossRef]
  46. Zhen, G.; Lu, X.; Kato, H.; Zhao, Y.; Li, Y.Y. Overview of pretreatment strategies for enhancing sewage sludge disintegration and subsequent anaerobic digestion: Current advances, full-scale application and future perspectives. Renew. Sustain. Energy Rev. 2017, 69, 559–577. [Google Scholar] [CrossRef]
  47. Paul, R.; Silkina, A.; Melville, L.; Suhartini, S.; Sulu, M. Optimisation of Ultrasound Pretreatment of Microalgal Biomass for Effective Biogas Production through Anaerobic Digestion Process. Energies 2023, 16, 553. [Google Scholar] [CrossRef]
  48. Liyakathali, N.A.M.; Muley, P.D.; Aita, G.; Boldor, D. Effect of frequency and reaction time in focused ultrasonic pretreatment of energy cane bagasse for bioethanol production. Bioresour. Technol. 2016, 200, 262–271. [Google Scholar] [CrossRef]
  49. Pilli, S.; Bhunia, P.; Yan, S.; LeBlanc, R.J.; Tyagi, R.D.; Surampalli, R.Y. Ultrasonic pretreatment of sludge: A review. Ultrason. Sonochem. 2011, 18, 1–18. [Google Scholar] [CrossRef] [PubMed]
  50. Qian, J.; Zhao, F.; Gao, J.; Qu, L.; He, Z.; Yi, S. Characterization of the structural and dynamic changes of cell wall obtained by ultrasound-water and ultrasound-alkali treatments. Ultrason. Sonochem. 2021, 77, 105672. [Google Scholar] [CrossRef] [PubMed]
  51. Chu, C.P.; Lee, D.J.; Chang, B.V.; You, C.S.; Tay, J.H. “Weak” ultrasonic pre-treatment on anaerobic digestion of flocculated activated biosolids. Water Res. 2002, 36, 2681–2688. [Google Scholar] [CrossRef]
  52. Le, N.T.; Julcour-Lebigue, C.; Delmas, H. An executive review of sludge pretreatment by sonication. J. Environ. Sci. 2015, 37, 139–153. [Google Scholar] [CrossRef]
  53. Khanal, S.K.; Grewell, D.; Sung, S.; Van Leeuwen, J. Ultrasound applications in wastewater sludge pretreatment: A review. Crit. Rev. Environ. Sci. Technol. 2007, 37, 277–313. [Google Scholar] [CrossRef]
  54. Nickel, K.; Neis, U. Ultrasonic disintegration of biosolids for improved biodegradation. Ultrason. Sonochem. 2007, 14, 450–455. [Google Scholar] [CrossRef]
  55. Tiehm, A.; Nickel, K.; Zellhorn, M.; Neis, U. Ultrasonic waste activated sludge disintegration for improving anaerobic stabilization. Water Res. 2001, 35, 2003–2009. [Google Scholar] [CrossRef]
  56. Rai, C.L.; Struenkmann, G.; Mueller, J.; Rao, P.G. Influence of ultrasonic disintegration on sludge growth reduction and its estimation by respirometry. Environ. Sci. Technol. 2004, 38, 5779–5785. [Google Scholar] [CrossRef]
  57. Neis, U.; Nickel, K.; Tiehm, A. Enhancement of anaerobic sludge digestion by ultrasonic disintegration. Water Sci. Technol. 2000, 42, 73–80. [Google Scholar] [CrossRef]
  58. Zhang, P.; Zhang, G.; Wang, W. Ultrasonic treatment of biological sludge: Floc disintegration, cell lysis and inactivation. Bioresour. Technol. 2007, 98, 207–210. [Google Scholar] [CrossRef] [PubMed]
  59. Passos, F.; Astals, S.; Ferrer, I. Anaerobic digestion of microalgal biomass after ultrasound pretreatment. Waste Manag. 2014, 34, 2098–2103. [Google Scholar] [CrossRef] [PubMed]
  60. Park, K.Y.; Kweon, J.; Chantrasakdakul, P.; Lee, K.; Cha, H.Y. Anaerobic digestion of microalgal biomass with ultrasonic disintegration. Int. Biodeterior. Biodegrad 2013, 85, 598–602. [Google Scholar] [CrossRef]
  61. Kavitha, S.; Kannah, R.Y.; Gunasekaran, M.; Nguyen, D.D.; Ala’a, H.; Park, J.H.; Banu, J.R. Effect of low intensity sonic mediated fragmentation of anaerobic granules on biosurfactant secreting bacterial pretreatment: Energy and mass balance analysis. Bioresour. Technol. 2019, 279, 156–165. [Google Scholar] [CrossRef] [PubMed]
  62. Cydzik-Kwiatkowska, A.; Bernat, K.; Zielińska, M.; Gusiatin, M.Z.; Wojnowska-Baryła, I.; Kulikowska, D. Valorization of full-scale waste aerobic granular sludge for biogas production and the characteristics of the digestate. Chemosphere 2022, 303, 135167. [Google Scholar] [CrossRef] [PubMed]
  63. Ouahabi, Y.R.; Bensadok, K.; Ouahabi, A. Optimization of the biomethane production process by anaerobic digestion of wheat straw using chemical pretreatments coupled with ultrasonic disintegration. Sustainability 2021, 13, 7202. [Google Scholar] [CrossRef]
  64. Guo, H.; Oosterkamp, M.J.; Tonin, F.; Hendriks, A.; Nair, R.; van Lier, J.B.; de Kreuk, M. Reconsidering hydrolysis kinetics for anaerobic digestion of waste activated sludge applying cascade reactors with ultra-short residence times. Water Res. 2021, 202, 117398. [Google Scholar] [CrossRef]
  65. Zamri, M.F.M.A.; Hasmady, S.; Akhiar, A.; Ideris, F.; Shamsuddin, A.H.; Mofijur, M.; Fattah, I.M.R.; Mahlia, T.M.I. A comprehensive review on anaerobic digestion of organic fraction of municipal solid waste. Renew. Sustain. Energy Rev. 2021, 137, 110637. [Google Scholar] [CrossRef]
  66. Martín, M.Á.; González, I.; Serrano, A.; Siles, J.Á. Evaluation of the improvement of sonication pre-treatment in the anaerobic digestion of sewage sludge. J. Environ. Manag. 2015, 147, 330–337. [Google Scholar] [CrossRef]
  67. Chang, T.C.; You, S.J.; Damodar, R.A.; Chen, Y.Y. Ultrasound pre-treatment step for performance enhancement in an aerobic sludge digestion process. J. Taiwan Inst. Chem. Eng. 2011, 42, 801–808. [Google Scholar] [CrossRef]
  68. Mao, T.; Show, K.Y. Performance of high-rate sludge digesters fed with sonicated sludge. Water Sci. Technol. 2006, 54, 27–33. [Google Scholar] [CrossRef]
  69. Şenol, H. Methane yield prediction of ultrasonic pretreated sewage sludge by means of an artificial neural network. Energy 2021, 215, 119173. [Google Scholar] [CrossRef]
  70. Apul, O.G.; Sanin, F.D. Ultrasonic pretreatment and subsequent anaerobic digestion under different operational conditions. Bioresour. Technol. 2010, 101, 8984–8992. [Google Scholar] [CrossRef] [PubMed]
  71. Zeynali, R.; Khojastehpour, M.; Ebrahimi-Nik, M. Effect of ultrasonic pre-treatment on biogas yield and specific energy in anaerobic digestion of fruit and vegetable wholesale market wastes. Sustain. Environ. Res. 2017, 27, 259–264. [Google Scholar] [CrossRef]
  72. Lee, K.; Chantrasakdakul, P.; Kim, D.; Kong, M.; Park, K.Y. Ultrasound pretreatment of filamentous algal biomass for enhanced biogas production. Waste Manag. 2014, 34, 1035–1040. [Google Scholar] [CrossRef] [PubMed]
  73. Feng, X.; Lei, H.; Deng, J.; Yu, Q.; Li, H. Physical and chemical characteristics of waste activated sludge treated ultrasonically. Chem. Eng. Process. Process. Intensif. 2009, 48, 187–194. [Google Scholar] [CrossRef]
  74. Carrere, H.; Antonopoulou, G.; Affes, R.; Passos, F.; Battimelli, A.; Lyberatos, G.; Ferrer, I. Review of feedstock pretreatment strategies for improved anaerobic digestion: From lab-scale research to full-scale application. Bioresour. Technol. 2016, 199, 386–397. [Google Scholar] [CrossRef] [PubMed]
  75. Carrère, H.; Dumas, C.; Battimelli, A.; Batstone, D.J.; Delgenes, J.P.; Steyer, J.P.; Ferrer, I. Pretreatment methods to improve sludge anaerobic degradability: A review. J. Hazard. Mater. 2010, 183, 1–15. [Google Scholar] [CrossRef]
  76. Liu, Y.; Liu, X.; Cui, Y.; Yuan, W. Ultrasound for microalgal cell disruption and product extraction: A review. Ultrason. Sonochem. 2022, 87, 106054. [Google Scholar] [CrossRef] [PubMed]
  77. Zhao, K.; Zhao, S.; Song, G.; Lu, C.; Liu, R.; Hu, C.; Qu, J. Ultrasonication-enhanced biogas production in anaerobic digestion of waste active sludge: A pilot scale investigation. Resour. Conserv. Recycl. 2023, 192, 106902. [Google Scholar] [CrossRef]
Disclaimer/Publisher’s Note: The statements, opinions and data contained in all publications are solely those of the individual author(s) and contributor(s) and not of MDPI and/or the editor(s). MDPI and/or the editor(s) disclaim responsibility for any injury to people or property resulting from any ideas, methods, instructions or products referred to in the content.

Article Metrics

Citations

Article Access Statistics

Multiple requests from the same IP address are counted as one view.