Retrospective Study of the Association between Peri-Implantitis and Keratinized Mucosa
Abstract
:1. Introduction
2. Method and Materials
2.1. Design
2.2. Setting and Participants
2.3. Study Variables
2.4. Ethical and Legal Considerations
2.5. Statistical Analysis
3. Results
4. Discussion
5. Conclusions
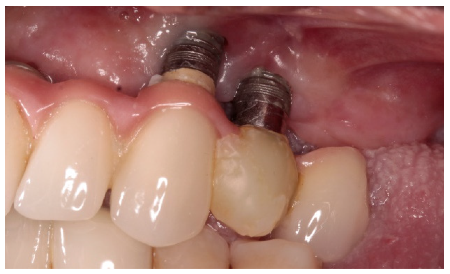
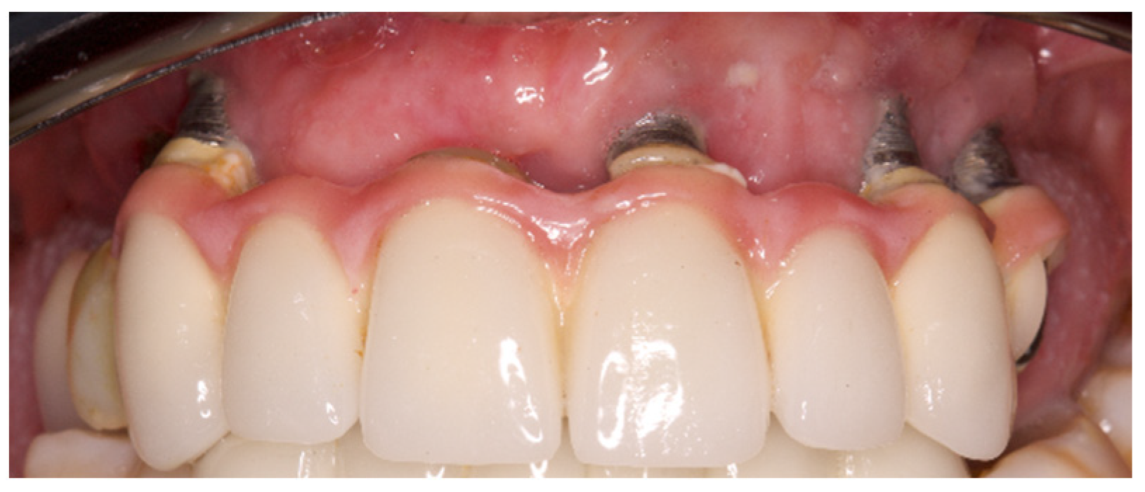
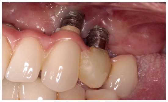
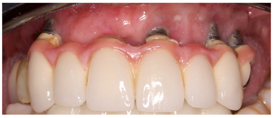
- The presence of KM around the implants seems to have been associated with peri-implantitis and with a transparency of the peri-implant tissues.
- The absence of KM appears to have an impact on certain clinical parameters: Recession is augmented in implants with absence of KM; hygiene is facilitated when implants are surrounded by KM, therefore the plaque index is lower; probing depth tends to increase in implants without KM; bleeding and suppuration are reduced in the presence of KM and bone level tends to be lower in implants without KM.
- Further research is needed in this field to clarify the relationship between KM and peri-implantitis.
Author Contributions
Funding
Institutional Review Board Statement
Informed Consent Statement
Conflicts of Interest
Abbreviations
| KM | keratinized mucosa |
| GEE | generalized estimating equations |
| OR | odds ratio |
| BOP | bleeding on probing |
| PD | probing depth |
| BL | bone level |
| PI | peri-implantitis |
References
- Schwarz, F.; Derks, J.; Monje, A.; Wang, H.L. Peri-implantitis. J. Clin. Periodontol. 2018, 45 (Suppl. S20), S246–S266. [Google Scholar] [CrossRef] [PubMed]
- Berglundh, T.; Armitage, G.; Araujo, M.G.; Avila-Ortiz, G.; Blanco, J.; Camargo, P.M. Peri-implant diseases and conditions: Consensus report of workgroup 4 of the 2017 World Workshop on the Classification of Periodontal and PeriImplant Diseases and Conditions. J. Periodontol. 2018, 89 (Suppl. S1), S313–S318. [Google Scholar] [CrossRef] [PubMed]
- Zitzmann, N.U.; Berglundh, T. Definition and prevalence of peri-implant diseases. J. Clin. Periodontol. 2008, 35 (Suppl. S8), 286–291. [Google Scholar] [CrossRef] [PubMed]
- Heitz-Mayfield, L.J.A. Peri-implant diseases: Diagnosis and risk indicators. J. Clin. Periodontol. 2008, 35 (Suppl. S8), 292–304. [Google Scholar] [CrossRef] [PubMed]
- Lin, G.H.; Chan, H.L.; Wang, H.L. The Significance of Keratinized Mucosa on Implant Health: A Systematic Review. J. Periodontol. 2013, 84, 1755–1767. [Google Scholar] [CrossRef] [PubMed]
- Perussolo, J.; Souza, A.B.; Matarazzo, F.; Oliveira, R.P.; Araújo, M.G. Influence of the keratinized mucosa on the stability of peri-implant tissues and brushing discomfort: A 4-year follow-up study. Clin. Oral Implant. Res. 2018, 29, 1177–1185. [Google Scholar] [CrossRef]
- Bonino, F.; Steffensen, B.; Natto, Z.; Hur, Y.; Holtzman, L.P.; Weber, H.P. Prospective study of the impact of peri-implant soft tissue properties on patient-reported and clinically assessed outcomes. J. Periodontol. 2018, 89, 1025–1032. [Google Scholar] [CrossRef]
- Ravidà, A.; Saleh, I.; Siqueira, R.; Garaicoa-Pazmiño, C.; Saleh, M.H.A.; Monje, A.; Wang, H.L. Influence of keratinized mucosa on the surgical therapeutical outcomes of peri-implantitis. J. Clin. Periodontol. 2020, 47, 529–539. [Google Scholar] [CrossRef]
- McCracken, G.; Asuni, A.; Ritchie, M.; Vernazza, C.; Heasman, P. Failing to meet the goals of periodontal recall programs. What next? Periodontology 2000 2017, 75, 330–352. [Google Scholar] [CrossRef]
- Araujo, M.G.; Lindhe, J. Peri-implant health. J. Periodontol. 2018, 89 (Suppl. S1), S249–S256. [Google Scholar] [CrossRef]
- Warrer, K.; Buser, D.; Lang, N.P.; Karring, T. Plaque-induced peri-implantitis in the presence or absence of keratinized mucosa. An experimental study in monkeys. Clin. Oral Implant. Res. 1995, 6, 131–138. [Google Scholar] [CrossRef] [PubMed]
- Schroeder, A.; Van der Zypen, E.; Stich, H.; Sutter, F. The reactions of bone, connective tissue, and epithelium to endosteal implants with titanium-sprayed surfaces. J. Maxillofac. Surg. 1981, 9, 15–25. [Google Scholar] [CrossRef]
- Yeung, S.C.H. Biological basis for soft tissue management in implant dentistry. Aust. Dent. J. 2008, 53 (Suppl. S1), S39–S42. [Google Scholar] [CrossRef] [PubMed]
- Cairo, F.; Pagliaro, U.; Nieri, M. Soft tissue management at implant sites. J. Clin. Periodontol. 2008, 35 (Suppl. S8), 163–167. [Google Scholar] [CrossRef] [PubMed]
- Schrott, A.R.; Jimenez, M.; Hwang, J.W.; Fiorellini, J.; Weber, H.P. Five-year evaluation of the influence of keratinized mucosa on peri-implant soft-tissue health and stability around implants supporting full-arch mandibular fixed prostheses. Clin. Oral Implant. Res. 2009, 20, 1170–1177. [Google Scholar] [CrossRef]
- Chung, D.M.; Oh, T.J.; Shotwell, J.L.; Misch, C.E.; Wang, H.L. Significance of keratinized mucosa in maintenance of dental implants with different surfaces. J. Periodontol. 2006, 77, 1410–1420. [Google Scholar] [CrossRef]
- Bouri, A.; Bissada, N.; Al-Zahrani, M.; Faddoul, F.; Nouneh, I. Width of keratinized gingiva and the health status of the supporting tissues around dental implants. Int. J. Oral Maxillofac. Implant. 2008, 23, 323–326. [Google Scholar]
- Roccuzzo, M.; Grasso, G.; Dalmasso, P. Keratinized mucosa around implants in partially edentulous posterior mandible: 10-year results of a prospective comparative study. Clin. Oral Implant. Res. 2016, 27, 491–496. [Google Scholar] [CrossRef]
- Kungsadalpipob, K.; Supanimitkul, K.; Manopattanasoontorn, S.; Sophon, N.; Tangsathian, T.; Arunyanak, S.P. The lack of keratinized mucosa is associated with poor peri-implant tissue health: A cross-sectional study. Int. J. Implant. Dent. 2020, 6, 28. [Google Scholar] [CrossRef]
- Kabir, L.; Stiesch, M.; Grischke, J. The effect of keratinized mucosa on the severity of peri-implant mucositis differs between periodontally healthy subjects and the general population: A cross-sectional study. Clin. Oral Investig. 2020, 25, 1183–1193. [Google Scholar] [CrossRef]
- Wang, Q.; Tang, Z.; Han, J.; Meng, H. The width of keratinized mucosa around dental implants and its influencing factors. Clin. Implant. Dent. Relat. Res. 2020, 22, 359–365. [Google Scholar] [CrossRef] [PubMed]
- Wennstrom, J.L.; Bengazi, F.; Lekholm, U. The influence of the masticatory mucosa on the peri-implant soft tissue condition. Clin. Oral Implant. Res. 1994, 5, 1–8. [Google Scholar] [CrossRef] [PubMed]
- Bragger, U.; Burgin, W.B.; Hammerle, C.H.; Lang, N.P. Associations between clinical parameters assessed around implants and teeth. Clin. Oral Implant. Res. 1997, 8, 412–421. [Google Scholar] [CrossRef] [PubMed]
- Hanisch, O.; Cortella, C.A.; Boskovic, M.M.; James, R.A.; Slots, J.; Wikesjo, U.M. Experimental peri-implant tissue breakdown around hydroxyapatite-coated implants. J. Periodontol. 1997, 68, 59–66. [Google Scholar] [CrossRef] [PubMed]
- Francetti, L.; Chioatto, M.; Craveri, D. Importance of the masticatory mucosa in the maintenance of healthy peri-implant soft tissues. Review of the literature. Minerva Stomatol. 1997, 46, 399–405. [Google Scholar]
- Wennström, J.; Derks, J. Is there a need for keratinized mucosa around implants to maintain health and tissue stability? Clin. Oral Implant. Res. 2012, 23 (Suppl. S6), 136–146. [Google Scholar] [CrossRef]
- Ladwein, C.; Schmelzeisen, R.; Nelson, K. Is the presence of keratinized mucosa associated with periimplant tissue health? A clinical cross-sectional analysis. Int J. Implant. Dent. 2015, 1, 11. [Google Scholar] [CrossRef]
- Fiorellini, J.P.; Luan, K.W.; Chang, Y.C.; Kim, D.M.; Sarmiento, H.L. Peri-implant Mucosal Tissues and Inflammation: Clinical Implications. Int J. Oral Maxilofac. Implant. 2019, 34, S25–S33. [Google Scholar] [CrossRef]
- Tavelli, L.; Barootchi, S.; Avila-Ortiz, G.; Urban, I.A.; Giannobile, W.V.; Wang, H.L. Peri-implant soft tissue phenotype modification and its impact on peri-implant health: A systematic review and network meta-analysis. J. Periodontol. 2021, 92, 21–44. [Google Scholar] [CrossRef]
- Gharpure, A.S.; Latimer, J.M.; Aljofi, F.E.; Kahng, J.H.; Daubert, D.M. Role of thin gingival phenotype and inadequate keratinized mucosa width (<2 mm) as risk indicators for peri-implantitis and peri-implant mucositis. J. Periodontol. 2021, 92, 1687–1696. [Google Scholar] [CrossRef]






| GROUP | ||
|---|---|---|
| Control | Peri-Implantitis | |
| Age | 67.2 ± 7.3 years | 64.6 ± 6.3 years |
| Gender | Male 40 (38.8%) | Male 33 (33%) |
| Female 63 (61.1%) | Female 67 (67%) | |
| Smoking status | No 88 (85.4%) | No 76 (76%) |
| Yes 15 (14.5%) | Yes 24 (24%) | |
| History of periodontitis | No 58 (56.3%) | No 16 (16%) |
| Yes 45 (43.6%) | Yes 84 (84%) | |
| Time since placement(years) | 6.7 ± 3.1 | 12.3 ± 5.6 |
| Multiple implants | 66% | 82% |
| Group | OR | CI 95% | p-Value | ||
|---|---|---|---|---|---|
| Control | Peri-Implantitis | ||||
| PRESENCE OF KM | |||||
| No | 3 (2.9) | 49 (49.0) | 1 | ||
| Yes | 100 (97.1) | 51 (51.0) | 0.03 | 0.01–0.11 | <0.001 |
| KM (mm) | 2.8 ± 1.4 | 1.4 ± 1.7 | 0.56 | 0.39–0.79 | 0.001 |
| RECESSION (mm) | 0.1 ± 0.3 | 1.7 ± 1.9 | 23.3 | 2.99–15.8 | <0.001 |
| BOP | |||||
| No | 82 (79.6) | 0 (0.0) | 1 | ||
| Yes | 21 (20.4) | 100 (100) | -- | -- | -- |
| SUPPURATION | |||||
| No | 103 (100) | 45 (45.0) | 1 | ||
| Yes | 0 (0.0) | 55 (55.0) | -- | -- | -- |
| PD (mm) | 2.7 ± 0.4 | 4.9 ± 1.3 | 92.5 | 4.1–2080.3 | 0.004 |
| BL (mm) | 0.5 ± 0.6 | 3.8 ± 2.1 | 1.35 | 1.22–1.44 | <0.001 |
| PLAQUE INDEX | 0.6 ± 0.7 | 1.7 ± 0.9 | 6.24 | 3.08–12.6 | <0.001 |
Publisher’s Note: MDPI stays neutral with regard to jurisdictional claims in published maps and institutional affiliations. |
© 2022 by the authors. Licensee MDPI, Basel, Switzerland. This article is an open access article distributed under the terms and conditions of the Creative Commons Attribution (CC BY) license (https://creativecommons.org/licenses/by/4.0/).
Share and Cite
Fons-Badal, C.; Labaig-Rueda, C.; Agustín-Panadero, R.; Solá-Ruiz, M.F.; Roig-Vanaclocha, A.; Fernández-Estevan, L.; Fons-Font, A. Retrospective Study of the Association between Peri-Implantitis and Keratinized Mucosa. Appl. Sci. 2022, 12, 6980. https://doi.org/10.3390/app12146980
Fons-Badal C, Labaig-Rueda C, Agustín-Panadero R, Solá-Ruiz MF, Roig-Vanaclocha A, Fernández-Estevan L, Fons-Font A. Retrospective Study of the Association between Peri-Implantitis and Keratinized Mucosa. Applied Sciences. 2022; 12(14):6980. https://doi.org/10.3390/app12146980
Chicago/Turabian StyleFons-Badal, Carla, Carlos Labaig-Rueda, Rubén Agustín-Panadero, Maria Fernanda Solá-Ruiz, Ana Roig-Vanaclocha, Lucía Fernández-Estevan, and Antonio Fons-Font. 2022. "Retrospective Study of the Association between Peri-Implantitis and Keratinized Mucosa" Applied Sciences 12, no. 14: 6980. https://doi.org/10.3390/app12146980
APA StyleFons-Badal, C., Labaig-Rueda, C., Agustín-Panadero, R., Solá-Ruiz, M. F., Roig-Vanaclocha, A., Fernández-Estevan, L., & Fons-Font, A. (2022). Retrospective Study of the Association between Peri-Implantitis and Keratinized Mucosa. Applied Sciences, 12(14), 6980. https://doi.org/10.3390/app12146980

