Featured Application
The case report describes in detail a fully digital approach to the treatment of an orthognathic Class II patient with invisible orthodontics and skeletal anchorage. Nowadays, this may represent an effective method of treatment, especially for adult patients seeking improvement to facial and dental aesthetics and aesthetic treatment options.
Abstract
Background: The demand for interdisciplinary orthodontic treatment has increased significantly in the past few years, especially in adult patients. This kind of treatment requires careful clinical management, as consequence of the possible complications and limits related to adult age. However, the use of skeletal anchorage and three-dimensional (3D) digital technology has deeply revolutionised diagnostic planning and treatment strategies. Methods: A fully digital approach to the treatment of a Class II patient with a gummy smile and mandibular deficiency and deviation, consisting of initial surgery followed by the use of aligners and skeletal anchorage, is described. Results: The 3D, fully digital pre-evaluation enabled clinicians to accurately and reliably plan the surgical procedure and subsequent orthodontics, including the individualised positioning of stabilisation plates and a splint for maxillary and chin surgical movements. This allowed for the improvement of the patient’s facial aesthetics and dental occlusion without the use of visible orthodontic appliances or the occurrence of pre-surgical aesthetic worsening. Conclusions: This approach could be very effective for adult patients seeking aesthetic treatment options for facial and dental aesthetic improvement.
1. Introduction
Three-dimensional (3D) digital technology has deeply revolutionised the diagnostic planning and treatment strategies used in medical surgeries, including orthognathic surgery. Three-dimensional image acquisition of patients’ hard and soft tissues for use in diagnostic analysis, treatment prediction, and development of fully individualised orthodontic appliances has naturally introduced new workflows to orthodontics and orthognathic surgery. Indeed, intra-oral scanning, 3D digital models, 3D facial soft tissue scans, and cone-beam CT scans have made it possible to view patients’ 3D virtual anatomical structures, and 3D virtual surgical planning has emerged as a comprehensive and precise approach to treating orofacial deformities [1,2]. This has also allowed for a simplified alternative approach to the conventional three-step treatment sequence (pre-surgical orthodontics, surgery, post-surgical orthodontics). This new approach, commonly referred to as ‘surgery-first’, bypasses the pre-surgical orthodontic phase by performing surgery without undertaking conventional dental decompensation, then following the surgery with a post-surgical orthodontic phase [3]. While this approach was described and used some decades ago [4], it was criticised and abandoned as a consequence of its association with problems such as postoperative occlusal instability and relapse [5]. This led surgeons to adopt the three-step approach, which has for years been considered the standard protocol [6,7]. However, the introduction of 3D imaging and digital customisation has improved the results and reliability of the simplified approach [8], which offers advantages to patients such as immediate improvement to dental function and facial aesthetics following the beginning of the treatment. The use of a fully digital workflow enables the creation and use of 3D, individualised guides for surgical movements as well as the development of individualised osteosynthesis plates to increase the accuracy and stability of surgical movements. Moreover, the introduction of 3D imaging in orthodontics, the visualisation and pre-determination of orthodontic movements, and the relative results have all laid the foundation for the advent of, and explosion in, the use of aligners, which has had significant benefits for patients, mainly in terms of aesthetics [9,10]. Furthermore, clinicians could anticipate possible acceleration in orthodontic movements in the months following surgery, as a consequence of the regional acceleration phenomenon (RAP) linked to the surgery [11,12,13].
This case report describes the treatment of a patient with a gummy smile and Class II mandibular deficiency and deviation via a fully digital, surgery-first approach that included subsequent use of Invisalign aligners and skeletal anchorage.
2. Case Report
2.1. Diagnosis and Treatment Plan
A 21-year-old female presented with the chief complaints of a gummy smile and mandibular deficiency with difficulty maintaining lip closure (Figure 1). During her adolescence, she refused orthodontic treatment several times and declined to wear braces for aesthetic reasons.
Figure 1.
Pre-treatment facial records of a 21-year-old female presenting asymmetric gummy smile, mandibular deficiency and lips incompetence.
Clinical examination confirmed a gummy smile which deeply compromised her facial and smile aesthetics. She was found to have a convex soft-tissue facial profile with a retrognathic mandible, retrusive chin, and 6 mm of lip incompetence at rest. Harmonic nose–labial and mental folds were present at rest, with stretching and compromise during forced closure of the lips. The upper dental midline was coincident with the facial midline and the mandibular midline was deviated 3 mm to the right, with the result that it centred on the chin and the mandibular midline. Furthermore, a slight upper jaw canting was noted relative to the bipupillar line and the frontal plane.
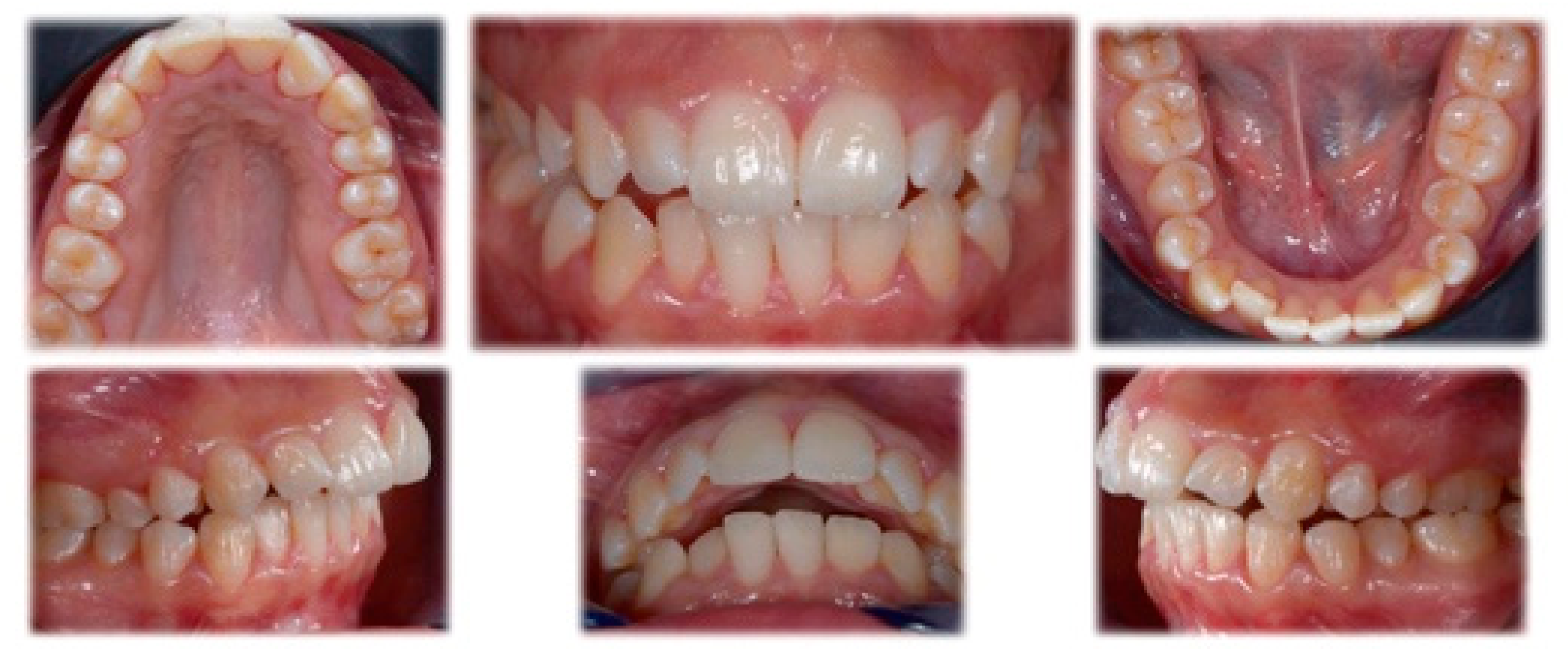
Intraoral evaluation and analysis showed an asymmetric occlusion with a full-cusp Class II molar and canine relationship on the right side and a Class I molar and end-on canine relationship on the left side. The overjet was 9 mm with a slight open bite on the lateral incisors and 1 mm overbite on the central incisors (Figure 2).
Figure 2.
Pre-treatment intraoral records and X-rays showing full-cusp Class II molar and canine relationship on the right side, Class I molar and end-on canine relationship on the left side, with increased overjet and slight open-bite on the lateral incisors.
Evaluation of X-rays (Dentsply Sirona, York, PA, USA) revealed the presence of an impacted upper third molar; the lower third molars were already erupted. Cephalometric analysis confirmed a normodivergent skeletal pattern with wide symphysis and optimal position and inclination of lower incisors. The upper incisors were proclined and protruded with respect to the anterior nasal spine.
The patient did not present any signs or symptoms of temporomandibular disorders (TMD) according to the Diagnostic Criteria for Temporomandibular Disorders (DC/TMD) [14] and all the relative anamnestic data were negative for TMD involvement. No functional shifts or discrepancies between centric relation and centric occlusion were found.
Intraoral scans were collected prior to surgery using a true definition scanner (3M, Saint Paul, MN, USA) in order to plan aligner treatment. Aligner therapy was considered the best choice for the specific patient given her total refusal to wear braces or visible orthodontics and her fear of possible tongue and speech problems with lingual braces. Invisalign aligners (Align Technology, Tempe, AZ, USA) were selected for the patient due to the greater availability of clinical and scientific studies on this specific aligner. The computer-generated ClinCheck setup displayed the type and placement of attachments. Because surgery was planned, we asked the ClinCheck technician not to correct the anteroposterior relationship between the maxillary and mandibular arches but to virtually simulate the surgical ‘jump’ to a bilateral molar Class I relationship and to align and level the teeth starting from this position. According to the ClinCheck software, 17 maxillary and 17 mandibular trays would be required to treat the case
Dolphin 3D Surgery TM (Dolphin Imaging & Management Solutions, Chatsworth, CA, USA) was used to virtually plan treatment using a Le Fort I osteotomy, a bilateral sagittal split osteotomy, and genioplasty (Figure 3). A CAD-CAM 3D surgical splint was used to guide maxilla and mandible positioning during orthognathic surgery. We planned an asymmetric maxillary impaction of 5 mm on the right side and 7 mm on the left side in order to simultaneously correct the gummy smile and the canted upper jaw. To further the spontaneous mandibular autorotation after maxillary impaction, 5 mm of mandible advancement with a 3 mm rotation to the patient’s left was planned in order to centre the mandible and the chin with the facial midline. Finally, we planned a genioplasty advancement and lengthening to optimise the patient’s facial aesthetics and profile. The pogonion would move 15.02 mm anteriorly as a result of both procedures and the anti-clockwise rotation of the maxillo-mandibular complex. Virtual 3D simulation of the surgical mandibular advancement showed the maxillary and mandibular transversal dimensions to be acceptably compatible, suggesting dental optimisation could be achieved without skeletal maxillary expansion.
Figure 3.
Three-dimensional virtual surgical plan with maxillary impaction, mandibular advancement and chin surgery.
We fully informed the patient about the possible therapeutic options and their relative advantages and disadvantages, as well as all the possible risks related to the surgery, anaesthesia, and orthodontic treatment. The patient gave her oral and written consent to the entire treatment workflow and the acquisition of her 2D and 3D images and data. Furthermore, she gave her written consent to the publication of the images and history of the case.
2.2. Treatment Progress
Following the pre-treatment data acquisition and the extraction of the lower third molars, we performed orthognathic surgery with a maxilla-first approach using the digitally premade 3D individualised surgical guide (Figure 4). We fixed the cutting guides to the bone with screws and indicated the Le Fort I cut as well as the drilling sites for all the screws. Maxillary translocation had already been accounted for in the guide. When the guides were in place, we drilled the screw holes and performed piezosurgical osteotomies following the guides. We then positioned the plates using the drill holes as a guide (Figure 4) and fixed them with commercially available 1.8 mm osteosynthesis titanium screws (midface matrix system, Synthes, Johnson & Johnson, Malvern, PA, USA). Guided by the final 3D printed ____, as well as ____, two osteosynthesis plates were used for the genioplasty. A conventional bilateral sagittal split osteotomy was done to reposition the mandible and it was fixed with titanium miniplates and 2.0 mm screws (Mandible Matrix, Synthes, PA, USA).
Figure 4.
Three-dimensional planning and intra-surgical use of 3D individualized cutting guides realized according to surgical movements planned. Design, planning and intra-surgical use of 3D individualized stabilization plates.
Since no orthodontic fixed appliances were used on this patient, post-surgical intermaxillary fixation was obtained by intermaxillary elastics on temporary anchorage devises (TADs).
Clear-aligner therapy was initiated one month after surgery. Just after surgery, a lateral open bite on the left side was registered, which was not anticipated by the 3D virtual simulation. We therefore did not use intermaxillary elastics on the teeth during this phase in order to avoid any possible iatrogenic dental effect. The aligners were changed weekly for the first three months, during the RAP consequent to surgery, and every 10 days after that. After four months, a lower dental canting was found. To avoid upper left quadrant extrusion and any possible negative effects, TADs 1.7 mm in diameter and 8 mm in length were inserted into the inter-radicular spaces between 2.3, 2.4, and 2.5 teeth according to the ‘safe zones’ described by Poggio et al. [15]. Metal buttons were bonded to the buccal cervical zones of the teeth of the lower left quadrant from 3.3 to 3.6. Along with the aligners, the patient wore intermaxillary elastics 23 h a day from the TADs to the lower buttons (Figure 5). The lower aligners were modified in order to avoid possible interference with the buttons. Five months later, the canting was solved, bilateral Class I was satisfied on the molars and canines, the midlines were centred, and the overjet and overbite were corrected. After the patient finished the prescribed series of trays, new intraoral scans were performed in order to plan and execute a finishing phase, which ultimately involved a further 17 maxillary and 10 mandibular trays. Throughout and following treatment the patient did not present any signs or symptoms of TMD according to the DC/TMD.
Figure 5.
1.7 × 8 mm inter-radicular TADs and intermaxillary elastic to correct low canting.
To further optimise the patient’s smile aesthetics, after the second intraoral scan we performed a virtual mock-up to plan periodontal cosmetic gum surgery and composite margin reconstruction of the upper left quadrant and to create a 3D guide to perform it.
3. Results
Total treatment time was 15 months, which was slightly increased by the subsequent finishing phase using the aligners and the periodontal aesthetic optimisation. Post-treatment records showed good dental alignment, with proper seating and functional occlusion (Figure 6). The gummy smile and upper canting were normalised, and the soft-tissue profile improved, as was lip incompetence and function. A final panoramic x-ray indicated root parallelism, without significant root shortening or development of other pathologies. No TMD signs or symptoms were found between surgery and the end of the orthodontic treatment [14]. The patient reported a high degree of satisfaction with the aesthetic during treatment and the final results.
Figure 6.
Post Treatment Records. Patient after 15 months of treatment.
4. Discussion
In accordance with previous publications [16], this case report highlights the possibility of treating a gummy smile Class II patient with a combined surgery-first approach using skeletal anchorage and aligners. The use of 3D individualised surgical plates instead of the common splint was essential to obtain the asymmetric maxillary impaction as planned before the treatment. Furthermore, the use of digitally-made osteosynthesis plates ensured that the pre-planned surgical movements were achieved and stabilised with the optimum fit. As previously suggested, splintless maxillary repositioning and patient-specific osteosynthesis plates could allow positioning of the maxilla independent of the amount of condylar sag and posterior pressure from the condyle [17]. The application of customised osteosynthesis plates without the need for occlusal splints permitted rapid and reliable positioning of the maxilla and can also be applied in cases of stable maximal intercuspation without asymmetric transposition of the mandibular-maxillary complex. Hence, we can confirm that the introduction of virtual treatment simulation and planning software utilising 3D imaging techniques and virtual models has greatly improved orthodontic diagnoses and the predictability of expected outcomes [18,19,20].
The use of the custom plates in combination with clear aligners allowed us to respond to the patient’s complaints of a gummy smile and mandibular deficiency without the use of visible orthodontic appliances or pre-surgical facial aesthetic worsening. The patient had specifically requested ‘invisible’ orthodontic treatment and was well suited to this approach due to her good initial alignment and lack of major transverse discrepancies or occlusal interference simulating advancement to Class I relationships. Moreover, our patient presented minimal crowding in the anterior teeth, normal angle range between the basal bone and the upper and lower incisors, and no deep Spee curve, all features previously described as favourable factors for the surgery-first approach [21]. Finally, the use of Invisalign’s ClinCheck system facilitated the precise development of virtual treatment goals by showing the intended final occlusion with a valid prediction of the final orthodontic outcome [16,22,23].
The combination of orthodontic treatment with aligners and initial surgery can be an extremely effective combination for patients who specifically require scarcely visible treatments and are not disposed to the ‘aesthetic deterioration’ classically characteristic of the conventional orthodontic–surgical protocol. Indeed, often patients who need orthognathic surgery are held back or even refuse to undertake the therapeutic path, deeming the initial phase of aesthetic deterioration incompatible with their daily life or rejecting the notion of wearing brackets. The possibility of not wearing the classic braces combined with the possibility of seeing aesthetic improvement from the beginning can be instrumental in convincing patients to undergo necessary orthognathic surgery. However, it is important to underline that, as previously mentioned, the case described here presented ideal characteristics for this therapeutic approach, and this approach should not be considered an option in every surgical orthodontic case. Indeed, the presence of considerable dental crowding, the need to perform dental extractions or open or close already existing spaces in the arch, extremely accentuated arch curves, and the presence of severe occlusal instability after the simulation of surgical movements represent some of the factors which limit the applicability of the described protocol. In these cases, a conventional protocol should be prioritised, and the aid of orthodontic aligners employed depending on the specific case.
During the post-surgical phase, the use of TADs was essential to solve the dental canting. Indeed, the conventional use of intermaxillary elastics could have resulted in unwanted collateral effects, such as upper teeth extrusion and upper jaw canting. Instead, the application of skeletal anchorage and an accurate biomechanical analysis could be a very powerful tool to manage the potentially difficult orthodontic situations that can occur during a surgery-first approach. In this sense, the use of skeletal anchoring represents a real revolution in orthodontics in that it allows the clinicians to achieve desired tooth movements while minimising or completely eliminating possible side effects. TADs also greatly simplify applied orthodontic biomechanics, with considerable benefit to both clinicians and patients. These already very important advantages are even more significant considering that the use of TADs is not associated with either greater risks or greater pain reported by the patient when compared to conventional orthodontic therapy [24].
A limitation of the described protocol is the need for patient compliance. Indeed, the success of aligner therapy and the use of elastics on the TADs requires the patient’s full cooperation and scrupulous attention to wearing them according to the indications provided by the clinician. Nevertheless, the described approach fully exploits the period of best collaboration and patient motivation by eliminating the initial aesthetic improvement phase and providing the patient with a large part of the set goal in the first months. This could reduce the burnout that often occurs during the long months of orthodontic preparation that characterise the classic three-step approach.
It must be stressed that there are currently still conflicting views on the postoperative stability of surgery-first and surgery-early approaches in orthognathic surgery. Some systematic reviews [25,26] reported surgery-first as an efficient alternative to conventional orthognathic protocols, with shorter total treatment duration, similar postoperative stability, and improvement in patients’ perception of their quality of life immediately following the beginning of treatment. Some others [27], however, found a greater tendency toward mandibular anti-clockwise rotation after the surgery-first approach, with consequent poorer postoperative stability than in the conventional approaches. According to these findings, surgery-first patients’ screening and orthodontic treatments could potentially be longer and more difficult in order to compensate for possible postoperative relapse. Indeed, most studies available currently evaluate stability just after surgery and not at the end of the orthodontic treatment. This deeply influences the external validity of the available findings and indicates the need for further studies with longer follow-up periods and similar research protocols [28].
Finally, there seems to be no consensus on whether it is best to start postoperative orthodontic treatment immediately after, soon after, or ___ after surgery. In accordance with previous studies [16,29], we applied the aligners about four weeks post-operatively (very soon), in order to align and level the teeth and resolve possible dental interferences. Further advantages of this orthodontic timing could be the benefit of the phenomena of regional acceleration and higher bone metabolism that last for 3–4 months after orthognathic surgery and possibly speed orthodontic teeth movement [13,21,30,31].
5. Conclusions
Based on the case reported, we conclude that the fully digital, individualised, surgery-first approach with aligners and skeletal anchorage using patient-specific surgical plates and osteosynthesis plates can be a suitable approach for patients requiring aesthetic treatment options.
Author Contributions
Conceptualization, G.I. and S.D.; methodology, G.I. and S.D.; software, M.S.; validation, G.T. and S.D.; formal analysis, M.S.; investigation, G.I.; resources, G.T.; data curation, G.I. and M.S.; writing—original draft preparation, G.I. and M.S.; writing—review and editing, G.I.; visualization, G.I.; supervision, G.I.; project administration, G.I. and S.D.; funding acquisition, G.I. and S.D. All authors have read and agreed to the published version of the manuscript.
Funding
This research received no external funding.
Institutional Review Board Statement
Not applicable.
Informed Consent Statement
Informed consent was obtained from all subjects involved in the study.
Data Availability Statement
Not applicable.
Conflicts of Interest
The authors declare no conflict of interest.
References
- Elnagar, M.H.; Aronovich, S.; Kusnoto, B. Digital workflow for combined orthodontics and orthognathic surgery. Oral Maxillofac. Surg. Clin. N. Am. 2020, 32, 1–14. [Google Scholar] [CrossRef] [PubMed]
- Lecocq, G. Digital impression-taking: Fundamentals and benefits in orthodontics. Int. Orthod. 2016, 14, 184–194. [Google Scholar] [CrossRef]
- Nagasaka, H.; Sugawara, J.; Kawamura, H.; Nanda, R. “Surgery first” skeletal class III correction using the skeletal anchorage system. J. Clin. Orthod. 2009, 43, 97–105. [Google Scholar] [PubMed]
- Poulton, D.R.; Taylor, R.C.; Ware, W.H. Cephalometric X-ray evaluation of the vertical osteotomy correction of mandibular prognathism. Oral Surg. Oral Med. Oral Pathol. 1963, 16, 807–820. [Google Scholar] [CrossRef]
- Bell, W.H.; Creekmore, T.D. Surgical-orthodontic correction of mandibular prognathism. Am. J. Orthod. 1973, 63, 256–270. [Google Scholar] [CrossRef]
- Proffit, W.R.; Miguel, J.A.M. The duration and sequencing of surgical-orthodontic treatment. Int. J. Adult Orthod. Orthognath. Surg. 1995, 10, 35–42. [Google Scholar]
- Proffit, W.R.; White, R.P. Development of surgeon-orthodontist interaction in orthognathic surgery. Semin. Orthod. 2011, 17, 183–185. [Google Scholar] [CrossRef]
- Lee, Y.C.; Sohn, H.-B.; Kim, S.K.; Bae, O.Y.; Lee, J.H. A novel method for the management of proximal segment using computer assisted simulation surgery: Correct condyle head positioning and better proximal segment placement. Maxillofac. Plast. Reconstr. Surg. 2015, 37, 21. [Google Scholar] [CrossRef]
- Lombardo, L.; Arreghini, A.; Ramina, F.; Huanca Ghislanzoni, L.T.; Siciliani, G. Predictability of orthodontic movement with or-thodontic aligners: A retrospective study. Prog. Orthod. 2017, 18, 35. [Google Scholar] [CrossRef]
- Savignano, R.; Valentino, R.; Razionale, A.V.; Michelotti, A.; Barone, S.; D’Antò, V. Biomechanical effects of different auxilia-ry-aligner designs for the extrusion of an upper central incisor: A finite element analysis. J. Healthc. Eng. 2019, 2019, 9687127. [Google Scholar] [CrossRef]
- Huang, C.S.; Chen, Y.R. Orthodontic principles and guidelines for the surgery-first approach to orthognathic surgery. Int. J. Oral Maxillofac. Surg. 2015, 44, 1457–1462. [Google Scholar] [CrossRef] [PubMed]
- Wilcko, W.M.; Wilcko, M.T.; Bouquot, J.E.; Ferguson, D.J. Rapid orthodontics with alveolar reshaping: Two case reports of decrowding. Int. J. Periodontics Restor. Dent. 2001, 21, 9–19. [Google Scholar]
- Liou, E.J.; Chen, P.H.; Wang, Y.C.; Yu, C.C.; Huang, C.S.; Chen, Y.R. Surgery-first accelerated orthognathic surgery: Postoperative rapid orthodontic tooth movement. J. Oral Maxillofac. Surg. 2011, 69, 781–785. [Google Scholar] [CrossRef]
- Schiffman, E.; Ohrbach, R.; Truelove, E.; Look, J.; Anderson, G.; Goulet, J.P.; List, T.; Svensson, P. Diagnostic criteria for temporomandibular disorders (DC/TMD) for clinical and research applications: Recommendations of the international RDC/TMD consortium network and orofacial pain special interest group. J. Oral Facial Pain Headache 2014, 28, 6–27. [Google Scholar] [CrossRef]
- Poggio, P.M.; Incorvati, C.; Velo, S.; Carano, A. “Safe zones”: A guide for miniscrew positioning in the maxillary and mandibular arch. Angle Orthod. 2006, 76, 191–197. [Google Scholar]
- Chang, J.; Steinbacher, D.; Nanda, R.; Uribe, F. “Surgery-First” approach with invisalign therapy to correct a class II maloc-clusion and severe mandibular retrognathism. J. Clin. Orthod. 2019, 53, 397–404. [Google Scholar]
- Chen, S.; Lei, J.; Wang, X.; Fu, K.Y.; Farzad, P.; Yi, B. Short- and long-term changes of condylar position after bilateral sagittal split ramus osteotomy for mandibular advancement in combination with Le Fort I osteotomy evaluated by cone-beam computed tomography. J. Oral Maxillofac. Surg. 2013, 71, 1956–1966. [Google Scholar] [CrossRef] [PubMed]
- Choi, J.W.; Bradley, J.P. Surgery first orthognathic approach without presurgical orthodontic treatment: Questions and answers. J. Craniofac. Surg. 2017, 28, 1330–1333. [Google Scholar] [CrossRef] [PubMed]
- Kang, S.H.; Kim, M.K.; Park, W.S.; Lee, S.H. Accurate computerized mandibular simulation in orthognathic surgery: A new method for integrating the planned postoperative occlusion model. Br. J. Oral Maxillofac. Surg. 2010, 48, 305–307. [Google Scholar] [CrossRef]
- Choi, J.Y.; Hwang, J.M.; Baek, S.H. Virtual model surgery and wafer fabrication using 2-dimensional cephalograms, 3-dimensional virtual dental models, and stereolithographic technology. Oral Surg. Oral Med. Oral Pathol. Oral Radiol. 2012, 113, 193–200. [Google Scholar] [CrossRef] [PubMed]
- Liou, E.J.; Chen, P.H.; Wang, Y.C.; Yu, C.C.; Huang, C.; Chen, Y.R. Surgery-first accelerated orthognathic surgery: Orthodontic guidelines and setup for model surgery. J. Oral Maxillofac. Surg. 2011, 69, 771–780. [Google Scholar] [CrossRef] [PubMed]
- Rossini, G.; Parrini, S.; Castroflorio, T.; Deregibus, A.; Debernardi, C.L. Efficacy of clear aligners in controlling orthodontic tooth movement: A systematic review. Angle Orthod. 2015, 85, 881–889. [Google Scholar] [CrossRef]
- Tepedino, M.; Paoloni, V.; Cozza, P.; Chimenti, C. Movement of anterior teeth using clear aligners: A three-dimensional, retrospective evaluation. Prog. Orthod. 2018, 19, 9. [Google Scholar] [CrossRef] [PubMed]
- Jambi, S.; Walsh, T.; Sandler, J.; Benson, P.E.; Skeggs, R.M.; O’Brien, K.D. Reinforcement of anchorage during orthodontic brace treatment with implants or other surgical methods. Cochrane Database Syst. Rev. 2014, 19, 8. [Google Scholar] [CrossRef]
- Peiró-Guijarro, M.A.; Guijarro-Martínez, R.; Hernández-Alfaro, F. Surgery first in orthognathic surgery: A systematic review of the literature. Am. J. Orthod. Dentofac. Orthop. 2016, 149, 448–462. [Google Scholar] [CrossRef]
- Yao, K.; Zhu, G.; Chen, M.; Zhang, B.; Wu, Y.; Li, P. Effect of surgery-first orthognathic approach on oral health-related quality of life: A systematic review. Angle Orthod. 2020, 90, 723–733. [Google Scholar] [CrossRef]
- Wei, H.; Liu, Z.; Zang, J.; Wang, X. Surgery-first/early-orthognathic approach may yield poorer postoperative stability than conventional orthodontics-first approach: A systematic review and meta-analysis. Oral Surg. Oral Med. Oral Pathol. Oral Radiol. 2018, 126, 107–116. [Google Scholar] [CrossRef] [PubMed]
- Soverina, D.; Gasparini, G.; Pelo, S.; Doneddu, P.; Todaro, M.; Boniello, R.; Azzuni, C.; Grippaudo, C.; Saponaro, G.; D’Amato, G.; et al. Skeletal stability in orthognathic surgery with the surgery first approach: A systematic review. Int. J. Oral Maxillofac. Surg. 2019, 48, 930–940. [Google Scholar] [CrossRef]
- Ko, E.W.C.; Hsu, S.S.P.; Hsieh, H.Y.; Wang, Y.C.; Huang, C.S.; Chen, Y.R. Comparison of progressive cephalometric changes and postsurgical stability of skeletal class III correction with and without presurgical orthodontic treatment. J. Oral Maxillofac. Surg. 2011, 69, 1469–1477. [Google Scholar] [CrossRef]
- Hernández-Alfaro, F.; Guijarro-Martínez, R.; Peiró-Guijarro, M.A. Surgery first in orthognathic surgery: What have we learned? A comprehensive workflow based on 45 consecutive cases. J. Oral Maxillofac. Surg. 2014, 72, 376–390. [Google Scholar] [CrossRef]
- Liao, Y.F.; Chiu, Y.T.; Huang, C.S.; Ko, E.W.C.; Chen, Y.R. Presurgical orthodontics versus no presurgical orthodontics: Treatment out-come of surgical- orthodontic correction for skeletal class III open bite. Plast. Reconstr. Surg. 2010, 126, 2074–2083. [Google Scholar] [CrossRef] [PubMed]
Publisher’s Note: MDPI stays neutral with regard to jurisdictional claims in published maps and institutional affiliations. |
© 2021 by the authors. Licensee MDPI, Basel, Switzerland. This article is an open access article distributed under the terms and conditions of the Creative Commons Attribution (CC BY) license (https://creativecommons.org/licenses/by/4.0/).





