Specific Desulfuromonas Strains Can Determine Startup Times of Microbial Fuel Cells
Abstract
1. Introduction
2. Materials and Methods
2.1. MFC Setup and Experimental Design
2.2. MFC Operation
2.3. Bacterial Community Analysis
2.4. Specific Geobacter/Desulfuromonas Primer Sets
2.5. Electroactive Consortium Enrichment on Agar Plates
2.6. Statistical Analysis
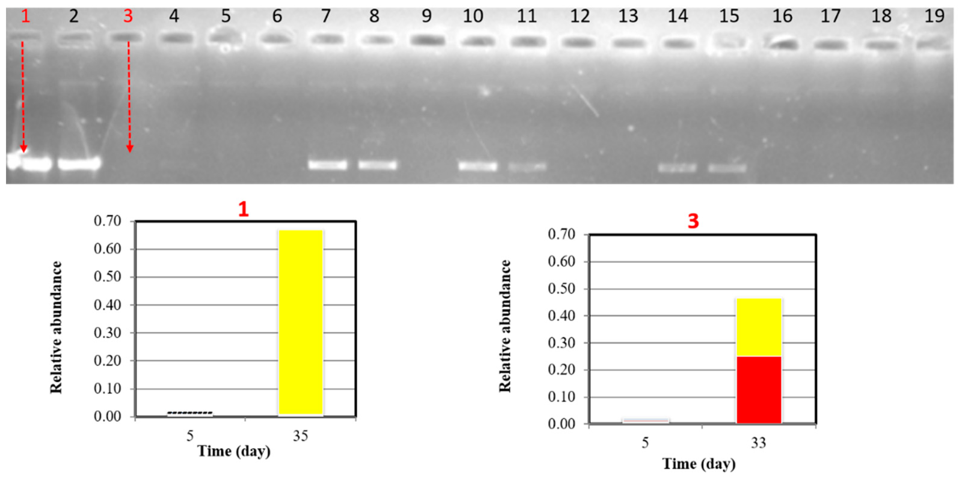
3. Results
Direct Application of an Anode Enrichment Consortium Reduces Significantly Startup Times
4. Discussion
5. Conclusions
Supplementary Materials
Author Contributions
Funding
Acknowledgments
Conflicts of Interest
References
- Drendel, G.; Mathews, E.R.; Semenec, L.; Franks, A.E. Microbial fuel cells, related technologies, and their applications. Appl. Sci. 2018, 8, 2384. [Google Scholar] [CrossRef]
- Li, W.-W.; Yu, H.-Q. Stimulating sediment bioremediation with benthic microbial fuel cells. Biotechnol. Adv. 2015, 33, 1–12. [Google Scholar] [CrossRef] [PubMed]
- Friedman, E.; Miller, K.; Lipson, D.; Angenent, L. Potentiostatically Poised Electrodes Mimic Iron Oxide and Interact with Soil Microbial Communities to Alter the Biogeochemistry of Arctic Peat Soils. Minerals 2013, 3, 318–336. [Google Scholar] [CrossRef]
- Koch, C.; Harnisch, F. Is there a Specific Ecological Niche for Electroactive Microorganisms? ChemElectroChem 2016, 3, 1282–1295. [Google Scholar] [CrossRef]
- Richter, K.; Schicklberger, M.; Gescher, J. Dissimilatory Reduction of Extracellular Electron Acceptors in Anaerobic Respiration. Appl. Environ. Microbiol. 2012, 78, 913–921. [Google Scholar] [CrossRef]
- Pfennig, N.; Biebl, H. Desulfuromonas acetoxidans gen. nov. and sp. nov., a new anaerobic, sulfur-reducing, acetate-oxidizing bacterium. Arch Microbiol. 1976, 110, 3–12. [Google Scholar] [CrossRef]
- Roden, E.E.; Lovley, D.R. Dissimilatory Fe (III) Reduction by the Marine Microorganism Desulfuromonas acetoxidans Dissimilatory Fe (III) Reduction by the Marine Microorganism Desulfuromonas acetoxidans. Appl. Environ. Microbiol. 1993, 59, 734–742. [Google Scholar] [CrossRef]
- Butler, J.E.; Young, N.D.; Lovley, D.R. Evolution from a respiratory ancestor to fill syntrophic and fermentative niches: Comparative genomics of six Geobacteraceae species. BMC Genomics 2009, 10, 103. [Google Scholar] [CrossRef]
- Beecroft, N.J.; Zhao, F.; Varcoe, J.R.; Slade, R.C.T.; Thumser, A.E.; Avignone-Rossa, C. Dynamic changes in the microbial community composition in microbial fuel cells fed with sucrose. Appl. Microbiol. Biotechnol. 2012, 93, 423–437. [Google Scholar] [CrossRef]
- Chae, K.-J.; Choi, M.-J.; Lee, J.-W.; Kim, K.-Y.; Kim, I.S. Effect of different substrates on the performance, bacterial diversity, and bacterial viability in microbial fuel cells. Bioresour. Technol. 2009, 100, 3518–3525. [Google Scholar] [CrossRef]
- Commault, A.S.; Barrière, F.; Lapinsonnière, L.; Lear, G.; Bouvier, S.; Weld, R.J. Influence of inoculum and anode surface properties on the selection of Geobacter-dominated biofilms. Bioresour. Technol. 2015, 195, 265–272. [Google Scholar] [CrossRef] [PubMed]
- Cui, M.-H.; Cui, D.; Gao, L.; Cheng, H.-Y.; Wang, A.-J. Analysis of electrode microbial communities in an up-flow bioelectrochemical system treating azo dye wastewater. Electrochim. Acta 2016, 220, 252–257. [Google Scholar] [CrossRef]
- Hodgson, D.M.; Smith, A.; Dahale, S.; Stratford, J.P.; Li, J.V.; Grüning, A.; Bushell, M.E.; Marchesi, J.R.; Avignone Rossa, C. Segregation of the anodic microbial communities in a microbial fuel cell cascade. Front. Microbiol. 2016, 7, 699. [Google Scholar] [CrossRef]
- Lee, Y.-Y.; Kim, T.G.; Cho, K. Effects of proton exchange membrane on the performance and microbial community composition of air-cathode microbial fuel cells. J. Biotechnol. 2015, 211, 130–137. [Google Scholar] [CrossRef] [PubMed]
- Paitier, A.; Godain, A.; Lyon, D.; Haddour, N.; Vogel, T.M.; Monier, J.-M. Microbial fuel cell anodic microbial population dynamics during MFC start-up. Biosens. Bioelectron. 2017, 92, 357–363. [Google Scholar] [CrossRef]
- Ren, Z.; Yan, H.; Wang, W.; Mench, M.M.; Regan, J.M. Characterization of microbial fuel cells at microbially and electrochemically meaningful time scales. Environ. Sci. Technol. 2011, 45, 2435–2441. [Google Scholar] [CrossRef]
- Yanuka-Golub, K.; Reshef, L.; Rishpon, J.; Gophna, U. Community structure dynamics during startup in microbial fuel cells—The effect of phosphate concentrations. Bioresour. Technol. 2016, 212, 151–159. [Google Scholar] [CrossRef]
- Rabaey, K.; Ossieur, W.; Verhaege, M.; Verstraete, W. Continuous microbial fuel cells convert carbohydratesto electricity. Water Sci. Technol. 2005, 52, 515–523. [Google Scholar] [CrossRef]
- Cummings, D.E.; Snoeyenbos-West, O.L.; Newby, D.T.; Niggemyer, A.M.; Lovley, D.R.; Achenbach, L.A.; Rosenzweig, R.F. Diversity of geobacteraceae species inhabiting metal-polluted freshwater lake sediments ascertained by 16S rDNA analyses. Microb. Ecol. 2003, 46, 257–269. [Google Scholar] [CrossRef]
- Holmes, D.E.; Nevin, K.P.; Lovley, D.R. Comparison of 16S rRNA, nifD, recA, gyrB, rpoB and fusA genes within the family Geobacteraceae fam. nov. Int. J. Syst. Evol. Microbiol. 2004, 54, 1591–1599. [Google Scholar] [CrossRef]
- Lloyd, J.R.; Leang, C.; Hodges Myerson, A.L.; Coppi, M.V.; Cuifo, S.; Methe, B.; Sandler, S.J.; Lovley, D.R. Biochemical and genetic characterization of PpcA, a periplasmic c-type cytochrome in Geobacter sulfurreducens. Biochem. J. 2003, 369, 153–161. [Google Scholar] [CrossRef] [PubMed]
- Holmes, D.E.; Nevin, K.P.; O’Neil, R.A.; Ward, J.E.; Adams, L.A.; Woodard, T.L.; Vrionis, H.A.; Lovley, D.R. Potential for quantifying expression of the Geobacteraceae citrate synthase gene to assess the activity of Geobacteraceae in the subsurface and on current-harvesting electrodes. Appl. Environ. Microbiol. 2005, 71, 6870–6877. [Google Scholar] [CrossRef] [PubMed]
- Löffler, F.E.; Sun, Q.; Li, J.; Tiedje, J.M. 16S rRNA gene-based detection of tetrachloroethene-dechlorinating Desulfuromonas and Dehalococcoides species. Appl. Environ. Microbiol. 2000, 66, 1369–1374. [Google Scholar] [CrossRef] [PubMed]
- Bond, D.R.; Holmes, D.E.; Tender, L.M.; Lovley, D.R. Electrode-Reducing Microorganisms That Harvest Energy from Marine Sediments. Science 2002, 295, 483–485. [Google Scholar] [CrossRef]
- Heidrich, E.S.; Curtis, T.P.; Woodcock, S.; Dolfing, J. Quantification of effective exoelectrogens by most probable number (MPN) in a microbial fuel cell. Bioresour. Technol. 2016, 218, 27–30. [Google Scholar] [CrossRef]
- Holmes, D.E.; Finneran, K.T.; O’Neil, R.A.; Lovley, D.R. Enrichment of members of the family Geobacteraceae associated with stimulation of dissimilatory metal reduction in uranium-contaminated aquifer sediments. Appl. Environ. Microbiol. 2002, 68, 2300–2306. [Google Scholar] [CrossRef]
- Holmes, D.E.; Chaudhuri, S.K.; Nevin, K.P.; Mehta, T.; Methé, B.A.; Liu, A.; Ward, J.E.; Woodard, T.L.; Webster, J.; Lovley, D.R. Microarray and genetic analysis of electron transfer to electrodes in Geobacter sulfurreducens. Environ. Microbiol. 2006, 8, 1805–1815. [Google Scholar] [CrossRef]
- Lonergan, D.J.; Jenter, H.L.; Coates, J.D.; Phillips, E.J.; Schmidt, T.M.; Lovley, D.R. Phylogenetic analysis of dissimilatory Fe(III)-reducing bacteria. J. Bacteriol. 1996, 178, 2402–2408. [Google Scholar] [CrossRef]
- Daprato, R.C.; Löffler, F.E.; Hughes, J.B. Comparative analysis of three tetrachloroethene to ethene halorespiring consortia suggests functional redundancy. Environ. Sci. Technol. 2007, 41, 2261–2269. [Google Scholar] [CrossRef]
- Yanuka-Golub, K.; Dubinsky, V.; Korenblum, E.; Reshef, L.; Ofek-Lalzar, M.; Rishpon, J.; Gophna, U. Anode surface bioaugmentation enhances deterministic biofilm assembly in microbial fuel cells. bioRxiv 2020. [Google Scholar] [CrossRef]
- Zhang, Z.; Deng, Y.; Feng, K.; Cai, W.; Li, S.; Yin, H.; Xu, M.; Ning, D.; Qu, Y. Deterministic Assembly and Diversity Gradient Altered the Biofilm Community Performances of Bioreactors. Environ. Sci. Technol. 2019, 53, 1315–1324. [Google Scholar] [CrossRef] [PubMed]
- Zhou, J.; Liu, W.; Deng, Y.; Jiang, Y.-H.; Xue, K.; He, Z.; Van Nostrand, J.D.; Wu, L.; Yang, Y.; Wang, A. Stochastic assembly leads to alternative communities with distinct functions in a bioreactor microbial community. MBio 2013, 4, e00584-12. [Google Scholar] [CrossRef] [PubMed]
- Lovley, D.R. Electromicrobiology. Annu. Rev. Microbiol. 2012, 66, 391–409. [Google Scholar] [CrossRef] [PubMed]
- Finster, K.; Bak, F.; Pfennig, N. Desulfuromonas acetexigens sp. nov., a dissimilatory sulfur-reducing eubacterium from anoxic freshwater sediments. Arch Microbiol. 1994, 161, 328–332. [Google Scholar] [CrossRef]
- Sung, Y.; Fletcher, K.E.; Ritalahti, K.M.; Apkarian, R.P.; Ramos-Hernández, N.; Sanford, R.A.; Mesbah, N.M.; Löffler, F.E. Geobacter lovleyi sp. nov. strain SZ, a novel metal-reducing and tetrachloroethene-dechlorinating bacterium. Appl. Environ. Microbiol. 2006, 72, 2775–2782. [Google Scholar] [CrossRef] [PubMed]
- Lovley, D.R. Microbial fuel cells: Novel microbial physiologies and engineering approaches. Curr. Opin. Biotechnol. 2006, 17, 327–332. [Google Scholar] [CrossRef]
- Pierra, M.; Carmona-Martínez, A.A.; Trably, E.; Godon, J.-J.; Bernet, N. Microbial characterization of anode-respiring bacteria within biofilms developed from cultures previously enriched in dissimilatory metal-reducing bacteria. Bioresour. Technol. 2015, 195, 283–287. [Google Scholar] [CrossRef]
- Cavaleiro, A.J.; Abreu, A.A.; Sousa, D.Z.; Pereira, M.A.; Alves, M.M. The role of marine anaerobic Bacteria and Archaea in bioenergy production. In Management of Microbial Resources in the Environment; Springer: Berlin/Heidelberg, Germany, 2013; pp. 445–469. [Google Scholar]
- Kim, J.R.; Min, B.; Logan, B.E. Evaluation of procedures to acclimate a microbial fuel cell for electricity production. Appl. Microbiol. Biotechnol. 2005, 68, 23–30. [Google Scholar] [CrossRef]





| Target Gene | Primer Set | PCR Conditions 1 | Reference |
|---|---|---|---|
| 16S rRNA Geobacteraceae | Geo564F (5’-AAG CGT TGT TCG GAW TTA T-3’) Geo840R (5’-GGCACT GCA GGG GTC AAT A-3’) | Annealing: 59 °C Elongation: 5 s 32 cycles | [19] |
| 16S rRNA Geobacteraceae 2 | Geobacteraceae 494 F (5’-AGG AAG CAC CGG CTA ACT CC-3’) Geobacteraceae 1050R (5’-CGA TCC AGC CGA ACT GAC C-3’) | Annealing: 59 °C Elongation: 5 s 32 cycles | [20] |
| Geobacter periplasmic c-type cytochrome | Geo-ppcA-F (5’-TTA TTG CTT CTC TCG CGC T -3’) Geo-ppcA-R (5’-TTC GTC GGC CCC TTC TTC AT-3’) | Annealing: 60 °C Elongation: 3 s 32 cycles | Designed according to [21] |
| Desulfuromonas Cytochrome | Desulfo-Cyt-F (5’-ACG ACA TTA TTC CTG GCC CT-3’) Desulfo-Cyt-R (5’-CGG AAT GGA CGG TAT GAT TGA-3’) | Annealing: 55 °C Elongation: 5 s 34 cycles | Designed according to the putative periplasmic triheme cytochrome c obtained from KEGG 3 |
| gltA Citrate Synthase Primer set #1 | CS100F (5’-CARTSTATTGGCGGTGC-3’) CS850R (5’-CGGAGTCTTSAIGCAGAACTC-3’) | Annealing: 58 °C Elongation: 15 s 34 cycles | [22] |
| gyrB Gyrase β | F (5’-GCC CGI GCC CGI GAR GC-3’). R (5’-ATC TCC TGG GAG GIR AGC AT-3’) | Annealing: 62 °C Elongation: 5 s 32 cycles | Sequences for primer design from [20] |
| Desulfuromonas specific 16S | Des F (5’-AACCTTCGGGTCCTACTGTC -3’) Des R (5’-CGGCAACTGACCCCTATGTT-3’) | Annealing: 55 °C Elongation: 15 s 34 cycles | [23] |
| Sample ID | Geabacteraceae Relative Abundance According to Amplicon Sequencing * | Desulfuromonadaceae Relative Abundance According to Amplicon Sequencing |
|---|---|---|
| 1 | 0.007 | 0.661 * |
| 2 | 0.019 | 0.483 * |
| 3 | 0.248 | 0.216 |
| 4 | 0.207 | 0.254 |
| 5 | 0.368 | 0.051 |
| 6 | 0.201 | 0.088 |
| 7 | 0.081 | 0.179 * |
| 8 | 0.083 | 0.025 * |
| 9 | 0.011 | 0.091 |
| 10 | 0.019 | 0.076 * |
| 11 | 0.035 | 0.015 * |
| 12 | 0.024 | 0.025 |
| 13 | 0.014 | 0.011 |
| 14 | 0.005 | 0.020 * |
| 15 | 0.006 | 0.005 * |
| 16 | 0.003 | 0.001 |
| 17 | 0.001 | 0.004 |
| 18 | 0 | 0 |
| 19 | 0 | 0 |
Publisher’s Note: MDPI stays neutral with regard to jurisdictional claims in published maps and institutional affiliations. |
© 2020 by the authors. Licensee MDPI, Basel, Switzerland. This article is an open access article distributed under the terms and conditions of the Creative Commons Attribution (CC BY) license (http://creativecommons.org/licenses/by/4.0/).
Share and Cite
Yanuka-Golub, K.; Reshef, L.; Rishpon, J.; Gophna, U. Specific Desulfuromonas Strains Can Determine Startup Times of Microbial Fuel Cells. Appl. Sci. 2020, 10, 8570. https://doi.org/10.3390/app10238570
Yanuka-Golub K, Reshef L, Rishpon J, Gophna U. Specific Desulfuromonas Strains Can Determine Startup Times of Microbial Fuel Cells. Applied Sciences. 2020; 10(23):8570. https://doi.org/10.3390/app10238570
Chicago/Turabian StyleYanuka-Golub, Keren, Leah Reshef, Judith Rishpon, and Uri Gophna. 2020. "Specific Desulfuromonas Strains Can Determine Startup Times of Microbial Fuel Cells" Applied Sciences 10, no. 23: 8570. https://doi.org/10.3390/app10238570
APA StyleYanuka-Golub, K., Reshef, L., Rishpon, J., & Gophna, U. (2020). Specific Desulfuromonas Strains Can Determine Startup Times of Microbial Fuel Cells. Applied Sciences, 10(23), 8570. https://doi.org/10.3390/app10238570

