Immunohistochemical Expression of Wilms’ Tumor 1 Protein in Human Tissues: From Ontogenesis to Neoplastic Tissues
Abstract
1. Introduction
2. WT1 Immunohistochemical Expression in Human Embryonal/Fetal and Neoplastic Tissues
2.1. WT1 Immunohistochemical Expression in Human Embryonal/Fetal Tissues
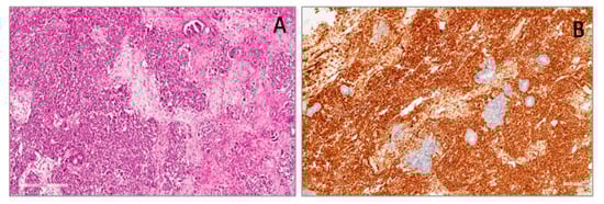
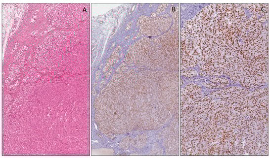
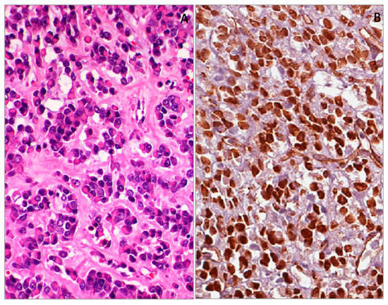
2.2. Wilms’ Tumor
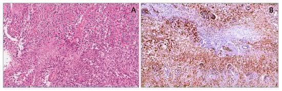
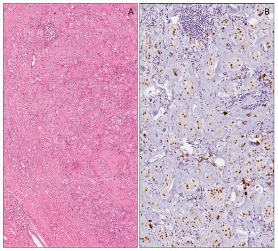
2.3. Malignant Mesothelialioma
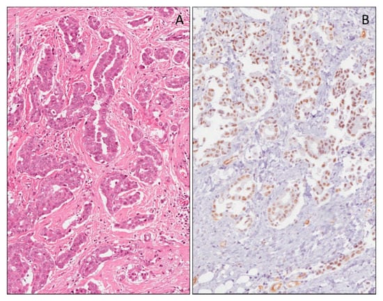
2.4. WT1 Expression in Epithelial Tumors of Ovary
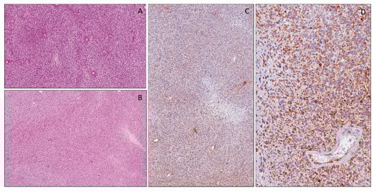
2.5. WT1 Expression in Granulosa Cell Tumor
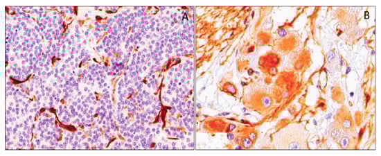
2.6. WT1 Expression in Sertoli Cell Tumors
2.7. WT1 Expression in Breast Carcinoma
2.8. WT1 Expression in Lung Carcinomas
2.9. WT1 Expression in Pancreatic Ductal Adenocarcinomas
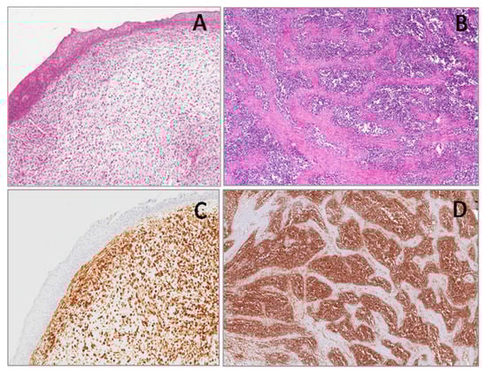
2.10. WT1 Expression in Melanocytic Lesions
2.11. WT1 Expression in Colorectal Carcinoma
2.12. WT1 Expression in Cerebral Tumors
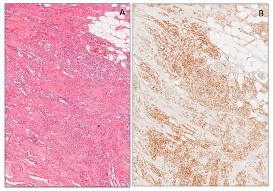
2.13. WT1 Gene Expression in Soft Tissue Sarcomas
2.14. WT1 Expression in Malignant Peripheral Nerve Sheath Tumors
2.15. WT1 Expression in Desmoplastic Small Round Cell Tumors (DSRCTs)
2.16. WT1 Expression in Malignant Rhabdoid Tumors
2.17. WT1 Expression in Rhabdomyosarcomas
2.18. WT1 Expression in Neuroblastic Tumors
2.19. Infantile-Type Fibromatoses
2.20. Congenital/Infantile Fibrosarcoma
2.21. WT1 Expression in Vascular Tumors
2.22. Mammary Myofibroblastoma, Epithelioid Cell Variant
Supplementary Materials
Author Contributions
Funding
Conflicts of Interest
References
- Call, K.M.; Glaser, T.; Ito, C.Y.; Buckler, A.J.; Pelletier, J.; Haber, D.A.; Rose, E.A.; Kral, A.; Yeger, H.; Lewis, W.H. Isolation and characterization of a zinc finger polypeptide gene at the human chromosome 11 Wilms’ tumor locus. Cell 1990, 60, 509–520. [Google Scholar] [CrossRef]
- Haber, D.A.; Buckler, A.J.; Glaser, T.; Call, K.M.; Pelletier, J.; Sohn, R.L.; Douglass, E.C.; Housman, D.E. An internal deletion within an 11p13 zinc finger gene contributes to the development of Wilms’ tumor. Cell 1990, 61, 1257–1269. [Google Scholar] [CrossRef]
- Gessler, M.; Poustka, A.; Cavenee, W.; Neve, R.L.; Orkin, S.H.; Bruns, G.A. Homozygous deletion in Wilms’ tumours of a zinc-finger gene identified by chromosome jumping. Nature 1990, 343, 774–778. [Google Scholar] [CrossRef] [PubMed]
- Mrowka, C.; Schedl, A. Wilms’ tumor suppressor gene WT1: From structure to renal pathophysiologic features. J. Am. Soc. Nephrol. 2000, 11 (Suppl. S16), S106–S115. [Google Scholar] [PubMed]
- Bruening, W.; Pelletier, J. A non-AUG translational initiation event generates novel WT1 isoforms. J. Biol. Chem. 1996, 271, 8646–8654. [Google Scholar] [CrossRef] [PubMed]
- Scharnhorst, V.; Dekker, P.; van der Eb, A.J.; Jochemsen, A.G. Internal translation initiation generates novel WT1 protein isoforms with distinct biological properties. J. Biol. Chem. 1999, 274, 23456–23462. [Google Scholar] [CrossRef]
- Haber, D.A.; Sohn, R.L.; Buckler, A.J.; Pelletier, J.; Call, K.M.; Housman, D.E. Alternative splicing and genomic structure of the Wilms’ tumor gene WT1. Proc. Natl. Acad. Sci. USA 1991, 88, 9618–9622. [Google Scholar] [CrossRef]
- Sharma, P.M.; Bowman, M.; Madden, S.L.; Rauscher, F.J., 3rd; Sukumar, S. RNA editing in the Wilms’ tumor susceptibility gene, WT1. Genes. Dev. 1994, 8, 720–731. [Google Scholar] [CrossRef]
- Miwa, H.; Beran, M.; Saunders, G.F. Expression of the Wilms’ tumor gene (WT1) in human leukemias. Leukemia 1992, 6, 405–409. [Google Scholar]
- Oji, Y.; Ogawa, H.; Tamaki, H.; Oka, Y.; Tsuboi, A.; Kim, E.H.; Soma, T.; Tatekawa, T.; Kawakami, M.; Asada, M.; et al. Expression of the Wilms’ tumor gene WT1 in solid tumors and its involvement in tumor cell growth. Jpn. J. Cancer Res. 1999, 90, 194–204. [Google Scholar] [CrossRef]
- Oji, Y.; Miyoshi, S.; Maeda, H.; Hayashi, S.; Tamaki, H.; Nakatsuka, S.; Yao, M.; Takahashi, E.; Nakano, Y.; Hirabayashi, H.; et al. Overexpression of the Wilms’ tumor gene WT1 in de novo lung cancers. Int. J. Cancer 2002, 100, 297–303. [Google Scholar] [CrossRef] [PubMed]
- Koesters, R.; Linnebacher, M.; Coy, J.F.; Germann, A.; Schwitalle, Y.; Findeisen, P.; von Knebel Doeberitz, M. WT1 is a tumor-associated antigen in colon cancer that can be recognized by in vitro stimulated cytotoxic T cells. Int. J. Cancer 2004, 109, 385–392. [Google Scholar] [CrossRef] [PubMed]
- Oji, Y.; Nakamori, S.; Fujikawa, M.; Nakatsuka, S.; Yokota, A.; Tatsumi, N.; Abeno, S.; Ikeba, A.; Takashima, S.; Tsujie, M.; et al. Overexpression of the Wilms’ tumor gene WT1 in pancreatic ductal adenocarcinoma. Cancer Sci. 2004, 95, 583–587. [Google Scholar] [CrossRef] [PubMed]
- Loeb, D.M.; Evron, E.; Patel, C.B.; Sharma, P.M.; Niranjan, B.; Buluwela, L.; Weitzman, S.A.; Korz, D.; Sukumar, S. Wilms’ tumor suppressor gene (WT1) is expressed in primary breast tumors despite tumor-specific promoter methylation. Cancer Res. 2001, 61, 921–925. [Google Scholar]
- Amini Nik, S.; Hohenstein, P.; Jadidizadeh, A.; Van Dam, K.; Bastidas, A.; Berry, R.L.; Patek, C.E.; Van der Schueren, B.; Cassiman, J.J.; Tejpar, S. Upregulation of Wilms’ tumor gene 1 (WT1) in desmoid tumors. Int. J. Cancer 2005, 114, 202–208. [Google Scholar] [CrossRef]
- Shimizu, M.; Toki, T.; Takagi, Y.; Konishi, I.; Fujii, S. Immunohistochemical detection of the Wilms’ tumor gene (WT1) in epithelial ovarian tumors. Int. J. Gynecol. Pathol. 2000, 19, 158–163. [Google Scholar] [CrossRef]
- Andersson, C.; Oji, Y.; Ohlson, N.; Wang, S.; Li, X.; Ottander, U.; Lundin, E.; Sugiyama, H.; Li, A. Prognostic significance of specific anti-WT1 IgG antibody level in plasma in patients with ovarian carcinoma. Cancer Med. 2014, 3, 909–918. [Google Scholar] [CrossRef]
- Oji, Y.; Suzuki, T.; Nakano, Y.; Maruno, M.; Nakatsuka, S.; Jomgeow, T.; Abeno, S.; Tatsumi, N.; Yokota, A.; Aoyagi, S.; et al. Overexpression of the Wilms’ tumor gene WT1 in primary astrocytic tumors. Cancer Sci. 2004, 95, 822–827. [Google Scholar] [CrossRef]
- Menssen, H.D.; Bertelmann, E.; Bartelt, S.; Schmidt, R.A.; Pecher, G.; Schramm, K.; Thiel, E. Wilms’ tumor gene (WT1) expression in lung cancer, colon cancer and glioblastoma cell lines compared to freshly isolated tumor specimens. J. Cancer Res. Clin. Oncol. 2000, 126, 226–232. [Google Scholar] [CrossRef]
- Athale, U.H.; Shurtleff, S.A.; Jenkins, J.J.; Poquette, C.A.; Tan, M.; Downing, J.R.; Pappo, A.S. Use of reverse transcriptase polymerase chain reaction for diagnosis and staging of alveolar rhabdomyosarcoma, Ewing sarcoma family of tumors, and desmoplastic small round cell tumor. J. Pediatr. Hematol. Oncol. 2001, 23, 99–104. [Google Scholar] [CrossRef]
- Wagner, N.; Michiels, J.F.; Schedl, A.; Wagner, K.D. The Wilms’ tumour suppressor WT1 is involved in endothelial cell proliferation and migration: Expression in tumour vessels in vivo. Oncogene 2008, 27, 3662–3672. [Google Scholar] [CrossRef] [PubMed]
- Wagner, K.D.; Cherfils-Vicini, J.; Hosen, N.; Hohenstein, P.; Gilson, E.; Hastie, N.D.; Michiels, J.F.; Wagner, N. The Wilms’ tumour suppressor Wt1 is a major regulator of tumour angiogenesis and progression. Nat. Commun. 2014, 5, 5852. [Google Scholar] [CrossRef] [PubMed]
- Lee, S.B.; Haber, D.A. Wilms tumor and the WT1 gene. Exp. Cell. Res. 2001, 264, 74–99. [Google Scholar] [CrossRef] [PubMed]
- Little, M.; Holmes, G.; Walsh, P. WT1: What has the last decade told us? Bioessays 1999, 21, 191–202. [Google Scholar] [CrossRef]
- Davies, R.; Moore, A.; Schedl, A.; Bratt, E.; Miyahawa, K.; Ladomery, M.; Miles, C.; Menke, A.; van Heyningen, V.; Hastie, N. Multiple roles for the Wilms’ tumor suppressor, WT1. Cancer Res. 1999, 59, 1747s–1750s. [Google Scholar]
- Hastie, N.D. Life, sex, and WT1 isoforms--three amino acids can make all the difference. Cell 2001, 106, 391–394. [Google Scholar] [CrossRef]
- Niksic, M.; Slight, J.; Sanford, J.R.; Caceres, J.F.; Hastie, N.D. The Wilms’ tumour protein (WT1) shuttles between nucleus and cytoplasm and is present in functional polysomes. Hum. Mol. Genet. 2004, 13, 463–471. [Google Scholar] [CrossRef]
- Scholz, H.; Kirschner, K.M. A role for the Wilms’ tumor protein WT1 in organ development. Physiology 2005, 20, 54–59. [Google Scholar] [CrossRef]
- Roberts, S.G. Transcriptional regulation by WT1 in development. Curr. Opin. Genet. Dev. 2005, 15, 542–547. [Google Scholar] [CrossRef]
- Hohenstein, P.; Hastie, N.D. The many facets of the Wilms’ tumour gene, WT1. Hum. Mol. Genet. 2006, 15, 196–201. [Google Scholar] [CrossRef]
- Wagner, K.D.; El Maï, M.; Ladomery, M.; Belali, T.; Leccia, N.; Michiels, J.F.; Wagner, N. Altered VEGF splicing isoform balance in tumor endothelium involves activation of splicing factors Srpk1 and Srsf1 by the Wilms’ tumor suppressor Wt1. Cells 2019, 8, 41. [Google Scholar] [CrossRef] [PubMed]
- Amin, E.M.; Oltean, S.; Hua, J.; Gammons, M.V.; Hamdollah-Zadeh, M.; Welsh, G.I.; Cheung, M.K.; Ni, L.; Kase, S.; Rennel, E.S.; et al. WT1 mutants reveal SRPK1 to be a downstream angiogenesis target by altering VEGF splicing. Cancer Cell 2011, 20, 768–780. [Google Scholar] [CrossRef] [PubMed]
- Ramani, P.; Cowell, J.K. The expression pattern of Wilms’ tumour gene (WT1) product in normal tissues and paediatric renal tumours. J. Pathol. 1996, 179, 162–168. [Google Scholar] [CrossRef]
- Charles, A.K.; Mall, S.; Watson, J.; Berry, P.J. Expression of the Wilms’ tumour gene WT1 in the developing human and in paediatric renal tumours: An immunohistochemical study. Mol. Pathol. 1997, 50, 138–144. [Google Scholar] [CrossRef] [PubMed]
- Carpentieri, D.F.; Nichols, K.; Chou, P.M.; Matthews, M.; Pawel, B.; Huff, D. The expression of WT1 in the differentiation of rhabdomyosarcoma from other pediatric small round blue cell tumors. Mod. Pathol. 2002, 15, 1080–1086. [Google Scholar] [CrossRef] [PubMed]
- Bisceglia, M.; Vairo, M.; Galliani, C.; Lastilla, G.; Parafioriti, A.; De Maglio, G. Immunohistochemical investigation of WT1 expression in 117 embryonal tumors. Pathologica 2011, 103, 182–183. [Google Scholar]
- Parenti, R.; Perris, R.; Vecchio, G.M.; Salvatorelli, L.; Torrisi, A.; Gravina, L.; Magro, G. Immunohistochemical expression of Wilms’ tumor protein (WT1) in developing human epithelial and mesenchymal tissues. Acta Histochem. 2013, 115, 70–75. [Google Scholar] [CrossRef]
- Parenti, R.; Puzzo, L.; Vecchio, G.M.; Gravina, L.; Salvatorelli, L.; Musumeci, G.; Vasquez, E.; Magro, G. Immunolocalization of Wilms’ Tumor protein (WT1) in developing human peripheral sympathetic and gastroenteric nervous system. Acta Histochem. 2014, 116, 48–54. [Google Scholar] [CrossRef]
- Magro, G.; Salvatorelli, L.; Vecchio, G.M.; Musumeci, G.; Rita, A.; Parenti, R. Cytoplasmic expression of Wilms’ tumor transcription factor-1 (WT1): A useful immunomarker for young-type fibromatoses and infantile fibrosarcoma. Acta Histochem. 2014, 116, 1134–1140. [Google Scholar] [CrossRef]
- Magro, G.; Longo, F.; Salvatorelli, L.; Vecchio, G.M.; Parenti, R. Wilms’ tumor protein (WT1) in mammary myofibroblastoma: An immunohistochemical study. Acta Histochem. 2014, 116, 905–910. [Google Scholar] [CrossRef]
- Magro, G.; Salvatorelli, L.; Puzzo, L.; Musumeci, G.; Bisceglia, M.; Parenti, R. Oncofetal expression of Wilms’ tumor 1 (WT1) protein in human fetal, adult and neoplastic skeletal muscle tissues. Acta Histochem. 2015, 117, 492–504. [Google Scholar] [CrossRef] [PubMed]
- Magro, G.; Longo, F.R.; Angelico, G.; Spadola, S.; Amore, F.F.; Salvatorelli, L. Immunohistochemistry as potential diagnostic pitfall in the most common solid tumors of children and adolescents. Acta Histochem. 2015, 117, 397–414. [Google Scholar] [CrossRef] [PubMed]
- Nakatsuka, S.; Oji, Y.; Horiuchi, T.; Kanda, T.; Kitagawa, M.; Takeuchi, T.; Kawano, K.; Kuwae, Y.; Yamauchi, A.; Okumura, M.; et al. Immunohistochemical detection of WT1 protein in a variety of cancer cells. Mod. Pathol. 2006, 19, 804–814. [Google Scholar] [CrossRef] [PubMed]
- Schittenhelm, J.; Thiericke, J.; Nagel, C.; Meyermann, R.; Beschorner, R. WT1 expression in normal and neoplastic cranial and peripheral nerves is independent of grade of malignancy. Cancer Biomark. 2010, 7, 73–77. [Google Scholar] [CrossRef] [PubMed]
- Bisceglia, M.; Magro, G.; Carosi, I.; Cannazza, V.; Ben Dor, D. Primary embryonal rhabdomyosarcoma of the prostate in adults: Report of a case and review of the literature. Int. J. Surg. Pathol. 2011, 19, 831–837. [Google Scholar] [CrossRef]
- Salvatorelli, L.; Bisceglia, M.; Vecchio, G.; Parenti, R.; Galliani, C.; Alaggio, R. A comparative immunohistochemical study of oncofetalcy-toplasmic WT1 expression in human fetal, adult and neoplasticskeletal muscle. Pathologica 2011, 103, 186. [Google Scholar]
- Singh, A.; Mishra, A.K.; Ylaya, K.; Hewitt, S.M.; Sharma, K.C.; Saxena, S. Wilms’ tumor-1, claudin-1 and ezrin are useful immunohistochemical markers that help to distinguish schwannoma from fibroblastic meningioma. Pathol. Oncol. Res. 2012, 18, 383–389. [Google Scholar] [CrossRef]
- Pritchard-Jones, K.; Fleming, S.; Davidson, D.; Bickmore, W.; Porteous, D.; Gosden, C.; Bard, J.; Buckler, A.; Pelletier, J.; Housman, D. The candidate Wilms’ tumour gene is involved in genitourinary development. Nature 1990, 346, 194–197. [Google Scholar] [CrossRef]
- Sharma, P.M.; Yang, X.; Bowman, M.; Roberts, V.; Sukumar, S. Molecular-cloning of rat Wilms’ tumor complementary DNA and a study of messenger RNA expression in the urogenital system and the brain. Cancer Res. 1992, 52, 6407–6412. [Google Scholar]
- Armstrong, J.F.; Pritchard-Jones, K.; Bickmore, W.A.; Hastie, N.D.; Bard, J.B. The expression of the Wilms’ tumour gene, WT1, in the developing mammalian embryo. Mech. Dev. 1993, 4, 85–97. [Google Scholar] [CrossRef]
- Mundlos, S.; Pelletier, J.; Darveau, A.; Bachmann, M.; Winterpacht, A.; Zabel, B. Nuclear localization of the protein encoded by the Wilms’ tumor gene WT1 in embryonic and adult tissues. Development 1993, 119, 1329–1341. [Google Scholar] [PubMed]
- Parenti, R.; Salvatorelli, L.; Musumeci, G.; Parenti, C.; Giorlandino, A.; Motta, F.; Magro, G. Wilms’ tumor 1 (WT1) protein expression in human developing tissues. Acta Histochem. 2015, 117, 386–396. [Google Scholar] [CrossRef] [PubMed]
- Davies, J.A.; Ladomery, M.; Hohenstein, P.; Michael, L.; Shafe, A.; Spraggon, L.; Hastie, N. Development of an siRNA-based method for repressing specific genes in renal organ culture and its use to show that the Wt1 tumour suppressor is required for nephron differentiation. Hum. Mol. Genet. 2004, 13, 235–246. [Google Scholar] [CrossRef] [PubMed]
- Miller-Hodges, E.; Hohenstein, P. WT1 in disease: Shifting the epithelial-mesenchymal balance. J. Pathol. 2012, 226, 229–240. [Google Scholar] [CrossRef]
- Kreidberg, J.A.; Sariola, H.; Loring, J.M.; Maeda, M.; Pelletier, J.; Housman, D.; Jaenisch, R. WT-1 is required for early kidney development. Cell 1993, 74, 679–691. [Google Scholar] [CrossRef]
- Wagner, N.; Wagner, K.D.; Scholz, H.; Kirschner, K.M.; Schedl, A. Intermediate filament protein nestin is expressed in developing kidney and heart and might be regulated by the Wilms’ tumor suppressor Wt1. Am. J. Physiol. Regul. Integr. Comp. Physiol. 2006, 291, R779–R787. [Google Scholar] [CrossRef]
- Wagner, K.D.; Wagner, N.; Vidal, V.P.; Schley, G.; Wilhelm, D.; Schedl, A.; Englert, C.; Scholz, H. The Wilms’ tumor gene Wt1 is required for normal development of the retina. EMBO J. 2002, 21, 1398–1405. [Google Scholar] [CrossRef]
- Clark, A.J.; Ware, J.L.; Chen, M.Y.; Graf, M.R.; Van Meter, T.E.; Dos Santos, W.G.; Fillmore, H.L.; Broaddus, W.C. Effect of WT1 gene silencing on the tumorigenicity of human glioblastoma multiforme cells. J. Neurosurg. 2010, 112, 18–25. [Google Scholar] [CrossRef]
- Johannessen, C.M.; Reczek, E.E.; James, M.F.; Brems, H.; Legius, E.; Cichowski, K. The NF1 tumor suppressor critically regulates TSC2 and mTOR. Proc. Natl. Acad. Sci. USA 2005, 102, 8573–8578. [Google Scholar] [CrossRef]
- Moore, A.W.; McInnes, L.; Kreidberg, J.; Hastie, N.D.; Schedl, A. YAC complementation shows a requirement for Wt1 in the development of epicardium, adrenal gland and throughout nephrogenesis. Development 1999, 126, 1845–1857. [Google Scholar]
- Martínez-Estrada, O.M.; Lettice, L.A.; Essafi, A.; Guadix, J.A.; Slight, J.; Velecela, V.; Hall, E.; Reichmann, J.; Devenney, P.S.; Hohenstein, P.; et al. Wt1 is required for cardiovascular progenitor cell formation through transcriptional control of Snail and E-cadherin. Nat. Genet. 2010, 42, 89–93. [Google Scholar] [CrossRef] [PubMed]
- Wagner, N.; Wagner, K.D.; Theres, H.; Englert, C.; Schedl, A.; Scholz, H. Coronary vessel development requires activation of the TrkB neurotrophin receptor by the Wilms’ tumor transcription factor Wt1. Genes Dev. 2005, 19, 2631–2642. [Google Scholar] [CrossRef] [PubMed]
- Chau, Y.Y.; Hastie, N.D. The role of Wt1 in regulating mesenchyme in cancer, development, and tissue homeostasis. Trends Genet. 2012, 28, 515–524. [Google Scholar] [CrossRef] [PubMed]
- Al-Hussain, T.; Ali, A.; Akhtar, M. Wilms tumor: An update. Adv. Anat. Pathol. 2014, 21, 166–173. [Google Scholar] [CrossRef] [PubMed]
- Beckwith, J.B. Wilms’ tumor and other renal tumors of childhood: A selective review from the National Wilms’ Tumor Study Pathology Center. Hum. Pathol. 1983, 14, 481–492. [Google Scholar] [CrossRef]
- Charles, A.K.; Brown, K.W.; Berry, P.J. Microdissecting the genetic events in nephrogenic rests and Wilms’ tumor development. Am. J. Pathol. 1998, 153, 991–1000. [Google Scholar] [CrossRef]
- Marsden, H.B.; Lawler, W. Primary renal tumours in the first year of life. A population based review. Virchows. Arch. A Pathol. Anat. Histopathol. 1983, 399, 1–9. [Google Scholar]
- Garvin, A.J.; Surrette, F.; Hintz, D.S.; Rudisill, M.T.; Sens, M.A.; Sens, D.A. The in vitro growth and characterization of the skeletal muscle component of Wilms’ tumor. Am. J. Pathol. 1985, 121, 298–310. [Google Scholar]
- Wigger, H.J. Fetal rhabdomyomatous nephroblastoma-a variant of Wilms’ tumor. Hum. Pathol. 1976, 7, 613–623. [Google Scholar] [CrossRef]
- Attanoos, R.L.; Gibbs, A.R. Pathology of malignant mesothelioma. Histopathology 1997, 30, 403–418. [Google Scholar] [CrossRef]
- McCaughey, W.T.; Al-Jabi, M. Differentiation of serosal hyperplasia and neoplasia in biopsies. Pathol. Annu. 1986, 21, 271–293. [Google Scholar] [PubMed]
- Klebe, S.; Brownlee, S.A.; Mahar, A.; Burchette, J.L.; Sporn, T.A.; Vollmer, R.T.; Roggli, V.L. Sarcomatoid mesothelioma: A clinical-pathologic correlation of 326 cases. Mod. Pathol. 2010, 23, 470–479. [Google Scholar] [CrossRef] [PubMed]
- Oates, J.; Edwards, C. HBME-1, MOC-31, WT1 and calretinin: An assessment of recently described markers for mesothelioma and adenocarcinoma. Histopathology 2000, 36, 341–347. [Google Scholar] [CrossRef] [PubMed]
- Ordóñez, N.G. Value of thyroid transcription factor-1, E-cadherin, BG8, WT1, and CD44S immunostaining in distinguishing epithelial pleural mesothelioma from pulmonary and non pulmonary adenocarcinoma. Am. J. Surg. Pathol. 2000, 24, 598–606. [Google Scholar] [CrossRef]
- Ordóñez, N.G. The immunohistochemical diagnosis of mesothelioma: A comparative study of epithelioid mesothelioma and lung adenocarcinoma. Am. J. Surg. Pathol. 2003, 27, 1031–1051. [Google Scholar] [CrossRef]
- Ordóñez, N.G. The diagnostic utility of immunohistochemistry in distinguishing between mesothelioma and renal cell carcinoma: A comparative study. Hum. Pathol. 2004, 35, 697–710. [Google Scholar] [CrossRef]
- Kushitani, K.; Takeshima, Y.; Amatya, V.J.; Furonaka, O.; Sakatani, A.; Inai, K. Differential diagnosis of sarcomatoid mesothelioma from true sarcoma and sarcomatoid carcinoma using immunohistochemistry. Pathol. Int. 2008, 58, 75–83. [Google Scholar] [CrossRef]
- Tsuta, K.; Kato, Y.; Tochigi, N.; Hoshino, T.; Takeda, Y.; Hosako, M.; Maeshima, A.M.; Asamura, H.; Kondo, T.; Matsuno, Y. Comparison of different clones (WT49 versus 6F-H2) of WT-1 antibodies for immunohistochemical diagnosis of malignant pleural mesothelioma. Appl. Immunohistochem. Mol. Morphol. 2009, 17, 126–130. [Google Scholar] [CrossRef]
- Harwood, T.R.; Gracey, D.R.; Yokoo, H. Pseudomesotheliomatous carcinoma of the lung. A variant of peripheral lung. Cancer Am. J. Clin. Pathol. 1976, 65, 159–167. [Google Scholar] [CrossRef]
- Goldstein, N.S.; Bassi, D.; Uzieblo, A. WT1 is an integral component of an antibody panel to distinguish pancreaticobiliary and some ovarian epithelial neoplasms. Am. J. Clin. Pathol. 2001, 116, 246–252. [Google Scholar] [CrossRef]
- Lee, B.H.; Hecht, J.L.; Pinkus, J.L.; Pinkus, G.S. WT1, estrogen receptor, and progesterone receptor as markers for breast or ovarian primary sites in metastatic adenocarcinoma to body fluids. Am. J. Clin. Pathol. 2002, 117, 745–750. [Google Scholar] [CrossRef]
- Hashi, A.; Yuminamochi, T.; Murata, S.; Iwamoto, H.; Honda, T.; Hoshi, K. Wilms’ tumor gene immunoreactivity in primary serous carcinomas of the fallopian tube, ovary, endometrium, and peritoneum. Int. J. Gynecol. Pathol. 2003, 22, 374–377. [Google Scholar] [CrossRef]
- Logani, S.; Oliva, E.; Amin, M.B.; Folpe, A.L.; Cohen, C.; Young, R.H. Immunoprofile of ovarian tumors with putative transitional cell (urothelial) differentiation using novel urothelial markers: Histogenetic and diagnostic implications. Am. J. Surg. Pathol. 2003, 27, 1434–1441. [Google Scholar] [CrossRef]
- Hecht, J.L.; Lee, B.H.; Pinkus, J.L.; Pinkus, G.S. The value of Wilms’ tumor susceptibility gene 1 in cytologic preparations as a marker for malignant mesothelioma. Cancer 2002, 96, 105–109. [Google Scholar] [CrossRef]
- Goldstein, N.S.; Uzieblo, A. WT1 immunoreactivity in uterine papillary serous carcinomas is different from ovarian serous carcinomas. Am. J. Clin. Pathol. 2002, 117, 541–545. [Google Scholar] [CrossRef]
- Al-Hussaini, M.; Stockman, A.; Foster, H.; McCluggage, W.G. WT-1 assists in distinguishing ovarian from uterine serous carcinoma and in distinguishing between serous and endometrioid ovarian carcinoma. Histopathology 2004, 44, 109–115. [Google Scholar] [CrossRef]
- Acs, G.; Pasha, T.; Zhang, P.J. WT1 is differentially expressed in serous, endometrioid, clear cell, and mucinous carcinomas of the peritoneum, fallopian tube, ovary, and endometrium. Int. J. Gynecol. Pathol. 2004, 23, 110–118. [Google Scholar] [CrossRef]
- Gilks, C.B. Subclassification of ovarian surface epithelial tumors based on correlation of histologic and molecular pathologic data. Int. J. Gynecol. Pathol. 2004, 23, 200–205. [Google Scholar] [CrossRef]
- Waldstrøm, M.; Grove, A. Immunohistochemical expression of Wilms’ tumor gene protein in different histologic subtypes of ovarian carcinomas. Arch. Pathol. Lab. Med. 2005, 129, 85–88. [Google Scholar]
- Taube, E.T.; Denkert, C.; Sehouli, J.; Kunze, C.A.; Dietel, M.; Braicu, I.; Letsch, A.; Darb-Esfahani, S. Wilms’ tumor protein 1 (WT1)—Not only a diagnostic but also a prognostic marker in high-grade serous ovarian carcinoma. Gynecol. Oncol. 2016, 140, 494–502. [Google Scholar] [CrossRef]
- Norris, H.J.; Taylor, H.B. Prognosis of granulosa-theca tumors of the ovary. Cancer 1968, 21, 255–263. [Google Scholar] [CrossRef]
- Young, R.H.; Scully, R.E. Ovarian sex cord-stromal tumors with bizarre nuclei: A clinicopathologic analysis of 17 cases. Int. J. Gynecol. Pathol. 1983, 1, 325–335. [Google Scholar] [CrossRef]
- Gaffey, M.J.; Frierson, H.F., Jr.; Iezzoni, J.C.; Mills, S.E.; Clement, P.B.; Gersell, D.J.; Shashi, V.; von Kap-Herr, C.; Young, R.H. Ovarian granulosa cell tumors with bizarre nuclei: An immunohistochemical analysis with fluorescence in situ hybridization documenting trisomy 12 in the bizarre component [corrected]. Mod. Pathol. 1996, 9, 308–315. [Google Scholar]
- Young, R.H. Sex cord-stromal tumors of the ovary and testis: Their similarities and differences with consideration of selected problems. Mod. Pathol. 2005, 18, S81–S98. [Google Scholar] [CrossRef]
- Arora, D.S.; Cooke, I.E.; Ganesan, T.S.; Ramsdale, J.; Manek, S.; Charnock, F.M.; Groome, N.P.; Wells, M. Immunohistochemical expression of inhibin/activin subunits in epithelial and granulosa cell tumours of the ovary. J. Pathol. 1997, 181, 413–418. [Google Scholar] [CrossRef]
- Cathro, H.P.; Stoler, M.H. The utility of calretinin, inhibin, and WT1 immunohistochemical staining in the differential diagnosis of ovarian tumors. Hum. Pathol. 2005, 36, 195–201. [Google Scholar] [CrossRef]
- Deavers, M.T.; Malpica, A.; Liu, J.; Broaddus, R.; Silva, E.G. Ovarian sex cord-stromal tumors: An immunohistochemical study including a comparison of calretinin and inhibin. Mod. Pathol. 2003, 16, 584–590. [Google Scholar] [CrossRef]
- He, H.; Luthringer, D.J.; Hui, P.; Lau, S.K.; Weiss, L.M.; Chu, P.G. Expression of CD56 and WT1 in ovarian stroma and ovarian stromal tumors. Am. J. Surg. Pathol. 2008, 32, 884–890. [Google Scholar] [CrossRef]
- Zhao, C.; Bratthauer, G.L.; Barner, R.; Vang, R. Diagnostic utility of WT1 immunostaining in ovarian Sertoli cell tumor. Am. J. Surg. Pathol. 2007, 31, 1378–1386. [Google Scholar] [CrossRef]
- Zhao, C.; Vinh, T.N.; McManus, K.; Dabbs, D.; Barner, R.; Vang, R. Identification of the most sensitive and robust immunohistochemical markers in different categories of ovarian sex cord-stromal tumors. Am. J. Surg. Pathol. 2009, 33, 354–366. [Google Scholar] [CrossRef]
- Nasomyon, T.; Samphao, S.; Sangkhathat, S.; Mahattanobon, S.; Graidist, P. Correlation of Wilms’ tumor 1 isoforms with HER2 and ER-α and its oncogenic role in breast Cancer. AntiCancer Res. 2014, 34, 1333–1342. [Google Scholar]
- Domfeh, A.B.; Carley, A.L.; Striebel, J.M.; Karabakhtsian, R.G.; Florea, A.V.; McManus, K.; Beriwal, S.; Bhargava, R. WT1 immunoreactivity in breast carcinoma: Selective expression in pure and mixed mucinous subtypes. Mod. Pathol. 2008, 21, 1217–1223. [Google Scholar] [CrossRef]
- Hwang, H.; Quenneville, L.; Yaziji, H.; Gown, A.M. Wilms tumor gene product: Sensitive and contextually specific marker of serous carcinomas of ovarian surface epithelial origin. Appl. Immunohistochem. Mol. Morphol. 2004, 12, 122–126. [Google Scholar] [CrossRef]
- Lee, A.H.; Paish, E.C.; Marchio, C.; Sapino, A.; Schmitt, F.C.; Ellis, I.O.; Reis-Filho, J.S. The expression of Wilms’ tumour-1 and Ca125 in invasive micropapillary carcinoma of the breast. Histopathology 2007, 51, 824–828. [Google Scholar] [CrossRef]
- Oh, E.J.; Koo, J.S.; Kim, J.Y.; Jung, W.H. Correlation between solid papillary carcinoma and associated invasive carcinoma according to expression of WT1 and several MUCs. Pathol. Res. Pract. 2014, 210, 953–958. [Google Scholar] [CrossRef]
- Artibani, M.; Sims, A.H.; Slight, J.; Aitken, S.; Thornburn, A.; Muir, M.; Brunton, V.G.; Del-Pozo, J.; Morrison, L.R.; Katz, E.; et al. WT1 expression in breast cancer disrupts the epithelial/mesenchymal balance of tumour cells and correlates with the metabolic response to docetaxel. Sci. Rep. 2017, 7, 45255. [Google Scholar] [CrossRef]
- Choi, E.J.; Yun, J.A.; Jeon, E.K.; Won, H.S.; Ko, Y.H.; Kim, S.Y. Prognostic significance of RSPO1, WNT1, P16, WT1, and SDC1 expressions in invasive ductal carcinoma of the breast. World J. Surg. Oncol. 2013, 11, 314. [Google Scholar] [CrossRef]
- Tuna, M.; Chavez-Reyes, A.; Tari, A.M. HER2/neu increases the expression of Wilms’ Tumor 1 (WT1) protein to stimulate S-phase proliferation and inhibit apoptosis in breast cancer cells. Oncogene 2005, 24, 1648–1652. [Google Scholar] [CrossRef]
- Li, B.Q.; Huang, S.; Shao, Q.Q.; Sun, J.; Zhou, L.; You, L.; Zhang, T.P.; Liao, Q.; Guo, J.C.; Zhao, Y.P. WT1-associated protein is a novel prognostic factor in pancreatic ductal adenocarcinoma. Oncol. Lett. 2017, 13, 2531–2538. [Google Scholar] [CrossRef]
- Rodeck, U.; Bossler, A.; Kari, C.; Humphreys, C.W.; Györfi, T.; Maurer, J.; Thiel, E.; Menssen, H.D. Expression of the WT1 Wilms’ tumor gene by normal and malignant human melanocytes. Int. J. Cancer 1994, 59, 78–82. [Google Scholar] [CrossRef]
- Wilsher, M.; Cheerala, B. WT1 as a complementary marker of malignant melanoma: An immunohistochemical study of whole sections. Histopathology 2007, 51, 605–610. [Google Scholar] [CrossRef]
- Wagner, N.; Panelos, J.; Massi, D.; Wagner, K.D. The Wilms’ tumor suppressor WT1 is associated with melanoma proliferation. Pflug. Arch. 2000, 455, 839–847. [Google Scholar] [CrossRef]
- Michiels, J.F.; Perrin, C.; Leccia, N.; Massi, D.; Grimaldi, P.; Wagner, N. PPARbeta activation inhibits melanoma cell proliferation involving repression of theWilms’ tumour suppressor WT1. Pflug. Arch. 2010, 459, 689–703. [Google Scholar] [CrossRef][Green Version]
- Garrido-Ruiz, M.C.; Rodriguez-Pinilla, S.M.; Pérez-Gómez, B.; Rodriguez-Peralto, J.L. WT1 expression in nevi and melanomas: A marker of melanocytic invasion into the dermis. J. Cutan. Pathol. 2010, 37, 542–548. [Google Scholar] [CrossRef]
- Garrido Ruiz, M.C.; Requena, L.; Kutzner, H.; Ortiz, P.; Pérez-Gómez, B.; Rodriguez-Peralto, J.L. Desmoplastic melanoma: Expression of epithelial-mesenchymal transition-related proteins. Am. J. Dermatopathol. 2014, 36, 238–242. [Google Scholar] [CrossRef]
- Plaza, J.A.; Bonneau, P.; Prieto, V.; Sangueza, M.; Mackinnon, A.; Suster, D.; Bacchi, C.; Estrozi, B.; Kazakov, D.; Kacerovska, D.; et al. Desmoplastic melanoma: An updated immunohistochemical analysis of 40 cases with a proposal for an additional panel of stains for diagnosis. J. Cutan. Pathol. 2016, 43, 313–323. [Google Scholar] [CrossRef]
- Siegel, R.; Ma, J.; Zou, Z.; Jemal, A. Cancer statistics. CA Cancer J. Clin. 2014, 64, 9–29. [Google Scholar] [CrossRef]
- Oji, Y.; Yamamoto, H.; Nomura, M.; Nakano, Y.; Ikeba, A.; Nakatsuka, S.; Abeno, S.; Kiyotoh, E.; Jomgeow, T.; Sekimoto, M.; et al. Overexpression of the Wilms’ tumor gene WT1 in colorectal adenocarcinoma. Cancer Sci. 2003, 94, 712–717. [Google Scholar] [CrossRef]
- Miyata, Y.; Kumagai, K.; Nagaoka, T.; Kitaura, K.; Kaneda, G.; Kanazawa, H.; Suzuki, S.; Hamada, Y.; Suzuki, R. Clinicopathological significance and prognostic value of Wilms’ tumor gene expression in colorectal Cancer. Cancer Biomark. 2015, 15, 789–797. [Google Scholar] [CrossRef]
- Aslan, A.; Erdem, H.; Celik, M.A.; Sahin, A.; Cankaya, S. Investigation of Insulin-Like Growth Factor-1 (IGF-1), P53, and Wilms’ Tumor 1 (WT1) Expression Levels in the Colon Polyp Subtypes in Colon Cancer. Med. Sci. Monit. 2019, 25, 5510–5517. [Google Scholar] [CrossRef]
- Nakahara, Y.; Okamoto, H.; Mineta, T.; Tabuchi, K. Expression of the Wilms’ tumor gene product WT1 in glioblastomas and medulloblastomas. Brain Tumor. Pathol. 2004, 21, 113–116. [Google Scholar] [CrossRef] [PubMed]
- Schittenhelm, J.; Mittelbronn, M.; Nguyen, T.D.; Meyermann, R.; Beschorner, R. WT1 expression distinguishes astrocytic tumor cells from normal and reactive astrocytes. Brain. Pathol. 2008, 18, 344–353. [Google Scholar] [CrossRef] [PubMed]
- Hashiba, T.; Izumoto, S.; Kagawa, N.; Suzuki, T.; Hashimoto, N.; Maruno, M.; Yoshimine, T. Expression of WT1 protein and correlation with cellular proliferation in glial tumors. Neurol. Med. Chir. 2007, 47, 165–170. [Google Scholar] [CrossRef] [PubMed]
- Rauscher, J.; Beschorner, R.; Gierke, M.; Bisdas, S.; Braun, C.; Ebner, F.H.; Schittenhelm, J. WT1 expression increases with malignancy and indicates unfavourable outcome in astrocytoma. J. Clin. Pathol. 2014, 67, 556–561. [Google Scholar] [CrossRef]
- Sotobori, T.; Ueda, T.; Oji, Y.; Naka, N.; Araki, N.; Myoui, A.; Sugiyama, H.; Yoshikawa, H. Prognostic significance of Wilms’ tumor gene (WT1) mRNA expression in soft tissue sarcoma. Cancer 2006, 106, 2233–2240. [Google Scholar] [CrossRef]
- Oue, T.; Ueharaa, S.; Yamanakaa, H.; Takamaa, Y.; Ojib, Y.; Fukuzawa, M. Expression of Wilms’ tumor 1 gene in a variety of pediatric tumors. J. Ped. Surg. 2011, 46, 2233–2238. [Google Scholar] [CrossRef]
- Weiss, S.W.; Goldblum, J.R. Enzinger and Weiss’s Soft Tissue Tumors, 5th ed.; Mosby, J.S., Ed.; Elsevier: Amsterdam, The Netherlands, 2008; pp. 903–925. [Google Scholar]
- Ducatman, B.S.; Scheithauer, B.W. Malignant peripheral nerve sheath tumors showing. Cancer 1984, 54, 1049–1057. [Google Scholar] [CrossRef]
- Wick, M.R.; Swanson, P.E.; Scheithauer, B.W.; Manivel, J.C. Malignant peripheral nerve sheath tumor. An immunohistochemical study of 62 cases. Am. J. Clin. Pathol. 1987, 87, 425–433. [Google Scholar] [CrossRef]
- Johnson, T.L.; Lee, M.W.; Meis, J.M.; Zarbo, R.J.; Crissman, J. Immunohistochemical characterization of malignant peripheral nerve sheath tumors. Surg. Pathol. 1991, 4, 121–135. [Google Scholar]
- Kim, A.; Park, E.Y.; Kim, K.; Lee, J.H.; Shin, D.H.; Kim, J.Y.; Park, D.Y.; Lee, C.H.; Sol, M.Y.; Choi, K.U.; et al. Prognostic significance of WT1 expression in soft tissue sarcoma. World J. Surg. Oncol. 2014, 12, 214. [Google Scholar] [CrossRef][Green Version]
- Ueda, T.; Oji, Y.; Naka, N.; Nakano, Y.; Takahashi, E.; Koga, S.; Asada, M.; Ikeba, A.; Nakatsuka, S.; Abeno, S.; et al. Overexpression of the Wilms’ tumor gene WT1 in human bone and soft-tissue sarcomas. Cancer Sci. 2003, 94, 271–276. [Google Scholar] [CrossRef]
- Parenti, R.; Cardile, V.; Graziano, A.C.; Parenti, C.; Venuti, A.; Bertuccio, M.P.; Furno, D.L.; Magro, G. Wilms’ tumor gene 1 (WT1) silencing inhibits proliferation of malignant peripheral nerve sheath tumor sNF96.2 cell line. PLoS ONE 2014, 9, e114333. [Google Scholar] [CrossRef]
- Antonescu, C.R.; Ladanyi, M. Desmoplastic small round cell tumour. In WHO Classification of Tumours of Soft Tissue and Bone; Fletcher, C.D.M., Bridge, J.A., Hogendoorn, P.C.W., Mertens, F., Eds.; IARC: Lyon, France, 2013; pp. 225–227. [Google Scholar]
- Barnoud, R.; Sabourin, J.C.; Pasquier, D.; Ranchère, D.; Bailly, C.; Terrier-Lacombe, M.J.; Pasquier, B. Immunohistochemical expression of WT1 by desmoplastic small round cell tumor: A comparative study with other small round cell tumors. Am. J. Surg. Pathol. 2000, 24, 830. [Google Scholar] [CrossRef] [PubMed]
- Hill, D.A.; Pfeifer, J.D.; Marley, E.F.; Dehner, L.P.; Humphrey, P.A.; Zhu, X.; Swanson, P.E. WT1 staining reliably differentiates desmoplastic small round cell tumor from Ewing sarcoma/primitive neuroectodermal tumor. An immunohistochemical and molecular diagnostic study. Am. J. Clin. Pathol. 2000, 114, 345–353. [Google Scholar] [CrossRef]
- Murphy, A.J.; Bishop, K.; Pereira, C.; Chilton-MacNeill, S.; Ho, M.; Zielenska, M.; Thorner, P.S. A new molecular variant of desmoplastic small round cell tumor: Significance of WT1 immunostaining in this entity. Hum. Pathol. 2008, 39, 1763–1770. [Google Scholar] [CrossRef]
- Alaggio, R.; Coffin, C.M.; Vargas, S.O. Soft tissue tumors of uncertain origin. Pediatr. Dev. Pathol. 2012, 15 (Suppl. S1), 267–305. [Google Scholar] [CrossRef]
- Hoot, A.C.; Russo, P.; Judkins, A.R.; Perlman, E.J.; Biegel, J.A. Immunohistochemical analysis of hSNF5/INI1 distinguishes renal and extra-renal malignant rhabdoid tumors from other pediatric soft tissue tumors. Am. J. Surg. Pathol. 2004, 28, 1485–1491. [Google Scholar] [CrossRef]
- Sigauke, E.; Rakheja, D.; Maddox, D.L.; Hladik, C.L.; White, C.L.; Timmons, C.F.; Raisanen, J. Absence of expression of SMARCB1/INI1 in malignant rhabdoid tumors of the central nervous system, kidneys and soft tissue: An immunohistochemical study with implications for diagnosis. Mod. Pathol. 2006, 19, 717–725. [Google Scholar] [CrossRef]
- Judkins, A.R. Immunohistochemistry of INI1 expression: A new tool for old challenges in CNS and soft tissue pathology. Adv. Anat. Pathol. 2007, 14, 335–339. [Google Scholar] [CrossRef]
- Machado, I.; Noguera, R.; Santonja, N.; Donat, J.; Fernandez-Delgado, R.; Acevedo, A.; Baragaño, M.; Navarro, S. Immunohistochemical study as a tool in differential diagnosis of pediatric malignant rhabdoid tumor. Appl. Immunohistochem. Mol. Morphol. 2010, 18, 150–158. [Google Scholar] [CrossRef]
- Salvatorelli, L.; Parenti, R.; Leone, G.; Musumeci, G.; Vasquez, E.; Magro, G. Wilms tumor 1 (WT1) protein: Diagnostic utility in pediatric tumors. Acta Histochem. 2015, 117, 367–378. [Google Scholar] [CrossRef] [PubMed]
- Parham, D.M.; Alaggio, R.; Coffin, C.M. Myogenic tumors in children and adolescents. Pediatr. Dev. Pathol. 2012, 15 (Suppl. S1), 211–238. [Google Scholar] [CrossRef] [PubMed]
- Sebire, N.J.; Gibson, S.; Rampling, D.; Williams, S.; Malone, M.; Ramsay, A.D. Immunohistochemical findings in embryonal small round cell tumors with molecular diagnostic confirmation. Appl. Immunohistochem. Mol. Morphol. 2005, 13, 1–5. [Google Scholar] [CrossRef] [PubMed]
- Musumeci, G.; Castrogiovanni, P.; Coleman, R.; Szychlinska, M.A.; Salvatorelli, L.; Parenti, R.; Magro, G.; Imbesi, R. Somitogenesis: From somite to skeletal muscle. Acta Histochem. 2015, 117, 313–328. [Google Scholar] [CrossRef] [PubMed]
- Rosai, J. Rosai and Ackerman’s Surgical Pathology, 10th ed.; Elsevier: New York, NY, USA, 2011. [Google Scholar]
- Magro, G.; Grasso, S.; Emmanuele, C. Immunohistochemical distribution of S-100 protein and type IV collagen in human embryonic and fetal sympathetic neuroblasts. Histochem. J. 1995, 27, 694–701. [Google Scholar] [CrossRef] [PubMed]
- Magro, G.; Ruggieri, M.; Fraggetta, F.; Grasso, S.; Viale, G. Cathepsin D is a marker of ganglion cell differentiation in the developing and neoplastic human peripheral sympathetic nervous tissues. Virchows Arch. 2000, 437, 406–412. [Google Scholar] [CrossRef]
- Magro, G.; Grasso, S. Immunohistochemical identification and comparison of glial cell lineage in fetal, neonatal, adult and neoplastichumanadrenal medulla. Histochem. J. 1997, 29, 293–299. [Google Scholar] [CrossRef]
- Magro, G.; Grasso, S. The glial cell in the ontogenesis of the human peripheral sympathetic nervous system and in neuroblastoma. Pathologica 2001, 93, 505–516. [Google Scholar]
- De Preter, K.; Vandesompele, J.; Heimann, P.; Yigit, N.; Beckman, S.; Schramm, A.; Eggert, A.; Stallings, R.L.; Benoit, Y.; Renard, M.; et al. Human fetal neuroblast and neuroblastoma transcriptome analysis confirms neuroblast origin and highlights neuroblastoma candidate genes. Genome Biol. 2007, 8, 401. [Google Scholar] [CrossRef]
- Hoehner, J.C.; Hedborg, F.; Eriksson, L.; Sandstedt, B.; Grimelius, L.; Olsen, L.; Påhlman, S. Developmental gene expression of sympathetic nervous system tumors reflects their histogenesis. Lab. Investig. 1998, 78, 29–45. [Google Scholar]
- Wang, L.L.; Perlman, E.J.; Vujanic, G.M.; Zuppan, C.; Brundler, M.A.; Cheung, C.R.; Calicchio, M.L.; Dubois, S.; Cendron, M.; Murata-Collins, J.L.; et al. Desmoplastic small round cell tumor of the kidney in childhood. Am. J. Surg. Pathol. 2007, 31, 576–584. [Google Scholar] [CrossRef] [PubMed]
- Coffin, C.M.; Alaggio, R. Fibroblastic and myofibroblastic tumors in children and adolescents. Pediatr. Dev. Pathol. 2012, 15, 127–180. [Google Scholar] [CrossRef]
- Bourgeois, J.M.; Knezevich, S.R.; Mathers, J.A.; Sorensen, P.M. Molecular detection of the ETV6-NTRK3 gene fusion differentiates congenital fibrosarcoma from other childhood spindle cell tumors. Am. J. Surg. Pathol. 2000, 24, 937–946. [Google Scholar] [CrossRef] [PubMed]
- Sheng, W.Q.; Hisaoka, M.; Okamoto, S.; Tanaka, A.; Meis-Kindblom, J.M.; Kindblom, L.G.; Ishida, T.; Nojima, T.; Hashimoto, H. Congenital–infantile fibrosarcoma: A clinico-pathologic study of 10 cases and molecular detection of the ETV6-NTRK3 fusion transcripts using paraffin embedded tissues. Am. J. Clin. Pathol. 2001, 115, 348–355. [Google Scholar] [CrossRef] [PubMed]
- Galfione, S.K.; Ro, J.Y.; Ayala, A.G.; Ge, Y. Diagnostic utility of WT-1 cytoplasmic stain in variety of vascular lesions. Int. J. Clin. Exp. Pathol. 2014, 7, 2536–2543. [Google Scholar] [PubMed]
- Timár, J.; Mészáros, L.; Orosz, Z.; Albini, A.; Rásó, E. WT1 expression in angiogenic tumours of the skin. Histopathology 2005, 47, 67–73. [Google Scholar] [CrossRef]
- Al Dhaybi, R.; Powell, J.; McCuaig, C.; Kokta, V. Differentiation of vasculartumors from vascular malformations by expression of Wilms’tumor 1 gene: Evaluation of 126 cases. J. Am. Acad. Dermatol. 2010, 63, 1052–1057. [Google Scholar] [CrossRef]
- Magro, G.; Bisceglia, M.; Michal, M.; Eusebi, V. Spindle cell lipoma-like tumor, solitary fibrous tumor and myofibroblastoma ofthe breast: A clinic pathological analysis of 13 cases in favor of a unifying histologic concept. Virchows Arch. 2002, 440, 249–260. [Google Scholar] [CrossRef]
- Magro, G.; Gurrera, A.; Bisceglia, M. H-caldesmon expression in myofibroblastoma of the breast: Evidence supporting the distinctionfrom leiomyoma. Histopathology 2003, 42, 233–238. [Google Scholar] [CrossRef]
- Magro, G.; Greco, P.; Alaggio, R.; Gangemi, P.; Ninfo, V. Polypoid angiomyofibroblastoma-like tumor of the oral cavity: A hitherto unreported soft tissue tumor mimicking embryonal rhabdomyosarcoma. Pathol. Res. Pract. 2008, 204, 837–843. [Google Scholar] [CrossRef]
- Magro, G. Stromal tumors of the lower female genital tract: Histo-genetic, morphological and immunohistochemical similaritieswith the “benign spindle cell tumors of the mammary stroma”. Pathol. Res. Pract. 2007, 203, 827–829. [Google Scholar] [CrossRef] [PubMed]
- Magro, G.; Caltabiano, R.; Kacerovská, D.; Vecchio, G.M.; Kazakov, D.; Michal, M. Vulvovaginal myofibroblastoma: Expanding themorphological and immunohistochemical spectrum. A clinico-pathologic study of 10 cases. Hum. Pathol. 2012, 43, 243–253. [Google Scholar] [CrossRef] [PubMed]













© 2019 by the authors. Licensee MDPI, Basel, Switzerland. This article is an open access article distributed under the terms and conditions of the Creative Commons Attribution (CC BY) license (http://creativecommons.org/licenses/by/4.0/).
Share and Cite
Salvatorelli, L.; Calabrese, G.; Parenti, R.; Vecchio, G.M.; Puzzo, L.; Caltabiano, R.; Musumeci, G.; Magro, G. Immunohistochemical Expression of Wilms’ Tumor 1 Protein in Human Tissues: From Ontogenesis to Neoplastic Tissues. Appl. Sci. 2020, 10, 40. https://doi.org/10.3390/app10010040
Salvatorelli L, Calabrese G, Parenti R, Vecchio GM, Puzzo L, Caltabiano R, Musumeci G, Magro G. Immunohistochemical Expression of Wilms’ Tumor 1 Protein in Human Tissues: From Ontogenesis to Neoplastic Tissues. Applied Sciences. 2020; 10(1):40. https://doi.org/10.3390/app10010040
Chicago/Turabian StyleSalvatorelli, Lucia, Giovanna Calabrese, Rosalba Parenti, Giada Maria Vecchio, Lidia Puzzo, Rosario Caltabiano, Giuseppe Musumeci, and Gaetano Magro. 2020. "Immunohistochemical Expression of Wilms’ Tumor 1 Protein in Human Tissues: From Ontogenesis to Neoplastic Tissues" Applied Sciences 10, no. 1: 40. https://doi.org/10.3390/app10010040
APA StyleSalvatorelli, L., Calabrese, G., Parenti, R., Vecchio, G. M., Puzzo, L., Caltabiano, R., Musumeci, G., & Magro, G. (2020). Immunohistochemical Expression of Wilms’ Tumor 1 Protein in Human Tissues: From Ontogenesis to Neoplastic Tissues. Applied Sciences, 10(1), 40. https://doi.org/10.3390/app10010040

