An Investigation into the Effect of Body Condition and Other Gilt Characteristics on Estrus Responses Post Altrenogest Treatment and on Reproductive Performance
Simple Summary
Abstract
1. Introduction
2. Materials and Methods
2.1. Farm Characteristics and General Management
2.2. General Gilt Management
2.3. Experimental Design
2.3.1. Gilts Included, Altrenogest Application and Breeding Protocol
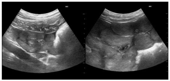
2.3.2. Parameters Recorded at the Beginning of Altrenogest Treatment
2.3.3. Parameters Recorded at the End of Altrenogest Treatment
2.3.4. Parameters Recorded for Reproductive Performance
2.4. Statistical Analysis
3. Results
3.1. All Gilts (Overall Data)
3.2. Pubertal Versus Prepubertal Gilts
3.3. Relationship Between Uterine Size and Production Traits
4. Discussion
5. Conclusions
Author Contributions
Funding
Institutional Review Board Statement
Informed Consent Statement
Data Availability Statement
Acknowledgments
Conflicts of Interest
References
- Kraeling, R.R.; Webel, S.K. Current strategies for reproductive management of gilts and sows in North America. J. Anim. Sci. Biotechnol. 2015, 6, 3. [Google Scholar] [CrossRef] [PubMed]
- Patterson, J.; Foxcroft, G. Gilt Management for Fertility and Longevity. Animals 2019, 9, 434. [Google Scholar] [CrossRef] [PubMed]
- Bortolozzo, F.P.; Zanin, G.P.; Ulguim, R.d.R.; Mellagi, A.P.G. Managing Reproduction in Hyperprolific Sow Herds. Animals 2023, 13, 1842. [Google Scholar] [CrossRef] [PubMed]
- Patterson, J.; Foxcroft, G.; Pinilla, J.C. Key Principles for Improved Sow Lifetime Performance. In Proceedings of the 26th International Pig Veterinary Society Congress, Rio de Janeiro, Brazil, 21–24 June 2022; IPVS: Rio de Janeiro, Brazil, 2022. [Google Scholar]
- Maes, D.; Janssens, G.; Delputte, P.; Lammertyn, A.; de Kruif, A. Back fat measurements in sows from three commercial pig herds: Relationship with reproductive efficiency and correlation with visual body condition scores. Livest. Prod. Sci. 2004, 91, 57–67. [Google Scholar] [CrossRef]
- Theil, P.K.; Krogh, U.; Bruun, T.S.; Feyera, T. Feeding the modern sow to sustain high productivity. Mol. Reprod. Dev. 2023, 90, 517–532. [Google Scholar] [CrossRef]
- De Rensis, F.; Gherpelli, M.; Superchi, P.; Kirkwood, R.N. Relationships between backfat depth and plasma leptin during lactation and sow reproductive performance after weaning. Anim. Reprod. Sci. 2005, 90, 95–100. [Google Scholar] [CrossRef]
- Lents, C.; Lindo, A.; Hileman, S.; Nonneman, D. Physiological and genomic insight into neuroendocrine regulation of puberty in gilts. Domest. Anim. Endocrinol. 2020, 73, 106446. [Google Scholar] [CrossRef]
- Kummer, R.; Bernardi, M.L.; Wentz, I.; Bortolozzo, F.P. Reproductive performance of high growth rate gilts inseminated at an early age. Anim. Reprod. Sci. 2006, 96, 47–53. [Google Scholar] [CrossRef]
- Bortolozzo, F.; Bernardi, M.; Kummer, R.; Wentz, I. Growth, body state and breeding performance in gilts and primiparous sows. Soc. Reprod. Fertil. Suppl. 2009, 66, 281–291. [Google Scholar] [CrossRef]
- Roongsitthichai, A.; Tummaruk, P. Importance of Backfat Thickness to Reproductive Performance in Female Pigs. Thai J. Veter Med. 2014, 44, 171–178. [Google Scholar] [CrossRef]
- Díaz, J.A.C.; Vallet, J.L.; Lents, C.A.; Nonneman, D.J.; Miles, J.R.; Wright, E.C.; Rempel, L.A.; Cushman, R.A.; Freking, B.A.; Rohrer, G.A.; et al. Age at puberty, ovulation rate, and uterine length of developing gilts fed two lysine and three metabolizable energy concentrations from 100 to 260 d of age. J. Anim. Sci. 2015, 93, 3521–3527. [Google Scholar] [CrossRef] [PubMed]
- Tokach, M.D.; Menegat, M.B.; Gourley, K.M.; Goodband, R.D. Review: Nutrient requirements of the modern high-producing lactating sow, with an emphasis on amino acid requirements. Animal 2019, 13, 2967–2977. [Google Scholar] [CrossRef] [PubMed]
- Kraeling, R.R.; Dziuk, P.J.; Pursel, V.G.; Rampacek, G.B.; Webel, S.K. Synchronization of Estrus in Swine with Allyl Trenbolone (RU-2267). J. Anim. Sci. 1981, 52, 831–835. [Google Scholar] [CrossRef] [PubMed]
- Webel, S.K.; Day, B.N. The control of ovulation. In Control of Pig Reproduction; Butterworth-Heinemann: Oxford, UK, 1982; pp. 197–210. [Google Scholar]
- Martinat-Botté, F.; Bariteau, F.; Badouard, B.; Terqui, M. Control of pig reproduction in a breeding programme. J. Reprod. Fertil. Suppl. 1985, 33, 211–228. [Google Scholar] [PubMed]
- Kirkwood, R.N.; de Rensis, F. Control of Estrus in Gilts and Primiparous Sows. Thai J. Vet. Med. 2016, 46, 1–7. [Google Scholar] [CrossRef]
- Wang, Z.; Liu, B.S.; Wang, X.Y.; Wei, Q.H.; Tian, H.; Wang, L.Q. Effects of altrenogest on reproductive performance of gilts and sows: A meta-analysis. Anim. Reprod. Sci. 2018, 197, 10–21. [Google Scholar] [CrossRef]
- Thitachot, K.; Sirinopwong, V.; Seemuang, V.; Ratchatasriprasert, A.; Kirkwood, R.N.; Am-In, N. Influence of Backfat Thickness and the Interval from Altrenogest Withdrawal to Estrus on Reproductive Performance of Gilts. Animals 2021, 11, 1348. [Google Scholar] [CrossRef]
- Hillbrand, F.W.; Elsaesser, F. Concentrations of progesterone in the backfat of pigs during the oestrous cycle and after ovariectomy. J. Reprod. Fertil. 1983, 69, 73–80. [Google Scholar] [CrossRef]
- Signoret, J.P. Reproductive behaviour of pigs. J. Reprod. Fertil. Suppl. 1970, 11, 105–117. [Google Scholar]
- Kauffold, J.; Rautenberg, T.; Richter, A.; Waehner, M.; Sobiraj, A. Ultrasonographic characterization of the ovaries and the uterus in prepubertal and pubertal gilts. Theriogenology 2004, 61, 1635–1648. [Google Scholar] [CrossRef]
- Vela, A.; Suárez-Usbeck, A.; Lafoz, L.; Mitjana, O.; Tejedor, M.T.; Martín, S.; López, M.; Falceto, M.V. Determination of puberty in gilts: Contrast of diagnostic methods. Porcine Health Manag. 2022, 8, 28. [Google Scholar] [CrossRef] [PubMed]
- Williams, N.; Patterson, J.; Foxcroft, G. Non-Negotiables of Gilt Development. Adv. Pork Prod. 2005, 16, 281–289. [Google Scholar]
- Patterson, J.; Bernardi, M.L.; Allerson, M.; Hanson, A.; Holden, N.; Bruner, L.; Pinilla, J.C.; Foxcroft, G. Associations among individual gilt birth weight, litter birth weight phenotype, and the efficiency of replacement gilt production. J. Anim. Sci. 2020, 98, skaa331. [Google Scholar] [CrossRef] [PubMed]
- Filha, W.A.; Bernardi, M.; Wentz, I.; Bortolozzo, F. Reproductive performance of gilts according to growth rate and backfat thickness at mating. Anim. Reprod. Sci. 2010, 121, 139–144. [Google Scholar] [CrossRef]
- Saito, H.; Sasaki, Y.; Koketsu, Y. Associations between Age of Gilts at First Mating and Lifetime Performance or Culling Risk in Commercial Herds. J. Veter Med Sci. 2011, 73, 555–559. [Google Scholar] [CrossRef]
- Koketsu, Y.; Iida, R.; Piñeiro, C. Increased age at first-mating interacting with herd size or herd productivity decreases longevity and lifetime reproductive efficiency of sows in breeding herds. Porc. Health Manag. 2020, 6, 2. [Google Scholar] [CrossRef]
- Hoving, L.; Soede, N.; Feitsma, H.; Kemp, B. Lactation Weight Loss in Primiparous Sows: Consequences for Embryo Survival and Progesterone and Relations with Metabolic Profiles. Reprod. Domest. Anim. 2012, 47, 1009–1016. [Google Scholar] [CrossRef]
- Gaughan, J.B.; Cameron, R.D.A.; Dryden, G.M.; Young, B.A. Effect of body composition at selection on reproductive development in large white gilts. J. Anim. Sci. 1997, 75, 1764–1772. [Google Scholar] [CrossRef]
- Patterson, J.L.; Ball, R.O.; Willis, H.J.; Aherne, F.X.; Foxcroft, G.R. The effect of lean growth rate on puberty attainment in gilts. J. Anim. Sci. 2002, 80, 1299–1310. [Google Scholar] [CrossRef]
- Redmer, D.A.; Day, B.N. Ovarian Activity and Hormonal Patterns in Gilts Fed Allyl Trenbolone2. J. Anim. Sci. 1981, 53, 1088–1094. [Google Scholar] [CrossRef]
- Ziecik, A.J.; Drzewiecka, K.; Gromadzka-Hliwa, K.; Klos, J.; Witek, P.; Knapczyk-Stwora, K.; Gajewski, Z.; Kaczmarek, M.M. Altrenogest affects the development and endocrine milieu of ovarian follicles in prepubertal and mature gilts. Biol. Reprod. 2020, 103, 1069–1084. [Google Scholar] [CrossRef] [PubMed]
- Dimitrov, S.; Bonev, G.; Taseva, H. Synchronization of estrous in gilts with Altrenogest. Agric. Sci. Technol. 2010, 2, 3–5. [Google Scholar]
- Walker, N.; Kilpatrick, D.J.; Courtney, D.J. The Effect of Conception in Gilts at Puberty or Second Oestrus on Reproductive Performance over Two Parities. Ir. J. Agric. Res. 1989, 28, 115–121. [Google Scholar]
- Young, L.G.; King, G.J.; Walton, J.S.; McMillan, I.; Klevorick, M. Reproductive performance over four parities of gilts stimulated to early estrus and mated at first, second or third observed estrus. Can. J. Anim. Sci. 1990, 70, 483–492. [Google Scholar] [CrossRef]
- Foxcroft, G.; Patterson, J.L.; Dyck, M.K. Improving production efficiency in a competitive industry. In Proceedings of the 24th Manitoba swine seminar, Winnipeg, MB, Canada, 21–24 June 2022; Manitoba Pork Council: Winnipeg, MB, Canada, 2022. [Google Scholar]
- Faccin, J.E.G.; Tokach, M.D.; Goodband, R.D.; DeRouchey, J.M.; Woodworth, J.C.; Gebhardt, J.T. Gilt development to improve offspring performance and survivability. J. Anim. Sci. 2022, 100, skac128. [Google Scholar] [CrossRef] [PubMed]
- Varley, M.A.; Yang, H.; Rodway, R.G. Puberty attainment in oestradiol-treated gilts given allyl-trenbolone and gonadotrophins. Anim. Sci. 1989, 48, 435–441. [Google Scholar] [CrossRef]
- Vallet, J.L.; Calderón-Díaz, J.A.; Stalder, K.J.; Phillips, C.; Cushman, R.A.; Miles, J.R.; Rempel, L.A.; Rohrer, G.A.; Lents, C.A.; Freking, B.A.; et al. Litter-of-origin trait effects on gilt development. J. Anim. Sci. 2016, 94, 96–105. [Google Scholar] [CrossRef]
- Jankowiak, H.; Kapelański, W.; Bocian, M. Uterine Characteristics of Prepubertal Gilts at Fixed Body Weight. Ann. Anim. Sci. 2019, 19, 373–381. [Google Scholar] [CrossRef]
- König, N.L.; Wähner, M.; Seeger, J.; Sigmarsson, H.L.; Kauffold, J. An investigation into uterine capacity based on litter and placental characteristics in two sow lines with different prolificacy (Danish Landrace x Danish Yorkshire versus German Saddleback). Reprod. Domest. Anim. 2021, 56, 34–45. [Google Scholar] [CrossRef]
- Martinat-Botte, F.; Bariteau, F.; Forgerit, Y.; Macar, C.; Moreau, A.; Terqui, M.; Signoret, J. Control of oestrus in gilts II. Synchronization of oestrus with a progestagen, altrenogest (Regumate): Effect on fertility and litter size. Anim. Reprod. Sci. 1990, 22, 227–233. [Google Scholar] [CrossRef]
- Martinat-Botté, F.; Bariteau, F.; Forgerit, Y.; Macar, C.; Poirier, P.; Terqui, M. Synchronization of oestrus in gilts with altrenogest: Effects on ovulation rate and foetal survival. Anim. Reprod. Sci. 1995, 39, 267–274. [Google Scholar] [CrossRef]
- Lents, C.A.; Cushman, R.A.; Freking, B.A. Measures of the ovaries and uterus during development of gilts selected for differences in uterine capacity. J. Anim. Sci. 2014, 92, 2433–2439. [Google Scholar] [CrossRef]


| Parameter | Gilts (n) | Value |
|---|---|---|
| Age beginning of altrenogest (days) | 161 | 252.6 ± 7.5 |
| Body weight beginning of altrenogest (kg) | 161 | 153.0 ± 12.4 |
| BFT beginning of altrenogest treatment (cm) | 161 | 0.9 ± 0.2 |
| BFT end of altrenogest treatment (cm) | 161 | 1.1 ± 0.5 |
| MT beginning of altrenogest treatment (cm) | 161 | 6.0 ± 0.4 |
| MT end of altrenogest treatment (cm) | 161 | 6.2 ± 0.6 |
| Follicle size end of altrenogest treatment (mm) | 161 | 3.2 ± 0.4 |
| Estrus rate post altrenogest (%) | 160 | 99.4 |
| Interval last altrenogest treatment-onset estrus (days) | 160 | 5.9 ± 0.5 |
| Conception rate (%) | 160 | 100 |
| Farrowing rate (%) | 153 | 95.6 |
| Total born piglets (n) | 153 | 18.1 ± 2.6 |
| Live born piglets (n) | 153 | 17.4 ± 2.5 |
| Stillborn piglets (n) | 153 | 0.7 ± 1.0 |
| Mean piglet weight (kg) | 70 | 1.3 ± 0.2 |
| Interval Last Altrenogest-Onset Estrus (Days) | 5 | 5.5 | 6 | 6.5 | 7 | 8 |
|---|---|---|---|---|---|---|
| Number animals n (%) | 25 (15.6) b | 25 (15.6) b | 79 (49.4) a | 27 (16.9) b | 3 (1.9) c | 1 (0.6) c |
| Parameter. | Gilts/Litter (n) | BFT-1 (cm) | BFT-2 (cm) | MT-1 (cm) | MT-2 (cm) | Age (Days) | Body Weight (kg) |
|---|---|---|---|---|---|---|---|
| Follicle size end of altrenogest | 161 | 0.11 (0.16) | 0.15 (0.06) | −0.14 (0.07) | 0.007 (0.92) | 0.22 (0.004) | 0.03 (0.66) |
| Interval last altrenogest treatment-onset estrus | 160 | −0.06 (0.47) | −0.02 (0.82) | 0.19 (0.01) | 0.08 (0.3) | −0.05 (0.53) | 0.08 (0.31) |
| Conception rate | 160 | 0.12 (0.12) | −0.14 (0.07) | −0.16 (0.04) | 0.08 (0.33) | 0.09 (0.27) | −0.09 (0.23) |
| Farrowing rate | 153 | 0.12 (0.11) | −0.14 (0.07) | −0.16 (0.04) | 0.08 (0.33) | 0.09 (0.27) | −0.09 (0.23) |
| Total born piglets | 153 | 0.04 (0.59) | 0.09 (0.26) | 0.06 (0.49) | 0.05 (0.56) | −0.11 (0.16) | 0.12 (0.13) |
| Live born piglets | 153 | 0.04 (0.65) | 0.06 (0.48) | 0.02 (0.8) | 0.05 (0.56) | −0.11 (0.18) | 0.09 (0.28) |
| Stillborn piglets | 153 | 0.02 (0.8) | 0.1 (0.24) | 0.1 (0.24) | 0.007 (0.93) | −0.02 (0.75) | 0.11 (0.2) |
| Mean piglet weight | 70 | −0.27 (0.02) | −0.15 (0.21) | 0.05 (0.66) | 0.26 (0.03) | −0.01 (0.93) | 0.04 (0.73) |
| Parameter | Pubertal | Prepubertal | p-Value | ||
|---|---|---|---|---|---|
| n gilts | Value | n gilts | Value | ||
| Age beginning of altrenogest (days) | 147 | 252.8 ± 7.4 | 14 | 250.5 ± 8.7 | 0.65 |
| Body weight beginning of altrenogest (kg) | 147 | 152.6 ± 12.5 | 14 | 156.8 ± 10.8 | 0.28 |
| BFT beginning of altrenogest (cm) | 147 | 0.9 ± 0.2 | 14 | 0.8 ± 0.1 | 0.20 |
| BFT end of altrenogest (cm) | 147 | 1.0 ± 0.3 | 14 | 1.3 ± 1.5 | 0.12 |
| MT beginning of altrenogest (cm) | 147 | 6.0 ± 0.4 | 14 | 6.2 ± 0.3 | 0.04 |
| MT end of altrenogest (cm) | 147 | 6.2 ± 0.6 | 14 | 6.0 ± 0.6 | 0.29 |
| Follicle size end of altrenogest (mm) | 147 | 3.2 ± 0.4 | 14 | 3.0 ± 0.3 | 0.03 |
| Estrus rate post altrenogest (%) | 147 | 100 | 14 | 92.9 | 0.87 |
| Interval last altrenogest treatment-onset estrus (days) | 147 | 5.9 ± 0.5 | 14 | 5.7 ± 0.4 | 0.21 |
| Conception rate (%) | 147 | 100 | 13 | 100 | N/A |
| Farrowing rate (%) | 140 | 95.2 | 14 | 100 | 1.0 |
| Total born piglets (n) | 140 | 18.1 ± 2.6 | 13 | 17.6 ± 2.8 | 0.36 |
| Live born piglets (n) | 140 | 17.4 ± 2.5 | 13 | 17.1 ± 2.5 | 0.35 |
| Stillborn piglets (n) | 140 | 0.7 ± 1.0 | 13 | 0.5 ± 0.8 | 0.65 |
| Mean piglet weight (kg) | 65 | 1.3 ± 0.2 | 5 | 1.3 ± 0.2 | 0.44 |
| Mean cross-sectional area of uterine horns (cm2) | 132 | 1.63 ± 0.48 | 13 | 0.51 ± 0.15 | <0.001 |
Disclaimer/Publisher’s Note: The statements, opinions and data contained in all publications are solely those of the individual author(s) and contributor(s) and not of MDPI and/or the editor(s). MDPI and/or the editor(s) disclaim responsibility for any injury to people or property resulting from any ideas, methods, instructions or products referred to in the content. |
© 2025 by the authors. Licensee MDPI, Basel, Switzerland. This article is an open access article distributed under the terms and conditions of the Creative Commons Attribution (CC BY) license (https://creativecommons.org/licenses/by/4.0/).
Share and Cite
Krause, S.; Bauske, N.; Sigmarsson, H.L.; Grahofer, A.; Tietje, H.; Sperling, D.; Kauffold, J. An Investigation into the Effect of Body Condition and Other Gilt Characteristics on Estrus Responses Post Altrenogest Treatment and on Reproductive Performance. Animals 2025, 15, 623. https://doi.org/10.3390/ani15050623
Krause S, Bauske N, Sigmarsson HL, Grahofer A, Tietje H, Sperling D, Kauffold J. An Investigation into the Effect of Body Condition and Other Gilt Characteristics on Estrus Responses Post Altrenogest Treatment and on Reproductive Performance. Animals. 2025; 15(5):623. https://doi.org/10.3390/ani15050623
Chicago/Turabian StyleKrause, Sandra, Nina Bauske, Haukur L. Sigmarsson, Alexander Grahofer, Hendrik Tietje, Daniel Sperling, and Johannes Kauffold. 2025. "An Investigation into the Effect of Body Condition and Other Gilt Characteristics on Estrus Responses Post Altrenogest Treatment and on Reproductive Performance" Animals 15, no. 5: 623. https://doi.org/10.3390/ani15050623
APA StyleKrause, S., Bauske, N., Sigmarsson, H. L., Grahofer, A., Tietje, H., Sperling, D., & Kauffold, J. (2025). An Investigation into the Effect of Body Condition and Other Gilt Characteristics on Estrus Responses Post Altrenogest Treatment and on Reproductive Performance. Animals, 15(5), 623. https://doi.org/10.3390/ani15050623

