Simple Summary
Improving animal growth performance while maintaining good health and welfare is a serious challenge that poultry production is facing. Using feed additives could be part of the solution. Here, we evaluate the effect of a Standardized Natural Citrus Extract (SNCE) on growth performance, animal welfare, and the intestinal health of broiler chickens. The main results showed that SNCE supplementation in feed improved the final bodyweight, the European Efficiency Index, and the carcass quality of broiler chickens. Regarding welfare, the occurrence of Footpad Dermatitis was reduced in birds supplemented with SNCE. Gut health was also improved, as seen by the measurable indicators such as putrefactive short-chain fatty acids and gut integrity in birds that received the SNCE. Based on these results, we suggest the use of SNCE as feed additive to improve growth performance, health, and welfare of broiler chickens.
Abstract
This study aimed to investigate the effects of a Standardized Natural Citrus Extract (SNCE) on broiler chickens’ growth performance, gut health, carcass quality, and welfare. A total of 756 one-day-old Ross 308 males were randomly assigned to two groups: a control group (CTL) fed with a standard diet, and a citrus group (SNCE) fed with the same standard diet supplemented with 250 g/ton of feed of SNCE. Growth performance was recorded weekly until d 35, while mortality was recorded daily. The feed conversion ratio (FCR) and European Efficiency Index (EEI) of broiler chickens were also calculated weekly. At day 35, 10 birds per group were randomly selected for slaughter performance. In parallel, broiler chickens’ welfare was assessed according to the Welfare Quality Assessment Protocol. Caecal digest was also collected post mortem for short-chain fatty acids (SCFA) analyses, and jejunum samples were collected for ex vivo gut permeability assay. SNCE dietary supplementation enhanced broiler chickens’ performance, i.e., final bodyweight and EEI, compared to the CTL group. The carcass weight was also significantly higher in the SNCE group. In addition, the fat percentage was lower in the SNCE group. Regarding broiler chickens’ welfare and gut health parameters, Footpad Dermatitis (FPD) and gate score were also lower in birds supplemented with SNCE. The SCFA measurement showed a lower concentration of iso-butyric acid, iso-valeric acid, and total putrefactive SCFA in the SNCE group. The differences in gut permeability measured as TEER value indicate that using citrus extract lowered the risk of gut inflammation. This study provides valuable insights into the mechanisms of action that may underlie the observed effects of SNCE on performance, as demonstrated in this study and others. These effects could potentially be attributed to the reduction in inflammation and the enhanced utilization of nutrients. Further studies are needed to confirm these results.
1. Introduction
For decades, the livestock production sector has focused on improving animal production efficiency to stretch out the world population’s needs concerning farmed products [1]. This is particularly true for conventional broiler chickens’ production, where advancements in genetics, nutrition programs, management strategy, and medicine have resulted in more efficient birds, allowing a decrease of the slaughter age dramatically [2,3]. This is well illustrated by the fact that the broiler chickens’ live weight at 42 days of age increased by over 300% in the last 50 years [4,5]. However, this high productive capacity level of broiler chickens raised concerns about animal welfare [4,6] and meat quality [2,3]. Indeed, the incidence of disorders such as skin lesions and lameness has increased in recent years [4,7]. These issues generate important economic losses in the broiler chicken production sectors. The current challenges of broiler chicken production consist of maintaining good productivity and taking into account the societal demands regarding the production systems [8]. Indeed, animal welfare concerns as well as livestock production system sustainability have become more and more important for consumers in the last two decades in many regions of the world [8,9]. This is the reason why there is a need for more renewable development strategies to maintain broiler chickens’ efficiency while improving poultry welfare and meat quality.
Interestingly, studies have shown that maintaining intestinal health is closely linked to both productivity and well-being [10]. That is why maintaining intestinal health is crucial to ensure the good productivity and welfare of broiler chickens. Indeed, good intestinal health is essential for nutrient digestion and absorption, leading to better animal performance [10]. Moreover, gut health issues are often associated with a decline in welfare parameters related to skin integrity [11]. Intestinal health can be managed in several ways. Among existing solutions, supplementing broiler chickens with feed additives is a good one [12,13,14]. These solutions include, among others, plant and plant extracts, organic acids, probiotics, prebiotics, and exogenous enzymes. In most cases, these solutions would play a central role in gut health, resulting in increased gut integrity, well-balanced microbiota, and nutrient digestion and absorption, as well as reduced ammonia and moisture content in their excreta, which may indirectly improve welfare parameters linked to skin integrity [15,16].
Citrus extracts have been widely used in animal nutrition as feed additives to improve feed efficiency due to the beneficial effect they confer on broiler chickens’ microbiota, gut structure, and motility [17,18,19,20]. The use of Standardized Natural Citrus Extract (SNCE) is even more interesting as it helps to improve the carbon footprint of poultry farming, as demonstrated through the Life Cycle Assessment [21]. Moreover, it involves the use of botanical products with a stable and standardized composition, focusing on the active compound responsible for its biological activity. We previously demonstrated the positive effect of a Standardized Natural Citrus Extract (SNCE) on broiler chickens’ performance [18]. The question raised in that study was whether the SNCE’s positive effect on performance was correlated with an improvement in broiler chickens’ gut health, slaughter performance, and welfare. The hypothesis behind this study is that citrus extract would improve growth performance, meat quality, and litter quality compared to a standard situation, thanks to its positive effect on gut health. Broiler chickens’ welfare parameters linked to skin integrity would also be improved as a result.
2. Material and Methods
2.1. Ethics
All animal procedures were approved by the Warsaw University of Life Science (SGGW) 2nd Local Ethics Committee for animal experiments to ensure compliance with Polish and European regulations for animal welfare concerning the use of live vertebrate animals in research and teaching (waivers from 06.04.2023 of Ethics Committee approval).
2.2. Animals and Diet
Seven hundred fifty-six 1-day-old males (Ross 308, Aviagen, Zebowo, Poland) were randomly assigned to 2 groups: a control group (CTL) in which broiler chickens were fed with a standard diet whose characteristics fit with the Ross 308 specification feed, and a citrus group in which broiler chickens were fed with the same standard diet and supplemented with 250 g/T of Standardized Natural Citrus Extract (SNCE, Nor-Spice AB®, Nor-Feed SAS, Beaucouzé, France), with 14 and 13 replicates of 28 birds each, respectively. The complete characterization of SNCE has already been performed [19]. Each pen (1.45 m × 1.45 m) was equipped with a tube feeder and 2 bell drinkers during the first week of life. After that, bell drinkers were replaced by automatic nipple drinkers. Straw pellet was used as litter and birds had ad libitum access to feed and water throughout the trial. Chickens were reared until d35, starting at 34 °C at chick placement, gradually reduced to 25.5 °C by 25 days of age, where it was maintained from thereafter. Animals were exposed to artificial light according to Ross 308 broiler light program instructions. The chickens have had 23 h of light and 1 h of darkness from d0 to d7 and 5 h of darkness since day 7.
The feeding program was set up as follows: starter from d 1 to d 10, grower from d 11 to d 27, and finisher from d 28 until d 35. Nutritional values of the diets are described in Table 1. Coccidiostat was not used in the feed.
Table 1.
Feed composition and nutritional value of standard diet used.
2.3. Growth Parameters and Slaughter Performance Assessment
Body weight per bird was recorded weekly from d 1 to d 35, whereas feed intake (FI) was measured in each dietary transition (d 10, d 27, and d 35). Feed conversion ratio (FCR) was also calculated at d 10, d 27, and d 35, and mortality was recorded daily. Based on the parameters monitored, the European Efficiency Index (EEI) was calculated using the following formula:
Regarding slaughter performance, ten birds per group were randomly selected and weighed before slaughter. After slaughter and cooling (24 h in 4 °C) of the carcasses, the slaughter efficiency of the chickens was assessed based on the work of Michalczuk et al. 2016, determining the percentages of the pectoral muscle, leg muscle, giblets, and fat [22].
2.4. Gut Health
2.4.1. Short-Chain Fatty Acids (SCFA) Analysis
Twenty birds per group were randomly selected among those within the group average weight of +/− 200 g for short-chain fatty acid (SCFA) analyses in the caecal digesta. The concentrations of SCFAs in caecal digesta were measured with the following modifications: 4 mL of ultrapure water was added to the caecal digesta, and the pH was determined using a WTW pH/340 pH meter (Fisher scientific, Illkirch, France). The SCFAs were converted to their respective sodium salts by adjusting the pH to 8.2 with 1 M NaOH. The samples were then stored at −20 °C. Before analysis, the samples were thawed at room temperature, thoroughly mixed, and centrifuged at 1000 rpm for 10 min at room temperature. The supernatants were collected, and formic acid was added to each sample in an amount equal to 10% of the sample volume. After mixing, the supernatants were centrifuged again at 10,000 rpm for 10 min at room temperature. A volume of 500 µL of supernatant was transferred into chromatographic vials and mixed with isocaproic acid (internal standard; IS) in a ratio of 15 µL of IS to 100 µL of supernatant. The samples were analyzed in duplicate using an HP 5890 Series II gas chromatograph (Hewlett-Packard, Waldbronn, Germany) with a flame ionization detector (FID) and a Supelco Nukol fused silica capillary column (30 m × 0.25 mm i.d.; 0.25 µm). Helium was used as the carrier gas with a flow rate of 103 mL/min. The oven temperature was initially set to 100 °C for 2 min, then ramped at 10 °C/min to 140 °C and held for 20 min. The injector temperature was maintained at 220 °C, and the detector temperature was set at 250 °C. The total analysis time was approximately 27 min. The concentrations of individual SCFAs were calculated relative to the internal standard using a mixture of SCFA standard solutions.
2.4.2. Jejunal Permeability and Health Status
Jejunal permeability was assessed by measuring each group’s transepithelial electrical resistance (TEER) of 10 jejunum samples. Approximately 15 cm long jejunal segments distal to Meckel’s diverticulum were collected from each broiler after slaughter and rinsed with warm 0.9% NaCl solution. Tissues were then immersed in Krebs–Henseleit buffer solution (39 °C, pH 7.3) and transported to the laboratory. The ex vivo assessment of TEER was performed using the Single Channel Ussing chamber (Warner Instruments, Inc., Model U-9926, Hamden, CT, USA) with a jejunal tissue exposure area of 0.283 cm2. Jejunal segments for analysis were prepared according to the protocol described by Ruhnke (2013) with minor adjustments [23]. TEER was conducted using the Epithelial Voltage Clamp (Warner Instruments, Model EC-800, Hamden, CT, USA).
Briefly, samples were cut longitudinally on the mesenteric side, rinsed, and placed on a wooden board with the mucosal side facing upwards. Then, the tunica mucosa was scraped from the underlying tunica muscularis and tunica serosa in approximately 1.5 cm long strips. The collected mucosal explants were separated from the original tissue with scissors and then placed in Ussing chambers filled with Krebs–Henseleit buffer and continuously saturated with carbogen gas, maintaining a temperature of 39 °C and a pH of 7.3. Measurements were initiated after a 5 min equilibration period.
2.4.3. Histopathological Examination
A veterinary histopathologist performed the evaluation in a blinded manner. Ten jejunal samples from 5 replicates of each group (Control vs. SNCE) were routinely fixed in 10% neutral buffered formalin, embedded in paraffin (Paraplast, Sigma-Aldrich, Saint Louis, MO, USA), and subsequently cut on a rotatory microtome. Preparations of 4 µm thickness were automatically stained with hematoxylin and eosin (HE, Varistain Gemini Thermo Scientific, Winsford, UK).
The microscopic analysis of HE slides was carried out with a BX43 light microscope equipped with an SC30 digital camera (Olympus Optical, Hachioji, Japan). Pictures were analyzed and recorded by computer software (CellSens Entry 2011V4.3.1, Olympus Lifescience, Tokyo, Japan). The presence of pathological changes was observed.
2.5. Welfare Assessment
Chicken welfare was evaluated according to the Welfare Quality Assessment Protocol for poultry (https://welfarequalitynetwork.net accessed on 13 November 2023). Parameters such as Footpad Dermatitis (FPD), litter quality, lameness (gate score), and hock burn have been assessed at d35, as described below. All the observations were performed by the veterinarian in charge of the flock in each broiler chicken from each pen in a blinded manner:
2.5.1. Footpad Dermatitis
The assessment of FDP consisted of determining the severity of each broiler chicken lesion on a scale of 0, 1, 2, according to the table below (Table 2). The skin quality of the footpad was visually determined following the scale adopted by the Chief Veterinary Officer (pursuant to Art. 13 para. 1 pt. 1 of the Act of 29 January 2004 on Veterinary Inspection (Journal of Laws 2016, item 1077, as amended)).
Table 2.
FDP measurement scale.
2.5.2. Litter Quality
Litter quality was evaluated according to the litter quality scoring scale described below (Table 3):
Table 3.
Litter quality scoring scale.
2.5.3. Lameness (Gate Score)
Lameness assessment consisted of placing the birds on the floor within a long, straight section of the corridor and evaluating their ability to move according to the criteria below (Table 4). The evaluation was performed on each bird from the 2 groups:
Table 4.
Gate scoring scale.
2.5.4. Hock Burn
Hock burn is a contact dermatitis found on the skin of the caudal (back) part of the hock joint. The skin is turned dark by contact with litter, and skin lesions can result as a consequence. The scoring scale used for hock burn lesion severity assessment is presented in Table 5 and Figure 1 below:
Table 5.
Hock burn scoring scale.
Figure 1.
Hock burn visual assessment (http://www.welfarequalitynetwork.net accessed on 13 November 2023).
2.6. Statistical Analysis
Statistical analyses of growth performance data and SCFA caecal concentration were performed by GraphPad Prism 7 software (GraphPad Software, San Diego, CA, USA). The pen was considered as a statistical unit for all growth performance parameters (n = 13 in the SNCE group and 14 in the CTL group). Statistical analyses were performed using Student’s test (t-test). The Shapiro–Wilk normality test was previously performed to determine if data were parametric, and the Grubbs test was performed to identify outliers. Regarding welfare analysis, statistical analyses were performed using the Mann–Whitney U test. Statistical significance was considered at p < 0.05.
3. Results
3.1. Growth Parameters and Slaughters Performance
The effects of SNCE supplementation on growth performance are presented in Table 6.
Table 6.
Dietary treatment effect on broiler chicken growth performance.
During this study, mortality was, respectively, 3.03% and 2.75% for the control and SNCE groups without any statistical difference between the two treatments (p = 0.761). SNCE supplementation improves broiler chickens’ body weight at d 35 (p < 0.001). The feed intake of broiler chickens was also different between the control and SNCE groups (p < 0.001). However, no difference was observed in the FCR of broiler chickens fed with SNCE compared to the CTL group (p = 0.340). The European Efficiency Index was also higher in the SNCE group compared to the CTL group (p < 0.001).
Results regarding slaughter performance are presented in Table 7 below:
Table 7.
Dietary treatment effect on broiler chicken slaughter performance.
Broiler chickens from the SNCE group had (p < 0.001, t-test) higher carcass weight compared to broiler chickens from the CTL group. The carcass yield tends to be higher in the supplemented birds compared to the CTL birds. Regarding organ weight, broiler chickens from the SNCE group had a (p = 0.009) higher proportion of breast muscle by 9.4% compared to broiler chickens from the CTL group. Additionally, the carcasses of SNCE chickens were characterized by a lower proportion (p = 0.025) of carcass fat, reduced by 20.6% relative to the CTL group.
3.2. Gut Health
SCFA concentrations in broiler chickens’ caecal digesta are presented in Table 8:
Table 8.
Concentration of short-chain fatty acids in the caecal digesta at 35 days of age.
Results showed differences in terms of iso-butyric (p = 0.037) and iso-valeric acid (p = 0.003) concentrations in the caeca in favor of the CTL group, compared to the SNCE group. The putrefactive SCFA concentration was also lower in the SNCE group compared to the CTL group (p = 0.003).
Regarding the jejunal permeability evaluated through TEER analysis, results are presented in Figure 2.
Figure 2.
Transepithelial electrical resistance values from CTL and SNCE groups. *** p < 0.01.
The results showed that the TEER value in the control group was higher (p = 0.003) compared to the SNCE group.
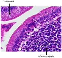
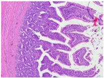
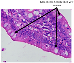
The histopathological examination figures from one representative sample per group are presented in Table 9.
Table 9.
Histopathological observation of jejunum from CTL and SNCE group.
Histopathological observations showed that the jejunum samples from the SNCE group were characterized by scant inflammatory cellular infiltrates while the inflammation was severe in the CTL group (Table 9). Moreover, connective tissue hyperplasia was visible within the mucosa in the control group compared to the SNCE group. In addition, goblet cells from the SNCE group were strongly filled with mucus compared to goblet cells from the SNCE group. To finish, numerous mitotic figures were observed in samples from the SNCE group compared to the control group in which single or no mitotic figures were observed.
3.3. Welfare Assessment
The effect of SNCE on broiler chickens’ well-being is presented in Table 10:
Table 10.
Assessment of chicken welfare at day 35.
Chickens’ welfare evaluation revealed significant differences in footpad dermatitis and gate score in favor of the SNCE group compared to the control group. Indeed, the percentage of chicken with FPD and gate score 0 was significantly higher in the SNCE group (p < 0.001, Mann–Whitney U test) compared to the control group. However, no significant difference was observed in litter quality. Regarding hock burn, chickens from the control group tended to have lower hock burn scores (p = 0.084, Mann–Whitney U test) than those from the SNCE group.
4. Discussion
4.1. Effect of SNCE on Growth Performance of Broilers Chickens
Regarding growth performance, findings from this study are in agreement with the results of our previous study, in which we reported that SNCE at 250 g per ton of feed positively influences the final body weight of broiler chickens [18]. However, contrary to the current study, no difference was observed in broiler chickens’ feed intake. The same trend was reported by Boumezrag et al. (2018), who observed an effect of SNCE on broiler chickens’ final weight [24]. Nevertheless, feed intake measurement was not evaluated in their study. Other studies also demonstrated a positive effect of SNCE on broiler chickens’ growth performance, i.e., final body weight and FCR [19,25]. Altogether, these results confirmed the interest of SNCE as a feed additive to improve broiler chickens’ growth performance. Conversely, many published studies performed with citrus products did not show a positive effect of their dietary supplementation on broiler chickens’ growth performance [17,26,27]. The lack of standardization of the used product may explain these inconsistencies in the observed effect. Indeed, citrus products used in animal nutrition can vary a lot in terms of composition but also the concentration of active compounds. This is mainly due to the part of the plant used, the used solvent in the case of extract, and to a minimum extent to the cultivar. Thus leading to a variation in the bioactive compound and consequently to various effects on performance [18]. SNCE standardization has already been demonstrated in our previous study [18] and may explain the replicable results over time.
4.2. Effect of SNCE on Slaughter Performance
Regarding slaughter performance, a positive effect of SNCE was observed on broiler chicken carcass weight and carcass yield. Similarly, Boumezrag et al. (2018) also demonstrated a positive impact of SNCE on carcass yield, showing an increase of 5.08% compared to the non-supplemented group. The close relationship between final body weight and carcass yield may explain these results [28]. Interestingly, SNCE supplementation also positively affects broiler chickens’ fat percentage and breast muscle weight. These results are consistent with Ebrahimi et al. (2014), who observed that Citrus sinensis peel extract dietary supplementation at 1250 g/T impacted the abdominal fat content of broiler chickens [29]. As reported by Tumovà et al., the ratio of dietary protein to energy is the factor with the greatest effect on fat deposition in broiler chicken [30]. Indeed, fat deposition happens when the energy balance is positive, resulting in excess energy needed for growth [30]. This suggests that SNCE dietary supplementation may have a positive effect on protein digestion and/or absorption and energy utilization to produce muscle, which may lead to less fat deposition. This assumption is reinforced by the fact that carcass weight and yield, as well as the breast muscle weight, were also improved in the supplemented birds. Other authors highlight a mode of action related to the pH reduction in the intestine, which may interfere with the abundance of fatty acids [29], or microbiota modulation, which is well described to regulate lipid accumulation [29,31]. This hypothesis is also plausible as we have shown previously that SNCE dietary supplementation modulates gut microbiota [32]. More studies are needed to confirm this hypothesis.
4.3. Effect of SNCE on Gut Health
Gut health was assessed through different parameters. Primarily, SCFA concentration was evaluated in the caeca at the end of the supplementation phase. Many studies have demonstrated that SCFAs play a significant role in the regulation of intestinal health in poultry [33]. In this study, no different effects were found between the two groups concerning the concentration of major SCFA (i.e., acetic acid, propionic acid, butyric acid, valeric acid, and total SCFA). This result was not expected because major compounds from SNCE such as pectic oligosaccharides [34] and hesperidin [35,36] are well described to promote the production of SCFA. Moreover, data from our laboratory that have been presented at the 2024 European Poultry Conference have already shown an increase in the SCFA caecal concentration in broiler chickens fed with SNCE [37]. Some authors suggest that higher absorption may sometimes explain the reduction in SCFA concentrations in the gut [38]. Further studies are needed to better understand these results. Results also showed that SNCE supplementation reduces the amount of putrefactive SCFA (i.e., iso-valeric, iso-butyric, and total putrefactive SCFA) in the caeca. Putrefactive SCFA is a group of organic acids that are produced during the putrefaction or decomposition of proteins by certain bacteria. The increase in their amount in the gut generally indicates adverse conditions, including a shift in pathogenic bacteria concentration in the intestine [39,40]. This result suggests that SNCE dietary supplementation in the gut may help improve protein absorption and/or modulate microbiota in favor of beneficial bacteria for the gut. It would have been interesting to perform digestibility assay or evaluate broiler chickens’ microbiota composition from this study to confirm this hypothesis. Nevertheless, these results are in line with the previous statement that SNCE could improve protein digestion and/or absorption.
Secondly, the integrity and permeability of the jejunum were assessed through TEER analysis. The results showed that TEER values from the CTL group were higher than TEER values from the SNCE group. However, TEER values from the CTL group were very heterogeneous, with some individuals with very high TEER values (over 200 Ω·cm2), which may be a sign of an inflammatory process, tissue scarification, or excessive mucus production. This is in accordance with the results presented by Yuan et al. (2020), where the increase in TEER was associated with mild cell layer damage. According to Srinivasan et al., 2015, TEER values for small intestine models using a Ussing chamber should be between 50 and 100 Ω·cm2 [41]. In their study, the increase in TEER alone was explained as a result of bacterial adhesion, ion transporters dysfunction, and mild structural damage to the cell layer [42]. Moreover, TEER values from SNCE were more uniform, which may indicate a similar health status of the tested animals. The variation between individual animals was greater in the CTL group, suggesting differences in intestinal health between broiler chickens.
Thirdly, histopathological observations were performed on jejunal samples. These findings are in accordance with our previous results on TEER, confirming that the increase in TEER value in the CTL group was correlated with an inflammatory process in the gut. It is well known that multiple environmental factors, such as changes in feed formulation or high-energy diets, can initiate gut inflammation [43,44]. The reducing effect observed from SNCE may be explained by SNCE composition. Indeed, it has been demonstrated in our previous study that SNCE is mainly composed of pectic oligosaccharides and citroflavonoids [18]. Some of the compounds identified are well described for their beneficial effect on different gut compartments, including anti-inflammatory properties. For instance, Parhiz et al. (2015) showed that hesperidin treatment allows for a decrease in the prevalence of inflammatory mediators, including COX-2, iNOS, and NF-κB [45,46]. Eriocitrin and citric acids [47] are also well described for their anti-inflammatory properties. Altogether, these results support the concept that SNCE enhances intestinal health by improving nutrient absorption and gut integrity, which results in an increase in broiler chickens’ growth performance.
4.4. Effect of SNCE on Welfare
Results from this study showed that citrus extract dietary supplementation positively affects the occurrence of FPD and the gate score compared to the control group, indicating an improvement in broiler chickens’ welfare. These results are not surprising. Indeed, litter moisture is the most important factor associated with the prevalence of FPD [48]. It is well known that improving gut integrity may improve water retention in the gut, resulting in less wet litter and lower pododermatitis occurrence. However, surprisingly, no difference was observed in litter quality between the groups. It would have been interesting to measure other litter parameters, such as ammonia concentration or litter pH, that could also play a role in FPD prevalence and severity [49]. Moreover, a higher occurrence of FPD is associated with a high incidence of other types of contact dermatitis such as hock burns and breast blisters in most cases [48,50]. The contrary was observed in our study. Indeed, hock burn prevalence was increased in the SNCE group compared to the CTL group. Further studies are needed to explain these results better. One of the current challenges of broiler chicken production consists of maintaining good productivity and taking into account the societal demands regarding the production systems [8]. These societal demands include but are not limited to sustainability and animal welfare concerns. The obtained results showed that using SNCE as a feed additive has a positive impact on animal welfare. A previous study has already shown interest in using SNCE to mitigate the environmental footprint of the livestock production sector [21]. Altogether, our results suggest that SNCE is a promising solution to reconcile livestock productivity and sustainability while taking into account animal welfare.
5. Conclusions
Results from this study showed that the use of Standardized Natural Citrus Extract as a feed additive could be a good solution to improve broiler chickens’ productivity as well as gut health and welfare. Indeed, growth performance and slaughter performance were improved using SNCE. Meanwhile, SNCE markedly decreased the concentration of putrefactive SCFA in the gut, but it improved gut integrity. The occurrence of FPD and broiler chickens’ lameness was also decreased after SNCE dietary supplementation. Taken together, these results suggest that SNCE may act as an efficient feed additive to improve the productivity of broiler chicken production while taking into account the societal demands regarding animal welfare concerns.
Author Contributions
Conceptualization, S.C., M.E.A.B., A.M., M.M. (Marta Mendel), D.B. and M.M. (Monika Michalczuk); Methodology, S.C., M.E.A.B., A.M., M.M. (Marta Mendel) and D.B.; Validation, M.E.A.B., A.M., M.M. (Monika Michalczuk) and P.K.; Investigation, A.M., D.B., P.C., A.Z., J.U., M.M. (Marta Mendel), M.M. (Monika Michalczuk), U.L., J.P. and M.S.-F.; Writing—Original Draft Preparation, S.C. and A.M.; Writing—Review and Editing, M.E.A.B., A.M. and M.M. (Marta Mendel); Supervision, M.E.A.B., A.M., S.C., M.M. (Marta Mendel) and P.K. All authors have read and agreed to the published version of the manuscript.
Funding
This research received no external funding.
Institutional Review Board Statement
This study was conducted according to the guidelines of the Declaration of Helsinki, and approved by the Warsaw University of Life Science (SGGW) 2nd Local Ethics Committee for animal experiments (waivers from 06.04.2023 of Ethics Committee approval).
Informed Consent Statement
Not applicable.
Data Availability Statement
The data that support the findings of this study are available on request from the corresponding author, (S.C.).
Conflicts of Interest
The authors work within the research and development department of Nor-Feed SAS. Nor-Feed SAS commercializes a product called Nor-Spice AB®, which is the standardized natural citrus extract. All co-authors have seen and agreed with the contents of the manuscript. We certify that the submission is original work and is not under review at any other publication.
List of Abbreviation
| C | Celsius |
| CTL | control |
| d | day |
| EEI | European Efficiency Index |
| FCR | feed conversion ration |
| FPD | Footpad Dermatitis |
| SCFA | Short-chain fatty acid |
| SNCE | Standardized Natural Citrus Extract |
| TEER | Transepithelial electrical resistance |
References
- Kwon, B.-Y.; Lee, H.-G.; Jeon, Y.-S.; Song, J.-Y.; Kim, S.-H.; Kim, D.-W.; Kim, C.-H.; Lee, K.-W. Research Note: Welfare and Stress Responses of Broiler Chickens Raised in Conventional and Animal Welfare-Certified Broiler Farms. Poult. Sci. 2024, 103, 103402. [Google Scholar] [CrossRef]
- Santos, M.N.; Widowski, T.M.; Kiarie, E.G.; Guerin, M.T.; Edwards, A.M.; Torrey, S. In Pursuit of a Better Broiler: Walking Ability and Incidence of Contact Dermatitis in Conventional and Slower Growing Strains of Broiler Chickens. Poult. Sci. 2022, 101, 101768. [Google Scholar] [CrossRef] [PubMed]
- Torrey, S.; Mohammadigheisar, M.; Nascimento dos Santos, M.; Rothschild, D.; Dawson, L.C.; Liu, Z.; Kiarie, E.G.; Edwards, A.M.; Mandell, I.; Karrow, N.; et al. In Pursuit of a Better Broiler: Growth, Efficiency, and Mortality of 16 Strains of Broiler Chickens. Poult. Sci. 2021, 100, 100955. [Google Scholar] [CrossRef] [PubMed]
- Knowles, T.G.; Kestin, S.C.; Haslam, S.M.; Brown, S.N.; Green, L.E.; Butterworth, A.; Pope, S.J.; Pfeiffer, D.; Nicol, C.J. Leg Disorders in Broiler Chickens: Prevalence, Risk Factors and Prevention. PLoS ONE 2008, 3, e1545. [Google Scholar] [CrossRef] [PubMed]
- Zuidhof, M.J.; Schneider, B.L.; Carney, V.L.; Korver, D.R.; Robinson, F.E. Growth, Efficiency, and Yield of Commercial Broilers from 1957, 1978, and 20051. Poult. Sci. 2014, 93, 2970–2982. [Google Scholar] [CrossRef]
- Hartcher, K.M.; Lum, H.K. Genetic Selection of Broilers and Welfare Consequences: A Review. Worlds Poult. Sci. J. 2020, 76, 154–167. [Google Scholar] [CrossRef]
- Fleming, R.H. Nutritional Factors Affecting Poultry Bone Health: Symposium on ‘Diet and Bone Health’. Proc. Nutr. Soc. 2008, 67, 177–183. [Google Scholar] [CrossRef] [PubMed]
- Korver, D.R. Review: Current Challenges in Poultry Nutrition, Health, and Welfare. Animal 2023, 17, 100755. [Google Scholar] [CrossRef]
- Tallentire, C.W.; Edwards, S.A.; Van Limbergen, T.; Kyriazakis, I. The Challenge of Incorporating Animal Welfare in a Social Life Cycle Assessment Model of European Chicken Production. Int. J. Life Cycle Assess. 2019, 24, 1093–1104. [Google Scholar] [CrossRef]
- Ducatelle, R.; Goossens, E.; Eeckhaut, V.; Van Immerseel, F. Poultry Gut Health and Beyond. Anim. Nutr. 2023, 13, 240–248. [Google Scholar] [CrossRef]
- Amer, M.M. REVIEW: Footpad Dermatitis (FPD) in Chickens. Korean J. Food Health Converg. 2020, 6, 11–16. [Google Scholar] [CrossRef]
- Ayalew, H.; Zhang, H.; Wang, J.; Wu, S.; Qiu, K.; Qi, G.; Tekeste, A.; Wassie, T.; Chanie, D. Potential Feed Additives as Antibiotic Alternatives in Broiler Production. Front. Vet. Sci. 2022, 9, 916473. [Google Scholar] [CrossRef]
- Godoy, G.L.; Rodrigues, B.N.; Agilar, J.C.; Biselo, V.; Brutti, D.D.; Maysonnave, G.S.; Stefanello, C. Effects of Acacia mearnsii Tannins on Growth Performance, Footpad Dermatitis, Nutrient Digestibility, Intestinal Permeability, and Meat Quality of Broiler Chickens. Anim. Feed Sci. Technol. 2024, 308, 115875. [Google Scholar] [CrossRef]
- Makowski, Z.; Lipiński, K.; Mazur-Kuśnirek, M. The Effects of Different Forms of Butyric Acid on the Performance of Turkeys, Carcass Quality, Incidence of Footpad Dermatitis and Economic Efficiency. Animals 2022, 12, 1458. [Google Scholar] [CrossRef]
- Swiatkiewicz, S.; Arczewska-Wlosek, A.; Jozefiak, D. The Nutrition of Poultry as a Factor Affecting Litter Quality and Foot Pad Dermatitis—An Updated Review. J. Anim. Physiol. Anim. Nutr. 2017, 101, e14–e20. [Google Scholar] [CrossRef] [PubMed]
- Yilmaz, E. Nutritional Manipulations for Preventing Contact Dermatitis in Poultry—A Review. CABI Rev. 2024, 19. [Google Scholar] [CrossRef]
- Abbasi, H.; Seidavi, A.; Liu, W.; Asadpour, L. Investigation on the Effect of Different Levels of Dried Sweet Orange (Citrus sinensis) Pulp on Performance, Carcass Characteristics and Physiological and Biochemical Parameters in Broiler Chicken. Saudi J. Biol. Sci. 2015, 22, 139–146. [Google Scholar] [CrossRef] [PubMed]
- Cisse, S.; Bahut, M.; Marais, C.; Zemb, O.; Chicoteau, P.; Benarbia, M.E.A.; Guilet, D. Fine Characterization and Microbiota Assessment as Keys to Understanding the Positive Effect of Standardized Natural Citrus Extract on Broiler Chickens. J. Anim. Sci. 2023, 101, skad069. [Google Scholar] [CrossRef]
- Juin, H.; Elgaard, T.; Chicoteau, P. Effect of a Citrus Extract (NOR-SPICE AB) on Broiler Performances. Br. Poult. Sci. 2003, 44, 810–811. [Google Scholar] [CrossRef] [PubMed]
- Seidavi, A.; Zaker-Esteghamati, H.; Salem, A.Z.M. A Review on Practical Applications of Citrus sinensis By-Products and Waste in Poultry Feeding. Agrofor. Syst. 2020, 94, 1581–1589. [Google Scholar] [CrossRef]
- Bui, H.; Cisse, S.H.; Ceccaldi, M.; Perrin, A.; Benarbia, M.E.A.; Chicoteau, P. Mitigating the Environmental Impacts from Pig and Broiler Chicken Productions: Case Study on a Citrus Extract Feed Additive. Animals 2023, 13, 3702. [Google Scholar] [CrossRef] [PubMed]
- Michalczuk, M.; Zdanowska-Sąsiadek, Ż.; Damaziak, K.; Niemiec, J. Influence of Indoor and Outdoor Systems on Meat Quality of Slow-Growing Chickens. CyTA—J. Food 2017, 15, 15–20. [Google Scholar] [CrossRef]
- Ruhnke, I.; Röhe, I.; Meyer, W.; Kröger, S.; Neumann, K.; Zentek, J. Method for the Preparation of Mucosal Flaps from the Jejunum of Laying Hens for Transporter Studies in Ussing Chambers. Arch. Anim. Nutr. 2013, 67, 161–168. [Google Scholar] [CrossRef] [PubMed]
- Boumezrag, A.; Khiati, B.; Benaraba, R.; Boukraa, L.; Hammoudi, S.M.; Chicoteau, P.; Benarbia, M.E.A. Modulation of Broilers’ Productivity and Blood Biochemical Parameters by Citruselements Dietary Supplementation. Veterinaria 2018, 67, 129. [Google Scholar]
- Cisse, S.; Burel, A.; Vandenbossche, C.; Chicoteau, P. Standardized Natural Citrus Extract Effect on Broilers Chikens; OASES: Ghent, Belgium, 2019; Volume 25, p. 176.
- Mourão, J.L.; Pinheiro, V.M.; Prates, J.a.M.; Bessa, R.J.B.; Ferreira, L.M.A.; Fontes, C.M.G.A.; Ponte, P.I.P. Effect of Dietary Dehydrated Pasture and Citrus Pulp on the Performance and Meat Quality of Broiler Chickens. Poult. Sci. 2008, 87, 733–743. [Google Scholar] [CrossRef] [PubMed]
- Nazok, A.; Rezaei, M.; Sayyahzadeh, H. Effect of Different Levels of Dried Citrus Pulp on Performance, Egg Quality, and Blood Parameters of Laying Hens in Early Phase of Production. Trop. Anim. Health Prod. 2010, 42, 737–742. [Google Scholar] [CrossRef]
- Fernandes, J.I.M.; Bortoluzzi, C.; Triques, G.E.; Neto, A.F.G.; Peiter, D.C. Effect of Strain, Sex and Age on Carcass Parameters of Broilers. Acta Sci. Anim. Sci. 2013, 35, 99–105. [Google Scholar] [CrossRef][Green Version]
- Ebrahimi, A.; Qotbi, A.A.A.; Seidavi, A.; Bahar, B. The Effects of Dietary Supplementation of Citrus Sinensis Peel Extract on Production and Quality Parameters of Broiler Chicken. J. Appl. Anim. Res. 2014, 42, 445–450. [Google Scholar] [CrossRef]
- Tumová, E.; Teimouri, A. Fat deposition in the broiler chicken: A review. Sci. Agric. Bohem. 2010, 41, 121–128. [Google Scholar]
- Pourhossein, Z.; Qotbi, A.; Seidavi, A. Investigation on the Effects of Different Levels of Citrus Sinensis Peel Extract on Gastrointestinal Microbial Population in Commercial Broilers. Afr. J. Microbiol. Res. 2012, 6, 6370–6378. [Google Scholar] [CrossRef]
- Cisse, S.; Benarbia, M.E.A.; Burel, A.; Friedrich, M.; Gabinaud, B.; Belz, É.; Guilet, D.; Chicoteau, P.; Zemb, O. Standardized Natural Citrus Extract Dietary Supplementation Influences Sows’ Microbiota, Welfare, and Preweaning Piglets’ Performances in Commercial Rearing Conditions. Transl. Anim. Sci. 2020, 4, 1278–1289. [Google Scholar] [CrossRef]
- Liu, L.; Li, Q.; Yang, Y.; Guo, A. Biological Function of Short-Chain Fatty Acids and Its Regulation on Intestinal Health of Poultry. Front. Vet. Sci. 2021, 8, 736739. [Google Scholar] [CrossRef] [PubMed]
- Gullón, B.; Gómez, B.; Martínez-Sabajanes, M.; Yáñez, R.; Parajó, J.C.; Alonso, J.L. Pectic Oligosaccharides: Manufacture and Functional Properties. Trends Food Sci. Technol. 2013, 30, 153–161. [Google Scholar] [CrossRef]
- Hager-Theodorides, A.L.; Massouras, T.; Simitzis, P.E.; Moschou, K.; Zoidis, E.; Sfakianaki, E.; Politi, K.; Charismiadou, M.; Goliomytis, M.; Deligeorgis, S. Hesperidin and Naringin Improve Broiler Meat Fatty Acid Profile and Modulate the Expression of Genes Involved in Fatty Acid β-Oxidation and Antioxidant Defense in a Dose Dependent Manner. Foods 2021, 10, 739. [Google Scholar] [CrossRef] [PubMed]
- Unno, T.; Hisada, T.; Takahashi, S. Hesperetin Modifies the Composition of Fecal Microbiota and Increases Cecal Levels of Short-Chain Fatty Acids in Rats. J. Agric. Food Chem. 2015, 63, 7952–7957. [Google Scholar] [CrossRef] [PubMed]
- Cisse, S.; Laurain, J.; Garcia, J.M.; Benarbia, M. Standardized Natural Citrus Extract Stimulates the Production of Endogenous Butyric Acid in the Gut. In Proceedings of the XVI European Poultry Conference 2024 (EPC), Valencia, Spain, 24–28 June 2024; p. 274. [Google Scholar]
- Koh, A.; De Vadder, F.; Kovatcheva-Datchary, P.; Bäckhed, F. From Dietary Fiber to Host Physiology: Short-Chain Fatty Acids as Key Bacterial Metabolites. Cell 2016, 165, 1332–1345. [Google Scholar] [CrossRef]
- Markowiak-Kopeć, P.; Śliżewska, K. The Effect of Probiotics on the Production of Short-Chain Fatty Acids by Human Intestinal Microbiome. Nutrients 2020, 12, 1107. [Google Scholar] [CrossRef]
- Sztandarski, P.; Marchewka, J.; Konieczka, P.; Zdanowska-Sąsiadek, Ż.; Damaziak, K.; Riber, A.B.; Gunnarsson, S.; Horbańczuk, J.O. Gut Microbiota Activity in Chickens from Two Genetic Lines and with Outdoor-Preferring, Moderate-Preferring, and Indoor-Preferring Ranging Profiles. Poult. Sci. 2022, 101, 102039. [Google Scholar] [CrossRef] [PubMed]
- Srinivasan, B.; Kolli, A.R.; Esch, M.B.; Abaci, H.E.; Shuler, M.L.; Hickman, J.J. TEER Measurement Techniques for in Vitro Barrier Model Systems. J. Lab. Autom. 2015, 20, 107. [Google Scholar] [CrossRef]
- Yuan, L.; van der Mei, H.C.; Busscher, H.J.; Peterson, B.W. Two-Stage Interpretation of Changes in TEER of Intestinal Epithelial Layers Protected by Adhering Bifidobacteria During E. coli Challenges. Front. Microbiol. 2020, 11. [Google Scholar] [CrossRef] [PubMed]
- Cardoso Dal Pont, G.; Farnell, M.; Farnell, Y.; Kogut, M.H. Dietary Factors as Triggers of Low-Grade Chronic Intestinal Inflammation in Poultry. Microorganisms 2020, 8, 139. [Google Scholar] [CrossRef] [PubMed]
- Kogut, M.H.; Genovese, K.J.; Swaggerty, C.L.; He, H.; Broom, L. Inflammatory Phenotypes in the Intestine of Poultry: Not All Inflammation Is Created Equal. Poult. Sci. 2018, 97, 2339–2346. [Google Scholar] [CrossRef] [PubMed]
- Parhiz, H.; Roohbakhsh, A.; Soltani, F.; Rezaee, R.; Iranshahi, M. Antioxidant and Anti-Inflammatory Properties of the Citrus Flavonoids Hesperidin and Hesperetin: An Updated Review of Their Molecular Mechanisms and Experimental Models. Phytother. Res. PTR 2015, 29, 323–331. [Google Scholar] [CrossRef]
- Rustam, M.; Ifora, I.; Fauziah, F. Potential Anti-Inflammatory Effects of Eriocitrin: A Review. J. Drug Deliv. Ther. 2022, 12, 187–192. [Google Scholar] [CrossRef]
- Singh, S.K.; Kaldate, R.; Bisht, A. Chapter 4.5—Citric Acid, Antioxidant Effects in Health. In Antioxidants Effects in Health; Nabavi, S.M., Silva, A.S., Eds.; Elsevier: Amsterdam, The Netherlands, 2022; pp. 309–322. ISBN 978-0-12-819096-8. [Google Scholar]
- Ahmed, R.M. The Effect of Different Dietary and Management Interventions on Aspects of Foot Health, Gut Function and Litter Microbiome Composition in Growing Poultry. Master’s Thesis, University of Reading, Reading, UK, 2021. [Google Scholar]
- Nagaraj, M.; Wilson, C.A.P.; Saenmahayak, B.; Hess, J.B.; Bilgili, S.F. Efficacy of a Litter Amendment to Reduce Pododermatitis in Broiler Chickens1. J. Appl. Poult. Res. 2007, 16, 255–261. [Google Scholar] [CrossRef]
- Greene, J.A.; McCracken, R.M.; Evans, R.T. A Contact Dermatitis of Broilers -Clinical and Pathological Findings. Avian Pathol. J. WVPA 1985, 14, 23–38. [Google Scholar] [CrossRef] [PubMed]
Disclaimer/Publisher’s Note: The statements, opinions and data contained in all publications are solely those of the individual author(s) and contributor(s) and not of MDPI and/or the editor(s). MDPI and/or the editor(s) disclaim responsibility for any injury to people or property resulting from any ideas, methods, instructions or products referred to in the content. |
© 2025 by the authors. Licensee MDPI, Basel, Switzerland. This article is an open access article distributed under the terms and conditions of the Creative Commons Attribution (CC BY) license (https://creativecommons.org/licenses/by/4.0/).








