Near-Complete Avipoxvirus Genome Assembled from Skin Lesions of Dead Eurasian Crane (Grus grus)
Simple Summary
Abstract
1. Introduction
2. Materials and Methods
2.1. Case Description
2.2. Histology
2.3. Virus PCR and Amplicon Sequencing
2.4. Whole Genome Sequencing
2.5. Data Analysis
3. Results
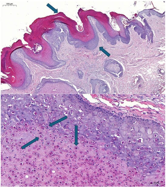
3.1. Histopathology and Laboratory Diagnosis
3.2. Genome, Phylogeny, and Classification
4. Discussion
5. Conclusions
Supplementary Materials
Author Contributions
Funding
Institutional Review Board Statement
Informed Consent Statement
Data Availability Statement
Conflicts of Interest
References
- Bertelloni, F.; Ceccherelli, R.; Marzoni, M.; Poli, A.; Ebani, V.V. Molecular detection of avipoxvirus in wild birds in Central Italy. Animals 2022, 12, 338. [Google Scholar] [CrossRef]
- Sarker, S.; Athukorala, A.; Nyandowe, T.; Bowden, T.R.; Boyle, D.B. Genomic characterisation of a novel avipoxvirus isolated from an endangered northern royal albatross (Diomedea sanfordi). Pathogens 2021, 10, 575. [Google Scholar] [CrossRef]
- Williams, R.A.J.; Truchado, D.A.; Benitez, L. A Review on the prevalence of poxvirus disease in free-living and captive wild birds. Microbiol. Res. 2021, 12, 403–418. [Google Scholar] [CrossRef]
- Bolte, A.L.; Meurer, J.; Kaleta, E.F. Avian host spectrum of avipoxviruses. Avian Pathol. 1999, 28, 415–432. [Google Scholar] [CrossRef] [PubMed]
- Banyai, K.; Palya, V.; Denes, B.; Glavits, R.; Ivanics, E.; Horvath, B.; Farkas, S.L.; Marton, S.; Bálint, Á.; Gyuranecz, M.; et al. Unique genomic organization of a novel Avipoxvirus detected in turkey (Meleagris gallopavo). Infect. Genet. Evol. 2015, 35, 221–229. [Google Scholar] [CrossRef]
- Kurihara, T.; Hirata, A.; Yamaguchi, T.; Okada, H.; Kameda, M.; Sakai, H.; Haridy, M.; Yanai, T. Avipoxvirus infection in two captive Japanese cormorants (Phalacrocorax capillatus). J. Vet. Med. Sci. 2020, 82, 817–822. [Google Scholar] [CrossRef] [PubMed]
- McInnes, C.J.; Damon, I.K.; Smith, G.L.; McFadden, G.; Isaacs, S.N.; Roper, R.L.; Evans, D.H.; Damaso, C.R.; Carulei, O.; Wise, L.M.; et al. ICTV Virus Taxonomy Profile: Poxviridae 2023. J. Gen. Virol. 2023, 104, 001849. [Google Scholar] [CrossRef]
- Gyuranecz, M.; Foster, J.T.; Dan, A.; Ip, H.S.; Egstad, K.F.; Parker, P.G.; Higashiguchi, J.M.; Skinner, M.A.; Höfle, U.; Kreizinger, Z.; et al. Worldwide phylogenetic relationship of avian poxviruses. J. Virol. 2013, 87, 4938–4951. [Google Scholar] [CrossRef]
- Manarolla, G.; Pisoni, G.; Sironi, G.; Rampin, T. Molecular biological characterization of avian poxvirus strains isolated from different avian species. Vet. Microbiol. 2010, 140, 1–8. [Google Scholar] [CrossRef] [PubMed]
- Mapaco, L.P.; Lacerda, Z.; Monjane, I.V.A.; Gelaye, E.; Sussuro, A.H.; Viljoen, G.J.; Dundon, W.G.; Achá, S.J. Identification of clade E avipoxvirus, Mozambique, 2016. Emerg. Infect. Dis. 2017, 23, 1602–1604. [Google Scholar] [CrossRef]
- Chacón, R.D.; Astolfi-Ferreira, C.S.; Pereira, P.C.; Assayag, M.S., Jr.; Campos-Salazar, A.B.; De la Torre, D.; Sá, L.R.M.; Almeida, S.R.Y.; Rici, R.E.G.; Ferreira, A.J.P. Outbreaks of avipoxvirus clade E in vaccinated broiler breeders with exacerbated beak injuries and sex differences in severity. Viruses 2022, 14, 773. [Google Scholar] [CrossRef]
- Kaszab, E.; Doszpoly, A.; Lanave, G.; Verma, A.; Bányai, K.; Malik, Y.S.; Marton, S. Metagenomics revealing new virus species in farm and pet animals and aquaculture. In Genomics and Biotechnological Advances in Veterinary, Poultry, and Fisheries; Academic Press: Cambridge, MA, USA, 2020; pp. 29–73. [Google Scholar] [CrossRef]
- Afonso, C.L.; Afonso, A.M. Next-generation sequencing for the detection of microbial agents in avian clinical samples. Vet. Sci. 2023, 10, 690. [Google Scholar] [CrossRef] [PubMed]
- Olasz, F.; Mészáros, I.; Marton, S.; Kaján, G.L.; Tamás, V.; Locsmándi, G.; Magyar, T.; Bálint, Á.; Bányai, K.; Zádori, Z. A simple method for sample preparation to facilitate efficient whole-genome sequencing of African swine fever virus. Viruses 2019, 11, 1129. [Google Scholar] [CrossRef] [PubMed]
- Bali, K.; Bálint, Á.; Farsang, A.; Marton, S.; Nagy, B.; Kaszab, E.; Belák, S.; Palya, V.; Bányai, K. Recombination events shape the genomic evolution of infectious bronchitis virus in Europe. Viruses 2021, 13, 535. [Google Scholar] [CrossRef] [PubMed]
- Altschul, S.F.; Gish, W.; Miller, W.; Myers, E.W.; Lipman, D.J. Basic local alignment search tool. J. Mol. Biol. 1990, 215, 403–410. [Google Scholar] [CrossRef]
- Hall, T.A. BioEdit: A user-friendly biological sequence alignment editor and analysis program for Window 95/98/NT. Nucleic Acids Symp. Ser. 1999, 41, 95–98. [Google Scholar]
- Guindon, S.; Dufayard, J.F.; Lefort, V.; Anisimova, M.; Hordijk, W.; Gascuel, O. New algorithms and methods to estimate maximum-likelihood phylogenies: Assessing the performance of PhyML 3.0. Syst. Biol. 2010, 59, 307–321. [Google Scholar] [CrossRef]
- Martin, M. Cutadapt removes adapter sequences from high-throughput sequencing reads. EMBnet J. 2011, 17, 10–12. [Google Scholar] [CrossRef]
- Chen, S.; Zhou, Y.; Chen, Y.; Gu, J. fastp: An ultra-fast all-in-one FASTQ preprocessor. Bioinformatics 2018, 34, i884–i890. [Google Scholar] [CrossRef] [PubMed]
- Benoit, G.; Lavenier, D.; Lemaitre, C.; Rizk, G. Bloocoo, a Memory Efficient Read Corrector. 2015. Available online: https://hal.inria.fr/hal-01092960 (accessed on 2 March 2024).
- Prjibelski, A.; Antipov, D.; Meleshko, D.; Lapidus, A.; Korobeynikov, A. Using SPAdes De Novo Assembler. Curr. Protoc. Bioinform. 2020, 70, e102. [Google Scholar] [CrossRef]
- Sarker, S.; Raidal, S.R. A novel pathogenic avipoxvirus infecting vulnerable Cook’s petrel (Pterodroma cookii) in Australia demonstrates a high genomic and evolutionary proximity with South African avipoxviruses. Microbiol. Spectr. 2023, 11, e0461022. [Google Scholar] [CrossRef]
- Bozó, L.; Csörgő, T.; Végvári, Z. The spring migration and distribution of Common Crane (Grus grus) in the Carpathian Basin during the late 19th and early 20th centuries. Ornis Hung. 2024, 32, 183–197. [Google Scholar] [CrossRef]
- Bende, A. Breeding of the Common Crane (Grus grus L.) in Hungary since the 19th century to modern times. Ornis Hung. 2023, 31, 99–109. [Google Scholar] [CrossRef]
- Fanke, J.; Wibbelt, G.; Krone, O. Mortality factors and diseases in free-ranging Eurasian cranes (Grus grus) in Germany. J. Wildl. Dis. 2011, 47, 627–637. [Google Scholar] [CrossRef] [PubMed]
- Tripathy, D.N.; Reed, W.M. Avian pox. In Diseases of Poultry; Swayne, D.E., Boulianne, M., Logue, C.M., McDougald, L.R., Nair, V., Suarez, D.L., Eds.; Wiley-Blackwell: Hoboken, NJ, USA, 2020; pp. 364–381. [Google Scholar]
- Croville, G.; Le Loch, G.; Zanchetta, C.; Manno, M.; Camus-Bouclainville, C.; Klopp, C.; Delverdier, M.; Lucas, M.N.; Donnadieu, C.; Delpont, M.; et al. Rapid whole-genome based typing and surveillance of avipoxviruses using nanopore sequencing. J. Virol. Methods 2018, 261, 34–39. [Google Scholar] [CrossRef] [PubMed]
- Asif, K.; O’Rourke, D.; Legione, A.R.; Shil, P.; Marenda, M.S.; Noormohammadi, A.H. Whole-genome based strain identification of fowlpox virus directly from cutaneous tissue and propagated virus. PLoS ONE 2021, 16, e0261122. [Google Scholar] [CrossRef] [PubMed]
- Sarker, S.; Sutherland, M. Molecular characterisation of a novel pathogenic avipoxvirus from an Australian little crow (Corvus bennetti) directly from the clinical sample. Sci. Rep. 2022, 12, 15053. [Google Scholar] [CrossRef] [PubMed]
- McGraw, K.J.; Aguiar de Souza Penha, V.; Drake, D.J.; Kraberger, S.; Varsani, A. Poxvirus infection in house finches (Haemorhous mexicanus): Genome sequence analysis and patterns of infection in wild birds. Transbound. Emerg. Dis. 2022, 69, e2318–e2328. [Google Scholar] [CrossRef]
- Brennan, G.; Stoian, A.M.M.; Yu, H.; Rahman, M.J.; Banerjee, S.; Stroup, J.N.; Park, C.; Tazi, L.; Rothenburg, S. Molecular Mechanisms of Poxvirus Evolution. mBio 2023, 14, e0152622. [Google Scholar] [CrossRef] [PubMed]
- Carulei, O.; Douglass, N.; Williamson, A.L. Comparative analysis of avian poxvirus genomes, including a novel poxvirus from lesser flamingos (Phoenicopterus minor), highlights the lack of conservation of the central region. BMC Genom. 2017, 18, 947. [Google Scholar] [CrossRef]
- Offerman, K.; Carulei, O.; van der Walt, A.P.; Douglass, N.; Williamson, A.L. The complete genome sequences of poxviruses isolated from a penguin and a pigeon in South Africa and comparison to other sequenced avipoxviruses. BMC Genom. 2014, 15, 463. [Google Scholar] [CrossRef] [PubMed]
- Mapaco, L.P.; Lacerda, Z.; Monjane, I.V.A.; Sussuro, A.; Viljoen, G.J.; Cattoli, G.; Dundon, W.G.; Achá, S.J. Molecular characterization of avipoxviruses circulating in Mozambique, 2016–2018. Arch. Virol. 2018, 163, 2245–2251. [Google Scholar] [CrossRef] [PubMed]





Disclaimer/Publisher’s Note: The statements, opinions and data contained in all publications are solely those of the individual author(s) and contributor(s) and not of MDPI and/or the editor(s). MDPI and/or the editor(s) disclaim responsibility for any injury to people or property resulting from any ideas, methods, instructions or products referred to in the content. |
© 2024 by the authors. Licensee MDPI, Basel, Switzerland. This article is an open access article distributed under the terms and conditions of the Creative Commons Attribution (CC BY) license (https://creativecommons.org/licenses/by/4.0/).
Share and Cite
Kaszab, E.; Sós, E.; Bali, K.; Sós-Koroknai, V.; Perge, E.; Ursu, K.; Marton, S.; Hoitsy, M.; Kemenesi, G.; Bányai, K. Near-Complete Avipoxvirus Genome Assembled from Skin Lesions of Dead Eurasian Crane (Grus grus). Animals 2025, 15, 60. https://doi.org/10.3390/ani15010060
Kaszab E, Sós E, Bali K, Sós-Koroknai V, Perge E, Ursu K, Marton S, Hoitsy M, Kemenesi G, Bányai K. Near-Complete Avipoxvirus Genome Assembled from Skin Lesions of Dead Eurasian Crane (Grus grus). Animals. 2025; 15(1):60. https://doi.org/10.3390/ani15010060
Chicago/Turabian StyleKaszab, Eszter, Endre Sós, Krisztina Bali, Viktória Sós-Koroknai, Edina Perge, Krisztina Ursu, Szilvia Marton, Márton Hoitsy, Gábor Kemenesi, and Krisztián Bányai. 2025. "Near-Complete Avipoxvirus Genome Assembled from Skin Lesions of Dead Eurasian Crane (Grus grus)" Animals 15, no. 1: 60. https://doi.org/10.3390/ani15010060
APA StyleKaszab, E., Sós, E., Bali, K., Sós-Koroknai, V., Perge, E., Ursu, K., Marton, S., Hoitsy, M., Kemenesi, G., & Bányai, K. (2025). Near-Complete Avipoxvirus Genome Assembled from Skin Lesions of Dead Eurasian Crane (Grus grus). Animals, 15(1), 60. https://doi.org/10.3390/ani15010060

