Electrocardiographic and Echocardiographic Parameters in Pega Breed Donkeys: A Descriptive Study
Abstract
Simple Summary
Abstract
1. Introduction
2. Materials and Methods
2.1. Animals and Study Site
2.2. Analysis Groups
2.3. Electrocardiographic Examination
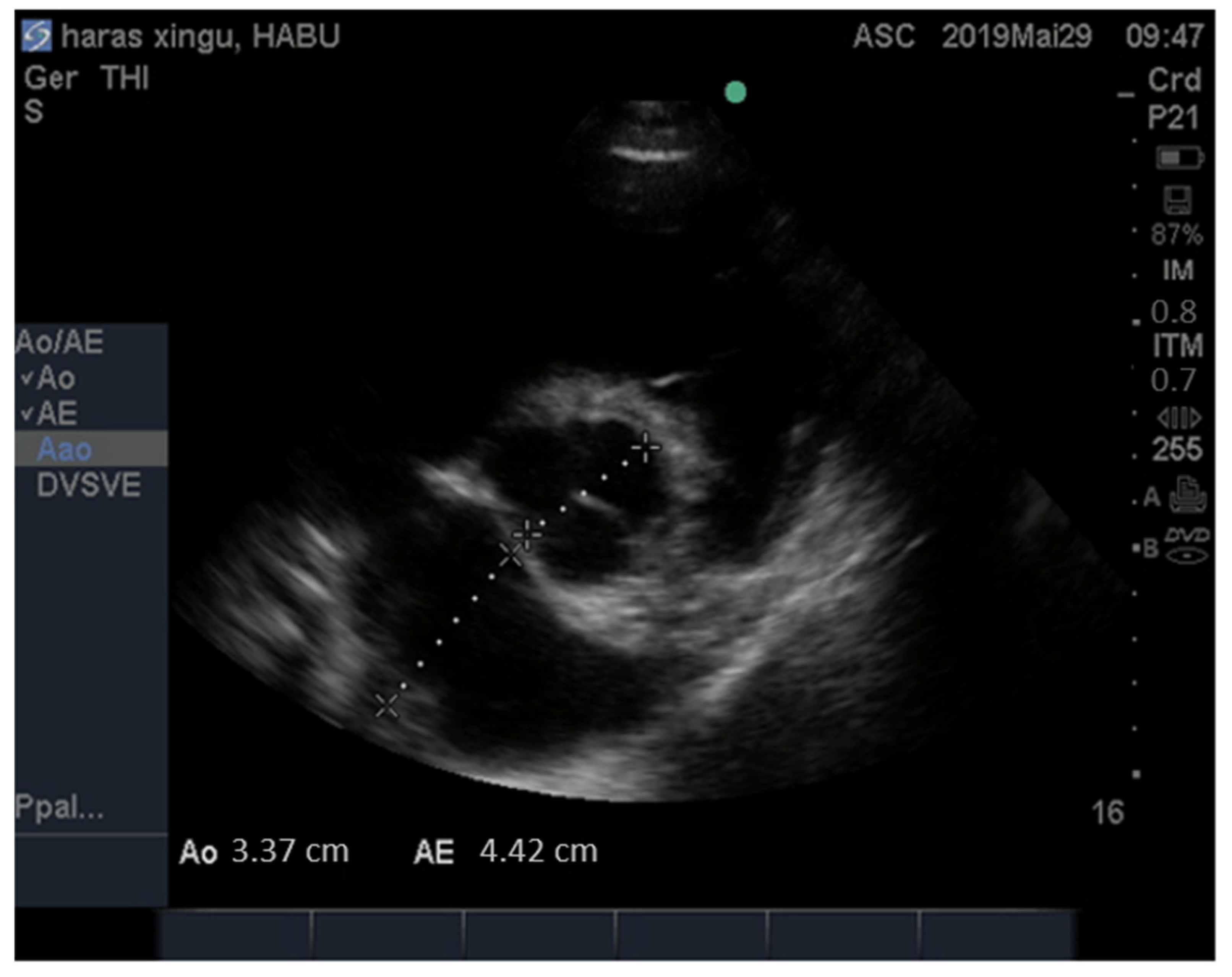
2.4. Echocardiographic Examination
2.5. Statistical Analysis
3. Results
4. Discussion
5. Conclusions
Author Contributions
Funding
Institutional Review Board Statement
Informed Consent Statement
Data Availability Statement
Acknowledgments
Conflicts of Interest
References
- Morrow, L.D.; Smith, K.C.; Piercy, R.J.; Du Toit, N.; Burden, F.A.; Olmos, G.; Gregory, N.G.; Verheyen, K.L.P. Retrospective analysis of postmortem findings in 1,444 aged donkeys. J. Comp. Pathol. 2011, 144, 145–156. [Google Scholar] [CrossRef] [PubMed]
- Mendoza, F.J.; Toribio, R.E.; Perez-ecija, A. Donkey Internal MedicinedPart II: Cardiovascular, Respiratory, Neurologic, Urinary, Ophthalmic, Dermatology, and Musculoskeletal Disorders. J. Equine Vet. Sci. 2018, 65, 86–97. [Google Scholar] [CrossRef]
- Trachsel, D.S.; Giraudet, A.; Maso, D.; Hervé, G.; Hauri, D.D.; Barrey, E.; Robert, C. Relationships between body dimensions, body weight, age, gender, breed and echocardiographic dimensions in young endurance horses. BMC Vet. Res. 2016, 12, 226. [Google Scholar] [CrossRef] [PubMed]
- Costa, A.P.B.; Pacheco, P.S. Characterization, insertion and resistance of muares. Nucl. Anim. 2017, 9, 65–79. [Google Scholar] [CrossRef]
- Almeida, L.D. Genetic Diversity of Donkey Breeds Raised in Brazil, Based on the Analysis of Microsatellite Loci and Mitochondrial DNA. Licentiate Thesis, Faculty of Agronomy and Veterinary Medicine, University of Brasilia, Brasília, Brazil, 2009; 83p. [Google Scholar]
- Burden, F.; Thiemann, A. Donkeys Are Different. J. Equine Vet. Sci. 2015, 35, 376–382. [Google Scholar] [CrossRef]
- Keen, J.A. Examination of Horses with Cardiac Disease. Vet. Clin. N. Am. 2019, 35, 23–42. [Google Scholar] [CrossRef]
- Solis, C.N. Exercising arrhythmias and sudden cardiac death in horses: Review of the literature and comparative aspects. Equine Vet. J. 2016, 48, 406–413. [Google Scholar] [CrossRef]
- Loon, G.V. Cardiac Arrhythmias in Horses. Vet. Clin. N. Am. Equine Pract. 2019, 35, 85–102. [Google Scholar] [CrossRef]
- Chope, K.B. Cardiac Cardiovascular Conditions Affecting Sport Horses. Vet. Clin. N. Am. Equine Pract. 2018, 34, 409–425. [Google Scholar] [CrossRef]
- Gunther-Harrington, C.T.; Arthur, R.; Estell, K.; Lopez, B.M.; Sinnott, A.; Ontiveros, E.; Varga, A.; Stern, J.A. Prospective pre- and postrace evaluation of biochemical, electrophysiologic, and echocardiographic indices in 30 racing thoroughbred horses that received furosemide. BMC Vet. Res. 2018, 14, 18. [Google Scholar] [CrossRef]
- Guccione, J.; Piantedosi, D.; Di Loria, A.; Veneziano, V.; Ciaramella, P. Long-term Electrocardiography Recording with Holter Monitoring in 15 Donkeys. J. Equine Vet. Sci. 2014, 34, 302–306. [Google Scholar] [CrossRef]
- Loon, G.; Pattespm, M.W. Electrophysiology and arrhythmogenesis. In Cardiology of the Horse; Marr, C.M., Bowen, I.M., Eds.; Saunders Elsevier: Toronto, ON, Canada, 2010; pp. 59–73. [Google Scholar]
- Escudero, A.; González, J.R.; Benedito, J.L.; Prieto, F.R.; Ayala, I. Electrocardiographic parameters in the clinically healthy Zamorano-leones donkey. Res. Vet. Sci. 2009, 87, 458–461. [Google Scholar] [CrossRef] [PubMed]
- Al-haidar, A.; Farnir, F.; Deleuze, S.; Sandersen, C.F.; Leroux, A.A.; Border, L.; Cerri, S.; Amory, H. Effect of breed, sex, age and body weight on echocardiographic measurements in the Equine species. Res. Vet. Sci. 2013, 95, 255–260. [Google Scholar] [CrossRef] [PubMed]
- Roberts, S.L.; Dukes-mcewan, J. Assessment of cardiovascular disease in the donkey: Clinical, echocardiographic and pathological observations. Vet. Rec. 2016, 179, 384. [Google Scholar] [CrossRef]
- Farag, A.M.M.; Ibrahim, H.M.M. Reference Values and Repeatability of B-Mode and M-Mode Echocardiographic Parameters in Healthy Donkey (Equus asinus)—The Guide to Assess Healthy Heart. J. Equine Vet. Sci. 2020, 88, 102929. [Google Scholar] [CrossRef]
- Kobeissi, E.; Hibino, M.; Pan, H.; Aune, D. Blood pressure, hypertension and the risk of abdominal aortic aneurysms: A systematic review and meta-analysis of cohort studies. Eur. J. Epidemiol. 2019, 34, 547–555. [Google Scholar] [CrossRef]
- Chen, Q.; Chen, Q.; Ye, Y.; Wu, R.; Wang, S.; Yao, C. Characteristics and Prognosis of Abdominal or Thoracic Aortic Aneurysm Patients Admitted to Intensive Care Units After Surgical Treatment: A Multicenter Retrospective Observational Study. Int. J. Gen. Med. 2021, 14, 475–486. [Google Scholar] [CrossRef]
- Hassan, E.A.; Torad, F.A. Two-Dimensional and M-Mode Echocardiographic Measurements in the Healthy Donkey (Equus asinus). J. Equine Vet. Sci. 2015, 35, 283–389. [Google Scholar] [CrossRef]
- Reef, V.B.; Bonagura, J.; Buhl, R.; Mcgurrin, M.K.J.; Schwarzwald, C.C.; van Loon, G.; Young, L.E. Recommendations for Management of Equine Athletes with Cardiovascular Abnormalities. J. Vet. Intern. Med. 2014, 28, 749–761. [Google Scholar] [CrossRef]
- Fernandes, W.R.; Larsson, M.H.M.A.; Alves, A.L.G.; Fantoni, D.T.; Belli, C.B. Características eletrocardiográficas em equinos clinicamente normais da raça Puro Sangue Inglês. Arq. Bras. Med. Vet. Zootec. 2004, 56, 143–149. [Google Scholar] [CrossRef]
- Dantas, G.N.; Lourenço, M.L.G.; Santarosa, B.P.; Ulian, C.M.V.; Heckler, M.C.T.; Carvalho, R.L.; Chiacchio, S.B. Métodos eletrocardiográficos em equinos American Miniature Horse. Cienc. Rural 2014, 45, 848–853. [Google Scholar] [CrossRef]
- Gehlen, H.; Bildheim, L.M. Evaluation of age-dependent changes of myocardial velocity using pulsed wave and color tissue Doppler imaging in adult warmblood horses. J. Anim. Physiol. Anim. Nutr. 2018, 102, 1731–1742. [Google Scholar] [CrossRef]
- Marr, C.M. Equine Acquired Valvular Disease. Vet. Clin. N. Am. Equine Pract. 2019, 35, 119–137. [Google Scholar] [CrossRef] [PubMed]
- Siwinska, N.; Michalek, M.; Zak, A.; Slowikowska, M.; Noszczyk-Nowak, A.; Niedzwiedz, A.; Paslawska, U. Two-dimensional echocardiographic measurements of the right coronary artery in healthy horses—A pilot study. BMC Vet. Res. 2019, 15, 43. [Google Scholar] [CrossRef] [PubMed]
- Freccero, F.; Cordella, A.; Dondi, F.; Castagnetti, F.; Niinist€o, K.; Cipone, M. Feasibility of the echocardiographic subcostal view in newborn foals: Two-dimensional and Doppler aortic findings. Equine Vet. J. 2018, 50, 865–869. [Google Scholar] [CrossRef] [PubMed]
- Proops, L.; Burden, F.; Osthaus, B. Social relations in a mixed group of mules, ponies and donkeys reflect differences in equid type. Behav. Process. 2012, 90, 337–342. [Google Scholar] [CrossRef] [PubMed]
- Gehlen, H.; Schalaga, A. Echocardiographic Evaluation of Myocardial Function in Standardbreds during the First Year of Race Training. J. Equine Vet. Sci. 2019, 80, 40–48. [Google Scholar] [CrossRef] [PubMed]
- Reef, V.B. Assessment of the Cardiovascular System in Horses during Prepurchase and Insurance Examinations. Vet. Clin. N. Am. Equine Pract. 2019, 35, 191–204. [Google Scholar] [CrossRef]
- De Smet, M.A.J.; Lapauw, B.; De Backer, T. Sex steroids in relation to cardiac structure and function in men. Andrology 2017, 49, e12610. [Google Scholar] [CrossRef]
- De Santis, M.; Seganfreddo, S.; Greco, A.; Normando, S.; Benedetti, D.; Mutinelli, F.; Contalbrigo, L. Donkey Heart Rate and Heart Rate Variability: A Scoping Review. Animals 2023, 13, 408. [Google Scholar] [CrossRef]



| Parameter | Mean ± SD | Minimum | Maximum |
|---|---|---|---|
| Age (years) | 3.46 ± 3.08 | 1.00 | 13.00 |
| HR (bpm) | 67.20 ± 16.38 | 40.00 | 120.00 |
| RR (mpm) | 35.60 ± 9.08 | 20.00 | 60.00 |
| T °C | 37.82 ± 0.63 | 36.60 | 39.10 |
| Parameter | Mean ± SD | Minimum | Maximum |
|---|---|---|---|
| IVSd (cm) | 1.74 ± 0.34 | 1.26 | 2.59 |
| LVIDd (cm) | 6.80 ± 1.08 | 4.60 | 9.17 |
| LVFWd (cm) | 1.73 ± 0.33 | 1.17 | 2.67 |
| IVSs (cm) | 3.05 ± 0.55 | 1.83 | 4.59 |
| LVIDs (cm) | 4.07 ± 0.71 | 2.45 | 5.47 |
| LVFWs (cm) | 2.59 ± 0.46 | 1.77 | 3.84 |
| RIVDd (cm) | 1.81 ± 0,61 | 1.0 | 3.74 |
| EF (%) | 68.82 ± 7.09 | 53.00 | 86.00 |
| FS (%) | 39.92 ± 5.99 | 27.90 | 55.80 |
| LA (cm) | 5.27 ± 0.64 | 4.03 | 6.51 |
| Ao (cm) | 4.03 ± 0.59 | 2.67 | 5.14 |
| LA/Ao | 1.31 ± 0.14 | 1.02 | 1.67 |
| Pulmonary diameter | 3.28 ± 0.45 | 2.25 | 4.30 |
| Aortic diameter | 4.04 ± 0.59 | 2.70 | 5.17 |
| Pul./Ao | 0.82 ± 0.10 | 0.66 | 1.35 |
| Pul.Veloc. (cm/s) | 91 ± 14.71 | 64.60 | 135.00 |
| Pul.Gr. Pres.(mmHg) | 3.39 ± 1.11 | 1.67 | 7.29 |
| Aortic Veloc. (cm/s) | 87.60 ± 14.95 | 60.30 | 130.60 |
| Ao.Gr. Pres. (mmHg) | 3.13 ± 1.06 | 1.45 | 6.82 |
| Parameter | Mean ± SD | Minimum | Maximum |
|---|---|---|---|
| HR (bpm) | 65.00 ± 16.50 | 35.00 | 95.00 |
| P (ms) | 111.00 ± 18.38 | 73.00 | 160.00 |
| P (mV) | 0.31 ± 0.05 | 0.18 | 0.46 |
| PR (ms) | 230.80 ± 41.57 | 150.00 | 337.00 |
| QRS (ms) | 112.36 ± 15.84 | 87.00 | 177.00 |
| R (mV) | 0.10 ± 0.02 | 0.04 | 0.20 |
| S (mV) | 1.90 ± 0.45 | 0.93 | 3.03 |
| QT (ms) | 432.74 ± 61.12 | 320.00 | 573.00 |
| QTc (ms) | 442.00 ± 32.90 | 349.00 | 538.00 |
| T (ms) | 137.58 ± 32.20 | 80.00 | 213.00 |
| T (mV) | 0.46 ± 0.17 | 0.23 | 0.90 |
| RR (ms) | 974.36 ± 277.47 | 630.00 | 1757.00 |
Disclaimer/Publisher’s Note: The statements, opinions and data contained in all publications are solely those of the individual author(s) and contributor(s) and not of MDPI and/or the editor(s). MDPI and/or the editor(s) disclaim responsibility for any injury to people or property resulting from any ideas, methods, instructions or products referred to in the content. |
© 2023 by the authors. Licensee MDPI, Basel, Switzerland. This article is an open access article distributed under the terms and conditions of the Creative Commons Attribution (CC BY) license (https://creativecommons.org/licenses/by/4.0/).
Share and Cite
Cruz-Aleixo, A.S.; de Oliveira, K.C.; de Oliveira Ferreira, L.V.; Cedeo Quevedo, D.A.; Cruz, R.K.S.; Tsunemi, M.H.; Chiacchio, S.B.; Lourenço, M.L.G. Electrocardiographic and Echocardiographic Parameters in Pega Breed Donkeys: A Descriptive Study. Animals 2023, 13, 861. https://doi.org/10.3390/ani13050861
Cruz-Aleixo AS, de Oliveira KC, de Oliveira Ferreira LV, Cedeo Quevedo DA, Cruz RKS, Tsunemi MH, Chiacchio SB, Lourenço MLG. Electrocardiographic and Echocardiographic Parameters in Pega Breed Donkeys: A Descriptive Study. Animals. 2023; 13(5):861. https://doi.org/10.3390/ani13050861
Chicago/Turabian StyleCruz-Aleixo, Amanda Sarita, Karina Cristina de Oliveira, Lucas Vinícius de Oliveira Ferreira, Dario Alejandro Cedeo Quevedo, Raíssa Karolliny Salgueiro Cruz, Miriam Harumi Tsunemi, Simone Biagio Chiacchio, and Maria Lucia Gomes Lourenço. 2023. "Electrocardiographic and Echocardiographic Parameters in Pega Breed Donkeys: A Descriptive Study" Animals 13, no. 5: 861. https://doi.org/10.3390/ani13050861
APA StyleCruz-Aleixo, A. S., de Oliveira, K. C., de Oliveira Ferreira, L. V., Cedeo Quevedo, D. A., Cruz, R. K. S., Tsunemi, M. H., Chiacchio, S. B., & Lourenço, M. L. G. (2023). Electrocardiographic and Echocardiographic Parameters in Pega Breed Donkeys: A Descriptive Study. Animals, 13(5), 861. https://doi.org/10.3390/ani13050861

