Radiological Methods for the Imaging of Congenital Malformations of C6-T1, the First and Second Sternal Ribs and Development of a Classification System, Demonstrated in Warmblood Horses
Abstract
:Simple Summary
Abstract
1. Introduction
2. Materials and Methods
2.1. Ethical Statement
2.2. Study Population and History
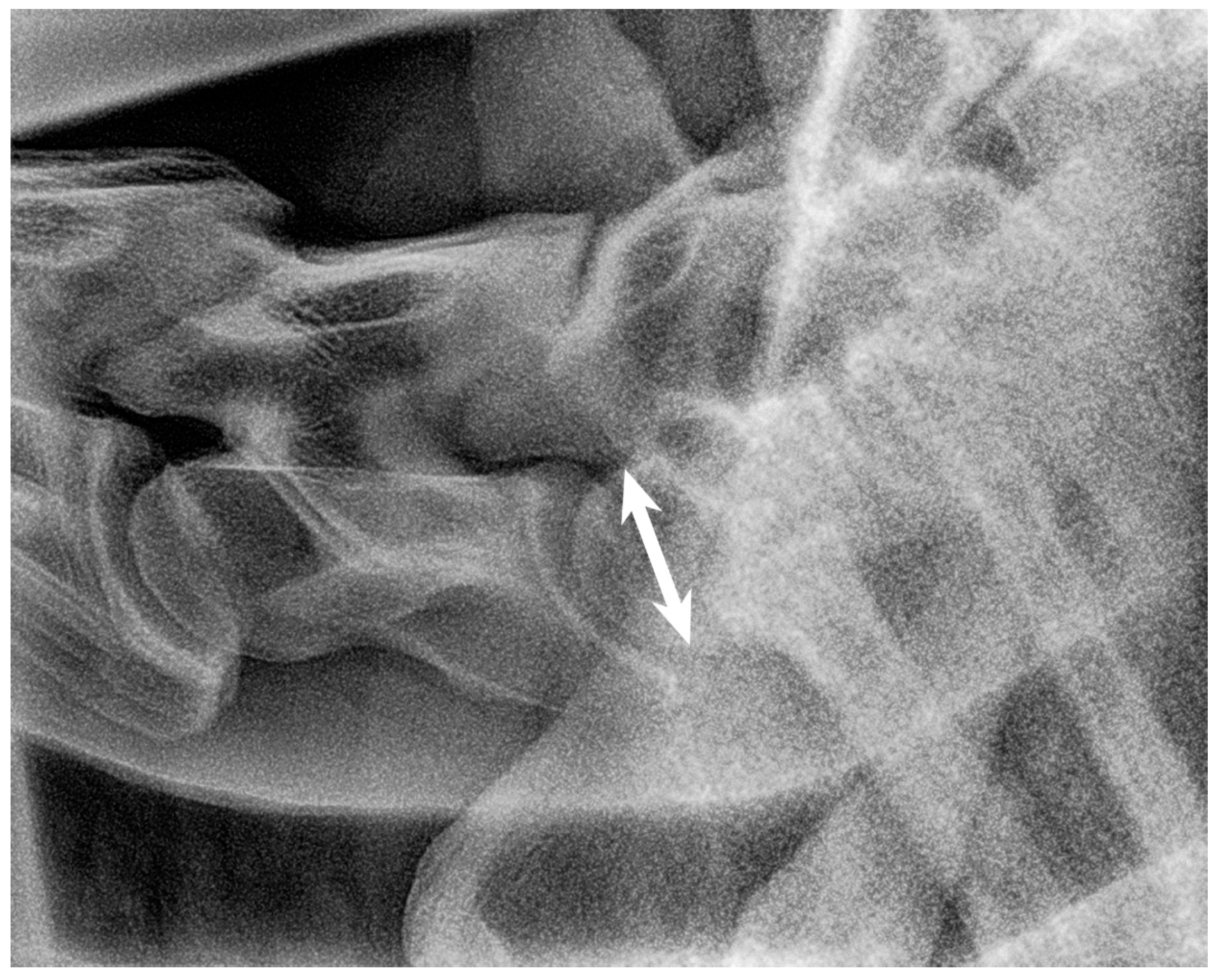
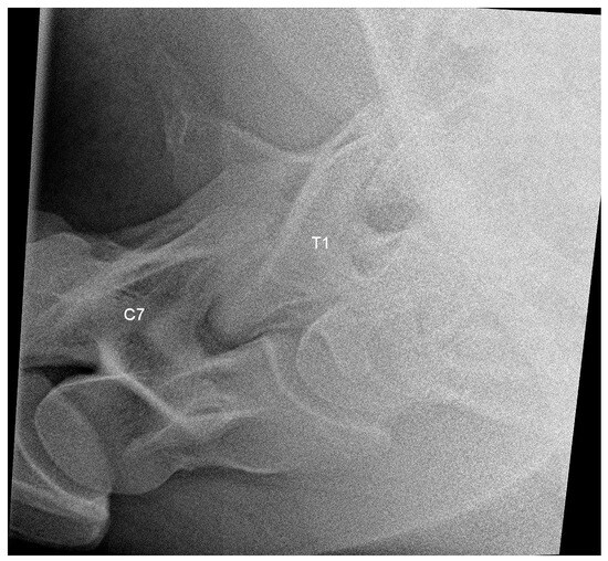
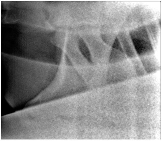
2.3. Radiographic Method
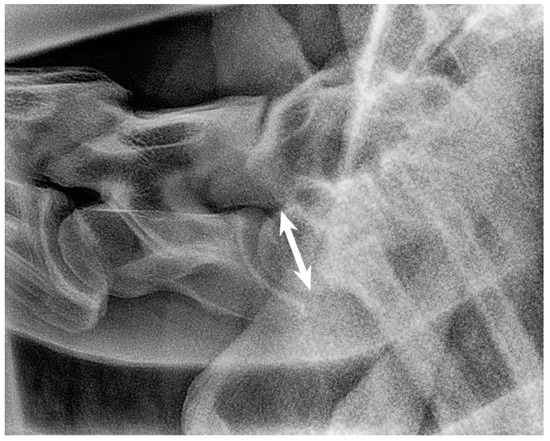
2.4. Classification System
2.5. Data Analysis
3. Results
3.1. Study Population
3.2. Distribution of Malformations
4. Discussion
5. Conclusions
Supplementary Materials
Author Contributions
Funding
Institutional Review Board Statement
Informed Consent Statement
Data Availability Statement
Conflicts of Interest
References
- Gee, C.; Small, A.; Shorter, K.; Brown, W.Y. A Radiographic Technique for Assessment of Morphologic Variations of the Equine Caudal Cervical Spine. Animals 2020, 10, 667. [Google Scholar] [CrossRef] [PubMed]
- Beccati, F.; Pepe, M.; Santinelli, I.; Gialletti, R.; Di Meo, A.; Romero, J.M. Radiographic findings and anatomical variations of the caudal cervical area in horses with neck pain and ataxia: Case-control study on 116 horses. Vet. Rec. 2020, 187, 79. [Google Scholar] [CrossRef] [PubMed]
- DeRouen, A.; Spriet, M.; Aleman, M. Prevalence of anatomical variation of the sixth cervical vertebra and association with vertebral canal stenosis and articular process osteoarthritis in the horse. Vet. Radiol. Ultrasound 2016, 57, 253–258. [Google Scholar] [CrossRef] [PubMed]
- Santinelli, I.; Beccati, F.; Arcelli, R.; Pepe, M. Anatomical variation of the spinous and transverse processes in the caudal cervical vertebrae and the first thoracic vertebra in horses. Equine Vet. J. 2016, 48, 45–49. [Google Scholar] [CrossRef] [PubMed]
- May-Davis, S. Congenital Malformations of the First Sternal Rib. J. Equine Vet. Sci. 2017, 49, 92–100. [Google Scholar] [CrossRef]
- May-Davis, S. The Occurrence of a Congenital Malformation in the Sixth and Seventh Cervical Vertebrae Predominantly Observed in Thoroughbred Horses. J. Equine Vet. Sci. 2014, 34, 1313–1317. [Google Scholar] [CrossRef]
- May-Davis, S.; Walker, C. Variations and Implications of the Gross Morphology in the Longus colli Muscle in Thoroughbred and Thoroughbred Derivative Horses Presenting with a Congenital Malformation of the Sixth and Seventh Cervical Vertebrae. J. Equine Vet. Sci. 2015, 35, 560–568. [Google Scholar] [CrossRef]
- Levine, J.M.; Scrivani, P.V.; Divers, T.J.; Furr, M.; Mayhew, I.J.; Reed, S.; Levine, G.J.; Foreman, J.H.; Boudreau, C.; Credille, B.C.; et al. Multicenter case-control study of signalment, diagnostic features, and outcome associated with cervical vertebral malformation-malarticulation in horses. J. Am. Vet. Med. Assoc. 2010, 237, 812–822. [Google Scholar] [CrossRef]
- Didierlaurent, D.; Contremoulins, V.; Denoix, J.M.; Audigié, F. Scintigraphic pattern of uptake of 99mTechnetium by the cervical vertebrae of sound horses. Vet. Rec. 2009, 164, 809–813. [Google Scholar] [CrossRef]
- Janes, J.G.; Garrett, K.S.; McQuerry, K.J.; Pease, A.P.; Williams, N.M.; Reed, S.M.; MacLeod, J.N. Comparison of magnetic resonance imaging with standing cervical radiographs for evaluation of vertebral canal stenosis in equine cervical stenotic myelopathy. Equine Vet. J. 2014, 46, 681–686. [Google Scholar] [CrossRef]
- Pepe, M.; Angelone, M.; Gialletti, R.; Nannarone, S.; Beccati, F. Arthroscopic anatomy of the equine cervical articular process joints. Equine Vet. J. 2014, 46, 345–351. [Google Scholar] [CrossRef]
- Claridge, H.A.H.; Piercy, R.J.; Parry, A.; Weller, R. The 3D anatomy of the cervical articular process joints in the horse and their topographical relationship to the spinal cord. Equine Vet. J. 2010, 42, 726–731. [Google Scholar] [CrossRef] [PubMed]
- Prange, T.; Derksen, F.J.; Stick, J.A.; Garcia-Pereira, F.L. Endoscopic anatomy of the cervical vertebral canal in the horse: A cadaver study. Equine Vet. J. 2011, 43, 317–323. [Google Scholar] [CrossRef]
- Prange, T.; Derksen, F.J.; Stick, J.A.; Garcia-Pereira, F.L.; Carr, E.A. Cervical vertebral canal endoscopy in the horse: Intra- and post operative observations. Equine Vet. J. 2011, 43, 404–411. [Google Scholar] [CrossRef]
- Prange, T.; Carr, E.A.; Stick, J.A.; Garcia-Pereira, F.L.; Patterson, J.S.; Derksen, F.J. Cervical vertebral canal endoscopy in a horse with cervical vertebral stenotic myelopathy. Equine Vet. J. 2012, 44, 116–119. [Google Scholar] [CrossRef] [PubMed]
- Mitchell, C.W.; Nykamp, S.; Foster, R.; Cruz, R.; Montieth, G. The use of magnetic resonance imaging in evaluating horses with spinal ataxia. Vet. Radiol. Ultrasound 2012, 53, 613–620. [Google Scholar] [CrossRef] [PubMed]
- Gerber, H.; Ueltschi, G.; Diehl, M.; Schatzmann, U.; Straub, R. Untersuchungen an der Halswirbelsäule des Pferdes-eine klinisch-radiologische Studie. Schweiz. Arch. Tierheilkd. 1989, 131, 311–321. [Google Scholar]
- Withers, J.M.; Voûte, L.C.; Hammond, G.; Lischer, C.J. Radiographic anatomy of the articular process joints of the caudal cervical vertebrae in the horse on lateral and oblique projections. Equine Vet. J. 2009, 41, 895–902. [Google Scholar] [CrossRef]
- Butler, J.; Colles, C.; Dyson, S.; Kold, S.; Paulos, P. The spine. In Clinical Radiology of the Horse, 3rd ed.; Wiley-Blackwell: Oxford, UK, 2008. [Google Scholar]
- Veraa, S.; Bergmann, W.; van den Belt, A.-J.; Wijnberg, I.; Back, W. Ex vivo computed tomographic evaluation of morphology variations in equine cervical vertebrae. Vet. Radiol. Ultrasound 2016, 57, 482–488. [Google Scholar] [CrossRef]
- Veraa, S.; de Graaf, K.; Wijnberg, I.D.; Back, W.; Vernooij, H.; Nielen, M.; Belt, A.J.M. Caudal cervical vertebral morphological variation is not associated with clinical signs in Warmblood horses. Equine Vet. J. 2020, 52, 219–224. [Google Scholar] [CrossRef]
- Bradley, O.C. A Case of Rudimentary First Thoracic Rib in a Horse. J. Anat. Physiol. 1901, 36, 54–62. [Google Scholar]
- May-Davis, S.; Dzingle, D.; Saber, E.; Blades Eckelbarger, P. Characterization of the Caudal Ventral Tubercle in the Sixth Cervical Vertebra in Modern Equus ferus caballus. Animals 2023, 13, 2384. [Google Scholar] [CrossRef]
- Spoormakers, T.J.P.; Veraa, S.; Graat, E.A.M.; van Weeren, P.R.; Brommer, H. A comparative study of breed differences in the anatomical configuration of the equine vertebral column. J. Anat. 2021, 239, 829–838. [Google Scholar] [CrossRef]
- Rovel, T.; Coudry, V.; Denoix, J.M.; Audigie, F. Synostosis of the first and second ribs in six horses. J. Am. Vet. Med. Assoc. 2018, 253, 611–616. [Google Scholar] [CrossRef]
- Rosenberg, E. Über eine primitive Form der Wirbelsäule des Menschen. Morphol. Jahrb. 1899, 27, 1–118. [Google Scholar]


















| Grade | Morphologic Appearance |
|---|---|
| Normal | Normal lamina |
| 1 | 1–25% aplasia of the ventral lamina |
| 2 | 26–50% aplasia of the ventral lamina |
| 3 | 51–75% aplasia of the ventral lamina |
| 4 | 76–100% aplasia of the ventral lamina |
| Grade | Morphologic Appearance |
|---|---|
| Normal | Absence of malformations (=no transposition) |
| 1 | <30% transposition |
| 2 | 31–60% transposition |
| 3 | 61–100% transposition |
| Grade | Morphologic Appearance |
|---|---|
| Normal | 75% of the height of the cranial aspect of the vertebral body of T1 |
| 1 | 74–51% of the height of the cranial aspect of the vertebral body of T1 |
| 2 | 50–30% of the height of the cranial aspect of the vertebral body of T1 |
| 3 | <30% of the height of the cranial aspect of the vertebral body of T1 |
| 4 | absent |
| Grade | Morphologic Appearance |
|---|---|
| Normal | 75% of the height of the cranial aspect of the body of T1 |
| 1—large rudimentary | 74–51% of the height of the cranial aspect of the body of T1 |
| 2—medium rudimentary | 50–30% of the height of the cranial aspect of the body of T1 |
| 3—small rudimentary | <30% of the height of the cranial aspect of the body of T1 |
| 4 | absent |
| Grade | Morphologic Appearance |
|---|---|
| Normal | 30–50% of the height of the cranial aspect of the body of T1 |
| 1 | 51–75% of the height of the cranial aspect of the body of T1 |
| 2 | 76–100% of the height of the cranial aspect of the body of T1 |
| Number | C6 Right/Left | C7 Right/Left | T1 Right/Left | First Rib Right/Left | Second Rib Right/Left |
|---|---|---|---|---|---|
| 30 | x/x | x/x | x/x | x/x | x/x |
| 4 | x/x | x/x | x/x | x/x | -/- |
| 2 | x/x | x/x | x/x | x/- | x/- |
| 1 | x/x | x/x | x/x | x/- | -/- |
| 1 | x/x | x/x | x/x | -/x | x/x |
| 1 | x/x | x/x | x/x | x/x | x/- |
| Cervical Vertebrae | Grade 0 n (%) | Grade 1 n (%) | Grade 2 n (%) | Grade 3 n (%) | Grade 4 n (%) | p-Value Cramer’s V |
|---|---|---|---|---|---|---|
| C6 (n = 39) | ||||||
| Right | 11 (28.2) | 0 | 0 | 0 (0) | 28 (71.8) | 0.046 |
| Left | 3 (7.7) | 0 | 1 (2.6) | 1 (2.6) | 34 (87.2) | 0.460 |
| Bilateral | 2 (2.6) | 0 | 0 | 0 (2.6) | 27 (69.2) | |
| C7 (n = 39) | ||||||
| Right | 11 (28.2) | 2 (5.1) | 12 (30.8) | 14 (35.9) | na | 0.010 |
| Left | 3 (7.7) | 1 (2.6) | 13 (33.3) | 22 (56.4) | na | 0.411 |
| Bilateral | 2 (5.1) | 0 | 8 (20.5) | 13 (33.3) | na |
| C6 (n = 39) | Normal | Normal | Malformed | Malformed | p-Value | Cramer’s V |
|---|---|---|---|---|---|---|
| C7 (n = 39) | Normal | Malformed | Normal | Malformed | ||
| n (%) | n (%) | n (%) | n (%) | |||
| Right | 10 (25.1) | 1 (2.6) | 1 (2.6) | 27 (69.2) | <0.0001 | 0.873 |
| Left | 3 (7.7) | 0 | 0 | 36 (92.3) | <0.0001 | 1.000 |
| Both sides | 2 (5.1) | 0 | 0 | 37 (94.9) | <0.0001 | 1.000 |
| First Rib | Grade 1 n (%) | Grade 2 n (%) | Grade 3 n (%) | Grade 4 n (%) | Bifid n (%) | Normal n (%) | p-Value Cramer’s V |
|---|---|---|---|---|---|---|---|
| Length (n = 35) | |||||||
| Right | 1 (2.9) | 3 (8.6) | 15 (42.9) | 2 (5.7) | 2 (5.7) | 12 (34.3) | 0.194 |
| Left | 2 (5.7) | 6 (17.1) | 15 (42.9) | 3 (8.6) | 1 (2.9) | 8 (22.9) | 0.491 |
| Bilateral | 0 (2.3) | 0 (15.8) | 10 (28.6) | 2 (5.7) | 0 | 4 (11.4) | |
| Width (n = 37) | |||||||
| Right | 4 (10.8) | 1 (2.7) | 18 (48.7) | 2 (5.4) | 2 (5.4) | 10 (27.0) | 0.061 |
| Left | 3 (8.1) | 2 (5.4) | 23 (62.2) | 3 (8.1) | 1 (2.7) | 9 (23.7) | 0.559 |
| Bilateral | 0 | 1 (2.7) | 13 (35.1) | 2 (5.4) | 0 (2.6) | 0 |
| Vertebra | Normal | Normal | Malformed | Malformed | p-Value | Cramer’s V |
|---|---|---|---|---|---|---|
| First Rib Length | Normal | Malformed | Normal | Malformed | ||
| n (%) | n (%) | n (%) | n (%) | |||
| C6 | ||||||
| Right (n = 38) | 5 (13.2) | 6 (15.8) | 8 (21.1) | 19 (50.0) | 0.356 | 0.151 |
| Left (n = 36) | 1 (2.8) | 2 (5.6) | 7 (19.4) | 26 (72.3) | 0.644 | 0.081 |
| Both sides (n = 38) | 0 | 2 (5.6) | 4 (10.5) | 32 (84.2) | 0.499 | −0.081 |
| C7 | ||||||
| Right (n = 38) | 5 (13.2) | 6 (15.8) | 8 (21.1) | 19 (50.0) | 0.356 | 0.151 |
| Left (n = 36) | 1 (2.8) | 2 (5.6) | 7 (19.4) | 26 (72.3) | 0.644 | 0.081 |
| Both sides (n = 38) | 0 | 2 (5.6) | 4 (10.5) | 32 (84.2) | 0.499 | −0.081 |
| C6 | Normal | Normal | Normal | Malformed | Malformed |
|---|---|---|---|---|---|
| C7 | Normal | Normal | Malformed | Malformed | Malformed |
| First Rib Length | Normal | Malformed | Normal | Normal | Malformed |
| Second Rib | n (%) | n (%) | n (%) | n (%) | n (%) |
| Right (n = 33) | |||||
| Normal | 4 (12.1) | 1 (3.0) | 1 (3.0) | 5 (15.2) | 1 (3.0) |
| Grade 1 | 0 | 4 (12.1) | 0 | 0 | 13 (39.4) |
| Grade 2 | 0 | 0 | 0 | 0 | 2 (6.5) |
| Bifid | 0 | 0 | 0 | 0 | 2 (6.5) |
| Total | 4 (12.1) | 5 (15.2) | 1 (3.0) | 5 (15.2) | 18 (54.5) |
| Left (n = 31) | |||||
| Normal | 0 | 1 (3.2) | 0 | 4 (12.9) | 2 (6.5) |
| Grade 1 | 0 | 1 (3.2) | 0 | 2 (6.5) | 16 (51.6) |
| Grade 2 | 0 | 0 | 0 | 0 | 4 (12.9) |
| Bifid | 0 | 0 | 0 | 0 | 1 (3.2) |
| Total | 0 | 2 (6.5) | 0 | 6 (19.4) | 23 (74.2) |
| Trait | C6 | C7 | First Rib Length | First Rib Width | Second Rib Width |
|---|---|---|---|---|---|
| C6 | 0.256 * | 0.555 *** | 0.357 * | 0.278 | 0.140 |
| C7 | 0.171 | 0.299 * | 0.256 * | 0.153 | |
| First rib length | 0.336 * | 0.883 *** | 0.673 *** | ||
| First rib width | 0.236 | 0.636 *** | |||
| Second rib width | 0.194 |
Disclaimer/Publisher’s Note: The statements, opinions and data contained in all publications are solely those of the individual author(s) and contributor(s) and not of MDPI and/or the editor(s). MDPI and/or the editor(s) disclaim responsibility for any injury to people or property resulting from any ideas, methods, instructions or products referred to in the content. |
© 2023 by the authors. Licensee MDPI, Basel, Switzerland. This article is an open access article distributed under the terms and conditions of the Creative Commons Attribution (CC BY) license (https://creativecommons.org/licenses/by/4.0/).
Share and Cite
Ros, K.B.; Doveren, A.; Dreessen, C.; Pellmann, R.; Beccati, F.; Zimmermann, E.; Distl, O. Radiological Methods for the Imaging of Congenital Malformations of C6-T1, the First and Second Sternal Ribs and Development of a Classification System, Demonstrated in Warmblood Horses. Animals 2023, 13, 3732. https://doi.org/10.3390/ani13233732
Ros KB, Doveren A, Dreessen C, Pellmann R, Beccati F, Zimmermann E, Distl O. Radiological Methods for the Imaging of Congenital Malformations of C6-T1, the First and Second Sternal Ribs and Development of a Classification System, Demonstrated in Warmblood Horses. Animals. 2023; 13(23):3732. https://doi.org/10.3390/ani13233732
Chicago/Turabian StyleRos, Katharina B., Aldo Doveren, Christie Dreessen, Ralf Pellmann, Francesca Beccati, Elisa Zimmermann, and Ottmar Distl. 2023. "Radiological Methods for the Imaging of Congenital Malformations of C6-T1, the First and Second Sternal Ribs and Development of a Classification System, Demonstrated in Warmblood Horses" Animals 13, no. 23: 3732. https://doi.org/10.3390/ani13233732
APA StyleRos, K. B., Doveren, A., Dreessen, C., Pellmann, R., Beccati, F., Zimmermann, E., & Distl, O. (2023). Radiological Methods for the Imaging of Congenital Malformations of C6-T1, the First and Second Sternal Ribs and Development of a Classification System, Demonstrated in Warmblood Horses. Animals, 13(23), 3732. https://doi.org/10.3390/ani13233732

