Effects of Chronic Heat Stress on Kidney Damage, Apoptosis, Inflammation, and Heat Shock Proteins of Siberian Sturgeon (Acipenser baerii)
Abstract
:Simple Summary
Abstract
1. Introduction
2. Materials and Methods
2.1. Fish Maintenance and Treatment Protocols
2.2. Examination of Histopathology
2.3. Flow Cytometry Detection of Apoptosis
2.4. Plasma Creatinine Test
2.5. Real-Time Quantitative PCR
2.6. Statistical Analysis
3. Results
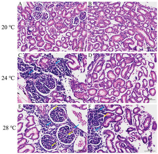
3.1. Histopathological Changes in Kidney Tissue under Heat Stress
3.2. Apoptosis of Kidney Cells under Heat Stress
3.3. Changes in Plasma Creatinine under Heat Stress
3.4. Expression of Innate Immune Related Genes under Heat Stress
3.5. Expression of Heat Shock Protein-Related Genes under Heat Stress
4. Discussion
5. Conclusions
Author Contributions
Funding
Institutional Review Board Statement
Informed Consent Statement
Data Availability Statement
Acknowledgments
Conflicts of Interest
References
- Miller, G.M.; Kroon, F.J.; Metcalfe, S.; Munday, P.L. Temperature is the evil twin: Effects of increased temperature and ocean acidification on reproduction in a reef fish. Ecol. Appl. 2015, 25, 603–620. [Google Scholar] [CrossRef]
- Zhang, H.; Kang, M.; Wu, J.; Wang, C.; Li, J.; Du, H.; Yang, H.; Wei, Q. Increasing river temperature shifts impact the Yangtze ecosystem: Evidence from the endangered Chinese Sturgeon. Animals 2019, 9, 583. [Google Scholar] [CrossRef] [PubMed]
- Luo, H.H.; Li, Q.; Li, C. The impact of water temperature during the fish reproduction in the upper Yangtze river due to the cascade development in the lower Jinsha river. J. Chin. Inst. Water Resour. Hydropower Res. 2012, 10, 256–259+266. [Google Scholar] [CrossRef]
- Yang, S.; Yang, X.; Li, Y.; Li, D.; Gong, Q.; Huang, X.; Wu, J.; Huang, A.; Kong, F.; Han, X.; et al. The multilevel responses of Acipenser baerii and its hybrids (A. baerii ♀ × A. schrenckii ♂) to chronic heat stress. Aquaculture 2021, 541, 736–773. [Google Scholar] [CrossRef]
- Rattis, B.A.C.; Piva, H.L.; Duarte, A.; Gomes, F.G.F.L.R.; Lellis, J.R.; Soave, D.F.; Ramos, S.G.; Tedesco, A.C.; Celes, M.R.N. Modulation of the mTOR pathway by Curcumin in the heart of Septic Mice. Pharmaceutics 2022, 14, 2277. [Google Scholar] [CrossRef]
- Mohamadian, M.; Parsamanesh, N.; Chiti, H.; Sathyapalan, T.; Sahebkar, A. Protective effects of curcumin on ischemia/reperfusion injury. Phytother. Res. 2022, 36, 4299–4324. [Google Scholar] [CrossRef] [PubMed]
- Martínez, D.; Vargas-Lagos, C.; Saravia, J.; Oyarzún, R.; Loncoman, C.; Pontigo, J.P.; Vargas-Chacoff, L. Cellular stress responses of Eleginops maclovinus fish injected with Piscirickettsia salmonis and submitted to thermal stress. Cell Stress Chaperones 2020, 25, 93–104. [Google Scholar] [CrossRef] [PubMed]
- Gao, J.; Liu, Y.; Ji, J.; Zhifeng, L. Heat stress induces neuronal apoptosis by up-regulating endoplasmic reticulum stress pathway. J. South. Med. Univ. 2021, 41, 702–709. [Google Scholar] [CrossRef]
- Taylor, R.C.; Cullen, S.P.; Martin, S.J. Apoptosis: Controlled demolition at the cellular level. Nat. Rev. Mol. Cell Biol. 2008, 9, 231–241. [Google Scholar] [CrossRef]
- Fuchs, Y. The therapeutic promise of apoptosis. Science 2019, 363, 1050–1051. [Google Scholar] [CrossRef]
- Yang, J.; Gong, Y.; Cai, J.; Zheng, Y.; Zhang, Z. Chlorpyrifos induces apoptosis and autophagy in common carp lymphocytes by influencing the TCR γ-dependent PI3K/AKT/JNK pathway. Fish Shellfish Immunol. 2020, 99, 587–593. [Google Scholar] [CrossRef]
- Sales, C.F.; Lemos, F.S.; Morais, R.D.V.S.; Thomé, R.G.; Santos, H.B.; Pinheiro, A.P.B.; Bazzoli, N.; Rizzo, E. Thermal stress induces heat shock protein 70 and apoptosis during embryo development in a Neotropical freshwater fish. Reprod. Fertil. Dev. 2019, 31, 547–556. [Google Scholar] [CrossRef] [PubMed]
- Kim, B.-S.; Jung, S.J.; Choi, Y.J.; Na Kim, N.; Choi, C.Y.; Kim, J.-W. Effects of different light wavelengths from LEDs on oxidative stress and apoptosis in olive flounder (Paralichthys olivaceus) at high water temperatures. Fish Shellfish Immunol. 2016, 55, 460–468. [Google Scholar] [CrossRef] [PubMed]
- Cheng, C.-H.; Guo, Z.-X.; Luo, S.-W.; Wang, A.-L. Effects of high temperature on biochemical parameters, oxidative stress, DNA damage and apoptosis of pufferfish (Takifugu obscurus). Ecotoxicol. Environ. Saf. 2018, 150, 190–198. [Google Scholar] [CrossRef] [PubMed]
- Maruquin, M.; Peng, R.-H.; Lanza, A.; Chiou, P.P. Impact of high temperature on the innate immune response in the intestine of orange-spotted grouper. Fish Shellfish Immunol. 2019, 91, 411. [Google Scholar] [CrossRef]
- Dominguez, M.; Takemura, A.; Tsuchiya, M.; Nakamura, S. Impact of different environmental factors on the circulating immunoglobulin levels in the Nile tilapia, Oreochromis niloticus. Aquaculture 2004, 241, 491–500. [Google Scholar] [CrossRef]
- Xie, M.; Hao, Q.; Xia, R.; Olsen, R.E.; Ringø, E.; Yang, Y.; Zhang, Z.; Ran, C.; Zhou, Z. Nuclease-treated stabilized fermentation product of Cetobacterium somerae improves growth, Non-specific immunity, and liver health of Zebrafish (Danio rerio). Front. Nutr. 2022, 9, 918–929. [Google Scholar] [CrossRef] [PubMed]
- Yang, C.; Dong, J.; Sun, C.; Li, W.; Tian, Y.; Liu, Z.; Gao, F.; Ye, X. Exposure to heat stress causes downregulation of immune response genes and weakens the disease resistance of Micropterus salmoides. Comp. Biochem. Physiol. Part D Genom. Proteom. 2022, 43, 101011. [Google Scholar] [CrossRef]
- Yang, S.; Li, D.; Feng, L.; Zhang, C.; Xi, D.; Liu, H.; Yan, C.; Xu, Z.; Zhang, Y.; Li, Y.; et al. Transcriptome analysis reveals the high temperature induced damage is a significant factor affecting the osmotic function of gill tissue in Siberian sturgeon (Acipenser baerii). BMC Genomics 2023, 24, 02–14. [Google Scholar] [CrossRef]
- Yang, S.; Zhang, C.; Xu, W.; Li, D.; Feng, Y.; Wu, J.; Luo, W.; Du, X.; Du, Z.; Huang, X. Heat stress decreases intestinal physiological function and facilitates the proliferation of harmful intestinal microbiota in Sturgeons. Front. Microbiol. 2022, 13, 755–768. [Google Scholar] [CrossRef]
- Li, X.; Yao, Y.; Wang, S.; Xu, S. Resveratrol relieves chlorothalonil-induced apoptosis and necroptosis through miR-15a/Bcl2-A20 axis in fish kidney cells. Fish Shellfish Immunol. 2020, 107, 427–434. [Google Scholar] [CrossRef] [PubMed]
- Luan, P.; Zhang, H.; Chen, X.; Zhu, Y.; Hu, G.; Cai, J.; Zhang, Z. Melatonin relieves 2,2,4,4-tetrabromodiphenyl ether (BDE-47)-induced apoptosis and mitochondrial dysfunction through the AMPK-Sirt1-PGC-1α axis in fish kidney cells (CIK). Ecotoxicol. Environ. Saf. 2022, 232, 113276. [Google Scholar] [CrossRef]
- Bates, T.; Naumann, U.; Hoppe, B.; Englert, C. Kidney regeneration in fish. Int. J. Dev. Biol. 2018, 62, 419–429. [Google Scholar] [CrossRef]
- Ratn, A.; Prasad, R.; Awasthi, Y.; Kumar, M.; Misra, A.; Trivedi, S.P. Zn2+ induced molecular responses associated with oxidative stress, DNA damage and histopathological lesions in liver and kidney of the fish, Channa punctatus (Bloch, 1793). Ecotoxicol. Environ. Saf. 2018, 151, 10–20. [Google Scholar] [CrossRef] [PubMed]
- Mohamed, A.A.-R.; El-Houseiny, W.; El-Murr, A.E.; Ebraheim, L.L.; Ahmed, A.I.; El-Hakim, Y.M.A. Effect of hexavalent chromium exposure on the liver and kidney tissues related to the expression of CYP450 and GST genes of Oreochromis niloticus fish: Role of curcumin supplemented diet. Ecotoxicol. Environ. Saf. 2020, 188, 109890. [Google Scholar] [CrossRef] [PubMed]
- Huang, J.; Li, Y.; Liu, Z.; Kang, Y.; Wang, J. Transcriptomic responses to heat stress in rainbow trout Oncorhynchus mykiss head kidney. Fish Shellfish Immunol. 2018, 82, 32–40. [Google Scholar] [CrossRef] [PubMed]
- Ma, F.; Liu, Z.; Huang, J.; Li, Y.; Kang, Y.; Liu, X.; Wang, J. High-throughput sequencing reveals microRNAs in response to heat stress in the head kidney of rainbow trout (Oncorhynchus mykiss). Funct. Integr. Genomics 2019, 19, 775–786. [Google Scholar] [CrossRef]
- Dawood, M.A.; Eweedah, N.M.; Elbialy, Z.I.; Abdelhamid, A.I. Dietary sodium butyrate ameliorated the blood stress biomarkers, heat shock proteins, and immune response of Nile tilapia (Oreochromis niloticus) exposed to heat stress. J. Therm. Biol. 2020, 88, 102–112. [Google Scholar] [CrossRef]
- Perezcasanova, J.; Rise, M.; Dixon, B.; Afonso, L.; Hall, J.; Johnson, S.; Gamperl, A. The immune and stress responses of Atlantic cod to long-term increases in water temperature. Fish Shellfish Immunol. 2008, 24, 600–609. [Google Scholar] [CrossRef]
- Dammark, K.B.; Ferchaud, A.-L.; Hansen, M.M.; Sørensen, J.G. Heat tolerance and gene expression responses to heat stress in threespine sticklebacks from ecologically divergent environments. J. Therm. Biol. 2018, 75, 88–96. [Google Scholar] [CrossRef]
- Yang, S.; Zhao, T.; Ma, A.; Huang, Z.; Yang, J.; Yuan, C.; Guo, X.; Zhu, C. Heat stress-induced HSP90 expression is dependent on ERK and HSF1 activation in turbot (Scophthalmus maximus) kidney cells. Cell Stress Chaperones 2021, 26, 173–185. [Google Scholar] [CrossRef] [PubMed]
- Bemis, W.E.; Findeis, E.K. The sturgeon’s plight. Nature 1994, 370, 602. [Google Scholar] [CrossRef]
- Rawski, M.; Mazurkiewicz, J.; Kierończyk, B.; Józefiak, D. Black soldier fly full-fat larvae meal is more profitable than fish meal and fish oil in Siberian Sturgeon farming: The effects on aquaculture sustainability, economy and fish GIT development. Animals 2021, 11, 604. [Google Scholar] [CrossRef] [PubMed]
- Wei, Q.W.; Zou, Y.; Li, P.; Li, L. Sturgeon aquaculture in china: Progress, strategies and prospects assessed on the basis of nation-wide surveys (2007–2009). J. Appl. Ichthyol. 2011, 27, 162–168. [Google Scholar] [CrossRef]
- Feng, Y.; Bai, M.; Geng, Y.; Chen, D.; Huang, X.; Ouyang, P.; Guo, H.; Zuo, Z.; Huang, C.; Lai, W. The potential risk of antibiotic resistance of Streptococcus iniae in sturgeon cultivation in Sichuan, China. Environ. Sci. Pollut. Res. Int. 2021, 28, 69171–69180. [Google Scholar] [CrossRef] [PubMed]
- Cao, J.; Chen, J.; Xie, L.; Wang, J.; Feng, C.; Song, J. Protective properties of sesamin against fluoride-induced oxidative stress and apoptosis in kidney of carp (Cyprinus carpio) via JNK signaling pathway. Aquat. Toxicol. 2015, 167, 180–190. [Google Scholar] [CrossRef] [PubMed]
- Badroo, I.A.; Nandurkar, H.P.; Khanday, A.H. Toxicological impacts of herbicide paraquat dichloride on histological profile (gills, liver, and kidney) of freshwater fish Channa punctatus (Bloch). Environ. Sci. Pollut. Res. Int. 2020, 27, 39054–39067. [Google Scholar] [CrossRef]
- Sleadd, I.M.; Lee, M.; Hassumani, D.O.; Stecyk, T.M.; Zeitz, O.K.; Buckley, B.A. Sub-lethal heat stress causes apoptosis in an Antarctic fish that lacks an inducible heat shock response. J. Therm. Biol. 2014, 44, 119–125. [Google Scholar] [CrossRef]
- Liu, E.; Zhao, X.; Li, C.; Wang, Y.; Li, L.; Zhu, H.; Ling, Q. Effects of acute heat stress on liver damage, apoptosis and inflammation of pikeperch (Sander lucioperca). J. Therm. Biol. 2022, 106, 103–113. [Google Scholar] [CrossRef]
- Agudelo, J.S.H.; Baia, L.C.; Ormanji, M.S.; Santos, A.R.P.; Machado, J.R.; Câmara, N.O.S.; Navis, G.J.; De Borst, M.H.; Heilberg, I.P. Fish oil supplementation reduces inflammation but does not restore renal function and Klotho expression in an adenine-induced CKD model. Nutrients 2018, 10, 1283. [Google Scholar] [CrossRef]
- Handa, K.; Jindal, R. Mitigating the nephrotoxic impact of hexavalent chromium in Ctenopharyngodon idellus (grass carp) with Boerhavia diffusa (punarnava) leaf extract. Environ. Sci. Pollut. Res. Int. 2023, 30, 42399–42415. [Google Scholar] [CrossRef]
- Yang, S.; Zhao, T.; Ma, A.; Huang, Z.; Liu, Z.; Cui, W.; Zhang, J.; Zhu, C.; Guo, X.; Yuan, C. Metabolic responses in Scophthalmus maximus kidney subjected to thermal stress. Fish Shellfish Immunol. 2020, 103, 37–46. [Google Scholar] [CrossRef] [PubMed]
- Shi, Z.H.; Xie, M.M.; Peng, S.M.; Zhang, C.J.; Gao, Q.X. Effects of temperature stress on digestive enzyme activities and serum biochemical indices in juvenile silver pompano (Pampusargenteus). Prog. Fish Sci. 2016, 37, 30–37. [Google Scholar] [CrossRef]
- Carriero, M.M.; Henrique-Silva, F.; Meira, C.M.; Gato, I.M.Q.; Caetano, A.R.; Lobo, F.P.; Alves, A.L.; Varela, E.S.; Maia, A.A.M. Molecular characterization and gene expression analysis of the pro-inflammatory cytokines IL-1β and IL-8 in the South American fish Piaractus mesopotamicus challenged with Aeromonas dhakensis. Genet. Mol. Biol. 2020, 43, 202–217. [Google Scholar] [CrossRef] [PubMed]
- Hong, S.; Li, R.; Xu, Q.; Secombes, C.J.; Wang, T. Two types of TNF-α exist in teleost fish: Phylogeny, expression, and bioactivity analysis of type-II TNF-α3 in rainbow trout Oncorhynchus mykiss. J. Immunol. 2013, 191, 5959–5972. [Google Scholar] [CrossRef]
- Caballero-Huertas, M.; Moraleda-Prados, J.; Joly, S.; Ribas, L. Immune genes, IL1β and Casp9, show sexual dimorphic methylation patterns in zebrafish gonads. Fish Shellfish Immunol. 2020, 97, 648–655. [Google Scholar] [CrossRef] [PubMed]
- Pandey, A.; Rajesh, M.; Baral, P.; Sarma, D.; Tripathi, P.H.; Akhtar, S.; Ciji, A.; Dubey, M.K.; Pande, V.; Sharma, P.; et al. Concurrent changes in thermal tolerance thresholds and cellular heat stress response reveals novel molecular signatures and markers of high temperature acclimation in rainbow trout. J. Therm. Biol. 2021, 102, 103124. [Google Scholar] [CrossRef] [PubMed]
- Kurop, M.K.; Huyen, C.M.; Kelly, J.H.; Blagg, B.S. The heat shock response and small molecule regulators. Eur. J. Med. Chem. 2021, 226, 113846. [Google Scholar] [CrossRef]
- Srivastava, P. Roles of heat-shock proteins in innate and adaptive immunity. Nat. Rev. Immunol. 2002, 2, 185–194. [Google Scholar] [CrossRef]
- Rosenzweig, R.; Nillegoda, N.B.; Mayer, M.P.; Bukau, B. The Hsp70 chaperone network. Nat. Rev. Mol. Cell Biol. 2019, 20, 665–680. [Google Scholar] [CrossRef]
- Chiosis, G.; Digwal, C.S.; Trepel, J.B.; Neckers, L. Structural and functional complexity of HSP90 in cellular homeostasis and disease. Nat. Rev. Mol. Cell Biol. 2023, 24, 797–815. [Google Scholar] [CrossRef]
- Dash, P.; Siva, C.; Tandel, R.S.; Bhat, R.A.H.; Gargotra, P.; Chadha, N.K.; Pandey, P.K. Temperature alters the oxidative and metabolic biomarkers and expression of environmental stress-related genes in chocolate mahseer (Neolissochilus hexagonolepis). Environ. Sci. Pollut. Res. Int. 2023, 30, 43203–43214. [Google Scholar] [CrossRef]
- Sun, Y.; Wen, H.; Tian, Y.; Mao, X.; Li, X.; Li, J.; Hu, Y.; Liu, Y.; Li, J.; Li, Y. HSP90 and HSP70 families in lateolabrax maculatus: Genome-wide identification, molecular characterization, and expression profiles in response to various environmental stressors. Front. Physiol. 2021, 12, 784–800. [Google Scholar] [CrossRef] [PubMed]
- Ma, F.; Luo, L.T. Genome-wide identification of Hsp70/110 genes in rainbow trout and their regulated expression in response to heat stress. PeerJ 2020, 8, 102–126. [Google Scholar] [CrossRef]
- Chen, T.; Zhuang, B.; Huang, Y.; Liu, Y.; Yuan, B.; Wang, W.; Yuan, T.; Du, L.; Jin, Y. Inhaled curcumin mesoporous polydopamine nanoparticles against radiation pneumonitis. Acta Pharm. Sin. B 2022, 12, 2522–2532. [Google Scholar] [CrossRef] [PubMed]
- Liu, Y.; Ma, D.; Zhao, C.; Xiao, Z.; Xu, S.; Xiao, Y.; Wang, Y.; Liu, Q.; Li, J. The expression pattern of hsp70 plays a critical role in thermal tolerance of marine demersal fish: Multilevel responses of Paralichthys olivaceus and its hybrids (P. olivaceus ♀ × P. dentatus ♂) to chronic and acute heat stress. Mar. Environ. Res. 2017, 129, 386–395. [Google Scholar] [CrossRef]
- Schopf, F.H.; Biebl, M.M.; Buchner, J. The HSP90 chaperone machinery. Nat. Rev. Mol. Cell Biol. 2017, 18, 345–360. [Google Scholar] [CrossRef] [PubMed]
- Rozenberg, P.; Ziporen, L.; Gancz, D.; Saar-Ray, M.; Fishelson, Z. Cooperation between Hsp90 and mortalin/GRP75 in resistance to cell death induced by complement C5b-9. Cell Death Dis. 2018, 9, 150–161. [Google Scholar] [CrossRef] [PubMed]
- Chen, Y.; Wu, X.; Li, P.; Liu, Y.; Song, M.; Li, F.; Ou, J.; Lai, J. Integrated metabolomic and transcriptomic responses to heat stress in a high-altitude fish, Triplophysa siluroides. Fish Shellfish Immunol. 2023, 142, 109118. [Google Scholar] [CrossRef]





| Gene | Primer Sequences (from 5′ to 3′) | Annealing Temperature (°C) |
|---|---|---|
| TNF-α | F: CAAGATTGTGGTGCCGAGGA | 58.4 |
| R: GCAAGTCGCTCGATGTTGTG | ||
| IL-1β | F: GAGAAGATGAAGAGACCGCA | 60.0 |
| R: AGGATCACGTGCTCTTCATT | ||
| HSP90 | F: CGAGCTGTTGCGATACCAC | 62.4 |
| R: CAACTTGGTCCTTGCTCTCAC | ||
| HSP70 | F: GCCAGCGGTGGATTTCACT | 59.6 |
| R: TGCTATTGCTTATGGCTTGGAC | ||
| GRP75 | F: ACGGACTGAGTCAAGATGTC | 60.0 |
| R: CTGTTTGCCTTCCATCACTG | ||
| β-actin | F: TGGACGCCCAAGACATCAGG | 59.6 |
| R: GGTGACAATGCCGTGCTCG |
Disclaimer/Publisher’s Note: The statements, opinions and data contained in all publications are solely those of the individual author(s) and contributor(s) and not of MDPI and/or the editor(s). MDPI and/or the editor(s) disclaim responsibility for any injury to people or property resulting from any ideas, methods, instructions or products referred to in the content. |
© 2023 by the authors. Licensee MDPI, Basel, Switzerland. This article is an open access article distributed under the terms and conditions of the Creative Commons Attribution (CC BY) license (https://creativecommons.org/licenses/by/4.0/).
Share and Cite
Jing, Z.; Chen, Q.; Yan, C.; Zhang, C.; Xu, Z.; Huang, X.; Wu, J.; Li, Y.; Yang, S. Effects of Chronic Heat Stress on Kidney Damage, Apoptosis, Inflammation, and Heat Shock Proteins of Siberian Sturgeon (Acipenser baerii). Animals 2023, 13, 3733. https://doi.org/10.3390/ani13233733
Jing Z, Chen Q, Yan C, Zhang C, Xu Z, Huang X, Wu J, Li Y, Yang S. Effects of Chronic Heat Stress on Kidney Damage, Apoptosis, Inflammation, and Heat Shock Proteins of Siberian Sturgeon (Acipenser baerii). Animals. 2023; 13(23):3733. https://doi.org/10.3390/ani13233733
Chicago/Turabian StyleJing, Zhaoxin, Qianyu Chen, Chaozhan Yan, Chaoyang Zhang, Zihan Xu, Xiaoli Huang, Jiayun Wu, Yunkun Li, and Shiyong Yang. 2023. "Effects of Chronic Heat Stress on Kidney Damage, Apoptosis, Inflammation, and Heat Shock Proteins of Siberian Sturgeon (Acipenser baerii)" Animals 13, no. 23: 3733. https://doi.org/10.3390/ani13233733
APA StyleJing, Z., Chen, Q., Yan, C., Zhang, C., Xu, Z., Huang, X., Wu, J., Li, Y., & Yang, S. (2023). Effects of Chronic Heat Stress on Kidney Damage, Apoptosis, Inflammation, and Heat Shock Proteins of Siberian Sturgeon (Acipenser baerii). Animals, 13(23), 3733. https://doi.org/10.3390/ani13233733

