Long-Term Effects of Whole-Body Vibration on Hind Limb Muscles, Gait and Pain in Lame Dogs with Borderline-to-Severe Hip Dysplasia—A Pilot Study
Abstract
Simple Summary
Abstract
1. Introduction
2. Materials and Methods
2.1. Dogs and Radiographic Examination
2.2. WBV
2.3. Evaluation of Body Condition
2.4. Pain and Lameness Assessments
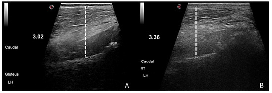
2.5. Blood Tests and Muscle Size Evaluations
2.6. Kinetic Gait Analysis
2.7. Surface Electromyography (EMG)
- 0: The graph in stance and swing phases closely resembled the normal pattern;
- 1: The graph had a pattern similar to the normal one, but with pronounced peaks;
- 2: One of the phases (stance or swing) did not match the normal pattern;
- 3: Neither stance nor swing phases matched the normal pattern.
2.8. Statistical Analyses
3. Results
3.1. Dogs, Radiographic Findings and Evaluation of Body Condition
3.2. Pain and Lameness Assessments
3.3. Blood Tests and Muscle Evaluations
3.4. Kinetic Gait Analysis and Surface EMG
4. Discussion
5. Conclusions
Author Contributions
Funding
Institutional Review Board Statement
Informed Consent Statement
Data Availability Statement
Acknowledgments
Conflicts of Interest
References
- Kapatkin, A.S.; Fordyce, H.H.; Mayhew, P.D.; Smith, G.K. Canine hip dysplasia: The disease and its diagnosis. Compend. Contin. Educ. Vet. 2002, 24, 526–538. [Google Scholar]
- King, M.D. Etiopathogenesis of canine hip dysplasia, prevalence, and genetics. Vet. Clin. N. Am. Small Anim. Pract. 2017, 47, 753–767. [Google Scholar] [CrossRef] [PubMed]
- Ginja, M.M.; Silvestre, A.M.; Gonzalo-Orden, J.M.; Ferreira, A.J. Diagnosis, genetic control and preventive management of canine hip dysplasia: A review. Vet. J. 2010, 184, 269–276. [Google Scholar] [CrossRef] [PubMed]
- Syrcle, J. Hip dysplasia clinical signs and physical examination findings. Vet. Clin. N. Am. Small Anim. Pract. 2017, 47, 769–775. [Google Scholar] [CrossRef]
- Demko, J.; McLaughlin, R. Developmental orthopedic disease. Vet. Clin. N. Am. Small Anim. Pract. 2005, 35, 1111–1135. [Google Scholar] [CrossRef]
- Schachner, E.R.; Lopez, M.J. Diagnosis, prevention, and management of canine hip dysplasia: A review. Vet. Med. 2015, 6, 181–192. [Google Scholar] [CrossRef]
- Farrell, M.; Clements, D.N.; Mellor, D.; Gemmill, T.; Clarke, S.P.; Arnott, J.L.; Bennett, D.; Carmichael, S. Retrospective evaluation of the long-term outcome of non-surgical management of 74 dogs with clinical hip dysplasia. Vet. Rec. 2007, 160, 506–511. [Google Scholar] [CrossRef]
- Dycus, D.L.; Levine, D.; Marcellin-Little, D.J. Physical rehabilitation for the management of canine hip dysplasia. Vet. Clin. N. Am. Small Anim. Pract. 2017, 47, 823–850. [Google Scholar] [CrossRef]
- Harper, T.A.M. Conservative management of hip dysplasia. Vet. Clin. N. Am. Small Anim. Pract. 2017, 47, 807–821. [Google Scholar] [CrossRef]
- Anderson, A. Treatment of hip dysplasia. J. Small Anim. Pract. 2011, 52, 182–189. [Google Scholar] [CrossRef]
- Rittweger, J. Vibration as an exercise modality: How it may work, and what its potential might be. Eur. J. Appl. Physiol. 2010, 108, 877–904. [Google Scholar] [CrossRef]
- Costantino, C.; Gimigliano, R.; Olvirri, S.; Gimigliano, F. Whole-body vibration in sport: A critical review. J. Sports Med. Phys. Fitness 2014, 54, 757–764. [Google Scholar]
- Chanou, K.; Gerodimos, V.; Karatrantou, K.; Jamurtas, A. Whole-body vibration and rehabilitation of chronic diseases: A review of the literature. J. Sports Sci. Med. 2012, 11, 187–200. [Google Scholar]
- Trans, T.; Aaboe, J.; Henriksen, M.; Christensen, R.; Bliddal, H.; Lund, H. Effect of whole-body vibration exercise on muscle strength and proprioception in females with knee osteoarthritis. Knee 2009, 16, 256–261. [Google Scholar] [CrossRef]
- Zafar, H.; Alghadir, A.; Anwer, S.; Al-Eisa, E. Therapeutic effects of whole-body vibration training in knee osteoarthritis: A systematic review and meta-analysis. Arch. Phys. Med. Rehabil. 2015, 96, 1525–1532. [Google Scholar] [CrossRef] [PubMed]
- Santos, I.F.C.; Rahal, S.C.; Shimono, J.; Tsunemi, M.; Takahira, R.; Teixeira, C.R. Whole-body vibration exercise on hematology and serum biochemistry in healthy dogs. Top. Companion Anim. Med. 2017, 32, 86–90. [Google Scholar] [CrossRef] [PubMed]
- Martins, D.J.C.; Rahal, S.C.; Silva Júnior, J.I.C.; Michelon, F.; Tomacheuski, R.M.; Correia, L.E.C.S.; Woods, L.S.; Mamprim, M.J.; Lourenço, M.L.G.; Santos, I.F.C. Effects of reticulated hyaluronic acid alone or associated with whole-body vibration in dogs with osteoarthritis due to hip dysplasia. Top. Companion Anim. Med. 2022, 49, 100653. [Google Scholar] [CrossRef]
- Orthopedic Foundation for Animals (OFA). Hip Dysplasia. Available online: https://www.ofa.org/diseases/hip-dysplasia (accessed on 24 July 2023).
- Laflamme, D.P. Development and validation of a body condition score system for dogs: A clinical tool. Canine Pract. 1997, 22, 10–15. [Google Scholar]
- Hielm-Björkman, A.K.; Kuusela, E.; Liman, A.; Markkola, A.; Saarto, E.; Huttunen, P.; Leppäluoto, J.; Tulamo, R.M.; Raekallio, M. Evaluation of methods for assessment of pain associated with chronic osteoarthritis in dogs. J. Am. Vet. Med. Assoc. 2003, 222, 1552–1558. [Google Scholar] [CrossRef]
- Millis, D.L.; Levine, D. Canine Rehabilitation and Physical Therapy; Elsevier: Philadelphia, PA, USA, 2014. [Google Scholar]
- Sakaeda, K.; Shimizu, M. Use of B-mode ultrasonography for measuring femoral muscle thickness in dogs. J. Vet. Med. Sci. 2016, 78, 803–810. [Google Scholar] [CrossRef][Green Version]
- Bockstahler, B.; Kräutler, C.; Holler, P.; Kotschwar, A.; Vobornik, A.; Peham, C. Pelvic limb kinematics and surface electromyography of the vastus lateralis, biceps femoris, and gluteus medius muscle in dogs with hip osteoarthritis. Vet. Surg. 2012, 41, 54–62. [Google Scholar] [CrossRef] [PubMed]
- Negrão, R.R.; Rahal, S.C.; Kano, W.T.; Mesquita, L.R.; Hormaza, J.M. Analysis of time series of surface electromyography and accelerometry in dogs. Biomed. Signal Process. Control 2022, 74, 103518. [Google Scholar] [CrossRef]
- Cochrane, J. Vibration exercise: The potential benefits. Br. J. Sports Med. 2011, 32, 75–99. [Google Scholar] [CrossRef]
- Chung, P.; Liu, C.; Wang, H.; Liu, Y.; Chuang, L.; Shiang, T.Y. Various performance-enhancing effects from the same intensity of whole-body vibration training. J. Sport Health Sci. 2017, 6, 333–339. [Google Scholar] [CrossRef][Green Version]
- Fry, T.R.; Clark, D.M. Canine hip dysplasia: Clinical signs and physical diagnosis. Vet. Clin. N. Am. Small Anim. Pract. 1992, 22, 551–558. [Google Scholar] [CrossRef]
- Evans, H.E.; de Lahunta, A.B. Guide to the Dissection of the Dog; Saunders Elsevier: St. Louis, MO, USA, 2010. [Google Scholar]
- Belavý, D.L.; Miokovic, T.; Armbrecht, G.; Rittweger, J.; Felsenberg, D. Resistive vibration exercise reduces lower limb muscle atrophy during 56-day bed-rest. J. Musculoskelet. Neuronal Interact. 2009, 9, 225–235. [Google Scholar] [PubMed]
- Rubio-Arias, J.Á.; Ramos-Campo, D.J.; Esteban, P.; Martínez, F.; Jiménez, J.F. Effect of 6-weeks WBVT on the behaviour of the lower limb muscle fibres during vertical jumping. J. Sports Sci. 2018, 36, 398–406. [Google Scholar] [CrossRef]
- Lachance, C.; Weir, P.; Kenno, K.; Horton, S. Is whole-body vibration beneficial for seniors? Eur. Rev. Aging Phys. Act. 2012, 9, 51–62. [Google Scholar] [CrossRef]
- Hudson, J.T.; Slater, M.R.; Taylor, L.; Scott, H.M.; Kerwin, S.C. Assessing repeatability and validity of a visual analogue scale questionnaire for use in assessing pain and lameness in dogs. Am. J. Vet. Res. 2004, 65, 1634–1643. [Google Scholar] [CrossRef]
- Quinn, M.M.; Keuler, N.S.; Lu, Y.; Faria, M.L.; Muir, P.; Markel, M.D. Evaluation of agreement between numerical rating scales, visual analogue scoring scales, and force plate gait analysis in dogs. Vet. Surg. 2007, 36, 360–367. [Google Scholar] [CrossRef]
- Oosterlinck, M.; Bosmans, T.; Gasthuys, F.; Polis, I.; Van Ryssen, B.; Dewulf, J.; Pille, F. Accuracy of pressure plate kinetic asymmetry indices and their correlation with visual gait assessment scores in lame and nonlame dogs. Am. J. Vet. Res. 2011, 72, 820–825. [Google Scholar] [CrossRef]
- Conzemius, M.G.; Evans, R.B. Caregiver placebo effect for dogs with lameness from osteoarthritis. J. Am. Vet. Med. Assoc. 2012, 241, 1314–1319. [Google Scholar] [CrossRef]
- Kim, J.; Kazmierczak, K.A.; Breur, G.J. Comparison of temporospatial and kinetic variables of walking in small and large dogs on a pressure-sensing walkway. Am. J. Vet. Res. 2011, 72, 1171–1177. [Google Scholar] [CrossRef] [PubMed]
- Fischer, S.; Anders, A.; Nolte, I.; Schilling, N. Compensatory load redistribution in walking and trotting dogs with hind limb lameness. Vet. J. 2013, 197, 746–752. [Google Scholar] [CrossRef] [PubMed]
- Kano, W.T.; Rahal, S.C.; Agostinho, F.S.; Mesquita, L.R.; Santos, R.R.; Monteiro, F.O.; Castilho, M.S.; Melchert, A. Kinetic and temporospatial gait parameters in heterogeneous group of dogs. BMC Vet. Res. 2016, 12, 2. [Google Scholar] [CrossRef] [PubMed]
- Soni, A.; Mishra, S.; Santra, A.K.; Khune, V.N.; Pathak, R.; Bobade, M.D.; Dubey, A.; Bhagat, S.; Das, S. Position of centre of gravity in different species: A review. J. Entomol. Zool. Stud. 2020, 8, 496–499. [Google Scholar]
- Carr, B.J.; Dycus, D.L. Canine gait analysis. Today’s Vet. Pract. 2016, 6, 93–100. [Google Scholar]
- LeQuang, T.; Maitre, P.; Roger, T.; Viguier, E. Is a pressure walkaway system able to highlight a lameness in dog? In Proceedings of the 6th World Congress of Biomechanics, Singapore, 1–6 August 2010; pp. 190–193. [Google Scholar]
- Fischer, S.; Nolte, I.; Schilling, N. Adaptations in muscle activity to induced, short-term hindlimb lameness in trotting dogs. PLoS ONE 2013, 8, e80987. [Google Scholar] [CrossRef]
- Breitfuss, K.; Franz, M.; Peham, C.; Bockstahler, B. Surface electromyography of the vastus lateralis, biceps femoris, and gluteus medius muscle in sound dogs during walking and specific physiotherapeutic exercises. Vet. Surg. 2015, 44, 588–595. [Google Scholar] [CrossRef]




| Number | Dog Assignment (Breed, Approximate Age, Sex) | Body Weight (kg) | BSC | BMI |
|---|---|---|---|---|
| 1 | Crossbreed, 1.5-year-old, female | 20.5 | 4 | 15.50 |
| 2 | Rottweiler, 2-year-old, female | 33.5 | 6 | 18.65 |
| 3 | Crossbreed, 8-year-old, female | 42.5 | 7 | 22.98 |
| 4 | Labrador retriever, 9-year-old, male | 38.5 | 8 | 26.74 |
| 5 | German Shepherd, 8-year-old, male | 39.4 | 5 | 15.39 |
| 6 | Crossbreed, 8-year-old, female | 53.2 | 8 | 24.62 |
| 7 | Crossbreed, 2-year-old, female | 23.4 | 6 | 18.99 |
| 8 | Crossbreed, 3-year-old, female | 14.5 | 4 | 13.53 |
| 9 | Crossbreed, 6-year-old, male | 40.6 | 6 | 21.04 |
| 10 | Crossbreed, 8-year-old, female | 20.6 | 8 | 20.47 |
| Radiographic Hip Score | Lameness Score | Orthopedic Examination | ||||
|---|---|---|---|---|---|---|
| Dog | LH | RH | LH | RH | LH | RH |
| 1 | 2 | 2 | 2 | 1 | 2 | 1 |
| 2 | 3 | 3 | 2 | 3 | 2 | 3 |
| 3 | 4 | 4 | 3 | 2 | 3 | 3 |
| 4 | 2 | 2 | 3 | 2 | 2 | 2 |
| 5 | 4 | 4 | 2 | 3 | 3 | 3 |
| 6 | 1 | 2 | 0 | 2 | 1 | 3 |
| 7 | 1 | 1 | 2 | 3 | 2 | 2 |
| 8 | 4 | 4 | 4 | 3 | 4 | 4 |
| 9 | 4 | 4 | 2 | 3 | * | * |
| 10 | 4 | 4 | 1 | 3 | 1 | 3 |
| Muscles | Measurement Area | Week 0 Median (Q1–Q3) | Week 4 Median (Q1–Q3) | Week 8 Median (Q1–Q3) | Week 12 Median (Q1–Q3) | Week 16 Median (Q1–Q3) | p Value |
|---|---|---|---|---|---|---|---|
| Gluteal (left hind limb) | Cranial | 2.12, (1.82–2.38) | 2.110, (1.81–2.38) | 2.195, (1.79–2.42) | 2.14, (2.00–2.21) | 2.520, (2.50–2.57) | 0.045 |
| Middle | 2.27, (2.10–2.64) | 2.360, (2.15–2.57) | 2.435, (1.99–2.55) | 2.37, (2.14–2.42) | 2.575, (2.30–2.81) | 0.171 | |
| Caudal | 2.38, (1.75–2.64) a | 2.285, (1.99–2.57) ab | 2.515, (2.34–2.68) ab | 2.37, (2.04–2.56) a | 2.865, (2.52–3.08) b | 0.015 | |
| Quadriceps femoris (left hind limb) | Middle | 2.96, (2.65–3.27) a | 3.120, (2.87–3.45) ab | 3.170, (3.03–3.57) ab | 3.34, (2.73–3.50) ab | 3.560, (3.14–3.69) b | 0.036 |
| Quadriceps femoris right hind limb) | Middle | 2.57, (2.99–3.17) a | 3.075, (2.71–3.44) ab | 3.230, (3.07–3.35) ab | 3.24, (2.75–3.50) ab | 3.45, (3.31–3.77) b | 0.001 |
| Limbs | Week 0 (Mean ± SD) | Week 8 (Mean ± SD) | Week 16 (Mean ± SD) | p Value |
|---|---|---|---|---|
| Left forelimb | 31.81 ± 1.11 | 32.14 ± 2.65 | 32.72 ± 2.46 | 0.572 |
| Right forelimb | 32.12 ± 3.16 | 31.82 ± 3.45 | 32.12 ± 2.97 | 0.969 |
| Left hind limb | 17.38 ± 1.67 | 17.90 ± 2.51 | 16.90 ± 2.63 | 0.599 |
| Right hind limb | 18.69 ± 2.14 | 18.14 ± 2.22 | 18.26 ± 2.27 | 0.829 |
| Contact Area | Week 0 (Mean ± SD) | Week 8 (Mean ± SD) | Semana 16 (Mean ± SD) | p Value |
|---|---|---|---|---|
| Paws (cm2) | ||||
| Left forelimb | 26.89 ± 7.80 | 27.84 ± 8.34 | 27.54 ± 8.72 | 0.963 |
| Right forelimb | 28.53 ± 8.97 | 27.80 ± 8.43 | 27.19 ± 8.73 | 0.936 |
| Left hind limb | 20.06 ± 5.78 | 20.17 ± 5.83 | 20.10 ± 5.96 | 0.999 |
| Right hind limb | 22.37 ± 7.11 | 21.61 ± 5.58 | 21.08 ± 5.86 | 0.887 |
| Pads (metacarpus/metatarsus) (cm2) | ||||
| Left forelimb | 9.51 ± 3.43 | 9.78 ± 3.39 | 9.73 ± 3.78 | 0.981 |
| Right forelimb | 9.60 ± 3.86 | 9.60 ± 3.74 | 9.50 ± 4.13 | 0.998 |
| Left hind limb | 4.66 ± 1.72 | 4.74 ± 2.01 | 4.61 ± 1.74 | 0.985 |
| Right hind limb | 5.76 ± 2.39 | 5.61 ± 2.04 | 5.18 ± 2.09 | 0.810 |
| Toes (cm2) | ||||
| Left forelimb | 17.39 ± 4.70 | 18.06 ± 5.09 | 17.82 ± 5.14 | 0.949 |
| Right forelimb | 18.93 ± 5.26 | 18.20 ± 4.87 | 17.67 ± 4.88 | 0.841 |
| Left hind limb | 15.77 ± 4.27 | 15.82 ± 4.18 | 15.83 ± 4.37 | 0.999 |
| Right hind limb | 16.61 ± 5.01 | 16.01 ± 3.75 | 15.90 ± 4.13 | 0.887 |
| Week 0 | Week 8 | Week 16 | ||||
|---|---|---|---|---|---|---|
| Dog Number | Left Hind Limb | Right Hind Limb | Left Hind Limb | Right Hind Limb | Left Hind Limb | Right Hind Limb |
| 1 | 1 | 3 | 2 | 2 | 0 | 1 |
| 2 | 3 | 3 | 1 | NE | 2 | 2 |
| 3 | 3 | 2 | 2 | 3 | 2 | 2 |
| 4 | 3 | 2 | 2 | 3 | 2 | 1 |
| 5 | 3 | 3 | 3 | 2 | 2 | 3 |
| 6 | 3 | 3 | 3 | 3 | 1 | 2 |
| 7 | 3 | 3 | 3 | 2 | 2 | 2 |
| 8 | 3 | 2 | 2 | 3 | 3 | 2 |
| 9 | 3 | 3 | 3 | 2 | 2 | 3 |
| 10 | 2 | 2 | 3 | 3 | 3 | 3 |
Disclaimer/Publisher’s Note: The statements, opinions and data contained in all publications are solely those of the individual author(s) and contributor(s) and not of MDPI and/or the editor(s). MDPI and/or the editor(s) disclaim responsibility for any injury to people or property resulting from any ideas, methods, instructions or products referred to in the content. |
© 2023 by the authors. Licensee MDPI, Basel, Switzerland. This article is an open access article distributed under the terms and conditions of the Creative Commons Attribution (CC BY) license (https://creativecommons.org/licenses/by/4.0/).
Share and Cite
Gomes, M.V.F.; Rahal, S.C.; Santos, I.F.C.d.; Dadalto, C.R.; Mamprim, M.J.; Negrão, R.R.; Hormaza, J.M.; Tsunemi, M.H.; Gómez Álvarez, C.B. Long-Term Effects of Whole-Body Vibration on Hind Limb Muscles, Gait and Pain in Lame Dogs with Borderline-to-Severe Hip Dysplasia—A Pilot Study. Animals 2023, 13, 3456. https://doi.org/10.3390/ani13223456
Gomes MVF, Rahal SC, Santos IFCd, Dadalto CR, Mamprim MJ, Negrão RR, Hormaza JM, Tsunemi MH, Gómez Álvarez CB. Long-Term Effects of Whole-Body Vibration on Hind Limb Muscles, Gait and Pain in Lame Dogs with Borderline-to-Severe Hip Dysplasia—A Pilot Study. Animals. 2023; 13(22):3456. https://doi.org/10.3390/ani13223456
Chicago/Turabian StyleGomes, Mayara Viana Freire, Sheila Canevese Rahal, Ivan Felismino Charas dos Santos, Carmel Rezende Dadalto, Maria Jaqueline Mamprim, Roberta Rocha Negrão, Joel Mesa Hormaza, Miriam Harumi Tsunemi, and Constanza B. Gómez Álvarez. 2023. "Long-Term Effects of Whole-Body Vibration on Hind Limb Muscles, Gait and Pain in Lame Dogs with Borderline-to-Severe Hip Dysplasia—A Pilot Study" Animals 13, no. 22: 3456. https://doi.org/10.3390/ani13223456
APA StyleGomes, M. V. F., Rahal, S. C., Santos, I. F. C. d., Dadalto, C. R., Mamprim, M. J., Negrão, R. R., Hormaza, J. M., Tsunemi, M. H., & Gómez Álvarez, C. B. (2023). Long-Term Effects of Whole-Body Vibration on Hind Limb Muscles, Gait and Pain in Lame Dogs with Borderline-to-Severe Hip Dysplasia—A Pilot Study. Animals, 13(22), 3456. https://doi.org/10.3390/ani13223456

