Preliminary Assessment of Tumor-Associated Tissue Eosinophilia (TATE) in Canine Mast Cell Tumors: Prevalence and Prognostic Relevance and Its Association with Neoangiogenesis
Abstract
Simple Summary
Abstract
1. Introduction
2. Materials and Methods
2.1. Animals and Tissue Samples
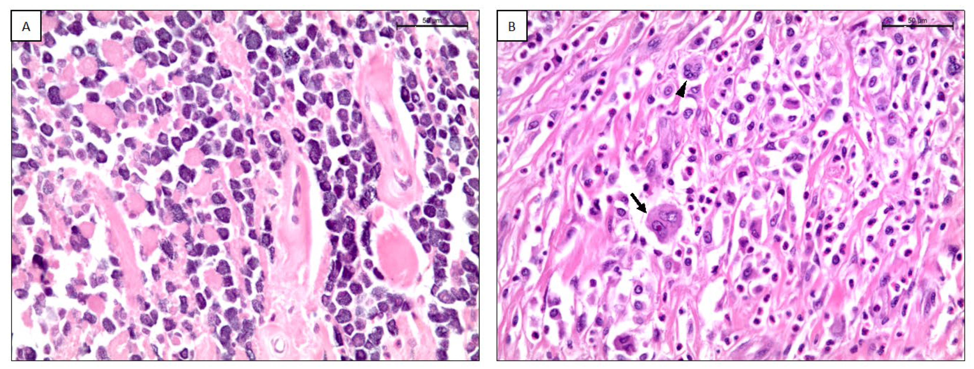
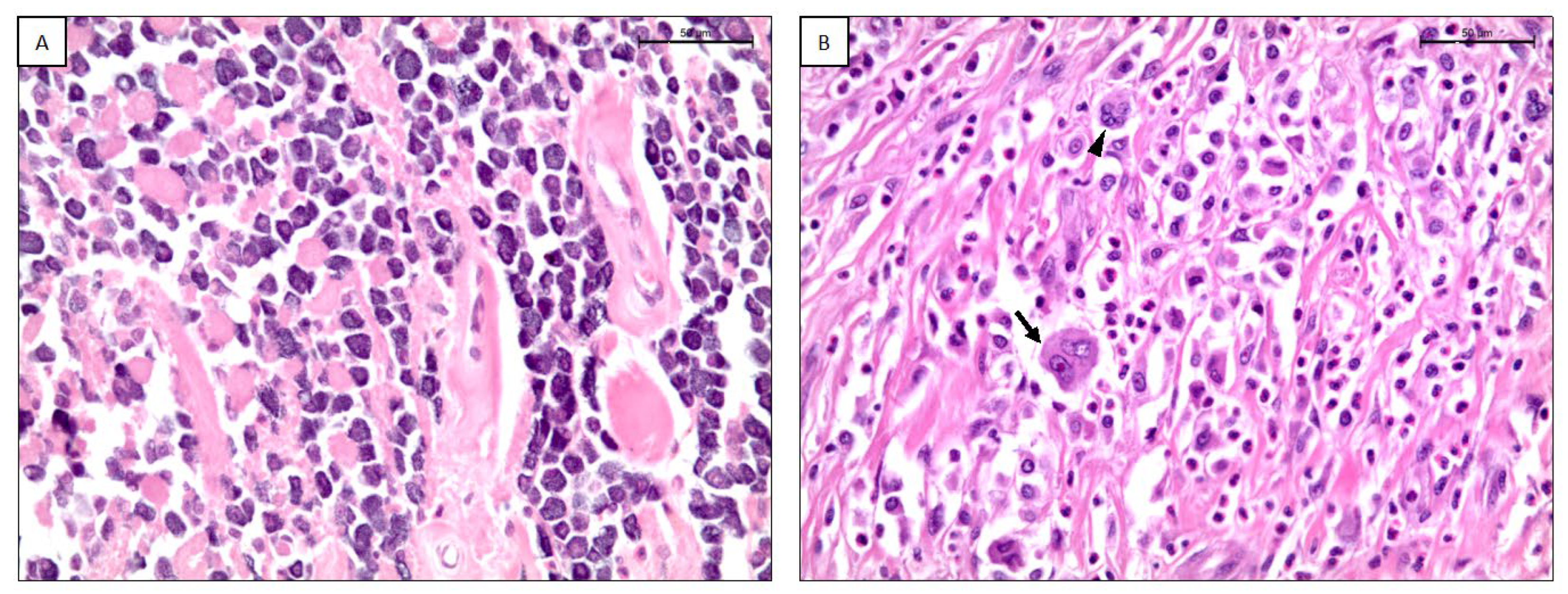
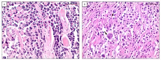
2.2. Histopathology
- Score 0: none to 2 eosinophils;
- Score 1+: presence of 2–10 eosinophils;
- Score 2+: eosinophils ranging from 10 to 20 eosinophils;
- Score 3+: from 20 to 30 eosinophils;
- Score 4+: more than 30 eosinophils.
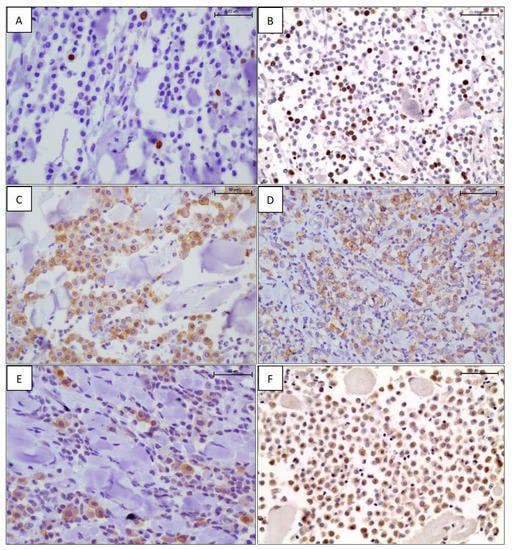
2.3. Immunohistochemistry
2.4. Study Design
- Score 1+: ≤10 eosinophils;
- Score 2+: >10 and ≤20 eosinophils;
- Score 3+: >20 eosinophils;
3. Results
4. Discussion
5. Conclusions
Supplementary Materials
Author Contributions
Funding
Institutional Review Board Statement
Informed Consent Statement
Data Availability Statement
Conflicts of Interest
References
- De Nardi, A.B.; Dos Santos Horta, R.; Fonseca-Alves, C.E.; de Paiva, F.N.; Linhares, L.C.M.; Firmo, B.F.; Ruiz Sueiro, F.A.; de Oliveira, K.D.; Lourenço, S.V.; De Francisco Strefezzi, R.; et al. Diagnosis, Prognosis and Treatment of Canine Cutaneous and Subcutaneous Mast Cell Tumors. Cells 2022, 10, 618. [Google Scholar] [CrossRef]
- Kiupel, M.; Camus, M. Diagnosis and Prognosis of Canine Cutaneous Mast Cell Tumors. Vet. Clin. North Am. Small Anim. Pract. 2019, 49, 819–836. [Google Scholar] [CrossRef]
- Gross, T.L.; Ihrke, P.; Walder, E.J.; Affolter, V.K. Mast cell tumors. In Skin Diseases of the Dog and Cat Clinical and Histopathologic Diagnosis, 2nd ed.; Blackwell Science: Oxford, UK, 2005; pp. 853–865. [Google Scholar]
- Lowe, D.; Jorizzo, J.; Hutt, M.S. Tumour-associated eosinophilia: A review. J. Clin. Pathol. 1981, 34, 343–348. [Google Scholar] [CrossRef]
- Simson, L.; Ellyard, J.I.; Dent, L.A.; Matthaei, K.I.; Rothenberg, M.E.; Foster, P.S.; Smyth, M.J.; Parish, C.R. Regulation of carcinogenesis by IL-5 and CCL11: A potential role for eosinophils in tumor immune surveillance. J. Immunol. 2007, 178, 4222–4229. [Google Scholar] [CrossRef] [PubMed]
- Ellyard, J.I.; Simson, L.; Parish, C.R. Th2-mediated anti-tumour immunity: Friend or foe? Tissue Antigens 2007, 70, 1–11. [Google Scholar] [CrossRef] [PubMed]
- Davis, B.P.; Rothenberg, M.E. Eosinophils and cancer. Cancer Immunol. Res. 2014, 2, 1–8. [Google Scholar] [CrossRef]
- Gleich, G.J.; Frigas, E.; Loegering, D.A.; Wassom, D.L.; Steinmuller, D. Cytotoxic properties of the eosinophil major basic protein. J. Immunol. 1979, 123, 2925–2927. [Google Scholar] [CrossRef]
- Goswami, P.K. Local subcutaneous eosinophil leukocytic reaction to the inoculation of isolated normal or tumour cells in mice. Br. J. Cancer 1964, 18, 692–700. [Google Scholar] [CrossRef]
- Tepper, R.I.; Pttengale, P.K.; Leder, P. Murine interleukin 4 displays potent anti-tumor activity in vivo. Cell 1989, 57, 503–514. [Google Scholar] [CrossRef]
- Gatault, S.; Legrand, F.; Delbeke, M.; Loiseau, S.; Capron, M. Involvement of eosinophils in the anti-tumor response. Cancer Immunol. Immunother. 2012, 61, 1527–1534. [Google Scholar] [CrossRef] [PubMed]
- Kuper, H.; Adami, H.O.; Trichopoulos, D. Infections as a major preventable cause of human cancer. J. Intern. Med. 2000, 248, 171–183. [Google Scholar] [CrossRef] [PubMed]
- Ono, Y.; Ozawa, M.; Tamura, Y.; Suzuki, T.; Suzuki, K.; Kurokawa, K.; Fukabori, Y.; Yamanaka, H. Tumor-associated tissue eosinophilia of penile cancer. Int. J. Urol. 2002, 9, 82–87. [Google Scholar] [CrossRef] [PubMed]
- Alrawi, S.J.; Tan, D.; Stoler, D.L.; Dayton, M.; Anderson, G.R.; Mojica, P.; Douglas, W.; Hicks, W., Jr.; Rigual, N.; Loree, T. Tissue eosinophilic infiltration: A useful marker for assessing stromal invasion, survival and locoregional recurrence in head and neck squamous neoplasia. Cancer J. 2005, 11, 217–225. [Google Scholar] [CrossRef] [PubMed]
- Said, M.; Wiseman, S.; Yang, J.; Alrawi, S.; Douglas, W.; Cheney, R.; Hicks, W.; Rigual, N.; Loree, T.; Spiegel, G.; et al. Tissue eosinophilia: A morphologic marker for assessing stromal invasion in laryngeal squamous neoplasms. BMC Clin. Pathol. 2005, 5, 1. [Google Scholar] [CrossRef] [PubMed]
- Oliveira, D.T.; Biassi, T.P.; Faustino, S.E.; Carvalho, A.L.; Landman, G.; Kowalski, L.P. Eosinophils may predict occult lymph node metastasis in early oral cancer. Clin. Oral Investig. 2012, 16, 1523–1528. [Google Scholar] [CrossRef] [PubMed]
- Xie, F.; Liu, L.B.; Shang, W.Q.; Chang, K.K.; Meng, Y.H.; Mei, J.; Yu, J.J.; Li, D.J.; Li, M.Q. The infiltration and functional regulation of eosinophils induced by TSLP promote the proliferation of cervical cancer cell. Cancer Lett. 2015, 364, 106–117. [Google Scholar] [CrossRef]
- Popov, H.; Donev, I.S.; Ghenev, P. Quantitative Analysis of Tumor-associated Tissue Eosinophilia in Recurring Bladder Cancer. Cureus 2018, 10, e3279. [Google Scholar] [CrossRef]
- Elishmereni, M.; Bachelet, I.; Ben-Efraim, A.H.N.; Mankuta, D.; Levi- Schaffer, F. Interacting mast cells and eosinophils acquire an enhanced activation state in vitro. Allergy 2013, 68, 171–179. [Google Scholar] [CrossRef]
- Restucci, B.; Papparella, S.; Maiolino, P.; De Vico, G. Expression of vascular endothelial growth factor in canine mammary tumors. Vet. Pathol. 2002, 39, 488–493. [Google Scholar] [CrossRef]
- Wergin, M.C.; Kaser-Hotz, B. Plasma vascular endothelial growth factor (VEGF) measured in seventy dogs with spontaneously occurring tumours. In Vivo 2004, 18, 15–19. [Google Scholar]
- Wergin, M.C.; Ballmer-Hofer, K.; Roos, M.; Achermann, R.E.; Inteeworn, N.; Akens, M.K.; Blattmann, H.; Kaser-Hotz, B. Preliminary study of plasma vascular endothelial growth factor (VEGF) during low- and high-dose radiation therapy of dogs with spontaneous tumors. Vet. Radiol. Ultrasound. 2004, 45, 247–254. [Google Scholar] [CrossRef]
- Restucci, B.; Borzacchiello, G.; Maiolino, P.; Martano, M.; Paciello, O.; Papparella, S. Expression of vascular endothelial growth factor receptor Flk-1 in canine mammary tumours. J. Comp. Pathol. 2004, 130, 99–104. [Google Scholar] [CrossRef] [PubMed]
- Millanta, F.; Silvestri, G.; Vaselli, C.; Citi, S.; Pisani, G.; Lorenzi, D.; Poli, A. The role of vascular endothelial growth factor and its receptor Flk-1/KDR in promoting tumour angiogenesis in feline and canine mammary carcinomas: A preliminary study of autocrine and paracrine loops. Res. Vet. Sci. 2006, 81, 350–357. [Google Scholar] [CrossRef] [PubMed]
- Haine, D.L.; Pittaway, R.; Berlato, D.; Demetriou, J. Incomplete histological margins following planned narrow excision of canine appendicular soft tissue sarcomas and mast cell tumors, using the residual tumor classification scheme. Vet. Surg. 2022, 51, 1078–1086. [Google Scholar] [CrossRef]
- Patnaik, A.K.; Ehler, W.J.; MacEwen, E.G. Canine cutaneous mast cell tumour: Morphologic grading and survival time in 83 dogs. Vet. Pathol. 1984, 21, 469–474. [Google Scholar] [CrossRef]
- Kiupel, M.; Webster, J.D.; Bailey, K.L.; Best, S.; DeLay, J.; Detrisac, C.J.; Fitzgerald, S.D.; Gamble, D.; Ginn, P.E.; Goldschmidt, M.H.; et al. Proposal of a 2-tier histologic grading system for canine cutaneous mast cell tumors to more accurately predict biological behavior. Vet. Pathol. 2011, 48, 147–155. [Google Scholar] [CrossRef] [PubMed]
- Goldsmith, M.M.; Belchis, D.A.; Cresson, D.H.; Merritt, W.D.; Askin, F.B. The importance of the eosinophil in head and neck cancer. Otolaryngol. Head Neck Surg. 1992, 106, 27–33. [Google Scholar] [CrossRef]
- Webster, J.D.; Yuzbasiyan-Gurkan, V.; Miller, R.A.; Kaneene, J.B.; Kiupel, M. Cellular proliferation in canine cutaneous mast cell tumors: Associations with c-KIT and its role in prognostication. Vet Pathol. 2007, 44, 298–308. [Google Scholar] [CrossRef] [PubMed]
- Kiupel, M.; Webster, J.D.; Kaneene, J.B.; Miller, R.; Yuzbasiyan- Gurkan, V. The Use of KIT and Tryptase Expression Patterns as Prognostic Tools for Canine Cutaneous Mast Cell Tumors. Vet. Pathol. 2004, 41, 371–377. [Google Scholar] [CrossRef]
- Lewis, J.S.; Landers, R.J.; Underwood, J.C.; Harris, A.L.; Lewis, C.E. Expression of vascular endothelial growth factor by macrophages is up-regulated in poorly vascularized areas of breast carcinomas. J. Pathol. 2000, 192, 150–158. [Google Scholar] [CrossRef]
- Thamm, D.H.; Avery, A.C.; Berlato, D.; Bulman-Fleming, J.; Clifford, C.A.; Hershey, A.E.; Intile, J.L.; Jones, P.D.; Kamstock, D.A.; Liptak, J.M.; et al. Prognostic and predictive significance of KIT protein expression and c-kit gene mutation in canine cutaneous mast cell tumours: A consensus of the Oncology-Pathology Working Group. Vet. Comp. Oncol. 2019, 17, 451–455. [Google Scholar] [CrossRef]
- Kiupel, M.; Webster, J.D.; Miller, R.A.; Kaneene, J.B. Impact of tumour depth, tumour location and multiple synchronous masses on the prognosis of canine cutaneous mast cell tumours. J. Vet. Med. Ser. A 2005, 52, 280–286. [Google Scholar] [CrossRef]
- O’Connell, K.; Thomson, M. Evaluation of prognostic indicators in dogs with multiple, simultaneously occurring cutaneous mast cell tumours: 63 cases. Vet. Comp. Oncol. 2011, 11, 51–62. [Google Scholar] [CrossRef]
- Bellamy, E.; Berlato, D. Canine cutaneous and subcutaneous mast cell tumours: A narrative review. J. Small Anim. Pract. 2022, 63, 497–511. [Google Scholar] [CrossRef]
- Oliveira, M.T.; Campos, M.; Lamego, L.; Magalhães, D.; Menezes, R.; Oliveira, R.; Patanita, F.; Ferreira, D.A. Canine and Feline Cutaneous Mast Cell Tumor: A Comprehensive Review of Treatments and Outcomes. Top. Companion Anim. Med. 2020, 41, 100472. [Google Scholar] [CrossRef]
- Thamm, D.H. Miscellaneous tumors: Hemangiosarcoma. In Withrow and MacEwen’s Small Animal Clinical Oncology, 5th ed.; Withrow, S.J., Vail, D.M., Page, R.L., Eds.; Elsevier Saunders: St. Louis, MI, USA, 2013; pp. 679–688. [Google Scholar]
- Meuten, D.J. Tumors in Domestic Animals; John Wiley & Sons: Hoboken, NJ, USA, 2020; p. 1008. [Google Scholar]
- Stefanello, D.; Buracco, P.; Sabattini, S.; Finotello, R.; Giudice, C.; Grieco, V.; Iussich, S.; Tursi, M.; Scase, T.; Di Palma, S.; et al. Comparison of 2- and 3-category histologic grading systems for predicting the presence of metastasis at the time of initial evaluation in dogs with cutaneous mast cell tumors: 386 cases (2009–2014). J. Am. Vet. Med. Assoc. 2015, 246, 765–769. [Google Scholar] [CrossRef]
- Berlato, D.; Bulman-Fleming, J.; Clifford, C.A.; Garrett, L.; Intile, J.; Jones, P.; Kamstock, D.A.; Liptak, J.M.; Pavuk, A.; Powell, R.; et al. Value, Limitations, and Recommendations for Grading of Canine Cutaneous Mast Cell Tumors: A Consensus of the Oncology-Pathology Working Group. Vet. Pathol. 2021, 58, 858–863. [Google Scholar] [CrossRef]
- Murphy, S.; Sparkes, A.H.; Smith, K.C.; Blunden, A.S.; Brearley, M.J. Relationships between the histological grade of cutaneous mast cell tumours in dogs, their survival and the efficacy of surgical resection. Vet. Rec. 2004, 154, 743–746. [Google Scholar] [CrossRef]
- Sabattini, S.; Scarpa, F.; Berlato, D.; Bettini, G. Histologic grading of canine mast cell tumor: Is 2 better than 3? Vet. Pathol. 2015, 52, 70–73. [Google Scholar] [CrossRef]
- Horta, R.S.; Lavalle, G.E.; Monteiro, L.N.; Souza, M.C.C.; Cassali, G.D.; Araújo, R.B. Assessment of Canine Mast Cell Tumor Mortality Risk Based on Clinical, Histologic, Immunohistochemical, and Molecular Features. Vet. Pathol. 2018, 55, 212–223. [Google Scholar] [CrossRef]
- Freytag, J.O.; Queiroz, M.R.; Govoni, V.M.; Pereira, I.V.A.; Pulz, L.H.; de Francisco Strefezzi, R.; Queiroga, F.L.; Cogliati, B. Prognostic value of immunohistochemical markers in canine cutaneous mast cell tumours: A systematic review and meta-analysis. Vet. Comp. Oncol. 2021, 19, 529–540. [Google Scholar] [CrossRef]
- Preziosi, R.; Morini, M.; Sarli, G. Expression of the KIT protein (CD117) in primary cutaneous mast cell tumors of the dog. J. Vet. Diagn. Investig. 2004, 16, 554–561. [Google Scholar] [CrossRef]
- Gil da Costa, R.M.; Matos, E.; Rema, A.; Lopes, C.; Pires, M.A.; Gärtner, F. CD117 immunoexpression in canine mast cell tumours: Correlations with pathological variables and proliferation markers. BMC Vet. Res. 2007, 3, 19. [Google Scholar] [CrossRef]
- Gerber, H.P.; Ferrara, N. The role of VEGF in normal and neoplastic hematopoiesis. J. Mol. Med. 2003, 81, 20–31. [Google Scholar] [CrossRef]
- Boesiger, J.; Tsai, M.; Maurer, M.; Yamaguchi, M.; Brown, L.F.; Claffey, K.P.; Dvorak, H.F.; Galli, S.J. Mast cells can secrete vascular permeability factor/vascular endothelial cell growth factor and exhibit enhanced release after immunoglobulin E-dependent upregulation of fc epsilon receptor I expression. J. Exp. Med. 1998, 188, 1135–1145. [Google Scholar] [CrossRef]
- Artuc, M.; Hermes, B.; Steckelings, U.M.; Grutzkau, A.; Henz, B.M. Mast cells and their mediators in cutaneous wound healing—Active participants or innocent bystanders? Exp. Dermatol. 1999, 8, 1–16. [Google Scholar] [CrossRef]
- Szukiewicz, D.; Gujski, M.; Maslinska, D.; Szewczyk, G.; Bachanek, M.; Maslinski, S. Mast cell-derived VEGF and VEGF receptor type 1, 2, and 3 expression in human term trophoblast culture—Influence of hypoxia. Inflamm. Res. 2005, 54, S82–S83. [Google Scholar] [CrossRef]
- Shaik-Dasthagirisaheb, Y.B.; Varvara, G.; Murmura, G.; Saggini, A.; Potalivo, G.; Caraffa, A.; Antinolfi, P.; Tete, S.; Tripodi, D.; Conti, F.; et al. Vascular endothelial growth factor (VEGF), mast cells and inflammation. Int. J. Immunopathol. Pharmacol. 2013, 26, 327–335. [Google Scholar] [CrossRef]
- Sammarco, G.; Varricchi, G.; Ferraro, V.; Ammendola, M.; De Fazio, M.; Altomare, D.F.; Luposella, M.; Maltese, L.; Currò, G.; Marone, G.; et al. Mast Cells, Angiogenesis and Lymphangiogenesis in Human Gastric Cancer. Int. J. Mol. Sci. 2019, 20, 2106. [Google Scholar] [CrossRef]
- Rebuzzi, L.; Willmann, M.; Sonneck, K.; Gleixner, K.V.; Florian, S.; Kondo, R.; Mayerhofer, M.; Vales, A.; Gruze, A.; Pickl, W.F.; et al. Detection of vascular endothelial growth factor (VEGF) and VEGF receptors Flt-1 and KDR in canine mastocytoma cells. Vet. Immunol. Immunopathol. 2007, 115, 320–333. [Google Scholar] [CrossRef]
- Amorim, R.L.; Pinczowski, P.; Neto, R.T.; Rahal, S.C. Immunohistochemical evaluation of prostaglandin E2 and vascular endothelial growth factor in canine cutaneous mast cell tumours. Vet. Comp. Oncol. 2010, 8, 23–27. [Google Scholar] [CrossRef]
- Diny, N.L.; Rose, N.R.; Čiháková, D. Eosinophils in Autoimmune Diseases. Front. Immunol. 2017, 27, 484. [Google Scholar] [CrossRef]
- Reichman, H.; Karo-Atar, D.; Munitz, A. Emerging roles for eosinophils in the tumor microenvironment. Trends in Cancer. 2016, 2, 664–675. [Google Scholar] [CrossRef]
- Choudhary, N.; Sarode, G.S.; Yuwanati, M.; Maniyar, N.; Sarode, S.C.; Gadbail, A.R.; Gondivkar, S.; Patil, S. Tumor associated tissue eosinophilia in oral squamous cell carcinoma: A systematic review and meta-analysis. J. Oral Biol. Craniofac. Res. 2021, 11, 33–39. [Google Scholar] [CrossRef]
- Mascitti, M.; Togni, L.; Rubini, C.; Troiano, G.; Lo Muzio, L.; Santarelli, A. Tumour-associated tissue eosinophilia (TATE) in oral squamous cell carcinoma: A comprehensive review. Histol. Histopathol. 2021, 36, 113–122. [Google Scholar] [CrossRef]
- Etit, D.; Yardım, B.G.; Arslanoğlu, S.; Bayol, U.; Cukurova, I.; Oztürkcan, S.; Korkmaz, N.Ş. Tumor-associated tissue eosinophilia as a prognostic factor in squamous cell carcinoma of the larynx. Indian J. Otolaryngol. Head Neck Surg. 2014, 66, 186–190. [Google Scholar] [CrossRef]
- Ishibashi, S.; Ohashi, Y.; Suzuki, T.; Miyazaki, S.; Moriya, T.; Satomi, S.; Sasano, H. Tumor-associated tissue eosinophilia in human esophageal squamous cell carcinoma. Anticancer Res. 2006, 26, 1419–1424. [Google Scholar]
- Saraiva, A.L.; Carneiro, F. New Insights Into the Role of Tissue Eosinophils in the Progression of Colorectal Cancer: A Literature Review. Acta Med. Port. 2018, 31, 329–337. [Google Scholar] [CrossRef]
- Merlin, M.; Hanly, M.G. Cervical carcinoma demonstrating tumor-associated tissue eosinophilia: A clinicopathological study of 17 patients. J. Low. Genit. Tract Dis. 1999, 3, 250–253. [Google Scholar] [CrossRef]
- Caruso, R.; Irato, E.; Rigoli, L. Eosinophil exocytosis in a poorly differentiated tubular gastric adenocarcinoma: Case report. Ultrastruct. Pathol. 2022, 46, 139–146. [Google Scholar] [CrossRef]
- Xiang, Y.; Yao, H.; Wang, S.; Hong, M.; He, J.; Cao, S.; Min, H.; Song, E.; Guo, X. Prognostic value of Survivin and Livin in nasopharyngeal carcinoma. Laryngoscope 2006, 116, 126–130. [Google Scholar] [CrossRef] [PubMed]
- Hollander, P.; Rostgaard, K.; Smedby, K.E.; Molin, D.; Loskog, A.; de Nully Brown, P.; Enblad, G.; Amini, R.M.; Hjalgrim, H.; Glimelius, I. An anergic immune signature in the tumor microenvironment of classical Hodgkin lymphoma is associated with inferior outcome. Eur. J. Haematol. 2018, 100, 88–97. [Google Scholar] [CrossRef] [PubMed]
- Galdiero, M.R.; Varricchi, G.; Seaf, M.; Marone, G.; Levi-Schaffer, F.; Marone, G. Bidirectional Mast Cell-Eosinophil Interactions in Inflammatory Disorders and Cancer. Front. Med. 2017, 4, 103. [Google Scholar] [CrossRef]
- van Kempen, L.C.; Ruiter, D.J.; van Muijen, G.N.; Coussens, L.M. The tumor microenvironment: A critical determinant of neoplastic evolution. Eur. J. Cell Biol. 2003, 82, 539–548. [Google Scholar] [CrossRef]
- Wasserman, S.I.; Goetzl, E.J.; Ellman, L.; Austen, K.F. Tumor-associated eosinophilotactic factor. N. Engl. J. Med. 1974, 21, 420–424. [Google Scholar] [CrossRef]
- Sugihara, R.; Kumamoto, T.; Ito, T.; Ueyama, H.; Toyoshima, I.; Tsuda, T. Human muscle protein degradation in vitro by eosinophil cationic protein (ECP). Muscle Nerve 2001, 24, 1627–1634. [Google Scholar] [CrossRef]
- Murdoch, C.; Muthana, M.; Coffelt, S.B.; Lewis, C.E. The role of myeloid cells in the promotion of tumour angiogenesis. Nat. Rev. Cancer. 2008, 8, 618–631. [Google Scholar] [CrossRef]
- Martinelli-Kläy, C.P.; Mendis, B.R.; Lombardi, T. Eosinophils and oral squamous cell carcinoma: A short review. J. Oncol. 2009, 2009, 310132. [Google Scholar] [CrossRef]
- Jacobsen, E.A.; Helmers, R.A.; Lee, J.J.; Lee, N.A. The expanding role(s) of eosinophils in health and disease. Blood 2012, 120, 3882–3890. [Google Scholar] [CrossRef]
- Rakesh, N.; Devi, Y.; Majumdar, K.; Reddy, S.S.; Agarwal, K. Tumour associated tissue eosinophilia as a predictor of locoregional recurrence in oral squamous cell carcinoma. J. Clin. Exp. Dent. 2015, 7, e1–e6. [Google Scholar] [CrossRef]
- Worley, D.R. Incorporation of sentinel lymph node mapping in dogs with mast cell tumours: 20 consecutive procedures. Vet. Comp. Oncol. 2014, 12, 215–226. [Google Scholar] [CrossRef] [PubMed]
- Manfredi, M.; De Zani, D.; Chiti, L.E.; Ferrari, R.; Stefanello, D.; Giudice, C.; Pettinato, V.; Longo, M.; Di Giancamillo, M.; Zani, D.D. Preoperative planar lymphoscintigraphy allows for sentinel lymph node detection in 51 dogs improving staging accuracy: Feasibility and pitfalls. Vet. Radiol. Ultrasound 2021, 62, 602–609. [Google Scholar] [CrossRef] [PubMed]


| (a)—Breeds | |
| Boxer | 19 |
| Mixed breed | 15 |
| Labrador Retriever | 10 |
| English Setter | 6 |
| Argentine Dogo | 5 |
| Pug | 5 |
| Jack Russell | 3 |
| Corsican | 3 |
| Beagle | 2 |
| German Hound | 2 |
| Bull Mastiff | 2 |
| French Bulldogs | 2 |
| Golden Retrievers | 2 |
| Scottish Shepherd Dogs | 2 |
| Springer Spaniel | 2 |
| Yorkshire terrier | 2 |
| Single dogs grouped (Border collie, Chihuahua, Pincher, Rottweiler, Italian Hound) | 5 |
| (b)—Tumor Site | |
| Trunk | 34 |
| Limbs | 31 |
| Head | 9 |
| Inguinal-genital | 8 |
| Neck | 3 |
| Tail | 2 |
| Variable | Categories/Classification | n° and % of MCTs | Total n° of MCTs | |
|---|---|---|---|---|
| Modified TATE | ||||
| Score 1 | 22 | 25.3% | 87 | |
| Score 2 | 42 | 48.3% | ||
| Score 3 | 23 | 26.4% | ||
| Ki-67 expression | ||||
| 4 groups | ||||
| 1 | 15 | 17.2% | 87 | |
| 2 | 22 | 25.3% | ||
| 3 | 20 | 23.0% | ||
| 4 | 30 | 34.5% | ||
| 3 groups | ||||
| 1 | 15 | 17.2% | 87 | |
| 2 | 42 | 48.3% | ||
| 3 | 30 | 34.5% | ||
| KIT expression | ||||
| Pattern 1 | 17 | 19.5% | 87 | |
| Pattern 2 | 55 | 63.2% | ||
| Pattern 3 | 15 | 17.2% | ||
| VEGF expression | ||||
| tertiles | ||||
| 1° tertiles | 52 | 72.2% | 72 | |
| 2° tertiles | 15 | 20,8% | ||
| 3° tertiles | 5 | 6.9% | ||
| cut-off value | ||||
| ≤5% | 41 | 56.9% | 72 | |
| >5 | 31 | 43.1% | ||
| Patnaik grading | ||||
| 1 | 12 | 13.8% | 87 | |
| 2 | 62 | 71.3% | ||
| 3 | 13 | 14.9% | ||
| Kiupel grading | ||||
| Low grade | 67 | 77.0% | 87 | |
| High grade | 20 | 23.0% | ||
| Recurrence | ||||
| Yes | 12 | 19.0% | 63 | |
| No | 51 | 81.0% | ||
| Modified TATE | VEGF (2 Categories) | VEGF (3 Categories) | |
|---|---|---|---|
| Variable | p-Value | p-Value | p-Value |
| KIT expression | 0.015 | 0.185 | 0.033 |
| Ki-67 expression (3 groups) | 0.786 | 0.932 | 0.704 |
| Ki-67 expression (4 groups) | 0.809 | 0.986 | 0.588 |
| VEGF (cut-off value 5%) | 0.250 | // | // |
| VEGF (tertiles) | 0.445 | // | // |
| Patnaik grading | 0.041 | 0.177 | 0.986 |
| Kiupel grading | 0.022 | 0.019 | 0.896 |
| Recurrence | 0.000 | 0.104 | 0.433 |
Disclaimer/Publisher’s Note: The statements, opinions and data contained in all publications are solely those of the individual author(s) and contributor(s) and not of MDPI and/or the editor(s). MDPI and/or the editor(s) disclaim responsibility for any injury to people or property resulting from any ideas, methods, instructions or products referred to in the content. |
© 2023 by the authors. Licensee MDPI, Basel, Switzerland. This article is an open access article distributed under the terms and conditions of the Creative Commons Attribution (CC BY) license (https://creativecommons.org/licenses/by/4.0/).
Share and Cite
Galietta, V.; Parisi, F.; Cocumelli, C.; Pierini, A.; Poli, A.; Scaramozzino, P.; Spallucci, V.; Millanta, F. Preliminary Assessment of Tumor-Associated Tissue Eosinophilia (TATE) in Canine Mast Cell Tumors: Prevalence and Prognostic Relevance and Its Association with Neoangiogenesis. Animals 2023, 13, 283. https://doi.org/10.3390/ani13020283
Galietta V, Parisi F, Cocumelli C, Pierini A, Poli A, Scaramozzino P, Spallucci V, Millanta F. Preliminary Assessment of Tumor-Associated Tissue Eosinophilia (TATE) in Canine Mast Cell Tumors: Prevalence and Prognostic Relevance and Its Association with Neoangiogenesis. Animals. 2023; 13(2):283. https://doi.org/10.3390/ani13020283
Chicago/Turabian StyleGalietta, Valentina, Francesca Parisi, Cristiano Cocumelli, Alessio Pierini, Alessandro Poli, Paola Scaramozzino, Valentina Spallucci, and Francesca Millanta. 2023. "Preliminary Assessment of Tumor-Associated Tissue Eosinophilia (TATE) in Canine Mast Cell Tumors: Prevalence and Prognostic Relevance and Its Association with Neoangiogenesis" Animals 13, no. 2: 283. https://doi.org/10.3390/ani13020283
APA StyleGalietta, V., Parisi, F., Cocumelli, C., Pierini, A., Poli, A., Scaramozzino, P., Spallucci, V., & Millanta, F. (2023). Preliminary Assessment of Tumor-Associated Tissue Eosinophilia (TATE) in Canine Mast Cell Tumors: Prevalence and Prognostic Relevance and Its Association with Neoangiogenesis. Animals, 13(2), 283. https://doi.org/10.3390/ani13020283

