Simple Summary
Several life-history traits of Mediterranean sperm whales are little explored. We present new original data on the relationships between age and body length and age at maturity of individuals stranded along the Italian coast. We found that Mediterranean male sperm whales attain sexual maturity at 10 years and for the same body length class are older than Atlantic ones. Our finding of a Mediterranean pregnant female of only 6.5 m of body length and an assessed age of 24–26 years is particularly noteworthy, as the females of this species reach sexual maturity at about 9 meters total length and 9 years of age in other marine areas. Two different hypotheses can be advanced to explain this difference in size, based on either ecological or genetic factors. The first is based on a lesser energy intake of Mediterranean individuals compared to Atlantic ones, mostly due to a smaller prey size and less trophic conditions. The second hypothesis concerns a low genetic diversity and mating among closely related individuals. Considering its low genetic diversity, the Mediterranean sperm whale population should be the target of focused conservation efforts as it might be relatively less responsive to environmental changes.
Abstract
We investigated the relationship between age and body length, and age at sexual maturity of Physeter macrocephalus individuals stranded along the Italian coast. Our molecular analysis shows that all our samples belong to the C.001.002 haplotype, shared between Atlantic and Mediterranean populations. We show that males attain sexual maturity at 10 years, similar to those from other marine areas. However, considering the same body length class, Mediterranean males are older than Atlantic ones. Our finding of a Mediterranean pregnant female of only 6.5 m in length and an assessed age of 24–26 years is particularly noteworthy, considering that females reach sexual maturity at about 9 years and 9 m of total length in other regions. Comparing our results with the literature data, we highlight the positive correlation between lifespan, adult body length and weight of males from the Mediterranean and Atlantic Ocean. Regardless of whether the relatively small size of Mediterranean specimens is a consequence of an inbreeding depression or an adaptation to less favorable trophic conditions, we recommend to closely monitor this population from a conservation perspective. In fact, its low genetic diversity likely corresponds to a relatively limited ability to respond to environmental changes compared with other populations.
1. Introduction
The sperm whale, Physeter macrocephalus Linnaeus, 1758, is an odontocete cetacean having one of the widest global distributions among marine mammal species. It is found in all deep ocean waters, from the equator to Arctic and Antarctic regions (downloaded on 18 June 2022 from https://www.fisheries.noaa.gov/species/sperm-whale). In the Mediterranean Sea, P. macrocephalus is considered a regular inhabitant, but is much more abundant in the Western Basin than in the Eastern one [1,2,3,4,5,6]. Concerning the waters surrounding the Italian coasts, this species is more often found in the Tyrrhenian Sea (especially in the Ligurian Sea and west of Corsica and Sardinia) and in the Ionian Sea (especially along the Hellenic Trench), while it is less frequently observed in the Adriatic Sea where the habitat is less favourable [3,7].
The sperm whale is the largest of the toothed whales, with males reaching up to 21 m in length [8]. It is a typical K-selected species, with a biological cycle associated with stable environmental conditions, a slow attainment of sexual maturity (typically 10–13 years, exceptionally 7 years in females, 18–21 years in males, high longevity (up to 80 years) [9,10,11,12], few offspring (the female is able to give birth to a single calf every 4–5 years, and subsequently might be expected to produce only 4–5 offspring throughout her lifetime), and high amount of parental care (lactation period lasts about 2 years, sometimes up to 5 years, and follows a gestation period of 14–16 months) [10].
Most of the knowledge on the biology of this species comes from studies on animals inhabiting the waters of the Pacific [11,12,13,14], Atlantic [15,16] and Indian ocean [9,10,17]. By contrast, the Mediterranean sperm whales are still poorly known and information on several aspects of their life-history traits, including body growth rate and age at sexual maturity, is scarce and limited to a few studies [7,18,19]. The acquisition of such knowledge is even more important considering that the Mediterranean sperm whale population shows a very low genetic variability compared to individuals from the Atlantic [20]. This is probably due to a recent population expansion and the diffusion in the Mediterranean Basin of a single matriline during the last glacial maximum (LGM, about 20,000 years ago) [21]. Similar to other cetacean species, dead sperm whales are also found stranded along the Italian coast and may provide valuable samples to elucidate many aspects of the biology of the species in the Mediterranean Sea [22].
Here, we used a multidisciplinary approach combining molecular, morphological and statistical analyses as integrative methodologies are better suited to describe different life history traits and their possible correlations [23,24,25,26,27].
In particular, this study was conducted on Mediterranean sperm whales stranded along Italian coasts in order to: (i) establish their putative geographic origin based on mitochondrial DNA (mtDNA) haplotypes; (ii) estimate the individual age by counting the growth layer groups (GLGs) in the teeth; (iii) analyse the age-length relationship; (iv) estimate the age at sexual maturity by matching individual age assessed by GLGs count and reproductive status.
2. Materials and Methods
2.1. Study Sample
Sperm whale samples used in this study (n = 16) and the relative data on their stranding place, date, sex, and total body length of the animals are listed in Table 1.
Table 1.
Specimens of P. macrocephalus used in this study. F: female; Juv: juvenile; M: male; TBL: total body length.
2.2. Genetic Analysis
Samples of muscle tissue from ten P. macrocephalus individuals (2330A, 549, 400, 154159, 456, 45486, 463, 465, 466, 467) (Table 1) were collected from the MMTB and stored in 70% ethanol until genetic analyses were performed. DNA was extracted using a standard phenol/chloroform protocol [28]. The quantity and purity of the extracted DNA were determined with a NanoDrop-ND1000 spectrophotometer (NanoDrop Technologies, Inc., Wilmington, DE, USA)).
A fragment of the mitochondrial DNA control region (mtDNA CR), comprising the 619 bp sequence previously obtained by Alexander et al. [20]) was amplified by polymerase chain reaction (PCR) using a primer pairs (PmCR_F: 5′-GCACCCAAAGCTGAAATTCT-3′, PmCR_R: 5′-ACACACAGGTCCGGCTAAGA-3′) specifically designed on Primer3Plus software [29]. PCR amplifications were carried out in a reaction volume of 25 μL containing 5 μL of 5× MyTaq™ Reaction Buffer (BioLine, London, UK), 2.5 μL of F + R primer solution [5 μM], 0.3 μL of MyTaq™ DNA Polymerase (BioLine), 3 μL of DNA template [~40 ng/μL] and 14.2 μL of ddH2O. The thermal cycle profile consisted of an initial denaturation at 95 °C for 5 min followed by 30 cycles of denaturation at 95 °C for 45 s, annealing at 55 °C for 45 s, extension at 72 °C for 90 s, and a final extension step at 72 °C for 7 min. The amplification success was checked on a 2% agarose gel stained with GelRed™ (Biotium) and PCR products were sent to the BMR Genomics (Padova, Italy), where they were purified by exoSAP-IT™ (USB Corp., Cleveland, OH, USA) and Sanger sequenced in both directions on an ABIPRISM 3730XL automated sequencer (Applied Biosystems, Tokyo, Japan).
All mtDNA CR sequences obtained from our samples (619 bp) were aligned using ClustalW with those of the 52 haplotypes already known for P. macrocephalus (GenBank Accession numbers KU719571-KU719622) and combined in Alexander et al. [20]. The alignment was verified on BioEdit [30] and diagnostic sites were identified to assign our sequences to a specific haplotype, and consequently to a geographic region, on the basis of information obtained from the literature about the worldwide distribution of mtDNA diversity in P. macrocephalus [20,31,32,33]. In order to allow the comparison of our sequences with those of haplotypes already found in Mediterranean individuals, only the first 394 bp of the mtDNA CR were actually considered [20,32]
2.3. Age Determination
Mandibular teeth of eight specimens (GP-1, 549, 400, 154159, 456, 45486, 465, 12988 (Table 1) were used for age estimation. Of three specimens (172, 173 and 174), the age was already assessed by Mazzariol et al. [7] while the teeth of the remaining five specimens were not available in tissue banks. Teeth were processed according to Evans and Robertson [34]. Namely, each tooth was bisected along the sagittal plane using a low-speed diamond metallographic saw. The cut surface of both halves of each tooth was polished by hand using a wet fine-grade sandpaper (150 and 320 grit). Both halves were then placed in a bath of 15% formic acid, with the cut and polished surface down, at room temperature until a clear and complete etched surface was produced (at least three hours). Afterward, each tooth half was placed under running tap water (3 min), then removed and placed in a bath of acetone (3 min); the last two steps was repeated several times until the GLGs were clearly visible. The etched surface of each tooth was then examined using a Leica EZ4 stereo microscope (Leica Microsystems GmbH, Wetzlar, Germany) under reflected light and equipped with a digital camera. Different portions of tooth sections were acquired at high magnification by a digital camera and successively stitched together into a single image using the free download program AutoStitch64. The count of GLGs was performed independently by two researchers (FMG and NM) and without prior knowledge of the total length and sex of the specimens. In the case of discrepancies in the GLG count, the etched surface of the tooth was read again until a final consensus was reached [35,36].
2.4. Reproductive Status and Sexual Maturity
Testis samples of five specimens (172, 173, 174, 456, 45486) (Table 1) were available for evaluating the state of maturity of the males. Small pieces of testis were fixed in neutral buffered formalin and embedded in paraffin following standard protocols. They were then sectioned at 7 μm thick using a semi-automated rotary microtome. The sections were stained with Mallory Trichrome (Bioptica, Milano, Italy) and observed under a Motic BA340 light microscope (Motic Deutschland GmbH, Wetzlar, Germany) equipped with a digital camera. The presence of different germ cell stages in the seminiferous tubules was assessed and only animals in advanced spermatogenesis, including spermatids and sperms, were considered mature according to Honh et al. [37]. Concerning the reproductive status of females, we considered if they were pregnant or not pregnant, lactating with scalf or not lactating, as ovarian samples were not available.
3. Results
3.1. Genetic Analysis
DNA extraction, amplification and sequencing were successfully performed for all the ten P. macrocephalus individuals sampled. All the sequences obtained were deposited in GenBank (Accession numbers OQ060609–OQ060618)The multiple alignment including our sequences and those of mtDNA CR haplotypes previously described [20] highlights the presence of 34 diagnostic sites and shows that all our samples belong to the C.001.002 haplotype (Table 2).
Table 2.
Result of the alignment of the 619 bp sequences of the mtDNA control region obtained in this work (in grey) and haplotypes classified as “haplotype C” based only on a fragment of 394 bp (region marked by the bold black line). Diagnostic sites shown in this table are those obtained aligning all the haplotypes described so far for P. macrocephalus at global level (see [20]). All sites identical to those in the reference sequence are indicated as full stops.
3.2. Age Estimation and Body Length
The age estimation of animals examined in this study (n = 8) is given in Table 3.
Table 3.
ID number, sex, total body length (TBL) and age of P. macrocephalus specimens examined in this study. ND: undetermined sex.
There was no discordance in GLG counting intra and inter reader with exception of four animals (ID 549, 400, 45486 and 12988) where the presence of accessory layers (see [38]) confounded the GLG reading (Figure 1). The youngest and even the smallest (unsexed) individual (ID 154159, 6.10 m of TBL) was estimated as 3 years old. The oldest and also biggest individual was a male (ID 45486) 12.16 m of TBL, with an estimated age of 40–42 years old. The ID 549 female, 6.50 m of TBL, was a pregnant individual with an estimated age of 24–26 years.
Figure 1.
Representative composite photographs of sperm whale longitudinal, acid-etched, tooth sections. (A) ID 456, male, with number of GLGs estimated as 10. (B) ID 549, female, with number of GLGs estimated as 24–26. The filled circle indicates the start of each GLG. NL: neonatal line. AL: accessory line. Scale bar:1.5 cm in (A) e 1.4 cm in (B).
The relationship between age and TBL in Mediterranean and Atlantic sperm whales is shown in Figure 2, which is based on the original data of the present study combined with available bibliographical data by Mazzariol et al. [7], Borrell et al. [15] and IJsseldijk et al. [16]. Since the female sample was too small, age/TBL relationship was statistically estimated only in males. There was a significant positive correlation between age and body length both in Mediterranean (Pearson’s correlation coefficient r = 0.843, df = 9, p < 0.01) and in Atlantic sperm whales (r = 0.483, df = 23), p < 0.05) but the slope of the regression line was significantly different between Mediterranean and Atlantic animals (F1,29 = 5.26, p = 0.02), indicating that for a given TBL Mediterranean sperm whales were older than Atlantic sperm whales.
Figure 2.
Relationship between age and total body length in Mediterranean (open circle) and Atlantic (filled circle) male sperm whales. Linear regression equations are also showed.
3.3. Reproductive Status
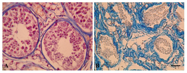
All the testicular samples examined (n = 5) were in a variable state of autolysis with structural alterations due to a poor state of conservation, which interfered with the identification of the spermatogenic stages in some specimens. The animals ID 172, 173, 174, 45486 had seminiferous tubules with a large lumen and a developed epithelium with cellular elements ascribable to stages of advanced spermatogenesis, including spermatids and sperms (Figure 3). For the individual ID 456 it was not possible to interpret the spermatogenic stage.
Figure 3.
Histological sections of testis of P. macrocephalus. (A) ID 174: seminiferous tubules were large with an open lumen and a complex seminiferous epithelium where spermatogonia, spermatocytes and spermatids are recognizable. (B) ID 456: seminiferous tubules were in advanced autolytic state and surrounded by abundant interstitial tissue. Scale bar: 30 µm.
Among the five females examined, three (ID 549, 400 and 463) were pregnant, one (ID 12988) was lactating with calf, and one (ID 465) without evident characteristics about the attainment of sexual maturity.
4. Discussion
In P. macrocephalus, the genetic diversity of the mtDNA CR was described in the Mediterranean Sea mainly using a shorter sequence (394 bp) than the one analysed in this study [20,31,32]. The shorter sequence does not allow to distinguish between C.001.001, C.001.002 and C.002.001 haplotypes, which are therefore defined as a single haplotype called “C” (Table 2). The haplotype C is one of the most common haplotypes described in P. macrocephalus. It was observed in individuals from Atlantic, Indian and Pacific Ocean and, in the Mediterranean Sea, it is the unique haplotype described so far [20,32]. Thus, although the observation of haplotype C does not in itself represent forensic evidence of the Mediterranean origin of the samples examined in this study, the fact that they are all referable to the same haplotype is a typical signature of the Mediterranean sperm whale, as already documented in previous studies (e.g., [7]). This is probably due to a recent population expansion and the diffusion in the Mediterranean Basin of a single matriline during the LGM [21].
In cetaceans, there is a positive correlation between lifespan and adult body length, and adult body weight so that as a rule the largest animals are usually also the oldest [39]. Our study revealed that this correlation is true also for male sperm whales from the Mediterranean Sea and North Atlantic Ocean. Furthermore, we showed that at the same body size class Mediterranean male sperm whales are older than specimens from the Atlantic.
The age and body length at sexual maturity of the Mediterranean male sperm whales from this study (10 years and 10.5 m, respectively) are similar to those reported for this species in the north-western Pacific (9 years and 9.15 m, in Nishiwaki et al. [11]), and in the southwestern Indian Ocean (8–9 years and 10 m, in Best [10]). Regarding the northwestern Atlantic, in the study by Ijsseldik et al. [16] male sperm whales with body length ranging from 9.6 to 14.7 m and age between 10 and 16 years were reported as immature. However, although male sperm whales can produce sperms even when they are 10 m in body length, their fertility potential may be markedly lower than that of larger males [9,10]. Furthermore, as in other odontocetes [40,41], after attaining sexual maturity, male sperm whales typically continue to grow for several years until physical maturity is reached [10] In fact, although a juvenile male is physiologically capable of reproducing, he is rarely able to mate successfully with a female or compete with dominant males until he is older and larger [41]. For female sperm whales, we were not able to analyse the relationship between age and body length due to a small sample size. However, one of the most intriguing results was that a female of just 6.5 m in body length (ID 549) was pregnant and with an estimated age of 22–24 years. To the best of our knowledge, this individual represents the smallest pregnant female of P. macrocephalus recorded so far. In addition, the body length of this pregnant female is markedly smaller than that reported in literature as the minimum body length at sexual maturity for females from other marine areas (about 8,9 m for Pacific Ocean, Nishiwaki et al. [11]; 8–9 m for waters off South African coasts, in Best, [10]. Furthermore, the female ID 549 was much older than female sperm whale of comparable body length inhabiting marine areas different from Mediterranean Sea. Interestingly, the other sexually mature female specimens of sperm whale analysed in this study (ID 12988, 10 m of TBL and 38–40 years old) and those stranded along the Adriatic coast reported in Mazzariol et al. [19] (ID 1, 8.95 m of TBL and 31–32 years old; ID 2, 8.38 m and 21 years old) are also small-sized but quite long-lived when compared to females from other marine areas.
Best et al. [42] shown that there is a strong geographical variation in body size of adult sperm whales and, as a rule, individuals collected in tropical waters are significantly smaller than those in temperate regions. The factors that could produce such diversity in size include a different prey availability, which directly influences energy intakes and growth rates, or even that different populations have differing prey preferences that they occupy different geographical regions. For example, there are indications of declines in the size of individual teuthids from high to low latitudes [43,44], and some data on declining blubber thickness in female sperm whales from high to low latitudes [45]. Concerning the Mediterranean Sea, its oligotrophic condition (e.g. [46]) could explain a lower energy supply of sperm whale prey compared to the Atlantic Ocean, and this might be at the base of the low growth rate compared to larger animals inhabiting the Atlantic Ocean. In fact, in the Mediterranean Sea, the eating habits of the sperm whale are mainly based on the medium-sized cephalopod Histioteuthis bonnellii (e.g., [7,47]), compared to the much bigger Architeuthis whose sporadic presence in the Mediterranean basin has been reported only recently [48]. The "Levantine nanism" in bottlenose dolphins could support this hypothesis. In fact, Eastern Mediterranean dolphins are characterized by a smaller size compared to other Mediterranean populations because the lower primary production of their environment seems to favour an anticipation of the time of sexual maturity, which corresponds to an earlier stunting [49]. However, in our case, the difference in size could be due more to a slower overall growth rate than to an early reaching of sexual maturity. In fact, our data suggest that, at least in males, both the Atlantic and Mediterranean populations reach reproductive maturity substantially at the same body size. On the other hand, the well-known case of the Pacific killer whale [50] strengthens the hypothesis that food quality is the main factor that affects the size of individuals belonging to different populations. Indeed, among the three different-size ecotypes described on the base of habitat and prey preference, the ecotype C includes the smallest individuals eating fish, compared to the larger ecotypes A and B whose alimentation is mainly oriented on large and energy-rich marine mammals.
On the other hand, a different scenario could be suggested to explain the small size of the Mediterranean sperm whale population. Indeed, sperm whales inhabiting the Mediterranean Sea are characterized by low genetic variation (e.g., [7,21]), also confirmed by our data showing the presence of a single mtDNA CR haplotype (C.001.002) for all the examined animals. This is likely the result of a founder event linked to the recent colonization of the Mediterranean Sea, about 20,000 years ago, when a “lost tribe” or an extended “lobe” of the large North Atlantic sperm whale population became isolated in this basin [51]. The limited gene flow through the Strait of Gibraltar [52] and the small population size, where most or all mates are closely related, might have promoted inbreeding and inbreeding depression favouring the segregation of deleterious recessive alleles such as those related to dwarfism (see [53]), as the very small size (only 6.5 m, see above) of a pregnant female strongly suggest. A case very similar to that of Mediterranean sperm whale was described for the Australian pygmy blue whale (Balaenoptera musculus brevicauda), which is characterized by a low genetic variability established in consequence of a founder effect from Antarctic blue whales around the LGM [54]. However, in this case the authors hypothesized that after being founded, the Australian pygmy blue whales became phenotypically (smaller body length) and behaviourally (song type) distinct from Antarctic blue whales. This suggests that the Australian population not only became genetically different through the stochastic processes of genetic drift, but also through natural selection primarily driven by adaptation to the reduced biological productivity of their new habitat [54].
5. Conclusions
We conducted a multidisciplinary study on sperm whales stranded along the Italian coasts in order to increase the knowledge on the poorly known biology of the individuals inhabiting the Mediterranean Basin, as performed also on other species [4,5,55]. Comparing our results with those available from the literature, we highlight the occurrence of a positive correlation between lifespan and adult body length in P. macrocephalus males from the Mediterranean Sea and North Atlantic Ocean. We also showed that males attain sexual maturity at 10 years and for the same body length class Mediterranean male sperm whales are older than Atlantic ones. Our finding of a Mediterranean pregnant female of only 6.5 m of body length and an assessed age of 24–26 years is particularly noteworthy, representing smallest pregnant female of P. macrocephalus recorded so far. Regardless if the small size of Mediterranean sperm whales is a consequence of inbreeding depression or adaptation to the oligotrophic condition of the Mediterranean Basin, it is appropriate to closely monitor this population in a conservation perspective, as the naturally low genetic diversity means they likely have a lower ability to respond to today’s changing environment compared with other sperm whale populations, with the risk of hesitating in an extinction vortex (sensu [56]).
Author Contributions
F.M.G., N.M., V.C.B. conceived the study. F.M.G., L.L., N.M., M.M., T.F., A.S., V.C.B. performed the laboratory analyses. N.M., T.F., L.L., A.P., M.M., B.C., S.M., M.P., G.I., F.P., G.L., I.F., N.Z., F.S., F.G., F.M.G., A.S., V.C.B. contributed to the evaluation of the results obtained. F.M.G., N.M., M.M., T.F., V.C.B. wrote the first version of the manuscript. N.M., T.F., L.L., A.P., M.M., B.C., S.M., M.P., G.I., F.P., G.L., I.F., N.Z., F.S., F.G., F.M.G., A.S., V.C.B., have reviewed and edited the final version of the manuscript. All authors have read and agreed to the published version of the manuscript.
Funding
This research received no external funding.
Institutional Review Board Statement
The researches carried out in this study are part of the activities envisaged in the Memorandum of Understanding between the Università di Napoli Federico II and the Istituto Zooprofilattico Sperimentale del Mezzogiorno (IZPM), Portici (Napoli), ratified by Decree no. 98 of 8 November 2009 of the Regional Council of Campania (Italy) and updated by Decree no. 231 of 15 July 2015, by Decree of the President of the Regional Council of Calabria n. 104 del 29 Luglio 2013, and by the Letter of Intent stipulated between the Dipartimento di Biologia, University of Naples Federico II and the Dipartimento di Biomedicina Comparata e Alimentazione, University of Padua. All the biological samples here analysed, except for ID 2330A and 549, come from authorized necropsies carried out at the various stranding sites by: IZPM Portici (Napoli), IZPM Vibo Valentia, Cetaceans strandings Emergency Response Team (CERT) and Mediterranean Marine Mammal Tissue Bank (BTMM) of the University of Padua. The tissue samples of 2330A were provided from Dipartimento di Medicina Veterinaria, Univ. of Bari (necropsy protocol number: 2330A of 30 September 2014). The tissue sample 549 was provided by Museo della Fauna, Dipartimento di Scienze Veterinarie, University of Messina (protocol number 25/2015). All the Sperm Whale biological samples analysed by us were collected from individuals who died of natural causes from Italian Sea and were provided by the authorized institutes above cited.
Informed Consent Statement
Not applicable, this study does not involve humans.
Data Availability Statement
Newly generated cytogenetic data are available within this manuscript. DNA sequences are available on Genbank (Accession numbers OQ060609–OQ060618).
Acknowledgments
We thank for cooperation and provision of the tessues used in this work: Giuseppe Sciancalepore, Cinzia Centelleghe, Guido Pietroluongo (Dipartimento di Biomedicina Comparata e Alimentazione (BCA), Università degli Studi di Padova, Cetaceans strandings Emergency Response Team (CERT), Mediterranean Marine Mammals Tissue Bank (MMTB); Giuseppe Magaldi (Museo Civico del Torrione, Comune di Forio, Napoli); Istituto Zooprofilattico Sperimentale del Mezzogiorno (IZPM), Portici (Napoli) and Vibo Valentia; Istituto Comprensivo Gino Rossi Vairo, Agropoli (Salerno); Museo della Fauna, Dipartimento di Scienze Veterinarie, Università degli Studi di Messina; Dipartimento di Medicina Veterinaria, Università degli Studi di Bari “Aldo Moro”.
Conflicts of Interest
The authors declare no conflict of interest.
References
- Bearzi, G.; Pierantonio, N.; Affronte, M.; Holcer, D.; Maio, N.; DI Sciara, G.N. Overview of sperm whale Physeter macrocephalus mortality events in the Adriatic Sea, 1555–2009. Mammal Rev. 2011, 41, 276–293. [Google Scholar] [CrossRef]
- Cagnolaro, L.; Cozzi, B.; Notarbartolo di Sciara, G.; Podestà, M. Fauna d’Italia. XLIX–Mammalia IV. Cetacea. Calderini-Edizioni Calderini de il Sole 24 ORE S.p.A.: Bologna, Italy, 2015. [Google Scholar]
- Loy, A.; Aloise, G.; Ancillotto, L.; Angelici, F.M.; Bertolino, S.; Capizzi, D.; Castiglia, R.; Colangelo, P.; Contoli, L.; Scandura, M.; et al. Mammals of Italy: An annotated checklist. Hystrix 2019, 30, 87–106. [Google Scholar] [CrossRef]
- Maio, N.; Giovannotti, M.; Barucchi, V.C.; Petraccioli, A.; Pollaro, F.; Guarino, F.M.; Splendiani, A.; De Stasio, R.; Odierna, G. Haplotype characterization of a young stranded Common Minke Whale (Balaenoptera acutorostrata Lacépède, 1804): Is the MEditerranean Sea a potential calving or nursery ground for the species? Hystrix 2016, 27, 205–208. [Google Scholar] [CrossRef]
- Maio, N.; Pollaro, F.; Gasparro, A.; Petraccioli, A.; Mezzasalma, M.; Guariglia, M.; Galiero, G.; Di Nocera, F.; Iaccarino, D.; Santoro, M.; et al. New record of Dwarf Sperm Whale Kogiasima (Owen, 1866) from the Mediterranean Sea (Cetacea Kogiidae). Biodivers. J. 2017, 8, 947–950. [Google Scholar]
- Maio, N.; Pollaro, F.; Petraccioli, A.; Guarino, F.M. Guida Naturalistica di Campo ai Cetacei delle Acque Costiere del Parco Nazionale del Cilento, Vallo di Diano e Alburni. Biologia, Eco-Logia, Distribuzione e Conservazione. PNCVDA–Quaderni della Biodiversità n; 2022; in press; Volume 5, pp. XXVII + 314. ISBN 9788894503913. [Google Scholar]
- Mazzariol, S.; Di Guardo, G.; Petrella, A.; Marsili, L.; Fossi, C.M.; Leonzio, C.; Zizzo, N.; Vizzini, S.; Gaspari, S.; Pavan, G.; et al. Sometimes sperm whales (Physeter macrocephalus) cannot find their way back to the high seas: A multi-disciplinary study on a mass stranding. PLoS ONE 2011, 6, 19417. [Google Scholar] [CrossRef]
- Tomilin, A.G. 1957. Mammals of the U.S.S.R. and Adjacent Countries. Vol. 9. Cetacea. Izdatel’stvo Akademi Nauk SSSSR, Mosca, 717p; Israel Program for Scientific Translations Ltd.: Jerusalem, Israel, 1967; 756p. [Google Scholar]
- Best, P.B. The sperm whale (Physeter catodon) off the west coast of South Africa. 3. Reproduction in the male. Investig. Rep. Div. Sea Fish. S. Afr. 1969, 72, 1–20. [Google Scholar]
- Best, P.B.; Canham, P.A.S.; Macleod, N. Patterns of reproduction in sperm whales Physeter macrocephalus. Rep. Int. Whal. Comm. 1984, 6, 51–79. [Google Scholar]
- Nishiwaki, M.; Hibiya, T.; Ohsumi, S.K. Age study of sperm whale based on reading of tooth laminations. Rep. Int. Whal. Comm. Spec. 1961, 6, 135–153. [Google Scholar]
- Ohsumi, S. Sexual segregation of the sperm whale in the North Pacific. Sci. Rep. Whales Res. Inst. 1966, 20, 1–16. [Google Scholar]
- Nishiwaki, M.; Hibiya, T. On the Sexual Maturity of the Sperm Whale (Physeter catodon) found in the Adjacent Waters of Japan (I). Sci. Rep. Whales Res. Inst. 1951, 6, 153–166. [Google Scholar]
- Nishiwaki, M.; Hibiya, T.; Hibiya, T. Sexual maturity of the sperm whale found in the adjacent waters of Japan (II). Sci. Rep. Whales Res. Inst. 1952, 7, 121–124. [Google Scholar]
- Borrell, A.; Vacca, A.V.; Pinela, A.M.; Kinze, C.; Lockyer, C.H.; Vighi, M.; Aguilar, A. Stable Isotopes Provide Insight into Population Structure and Segregation in Eastern North Atlantic Sperm Whales. PLoS ONE 2013, 8, e82398. [Google Scholar] [CrossRef] [PubMed]
- IJsseldijk, L.L.; van Neer, A.; Deaville, R.; Begeman, L.; van de Bildt, M.; van den Brand, J.M.A.; Brownlow, A.; Czeck, R.; Dabin, W.; ten Doeschate, M.; et al. Beached bachelors: An extensive study on the largest recorded sperm whale Physeter macrocepha-lus mortality event in the North Sea. PLoS ONE 2018, 13, e0201221. [Google Scholar] [CrossRef] [PubMed]
- Best, P.B. Food and feeding of sperm whales Physeter macrocephalus off the west coast of South Africa. S. Afr. J. Mar. Sci. 1999, 21, 393–413. [Google Scholar] [CrossRef]
- Caruso, F.; Sciacca, V.; Bellia, G.; De Domenico, E.; Larosa, G.; Papale, E.; Pellegrino, C.; Pulvirenti, S.; Riccobene, G.; Simeone, F.; et al. Size Distribution of Sperm Whales Acoustically Identified during Long Term Deep-Sea Monitoring in the Ionian Sea. PLoS ONE 2015, 10, e0144503. [Google Scholar] [CrossRef]
- Mazzariol, S.; Centelleghe, C.; Cozzi, B.; Povinelli, M.; Marcer, F.; Ferri, N.; Di Francesco, G.; Badagliacca, P.; Profeta, F.; Olivieri, V.; et al. Multidisciplinary studies on a sick-leader syndrome-associated mass stranding of sperm whales (Physeter macrocephalus) along the Adriatic coast of Italy. Sci. Rep. 2018, 8, 11577. [Google Scholar] [CrossRef]
- Alexander, A.; Steel, D.; Hoekzema, K.; Mesnick, S.L.; Engelhaupt, D.; Kerr, I.; Payne, R.; Baker, C.S. What influences the worldwide genetic structure of sperm whales (Physeter macrocephalus)? Mol. Ecol. 2016, 25, 2754–2772. [Google Scholar] [CrossRef]
- Morin, P.A.; Foote, A.D.; Scott Baker, C.; Hancock-Hanser, B.L.; Kaschner, K.; Mate, B.R.; Mesnick, S.L.; Pease, V.L.; Rosel, P.E.; Alexander, A. Demography or selection on linked cultural traits or genes? Investigating the driver of low mtDNA di-versity in the sperm whale using complementary mitochondrial and nuclear genome analyses. Mol. Ecol. 2018, 27, 2604–2619. [Google Scholar] [CrossRef]
- Manfrini, V.; Pierantonio, N.; Giuliani, A.; De Pascalis, F.; Maio, N.; Mancia, A. Fin whale (Balaenoptera physalus) mortality along the Italian coast between 1624 and 2021. Animals 2022, 12, 3111. [Google Scholar] [CrossRef]
- Mezzasalma, M.; Di Febbraro, M.; Guarino, F.M.; Odierna, G.; Russo, D. Cold-blooded in the Ice Age: “refugia within refugia”, inter-and intraspecific biogeographic diversification of European whipsnakes (Squamata, Colubridae, Hierophis). Zoology 2018, 127, 84–94. [Google Scholar] [CrossRef]
- Mezzasalma, M.; Visone, V.; Petraccioli, A.; Odierna, G.; Capriglione, T.; Guarino, F.M. Non-random accumulation of LINE1-like sequences on differentiated snake W chromosomes. J. Zool. 2016, 300, 67–75. [Google Scholar] [CrossRef]
- Pallotta, M.M.; Turano, M.; Ronca, R.; Mezzasalma, M.; Petraccioli, A.; Odierna, G.; Capriglione, T.; Capriglione, T. Brain gene expression is influenced by incubation temperature during leopard gecko (Eublepharis macularius) development. J. Experiment. Zool. Mol. Dev. Evol. 2017, 328, 360–370. [Google Scholar] [CrossRef] [PubMed]
- Sidhom, M.; Said, K.; Chatti, N.; Guarino, F.M.; Odierna, G.; Petraccioli, A.; Picariello, O.; Mezzasalma, M. Karyological characterization of the common chameleon (Chamaeleo chamaeleon) provides insights on the evolution and diversification of sex chromosomes in Chamaeleonidae. Zoology 2020, 141, 125738. [Google Scholar] [CrossRef]
- Unger, C.M.; Devine, J.; Hallgrímsson, B.; Rolian, C. Selection for increased tibia length in mice alters skull shape through parallel changes in developmental mechanisms. eLife 2021, 10. [Google Scholar] [CrossRef] [PubMed]
- Sambrook, J.; Fritsch, E.F.; Maniatis, T. Molecular Cloning: A Laboratory Manual; Cold Spring Harbor Laboratory Press: New York, NY, USA, 1989; Volume 3. [Google Scholar]
- Untergasser, A.; Cutcutache, I.; Koressaar, T.; Ye, J.; Faircloth, B.C.; Remm, M.; Rozen, S.G. Primer3--new capabilities and interfaces. Nucleic Acids Res. 2012, 40, 115. [Google Scholar] [CrossRef] [PubMed]
- Hall, T.A. BioEdit: A user-friendly biological sequence alignment editor and analysis program for Windows 95/98/NT. Nucleic Acids Symp. Ser. 1990, 41, 95–98. [Google Scholar]
- Drouot, V.; Bérubé, M.; Gannier, A.; Goold, J.C.; Reid, R.J.; Palsboll, P. A note on genetic isolation of Mediterranean Sperm Whales, Physeter macrocephalus, suggested by mitochondrial DNA. J. Cetacean Res. Manag. 2004, 6, 29–32. [Google Scholar]
- Engelhaupt, D.; Rus Hoelzel, A.; Nicholson, C.; Frantzis, A.; Mesnick, S.; Gero, S.; Whitehead, H.; Rendell, L.; Miller, P.; De Stefanis, R.; et al. Female philopatry in coastal basins and male dispersion across the North Atlantic in a highly mobile marine species, the sperm whale (Physeter macrocephalus). Mol. Ecol. 2009, 18, 4193–4205. [Google Scholar] [CrossRef] [PubMed]
- Mesnick, S.L.; Taylor, B.L.; Archer, F.I.; Martien, K.K.; Treviño, S.E.; Hancock-Hanser, B.L.; Medina, S.C.M.; Pease, V.L.; Robertson, K.M.; Straley, J.M.; et al. Sperm whale population structure in the eastern and central North Pacific inferred by the use of single-nucleotide polymorphisms, microsatellites and mitochondrial DNA. Mol. Ecol. Resour. 2011, 11, 278–298. [Google Scholar] [CrossRef]
- Evans, K.; Robertson, K. A note on the preparation of sperm whale teeth (Physeter macrocephalus) for age determination. J. Cetacean Res. Manag. 2001, 3, 101–107. [Google Scholar]
- Guarino, F.M.; Di Nocera, F.; Pollaro, F.; Galiero, G.; Iaccarino, D.; Iovino, D.; Mezzasalma, M.; Petraccioli, A.; Odierna, G.; Maio, N. Skeletochronology, age at maturity and cause of mortality of loggerhead sea turtles Caretta caretta stranded along the beaches of Campania (south-western Italy, western Mediterranean Sea). Herpetozoa 2020, 33, 39–51. [Google Scholar] [CrossRef]
- Guarino, F.M.; Di Nocera, F.; Galiero, G.; Iaccarino, D.; Giglio, S.; Madeo, E.; Pollaro, F.; Mezzasalma, M.; Iavarone, I.; Odierna, G.; et al. Age estimation and growth of striped dolphins Stenella coeruleoalba stranded along the coasts of south-western Italy. Eur. Zool J. 2021, 88, 417–424. [Google Scholar] [CrossRef]
- Hohn, A.A.; Chivers, S.J.; Barlow, J. Reproductive maturity and seasonality of male spotted dolphins, Stenella attenuata, in the Eastern Tropical Pacific. Marine Mamm. Sci. 1985, 1, 273–293. [Google Scholar] [CrossRef]
- Read, F.L.; Hohn, A.; Lockyer, C.H. A review of age estimation methods in marine mammals with special reference to monodontid. NAMMCO Sci. Publ. 2018, 10. [Google Scholar] [CrossRef]
- Buddhachat, K.; Brown, J.L.; Kaewkool, M.; Poommouang, A.; Kaewmong, P.; Kittiwattanawong, K.; Nganvongpanit, K. Life Expectancy in Marine Mammals Is Unrelated to Telomere Length but Is Associated with Body Size. Front. Genet. 2021, 12, 1792. [Google Scholar] [CrossRef]
- Chivers, S.J. Cetacean life history. In Encyclopedia of Marine Mammals, 2nd ed.; Perrin, W.F., Würsig, B., Thewissen, J.G.M., Eds.; Academic Press: SanDiego, CA, USA, 2009; pp. 215–220. [Google Scholar]
- Betty, E.; A Stockin, K.; Smith, A.N.H.; Bollard, B.; Orams, M.B.; Murphy, S. Sexual maturation in male long-finned pilot whales (Globicephala melas edwardii): Defining indicators of sexual maturity. J. Mammal. 2019, 100, 1387–1402. [Google Scholar] [CrossRef]
- Best, P.B.; Tormosov, D.; Brandao, A.; Mikhalev, H. Geographical variation in the body size of adult female sperm whales (Physeter macrocephalus)—An example of McNab’s resource rule? Mammalia 2016, 81, 189–196. [Google Scholar] [CrossRef][Green Version]
- Pauly, D. Why squid, though not fish, may be better understoodby pretending they are. S. Afr. J. mar. Sci. 1998, 20, 47–58. [Google Scholar] [CrossRef]
- Rosa, R.; Gonzalez, L.; Dierssen, H.M.; Seibel, B.A. Environmental determinants of latitudinal size-trends in cephalopods. Mar. Ecol. Progr. Ser. 2012, 464, 153–165. [Google Scholar] [CrossRef]
- Clarke, R.; Paliza, O.; Aguayo Al, A. Sperm whales of the southeast Pacific. 4: Fatness, food and feeding. Invest. Cetacea. 1988, 21, 153–195. [Google Scholar]
- Huertas, I.E.; Ríos, A.F.; García-Lafuente, J.; Navarro, G.; Makaoui, A.; Sánchez-Román, A.; Rodriguez-Galvez, S.; Orbi, A.; Ruíz, J.; Pérez, F.F. Atlantic forcing of the Mediterranean oligotrophy. Global Biogeochem. Cycles 2012, 26, GB2022. [Google Scholar] [CrossRef]
- Garibaldi, F.; Podestà, M. Stomach contents of a sperm whale (Physeter macrocephalus) stranded in Italy (Ligurian Sea, north-western Mediterranean. J. Marine Biol. Assoc. 2014, 94, 1087–1091. [Google Scholar] [CrossRef]
- González, M.; Fernández-Casado, M.; Rodríguez, M.D.P.; Segura, A.; Martín, J.J. First record of the giant squid Architeuthis sp. (Architeuthidae) in the Mediterranean Sea. J. Mar. Biol. Assoc. 2000, 80, 745–746. [Google Scholar] [CrossRef]
- Sharir, Y.; Kerem, D.; Goldin, P.; Spanier, E. Small size in the common bottlenose dolphin Tursiops truncatus in the eastern Mediterranean: A possible case of Levantine nanism. Mar. Ecol. Progr. Ser. 2011, 438, 211–221. [Google Scholar] [CrossRef]
- Pitman, R.L.; Perryman, W.L.; LeRoi, D.; Eilers, E. A dwarf form of killer whale in Antarctica. J. Mammal. 2007, 88, 43–48. [Google Scholar] [CrossRef]
- Rendell, L.; Frantzis, A. Mediterranean Sperm Whales, Physeter macrocephalus: The Precarious State of a Lost Tribe. In: Notarbartolo Di Sciara G, Podestà M and Curry BE, editors. Mediterranean Marine Mammals Ecology and Conservation. Adv. Mar. Biol. 2016, 75, 37–74. [Google Scholar]
- Violi, B. Population Dynamics and Structure of Sperm Whale (Physeter macrocephalus) in Mediterranean Sea. Ph.D. Dissertation, Università degli Studi di Genova, Genova, Italy, 2020. [Google Scholar]
- Kardos, M.; Taylor, H.R.; Ellegren, H.; Luikart, G.; Allendorf, F.W. Genomics advances the study of inbreeding depression in the wild. Evol. Appl. 2016, 9, 1205–1218. [Google Scholar] [CrossRef]
- Attard, C.R.M.; Beheregaray, L.B.; Möller, L.M. Towards population-level conservation in the critically endangered Antarctic blue whale: The number and distribution of their populations. Sci. Rep. 2016, 6, 22291. [Google Scholar] [CrossRef]
- Fioravanti, T.; Maio, N.; Latini, L.; Splendiani, A.; Guarino, F.M.; Mezzasalma, M.; Petraccioli, A.; Cozzi, B.; Mazzariol, S.; Centelleghe, C.; et al. Nothing is as it seems: Genetic analyses on stranded fin whales unveil the presence of a fin-blue whale hybrid in the Mediterranean Sea (Balaenopteridae). Eur. Zool. J. 2022, 89, 590–600. [Google Scholar] [CrossRef]
- Gilpin, M.E.; Soulé, M.E. Minimum Viable Populations: Processes of Species Extinction. In Conservation Biology: The Science of Scarcity and Diversity; Soulé, M.E., Ed.; Sinauer Associates, Inc.: Sunderland, MA, USA, 1986; pp. 19–34. [Google Scholar]
Disclaimer/Publisher’s Note: The statements, opinions and data contained in all publications are solely those of the individual author(s) and contributor(s) and not of MDPI and/or the editor(s). MDPI and/or the editor(s) disclaim responsibility for any injury to people or property resulting from any ideas, methods, instructions or products referred to in the content. |
© 2022 by the authors. Licensee MDPI, Basel, Switzerland. This article is an open access article distributed under the terms and conditions of the Creative Commons Attribution (CC BY) license (https://creativecommons.org/licenses/by/4.0/).


