Establishment of Hematological and Plasma Biochemical Reference Values and Analysis of Risk Factors for Pet Sugar Gliders (Petaurus breviceps) in Taiwan
Abstract
Simple Summary
Abstract
1. Introduction
2. Materials and Methods
2.1. Study Population
2.2. Anesthesia, Physiological Data and Morphometric Measurements
2.3. Blood Sample Collection and Profile
2.4. Statistical Analysis
3. Results
3.1. Physiological and Morphometrical Data
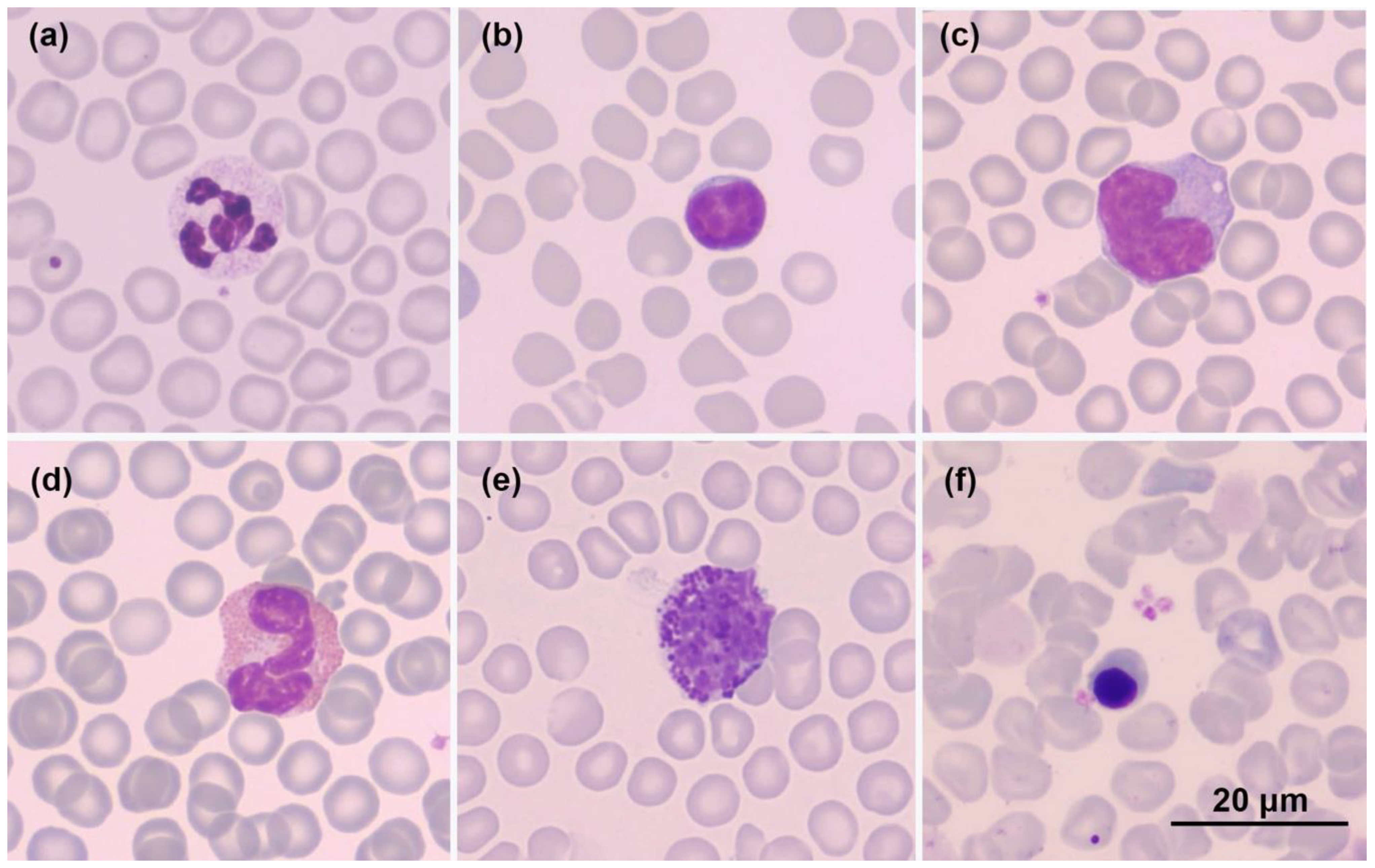
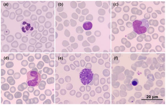
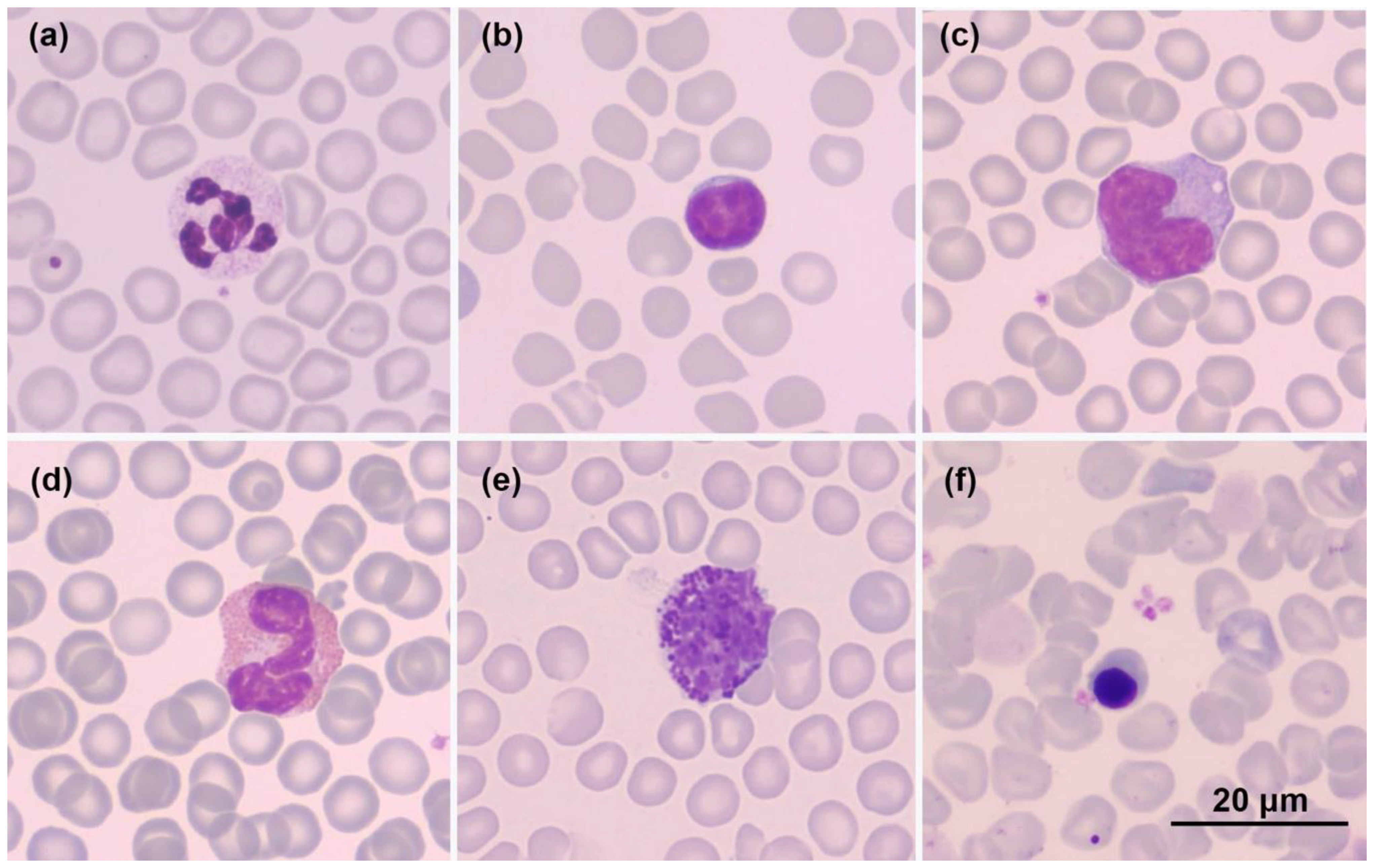
3.2. Blood Cell Morphology
3.3. Hematological and Plasma Biochemical Reference Values
3.4. Univariate Analysis
3.5. Multiple Regression Model
4. Discussion
5. Conclusions
Author Contributions
Funding
Institutional Review Board Statement
Informed Consent Statement
Data Availability Statement
Acknowledgments
Conflicts of Interest
Appendix A
| Parameters | Unit | SG1 | SG2 |
|---|---|---|---|
| WBC | K/µL | 16.00 | - |
| Neu | K/µL | 2.79 | - |
| %Neu | % | 17.4 | - |
| Lym | K/µL | 12.13 | - |
| %Lym | % | 75.8 | - |
| Mono | K/µL | 0.66 | - |
| %Mono | % | 4.1 | - |
| Eos | K/µL | 0.36 | - |
| %Eos | % | 2.3 | - |
| Baso | M/µL | 0.06 | - |
| %Baso | % | 0.4 | - |
| RBC | g/dL | 9.17 | 8.47 |
| HCT | fL | 51.7 | 54.0 |
| HGB | pg | 18.5 | 17.3 |
| MCV | g/dL | 56.4 | 63.8 |
| MCH | K/µL | 20.2 | 20.4 |
| MCHC | % | 35.8 | 32.0 |
| Reti | % | 237.5 | 118.6 |
| %Reti | K/µL | 2.6 | 1.4 |
| %RDW | fL | 29 | 34.8 |
| Platelet | % | 201 | 870 |
| MPV | % | - | 10.6 |
| PDW | K/µL | - | - |
| PCT | % | - | 0.92 |
| Parameters | Unit | SG1 | SG2 |
|---|---|---|---|
| BUN | mg/dL | 18 | 17 |
| CRE | mg/dL | 0.2 | 0.3 |
| ALT | U/L | 72 | 40 |
| ALP | U/L | 501 | 617 |
| AST | U/L | 41 | 0 |
| TBIL | mg/dL | 0.4 | 0.4 |
| GLU | mg/dL | 156 | 76 |
| CA | mg/dL | 9.2 | 9.8 |
| TP | g/dL | 6.4 | 5.7 |
| ALB | g/dL | 4.4 | 4.3 |
| GLOB | g/dL | 2 | 1.5 |
| NA | mmol/L | 140 | 136 |
| K | mmol/L | 3.8 | 4.3 |
| CL | mmol/L | 118 | 108 |
References
- Smith, M.J. Petaurus breviceps. Mamm. Species 1973, 30, 1–5. [Google Scholar] [CrossRef]
- Flannery, T.F. Mammals of New Guinea; Reed Books: Chatswood, Australia, 1995. [Google Scholar]
- Suckling, G. Population ecology of the sugar glider, Petaurus breviceps, in a system of fragmented habitats. Wildl. Res. 1984, 11, 49–75. [Google Scholar] [CrossRef]
- Booth, R. General husbandry and medical care of sugar gliders. In Kirk's Current Veterinary Therapy XIII: Small Animal Practice; Bonagura, J.D., Ed.; WB Saunders: Philadelphia, PN, USA, 2000; Volume 13, pp. 1157–1162. [Google Scholar]
- Johnson-Delaney, C. Marsupials. In BSAVA Manual of Exotic Pets; Meredith, A., Johnson-Delaney, C., Eds.; British Small Animal Veterinary Association: Gloucester, UK, 2010; pp. 103–126. [Google Scholar]
- Brust, D.M. Sugar Gliders: A Complete Veterinary Care Guide; Veterinary Interactive Publications: Sugar Land, TX, USA, 2009. [Google Scholar]
- Kubiak, M. Handbook of Exotic Pet Medicine; Wiley-Blackwell: Hoboken, NJ, USA, 2020; p. 528. [Google Scholar]
- McLaughlin, A.; Strunk, A. Common emergencies in small rodents, hedgehogs, and sugar gliders. Vet. Clin. North Am. Exot. Anim. Pr. 2016, 19, 465–499. [Google Scholar] [CrossRef] [PubMed]
- Lennox, A.M. Emergency and critical care procedures in sugar gliders (Petaurus breviceps), African hedgehogs (Atelerix albiventris), and prairie dogs (Cynomys spp). Vet. Clin. North Am. Exot. Anim. Pract. 2007, 10, 533–555. [Google Scholar] [CrossRef] [PubMed]
- Ness, R.D. Clinical pathology and sample collection of exotic small mammals. Vet. Clin. North Am. Exot. Anim. Pr. 1999, 2, 591–620, vi. [Google Scholar] [CrossRef]
- Booth, R.J. Marsupials. In Exotic Animal Laboratory Diagnosis; Heatley, J.J., Russell, K.E., Eds.; John Wiley & Sons: Hoboken, NJ, USA, 2020; pp. 175–197. [Google Scholar]
- Species360. Sugar Glider: Reference Ranges for Physiological Data Values. Available online: http://www.species360.org/ (accessed on 7 May 2020).
- Bennett, M.D.; Woolford, L.; O'Hara, A.J.; Nicholls, P.K.; Warren, K.S.; Hulme-Moir, K.L.; Clark, P. Hematologic characteristics of captive western barred bandicoots (Perameles bougainville) from Western Australia. Vet. Clin. Pathol. 2007, 36, 348–353. [Google Scholar] [CrossRef]
- Clark, P.; Holz, P.; Booth, R.; Jakob-Hoff, R.; Cooper, D.; Boardman, W.; Parry, B.; Norman, R. Haematological characteristics of captive Parma wallabies (Macropus parma). Comp. Clin. Pathol. 2003, 12, 11–16. [Google Scholar] [CrossRef]
- Dierenfeld, E.S.; Thomas, D.; Ives, R. Comparison of commonly used diets on intake, digestion, growth, and health in captive sugar gliders (Petaurus breviceps). J. Exot. Pet Med. 2006, 15, 218–224. [Google Scholar] [CrossRef]
- Freeman, L.; Becvarova, I.; Cave, N.; MacKay, C.; Nguyen, P.; Rama, B.; Takashima, G.; Tiffin, R.; van Beukelen, P.; Yathiraj, S. WSAVA nutritional assessment guidelines. J. Feline Med. Surg. 2011, 13, 516–525. [Google Scholar] [CrossRef]
- Mullan, S.M.; Main, D.C. Survey of the husbandry, health and welfare of 102 pet rabbits. Vet. Rec. 2006, 159, 103–109. [Google Scholar] [CrossRef]
- Jackson, S.M. Population dynamics and life history of the mahogany glider, Petaurus gracilis, and the sugar glider, Petaurus breviceps, in north Queensland. Wildl. Res. 2000, 27, 21–37. [Google Scholar] [CrossRef]
- Geffre, A.; Concordet, D.; Braun, J.P.; Trumel, C. Reference Value Advisor: A new freeware set of macroinstructions to calculate reference intervals with Microsoft Excel. Vet. Clin. Pathol. 2011, 40, 107–112. [Google Scholar] [CrossRef]
- Friedrichs, K.R.; Harr, K.E.; Freeman, K.P.; Szladovits, B.; Walton, R.M.; Barnhart, K.F.; Blanco-Chavez, J. ASVCP reference interval guidelines: Determination of de novo reference intervals in veterinary species and other related topics. Vet. Clin. Pathol. 2012, 41, 441–453. [Google Scholar] [CrossRef]
- Jackson, S. Australian Mammals: Biology and Captive Management; CSIRO Publishing: Collingwood, Australia, 2003; p. 524. [Google Scholar]
- Johnson-Delaney, C.A. Practical marsupial medicine. In Proceedings of the American Exotic Mammals Veterinarian Conference, Bonita Springs, FL, USA, 2 June 2006; pp. 51–60. [Google Scholar]
- Quin, D.G.; Riek, A.; Green, S.; Smith, A.P.; Geiser, F. Seasonally constant field metabolic rates in free-ranging sugar gliders (Petaurus breviceps). Comp. Biochem. Physiol. Part A: Mol. Integr. Physiol. 2010, 155, 336–340. [Google Scholar] [CrossRef]
- Clark, P. Haematology of Australian Mammals; Csiro Publishing: Melbourne, Australia, 2004. [Google Scholar]
- Fabijan, J.; Speight, N.; Boardman, W.; Hemmatzadeh, F.; Trott, D.J.; Woolford, L. Haematological reference intervals of wild southern Australian koalas (Phascolarctos cinereus). Aust. Vet. J. 2020, 98, 207–215. [Google Scholar] [CrossRef]
- Martínez-Pérez, P.A.; Hyndman, T.H.; Fleming, P.A. Haematology and blood chemistry in free-ranging quokkas (Setonix brachyurus): Reference intervals and assessing the effects of site, sampling time, and infectious agents. PLoS ONE 2020, 15, e0239060. [Google Scholar] [CrossRef]
- Schultze, A.E. Interpretation of canine leukocyte responses. In Schalm's Veterinary Hematology; Weiss, D.J., Wardrop, K.J., Eds.; John Wiley & Sons: Hoboken, NJ, USA, 2011; pp. 321–334. [Google Scholar]
- Villiers, E. Introduction to haematology. In BSAVA Manual of Canine and Feline Clinical Pathology, 3rd ed.; Ristić, J., Villiers, E., Eds.; BSAVA Library: Gloucester, UK, 2016; pp. 27–37. [Google Scholar]
- Clark, P. The leukocytes. In Haematology of Australian Mammals; CSIRO Publishing: Melbourne, Australia, 2004; pp. 47–76. [Google Scholar]
- Reagan, W.J.; Rovira, A.R.I.; DeNicola, D.B. Variations in white blood cell morphology. In Veterinary Hematology: Atlas of Common Domestic and Non-Domestic Species; John Wiley & Sons: Hoboken, NJ, USA, 2019; pp. 45–50. [Google Scholar]
- Webb, J.L.; Latimer, K.S. Leukocytes. In Duncan and Prasse's Veterinary Laboratory Medicine: Clinical Pathology; Latimer, K.S., Ed.; John Wiley & Sons: Hoboken, NJ, USA, 2011; pp. 45–82. [Google Scholar]
- Valenciano, A.C.; Decker, L.S.; Cowell, R.L. Interpretation of feline leukocyte responses. In Schalm's Veterinary Hematology; Weiss, D.J., Wardrop, K.J., Eds.; John Wiley & Sons: Hoboken, NJ, USA, 2011; pp. 335–344. [Google Scholar]
- Stannard, H.J.; Thompson, P.; McAllan, B.M.; Raubenheimer, D. Hematology and serum biochemistry reference ranges of healthy captive Tasmanian devils (Sarcophilus harrisii) and their association with age, gender and seasonal variation. Mamm. Biol. 2016, 81, 393–398. [Google Scholar] [CrossRef]
- Stannard, H.J.; Young, L.J.; Old, J.M. Further investigation of the blood characteristics of Australian quoll (Dasyurus spp.) species. Vet. Clin. Pathol. 2013, 42, 476–482. [Google Scholar] [CrossRef]
- Vaughan, R.J.; Warren, K.S.; Mills, J.S.; Palmer, C.; Fenwick, S.; Monaghan, C.L.; Friend, A.J. Hematological and serum biochemical reference values and cohort analysis in the Gilbert's potoroo (Potorous gilbertii). J. Zoo Wildl. Med. 2009, 40, 276–288, 213. [Google Scholar] [CrossRef]
- Latimer, K.S. Duncan and Prasse's Veterinary Laboratory Medicine: Clinical Pathology; Wiley-Blackwell: Hoboken, NJ, USA, 2011; p. 528. [Google Scholar]
- Hall, E.J.; German, A.J. Laboratory evaluation of hepatic disease. In BSAVA Manual of Canine and Feline Clinical Pathology, 3rd ed.; Ristić, J., Villiers, E., Eds.; BSAVA Library: Gloucester, UK, 2016; pp. 237–261. [Google Scholar]
- Campbell, T.W. Clinical Chemistry of Mammals: Laboratory Animals and Miscellaneous Species. In Veterinary Hematology and Clinical Chemistry, 2nd ed.; Thrall, M.A., Weiser, G., Allison, R.W., Campbell, T.W., Eds.; John Wiley & Sons: Hoboken, NJ, USA, 2012; pp. 571–581. [Google Scholar]
- Kusmeirczyk, J.; Kling, M.; Kier, A.B.; Milligan, S.M.; Heatley, J.J. Rats and Mice. In Exotic Animal Laboratory Diagnosis; Heatley, J.J., Russell, K.E., Eds.; John Wiley & Sons: Hoboken, NJ, USA, 2020; pp. 81–112. [Google Scholar]
- Kurtz, D.M.; Travlos, G.S. The Clinical Chemistry of Laboratory Animals; CRC Press: Boca Raton, FL, USA, 2017. [Google Scholar]
- Meuten, D. Laboratory evaluation and interpretation of the urinary system. In Veterinary hematology and Clinical Chemistry; Thrall, M.A., Weiser, G., Allison, R.W., Campbell, T.W., Eds.; John Wiley & Sons: Hoboken, NJ, USA, 2012. [Google Scholar]
- Melillo, A. Rabbit clinical pathology. J. Exot. Pet Med. 2007, 16, 135–145. [Google Scholar] [CrossRef]
- Johnson-Delaney, C. Sugar Gliders. In Ferrets, Rabbits, and Rodents: Clinical Medicine and Surgery, 4th ed.; Quesenberry, K.E., Orcutt, C.J., Mans, C., Carpenter, J.W., Eds.; W.B. Saunders: Philadelphia, PN, USA, 2021; pp. 385–400. [Google Scholar]
- McKenzie, S.; Deane, E.M.; Burnett, L. Haematology and serum biochemistry of the tammar wallaby, Macropus eugenii. Comp. Clin. Pathol. 2002, 11, 229–237. [Google Scholar]
- Clarke, J.; Warren, K.; Calver, M.; de Tores, P.; Mills, J.; Robertson, I. Hematologic and serum biochemical reference ranges and an assessment of exposure to infectious diseases prior to translocation of the threatened western ringtail possum (Pseudocheirus occidentalis). J. Wildl. Dis. 2013, 49, 831–840. [Google Scholar] [CrossRef]
- Viggers, K.L.; Lindenmayer, D.B. Hematological and plasma biochemical values of the greater glider in Australia. J. Wildl. Dis. 2001, 37, 370–374. [Google Scholar] [CrossRef]
- Spencer, P.; Speare, R. Hematology of wild allied rock-wallabies, Petrogale assimilis Ramsay, 1877 (Marsupialia, Macropodidae), in North Queensland. Aust. J. Zool. 1992, 40, 355–364. [Google Scholar] [CrossRef]
- Viggers, K.L.; Lindenmayer, D.B. Variation in hematological and serum biochemical values of the mountain brushtail possum, Trichosurus caninus Ogilby (Marsupialia: Phalangeridae). J. Wildl. Dis. 1996, 32, 142–146. [Google Scholar] [CrossRef]
- Barnett, J.; How, R.; Humphreys, W. Blood parameters in natural populations of Trichosurus species (Marsupialia: Phalangeridae). I. Age, sex and seasonal variation in T. Caninus and T. Vulpecula. Aust. J. Zool. 1979, 27, 913–926. [Google Scholar]
- Presidente, P.; Correa, J. Haematology, Plasma electrolytes and serum biochemical values of Trichosurus vulpecula (Kerr) (Marsupialia: Phalangeridae). Aust. J. Zool. 1981, 29, 507–517. [Google Scholar]
- Stein, K.F.; Carrier, E. Changes in erythrocytes of hamsters following castration, splenectomy, and subsequent liver, iron, and testosterone injections. Proc. Soc. Exp. Biol. Med. 1945, 60, 313–318. [Google Scholar] [CrossRef]
- Steinglass, P.; Gordon, A.S.; Charipper, H.A. Effect of castration and sex hormones on blood of the rat. Proc. Soc. Exp. Biol. Med. 1941, 48, 169–176. [Google Scholar] [CrossRef]
- Guo, W.; Li, M.; Bhasin, S. Testosterone supplementation improves anemia in aging male mice. J. Gerontol. A Biol. Sci. Med. Sci. 2014, 69, 505–513. [Google Scholar]
- Hope, K.L.; Peck, S. Hematological and serum biochemical values in anesthetized captive Tasmanian devils (Sarcophilus harrisii). J. Zoo Wildl. Med. 2016, 47, 564–572. [Google Scholar] [CrossRef] [PubMed]
- Green-Barber, J.M.; Ong, O.T.; Kanuri, A.; Stannard, H.J.; Old, J.M. Blood constituents of free-ranging eastern grey kangaroos (Macropus giganteus). Aust. Mammal. 2017, 40, 136–145. [Google Scholar] [CrossRef]
- Campbell, T.W. Mammalian hematology: Laboratory animals and miscellaneous species. In Veterinary Hematology and Clinical Chemistry, 2nd ed.; Thrall, M.A., Weiser, G., Allison, R.W., Campbell, T.W., Eds.; John Wiley & Sons: Hoboken, NJ, USA, 2012; pp. 225–237. [Google Scholar]
- Campbell, T.W. Peripheral blood of mammals. In Exotic Animal Hematology and Cytology, Campbell, T.W., Ed.; Wiley Blackwell: Hoboken, NJ, USA, 2015; pp. 3–36. [Google Scholar]
- Bolliger, A.P.; Everds, N.E.; Zimmerman, K.L.; Moore, D.M.; Smith, S.A.; Barnhart, K.F. Hematology of laboratory animals. In Schalm's Veterinary Hematology; Weiss, D.J., Wardrop, K.J., Eds.; John Wiley & Sons: Hoboken, NJ, USA, 2011; pp. 852–887. [Google Scholar]
- Peel, E.; Belov, K. Immune-endocrine interactions in marsupials and monotremes. Gen. Comp. Endocrinol. 2017, 244, 178–185. [Google Scholar] [CrossRef] [PubMed]
- Pereira, M.; Valério-Bolas, A.; Saraiva-Marques, C.; Alexandre-Pires, G.; Pereira da Fonseca, I.; Santos-Gomes, G. Development of dog immune system: From in uterus to elderly. Vet. Sci. 2019, 6, 83. [Google Scholar] [CrossRef] [PubMed]
- Warren, K.S.; Holyoake, C.S.; Friend, T.J.; Yeap, L.; McConnell, M. Hematologic and serum biochemical reference intervals for the bilby (Macrotis lagotis). J. Wildl. Dis. 2015, 51, 889–895, 887. [Google Scholar] [CrossRef]
- Pati, S.; Panda, S.; Acharya, A.; Senapati, S.; Behera, M.; Behera, S. Evaluation of geriatric changes in dogs. Vet. World 2015, 8, 273. [Google Scholar] [CrossRef]
- Baumgartner, R.N.; Koehler, K.M.; Romero, L.; Garry, P.J. Serum albumin is associated with skeletal muscle in elderly men and women. Am. J. Clin. Nutr. 1996, 64, 552–558. [Google Scholar] [CrossRef]
- Rathwa, S.D.; Vasava, A.A.; Pathan, M.M.; Madhira, S.P.; Patel, Y.G.; Pande, A.M. Effect of season on physiological, biochemical, hormonal, and oxidative stress parameters of indigenous sheep. Vet. World 2017, 10, 650–654. [Google Scholar] [CrossRef]
- Okab, A.; El-Banna, S.; Koriem, A. Influence of environmental temperatures on some physiological and biochemical parameters of New-Zealand rabbit males. Slovak J. Anim. Sci. 2008, 41, 12–19. [Google Scholar]
- Wells, R.; Jones, A.; Clout, M.; Sarre, S.; Anderson, R. Seasonal effects on the haematology and blood chemistry of wild brushtail possums, Trichosurus vulpecula (Marsupialia: Phalangeridae) in New Zealand. Comp. Haematol. Int. 2000, 10, 68–73. [Google Scholar] [CrossRef]
- Peck, S.; Corkrey, R.; Hamede, R.; Jones, M.; Canfield, P. Hematologic and serum biochemical reference intervals for wild Tasmanian devils (Sarcophilus harrisii). Vet. Clin. Pathol. 2015, 44, 519–529. [Google Scholar] [CrossRef] [PubMed]
- Dierenfeld, E.S. Feeding behavior and nutrition of the sugar glider (Petaurus breviceps). Vet. Clin. North Am. Exot. Anim. Pr. 2009, 12, 209–215, xiii–viii. [Google Scholar] [CrossRef]
- Johnson-Delaney, C.A. Captive marsupial nutrition. Vet. Clin. North Am. Exot. Anim. Pr. 2014, 17, 415–447. [Google Scholar] [CrossRef] [PubMed]
- Dierenfeld, E.S.; Whitehouse-Tedd, K.M. Evaluation of three popular diets fed to pet sugar gliders (Petaurus breviceps): Intake, digestion and nutrient balance. J. Anim. Physiol. N 2017, 102, 193–208. [Google Scholar] [CrossRef] [PubMed]
- Johnson-Delaney, C.A. Feeding Sugar Gliders. Exot. DVM 1998, 1, 4. [Google Scholar]
- Weiser, G. Introduction to leukocytes and the leukogram. In Veterinary Hematology and Clinical Chemistry, 2nd ed.; Thrall, M.A., Weiser, G., Allison, R.W., Campbell, T.W., Eds.; John Wiley & Sons: Hoboken, NJ, USA, 2012; pp. 118–122. [Google Scholar]
- Dan, K. Thrombocytosis in iron deficiency anemia. Intern. Med. 2005, 44, 1025–1026. [Google Scholar] [CrossRef] [PubMed]
- Rizzo, F.; Tappin, S.W.; Tasker, S. Thrombocytosis in cats: A retrospective study of 51 cases (2000–2005). J. Feline Med. Surg. 2007, 9, 319–325. [Google Scholar] [CrossRef]
- Villiers, E. Disorders of erythrocytes. In BSAVA Manual of Canine and Feline Clinical Pathology, 3rd ed.; Ristić, J., Villiers, E., Eds.; BSAVA Library: Gloucester, UK, 2016; pp. 38–66. [Google Scholar]
- Ramp, D.; Russell, B.G.; Croft, D.B. Predator scent induces differing responses in two sympatric macropodids. Aust. J. Zool. 2005, 53, 73–78. [Google Scholar] [CrossRef]
- Parsons, M.H.; Blumstein, D.T. Familiarity breeds contempt: Kangaroos persistently avoid areas with experimentally deployed dingo scents. PLoS ONE 2010, 5, e10403. [Google Scholar] [CrossRef]
- McLaughlin, R.M.; Fish, R.E. Clinical biochemistry and hematology. In The Biology of the Laboratory Rabbit; Elsevier: Amsterdam, The Netherlands, 1994; pp. 111–127. [Google Scholar]



| Units | Mean | Standard Deviation | n | |
|---|---|---|---|---|
| Physiological data | ||||
| Respiratory rate (conscious) | breaths/min | 136.43 | 71.42 | 14 |
| Respiratory rate (anesthetized) | breaths/min | 33.79 | 18.63 | 39 |
| Cloacal temperature a | °C | 35.40 | 0.91 | 34 |
| Auricular temperature a | °C | 36.20 | 0.78 | 22 |
| Heart rate (conscious) | beats/min | 306.05 | 42.38 | 19 |
| Heart rate (anesthetized) | beats/min | 244.50 | 46.76 | 40 |
| Morphometric measurements | ||||
| Body weight | g | 144.07 | 34.68 | 40 |
| Body length | mm | 145.70 | 6.72 | 40 |
| Tail length | mm | 160.36 | 18.25 | 40 |
| Head width | mm | 26.24 | 2.05 | 40 |
| Head length | mm | 38.25 | 2.39 | 40 |
| Right calf length | mm | 41.69 | 2.14 | 40 |
| Right foot length | mm | 23.89 | 1.97 | 39 |
| Lower incisor | mm | 6.51 | 0.54 | 39 |
| Parameters | Unit | n | Mean | SD | Lower Limit (90% CI) | Upper Limit (90% CI) | Distribution | Method |
|---|---|---|---|---|---|---|---|---|
| RBC | M/µL | 39 | 8.03 | 0.90 | 6.18 (5.80–6.58) | 9.88 (9.46–10.29) | G | P |
| HCT | % | 39 | 46.30 | 5.03 | 35.99 (33.88–38.22) | 56.62 (54.27–58.86) | G | P |
| HGB | g/dL | 39 | 16.56 | 1.65 | 13.18 (12.49–13.91) | 19.93 (19.16–20.67) | G | P |
| MCV | fL | 39 | 57.77 | 3.44 | 50.72 (49.29–52.25) | 64.82 (63.22–66.35) | G | P |
| MCH | pg | 39 | 20.67 | 1.10 | 18.41 (17.95–18.90) | 22.92 (22.41–23.42) | G | P |
| MCHC | g/dL | 39 | 35.81 | 1.43 | 32.87 (32.27–33.51) | 38.74 (38.08–39.38) | G | P |
| Reti | K/µL | 39 | 242.49 | 60.42 | 118.61 (93.34–145.35) | 366.37 (338.22–393.33) | G | P |
| %Reti | % | 39 | 3.00 | 0.68 | 1.82 (1.64–2.05) | 4.62 (4.17–5.05) | BG | P |
| RDW | % | 39 | 22.95 | 2.46 | 17.90 (16.87–18.99) | 27.99 (26.84–29.09) | G | P |
| WBC | K/µL | 33 | 7.80 | 2.95 | 1.71 (0.37–3.14) | 13.89 (12.38–15.33) | G | P |
| Neu | K/µL | 33 | 1.44 | 0.94 | 0.35 (0.27–0.49) | 4.25 (3.03–5.67) | BG | P |
| %Neu | % | 33 | 17.92 | 6.92 | 7.72 (6.51–9.25) | 36.28 (29.96–43.58) | LG | P |
| Lym | K/µL | 33 | 5.79 | 2.22 | 1.20 (0.18–2.04) | 10.39 (9.25–11.48) | G | P |
| %Lym | % | 33 | 74.54 | 7.77 | 58.84 (54.93–62.25) | 90.60 (86.63–96.41) | G | P |
| Mono | K/µL | 33 | 0.36 | 0.19 | 0.06 (0.03–0.11) | 0.84 (0.68–0.98) | BG | P |
| %Mono | % | 33 | 4.59 | 2.03 | 0.40 (0–1.38) | 8.78 (7.75–9.78) | G | P |
| Eos | K/µL | 33 | 0.14 | 0.11 | 0.03 (0.02–0.04) | 0.52 (0.33–0.76) | BG | P |
| %Eos | % | 33 | 1.95 | 1.38 | 0.26 (0.18–0.44) | 5.88 (4.34–7.45) | BG | P |
| Baso | K/µL | 33 | 0.07 | 0.05 | 0 (0–0) | 0.18 (0.15–0.20) | G | P |
| %Baso | % | 33 | 1.01 | 0.75 | 0 (0–0) | 2.45 (1.87–3.07) | NG | Ro |
| Platelet | K/µL | 39 | 385.70 | 144.10 | 90.20 (29.90–154.00) | 681.10 (614.00–745.40) | G | P |
| MPV | fL | 39 | 8.57 | 1.14 | 6.23 (5.75–6.74) | 10.92 (10.39–11.43) | G | P |
| PDW | fL | 39 | 8.67 | 1.36 | 5.88 (5.32–6.48) | 11.45 (10.82–12.06) | G | P |
| PCT | % | 39 | 0.33 | 0.14 | 0.14 (0.12–0.17) | 0.70 (0.56–0.87) | BG | P |
| Parameters | Unit | n | Mean | SD | Lower Limit (90% CI) | Upper Limit (90% CI) | Distribution | Method |
|---|---|---|---|---|---|---|---|---|
| BUN | mg/dL | 39 | 22.50 | 8.00 | 9.60 (8.00–11.70) | 42.40 (36.70–48.20) | BG | P |
| CRE | mg/dL | 39 | 0.27 | 0.14 | 0 (0–0.04) | 0.58 (0.52–0.63) | NG | Ro |
| ALT | U/L | 39 | 79.40 | 39.50 | 24.90 (20.40–31.70) | 189.40 (153.60–227.50) | BG | P |
| ALP | U/L | 39 | 174.20 | 82.50 | 68.90 (58.06–82.59) | 369.13 (305.05–443.11) | LG | P |
| AST | U/L | 38 | 48.00 | 19.30 | 5.10 (0–15.00) | 85.60 (72.30–98.70) | NG | Ro |
| TBIL | mg/dL | 39 | 0.44 | 0.24 | 0 (0–0) | 0.87 (0.76–0.97) | NG | Ro |
| GLU | mg/dL | 39 | 158.00 | 29.90 | 86.10 (73.60–103.00) | 213.00 (196.00–234.30) | NG | Ro |
| CA | mg/dL | 39 | 8.98 | 0.69 | 7.57 (7.28–7.88) | 10.40 (10.08–10.71) | G | P |
| TP | g/dL | 39 | 6.09 | 0.55 | 4.95 (4.72–5.20) | 7.23 (6.97–7.47) | G | P |
| ALB | g/dL | 39 | 4.35 | 0.50 | 3.34 (3.13–3.56) | 5.37 (5.14–5.59) | G | P |
| GLOB | g/dL | 39 | 1.74 | 0.51 | 0.69 (0.48–0.92) | 2.78 (2.54–3.01) | G | P |
| NA | mmol/L | 39 | 138.80 | 3.20 | 132.30 (130.90–133.70) | 145.40 (143.90–146.80) | G | P |
| K | mmol/L | 37 | 3.86 | 0.62 | 2.59 (2.32–2.87) | 5.13 (4.83–5.41) | G | P |
| CL | mmol/L | 38 | 106.90 | 3.50 | 99.80 (98.30–101.30) | 114.10 (112.50–115.70) | G | P |
| Factors | Parameter | Test | Result | p Value |
|---|---|---|---|---|
| Age | %Lym | t test | [<5 years] > [≥5 years] | 0.01292 |
| K | t test | [≥5 years] > [<5 years] | 0.00219 | |
| %Neu | Mann–Whitney U test | [≥5 years] > [<5 years] | 0.02806 | |
| ALB | Mann–Whitney U test | [<5 years] > [≥5 years] | 0.04936 | |
| Gender | RBC | t test | Male > Female | 0.04133 |
| CL | t test | Male > Female | 0.03229 | |
| Neuter Status Of Males | RBC | Welch’s t test | Intact > Neutered | 0.00058 |
| HCT | t test | Intact > Neutered | 0.03444 | |
| HGB | Welch’s t test | Intact > Neutered | 0.02086 | |
| MCH | t test | Neutered > Intact | 0.00788 | |
| %Lym | t test | Intact > Neutered | 0.03538 | |
| GLOB | t test | Neutered > Intact | 0.00947 | |
| RDW | Mann–Whitney U test | Intact > Neutered | 0.03180 | |
| Location | MCV | t test | South > North | 0.03581 |
| %Mono | Welch’s t test | South > North | 0.00329 | |
| GLOB | t test | South > North | 0.00515 | |
| K | t test | South > North | 0.03729 | |
| Mono | Mann–Whitney U test | South > North | 0.03639 | |
| PCT | Mann–Whitney U test | South > North | 0.01455 | |
| Season | GLU | Kruskal–Wallis test Post hoc Dunn’s test | Summer > Spring | 0.00375 |
| Diet | MCH | t test | Balanced > Unbalanced | 0.00386 |
| Other Pets in Household | HGB | t test | Non-predatory > Predatory | 0.02660 |
| MCH | t test | Non-predatory > Predatory | 0.03165 | |
| Reti | t test | Non-predatory > Predatory | 0.02251 | |
| %Reti | t test | Non-predatory > Predatory | 0.04382 | |
| Eos | Mann–Whitney U test | Predatory > Non-predatory | 0.04986 | |
| BUN | Mann–Whitney U test | Non-predatory > Predatory | 0.00448 |
| Intercept | Age | Gender | Neuter Status | Location | Diet | Caging Arrangement | Other Pets in Household | Season (Spring) | Season (Summer) | Season (Winter) | |||||||||||
|---|---|---|---|---|---|---|---|---|---|---|---|---|---|---|---|---|---|---|---|---|---|
| Parameters | PE | PE | p Value | PE | p Value | PE | p Value | PE | p Value | PE | p Value | PE | p Value | PE | p Value | PE | p Value | PE | p Value | PE | p Value |
| RBC | 7.327 | −0.134 | 0.586 | 1.291 | <0.001 | −1.250 | <0.001 | 0.398 | 0.099 | 0.776 | 0.006 | - | - | - | - | - | - | - | - | - | - |
| HCT | 42.417 | −0.235 | 0.883 | 4.945 | 0.016 | −5.958 | 0.003 | 2.938 | 0.062 | 2.960 | 0.097 | 2.766 | 0.092 | - | - | - | - | - | - | - | - |
| HGB | 16.301 | 0.259 | 0.626 | 1.844 | 0.005 | −1.589 | 0.013 | - | - | - | - | - | - | −1.401 | 0.018 | - | - | - | - | - | - |
| MCV | 57.049 | 1.393 | 0.212 | - | - | - | - | 1.620 | 0.148 | −2.502 | 0.050 | - | - | - | - | - | - | - | - | - | - |
| MCH | 21.200 | 0.449 | 0.132 | −0.931 | 0.009 | 1.000 | 0.005 | - | - | −1.161 | 0.001 | - | - | −0.908 | 0.007 | - | - | - | - | - | - |
| MCHC | 35.608 | 0.107 | 0.830 | −0.939 | 0.122 | 1.490 | 0.013 | −0.902 | 0.049 | - | - | - | - | - | - | 1.462 | 0.010 | −0.201 | 0.770 | −0.486 | 0.548 |
| Reti | 249.681 | −18.155 | 0.382 | - | - | - | - | - | - | - | - | −37.572 | 0.089 | −67.193 | 0.008 | 16.617 | 0.489 | 2.485 | 0.936 | 108.036 | 0.003 |
| %Reti | 3.225 | - | - | −0.389 | 0.081 | - | - | - | - | - | - | −0.500 | 0.045 | −0.757 | 0.006 | 0.270 | 0.318 | 0.099 | 0.762 | 1.318 | 0.001 |
| %RDW | 22.546 | −0.909 | 0.378 | 3.425 | 0.008 | −2.854 | 0.024 | - | - | - | - | - | - | - | - | - | - | - | - | - | - |
| WBC | 7.880 | 0.750 | 0.538 | - | - | - | - | - | - | - | - | - | - | - | - | - | - | - | - | - | - |
| Neu | 1.397 | 0.767 | 0.035 | - | - | - | - | - | - | - | - | −0.536 | 0.142 | - | - | - | - | - | - | - | - |
| %Neu | 16.491 | 7.218 | 0.004 | - | - | - | - | - | - | - | - | −3.580 | 0.146 | - | - | - | - | - | - | - | - |
| Lym | 6.045 | 0.012 | 0.989 | - | - | - | - | - | - | - | - | - | - | - | - | - | - | - | - | - | - |
| %Lym | 77.871 | −6.401 | 0.020 | - | - | - | - | - | - | −3.893 | 0.170 | - | - | - | - | - | - | - | - | - | - |
| Mono | 0.274 | - | - | - | - | - | - | 0.141 | 0.044 | - | - | - | - | - | - | - | - | - | - | - | - |
| %Mono | 2.814 | 0.519 | 0.455 | - | - | 1.086 | 0.109 | 1.800 | 0.012 | - | - | - | - | - | - | - | - | - | - | - | - |
| Eos | 0.190 | - | - | - | - | - | - | - | - | 0.104 | 0.024 | - | - | - | - | −0.061 | 0.175 | −0.165 | 0.007 | −0.098 | 0.120 |
| %Eos | 1.698 | 0.148 | 0.772 | - | - | - | - | - | - | 0.847 | 0.125 | - | - | - | - | - | - | - | - | - | - |
| Baso | 0.073 | - | - | - | - | - | - | - | - | - | - | - | - | - | - | - | - | - | - | - | - |
| %Baso | 0.854 | −0.148 | 0.595 | - | - | 0.426 | 0.119 | - | - | - | - | - | - | - | - | - | - | - | - | - | - |
| Platelet | 335.717 | −26.523 | 0.569 | - | - | −126.445 | 0.006 | 105.634 | 0.028 | 112.846 | 0.030 | - | - | 81.028 | 0.157 | - | - | - | - | - | - |
| MPV | 8.198 | −0.334 | 0.382 | - | - | - | - | 0.859 | 0.029 | - | - | - | - | - | - | - | - | - | - | - | - |
| PDW | 9.434 | −0.710 | 0.124 | - | - | - | - | −0.815 | 0.079 | - | - | - | - | - | - | - | - | - | - | - | - |
| PCT | 0.247 | - | - | - | - | −0.119 | 0.018 | 0.149 | 0.007 | 0.076 | 0.188 | - | - | 0.123 | 0.040 | - | - | - | - | - | - |
| Intercept | Age | Gender | Neuter Status | Location | Diet | Caging Arrangement | Other Pets in Household | Season (Spring) | Season (Summer) | Season (Winter) | |||||||||||
|---|---|---|---|---|---|---|---|---|---|---|---|---|---|---|---|---|---|---|---|---|---|
| Parameters | PE | PE | p Value | PE | p Value | PE | p Value | PE | p Value | PE | p Value | PE | p Value | PE | p Value | PE | p Value | PE | p Value | PE | p Value |
| BUN | 20.906 | 3.473 | 0.186 | - | - | - | - | −3.686 | 0.147 | - | - | - | - | −6.279 | 0.052 | 6.916 | 0.023 | 3.268 | 0.384 | 2.095 | 0.613 |
| CRE | 0.273 | - | - | - | - | - | - | - | - | - | - | - | - | - | - | - | - | - | - | - | - |
| ALT | 68.464 | 14.898 | 0.254 | - | - | - | - | - | - | 20.987 | 0.147 | - | - | - | - | - | - | - | - | - | - |
| ALP | 162.574 | −23.672 | 0.544 | 62.672 | 0.114 | - | - | - | - | - | - | - | - | - | - | - | - | - | - | - | - |
| AST | 49.644 | 21.042 | 0.001 | - | - | - | - | −11.622 | 0.066 | - | - | - | - | −10.724 | 0.132 | - | - | - | - | - | - |
| TBIL | 0.463 | - | - | - | - | - | - | - | - | - | - | - | - | −0.118 | 0.177 | - | - | - | - | - | - |
| GLU | 152.579 | −1.198 | 0.907 | - | - | - | - | - | - | - | - | - | - | - | - | −9.906 | 0.384 | 39.487 | 0.011 | 19.579 | 0.231 |
| CA | 9.058 | 0.207 | 0.370 | - | - | - | - | - | - | −0.421 | 0.102 | - | - | - | - | - | - | - | - | - | - |
| TP | 6.385 | −0.282 | 0.107 | −0.268 | 0.126 | - | - | - | - | - | - | - | - | - | - | - | - | - | - | - | - |
| ALB | 4.713 | −0.447 | 0.003 | - | - | - | - | −0.291 | 0.049 | - | - | - | - | - | - | - | - | - | - | - | - |
| GLOB | 1.354 | 0.206 | 0.175 | - | - | - | - | 0.494 | 0.002 | - | - | - | - | - | - | - | - | - | - | - | - |
| NA | 139.654 | −2.264 | 0.033 | - | - | - | - | - | - | −1.742 | 0.138 | - | - | - | - | 0.690 | 0.544 | −1.862 | 0.224 | 2.802 | 0.100 |
| K | 3.176 | 0.825 | <0.001 | - | - | - | - | 0.424 | 0.017 | - | - | - | - | - | - | 0.287 | 0.156 | 0.329 | 0.204 | −0.330 | 0.249 |
| CL | 104.773 | −2.261 | 0.075 | - | - | - | - | 1.739 | 0.160 | 3.438 | 0.020 | - | - | - | - | 2.243 | 0.100 | −2.183 | 0.263 | 3.529 | 0.081 |
Publisher’s Note: MDPI stays neutral with regard to jurisdictional claims in published maps and institutional affiliations. |
© 2022 by the authors. Licensee MDPI, Basel, Switzerland. This article is an open access article distributed under the terms and conditions of the Creative Commons Attribution (CC BY) license (https://creativecommons.org/licenses/by/4.0/).
Share and Cite
Lin, V.C.Y.; Yang, N.-Y.; Lin, W.-C.; Chen, J.-W.; Yen, C.-Y.; Tsai, Y.-L. Establishment of Hematological and Plasma Biochemical Reference Values and Analysis of Risk Factors for Pet Sugar Gliders (Petaurus breviceps) in Taiwan. Animals 2022, 12, 3583. https://doi.org/10.3390/ani12243583
Lin VCY, Yang N-Y, Lin W-C, Chen J-W, Yen C-Y, Tsai Y-L. Establishment of Hematological and Plasma Biochemical Reference Values and Analysis of Risk Factors for Pet Sugar Gliders (Petaurus breviceps) in Taiwan. Animals. 2022; 12(24):3583. https://doi.org/10.3390/ani12243583
Chicago/Turabian StyleLin, Vivian C. Y., Ning-Ya Yang, Wen-Chi Lin, Jo-Wen Chen, Ching-Yi Yen, and Yi-Lun Tsai. 2022. "Establishment of Hematological and Plasma Biochemical Reference Values and Analysis of Risk Factors for Pet Sugar Gliders (Petaurus breviceps) in Taiwan" Animals 12, no. 24: 3583. https://doi.org/10.3390/ani12243583
APA StyleLin, V. C. Y., Yang, N.-Y., Lin, W.-C., Chen, J.-W., Yen, C.-Y., & Tsai, Y.-L. (2022). Establishment of Hematological and Plasma Biochemical Reference Values and Analysis of Risk Factors for Pet Sugar Gliders (Petaurus breviceps) in Taiwan. Animals, 12(24), 3583. https://doi.org/10.3390/ani12243583

