Prevalence and Molecular Characterization of Salmonella Isolated from Broiler Farms at the Tolima Region—Colombia
Abstract
Simple Summary
Abstract
1. Introduction
2. Materials and Methods
2.1. Study Population
2.2. Study Design
2.3. Sample Collection
2.4. Salmonella Isolation and Identification
2.5. Molecular Confirmation of Salmonella
2.6. Salmonella Serotyping
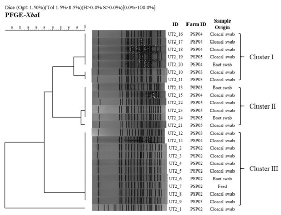
2.7. Molecular Characterization by Pulse Field Gel Electrophoresis (PFGE)
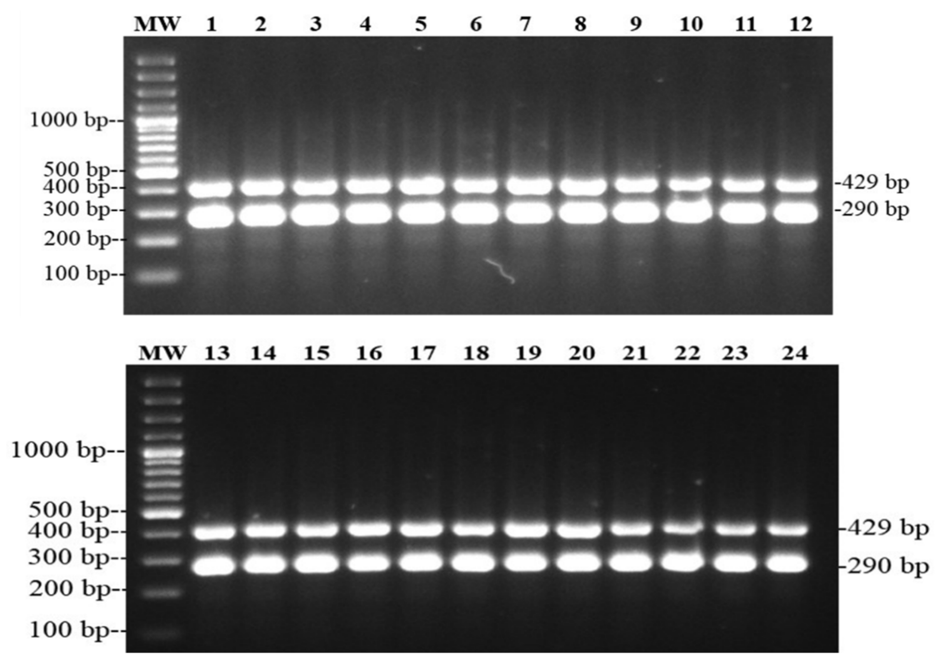
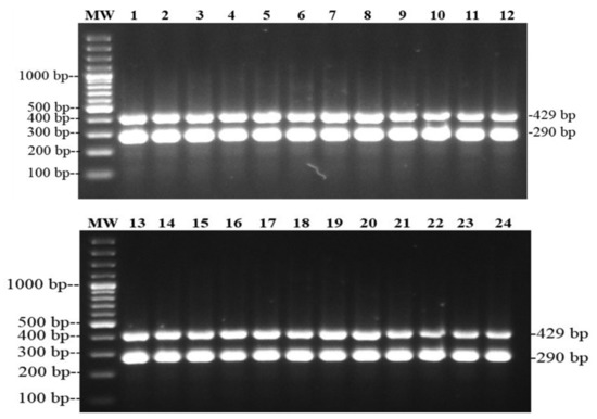
2.8. Multiplex PCR for the Discrimination of dT+ and dT− Salmonella Isolates
3. Results
3.1. Prevalence of Salmonella
3.2. Molecular Confirmation of Salmonella Genus by PCR
3.3. Salmonella Serovars
3.4. PFGE Analysis
3.5. Molecular Discrimination of dT+ and dT− Salmonella Isolates
4. Discussion
5. Conclusions
Author Contributions
Funding
Institutional Review Board Statement
Informed Consent Statement
Data Availability Statement
Acknowledgments
Conflicts of Interest
References
- World Health Organization. Salmonella (Non-Typhoidal). Available online: https://www.who.int/es/news-room/fact-sheets/detail/salmonella-(non-typhoidal) (accessed on 20 December 2020).
- Antunes, P.; Mourão, J.; Campos, J.; Peixe, L. Salmonellosis: The role of poultry meat. Clin. Microbiol. Infect. 2016, 22, 110–121. [Google Scholar] [CrossRef]
- Centers for Disease Control and Prevention Salmonella Page. Available online: https://www.cdc.gov/salmonella/index.html#:~:text=CDCestimatesSalmonellabacteriacause,%2Cfever%2Candstomachcramps (accessed on 1 December 2020).
- European Food Safety Authority. EFSA Explains Zoonotic Diseases: Food-Borne Zoonotic Diseases. Available online: https://www.efsa.europa.eu/sites/default/files/corporate_publications/files/factsheetfoodbornezoonoses2014_en.pdf (accessed on 18 December 2020).
- Rajan, K.; Shi, Z.; Ricke, S.C. Current aspects of Salmonella contamination in the US poultry production chain and the potential application of risk strategies in understanding emerging hazards. Crit. Rev. Microbiol. 2017, 43, 370–392. [Google Scholar] [CrossRef] [PubMed]
- Braden, C.R. Salmonella enterica serotype enteritidis and eggs: A national epidemic in the United States. Clin. Infect. Dis. 2006, 43, 512–517. [Google Scholar] [CrossRef]
- Fandiño, L.C.; Verjan, N. A Common Salmonella enteritidis sequence type from poultry and human gastroenteritis in Ibagué, Colombia. Biomédica 2019, 39. [Google Scholar] [CrossRef] [PubMed]
- European Food Safety Authority Salmonella. Available online: https://www.efsa.europa.eu/es/press/news/120308 (accessed on 1 December 2020).
- Instituto Nacional de Salud. Salmonella spp: “Colombia 1997–2018”; Dirección Redes En Salud Pública, Instituto Nacional de Salud: Bogotá, Colombia, 2019; pp. 1–25. [Google Scholar]
- Le Bouquin, S.; Allain, V.; Rouxel, S.; Petetin, I.; Picherot, M.; Michel, V.; Chemaly, M. Prevalence and risk factors for Salmonella spp. Contamination in French broiler-chicken flocks at the end of the rearing period. Prev. Vet. Med. 2010, 97, 245–251. [Google Scholar] [CrossRef]
- Namata, H.; Méroc, E.; Aerts, M.; Faes, C.; Abrahantes, J.C.; Imberechts, H.; Mintiens, K. Salmonella in Belgian Laying Hens: An identification of risk factors. Prev. Vet. Med. 2008, 83, 323–336. [Google Scholar] [CrossRef] [PubMed]
- Rodríguez, R.; Fandiño, C.; Donado, P.; Guzmán, L.; Verjan, N. Characterization of Salmonella from commercial egg-laying hen farms in a central region of Colombia. Avian Dis. 2015, 59, 57–63. [Google Scholar] [CrossRef] [PubMed]
- Mogollon, C.; Rodriguez, V.; Verjan, N. Serotyping and molecular typing of salmonella isolated from commercial eggs at Ibague, Colombia. Rev. Salud Anim. 2016, 38, 1–10. [Google Scholar]
- Donado-Godoy, P.; Gardner, I.; Byrne, B.A.; Leon, M.; Perez-Gutierrez, E.; Ovalle, M.V.; Tafur, M.A.; Miller, W. Prevalence, risk factors, and antimicrobial resistance profiles of Salmonella from commercial broiler farms in two important poultry-producing regions of Colombia. J. Food Prot. 2012, 75, 874–883. [Google Scholar] [CrossRef]
- Castro-Var, R.; de Rubio, L.C.F.; Vega, A.; Rondon-Bar, I. Phenotypic and genotypic resistance of salmonella heidelberg isolated from one of the largest poultry production region from Colombia. Int. J. Poult. Sci. 2019, 18, 610–617. [Google Scholar] [CrossRef]
- Carrique-Mas, J.J.; Davies, R.H. Sampling and bacteriological detection of Salmonella in poultry and poultry premises: A review. Rev. Sci. Tech. 2008, 27, 665. [Google Scholar] [CrossRef]
- European Commission Baseline Study on the Prevalence of Salmonella in Broiler Flocks of Gallus Gallus in the EU: Technical Specifications. Available online: http://ec.europa.eu/food/food/biosafety/salmonella/tech_spec_sanco-1688-2005_rev1_en.pdf (accessed on 18 December 2020).
- FASS (Federation of Animal Science Societies) Writing Committee. Guide for the Care and Use Ofagricultural Animals in Research and Teaching, 3rd ed.; Federation of Animal Science Societies: Champaign, IL, USA, 2010; ISBN 9781884706110. [Google Scholar]
- Li, Q.; Cheng, W.; Zhang, D.; Yu, T.; Yin, Y.; Ju, H.; Ding, S. Rapid and sensitive strategy for salmonella detection using an inva gene-based electrochemical DNA sensor. Int. J. Electrochem. Sci. 2012, 7, 844–856. [Google Scholar]
- Rahn, K.; De Grandis, S.A.; Clarke, R.C.; McEwen, S.A.; Galán, J.E.; Ginocchio, C.; Curtiss, R.; Gyles, C.L. Amplification of an InvA gene sequence of Salmonella typhimurium by polymerase chain reaction as a specific method of detection of Salmonella. Mol. Cell. Probes 1992, 6, 271–279. [Google Scholar] [CrossRef]
- CDC. Standard Operating Procedure for Pulsenet PFGE of Escherichia coli O157: H7, Escherichia coli Non-O157 (STEC), Salmonella Serotypes, Shigella sonnei and Shigella flexneri. CDC 2013, 157, 1–13. Available online: https://www.cdc.gov/pulsenet/pdf/ecoli-shigella-salmonella-pfge-protocol-508c.pdf (accessed on 10 December 2020).
- Ribot, E.M.; Fair, M.A.; Gautom, R.; Cameron, D.N.; Hunter, S.B.; Swaminathan, B.; Barrett, T.J. Standardization of pulsed-field gel electrophoresis protocols for the subtyping of Escherichia Coli O157:H7, Salmonella, and Shigella for PulseNet. Foodborne Pathog. Dis. 2006, 3, 59–67. [Google Scholar] [CrossRef]
- Malorny, B.; Bunge, C.; Helmuth, R. Discrimination of D-Tartrate-Fermenting and -Nonfermenting Salmonella enterica Subsp. enterica isolates by genotypic and phenotypic methods. J. Clin. Microbiol. 2003, 41, 4292–4297. [Google Scholar] [CrossRef]
- Aabo, S.; Rasmussen, O.F.; Rossen, L.; Sørensen, P.D.; Olsen, J.E. Salmonella Identification by the polymerase chain reaction. Mol. Cell. Probes 1993, 7, 171–178. [Google Scholar] [CrossRef] [PubMed]
- Castro-vargas, R.E.; Herrera-sánchez, M.P.; Rodríguez-hernández, R. Antibiotic resistance in Salmonella spp. Isolated from Poultry: A global overview. Vet. World 2020, 13, 2070–2084. [Google Scholar] [CrossRef] [PubMed]
- Rodriguez, J.; Rondón, I.; Verjan, N. Serotypes of Salmonella in Broiler Carcasses Marketed at Ibague, Colombia. Rev. Bras. Ciência Avícola 2015, 17, 545–552. [Google Scholar] [CrossRef]
- Castellanos, L.R.; van der Graaf-van Bloois, L.; Donado-Godoy, P.; León, M.; Clavijo, V.; Arévalo, A.; Bernal, J.F.; Mevius, D.J.; Wagenaar, J.A.; Zomer, A.; et al. Genomic characterization of extended-spectrum cephalosporin-resistant Salmonella enterica in the Colombian Poultry Chain. Front. Microbiol. 2018, 9, 2431. [Google Scholar] [CrossRef]
- Donado-Godoy, P.; Castellanos, R.; León, M.; Arevalo, A.; Clavijo, V.; Bernal, J.; León, D.; Tafur, M.A.; Byrne, B.A.; Smith, W.A.; et al. The establishment of the colombian integrated program for antimicrobial resistance surveillance (COIPARS): A pilot project on poultry farms, slaughterhouses and retail market. Zoonoses Public Health 2015, 62, 58–69. [Google Scholar] [CrossRef]
- Foley, S.L.; Nayak, R.; Hanning, I.B.; Johnson, T.J.; Han, J.; Ricke, S.C. Population dynamics of Salmonella enterica serotypes in commercial egg and poultry production. Appl. Environ. Microbiol. 2011, 77, 4273–4279. [Google Scholar] [CrossRef]
- Kloska, F.; Beyerbach, M.; Klein, G. Infection dynamics and antimicrobial resistance profile of Salmonella paratyphi B D-Tartrate Positive (Java) in a persistently infected broiler barn. Int. J. Environ. Res. Public Health 2017, 14, 101. [Google Scholar] [CrossRef]
- Issenhuth-Jeanjean, S.; Roggentin, P.; Mikoleit, M.; Guibourdenche, M.; de Pinna, E.; Nair, S.; Weill, F.X. Supplement 2008 e 2010 (No. 48) to the White e Kauffmann e Le Minor. Res. Microbiol. 2014, 165, 526–530. [Google Scholar] [CrossRef] [PubMed]
- Miko, A.; Guerra, B.; Schroeter, A.; Dorn, C.; Helmuth, R. Molecular characterization of multiresistant D-tartrate-positive Salmonella enterica serovar paratyphi B isolates. J. Clin. Microbiol. 2002, 40, 3184–3191. [Google Scholar] [CrossRef]
- Gand, M.; Mattheus, W.; Saltykova, A.; Roosens, N.; Dierick, K.; Marchal, K.; De Keersmaecker, S.C.J.; Bertrand, S. Development of a real-time PCR method for the genoserotyping of Salmonella paratyphi B variant java. Appl. Microbiol. Biotechnol. 2019, 103, 4987–4996. [Google Scholar] [CrossRef] [PubMed]
- Connor, T.R.; Owen, S.V.; Langridge, G.; Connell, S.; Nair, S.; Reuter, S.; Dallman, T.J.; Corander, J.; Tabing, K.C.; Le Hello, S.; et al. What’s in a Name? Species-wide whole-genome sequencing resolves invasive and noninvasive lineages of Salmonella enterica serotype paratyphi B. MBio 2016, 7. [Google Scholar] [CrossRef] [PubMed]
- Ahmad, N.; Tang, S.; Hoon Bsc, G.; Kamel, M.; Ghani, A.; Yin, K.; Dipmlt, T. The discrimination of D-tartrate positive and d-tartrate negative S. enterica Subsp. enterica Serovar Paratyphi B isolated in Malaysia by Phenotypic and Genotypic Methods. Malays J. Pathol. 2012, 34, 35–39. [Google Scholar]
- Huehn, S.; Helmuth, R.; Bunge, C.; Guerra, B.; Junker, E.; Davies, R.H.; Wattiau, P.; Van Pelt, W.; Malorny, B. Characterization of pathogenic and resistant genome repertoire reveals two clonal lines in Salmonella enterica Subsp. Enterica Serovar Paratyphi B (+)-tartrate positive. Foodborne Pathog. Dis. 2009, 6, 431–443. [Google Scholar] [CrossRef]
- Althaus, D.; Zweifel, C.; Stephan, R. Analysis of a poultry slaughter process: Influence of Process stages on the microbiological contamination of broiler carcasses. Ital. J. Food Saf. 2017, 6, 7097. [Google Scholar] [CrossRef]
- Cota, J.B.; da Silva, V.F.; Chambel, L.; Veloso, M.G.; Vieira-Pinto, M.; Oliveira, M. Pheno and genotyping of salmonella from slaughtered pigs in a portuguese abattoir reveal differential persistence ability. Vet. Microbiol. 2019, 239, 108457. [Google Scholar] [CrossRef]
- Rivera-Pérez, W.; Barquero-Calvo, E.; Zamora-Sanabria, R. Salmonella Contamination risk points in broiler carcasses during slaughter line processing. J. Food Prot. 2014, 77, 2031–2034. [Google Scholar] [CrossRef]
- Armwood, B.T.; Rieth, A.; Baldwin, L.; Roney, C.S.; Barbieri, N.L.; Logue, C.M. Assessing the Ability of maternal antibodies to protect broiler chicks against colonization by Salmonella heidelberg. Avian Dis. 2019, 63, 289–293. [Google Scholar] [CrossRef]
- McWhorter, A.R.; Chousalkar, K.K. From hatch to egg grading: Monitoring of Salmonella Shedding in free-range egg production systems. Vet. Res. 2019, 50, 58. [Google Scholar] [CrossRef]
- Voss-Rech, D.; Kramer, B.; Silva, V.S.; Rebelatto, R.; Abreu, P.G.; Coldebella, A.; Vaz, C.S.L. Longitudinal study reveals persistent environmental Salmonella heidelberg in Brazilian broiler farms. Vet. Microbiol. 2019, 233, 118–123. [Google Scholar] [CrossRef]
- Donado-Godoy, P.; Clavijo, V.; León, M.; Tafur, M.A.; Gonzales, S.; Hume, M.; Alali, W.; Walls, I.; Lo Fo Wong, D.M.; Doyle, M.P. Prevalence of Salmonella on retail broiler chicken meat carcasses in Colombia. J. Food Prot. 2012, 75, 1134–1138. [Google Scholar] [CrossRef] [PubMed]
- Herrera-Sánchez, M.P.; Rodríguez-Hernández, R.; Rondón-Barragán, I.S. Molecular characterization of antimicrobial resistance and enterobacterial repetitive intergenic consensus-PCR as a molecular typing tool for Salmonella spp. Isolated from poultry and humans. Veter World 2020, 13, 1771–1779. [Google Scholar] [CrossRef] [PubMed]
- Perin, A.P.; Martins, B.T.F.; Barreiros, M.A.B.; Yamatogi, R.S.; Nero, L.A.; Dos Santos Bersot, L. Occurrence, quantification, pulse types, and antimicrobial susceptibility of Salmonella sp. Isolated from chicken meat in the state of Paraná, Brazil. Braz. J. Microbiol. 2020, 51, 335–345. [Google Scholar] [CrossRef] [PubMed]
- Quesada, A.; Reginatto, G.A.; Ruiz Español, A.; Colantonio, L.D.; Burrone, M.S. Antimicrobial resistance of Salmonella spp isolated animal food for human consumption. Rev. Peru. Med. Exp. Salud Publica 2016, 33, 32–44. [Google Scholar] [CrossRef] [PubMed]
- van Pelt, W.; van der Zee, H.; Wannet, W.J.B.; van de Giessen, A.W.; Mevius, D.J.; Bolder, N.M. Explosive Increase of Salmonella Java in poultry in the Netherlands: Consequences for public health. Eurosurveillance 2003, 8, 31–35. [Google Scholar] [CrossRef]
- Donado-Godoy, P.; Byrne, B.A.; Hume, M.; León, M.; Pérez-Gutiérrez, E.; Vives Flores, M.J.; Clavijo, V.; Holguin, Á.; Romero-Zuñiga, J.J.; Castellanos, R.; et al. Molecular characterization of Salmonella paratyphi B DT+ and Salmonella Heidelberg from poultry and retail chicken meat in Colombia by pulsed-field gel electrophoresis. J. Food Prot. 2015, 78, 802–807. [Google Scholar] [CrossRef] [PubMed]
- Phongaran, D.; Khang-Air, S.; Angkititrakul, S. Molecular epidemiology and antimicrobial resistance of Salmonella isolates from Broilers and Pigs in Thailand. Vet. World 2019, 12, 1311–1318. [Google Scholar] [CrossRef] [PubMed]



Publisher’s Note: MDPI stays neutral with regard to jurisdictional claims in published maps and institutional affiliations. |
© 2021 by the authors. Licensee MDPI, Basel, Switzerland. This article is an open access article distributed under the terms and conditions of the Creative Commons Attribution (CC BY) license (http://creativecommons.org/licenses/by/4.0/).
Share and Cite
Rodríguez-Hernández, R.; Bernal, J.F.; Cifuentes, J.F.; Fandiño, L.C.; Herrera-Sánchez, M.P.; Rondón-Barragán, I.; Verjan Garcia, N. Prevalence and Molecular Characterization of Salmonella Isolated from Broiler Farms at the Tolima Region—Colombia. Animals 2021, 11, 970. https://doi.org/10.3390/ani11040970
Rodríguez-Hernández R, Bernal JF, Cifuentes JF, Fandiño LC, Herrera-Sánchez MP, Rondón-Barragán I, Verjan Garcia N. Prevalence and Molecular Characterization of Salmonella Isolated from Broiler Farms at the Tolima Region—Colombia. Animals. 2021; 11(4):970. https://doi.org/10.3390/ani11040970
Chicago/Turabian StyleRodríguez-Hernández, Roy, Johan F. Bernal, Jimmy F. Cifuentes, Luz Clemencia Fandiño, María P. Herrera-Sánchez, Iang Rondón-Barragán, and Noel Verjan Garcia. 2021. "Prevalence and Molecular Characterization of Salmonella Isolated from Broiler Farms at the Tolima Region—Colombia" Animals 11, no. 4: 970. https://doi.org/10.3390/ani11040970
APA StyleRodríguez-Hernández, R., Bernal, J. F., Cifuentes, J. F., Fandiño, L. C., Herrera-Sánchez, M. P., Rondón-Barragán, I., & Verjan Garcia, N. (2021). Prevalence and Molecular Characterization of Salmonella Isolated from Broiler Farms at the Tolima Region—Colombia. Animals, 11(4), 970. https://doi.org/10.3390/ani11040970

