Growth, Hemato-Biochemical Parameters, Body Composition, and Myostatin Gene Expression of Clarias gariepinus Fed by Replacing Fishmeal with Plant Protein
Abstract
Simple Summary
Abstract
1. Introduction
2. Materials and Methods
2.1. Ethical Statement
2.2. Experimental Diet
2.3. Fish, Experimental Condition, and Feeding Schedule
2.4. Sampling and Analytical Methods
2.4.1. Growth Parameters and Morphological Index
2.4.2. Hematologic Analysis
2.4.3. Biochemical Analysis, Serum Growth Hormone (GH), and Digestive Enzymes
2.4.4. Body Composition Chemical Analysis
2.4.5. Liver Histology and Intestinal Morphometric Analysis
2.4.6. Myostatin Gene Expression
2.4.7. Economic Efficacy ($)
2.5. Statistical Analysis
3. Results
3.1. Growth Performances and Biometric Indices
3.2. Hematological and Biochemical Indices and Fish Body Composition
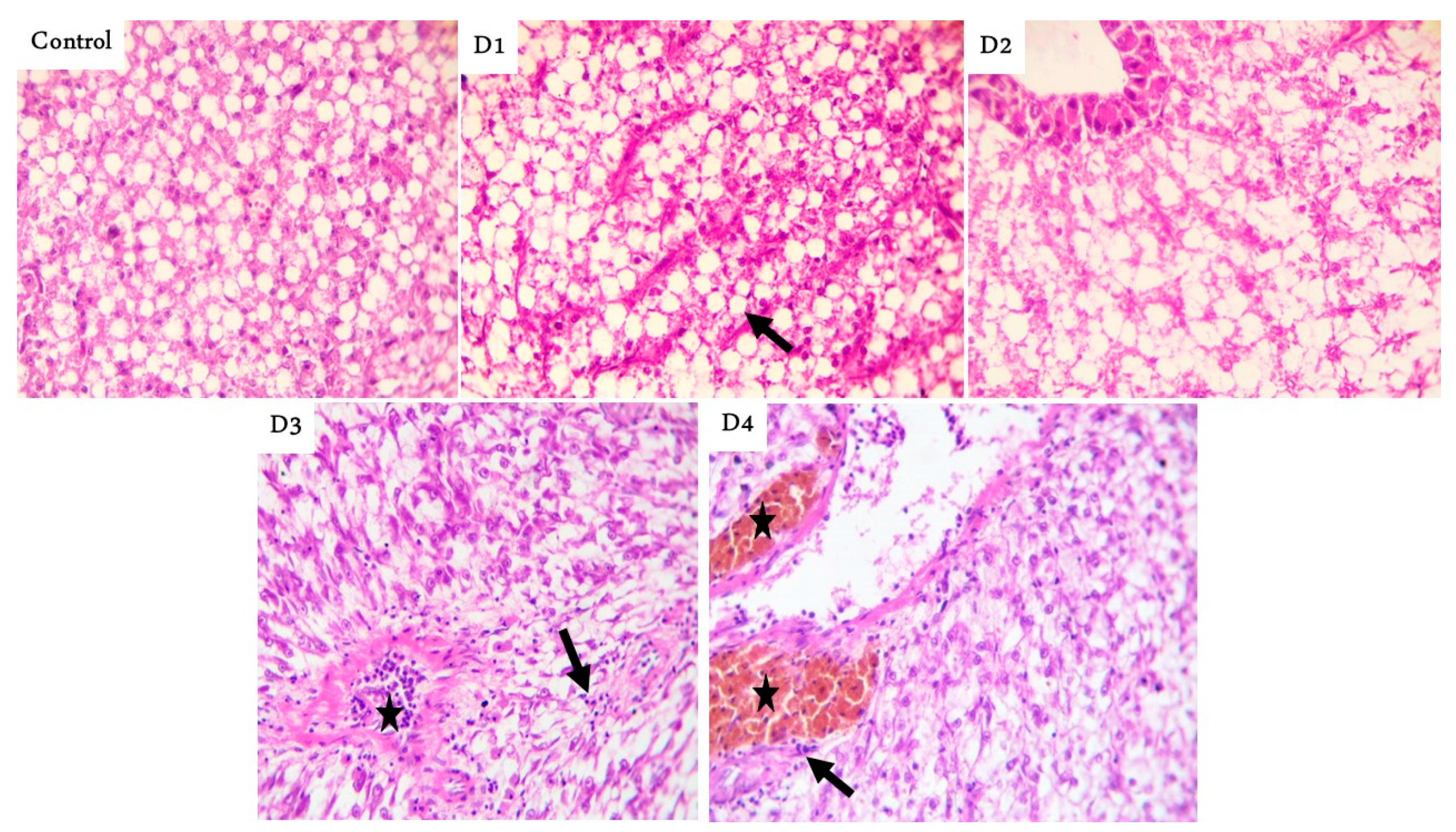
3.3. Photomicrograph of Cross-Sections of Fish Intestinal Parts and Liver Histology
3.4. Myostatin Gene Expression
3.5. Economic Efficacy
4. Discussion
5. Conclusions
Author Contributions
Funding
Institutional Review Board Statement
Informed Consent Statement
Data Availability Statement
Acknowledgments
Conflicts of Interest
References
- FAO “Food and Agriculture Organization”. The State of World Fisheries and Aquaculture; FAO: Rome, Italy, 2014; Volume 223. [Google Scholar]
- Murray, J.; Burt, J. The Composition of Fish.Torry Advisory Note No. 38; Ministry of Technology, Torry Research Station: Aberdeen, UK, 2001. [Google Scholar]
- FAO “Food and Agriculture Organization”. The State of World Fisheries and Aquaculture; FAO: Rome, Italy, 2012; Volume 209. [Google Scholar]
- FAO “Food and Agriculture Organization”. Fisheries and Aquaculture Topics. Nutritional Elements of Fish. Topics Fach Sheet; FAO: Rome, Italy, 2015. [Google Scholar]
- Lovell, T. Nutrition and Feeding of Fish; Van Nostrand Reinhold: New York, NY, USA, 1989; Volume 260. [Google Scholar]
- FAO “Food and Agriculture Organization”. Aquaculture Production, 1986–1995; FAO Fish. bCirc. No 815 (FIDID/815-Rev.9); FAO: Rome, Italy, 1997. [Google Scholar]
- Hogendoorn, H. The African Catfish (Clarias lazera C. and V., 1840): A New Species for Aquaculture. Ph.D. Thesis, Wageningen Agricultural University, Wageningen, The Netherlands, 1983. [Google Scholar]
- El Naggar, G.O.; John, G.; Rezk, M.A.; Elwan, W.; Yehia, M. Effect of varying density and water level on the spawning response of African catfish Clarias gariepinus: Implications for seed production. Aquaculture 2006, 261, 904–907. [Google Scholar] [CrossRef]
- Muchlisin, Z.A.; Nadiah, W.N.; Siti Azizah, M.N. Exploration of natural cryoprotectants for cryopreservation of African catfish, Clarias gariepinus, Burchell 1822 (Pisces: Clariidae) spermatozoa. Czech J. Anim. Sci. 2015, 60, 10–15. [Google Scholar] [CrossRef]
- Fadri, S.; Muchlisin, Z.; Sugito, S. Growth performance, survival rate and feed utilization of Nile tilapia, Oreochromis niloticus fed experimental diet contains jaloh leafs, Salix tetrasperma Roxb at different levels of EM-4 probiotic. J. Ilm. Mhs. Kelautan Perikanan Unsyiah 2016, 1, 210–221. [Google Scholar]
- Abdelghany, A. Partial and complete replacement of fish meal with gambusia meal in diets for red tilapia ‘Oreochromis niloticus× O. mossambicus’. Aquac. Nutr. 2003, 9, 145–154. [Google Scholar] [CrossRef]
- Gatlin, D.M., III; Barrows, F.T.; Brown, P.; Dabrowski, K.; Gaylord, T.G.; Hardy, R.W.; Herman, E.; Hu, G.; Krogdahl, Å.; Nelson, R. Expanding the utilization of sustainable plant products in aquafeeds: A review. Aquac. Res. 2007, 38, 551–579. [Google Scholar] [CrossRef]
- Hardy, R.W.; Tacon, A.G. Fish meal: Historical uses, production trends and future outlook for sustainable supplies. Responsible Mar. Aquac. 2002, 311–325. [Google Scholar]
- Olivera-Castillo, L.; Pino-Aguilar, M.; Lara-Flores, M.; Granados-Puerto, S.; Montero-Muñoz, J.; Olvera-Novoa, M.; Grant, G. Substitution of fish meal with raw or treated cowpea (Vigna unguiculata L Walp, IT86-D719) meal in diets for Nile tilapia (Oreochromis niloticus L.) fry. Aquac. Nutr. 2011, 17, e101–e111. [Google Scholar] [CrossRef]
- Riche, M.; Williams, T. Fish meal replacement with solvent-extracted soybean meal or soy protein isolate in a practical diet formulation for Florida pompano (Trachinotus carolinus, L.) reared in low salinity. Aquac. Nutr. 2011, 17, 368–379. [Google Scholar] [CrossRef]
- Gatlin, D.; Hardy, R. Manipulations of diets and feeding to reduce losses of nutrients in intensive aquaculture. Aquac. Environ. USA 2002, 155–165. [Google Scholar]
- Lovell, R.T. Use of soybean meal in diets for aquaculture species. J. Aquat. Prod. 1988, 2, 27–52. [Google Scholar]
- Rumsey, G.L.; Hughes, S.G.; Winfree, R.A. Chemical and nutritional evaluation of soya protein preparations as primary nitrogen sources for rainbow trout (Oncorhynchus mykiss). Anim. Feed Sci. Tech. 1993, 40, 135–151. [Google Scholar] [CrossRef]
- El-Sayed, A.-F.M. Alternative dietary protein sources for farmed tilapia, Oreochromis spp. Aquaculture 1999, 179, 149–168. [Google Scholar] [CrossRef]
- Francis, G.; Makkar, H.P.; Becker, K. Antinutritional factors present in plant-derived alternate fish feed ingredients and their effects in fish. Aquaculture 2001, 199, 197–227. [Google Scholar] [CrossRef]
- Olvera-Novoa, M.A.; Olivera-Castillo, L.; Martínez-Palacios, C.A. Sunflower seed meal as a protein source in diets for Tilapia rendalli (Boulanger, 1896) fingerlings. Aquac. Res. 2002, 33, 223–229. [Google Scholar] [CrossRef]
- Nogales Merida, S.; Jover Cerda, M.; Martínez-Llorens, S.; Tomás Vidal, A. A study of partial replacement of fish meal with sunflower meal on growth, amino acid retention, and body composition of sharpsnout seabream, Diplodus puntazzo (Actinopterygii: Perciformes: Sparidae). Acta Ichthyol. Piscat. 2011, 41, 47–54. [Google Scholar] [CrossRef][Green Version]
- Rab, A. Feed formulation for rainbow trout at Madyan, Swat ( NWFP). Report submitted to Technical Committee on Fisheries; PARC: Palo Alto, CA, USA, 1993; pp. 1–10. [Google Scholar]
- Khan, M.N.; Parveen, M.; Rab, A.; Afzal, M.; Sahar, L.; Ali, M.R.; Naqvi, S. Effect of replacement of fish meal by soybean and sunflower meal in the diet of Cyprinus carpio fingerlings. Pak. J. Biol. Sci. 2003, 6, 601–604. [Google Scholar] [CrossRef]
- Rahmdel, K.J.; Noveirian, H.A.; Falahatkar, B.; Lashkan, A.B. Effects of replacing fish meal with sunflower meal on growth performance, body composition, hematological and biochemical indices of common carp (Cyprinus carpio) fingerlings. Arch. Polish Fish. 2018, 26, 121–129. [Google Scholar] [CrossRef]
- NRC (National Research Council). Nutrient Requirement of Fishes; National Academy of Sciences: Washington, DC, USA, 1993. [Google Scholar]
- Hepher, B.; Liao, I.-C.; Cheng, S.; Hsieh, C. Food utilization by red tilapia—effects of diet composition, feeding level and temperature on utilization efficiencies for maintenance and growth. Aquaculture 1983, 32, 255–275. [Google Scholar] [CrossRef]
- AOAC. Official Methods of Analysis, 15th ed.; Association of Official Analysis of Chemist: Washington, DC, USA, 2000. [Google Scholar]
- Llames, C.R.; Fontaine, J. Determination of amino acids in feeds: Collaborative study. J. AOAC Int. 1994, 77, 1362–1402. [Google Scholar] [CrossRef]
- APHA. Standards Methods for Examination of Water and Wastewater, 20th ed.; (American Health Association) American Public Health Association Inc.: Washington, DC, USA, 1998. [Google Scholar]
- Neiffer, D.L.; Stamper, M.A. Fish sedation, anesthesia, analgesia, and euthanasia: Considerations, methods, and types of drugs. ILAR J. 2009, 50, 343–360. [Google Scholar] [CrossRef] [PubMed]
- Moustafa, G.G.; Shaaban, F.; Hadeed, A.A.; Elhady, W.M. Immunotoxicological, biochemical, and histopathological studies on Roundup and Stomp herbicides in Nile catfish (Clarias gariepinus). Vet. World 2016, 9, 638. [Google Scholar] [CrossRef] [PubMed]
- Bligh, E.G.; Dyer, W.J. A rapid method of total lipid extraction and purification. Can. J. Biochem. Physiol. 1959, 37, 911–917. [Google Scholar] [CrossRef] [PubMed]
- Suvarna, K.S.; Layton, C.; Bancroft, J.D. Bancroft’s Theory and Practice of Histological Techniques E-Book; Elsevier Health Sciences, Churchill Livingstone: London, UK, 2018. [Google Scholar]
- Reda, R.M.; El-Hady, M.; Selim, K.M.; El-Sayed, H.M. Comparative study of three predominant gut Bacillus strains and a commercial B. amyloliquefaciens as probiotics on the performance of Clarias gariepinus. Fish Shellfish Immunol. 2018, 80, 416–425. [Google Scholar] [CrossRef] [PubMed]
- Garikipati, D.K.; Gahr, S.A.; Rodgers, B.D. Identification, characterization, and quantitative expression analysis of rainbow trout myostatin-1a and myostatin-1b genes. J. Endocrinol. 2006, 190, 879–888. [Google Scholar] [CrossRef] [PubMed]
- Gröner, F.; Ziková, A.; Kloas, W. Effects of the pharmaceuticals diclofenac and metoprolol on gene expression levels of enzymes of biotransformation, excretion pathways and estrogenicity in primary hepatocytes of Nile tilapia (Oreochromis niloticus). Comp. Biochem. Physiol. C Toxicol. Pharmacol. 2015, 167, 51–57. [Google Scholar] [CrossRef]
- Kanjanaworakul, P.; Sawatdichaikul, O.; Poompuang, S. cDNA sequence and protein bioinformatics analyses of MSTN in African catfish (Clarias gariepinus). Mol. Biol. Rep. 2016, 43, 283–293. [Google Scholar] [CrossRef] [PubMed]
- Masumoto, T.; Ruchimat, T.; Ito, Y.; Hosokawa, H.; Shimeno, S. Amino acid availability values for several protein sources for yellowtail (Seriola quinqueradiata). Aquaculture 1996, 146, 109–119. [Google Scholar] [CrossRef]
- Hoffman, L.; Prinsloo, J.; Rukan, G. Partial replacement of fish meal with either soybean meal, brewers yeast or tomato meal in the diets of African sharptooth catfish Clarias gariepinus. Water SA 1997, 23, 181–186. [Google Scholar]
- Sanz, A.; Morales, A.; De la Higuera, M.; Gardenete, G. Sunflower meal compared with soybean meals as partial substitutes for fish meal in rainbow trout (Oncorhynchus mykiss) diets: Protein and energy utilization. Aquaculture 1994, 128, 287–300. [Google Scholar] [CrossRef]
- Ogello, E.O.; Kembenya, E.M.; Githukia, C.M.; Aera, C.N.; Munguti, J.M.; Nyamweya, C.S. Substitution of fish meal with sunflower seed meal in diets for Nile tilapia (Oreochromis niloticus L.) reared in earthen ponds. J. Appl. Aquac. 2017, 29, 81–99. [Google Scholar] [CrossRef]
- Kaushik, S.; Cravedi, J.; Lalles, J.; Sumpter, J.; Fauconneau, B.; Laroche, M. Partial or total replacement of fish meal by soybean protein on growth, protein utilization, potential estrogenic or antigenic effects, cholesterolemia and flesh quality in rainbow trout, Oncorhynchus mykiss. Aquaculture 1995, 133, 257–274. [Google Scholar] [CrossRef]
- Regost, C.; Arzel, J.; Kaushik, S. Partial or total replacement of fish meal by corn gluten meal in diet for turbot (Psetta maxima). Aquaculture 1999, 180, 99–117. [Google Scholar] [CrossRef]
- Rehman, T.; Asad, F.; Qureshi, N.A.; Iqbal, S. Effect of plant feed ingredients (soybean and sunflower meal) on the growth and body composition of Labeo rohita. Am. J. Life Sci. 2013, 1, 125–129. [Google Scholar] [CrossRef]
- Mugo-Bundi, J.; Oyoo-Okoth, E.; Ngugi, C.C.; Manguya-Lusega, D.; Rasowo, J.; Chepkirui-Boit, V.; Opiyo, M.; Njiru, J. Utilization of Caridina nilotica (Roux) meal as a protein ingredient in feeds for Nile tilapia (Oreochromis niloticus). Aquac. Res. 2015, 46, 346–357. [Google Scholar] [CrossRef]
- Jackson, A.; Capper, B.; Matty, A. Evaluation of some plant proteins in complete diets for the tilapia Sarotherodon mossambicus. Aquaculture 1982, 27, 97–109. [Google Scholar] [CrossRef]
- Gill, N.; Higgs, D.A.; Skura, B.J.; Rowshandeli, M.; Dosanjh, B.S.; Mann, J.; Gannam, A.L. Nutritive value of partially dehulled and extruded sunflower meal for post-smolt Atlantic salmon (Salmo salar L.) in sea water. Aquac. Res. 2006, 37, 1348–1359. [Google Scholar] [CrossRef]
- Bilgüven, M.; Barış, M. Effects of the feeds containing different plant protein sources on growth performance and body composition of rainbow trout (Oncorhynchus mykiss, W.). Turkish J. Fish. Aquat. Sci. 2011, 11, 345–350. [Google Scholar] [CrossRef]
- Tahir, M.Z.I.; Ahmed, I.; Mateen, A.; Ashraf, M.; Naqvi, Z.; Ali, H. Studies on partial replacement of fish meal with oilseeds meal in the diet of major carps. Int. J. Agric. Biol. 2008, 10, 455–458. [Google Scholar]
- Tacon, A.G. Feed ingredients for carnivorous fish species: Alternatives to fishmeal and other fishery resources. Sustain. Fish Farming 1995, 89–114. [Google Scholar]
- Jahanbakhshi, A.; Imanpoor, M.R.; Taghizadeh, V.; Shabani, A. Hematological and serum biochemical indices changes induced by replacing fish meal with plant protein (sesame oil cake and corn gluten) in the Great sturgeon (Huso huso). Comp. Clin. Path 2013, 22, 1087–1092. [Google Scholar] [CrossRef]
- Munguti, J.; Liti, D.; Waidbacher, H.; Straif, M.; Zollitsch, W. Proximate composition of selected potential feedstuffs for Nile tilapia (Oreochromis niloticus Linnaeus) production in Kenya. Die Bodenkultur. 2006, 57, 131–141. [Google Scholar]
- Dayal, J.S.; Rajaram, V.; Ambasankar, K.; Ali, S.A. Sunflower oil cake as a replacement for fish meal in feeds of Tiger Shrimp, Penaeus monodon reared in tanks and in net cages. Indian J. Geol.-Mar. Sci. 2011, 40, 460–470. [Google Scholar]
- Goda, A.; El-Haroun, E.; Kabir Chowdhury, M. Effect of totally or partially replacing fish meal by alternative protein sources on growth of African catfish Clarias gariepinus (Burchell, 1822) reared in concrete tanks. Aquacu. Res. 2007, 38, 279–287. [Google Scholar] [CrossRef]
- Robinson, E.H.; Li, M.H. Use of plant proteins in catfish feeds: Replacement of soybean meal with cottonseed meal and replacement of fish meal with soybean meal and cottonseed meal. J. World Aquac. Soc. 1994, 25, 271–276. [Google Scholar] [CrossRef]
- Fagbenro, O.A. Soybean meal replacement by roquette (Eruca sativa Miller) seed meal as protein feedstuff in diets for African catfish, Clarias gariepinus (Burchell 1822), fingerlings. Aquac. Res 2004, 35, 917–923. [Google Scholar] [CrossRef]
- Liebowitz, H. Replacing Fish Meal with Soybean in Practical Catfish Diets. Ph.D. Thesis, University of Auburn, Auburn, AL, USA, 1981. [Google Scholar]
- Thanikachalam, K.; Kasi, M.; Rathinam, X. Effect of garlic peel on growth, hematological parameters and disease resistance against Aeromonas hydrophila in African catfish Clarias gariepinus (Bloch) fingerlings. Asian Pac. J. Trop. Dis. 2010, 3, 614–618. [Google Scholar] [CrossRef]
- Ozovehe, B.N. Growth performance, haematological indices and some biochemical enzymes of juveniles Clarias gariepinus (Burchell 1822) fed varying levels of Moringa oleifera leaf meal diet. J. Aquac. Res. Dev. 2013, 4, 166. [Google Scholar] [CrossRef]
- Solomon, S.; Okomoda, V.; Anyebe, P. Growth performance and hematological parameters of Clarias gariepinus fed varied levels of Cola nitida meal. J. Fish. Sci. Com 2015, 9, 20. [Google Scholar]
- El-feky, M.M. Growth Performance of African Catfish Clarias gariepinus (Burchell, 1822) treated with Live Bakers Yeast (Saccharomyces cerevisiae) in Egypt. Int. J. Biotech. Bioeng. 2017, 3, 176–187. [Google Scholar] [CrossRef][Green Version]
- Zhou, Q.C.; Mai, K.S.; Tan, B.P.; Liu, Y.J. Partial replacement of fishmeal by soybean meal in diets for juvenile cobia (Rachycentron canadum). Aquac. Nut. 2005, 11, 175–182. [Google Scholar] [CrossRef]
- Ye, J.; Liu, X.; Wang, Z.; Wang, K. Effect of partial fish meal replacement by soybean meal on the growth performance and biochemical indices of juvenile Japanese flounder Paralichthys olivaceus. Aquac. Int. 2011, 19, 143–153. [Google Scholar] [CrossRef]
- Wang, Y.; Yu, S.; Wang, Y.; Che, J.; Zhao, L.; Bu, X.; Yang, Y. Effect of replacing fish meal with soybean meal on growth, feed utilization and nitrogen and phosphorus excretion of juvenile Pseudobagrus ussuriensis. Aquac. Res. 2016, 47, 3145–3155. [Google Scholar] [CrossRef]
- Rocha, E.; Monteiro, R.; Pereira, C.A. The liver of the brown trout, Salmo trutta fario: A light and electron microscope study. J. Anat. 1994, 185, 241. [Google Scholar] [PubMed]
- Oyawoye, E.; Ogunkunle, M. Physiological and biochemical effects of raw jack beans on broilers. In Proceedings of the Annual Conference of Nigerian Society of Animal Production, Abeokuta, Nigeria, 26 March 1998; pp. 141–142. [Google Scholar]
- Osuigwe, D.; Obiekezie, A.; Onuoha, G. Some haematological changes in hybrid catfish (Heterobranchus longifilis × Clarias gariepinus) fed different dietary levels of raw and boiled jackbean (Canavalia ensiformis) seed meal. Afr. J. Biotechnol. 2005, 4, 1017–1021. [Google Scholar]
- Musa, S.M.; Aura, C.M.; Ogello, E.O.; Omondi, R.; Charo-Karisa, H.; Munguti, J.M. Haematological Response of African Catfish (Clarias gariepinus Burchell 1822) fingerlings exposed to different concentrations of Tobacco (Nicotiana tobaccum) leaf dust. ISRN Zool. 2013, 2013. [Google Scholar] [CrossRef]
- Kumar, V.; Makkar, H.P.; Amselgruber, W.; Becker, K. Physiological, haematological and histopathological responses in common carp (Cyprinus carpio L.) fingerlings fed with differently detoxified Jatropha curcas kernel meal. Food Chem. Toxicol. 2010, 48, 2063–2072. [Google Scholar] [CrossRef] [PubMed]
- Hardy, R.W. Utilization of plant proteins in fish diets: Effects of global demand and supplies of fishmeal. Aquac. Res. 2010, 41, 770–776. [Google Scholar] [CrossRef]
- Munker, R.; Hiller, E.; Glass, J.; Paquette, R. Modern Hematology: Biology and Clinical Management; Springer Science & Business Media, Humana Press: Totowa, NJ, USA, 2007; Volume 864. [Google Scholar]
- Abalaka, S.E. Evaluation of the haematology and biochemistry of Clarias gariepinus as biomakers of environmental pollution in Tiga dam, Nigeria. Br. Arch. Biol. Technol. 2013, 56, 371–376. [Google Scholar] [CrossRef]
- Sallie, R.; Tredger, R.; Williams, F. Drugs and the liver. Biopharm. Drug Dispos. 1991, 12, 251–259. [Google Scholar] [CrossRef] [PubMed]
- Palanivelu, V.; Vijayavel, K.; Balasubramanian, S.; Balasubramanian, M. Influence of insecticidal derivative (Cartap hydrochloride) from the marine polycheate on certain enzyme systems of the fresh water fish Oreochromis mossambicus. J. Environ. Biol. 2005, 26, 191–195. [Google Scholar] [PubMed]
- Cahyono, J.; Suharjo, B. Hepatitis, A., 1st ed.; Kanisius: Yogyakarta, Indonesia, 2009. [Google Scholar]
- Jafarpour, M.; Fard, A.N. The effects of aqueous extract of Melissa officinalis on some blood parameters and liver of Oncorhynchus mykiss. Aquac. Aquar. Conserv. Legis. 2016, 9, 748–758. [Google Scholar]
- Lemieux, H.; Blier, P.; Dutil, J.-D. Do digestive enzymes set a physiological limit on growth rate and food conversion efficiency in the Atlantic cod (Gadus morhua)? Fish Physiol. Biochem. 1999, 20, 293–303. [Google Scholar] [CrossRef]
- Huisman, J.; Tolman, G. Antinutritional factors in the plant proteins of diets for non-ruminants. Recent Adv. Anim. Nutr. 1992, 68, 101–110. [Google Scholar]
- Hidalgo, M.C.; Urea, E.; Sanz, A. Comparative study of digestive enzymes in fish with different nutritional habits. Proteolytic and amylase activities. Aquaculture 1999, 170, 267–283. [Google Scholar] [CrossRef]
- Pavasovic, A.; Anderson, A.J.; Mather, P.B.; Richardson, N.A. Influence of dietary protein on digestive enzyme activity, growth and tail muscle composition in redclaw crayfish, Cherax quadricarinatus (von Martens). Aquac. Res. 2007, 38, 644–652. [Google Scholar] [CrossRef]
- Murashita, K.; Fukada, H.; Takahashi, N.; Hosomi, N.; Matsunari, H.; Furuita, H.; Oku, H.; Yamamoto, T. Effect of feed ingredients on digestive enzyme secretion in fish. Bull. Fish. Res. Agency 2015, 40, 69–74. [Google Scholar]
- Krogdahl, Å.; Bakke-McKellep, A.; Baeverfjord, G. Effects of graded levels of standard soybean meal on intestinal structure, mucosal enzyme activities, and pancreatic response in Atlantic salmon (Salmo salar L.). Aquac. Nutr. 2003, 9, 361–371. [Google Scholar] [CrossRef]
- Lin, S.; Luo, L. Effects of different levels of soybean meal inclusion in replacement for fish meal on growth, digestive enzymes and transaminase activities in practical diets for juvenile tilapia, Oreochromis niloticus× O. aureus. Anim. Feed Sci. Technol. 2011, 168, 80–87. [Google Scholar] [CrossRef]
- Shearer, K.D. Factors affecting the proximate composition of cultured fishes with emphasis on salmonids. Aquaculture 1994, 119, 63–88. [Google Scholar] [CrossRef]
- Huss, H.H. Quality and Quality Changes in Fresh Fish; FAO: Rome, Italy, 1995; Volume 348. [Google Scholar]
- Sánchez Lozano, N.B.; Tomás Vidal, A.; Martínez-Llorens, S.; Nogales Mérida, S.; Blanco, J.E.; Moñino López, A.; Pla Torres, M.; Cerdá, M.J. Growth and economic profit of gilthead sea bream (Sparus aurata, L.) fed sunflower meal. Aquaculture 2007, 272, 528–534. [Google Scholar] [CrossRef]
- Tran-Ngoc, K.T.; Haidar, M.N.; Roem, A.J.; Sendão, J.; Verreth, J.A.; Schrama, J.W. Effects of feed ingredients on nutrient digestibility, nitrogen/energy balance and morphology changes in the intestine of Nile tilapia (Oreochromis niloticus). Aquac. Res. 2019, 50, 2577–2590. [Google Scholar] [CrossRef]
- Sitjà-Bobadilla, A.; Peña-Llopis, S.; Gómez-Requeni, P.; Medale, F.; Kaushik, S.; Pérez-Sánchez, J. Effect of fish meal replacement by plant protein sources on non-specific defence mechanisms and oxidative stress in gilthead sea bream (Sparus aurata). Aquaculture 2005, 249, 387–400. [Google Scholar] [CrossRef]
- Bonvini, E.; Bonaldo, A.; Mandrioli, L.; Sirri, R.; Dondi, F.; Bianco, C.; Fontanillas, R.; Mongile, F.; Gatta, P.; Parma, L. Effects of feeding low fishmeal diets with increasing soybean meal levels on growth, gut histology and plasma biochemistry of sea bass. Animal 2018, 12, 923–930. [Google Scholar] [CrossRef] [PubMed]
- Knudsen, D.; Røn, Ø.; Baardsen, G.; Smedsgaard, J.; Koppe, W.; Frøkiær, H. Soyasaponins resist extrusion cooking and are not degraded during gut passage in Atlantic salmon (Salmo salar L.). J. Agric. Food Chem. 2006, 54, 6428–6435. [Google Scholar] [CrossRef] [PubMed]
- Aanyu, M.; Ondhoro, C.C.; Ganda, E.; Kato, D.C.; Basiita, R.K. Intestine histology, nutrient digestibility and body composition of Nile tilapia (Oreochromis niloticus) fed on diets with both cotton and sunflower seed cakes. Afr. J. Biotechnol. 2014, 13. [Google Scholar]
- Couto, A.; Peres, H.; Oliva-Teles, A.; Enes, P. Screening of nutrient digestibility, glycaemic response and gut morphology alterations in gilthead seabream (Sparus aurata) fed whole cereal meals. Aquaculture 2016, 450, 31–37. [Google Scholar] [CrossRef]
- Krogdahl, Å.; Penn, M.; Thorsen, J.; Refstie, S.; Bakke, A.M. Important antinutrients in plant feedstuffs for aquaculture: An update on recent findings regarding responses in salmonids. Aquac. Res. 2010, 41, 333–344. [Google Scholar] [CrossRef]
- Bone, R.M. Pathological Effects of Soybean Anti-Nutritional Factors on Summer Flounder (Paralichthys Dentatus) Tissues. Master’s Thesis, University of Rhode Island, Kingston, RI, USA, 2013. Available online: http://digitalcommons.uri.edu/theses/57 (accessed on 1 February 2021).
- Mommsen, T.P. Paradigms of growth in fish. Comp. Biochem. Physiol. B Biochem. Mol. Biol. 2001, 129, 207–219. [Google Scholar] [CrossRef]
- Goldspink, G. Postembryonic growth and differentiation of striated muscle. Sructure Funct. Muscle 1972, 1, 179–236. [Google Scholar]
- McPherron, A.C.; Lawler, A.M.; Lee, S.-J. Regulation of skeletal muscle mass in mice by a new TGF-p superfamily member. Nature 1997, 387, 83–90. [Google Scholar] [CrossRef] [PubMed]
- McPherron, A.C.; Lee, S.-J. Double muscling in cattle due to mutations in the myostatin gene. Proc. Natl. Acad. Sci. USA 1997, 94, 12457–12461. [Google Scholar] [CrossRef] [PubMed]
- Xu, C.; Wu, G.; Zohar, Y.; Du, S.-J. Analysis of myostatin gene structure, expression and function in zebrafish. J. Exp. Biol. 2003, 206, 4067–4079. [Google Scholar] [CrossRef]
- Amali, A.A.; Lin, C.J.-F.; Chen, Y.-H.; Wang, W.-L.; Gong, H.-Y.; Lee, C.-Y.; Ko, Y.-L.; Lu, J.-K.; Her, G.M.; Chen, T.T.; et al. Up-regulation of muscle-specific transcription factors during embryonic somitogenesis of zebrafish (Danio rerio) by knock-down of myostatin. Dev. Dyn. 2004, 229, 847–856. [Google Scholar] [CrossRef] [PubMed]
- Sawatari, E.; Seki, R.; Adachi, T.; Hashimoto, H.; Uji, S.; Wakamatsu, Y.; Nakata, T.; Kinoshita, M. Overexpression of the dominant-negative form of myostatin results in doubling of muscle-fiber number in transgenic medaka (Oryzias latipes). Comp. Biochem. Physiol. A Mol. Integr. Physiol. 2010, 155, 183–189. [Google Scholar] [CrossRef] [PubMed]
- Chisada, S.-I.; Okamoto, H.; Taniguchi, Y.; Kimori, Y.; Toyoda, A.; Sakaki, Y.; Takeda, S.; Yoshiura, Y. Myostatin-deficient medaka exhibit a double-muscling phenotype with hyperplasia and hypertrophy, which occur sequentially during post-hatch development. Dev. Biol. 2011, 359, 82–94. [Google Scholar] [CrossRef] [PubMed]
- Munguti, J.; Charo-Karisa, H.; Opiyo, M.; Ogello, E.; Marijani, E.; Nzayisenga, L.; Liti, D. Nutritive value and availability of commonly used feed ingredients for farmed Nile tilapia (Oreochromis niloticus L.) and African catfish (Clarias gariepinus, Burchell) in Kenya, Rwanda and Tanzania. Afr. J. Food Agric. Nutr. Dev. 2012, 12, 1–22. [Google Scholar]



| Ingredients | Experimental Diets (g/kg) * | ||||
|---|---|---|---|---|---|
| Control | D1 | D2 | D3 | D4 | |
| Fish meal 60% | 150 | 100 | 75 | 50 | 0 |
| Soybean meal 48% | 411 | 453 | 475 | 509 | 500 |
| Sunflower meal 36% | 0 | 50 | 71 | 81 | 100 |
| Wheat bran 14.5% | 128 | 68 | 38 | 0 | 0 |
| Ground yellow corn | 286 | 303 | 311 | 323 | 303 |
| Corn gluten 60% | 0 | 0 | 0 | 0 | 50 |
| Fish oil | 20.0 | 20.7 | 22.4 | 24.5 | 25 |
| Dicalcium phosphate | 0 | 0 | 2 | 6.6 | 15 |
| Vitamin-mineral premix ** | 3 | 3 | 3 | 3 | 3 |
| Dl-Methionine | 2 | 2.3 | 2.3 | 2.5 | 2.7 |
| L-Lysine | 0 | 0 | 0.3 | 0.4 | 1.3 |
| Calculated composition (% DM) | |||||
| Crude protein | 32.2 | 31.9 | 32.2 | 32.1 | 32.2 |
| Crude fiber | 3.75 | 3.95 | 3.98 | 4.05 | 4.12 |
| Starch | 21.1 | 21.0 | 20.8 | 21.0 | 20.9 |
| Ether extract | 5.35 | 5.11 | 5.13 | 5.14 | 5.12 |
| Lysine | 1.89 | 1.88 | 1.86 | 1.89 | 1.87 |
| Methionine | 0.80 | 0.80 | 0.79 | 0.78 | 0.79 |
| Cysteine | 0.42 | 0.41 | 0.43 | 0.43 | 0.42 |
| Threonine | 1.23 | 1.24 | 1.24 | 1.25 | 1.26 |
| Arginine | 2.26 | 2.29 | 2.30 | 2.30 | 2.28 |
| Histidine | 0.74 | 0.78 | 0.80 | 0.82 | 0.85 |
| Isoleucine | 1.33 | 1.40 | 1.43 | 1.45 | 1.49 |
| Leucine | 2.43 | 2.52 | 2.56 | 2.61 | 2.96 |
| Phenylalanine | 1.44 | 1.55 | 1.59 | 1.64 | 1.77 |
| Tyrosine | 1.09 | 1.10 | 1.11 | 1.13 | 1.21 |
| Tryptophan | 0.39 | 0.42 | 0.43 | 0.44 | 0.45 |
| Valine | 1.60 | 1.69 | 1.73 | 1.76 | 1.82 |
| Calcium *** | 0.99 | 0.77 | 0.69 | 0.68 | 0.63 |
| Available P *** | 0.53 | 0.39 | 0.35 | 0.35 | 0.35 |
| DE *** (kcal/kg diet) | 2660 | 2656 | 2658 | 2659 | 2662 |
| Parameters | Control | D1 | D2 | D3 | D4 | Pooled SEM | p-Value |
|---|---|---|---|---|---|---|---|
| IBW (g) | 50.28 | 50.56 | 50.90 | 50.55 | 50.66 | 0.34 | 0.22 |
| FBW (g) | 108.29 | 107.84 | 107.02 | 107.94 | 107.37 | 0.14 | 0.09 |
| WG (g) | 58.01 | 57.28 | 56.12 | 57.39 | 56.71 | 0.36 | 0.51 |
| SGR (%) | 1.28 | 1.27 | 1.24 | 1.26 | 1.26 | 0.005 | 0.34 |
| FCR | 2.02 a | 1.99 ab | 2.0 a | 1.94 ab | 1.90 b | 0.002 | 0.04 |
| VSI (%) | 5.59 | 6.39 | 4.72 | 5.25 | 5.20 | 0.20 | 0.93 |
| HSI (%) | 1.41 | 1.15 | 1.30 | 1.01 | 1.07 | 0.11 | 0.33 |
| Intestinal body ratio | 0.95 | 0.80 | 0.92 | 0.93 | 0.97 | 0.06 | 0.15 |
| Parameters | Control | D1 | D2 | D3 | D4 | SEM | p-Value |
|---|---|---|---|---|---|---|---|
| RBCs (106 µL−1) | 1.70 | 1.69 | 1.32 | 1.33 | 1.57 | 0.07 | 0.21 |
| Hct (%) | 17.90 | 18.73 | 13.03 | 14.40 | 16.70 | 0.77 | 0.75 |
| Hb (g dL−1) | 6.06 | 6.06 | 4.53 | 4.46 | 5.60 | 0.27 | 0.14 |
| MCV (fl) | 110.90 | 105.60 | 98.63 | 107.70 | 107.90 | 1.70 | 0.20 |
| MCH (pg) | 35.86 | 35.56 | 34.36 | 33.60 | 35.26 | 0.39 | 0.35 |
| MCHC (g dL−1) | 33.96 | 32.13 | 34.96 | 31.23 | 32.89 | 0.58 | 0.28 |
| ALT (UL−1) | 23.56 | 24.83 | 26.36 | 25.2 | 22.03 | 0.78 | 0.51 |
| AST (UL−1) | 35.93 | 33.20 | 33.86 | 33.16 | 34.13 | 1.01 | 0.93 |
| Urea (mg dL−1) | 31.60 | 30.46 | 27.43 | 30.76 | 26.16 | 1.07 | 0.48 |
| Creatinine (mg dl−1) | 0.79 | 0.74 | 0.77 | 0.79 | 0.80 | 0.01 | 0.34 |
| BUN (mg dl−1) | 14.74 | 14.21 | 12.80 | 14.35 | 12.21 | 0.50 | 0.48 |
| GH (pg mL−1) | 529.53 | 543.40 | 499.70 | 500.87 | 495.23 | 16.63 | 0.099 |
| Lipase (U L−1) | 19.66 a | 19.00 a | 9.33 b | 16.00 a | 8.66 b | 1.32 | 0.0001 |
| Amylase (U L−1) | 23.00 | 22.66 | 23.66 | 21.33 | 22.03 | 1.30 | 0.55 |
| Parameters | Control | D1 | D2 | D3 | D4 | SEM | p-Value |
|---|---|---|---|---|---|---|---|
| Crude protein | 57.70 | 57.33 | 57.30 | 56.96 | 58.03 | 0.66 | 0.99 |
| Crude fat | 13.33 | 13.00 | 17.66 | 13.33 | 14.66 | 0.71 | 0.20 |
| Ash | 22.40 | 24.93 | 21.50 | 25.40 | 23.06 | 0.74 | 0.45 |
| Parameters | Control | D1 | D2 | D3 | D4 | SEM | p-Value |
|---|---|---|---|---|---|---|---|
| Feed $/kg BWG | 1.28 a | 1.08 b | 1.00 b | 0.90 c | 0.74 d | 0.05 | <0.000 |
| Profit/kg weight gain $ | 0.22 e | 0.42 d | 0.50 c | 0.60 b | 0.76 a | 0.05 | <0.000 |
| Economic efficiency | 0.18 e | 0.39 d | 0.50 c | 0.67 b | 1.03 a | 0.08 | <0.000 |
Publisher’s Note: MDPI stays neutral with regard to jurisdictional claims in published maps and institutional affiliations. |
© 2021 by the authors. Licensee MDPI, Basel, Switzerland. This article is an open access article distributed under the terms and conditions of the Creative Commons Attribution (CC BY) license (http://creativecommons.org/licenses/by/4.0/).
Share and Cite
Nasr, M.A.F.; Reda, R.M.; Ismail, T.A.; Moustafa, A. Growth, Hemato-Biochemical Parameters, Body Composition, and Myostatin Gene Expression of Clarias gariepinus Fed by Replacing Fishmeal with Plant Protein. Animals 2021, 11, 889. https://doi.org/10.3390/ani11030889
Nasr MAF, Reda RM, Ismail TA, Moustafa A. Growth, Hemato-Biochemical Parameters, Body Composition, and Myostatin Gene Expression of Clarias gariepinus Fed by Replacing Fishmeal with Plant Protein. Animals. 2021; 11(3):889. https://doi.org/10.3390/ani11030889
Chicago/Turabian StyleNasr, Mohammed A. F., Rasha M. Reda, Tamer Ahmed Ismail, and Amira Moustafa. 2021. "Growth, Hemato-Biochemical Parameters, Body Composition, and Myostatin Gene Expression of Clarias gariepinus Fed by Replacing Fishmeal with Plant Protein" Animals 11, no. 3: 889. https://doi.org/10.3390/ani11030889
APA StyleNasr, M. A. F., Reda, R. M., Ismail, T. A., & Moustafa, A. (2021). Growth, Hemato-Biochemical Parameters, Body Composition, and Myostatin Gene Expression of Clarias gariepinus Fed by Replacing Fishmeal with Plant Protein. Animals, 11(3), 889. https://doi.org/10.3390/ani11030889

