Tongue and Upper Airway Dimensions: A Comparative Study between Three Popular Brachycephalic Breeds
Abstract
:Simple Summary
Abstract
1. Introduction
2. Materials and Methods
2.1. Materials
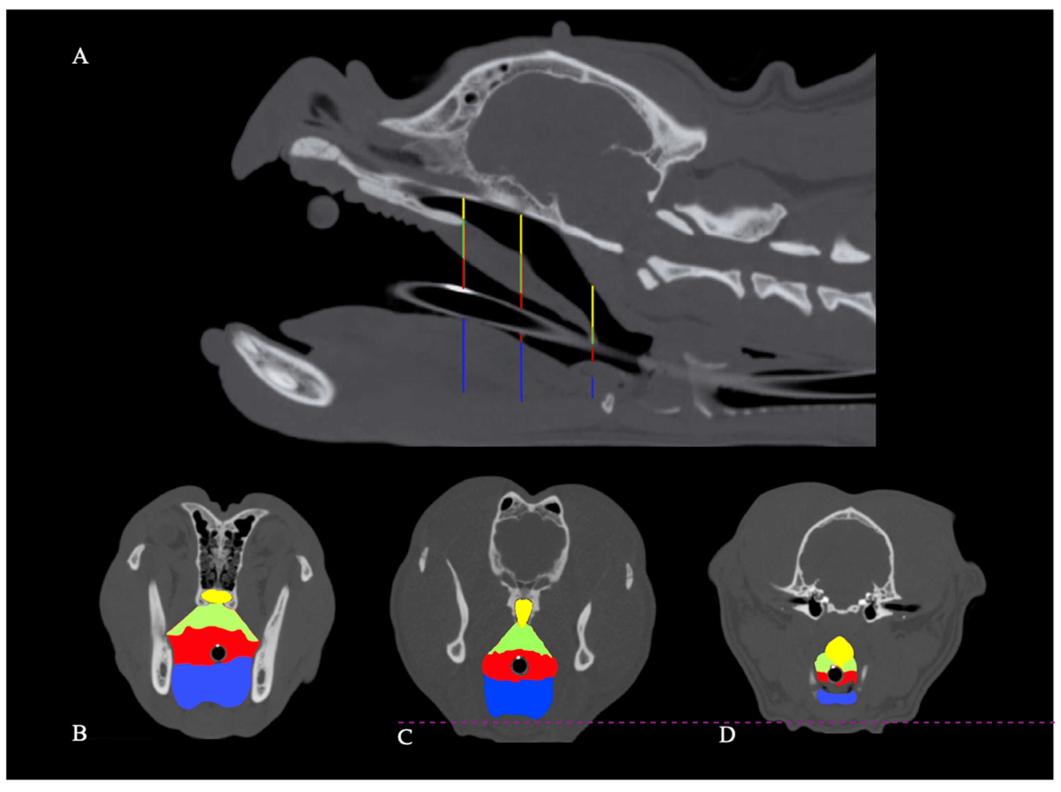
2.2. Methods
2.2.1. Computed Tomography Examination
2.2.2. Tongue Volume and Cross-Sectional Area Assessment
2.3. Statistical Analysis
2.4. Dogs
3. Results
3.1. Tongue Volume
3.2. Cross-Sectional Areas of Tongue, Oropharynx, Soft Palate and Nasopharynx
3.3. Ratio of Total Air to Soft Tissue Areas
4. Discussion
5. Conclusions
Author Contributions
Funding
Informed Consent Statement
Data Availability Statement
Acknowledgments
Conflicts of Interest
References
- Wykes, P.M. Brachycephalic Airway Obstructive Syndrome. Probl. Vet. Med. 1991, 3, 188–197. [Google Scholar]
- Evans, H.E. The Skeleton. In Miller’s Anatomy of the Dog; W. B. Saunders Company: Philadelphia, PA, USA, 1993; pp. 122–218. [Google Scholar]
- Koch, D.; Arnold, S.; Hubler, M.; Montavon, P. Brachycephalic Syndrome in Dogs. Compend. Contin. Educ. Pract. Vet. 2003, 25, 48–55. [Google Scholar]
- Riecks, T.W.; Birchard, S.J.; Stephens, J.A. Surgical Correction of Brachycephalic Syndrome in Dogs: 62 Cases (1991–2004). J. Am. Vet. Med. Assoc. 2007, 230, 1324–1328. [Google Scholar] [CrossRef] [PubMed]
- Fasanella, F.J.; Shivley, J.M.; Wardlaw, J.L.; Givaruangsawat, S. Brachycephalic Airway Obstructive Syndrome in Dogs: 90 Cases (1991–2008). J. Am. Vet. Med. Assoc. 2010, 237, 1048–1051. [Google Scholar] [CrossRef] [PubMed]
- Trappler, M.; Moore, K. Canine Brachycephalic Airway Syndrome: Pathophysiology, Diagnosis, and Nonsurgical Management. Compend. Yardley Pa. 2011, 33, E1–E4; quiz E5. [Google Scholar]
- Lindsay, B.; Cook, D.; Wetzel, J.; Siess, S.; Moses, P. Brachycephalic Airway Syndrome: Management of Post-operative Respiratory Complications in 248 Dogs. Aust. Vet. J. 2020, 98. [Google Scholar] [CrossRef]
- Hennet, P.R.; Harvey, C.E. Craniofacial Development and Growth in the Dog. J. Vet. Dent. 1992, 9, 11–18. [Google Scholar] [CrossRef] [PubMed]
- Koch, D.; Wiestner, T.; Balli, A.; Montavon, P.; Michel, E.; Scharf, G.; Arnold, S. Proposal for a New Radiological Index to Determine Skull Conformation in the Dog. Schweizer Archiv fur Tierheilkunde 2012, 154, 217–220. [Google Scholar] [CrossRef] [PubMed] [Green Version]
- Dupré, G.; Findji, L.; Oechtering, G. Brachycephalic Airway Syndrome. In Small Animal Soft Tissue Surgery; Monnet, E., Ed.; Wiley Blackwell: Hoboken, NJ, USA, 2012; p. 167. [Google Scholar]
- Oechtering, T.; Oechtering, G.; Nöller, C. Structural Characteristics Of The Nose In Brachycephalic Dog Breeds Analysed By Computed Tomography. Tierärztliche Praxis Ausgabe K Kleintiere/Heimtiere 2007, 35, 177–187. [Google Scholar] [CrossRef]
- Auger, M.; Alexander, K.; Beauchamp, G.; Dunn, M. Use of CT to Evaluate and Compare Intranasal Features in Brachycephalic and Normocephalic Dogs. J. Small Anim. Pract. 2016, 57, 529–536. [Google Scholar] [CrossRef]
- Poncet, C.M.; Dupré, G.P.; Freiche, V.G.; Bouvy, B.M. Long-term Results of Upper Respiratory Syndrome Surgery and Gastrointestinal Tract Medical Treatment in 51 Brachycephalic Dogs. J. Small Anim. Pract. 2006, 47, 137–142. [Google Scholar] [CrossRef]
- Grand, J.R.; Bureau, S. Structural Characteristics of the Soft Palate and Meatus Nasopharyngeus in Brachycephalic and Non-brachycephalic Dogs Analysed by CT. J. Small Anim. Pract. 2011, 52, 232–239. [Google Scholar] [CrossRef]
- Schuenemann, R.; Oechtering, G.U. Inside the Brachycephalic Nose: Intranasal Mucosal Contact Points. J. Am. Anim. Hosp. Assoc. 2014, 50, 149–158. [Google Scholar] [CrossRef]
- Dupré, G.; Heidenreich, D. Brachycephalic Syndrome. Vet. Clin. N. Am. Small Anim. Pract. 2016, 46, 691–707. [Google Scholar] [CrossRef] [PubMed]
- Pink, J.J.; Doyle, R.S.; Hughes, J.M.L.; Tobin, E.; Bellenger, C.R. Laryngeal Collapse in Seven Brachycephalic Puppies. J. Small Anim. Pract. 2006, 47, 131–135. [Google Scholar] [CrossRef]
- Lorenzi, D.D.; Bertoncello, D.; Drigo, M. Bronchial Abnormalities Found in a Consecutive Series of 40 Brachycephalic Dogs. J. Am. Vet. Med. Assoc. 2009, 235, 835–840. [Google Scholar] [CrossRef] [PubMed]
- Gianella, P.; Caccamo, R.; Bellino, C.; Bottero, E.; Fietta, F.; Roncone, S.; Ostanello, F.; Pietra, M.; Buracco, P. Evaluation of Metabolic Profile and C-reactive Protein Concentrations in Brachycephalic Dogs with Upper Airway Obstructive Syndrome. J. Vet. Intern. Med. 2019, 33, 2183–2192. [Google Scholar] [CrossRef] [Green Version]
- Fenner, J.V.H.; Quinn, R.J.; Demetriou, J.L. Postoperative Regurgitation in Dogs after Upper Airway Surgery to Treat Brachycephalic Obstructive Airway Syndrome: 258 Cases (2013–2017). Vet. Surg. 2020, 49, 53–60. [Google Scholar] [CrossRef]
- Poncet, C.M.; Dupre, G.P.; Freiche, V.G.; Estrada, M.M.; Poubanne, Y.A.; Bouvy, B.M. Prevalence of Gastrointestinal Tract Lesions in 73 Brachycephalic Dogs with Upper Respiratory Syndrome. J. Small Anim. Pract. 2005, 46, 273–279. [Google Scholar] [CrossRef] [PubMed]
- Hendricks, J.C. Brachycephalic Airway Syndrome. Vet. Clin. N. Am. Small Anim. Pract. 1992, 22, 1145–1153. [Google Scholar] [CrossRef]
- Hendricks, J.; Kline, L.; Kovalski, R.; O’brien, J.; Morrison, A.; Pack, A. The English Bulldog: A Natural Model Of Sleep-Disordered Breathing. J. Appl. Physiol 1987, 63, 1344–1350. [Google Scholar] [CrossRef]
- Hoareau, G.L.; Jourdan, G.; Mellema, M.; Verwaerde, P. Evaluation of Arterial Blood Gases and Arterial Blood Pressures in Brachycephalic Dogs. J. Vet. Intern. Med. 2012, 26, 897–904. [Google Scholar] [CrossRef]
- Hinchliffe, T.A.; Liu, N.; Ladlow, J. Sleep-disordered Breathing in the Cavalier King Charles Spaniel: A Case Series. Vet. Surg. 2018, 48, 497–504. [Google Scholar] [CrossRef]
- Heidenreich, D.; Gradner, G.; Kneissl, S.; Dupré, G. Nasopharyngeal Dimensions From Computed Tomography of Pugs and French Bulldogs With Brachycephalic Airway Syndrome. Vet. Surg. 2016, 45, 83–90. [Google Scholar] [CrossRef]
- Coyne, B.E.; Fingland, R.B. Hypoplasia of the Trachea in Dogs: 103 Cases (1974–1990). J. Am. Vet. Med. Assoc. 1992, 201, 768–772. [Google Scholar]
- Haimel, G.; Dupré, G. Brachycephalic Airway Syndrome: A Comparative Study between Pugs and French Bulldogs. J. Small Anim. Pract. 2015, 56, 714–719. [Google Scholar] [CrossRef] [PubMed]
- Fox, M.W. Developmental Abnormalities of the Canine Skull. Can. J. Comp. Med. Vet. S 1963, 27, 219–222. [Google Scholar]
- Jones, B.A.; Stanley, B.J.; Nelson, N.C. The Impact of Tongue Dimension on Air Volume in Brachycephalic Dogs. Vet. Surg. 2019, 49, 512–520. [Google Scholar] [CrossRef]
- Brehm, H.; Loeffler, K.; Komeyli, H. Schädelformen Beim Hund. Anat. Histol. Embryol. 1985, 14, 324–331. [Google Scholar] [CrossRef] [PubMed]
- Ginn, J.A.; Kumar, A.; McKiernan, B.C.; Powers, B.E. Nasopharyngeal Turbinates in Brachycephalic Dogs and Cats. J. Am. Anim. Hosp. Assoc. 2014, 44, 243–249. [Google Scholar] [CrossRef]
- Liu, N.; Troconis, E.L.; McMillan, M.; Genain, M.; Kalmar, L.; Price, D.J.; Sargan, D.R.; Ladlow, J.F. Endotracheal Tube Placement during Computed Tomography of Brachycephalic Dogs Alters Upper Airway Dimensional Measurements. Vet. Radiol. Ultrasound 2018, 59, 289–304. [Google Scholar] [CrossRef] [PubMed]
- Laurenson, M.P.; Zwingerberger, A.L.; Cisell, D.D.; Johnson, L.R.; McPeters, M.J.; Spriet, M.P.; Taylor, S.L.; Pollard, R.E. Computed Tomography of the Pharynx in a Closed vs. Open Mouth Position. Vet. Radiol. Ultrasound 2011, 52, 357–361. [Google Scholar] [CrossRef]
- Balaji, S. Reduction Glossectomy for Large Tongues. Ann. Maxillo-fac. Surg. 2013, 3, 167–172. [Google Scholar] [CrossRef] [PubMed] [Green Version]
- Naujokat, H.; Möller, B.; Terheyden, H.; Birkenfeld, F.; Caliebe, D.; Krause, M.F.; Fischer-Brandies, H.; Wiltfang, J. Tongue Reduction in Beckwith–Wiedemann Syndrome: Outcome and Treatment Algorithm. Int. J. Oral Maxillo-fac. Surg. 2018, 48, 9–16. [Google Scholar] [CrossRef] [Green Version]
- Neville, B.; Damm, D.D.; Allen, C.; Bouquot, J. Oral & Maxillofacial Pathology. In Developmental Defects of the Oral and Maxillofacial Region; Saunders: Collingwood, ON, Canada, 2008; pp. 9–10. [Google Scholar]
- Barkdull, G.C.; Kohl, C.A.; Patel, M.; Davidson, T.M. Computed Tomography Imaging of Patients With Obstructive Sleep Apnea. Laryngoscope 2008, 118, 1486–1492. [Google Scholar] [CrossRef]
- Carvalho, B.; Hsia, J.; Capasso, R. Surgical Therapy of Obstructive Sleep Apnea: A Review. Neurotherapeutics 2012, 9, 710–716. [Google Scholar] [CrossRef] [PubMed] [Green Version]
- Holty, J.-E.C.; Guilleminault, C. Surgical Options for the Treatment of Obstructive Sleep Apnea. Med. Clin. N. Am. 2010, 94, 479–515. [Google Scholar] [CrossRef] [PubMed]
- Pohl, S.; Roedler, F.S.; Oechtering, G.U. How Does Multilevel Upper Airway Surgery Influence the Lives of Dogs with Severe Brachycephaly? Results of a Structured Pre- and Postoperative Owner Questionnaire. Vet. J. 2016, 210, 39–45. [Google Scholar] [CrossRef]
- Liu, N.; Adams, V.J.; Kalmar, L.; Ladlow, J.F.; Sargan, D.R. Whole-Body Barometric Plethysmography Characterizes Upper Airway Obstruction in 3 Brachycephalic Breeds of Dogs. J. Vet. Intern. Med. 2016, 30, 853–865. [Google Scholar] [CrossRef] [PubMed] [Green Version]



| Age (years) | Bodyweight (kg) | LW Index | Skull Length (mm) | Skull Width (mm) | |
|---|---|---|---|---|---|
| Pugs m (range) | 3.53 (1.9–12.44) | 8.40 (6.0–11.0) | 0.980 (0.89−1.06) | 86.65 (75−100.8) | 90.3 (79.9−102) |
| French Bulldogs m (range) | 2.60 (0.65−8.95) | 12.4 (7.8−16.6) | 0.941 (0.83−1.05) | 102.0 (84−111.8) | 107.9 (94.9−119.4) |
| English Bulldogs m (range) | 1.90 (0.69−7.59) | 22.6 (14−33) | 0.973 (0.89−1.02) | 127.4 (106.4−142.7) | 128.4 (105.7−144.4) |
| Pugs | French Bulldogs | English Bulldogs | p-Value | Brachycephalic Dogs * | |||
|---|---|---|---|---|---|---|---|
| P vs. FB | P vs. EB | FB vs. EB | |||||
| Total tongue volume m (mm3) (range) | 38,267 (30,450–53,981) | 60,996 (46,362–88,871) | 115,153 (60,432–140,396) | <0.0001 | <0.0001 | <0.05 | 68,352 |
| Total tongue volume/bodyweight m (range) | 4362 (3287–5268) | 4936 (3830–7656) | 4912 (4019–6348) | <0.0001 | 0.03 | 0.704 | 5650 |
| Pugs m | French Bulldogs m | English Bulldogs | ||
|---|---|---|---|---|
| CSA nasopharynx/sl × sw | Level 1 Level 2 Level 3 | 0.678 FB, EB 0.879 0.603 | 0.879 P 0.906 0.668 | 0.903 P 0.700 0.403 |
| CSA soft palate/sl × sw | Level 1 Level 2 Level 3 | 2.181 FB, EB 2.233 0.812 EB | 2.689 P 2.377 0.848 EB | 2.797 P 2.386 1.201 P, FB |
| CSA oropharynx/sl × sw | Level 1 Level 2 Level 3 | 4.541 1.989 0.113 FB | 3.987 1.726 0.703 P, EB | 3.247 0.276 0.133 FB |
| CSA tongue/sl × sw | Level 1 Level 2 Level 3 | 5.863 5.035 0.770 | 6.340 5.533 EB 0.832 | 6.064 4.261 FB 0.798 |
| Pugs m | French Bulldogs m | English Bulldogs m | ||
|---|---|---|---|---|
| CSA nasopharynx/total CSA | Level 1 Level 2 Level 3 | 0.053 FB, EB 0.084 0.199 | 0.064 P 0.085 0.205 | 0.066 P 0.088 0.131 |
| CSA soft palate/total CSA | Level 1 Level 2 Level 3 | 0.170 EB 0.215 0.358 | 0.196 0.227 0.250 EB | 0.211 P 0.276 0.430 FB |
| CSA oropharynx/total CSA | Level 1 Level 2 Level 3 | 0.338 0.177 0.048 FB | 0.291 0.144 0.224 P, EB | 0.264 0.039 0.06 FB |
| CSA tongue/total CSA | Level 1 Level 2 Level 3 | 0.472 0.525 0.354 | 0.453 0.531 0.281 | 0.463 0.521 0.279 |
| Pugs | French Bulldogs | English Bulldogs | p-Value | ||||
|---|---|---|---|---|---|---|---|
| P vs. FB | P vs. EB | FB vs. EB | |||||
| Total air/tongue m | Level 1 Level 2 Level 3 | 0.813 0.497 0.894 | 0.737 0.382 1.866 | 0.700 0.270 0.639 | 0.585 0.310 0.090 | 0.633 0.310 0.090 | 0.994 0.310 0.090 |
| Total air/total soft tissue m | Level 1 Level 2 Level 3 | 0.611 0.363 0.641 FB | 0.536 0.272 0.910 P | 0.480 0.146 0.240 | 0.409 0.181 0.045 | 0.424 0.181 0.999 | 0.976 0.181 0.115 |
Publisher’s Note: MDPI stays neutral with regard to jurisdictional claims in published maps and institutional affiliations. |
© 2021 by the authors. Licensee MDPI, Basel, Switzerland. This article is an open access article distributed under the terms and conditions of the Creative Commons Attribution (CC BY) license (http://creativecommons.org/licenses/by/4.0/).
Share and Cite
Siedenburg, J.S.; Dupré, G. Tongue and Upper Airway Dimensions: A Comparative Study between Three Popular Brachycephalic Breeds. Animals 2021, 11, 662. https://doi.org/10.3390/ani11030662
Siedenburg JS, Dupré G. Tongue and Upper Airway Dimensions: A Comparative Study between Three Popular Brachycephalic Breeds. Animals. 2021; 11(3):662. https://doi.org/10.3390/ani11030662
Chicago/Turabian StyleSiedenburg, Johannes Sebastian, and Gilles Dupré. 2021. "Tongue and Upper Airway Dimensions: A Comparative Study between Three Popular Brachycephalic Breeds" Animals 11, no. 3: 662. https://doi.org/10.3390/ani11030662
APA StyleSiedenburg, J. S., & Dupré, G. (2021). Tongue and Upper Airway Dimensions: A Comparative Study between Three Popular Brachycephalic Breeds. Animals, 11(3), 662. https://doi.org/10.3390/ani11030662
