Next Article in Journal
Leishmania and the Model of Predominant Clonal Evolution
Next Article in Special Issue
A Gut Instinct on Leukaemia: A New Mechanistic Hypothesis for Microbiota-Immune Crosstalk in Disease Progression and Relapse
Previous Article in Journal
New Insights into the Host–Pathogen Interaction of Mycoplasma gallisepticum and Avian Metapneumovirus in Tracheal Organ Cultures of Chicken
 
 
Font Type:
Arial Georgia Verdana
Font Size:
Aa Aa Aa
Line Spacing:
Column Width:
Background:
Communication

Combined Therapy with microRNA-Expressing Salmonella and Irradiation in Melanoma

1
Allergy Immunology Center, College of Medicine, Korea University, Seoul 02841, Korea
2
Department of Life Science and Biotechnology, Korea University, Seoul 02841, Korea
3
Department of Radiation Oncology, College of Medicine, Korea University, Seoul 02841, Korea
*
Authors to whom correspondence should be addressed.
Microorganisms 2021, 9(11), 2408; https://doi.org/10.3390/microorganisms9112408
Submission received: 13 October 2021 / Revised: 17 November 2021 / Accepted: 19 November 2021 / Published: 22 November 2021
(This article belongs to the Special Issue Microbial Regulation of Cancer Treatment and Response)

Abstract

:
Anticancer treatment strategies using bacteria as a vector are currently expanding with the development of anticancer drugs. Here, we present a research strategy to develop anticancer drugs using bacteria that contain miRNAs. We also present a strategy for the development of novel bacterial anticancer drugs in combination with radiation. Salmonella strains expressing miRNA were produced by modifying the miRNA expression vector encoding INHA, a radiation-resistant gene developed previously. The anticancer effect of INHA was confirmed using skin cancer cell lines. We also tested a combination strategy comprising bacteria and radiation for its anticancer efficacy against radiation-resistant mouse melanoma to increase the efficacy of radiation therapy as a novel strategy. The recombinant strain was confirmed to promote effective cell death even when combined with radiation therapy, which exerts its cytotoxicity by enhancing reactive oxygen species production. Moreover, a combination of bacterial and radiation therapy enhanced radiotherapy efficacy. When combined with radiation therapy, bacterial therapy exhibited effective anti-cancer properties even when administered to animals harboring radiation-resistant tumors. This strategy may promote the secretion of cytokines in cells and more effectively reduce the number of bacteria remaining in the animal. Thus, this study may lead to the development of a strategy to improve the effectiveness of radiation therapy using Salmonella expressing cancer-specific miRNA for intractable cancers such as those resistant to radiation.

1. Introduction

Over the past two decades, many studies have shown that Salmonella and tumor microenvironments are closely connected with respect to hypoxia [1]. Salmonella preferentially accumulates in tumors of the liver at a ratio of 1000:1, and the rapid growth of tumors results in low oxygen, low pH, and necrosis [2,3,4]. Using these characteristics of Salmonella and tumor microenvironments, various Salmonella strains or those carrying a variety of effector genes have been developed and examined [5,6]. In addition, we have at-tempted to regulate target cancer-associated genes by expressing miRNAs in a Salmonella strain [5,7,8,9,10,11].
It was confirmed that colon cancer and skin cancer were suppressed by miRNAs facilitating the expression of inhibin alpha [12,13]. This represents a new strategy, and vectors expressing miRNAs have been delivered through cancer-specific bacteria. The inhibin gene is also overexpressed in radiation-resistant skin cancer [14,15]; thus, it is necessary to analyze the correlation between radiation therapy and these genes.
INHA, the gene encoding the inhibin alpha subunit, is involved in mammalian folliculogenesis. The downregulation of INHA caused an increase in apoptosis and induced ROS production via a mitochondrial pathway in the cell [16]. On the other hand, it is shown that normal cells continuously generate ROS as a result of electron leakage from mitochondria through the electron transport system. For the maintenance of the intracellular redox balance, these toxic ROS are instantly removed by an endogenous antioxidant defense system. It was also reported that the ROS level of cancer cells is already high, reaching the threshold for tolerating ROS [17,18], and the irradiation induces the generation of ROS via an ionizing exposure. These means that the ROS production by INHA miRNA and irradiation could play some roles in eradicating the cancer cells, and it could overcome the limitation of radiation therapy that the radiation depends on the tumor size.
Radiation therapy is currently administered to 40–50% of all cancer patients as the initial treatment, but the frequency of resistance to treatment is increasing due to the expression of radiation resistance genes [19,20]. Various radiation-sensitizing agents have been developed [21,22], and the effects of intestinal bacteria on radiation sensitivity have been recently reported [23,24]. This raises expectations for the development of strategies for pretreatment that use radiation-sensitive drugs and bacteria.
This study aimed to develop a system to test the possibility of enhancing the efficacy of radiotherapy by delivering a Salmonella strain that expresses radiation-sensitizing miRNA for more effective delivery to cancer cells and to apply it to radiation-resistant skin cancer cells.

2. Materials and Methods

2.1. Construction of Attenuated Salmonella Strains Expressing miRNA

For this study, we used the S. Typhimurium BRD509 strain, which is an aroA aroD mutant of strain SL1344. Expression vectors encoding miRNA against INHA and a scrambled miRNA (mi-Cont) were transformed into S. Typhimurium SF586, which was used to maintain the INHA plasmid to increase the transformation efficacy in the BRD509 strain. The plasmid isolated from the Salmonella SF509 strain was used to construct the INHA plasmid-harboring BRD509 strain. Vector-based siRNAs targeting human INHA or mouse INHA were derived from the mRNA sequences of human (GenBank: NM_002191.3) or mouse INHA (GenBank: NM_001329843.1). To construct the plasmids expressing human or mouse INHA siRNAs, we used a modified BLOCK-iT Pol II miR RNAi expression vector system (Invitrogen, Carlsbad, CA, USA), in accordance with the manufacturer’s protocol. The INHA miRNA-coding and mock plasmids were prepared such that the CMV promoter was replaced with the Salmonella-operated T7 promoter. The various strains were then constructed using the plasmids harboring INHA miRNA or scrambled miRNA.

2.2. Transfection of Salmonella into Cells and Radiation

Mouse melanoma B16F10 cells were cultured in Dulbecco’s modified Eagle’s media (DMEM) with 10% fetal bovine serum (FBS), (Hyclone, Korea) supplemented with the following antibiotics: 100 units/mL penicillin and 100 mg/mL streptomycin (Sigma, St. Louis, MO, USA). The melanoma cell line used in this study was distributed and used by an accredited Korean cell line bank, and additionally, a human melanoma cell line (A375) was also tested. Each B16F10 cell was seeded at a density of 2 × 105 cells in a 60-mm cell culture dish and incubated overnight at 37 °C in a 5% CO2 incubator, so that the cells reached 85–90% confluence. S. Typhimurium expressing miRNA plasmids was infected at a multiplicity of infection (MOI) of 1:1000 (B16F10 cells: Salmonella), and cells were irradiated with 8 Gy, after which 100 μg/mL gentamycin (Invitrogen, Carlsbad, CA, USA) was added. Twenty-four hours after incubation, the cells were analyzed.
Irradiation was carried out and the management of the radiation equipment for animals and cells was carried out according to the manufacturer’s guidelines.

2.3. Salmonella Invasion Assay

Mouse melanoma cells were infected with S. Typhimurium at an MOI of 500 for 1 h at 37 °C. To quantify internalized S. Typhimurium, extracellular S. Typhimurium were killed by incubating with 100 μg/mL gentamycin for 1 h. After antibiotic treatment, the cells were washed again with PBS to remove residual gentamycin and then lysed with 1% Triton X-100 for 5 min at 37 °C. Intracellular S. Typhimurium was quantified by plating 10-fold serial dilutions of cell lysates on LB plates without antibiotics [25,26].

2.4. LDH Assay

Following treatment with siRNAs or engineered S. Typhimurium, the viability of B16F10 melanoma cells was assessed using a trypan blue dye exclusion assay and lactate dehydrogenase (LDH) assay. The exclusion of trypan blue dye by viable cells was evaluated within the grid of a hemocytometer. Cell survival rate was calculated as the number of viable cells divided by the total number of cells. A minimum of 200 cells were counted. To evaluate plasma membrane damage, LDH assays were performed by measuring the release of LDH from the cytosol into the culture medium, using a CytoTox 96 non-radioactive Cytotoxicity Assay kit (Promega, Madison, WI, USA) in accordance with the manufacturer’s protocols. LDH activity was determined by measuring the conversion of a tetrazolium salt into a red formazan product using an ELISA reader at 492 nm. Treatment-induced LDH release was calculated as a percentage of the total LDH activity found in the culture medium.

2.5. Protein Extraction and Immunoblot Analysis

Reagents for Western blotting were obtained from Bio-Rad (Hercules, CA, USA). Proteins were electrophoretically separated on a sodium dodecyl sulfate (SDS)-polyacrylamide gel, followed by transfer to nitrocellulose membranes. The transformation of pcDNA6.2-GW/EmGFP-mi-INHA into S. Typhimurium was assessed by monitoring the co-cistronic expression of EmGFP using a monoclonal anti-GFP antibody (ab1218, Abcam). The expression of bacterial chaperone protein DnaK was probed for simultaneously using an anti-DnaK antibody (ab69617, Abcam) as the internal loading control. The other proteins in mammalian cancer cells were detected using the following primary anti-bodies: INHA (ab81234) and Bcl-2 (ab59348) from Abcam; Bcl-xL (2764) and actin (4967) from Cell Signaling (Beverly, MA, USA). Secondary antibodies were horseradish peroxidase labeled anti-mouse or anti-rabbit antibodies. Binding was detected by chemiluminescence signals, according to the manufacturer’s instructions (Roche, Basel, Switzerland).

2.6. Real-Time Quantitative PCR Analysis

The total RNA from Salmonella strains transformed with INHA and scrambled plasmids was extracted for RT-qPCR. Reverse transcription was performed using the iScript cDNA synthesis kit (Bio-Rad) according to the manufacturer’s protocol. The RT cDNA reaction products were subjected to quantitative real-time PCR using CTFX 96 Real-Time System (Bio-Rad) and SYBR Green Supermix (Bio-Rad) according to the manufacturer’s protocol. All expression levels were normalized to DnaA levels of the same sample. Percent expression was calculated as the ratio of the normalized value of each sample to that of the corresponding untreated control cells. All real-time PCRs were performed in triplicate. Optimal primer sequences were designed using Primer-BLAST: qPCR primer, 5′-TCCCAAGCCATCCTTTTCCCAG-3′ and 5′-TCACCTGGCGGCTGCGTGTAT-3′.

2.7. Reactive Oxygen Species (ROS) Assay

Intracellular hydroperoxide and oxidative stress were determined by flow cytometry using H2-DCF-DA. B16F10 cells (1 × 106/mL) were incubated at 37 °C in a 5% CO2 incubator. The next day, 2 × 109 cells were infected with S. Typhimurium expressing miRNA at an MOI of 1:1000 (B16F10 cell: Salmonella). Six hours later, the cells were irradiated with 8 Gy. Then, 100 μg/mL gentamicin (Invitrogen) was added to the cells, and the cells were incubated at 37 °C in a 5% CO2 incubator. Two days later, the cells were incubated with H2-DCF-DA (10 μM) for 5 min at 37 °C. The cells were then washed with cold PBS and trypsinized. The trypsinized B16F10 cells were sent for FACS analysis to analyze the fluorescence intensity at 488 nm excitation and 530 nm emission.

2.8. Combined Treatment with S. Typhimurium and Irradiation

Mice were subcutaneously (s.c.) inoculated with 100 uL of 1 × 108 colony-forming units (CFUs)/mouse S. Typhimurium or Recombinant S. Typhimurium suspension. One day after subcutaneous inoculation, the mice were irradiated with γ-rays (3 to 8 Gy). Combined treatment was performed at day 1 with S. Typhimurium and at day 2 with irradiation. Control animals were treated only with an s.c. injection of PBS only.

2.9. Melanoma Cancer Challenge in Mice

For tumor implantation, 6–7-week-old female C57BL6 (n = 10) mice were subcutaneously injected on the mid-right side with B16F10 (1.5 × 105) melanoma cells in 100 μL of PBS. The tumors were allowed to grow for 8−10 days before subsequent treatment. When tumor volumes reached ~50−70 mm3, the mice were pooled and randomly assigned to the following four groups: PBS, unmodified S. Typhimurium, S. Typhimurium expressing control miRNA (S. Typhimurium/mi-Cont), and S. Typhimurium expressing INHA miRNA (S. Typhimurium/mi-INHA). The anti-tumor activity of the genetically engineered S. Typhimurium was evaluated by measuring tumor growth inhibition. Tumor volumes were measured every 7 days and calculated as length × width2 × 0.52. The overall condition of the mice, including appearance, posture, behavior, and physiological responses, was examined at least three times per week and documented until signs of morbidity and mortality were observed. Mice were deemed cured if they had no visible or palpable tumors for at least 9 (for B16F10) weeks after treatment. The survival of each mouse was recorded, and overall survival was calculated. This study was conducted in accordance with the animal testing guidelines of the Institutional Animal Care and Woojung Bio. IACUC (IACUC 2101-024).

2.10. Bacterial Distribution and Cytokine Analysis in Mice

Mice treated with miRNA-expressing bacteria were sacrificed and each tissue was excised for bacterial distribution. Part of the excised tissue was used to count the remaining recombinant bacteria, which were plated on LB agar containing spectinomycin, and the colony count was determined on the next day. A mouse model was subcutaneously injected with 1 × 108 of the recombinant Salmonella strains. Blood was also collected from all mice 1 day before and 5 days after subcutaneous administration. Blood samples were stored at 5 °C for 12 h. After coagulation, sera were collected by centrifugation (5 min, 2000× g at 4 °C). At the end of the experiment, samples of the same group that had been collected at the same time were pooled and tested using IFN-γ sandwich ELISA kits (Bender Medsystems Inc., CA, USA) with triplicate wells.

2.11. Statistical Analysis

All data are expressed as mean ± standard deviation (SD) and compared for statistical significance using the Student’s t-test. Mouse survival experiments were analyzed using Kaplan–Meier survival curves and log-rank test. p-values in figures are indicated with asterisks (*; p < 0.05, **; p < 0.01, ***; p < 0.001).

3. Results

3.1. Application of Bacterial Treatments to Radiotherapy

The complex radiation therapy model using bacteria was designed as follows. At first, to suppress the INHA gene that is overexpressed in radiation-resistant cancers, we constructed the Salmonella strains expressing the INHA miRNA operated by the Salmonella promoter. The constructed Salmonella strains could produce the INHA-specific miRNA. In this study, miRNAs were designed to be delivered using Salmonella strains to effectively target cancer cells. In particular, a system was designed for delivering miRNA using the strain to target cancer cells through a prokaryotic expression system. This was performed by improving the previously developed vector for INHA delivery and could be effectively applied in combination therapy with radiation (Figure 1).

3.2. Construction of Recombinant Salmonella Expressing miRNA for Radioresistant Gene

In a previous study, we confirmed the expression levels of INHA in radioresistant melanoma [6]. We found that its expression level in mouse melanoma tissue was higher than that in normal skin tissue. These results indicate that INHA might be associated with melanoma cancer growth.
To effectively prevent INHA expression in melanoma cells during radiotherapy, we used an miRNA tool. To construct the INHA miRNA vector for RNA interference (RNAi), two single-stranded DNA oligonucleotides encoding INHA-targeting pre-miRNAs were designed using an RNAi design program (Invitrogen). To enhance the expression efficiency of miRNA in melanoma cancer cells, two single-stranded oligos were annealed and cloned into a modified pcDNATM6.2-GW/miR vector without a CMV promoter (Figure 2a). The constructed vector was transformed into attenuated Salmonella Typhimurium. Finally, we constructed an attenuated S. Typhimurium BRD509 strain expressing INHA miRNA. To confirm whether the constructed plasmid was expressed in prokaryotic cells, we extracted whole RNA from the constructed S. Typhimurium. As shown in Figure 2b, INHA expression was observed in the transformed S. Typhimurium (INHA miRNA) but not in the S. Typhimurium control.
To assess the bacterial invasion of melanoma cancer cells, a gentamycin protection assay was performed. The ability of Salmonella to infect B16F10 cells was evaluated in vitro using attenuated S. Typhimurium BRD509 strains expressing the INHA miRNA vector and control vector. Attenuated S. Typhimurium strains expressing the INHA miRNA vector were capable of infecting B16F10 cells (Figure 2c).
To investigate whether the INHA is downregulated in melanoma cells, whole protein was extracted from melanoma cells infected with constructed S. Typhimurium. Proteins were analyzed using Western blotting. Western blot analysis showed that INHA expression was only downregulated in melanoma cells infected with S. Typhimurium expressing the INHA miRNA vector (Figure 2d).

3.3. Reduction in Tumor Cell Viability by S. Typhimurium Expressing miRNA-INHA with Irradiation

We next examined the combined effect of attenuated S. Typhimurium expressing the INHA miRNA vector and radiation on melanoma models, and applied irradiation (8 Gy) to the LDH assay and apoptosis assay.
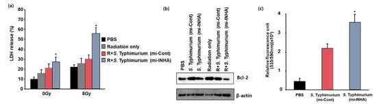
Melanoma cell death was evaluated by measuring the LDH release into the media from dead or dying cells at 24 and 48 h after the Salmonella infection. There was a slight difference in cell lysis 24 h after infection (data not shown). However, at 48 h after infection, there was a clear difference in melanoma cell lysis between S. Typhimurium expressing the INHA miRNA vector and the control vector. At 48 h after infection, the LDH release increased by 32% in the supernatant of melanoma cells infected with S. Typhimurium expressing INHA miRNA upon irradiation, compared to the control group (Figure 3a). The amount of LDH released from melanoma cell lysis was >two-fold higher than that with the control vector at 48 h after infection. These results indicated that the attenuated S. Typhimurium expressing INHA miRNA could suppress melanoma cell growth and induce efficient cell death.
To confirm whether the constructed Salmonella induces cell death through the apoptosis pathway in melanoma cells, we investigated the expression levels of the anti-apoptotic protein Bcl-2 in infected melanoma cells. Western blot analysis (Figure 3b) showed that the expression level of Bcl-2 decreased in infected melanoma cells.
To further confirm this result, we investigated reactive oxygen species (ROS) in melanoma cells infected with the constructed Salmonella strains expressing miRNA (INHA miRNA vector and control vector). Intracellular hydroperoxide levels were determined by flow cytometry using H2-DCF-DA. As shown in Figure 3c, ROS were significantly increased in the melanoma cells infected with the constructed Salmonella strains expressing INHA miRNA when compared to those in the PBS control and the control vector-harboring Salmonella groups. Likewise, the quantified relative ROS increased in the melanoma cells infected with the constructed Salmonella strain expressing the INHA miRNA vector. These results show that the INHA downregulation in melanoma cells increases ROS levels and downregulates the expression of Bcl2, suggesting that the constructed Salmonella activates the apoptosis pathway and that ROS levels are significantly increased in infected melanoma cells.

3.4. Effects of Combined Treatments with S. Typhimurium Expressing miRNA and Irradiation in Animals Bearing Melanoma

C57BL/6 mice were subcutaneously injected with B16F10 melanoma cells (1 × 106). Mice were inoculated with approximately 1 × 109 CFU of attenuated S. Typhimurium expressing miRNA (INHA miRNA, Control vector) via subcutaneous injection 2 weeks after melanoma cell challenge. Tumor growth was then monitored in the mice. The melanoma tumor diameter was measured using a digital caliper. Further, the survival rates of the mice were monitored.
To examine the combined effect of attenuated S. Typhimurium expressing INHA miRNA and radiation on melanoma models, we additionally applied irradiation (8 Gy) to animals using the melanoma model. Figure 4a,b show that tumor sizes decreased, and survival rates increased in the group treated with the combination therapy compared to those in the group treated with only attenuated S. Typhimurium expressing INHA miRNA. These results show that the anticancer effect was enhanced in the group treated with radiation and attenuated S. Typhimurium expressing the INHA miRNA vector, with combined therapy exhibiting a slightly synergistic effect.
We next investigated the distribution of residual microorganisms in animals during combination therapy with radiation. For this skin cancer mouse model, bacteria were found to be removed from cancer tissues, the liver, and the spleen, among other tissues, within 3–7 days, but when radiation was also used, the strain was removed within 2 days (Figure 4c). In addition, the expression of IFN-γ in animals was increased after combination therapy (Figure 4d).

4. Discussion

Cancer is a multicellular disease characterized by uncontrolled cell growth and metastasis. It remains a leading cause of death globally [20,27,28,29]. Over the past few decades, our knowledge about cancer and treatment methods have progressed considerably, together with advances in early diagnosis and treatment modalities such as radiation therapy, chemotherapy, and combination therapy of both radiotherapy and chemotherapy. The recent reports are that INHA miRNA promotes the apoptosis via the mitochondrial pathway, which is followed by leading to the increase in the intracellular ROS level by the mitochondrial membrane depolarization. On the basis of these observations, we designed the experiment combined with the INHA miRNA-harboring Salmonella and the irradiation for overcoming the limitation of cancer treatment. With the invasion assay, Salmonella expressing INHA miRNA showed that the generation of intracellular ROS is increased, and the expression of Bcl-2 is suppressed in the protein level (Figure 2 and Figure 3). On the other hand, it is reported that the intracellular ROS could be generated when the irradiation is exposed to the cancer cells [30]. Using these observations, we tried to examine whether or not the level of intracellular ROS induced by INHA miRNA is related with the irradiation. As shown in Figure 4, the combined treatment with INHA-bearing Salmonella and irradiation showed an anticancer effect.
Recently, the abscopal effect, which was used by Mole in 1953, has gained the attention of researchers with the advent of immunotherapy [31,32]. Over the years, it has been reported that cancer cells are monitored by the immune system, and that they have a variety of mechanisms that allow them to evade the host immune system [33,34]. That means that it does not invoke the appropriate immune responses, diminishing the body’s ability to remove aberrant tumor cells. Radiation therapy stimulates latent immune cells and is a well-known treatment for cancer, with more than 50% of newly diagnosed cancer patients with solid tumors receiving radiation as treatment. Its mechanism involves causing damage to the DNA backbone or the generation of ROS [16]. In addition, it has been reported that radiation influences the expression of cytokines in the body, such as TNF-alpha and interleukin-1 (IL-1) [33]. However, the molecular mechanism of radiation-induced cell death remains to be elucidated. The activation of immune responses by radiation could suppress distant cancer cells, mitigating the effect of metastasis. Therefore, immunotherapy and radiotherapy could exhibit synergistic effects. Therefore, we attempted to show that a Salmonella vector with miRNA could enhance the antitumor effects of radiation therapy.
Cancer therapy using Salmonella vectors has been intensively studied for decades [4,23,35,36]. Salmonella has tumor-targeting properties, can reactivate the anergy state of local immune cells within tumors, suppress Treg cells within the tumor, and can be used as a delivery vector with effector molecules (proteins and genetic materials) or miRNA. However, there are concerns about the instability of the Salmonella vectors. Salmonella is a complex genus that replicates and can invoke immune responses in humans [37].
Recently, it has been suggested that the microbiome might be a component of the immune system [38]. In general, the immune system maintains a germ-free state in the host. However, germ-free mice require dietary supplementation with microbial products (e.g., vitamin K) and are highly sensitive to infection [38], which means that the immune system utilizes the microbiome as an adjuvant. Additionally, it has been reported that short-chain fatty acids metabolized by the gut microbiome impair antigen-presenting cells [37,39]. When Salmonella is introduced into the gut microbiota, the gut environment shifts from homeostasis to dysbiosis. Using an engineered Salmonella vector combined with radiotherapy, we showed that Salmonella strains expressing miRNAs are associated with the production of ROS, which is involved in radiation sensitivity, and have been found to increase treatment efficiency when combined with radiation therapy. Interferon gamma induced by recombinant Salmonella is thought to enhance the abscopal effect [32], suggesting the possibility of radiation immunotherapy using Salmonella strains. In addition to the attenuation of the strain itself, an advantage in terms of safety can be expected with the sterilization effect [40], in which more than 80% of bacteria are removed by radiation. In conclusion, as an effective treatment strategy for refractory cancer, Salmonella strains that secrete miRNAs and suppress cancer-specific gene overexpression are effective. In particular, when combined with microRNA-expressing Salmonella and radiotherapy, the enhancing radiation therapy efficacy can be expected.

Supplementary Materials

The following are available online at https://www.mdpi.com/article/10.3390/microorganisms9112408/s1, Figure S1: Suppression of INHA gene by S. Typhimurium expressing microRNA against INHA gene B. Figure S2 Combinatory effects of S. Typhimurium expressing mi INHA and radiation in B 16 F 10 cells. Figure S3. Combinatory effects of S. Typhimurium expressing mi-INHA and radiation in B16F10 cells.

Author Contributions

W.Y. and C.Y.K. conceived and designed the study. W.Y. acquired the data. W.Y., C.Y.K., S.K., Y.P. (Yongsung Park) and Y.P. (Yongkeun Park) analyzed the data. W.Y. revised the manuscript. All authors have read and agreed to the published version of the manuscript.

Funding

This work was supported by the National Research Foundation of Korea (NRF) grant funded by the Korea government (2020R1F1A1076293, 2021R1I1A1A01054850).

Institutional Review Board Statement

The study was conducted according to the guidelines of the Declaration of Helsinki, and approved by the Ethics Committee (Woojung Bio. IACUC 2101-024).

Informed Consent Statement

Not applicable.

Conflicts of Interest

The authors declare no conflict of interests. The funders had no role in the design of the study; in the collection, analyses, or interpretation of data; in the writing of the manuscript, or in the decision to publish the results.

References

  1. Brown, J.M.; Wilson, W.R. Exploiting tumour hypoxia in cancer treatment. Nat. Rev. Cancer 2004, 4, 437–447. [Google Scholar] [CrossRef] [PubMed]
  2. Cao, S.; Cripps, A.; Wei, M.Q. New strategies for cancer gene therapy: Progress and opportunities. Clin. Exp. Pharmacol. Physiol. 2010, 37, 108–114. [Google Scholar] [CrossRef] [PubMed]
  3. Feng, J.; Byrne, N.M.; Al Jamal, W.; Coulter, J.A. Exploiting Current Understanding of Hypoxia Mediated Tumour Progression for Nanotherapeutic Development. Cancers 2019, 11, 1989. [Google Scholar] [CrossRef] [PubMed] [Green Version]
  4. Liang, K.; Liu, Q.; Li, P.; Luo, H.; Wang, H.; Kong, Q. Genetically engineered Salmonella Typhimurium: Recent advances in cancer therapy. Cancer Lett. 2019, 448, 168–181. [Google Scholar] [CrossRef]
  5. Phan, T.X.; Nguyen, V.H.; Duong, M.T.; Hong, Y.; Choy, H.E.; Min, J.J. Activation of inflammasome by attenuated Salmonella typhimurium in bacteria-mediated cancer therapy. Microbiol. Immunol. 2015, 59, 664–675. [Google Scholar] [CrossRef] [PubMed] [Green Version]
  6. Yoon, W.; Yoo, Y.; Chae, Y.S.; Kee, S.H.; Kim, B.M. Therapeutic advantage of genetically engineered Salmonella typhimurium carrying short hairpin RNA against inhibin alpha subunit in cancer treatment. Ann. Oncol. 2018, 29, 2010–2017. [Google Scholar] [CrossRef]
  7. Blache, C.A.; Manuel, E.R.; Kaltcheva, T.I.; Wong, A.N.; Ellenhorn, J.D.; Blazar, B.R.; Diamond, D.J. Systemic delivery of Salmonella typhimurium transformed with IDO shRNA enhances intratumoral vector colonization and suppresses tumor growth. Cancer Res. 2012, 72, 6447–6456. [Google Scholar] [CrossRef] [Green Version]
  8. Cheng, X.; Zhang, X.; Zhou, Y.; Zhang, C.; Hua, Z.C. A Salmonella Typhimurium mutant strain capable of RNAi delivery: Higher tumor-targeting and lower toxicity. Cancer Biol. Ther. 2014, 15, 1068–1076. [Google Scholar] [CrossRef] [Green Version]
  9. Deng, J.; Guo, Y.; Jiang, Z.; Yang, M.; Li, H.; Wang, J. Enhancement of ovarian cancer chemotherapy by delivery of multidrug-resistance gene small interfering RNA using tumor targeting Salmonella. J. Obstet. Gynaecol. Res. 2015, 41, 615–622. [Google Scholar] [CrossRef]
  10. Li, X.; Li, Y.; Wang, B.; Ji, K.; Liang, Z.; Guo, B.; Hu, J.; Yin, D.; Du, Y.; Kopecko, D.J.; et al. Delivery of the co-expression plasmid pEndo-Si-Stat3 by attenuated Salmonella serovar typhimurium for prostate cancer treatment. J. Cancer Res. Clin. Oncol. 2013, 139, 971–980. [Google Scholar] [CrossRef] [Green Version]
  11. Shi, L.; Yu, B.; Cai, C.H.; Huang, W.; Zheng, B.J.; Smith, D.K.; Huang, J.D. Combined prokaryotic-eukaryotic delivery and expression of therapeutic factors through a primed autocatalytic positive-feedback loop. J. Control. Release 2016, 222, 130–140. [Google Scholar] [CrossRef] [Green Version]
  12. Balanathan, P.; Williams, E.D.; Wang, H.; Pedersen, J.S.; Horvath, L.G.; Achen, M.G.; Stacker, S.A.; Risbridger, G.P. Elevated level of inhibin-alpha subunit is pro-tumourigenic and pro-metastatic and associated with extracapsular spread in advanced prostate cancer. Br. J. Cancer 2009, 100, 1784–1793. [Google Scholar] [CrossRef] [Green Version]
  13. Chrusciel, M.; Doroszko, M.; Stelmaszewska, J.; Li, X.; Ziecik, A.J.; Coelingh-Bennink, H.J.; Huhtaniemi, I.; Rahman, N.A. Transgenic mice expressing inhibin alpha-subunit promoter (inhalpha)/Simian Virus 40 T-antigen (Tag) transgene as a model for the therapy of granulosa cell-derived ovarian cancer. Reprod. Biol. 2014, 14, 25–31. [Google Scholar] [CrossRef] [PubMed]
  14. De Jong, F.H. Inhibin. Physiol. Rev. 1988, 68, 555–607. [Google Scholar] [CrossRef] [PubMed]
  15. Singh, P.; Jenkins, L.M.; Horst, B.; Alers, V.; Pradhan, S.; Kaur, P.; Srivastava, T.; Hempel, N.; Gyorffy, B.; Broude, E.V.; et al. Inhibin Is a Novel Paracrine Factor for Tumor Angiogenesis and Metastasis. Cancer Res. 2018, 78, 2978–2989. [Google Scholar] [CrossRef] [PubMed] [Green Version]
  16. Cui, Z.; Shen, X.; Zhang, X.; Li, F.; Amevor, F.K.; Zhu, Q.; Wang, Y.; Li, D.; Shu, G.; Tian, Y.; et al. A functional polymorphism of inhibin alpha subunit at miR-181b-1-3p-binding site regulates proliferation and apoptosis of chicken ovarian granular cells. Cell Tissue Res. 2021, 384, 545–560. [Google Scholar] [CrossRef]
  17. Dayal, R.; Singh, A.; Pandey, A.; Mishra, K.P. Reactive oxygen species as mediator of tumor radiosensitivity. J. Cancer Res. Ther. 2014, 10, 811–818. [Google Scholar] [CrossRef]
  18. Loo, G. Redox-sensitive mechanisms of phytochemical-mediated inhibition of cancer cell proliferation (review). J. Nutr. Biochem. 2003, 14, 64–73. [Google Scholar] [CrossRef]
  19. Abshire, D.; Lang, M.K. The Evolution of Radiation Therapy in Treating Cancer. Semin. Oncol. Nurs. 2018, 34, 151–157. [Google Scholar] [CrossRef]
  20. Baskar, R.; Lee, K.A.; Yeo, R.; Yeoh, K.W. Cancer and radiation therapy: Current advances and future directions. Int. J. Med. Sci. 2012, 9, 193–199. [Google Scholar] [CrossRef] [Green Version]
  21. Lawrence, T.S. Radiation sensitizers and targeted therapies. Oncology (Williston Park) 2003, 17, 23–28. [Google Scholar] [PubMed]
  22. Thanekar, A.M.; Sankaranarayanan, S.A.; Rengan, A.K. Role of nano-sensitizers in radiation therapy of metastatic tumors. Cancer Treat. Res. Commun. 2021, 26, 100303. [Google Scholar] [CrossRef] [PubMed]
  23. Al-Qadami, G.; Van Sebille, Y.; Le, H.; Bowen, J. Gut microbiota: Implications for radiotherapy response and radiotherapy-induced mucositis. Expert Rev. Gastroenterol. Hepatol. 2019, 13, 485–496. [Google Scholar] [CrossRef] [PubMed]
  24. Zhang, S.; Wang, Q.; Zhou, C.; Chen, K.; Chang, H.; Xiao, W.; Gao, Y. Colorectal cancer, radiotherapy and gut microbiota. Chin. J. Cancer Res. 2019, 31, 212–222. [Google Scholar] [CrossRef] [PubMed]
  25. Clerc, P.L.; Berthon, B.; Claret, M.; Sansonetti, P.J. Internalization of Shigella flexneri into HeLa cells occurs without an increase in cytosolic Ca2+ concentration. Infect. Immun. 1989, 57, 2919–2922. [Google Scholar] [CrossRef] [Green Version]
  26. Kohler, H.; Rodrigues, S.P.; Maurelli, A.T.; McCormick, B.A. Inhibition of Salmonella typhimurium enteropathogenicity by piperidine, a metabolite of the polyamine cadaverine. J. Infect. Dis. 2002, 186, 1122–1130. [Google Scholar] [CrossRef]
  27. Kopecka, J.; Godel, M.; Riganti, C. Cholesterol metabolism: At the cross road between cancer cells and immune environment. Int. J. Biochem. Cell Biol. 2020, 129, 105876. [Google Scholar] [CrossRef]
  28. Leone, R.D.; Powell, J.D. Metabolism of immune cells in cancer. Nat. Rev. Cancer 2020, 20, 516–531. [Google Scholar] [CrossRef]
  29. Nencioni, A.; Caffa, I.; Cortellino, S.; Longo, V.D. Fasting and cancer: Molecular mechanisms and clinical application. Nat. Rev. Cancer 2018, 18, 707–719. [Google Scholar] [CrossRef]
  30. Baskar, R.; Dai, J.; Wenlong, N.; Yeo, R.; Yeoh, K.W. Biological response of cancer cells to radiation treatment. Front. Mol. Biosci. 2014, 1, 24. [Google Scholar] [CrossRef] [Green Version]
  31. Ngwa, W.; Irabor, O.C.; Schoenfeld, J.D.; Hesser, J.; Demaria, S.; Formenti, S.C. Using immunotherapy to boost the abscopal effect. Nat. Rev. Cancer 2018, 18, 313–322. [Google Scholar] [CrossRef] [PubMed]
  32. Uribe-Herranz, M.; Rafail, S.; Beghi, S.; Gil-de-Gomez, L.; Verginadis, I.; Bittinger, K.; Pustylnikov, S.; Pierini, S.; Perales-Linares, R.; Blair, I.A.; et al. Gut microbiota modulate dendritic cell antigen presentation and radiotherapy-induced antitumor immune response. J. Clin. Investig. 2020, 130, 466–479. [Google Scholar] [CrossRef]
  33. Mortezaee, K. Immune escape: A critical hallmark in solid tumors. Life Sci. 2020, 258, 118110. [Google Scholar] [CrossRef] [PubMed]
  34. Spranger, S.; Gajewski, T.F. Impact of oncogenic pathways on evasion of antitumour immune responses. Nat. Rev. Cancer 2018, 18, 139–147. [Google Scholar] [CrossRef] [PubMed]
  35. Mi, Z.; Feng, Z.C.; Li, C.; Yang, X.; Ma, M.T.; Rong, P.F. Salmonella-Mediated Cancer Therapy: An Innovative Therapeutic Strategy. J. Cancer 2019, 10, 4765–4776. [Google Scholar] [CrossRef] [PubMed] [Green Version]
  36. Nguyen, V.H.; Kim, H.S.; Ha, J.M.; Hong, Y.; Choy, H.E.; Min, J.J. Genetically engineered Salmonella typhimurium as an imageable therapeutic probe for cancer. Cancer Res. 2010, 70, 18–23. [Google Scholar] [CrossRef] [Green Version]
  37. Wei, M.Q.; Mengesha, A.; Good, D.; Anne, J. Bacterial targeted tumour therapy-dawn of a new era. Cancer Lett. 2008, 259, 16–27. [Google Scholar] [CrossRef] [PubMed]
  38. Rogers, A.W.L.; Tsolis, R.M.; Baumler, A.J. Salmonella versus the Microbiome. Microbiol. Mol. Biol. Rev. 2021, 85, e00027-19. [Google Scholar] [CrossRef]
  39. Bohnhoff, M.; Miller, C.P.; Martin, W.R. Resistance of the Mouse’s Intestinal Tract to Experimental Salmonella Infection. I. Factors Which Interfere with the Initiation of Infection by Oral Inoculation. J. Exp. Med. 1964, 120, 805–816. [Google Scholar] [CrossRef] [Green Version]
  40. Shukla, A.; Parmar, P.; Saraf, M. Radiation, radionuclides and bacteria: An in-perspective review. J. Environ. Radioact. 2017, 180, 27–35. [Google Scholar] [CrossRef]
Figure 1. Application of bacterial treatment for combined radiation therapy.
Figure 1. Application of bacterial treatment for combined radiation therapy.
Microorganisms 09 02408 g001
Figure 2. Construction of S. Typhimurium expressing microRNA against INHA gene. (a) Schematic representation of modified pcDNA6.2-GW/EmGFP-miR vector expressing the mi-INHA. (b) To validate the production of mi-INHA, the expression of microRNA was measured in bacterial cells. MicroRNA from genetically engineered S. Typhimurium were analyzed using RT-qPCR. (c) B16F10 mouse melanoma cells were infected with the indicated S. Typhimurium at a multiplicity of infection (MOI) of 500 for 1 h (for invasion assay). The invasion rate of mouse melanoma cells by the unmodified S. Typhimurium was set to 100%, and the relative internalization levels were normalized against those of unmodified S. Typhimurium. The data represent the mean ± SEM of three independent experiments (* p < 0.05 vs. unmodified S. Typhimurium-treated samples; Student’s t-test). (d) B16F10 cells were infected with unmodified S. Typhimurium or genetically modified S. Typhimurium expressing negative control mi-RNA or mi-INHA for 48 h. To validate INHA knockdown in cancer cells after infection with recombinant Salmonella, the expression of mouse INHA was measured. Western blot normalized to β-actin was added as supplementary material (Supplementary Figure S1). The cell lysates were subjected to Western blot analysis with anti-INHA or anti-actin antibodies.
Figure 2. Construction of S. Typhimurium expressing microRNA against INHA gene. (a) Schematic representation of modified pcDNA6.2-GW/EmGFP-miR vector expressing the mi-INHA. (b) To validate the production of mi-INHA, the expression of microRNA was measured in bacterial cells. MicroRNA from genetically engineered S. Typhimurium were analyzed using RT-qPCR. (c) B16F10 mouse melanoma cells were infected with the indicated S. Typhimurium at a multiplicity of infection (MOI) of 500 for 1 h (for invasion assay). The invasion rate of mouse melanoma cells by the unmodified S. Typhimurium was set to 100%, and the relative internalization levels were normalized against those of unmodified S. Typhimurium. The data represent the mean ± SEM of three independent experiments (* p < 0.05 vs. unmodified S. Typhimurium-treated samples; Student’s t-test). (d) B16F10 cells were infected with unmodified S. Typhimurium or genetically modified S. Typhimurium expressing negative control mi-RNA or mi-INHA for 48 h. To validate INHA knockdown in cancer cells after infection with recombinant Salmonella, the expression of mouse INHA was measured. Western blot normalized to β-actin was added as supplementary material (Supplementary Figure S1). The cell lysates were subjected to Western blot analysis with anti-INHA or anti-actin antibodies.
Microorganisms 09 02408 g002
Figure 3. Combinatory effects of S. Typhimurium expressing mi-INHA and radiation in B16F10 cells. (a) LDH cytotoxicity assays were performed on cell-free supernatants from B16F10 cells. Cytotoxicity was determined by measuring the amount of LDH released from PBS-treated cells or S. Typhimurium-treated cells into the supernatant with respect to cells exposed to a detergent. Each data point represents the mean ± SEM of three independent experiments (* p < 0.05 vs. PBS-treated controls; Student’s t-test). (b) Western blotting was used to detect the expression patterns of Bcl-2, b-actin, and INHA. The blots are representative of three independent experiments. Western blot normalized to β-actin was added as supplementary material (Supplementary Figure S2). (c) ROS production was measured by FACS analysis in B16F10 cells using 10 μM of H2DCFDA, which converts to a fluorescent derivative only in the presence of ROS. Flow cytometry histogram data were added as supplementary material (Supplementary Figure S3). Results shown are representative of at least three independent experiments.
Figure 3. Combinatory effects of S. Typhimurium expressing mi-INHA and radiation in B16F10 cells. (a) LDH cytotoxicity assays were performed on cell-free supernatants from B16F10 cells. Cytotoxicity was determined by measuring the amount of LDH released from PBS-treated cells or S. Typhimurium-treated cells into the supernatant with respect to cells exposed to a detergent. Each data point represents the mean ± SEM of three independent experiments (* p < 0.05 vs. PBS-treated controls; Student’s t-test). (b) Western blotting was used to detect the expression patterns of Bcl-2, b-actin, and INHA. The blots are representative of three independent experiments. Western blot normalized to β-actin was added as supplementary material (Supplementary Figure S2). (c) ROS production was measured by FACS analysis in B16F10 cells using 10 μM of H2DCFDA, which converts to a fluorescent derivative only in the presence of ROS. Flow cytometry histogram data were added as supplementary material (Supplementary Figure S3). Results shown are representative of at least three independent experiments.
Microorganisms 09 02408 g003
Figure 4. Effects of combined bacterial therapy with radiation in mice bearing melanoma. C57BL/6 mice bearing were inoculated s.c. on days 1 with PBS or with 1 × 108 CFU of attenuated unmodified S. Typhimurium, S. Typhimurium/mi-Cont, or S. Typhimurium/mi-INHA. After s.c. inoculation of bacterial cells. The mice were exposed to γ-radiation (8 Gy) on day 2 (a) The tumor volume was measured for up to 6 weeks after combined treatment with bacterial cells and irradiation. Data are presented as the mean ± SEM of three independent experiments. (b) The survival rates of all groups were recorded for up to 12 weeks. The data are presented as Kaplan–Meier survival curves, and comparisons were made using the log-rank test. (c) Bacterial distribution was examined in mice after s.c. inoculations with 1 × 107 bacterial cells. At 5 days, bacteria were not cultivated from tissue in mice with subcutaneous recombinant Salmonella inoculation. (d) Interferon gamma expressions were induced in mice treated with S. Typhimurium expressing IFN-g. Mice were treated with PBS and 1 × 108 bacterial groups. Serum was collected 7 days after inoculation and were analyzed with ELISA. p-values in figures are indicated with asterisks (*; p < 0.05, **; p < 0.01).
Figure 4. Effects of combined bacterial therapy with radiation in mice bearing melanoma. C57BL/6 mice bearing were inoculated s.c. on days 1 with PBS or with 1 × 108 CFU of attenuated unmodified S. Typhimurium, S. Typhimurium/mi-Cont, or S. Typhimurium/mi-INHA. After s.c. inoculation of bacterial cells. The mice were exposed to γ-radiation (8 Gy) on day 2 (a) The tumor volume was measured for up to 6 weeks after combined treatment with bacterial cells and irradiation. Data are presented as the mean ± SEM of three independent experiments. (b) The survival rates of all groups were recorded for up to 12 weeks. The data are presented as Kaplan–Meier survival curves, and comparisons were made using the log-rank test. (c) Bacterial distribution was examined in mice after s.c. inoculations with 1 × 107 bacterial cells. At 5 days, bacteria were not cultivated from tissue in mice with subcutaneous recombinant Salmonella inoculation. (d) Interferon gamma expressions were induced in mice treated with S. Typhimurium expressing IFN-g. Mice were treated with PBS and 1 × 108 bacterial groups. Serum was collected 7 days after inoculation and were analyzed with ELISA. p-values in figures are indicated with asterisks (*; p < 0.05, **; p < 0.01).
Microorganisms 09 02408 g004
Publisher’s Note: MDPI stays neutral with regard to jurisdictional claims in published maps and institutional affiliations.

Share and Cite

MDPI and ACS Style

Yoon, W.; Park, Y.; Kim, S.; Park, Y.; Kim, C.Y. Combined Therapy with microRNA-Expressing Salmonella and Irradiation in Melanoma. Microorganisms 2021, 9, 2408. https://doi.org/10.3390/microorganisms9112408

AMA Style

Yoon W, Park Y, Kim S, Park Y, Kim CY. Combined Therapy with microRNA-Expressing Salmonella and Irradiation in Melanoma. Microorganisms. 2021; 9(11):2408. https://doi.org/10.3390/microorganisms9112408

Chicago/Turabian Style

Yoon, Wonsuck, Yongsung Park, Seunghyun Kim, Yongkeun Park, and Chul Yong Kim. 2021. "Combined Therapy with microRNA-Expressing Salmonella and Irradiation in Melanoma" Microorganisms 9, no. 11: 2408. https://doi.org/10.3390/microorganisms9112408

APA Style

Yoon, W., Park, Y., Kim, S., Park, Y., & Kim, C. Y. (2021). Combined Therapy with microRNA-Expressing Salmonella and Irradiation in Melanoma. Microorganisms, 9(11), 2408. https://doi.org/10.3390/microorganisms9112408

Note that from the first issue of 2016, this journal uses article numbers instead of page numbers. See further details here.

Article Metrics

Back to TopTop