Pediococcus pentosaceus xy46 Can Absorb Zearalenone and Alleviate its Toxicity to the Reproductive Systems of Male Mice
Abstract
1. Introduction
2. Materials and Methods
2.1. Chemicals, Strains, and Media
2.2. The Ability of Pediococcus pentosaceus xy46 to Remove Zearalenone
2.3. Determination of the Removing Mechanism
2.4. Animals
2.5. Experimental Work
2.6. Physiological Indices and Reproductive Organ Coefficients
2.7. Semen Quality Tests
2.8. Testosterone Levels
2.9. Antioxidant Stress Index
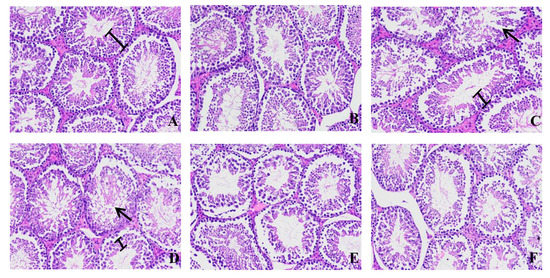
2.10. Histopathological Variation in the Testes
2.11. TUNEL Staining
2.12. Gene Expression
2.13. Western Blot Analyses
2.14. Statistical Analyses
3. Results
3.1. Ability of xy46 to Remove ZEA
3.2. Removing Mechanism
3.3. Physiological Indices and Reproductive Organ Coefficients
3.4. Pathological Tissue Sections
3.5. Oxidative Parameters and Serum Testosterone Levels
3.6. Genes, Proteins, and TUNEL Results
4. Discussion
5. Conclusions
Author Contributions
Funding
Conflicts of Interest
Appendix

| Identification Project | Result |
|---|---|
| Aerobic culture | + |
| Anaerobic culture | + |
| pH 1.5 | + |
| pH 2.5 | + |
| pH 3.5 | + |
| pH 9.6 | − |
| Glucose produces acid and gas? | Produces acid but not gas |
| Mannitol | − |
| Lactose | + |
| Sucrose | + |
| Maltose | + |
| Xylose | − |
| Fructose | − |
| Mannose | − |
| Galactose | − |
References
- Hathout, A.S.; Aly, S.E. Biological detoxification of mycotoxins: A review. Ann. Microbiol. 2014, 64, 905–919. [Google Scholar] [CrossRef]
- Alshannaq, A.; Yu, J.H. Occurrence, Toxicity, and Analysis of Major Mycotoxins in Food. Int. J. Environ. Res. Public Health 2017, 14, 632. [Google Scholar] [CrossRef] [PubMed]
- Kim, D.H.; Hong, S.Y.; Kang, J.W.; Cho, S.M.; Lee, K.R.; An, T.K.; Lee, C.; Chung, S.H. Simultaneous Determination of Multi-Mycotoxins in Cereal Grains Collected from South Korea by LC/MS/MS. Toxins 2017, 9, 106. [Google Scholar] [CrossRef] [PubMed]
- Rai, A.; Dixit, S.; Singh, S.P.; Gautam, N.K.; Das, M.; Tripathi, A. Presence of Zearalenone in Cereal Grains and Its Exposure Risk Assessment in Indian Population. J. Food Sci. 2018, 83, 3126–3133. [Google Scholar] [CrossRef] [PubMed]
- Marin, S.; Ramos, A.J.; Cano-Sancho, G.; Sanchis, V. Mycotoxins: Occurrence, toxicology, and exposure assessment. Food Chem. Toxicol. 2013, 60, 218–237. [Google Scholar] [CrossRef] [PubMed]
- Chilaka, C.A.; De Boevre, M.; Atanda, O.O.; De Saeger, S. The Status of Fusarium Mycotoxins in Sub-Saharan Africa: A Review of Emerging Trends and Post-Harvest Mitigation Strategies towards Food Control. Toxins 2017, 9, 19. [Google Scholar] [CrossRef] [PubMed]
- Gallo, A.; Giuberti, G.; Frisvad, J.C.; Bertuzzi, T.; Nielsen, K.F. Review on Mycotoxin Issues in Ruminants: Occurrence in Forages, Effects of Mycotoxin Ingestion on Health Status and Animal Performance and Practical Strategies to Counteract Their Negative Effects. Toxins 2015, 7, 3057–3111. [Google Scholar] [CrossRef]
- Häggblom, P.; Nordkvist, E. Deoxynivalenol, zearalenone, and Fusarium graminearum contamination of cereal straw, field distribution, and sampling of big bales. Mycotoxin Res. 2015, 31, 101–107. [Google Scholar] [CrossRef]
- Ryu, D.; Hanna, M.A.; Eskridge, K.M.; Bullerman, L.B. Heat stability of zearalenone in an aqueous buffered model system. J. Agric. Food Chem. 2003, 51, 1746–1748. [Google Scholar] [CrossRef]
- Biehl, M.L.; Prelusky, D.B.; Koritz, G.D.; Hartin, K.E.; Buck, W.B.; Trenholm, H.L. Biliary excretion and enterohepatic cycling of zearalenone in immature pigs. Toxicol. Appl. Pharm. 1993, 121, 152–159. [Google Scholar] [CrossRef]
- Siciliano, I.; Dal Bello, B.; Zeppa, G.; Spadaro, D.; Gullino, M.L. Static Hot Air and Infrared Rays Roasting are Efficient Methods for Aflatoxin Decontamination on Hazelnuts. Toxins 2017, 9, 72. [Google Scholar] [CrossRef] [PubMed]
- Zhu, Y.; Hassan, Y.I.; Lepp, D.; Shao, S.; Zhou, T. Strategies and Methodologies for Developing Microbial Detoxification Systems to Mitigate Mycotoxins. Toxins 2017, 9, 130. [Google Scholar] [CrossRef] [PubMed]
- Hassan, Y.I.; Zhou, T. Promising Detoxification Strategies to Mitigate Mycotoxins in Food and Feed. Toxins 2018, 10, 116. [Google Scholar] [CrossRef] [PubMed]
- Ji, C.; Fan, Y.; Zhao, L. Review on biological degradation of mycotoxins. Anim. Nutr. 2016, 2, 127–133. [Google Scholar] [CrossRef] [PubMed]
- Adebo, O.A.; Njobeh, P.B.; Gbashi, S.; Nwinyi, O.C.; Mavumengwana, V. Review on microbial degradation of aflatoxins. Crit. Rev. Food Sci. Nutr. 2017, 57, 3208–3217. [Google Scholar] [CrossRef] [PubMed]
- Liew, W.P.; Mohd-Redzwan, S. Mycotoxin: Its Impact on Gut Health and Microbiota. Front. Cell. Infect. Microbiol. 2018, 8, 60. [Google Scholar] [CrossRef] [PubMed]
- Ben Taheur, F.; Kouidhi, B.; Al Qurashi, Y.M.A.; Ben Salah-Abbès, J.; Chaieb, K. Review: Biotechnology of mycotoxins detoxification using microorganisms and enzymes. Toxicon 2019, 160, 12–22. [Google Scholar] [CrossRef]
- Śliżewska, K.; Cukrowska, B.; Smulikowska, S.; Cielecka-Kuszyk, J. The Effect of Probiotic Supplementation on Performance and the Histopathological Changes in Liver and Kidneys in Broiler Chickens Fed Diets with Aflatoxin B1. Toxins 2019, 11, 112. [Google Scholar] [CrossRef]
- Vieco-Saiz, N.; Belguesmia, Y.; Raspoet, R.; Auclair, E.; Gancel, F.; Kempf, I.; Drider, D. Benefits and Inputs From Lactic Acid Bacteria and Their Bacteriocins as Alternatives to Antibiotic Growth Promoters During Food-Animal Production. Front. Microbiol. 2019, 10, 57. [Google Scholar] [CrossRef]
- Xu, J.H.; Wang, H.J.; Zhu, Z.W.; Ji, F.; Yin, X.C.; Hong, Q.; Shi, J.R. Isolation and characterization of Bacillus amyloliquefaciens ZDS-1: Exploring the degradation of Zearalenone by Bacillus spp. Food Control 2016, 68, 244–250. [Google Scholar] [CrossRef]
- Zhang, H.; Dong, M.; Yang, Q.; Apaliya, M.T.; Li, J.; Zhang, X. Biodegradation of zearalenone by Saccharomyces cerevisiae: Possible involvement of ZEN responsive proteins of the yeast. J. Proteomics 2016, 143, 416–423. [Google Scholar] [CrossRef] [PubMed]
- Sangsila, A.; Faucet-Marquis, V.; Pfohl-Leszkowicz, A.; Itsaranuwat, P. Detoxification of zearalenone by Lactobacillus pentosus strains. Food Control 2015, 62, 187–192. [Google Scholar] [CrossRef]
- Wang, N.; Wu, W.; Pan, J.; Long, M. Detoxification Strategies for Zearalenone Using Microorganisms: A Review. Microorganisms 2019, 7, 208. [Google Scholar] [CrossRef] [PubMed]
- McCormick, S.P. Microbial detoxification of mycotoxins. J. Chem. Ecol. 2013, 39, 907–918. [Google Scholar] [CrossRef] [PubMed]
- Cui, Y.; Wang, Q.; Chang, R.; Zhou, X.; Xu, C. Intestinal Barrier Function-Non-alcoholic Fatty Liver Disease Interactions and Possible Role of Gut Microbiota. J. Agric. Food Chem. 2019, 67, 2754–2762. [Google Scholar] [CrossRef] [PubMed]
- El-Nezami, H.; Polychronaki, N.; Lee, Y.K.; Haskard, C.; Juvonen, R.; Salminen, S.; Mykkänen, H. Chemical moieties and interactions involved in the binding of zearalenone to the surface of Lactobacillus rhamnosus strains GG. J. Agric. Food Chem. 2004, 52, 4577–4581. [Google Scholar] [CrossRef] [PubMed]
- Vega, M.F.; Dieguez, S.N.; Riccio, B.; Aranguren, S.; Giordano, A.; Denzoin, L.; Soraci, A.L.; Tapia, M.O.; Ross, R.; Apás, A.; et al. Zearalenone adsorption capacity of lactic acid bacteria isolated from pigs. Braz. J. Microbiol. 2017, 48, 715–723. [Google Scholar] [CrossRef] [PubMed]
- Yang, W.C.; Hsu, T.C.; Cheng, K.C.; Liu, J.R. Expression of the Clonostachys rosea lactonohydrolase gene by Lactobacillus reuteri to increase its zearalenone-removing ability. Microb. Cell Fact. 2017, 16, 19. [Google Scholar]
- Long, M.; Li, P.; Zhang, W.K.; Li, X.B.; Zhang, Y.; Wang, Z.; Liu, G.W. Removal of zearalenone by strains of lactobacillus sp. isolated from rumen in vitro. J. Anim. Vet. Adv. 2012, 11, 2417–2422. [Google Scholar]
- Abbès, S.; Ben Salah-Abbès, J.; Sharafi, H.; Oueslati, R.; Noghabi, K.A. Lactobacillus paracasei BEJ01 prevents immunotoxic effects during chronic zearalenone exposure in Balb/c mice. Immunopharmacol. Immunotoxicol. 2013, 35, 341–348. [Google Scholar] [CrossRef]
- Dubey, V.; Mishra, A.K.; Ghosh, A.R.; Mandal, B.K. Probiotic Pediococcus pentosaceus GS4 shields brush border membrane and alleviates liver toxicity imposed by chronic cadmium exposure in Swiss albino mice. J. Appl. Microbiol. 2019, 126, 1233–1244. [Google Scholar] [CrossRef] [PubMed]
- Le, B.; Yang, S.H. Biosorption of cadmium by potential probiotic Pediococcus pentosaceus using in vitro digestion model. Biotechnol. Appl. Biochem. 2019. [Google Scholar] [CrossRef]
- Xu, Q.; Gu, S.; Chen, Y.; Quan, J.; Lv, L.; Chen, D.; Zheng, B.; Xu, L.; Li, L. Protective Effect of Pediococcus pentosaceus LI05 Against Clostridium difficile Infection in a Mouse Model. Front. Microbiol. 2018, 9, 2396. [Google Scholar] [CrossRef]
- Sellamani, M.; Kalagatur, N.K.; Siddaiah, C.; Mudili, V.; Krishna, K.; Natarajan, G.; Rao Putcha, V.L. Antifungal and Zearalenone Inhibitory Activity of Pediococcus pentosaceus Isolated from Dairy Products on Fusarium graminearum. Front. Microbiol. 2016, 7, 890. [Google Scholar] [CrossRef] [PubMed]
- El-Nezami, H.; Polychronaki, N.; Salminen, S.; Mykkänen, H. Binding rather than metabolism may explain the interaction of two food-Grade Lactobacillus strains with zearalenone and its derivative alpha-zearalenol. Appl. Environ. Microbiol. 2002, 68, 3545–3549. [Google Scholar] [CrossRef]
- Long, M.; Yang, S.; Dong, S.; Chen, X.; Zhang, Y.; He, J. Characterization of semen quality, testicular marker enzyme activities and gene expression changes in the blood testis barrier of Kunming mice following acute exposure to zearalenone. Environ. Sci. Pollut. Res. 2017, 24, 27235–27243. [Google Scholar] [CrossRef]
- Wang, N.; Li, P.; Wang, M.; Chen, S.; Huang, S.; Long, M.; Yang, S.; He, J. The Protective Role of Bacillus velezensis A2 on the Biochemical and Hepatic Toxicity of Zearalenone in Mice. Toxins 2018, 10, 449. [Google Scholar] [CrossRef]
- Masuda, T.; Kimura, M.; Okada, S.; Yasui, H. Pediococcus pentosaceus Sn26 inhibits IgE production and the occurrence of ovalbumin-induced allergic diarrhea in mice. Biosci. Biotechnol. Biochem. 2010, 74, 329–335. [Google Scholar] [CrossRef] [PubMed][Green Version]
- Zhao, X.; Higashikawa, F.; Noda, M.; Kawamura, Y.; Matoba, Y.; Kumagai, T.; Sugiyama, M. The obesity and fatty liver are reduced by plant-derived Pediococcus pentosaceus LP28 in high fat diet-induced obese mice. PLoS ONE 2012, 7, e30696. [Google Scholar] [CrossRef] [PubMed]
- Zhang, B.; Guo, H.; Yang, W.; Li, M.; Zou, Y.; Loor, J.J.; Xia, C.; Xu, C. Effects of ORAI calcium release-activated calcium modulator 1 (ORAI1) on neutrophil activity in dairy cows with subclinical hypocalcemia1. J. Anim. Sci. 2019, 97, 3326–3336. [Google Scholar] [CrossRef]
- Zhang, Z.; Bo, C.; Guo, Q.; Xie, L.; Liu, Y.; Li, L. Effect of zeranol on spermary and spermigenesis function of male mice. Wei Sheng Yan Jiu 2010, 39, 755–758. [Google Scholar] [PubMed]
- Filipiak, E.; Walczak-Jedrzejowska, R.; Oszukowska, E.; Guminska, A.; Marchlewska, K.; Kula, K.; Slowikowska-Hilczer, J. Xenoestrogens diethylstilbestrol and zearalenone negatively influence pubertal rat’s testis. Folia Histochem. Cytobiol. 2009, 47, S113–S120. [Google Scholar] [PubMed]
- Boeira, S.P.; Filho, C.B.; Del’Fabbro, L.; Roman, S.S.; Royes, L.F.; Fighera, M.R.; Jessé, C.R.; Oliveira, M.S.; Furian, A.F. Lycopene treatment prevents hematological, reproductive and histopathological damage induced by acute zearalenone administration in male Swiss mice. Exp. Toxicol. Pathol. 2014, 66, 179–185. [Google Scholar] [CrossRef] [PubMed]
- Ben Salah-Abbès, J.; Abbès, S.; Abdel-Wahhab, M.A.; Oueslati, R. Raphanus sativus extract protects against Zearalenone induced reproductive toxicity, oxidative stress and mutagenic alterations in male Balb/c mice. Toxicon 2009, 53, 525–533. [Google Scholar] [CrossRef] [PubMed]
- Boeira, S.P.; Funck, V.R.; Borges Filho, C.; Del’Fabbro, L.; de Gomes, M.G.; Donato, F. Lycopene protects against acute zearalenone-induced oxidative, endocrine, inflammatory and reproductive damages in male mice. Chem. Biol. Interact. 2015, 230, 50–57. [Google Scholar] [CrossRef] [PubMed]
- Long, M.; Yang, S.; Zhang, Y.; Li, P.; Han, J.; Dong, S.; Chen, X.; He, J. Proanthocyanidin protects against acute zearalenone-induced testicular oxidative damage in male mice. Environ. Sci. Pollut. Res. Int. 2017, 24, 938–946. [Google Scholar] [CrossRef] [PubMed]
- Wang, N.; Li, P.; Pan, J.; Wang, M.; Long, M.; Zang, J.; Yang, S. Bacillus velezensis A2 fermentation exerts a protective effect on renal injury induced by Zearalenone in mice. Sci. Rep. 2018, 8, 13646. [Google Scholar] [CrossRef] [PubMed]
- Yuan, H.; Deng, Y.; Yuan, L.; Wu, J.; Yuan, Z.; Yi, J. Gynostemma pentaphyllum protects mouse male germ cells against apoptosis caused by zearalenone via Bax and Bcl-2 regulation. Toxicol. Mech. Methods 2010, 20, 153–158. [Google Scholar] [CrossRef]









| Group | Methods |
|---|---|
| Short-term co-cultivation group | The xy46 strain was cultivated in MRS liquid medium for 24 h and then co-cultivated with ZEA for 15–30 min |
| Long-term co-cultivation group | Both the xy46 strain and ZEA were co-cultivated at the same time in MRS liquid medium for 24 h |
| Heat treatment group | The xy46 strain was cultivated in MRS liquid medium for 24 h, then autoclaved at 121 °C for 30 min, and then co-cultivated with ZEA for 15–30 min |
| Acid treatment group | The xy46 strain was cultivated in MRS liquid medium for 24 h, then treated with hydrochloric acid (the final pH was about 1) and then co-cultivated with ZEA for 15–30 min |
| Group | Substance Administrated | Intragastric Administration/Single | Time |
|---|---|---|---|
| Control | 0.9% NaCl | 0.2 mL | Daily for 28 days |
| xy46 | 109 CFU/mL | 0.2 mL | Daily for 28 days |
| ZEA40 | 40 mg/kg ZEA | 0.2 mL | Daily for 28 days |
| xy46 + ZEA40 | 40 mg/kg ZEA + 109 CFU/mL xy46 | 0.2 mL | Daily for 28 days |
| ZEA70 | 70 mg/kg ZEA | 0.2 mL | Daily for 28 days |
| xy46 + ZEA70 | 70 mg/kg ZEA + 109 CFU/mL xy46 | 0.2 mL | Daily for 28 days |
| Gene | Serial Number | Primer Sequence (5′—3′) | Product Length |
|---|---|---|---|
| Bax | NM_007527.3 | Forward: TCCACCAAGAAGCTGAGCGAG Reverse: GTCCAGCCCATGATGGTTCT | 257 bp |
| Bcl-2 | NM_009741.5 | Forward: GACAACGGAGGATGGGATG Reverse: TCCACGATA AACTGGGTGACT | I50 bp |
| Caspase12 | NM_009808.4 | Forward: CTCAATAGTGGGCATCTGGGT Reverse: GAAGGTAGGCAAGACTGGTTC | 151 bp |
| β-actin | BC_138614.1 | Forward: CTGTCCCTGTATGCCTCTG Reverse: TTGATGTCACGCACGATT | 221 bp |
| Vim | NM_011701.4 | Forward: GATCAGCTCACCAACGACAA Reverse: GCTTTCGGCTTCCTCTCTCT | 120 bp |
| Cldn 11 | NM_008770.3 | Forward: GGGTGCTCCTTATTCTGCTG Reverse: AGCGAGTAGCCAAAGCTCAC | 103 bp |
| N-cad | AB_008811.1 | Forward: AGGACCCTTTCCTCAAGAGC Reverse: ATAATGAAGATGCCCGTTGG | 117 bp |
| Groups | ZEA Removing Rate (%) |
|---|---|
| Short-term co-cultivation group | 60.4 ± 1.064 a |
| Long-term co-cultivation group | 55.9 ± 0.56 b |
| Heat treatment group | 94.4 ± 2.13 c |
| Acid treatment group | 80.0 ± 2.54 d |
© 2019 by the authors. Licensee MDPI, Basel, Switzerland. This article is an open access article distributed under the terms and conditions of the Creative Commons Attribution (CC BY) license (http://creativecommons.org/licenses/by/4.0/).
Share and Cite
Yang, S.; Gong, P.; Pan, J.; Wang, N.; Tong, J.; Wang, M.; Long, M.; Li, P.; He, J. Pediococcus pentosaceus xy46 Can Absorb Zearalenone and Alleviate its Toxicity to the Reproductive Systems of Male Mice. Microorganisms 2019, 7, 266. https://doi.org/10.3390/microorganisms7080266
Yang S, Gong P, Pan J, Wang N, Tong J, Wang M, Long M, Li P, He J. Pediococcus pentosaceus xy46 Can Absorb Zearalenone and Alleviate its Toxicity to the Reproductive Systems of Male Mice. Microorganisms. 2019; 7(8):266. https://doi.org/10.3390/microorganisms7080266
Chicago/Turabian StyleYang, Shuhua, Ping Gong, Jianwen Pan, Nan Wang, Jingjing Tong, Mingyang Wang, Miao Long, Peng Li, and Jianbin He. 2019. "Pediococcus pentosaceus xy46 Can Absorb Zearalenone and Alleviate its Toxicity to the Reproductive Systems of Male Mice" Microorganisms 7, no. 8: 266. https://doi.org/10.3390/microorganisms7080266
APA StyleYang, S., Gong, P., Pan, J., Wang, N., Tong, J., Wang, M., Long, M., Li, P., & He, J. (2019). Pediococcus pentosaceus xy46 Can Absorb Zearalenone and Alleviate its Toxicity to the Reproductive Systems of Male Mice. Microorganisms, 7(8), 266. https://doi.org/10.3390/microorganisms7080266

