Efficient Biodegradation of the Neonicotinoid Insecticide Flonicamid by Pseudaminobacter salicylatoxidans CGMCC 1.17248: Kinetics, Pathways, and Enzyme Properties
Abstract
1. Introduction
2. Materials and Methods
2.1. Chemicals and Media
2.2. Strains and Plasmids
2.3. Kinetics of FLO Degradation by P. salicylatoxidans CGMCC 1.17248 Resting Cells
2.4. HPLC and Liquid Chromatography–Tandem Mass Spectrometry (LC–MS)
2.5. Substrate FLO Testing of AnhA and AnhB
2.6. Cloning of Amidase Genes from P. salicylatoxidans CGMCC 1.17248
2.7. Gene Expression and Metabolism of Substrate TFNG-AM
2.8. Half-Life Calculation
2.9. Homology Modeling of Amidases
2.10. Molecular Docking of PsmiA and TFNG-AM
3. Results and Discussion
3.1. Degradation of FLO by Resting Cells of P. salicylatoxidans CGMCC 1.17248 and Metabolite Identification
3.2. Time Course of FLO Degradation by Resting Cells of P. salicylatoxidans CGMCC 1.17248 and Degradation Pathway Analysis
3.3. FLO Degradation by Recombinant Strains
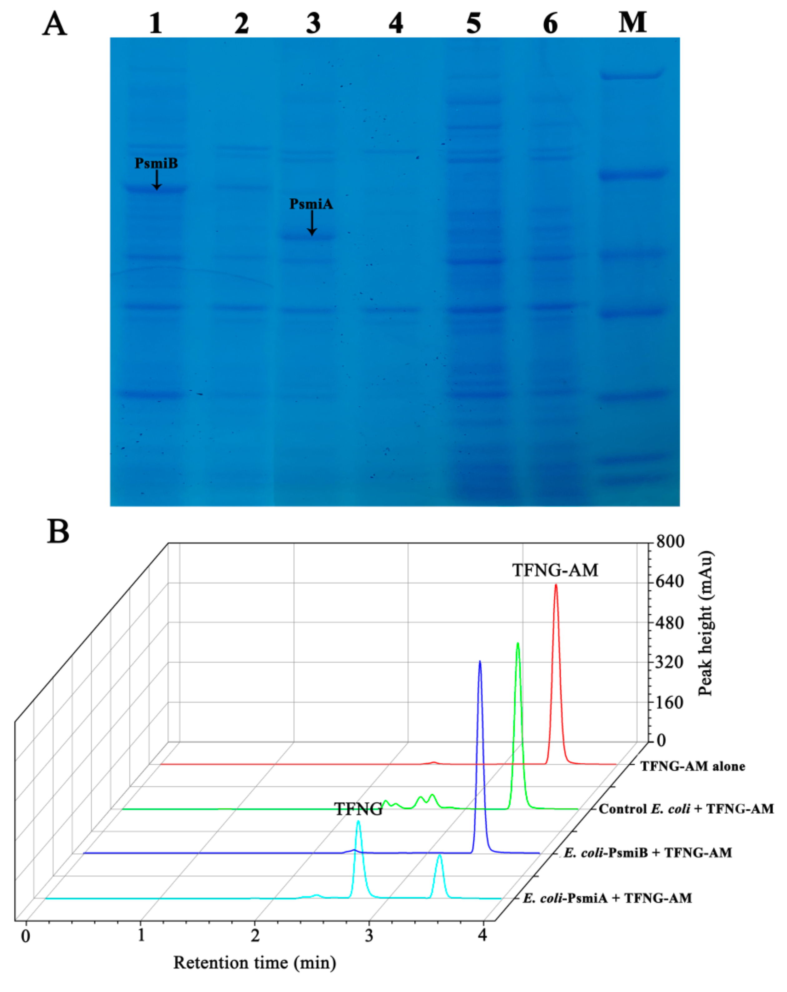
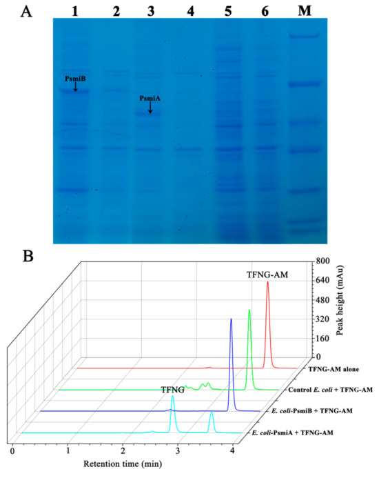
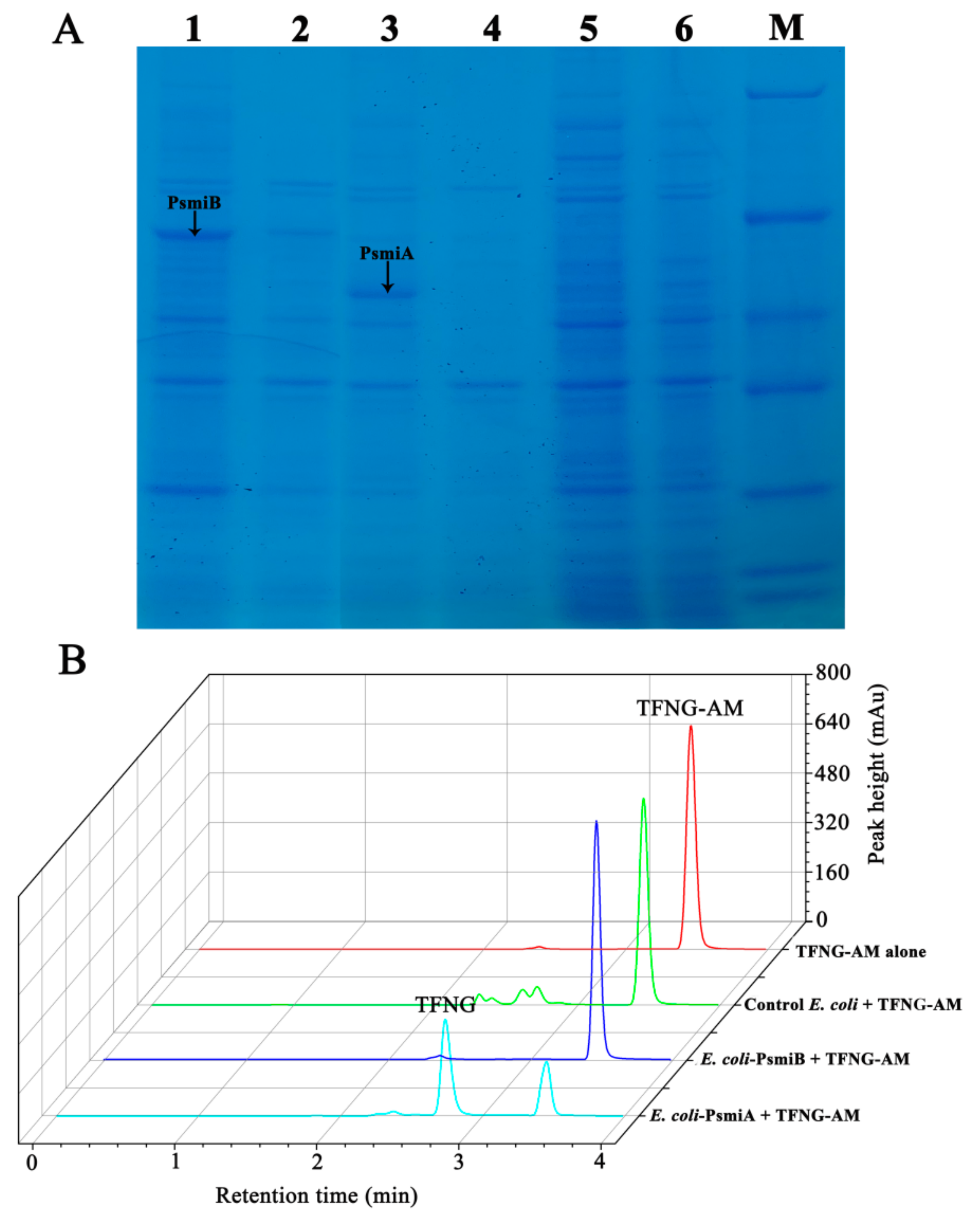
3.4. Cloning and Overexpression of Amidases in E. coli Rosetta (DE3) and TFNG-AM Degradation by the Recombinant Strains
3.5. Bioinformatic Analyses
3.6. Predicted Structures of PsmiA and PsmiB
3.7. Structure–Function Relationship of PsmiA
4. Conclusions
Supplementary Materials
Author Contributions
Funding
Data Availability Statement
Acknowledgments
Conflicts of Interest
References
- Wang, S.S.; Jin, F.; Cao, X.L.; Shao, Y.; Wang, J.; She, Y.X.; Qi, Y.; Zhang, C.; Li, H.; Jin, M.J.; et al. Residue behaviors and risk assessment of fonicamid and its metabolites in the cabbage feld ecosystem. Ecotoxicol. Environ. Saf. 2018, 16, 420–4299. [Google Scholar] [CrossRef] [PubMed]
 - López-Ruiz, R.; Romero-González, R.; Vidal, J.L.M.; Frenich, A.G. Determination of flonicamid and its metabolites in bell pepper using ultra-high-performance liquid chromatography coupled to high-resolution mass spectrometry (Orbitrap). Food Addit. Contam. Part A 2016, 33, 1685–1692. [Google Scholar] [CrossRef] [PubMed]
 - Abdel-Ghany, M.F.; Hussein, L.A.; El Azab, N.F. Multiresidue analysis of five neonicotinoid insecticides and their primary metabolite in cucumbers and soil using high-performance liquid chromatography with diode-array detection. J. AOAC Int. 2017, 100, 176–188. [Google Scholar] [CrossRef]
 - Metcalfe, C.D.; Helm, P.; Paterson, G.; Kaltenecker, G.; Murray, C.; Nowierski, M.; Sultana, T. Pesticides related to land use in watersheds of the Great Lakes basin. Sci. Total Environ. 2019, 648, 681–692. [Google Scholar] [CrossRef] [PubMed]
 - Sabry, A.K.H.; Salem, L.M.; Ali, N.I.; Ahmed, S.S.E. Genotoxic effect of flonicamid and etofenprox on mice. Biosci. Res. 2018, 15, 2295–2303. [Google Scholar]
 - Zhou, W.L.; Yue, M.; Liu, Q.; Wang, F.; Liu, L.Y.; Wang, L.; Liu, X.Q.; Zheng, M.L.; Xiao, H.; Bai, Q.H.; et al. Measuring urinary concentrations of neonicotinoid insecticides by modified solid-phase extraction-ultrahigh performance liquid chromatography-tandem mass spectrometry: Application to human exposure and risk assessment. Chemosphere 2021, 273, 129714. [Google Scholar] [CrossRef] [PubMed]
 - APVMA. Public Release Summary on the Evaluation of the New Active Fonicamid in the Product Mainman 500 WG Insecticide. 2014. Available online: https://apvma.gov.au/sites/default/files/publication/13721-prs-flonicamid.pdf (accessed on 18 May 2024).
 - Yamamuro, T.; Ohta, H.; Aoyama, M.; Watanabe, D. Simultaneous determination of neonicotinoid insecticides in human serum and urine using diatomaceous earth-assisted extraction and liquid chromatography-tandem mass spectrometry. J. Chromatogr. B 2014, 969, 85–94. [Google Scholar] [CrossRef]
 - Masiá, A.; Suarez-Varela, M.M.; Llopis-Gonzalez, A.; Picó, Y. Determination of pesticides and veterinary drug residues in food by liquid chromatography-mass spectrometry: A review. Anal. Chim. Acta 2016, 936, 40–61. [Google Scholar] [CrossRef]
 - Vela, N.; Fenoll, J.; Garrido, I.; Perez-Lucas, G.; Flores, P.; Hellín, P.; Navarro, S. Reclamation of agro-wastewater polluted with pesticide residues using sunlight activated persulfate for agricultural reuse. Sci. Total Environ. 2019, 660, 923–930. [Google Scholar] [CrossRef] [PubMed]
 - Garrido, I.; Pastor-Belda, M.; Campillo, N.; Viñas, P.; Yañez, M.J.; Vela, N.; Navarro, S.; Fenoll, J. Photooxidation of insecticide residues by ZnO and TiO2 coated magnetic nanoparticles under natural sunlight. J. Photochem. Photobiol. A 2019, 372, 245–253. [Google Scholar] [CrossRef]
 - Liu, Z.; Dai, Y.; Huang, G.; Gu, Y.; Ni, J.; Wei, H.; Yuan, S. Soil microbial degradation of neonicotinoid insecticides imidacloprid, acetamiprid, thiacloprid and imidaclothiz and its effect on the persistence of bioefficacy against horsebean aphid Aphis craccivora Koch after soil application. Pest Manag. Sci. 2011, 67, 1245–1252. [Google Scholar] [CrossRef] [PubMed]
 - Fan, X.X.; Song, F.Q. Bioremediation of atrazine: Recent advances and promises. J. Soils Sediments 2014, 14, 1727–1737. [Google Scholar] [CrossRef]
 - Xiong, H.F.; Dong, S.S.; Zhang, J.; Zhou, D.D.; Rittmann, B.E. Roles of an easily biodegradable co-substrate in enhancing tetracycline treatment in an intimately coupled photocatalytic-biological reactor. Water Res. 2018, 136, 75–83. [Google Scholar] [CrossRef]
 - Sakashita, T.; Hashimoto, Y.; Oinuma, K.I.; Kobayashi, M. Transcriptional regulation of the nitrile hydratase gene cluster in Pseudomonas chlororaphis B23. J. Bacteriol. 2008, 190, 4210–4217. [Google Scholar] [CrossRef]
 - Yang, W.L.; Dai, Z.L.; Cheng, X.; Fan, Z.X.; Jiang, H.Y.; Dai, Y.J. Biotransformation of insecticide flonicamid by Aminobacter sp. CGMCC 1.17253 via nitrile hydratase catalysed hydration pathway. J. Appl. Microbiol. 2020, 130, 1571–1581. [Google Scholar] [CrossRef] [PubMed]
 - Yang, W.L.; Fan, Z.X.; Jiang, H.Y.; Zhao, Y.X.; Guo, L.; Dai, Y.J. Biotransformation of flonicamid and sulfoxaflor by multifunctional bacterium Ensifer meliloti CGMCC 7333. J. Environ. Sci. Health Part B 2021, 56, 122–131. [Google Scholar] [CrossRef] [PubMed]
 - Jiang, H.Y.; Jiang, N.D.; Wang, L.; Guo, J.J.; Chen, K.X.; Dai, Y.J. Characterization of nitrilases from Variovorax boronicumulans that functions in insecticide flonicamid degradation and β-cyano-L-alanine detoxification. J. Appl. Microbiol. 2022, 133, 311–322. [Google Scholar] [CrossRef]
 - Zhao, Y.X.; Guo, L.; Wang, L.; Jiang, N.D.; Chen, K.X.; Dai, Y.J. Biodegradation of the pyridinecarboxamide insecticide flonicamid by Microvirga flocculans and characterization of two novel amidases involved. Ecotoxicol. Environ. Saf. 2021, 220, 112384. [Google Scholar] [CrossRef]
 - Zhao, Y.X.; Wang, L.; Chen, K.X.; Jiang, N.D.; Sun, S.L.; Ge, F.; Dai, Y.J. Biodegradation of flonicamid by Ensifer adhaerens CGMCC 6315 and enzymatic characterization of the nitrile hydratases involved. Microb. Cell Fact. 2021, 20, 133. [Google Scholar] [CrossRef]
 - Jiang, H.Y.; Yuan, P.P.; Ding, J.J.; Wu, H.K.; Wang, L.; Chen, K.X.; Jiang, N.D.; Dai, Y.J. Novel biodegradation pathway of insecticide flonicamid mediated by an amidase and its unusual substrate spectrum. J. Hazard. Mater. 2023, 441, 129952. [Google Scholar] [CrossRef]
 - Yang, W.L.; Guo, L.L.; Dai, Z.L.; Qin, R.C.; Zhao, Y.X.; Dai, Y.J. Biodegradation of the insecticide flonicamid by Alcaligenes faecalis CGMCC 17553 via hydrolysis and hydration pathways mediated by nitrilase. J. Agric. Food Chem. 2019, 67, 10032–10041. [Google Scholar] [CrossRef] [PubMed]
 - Sun, S.L.; Zhou, J.S.; Jiang, J.H.; Dai, Y.J.; Sheng, M.M. Nitrile hydratases: From industrial application to acetamiprid and thiacloprid degradation. J. Agric. Food Chem. 2021, 69, 10440–10449. [Google Scholar] [CrossRef] [PubMed]
 - Supreetha, K.; Rao, S.N.; Srividya, D.; Anil, H.S.; Kiran, S. Advances in cloning, structural and bioremediation aspects of nitrile hydratases. Mol. Biol. Rep. 2019, 46, 4661–4673. [Google Scholar] [CrossRef] [PubMed]
 - Ma, D.; Cheng, Z.Y.; Peplowski, L.; Han, L.C.; Xia, Y.Y.; Hou, X.D.; Guo, J.L.; Yin, D.J.; Rao, Y.J.; Zhou, Z.M. Insight into the broadened substrate scope of nitrile hydratase by static and dynamic structure analysis. Chem. Sci. 2022, 13, 8417–8428. [Google Scholar] [CrossRef] [PubMed]
 - Wu, Z.M.; Liu, C.F.; Zhang, Z.Y.; Zheng, R.C.; Zheng, Y.G. Amidase as a versatile tool in amide-bond cleavage: From molecular features to biotechnological applications. Biotechnol. Adv. 2020, 43, 107574. [Google Scholar] [CrossRef] [PubMed]
 - Sharma, M.; Sharma, N.N.; Bhalla, T.C. Amidases: Versatile enzymes in nature. Rev. Environ. Sci. Biotechnol. 2009, 8, 343–366. [Google Scholar] [CrossRef]
 - Varshavsky, A. N-degron and C-degron pathways of protein degradation. Proc. Natl. Acad. Sci. USA 2019, 116, 358–366. [Google Scholar] [CrossRef] [PubMed]
 - Sun, S.L.; Yang, W.L.; Fang, W.W.; Zhao, Y.X.; Guo, L.; Dai, Y.J. The plant growth-promoting rhizobacterium Variovorax boronicumulans CGMCC 4969 regulates the level of indole-3-acetic acid synthesized from indole-3-acetonitrile. Appl. Environ. Microbiol. 2018, 84, e00298-18. [Google Scholar] [CrossRef] [PubMed]
 - Kobayashi, M.; Suzuki, T.; Fujita, T.; Masuda, M.; Shimizu, S. Occurrence of enzymes involved in biosynthesis of indole-3-acetic acid from indole-3-acetonitrile in plant-associated bacteria, Agrobacterium and Rhizobium. Proc. Natl. Acad. Sci. USA 1995, 92, 714–718. [Google Scholar] [CrossRef]
 - Feng, Y.S.; Chen, P.C.; Wen, F.S.; Hsiao, W.Y.; Lee, C.M. Nitrile hydratase from Mesorhizobium sp. F28 and its potential for nitrile biotransformation. Process Biochem. 2008, 43, 1391–1397. [Google Scholar] [CrossRef]
 - Pasquarelli, F.; Spera, A.; Cantarella, L.; Cantarella, M. Biodegradation of bromoxynil using the cascade enzymatic system nitrile hydratase/amidase from Microbacterium imperiale CBS 498-74. Comparison between free enzymes and resting cells. RSC Adv. 2015, 5, 36913–36923. [Google Scholar] [CrossRef]
 - Guo, L.L.; Yang, W.L.; Cheng, X.; Fan, Z.X.; Chen, X.M.; Ge, F.; Dai, Y.J. Degradation of neonicotinoid insecticide acetamiprid by two different nitrile hydratases of Pseudaminobacter salicylatoxidans CGMCC 1.17248. Int. Biodeterior. Biodegrad. 2021, 157, 105141. [Google Scholar] [CrossRef]
 - Zhang, H.J.; Zhou, Q.W.; Zhou, G.C.; Cao, Y.M.; Dai, Y.J.; Ji, W.W.; Shang, G.D.; Yuan, S. Biotransformation of the neonicotinoid insecticide thiacloprid by the bacterium Variovorax boronicumulans strain J1 and mediation of the major metabolic pathway by nitrile hydratase. J. Agric. Food Chem. 2012, 60, 153–159. [Google Scholar] [CrossRef]
 - Zheng, W.; Zhang, C.X.; Li, Y.; Pearce, R.; Bell, E.W.; Zhang, Y. Folding non-homology proteins by coupling deep-learning contact maps with I-TASSER assembly simulations. Cell Rep. Methods 2021, 1, 100014. [Google Scholar] [CrossRef] [PubMed]
 - Waterhouse, A.; Bertoni, M.; Bienert, S.; Studer, G.; Tauriello, G.; Gumienny, R.; Heer, F.T.; De Beer, T.A.P.; Rempfer, C.; Bordoli, L.; et al. SWISS-MODEL: Homology modelling of protein structures and complexes. Nucleic Acids Res. 2018, 46, W296–W303. [Google Scholar] [CrossRef] [PubMed]
 - Benkert, P.; Biasini, M.; Schwede, T. Toward the estimation of the absolute quality of individual protein structure models. Bioinformatics 2011, 27, 343–350. [Google Scholar] [CrossRef] [PubMed]
 - Seeliger, D.; de Groot, B.L. Ligand docking and binding site analysis with PyMOL and Autodock/Vina. J. Comput. Aided Mol. Des. 2010, 24, 417–422. [Google Scholar] [CrossRef]
 - Amer, H.H.; Eldrehmy, E.H.; Abdel-Hafez, S.M.; Alghamdi, Y.S.; Hassan, M.Y.; Alotaibi, S.H. Antibacterial and molecular docking studies of newly synthesized nucleosides and Schiff bases derived from sulfadimidines. Sci. Rep. 2021, 11, 17953. [Google Scholar] [CrossRef]
 - Lee, A.; Lee, K.; Kim, D. Using reverse docking for target identification and its applications for drug discovery. Expert. Opin. Drug Discov. 2016, 11, 707–715. [Google Scholar] [CrossRef]
 - Xu, X.J.; Huang, M.; Zou, X.Q. Docking-based inverse virtual screening: Methods, applications, and challenges. Biophys. Rep. 2018, 4, 1–16. [Google Scholar] [CrossRef]
 - Kim, H.; Kim, D.U.; Lee, H.; Yun, J.; Ka, J.O. Syntrophic biodegradation of propoxur by Pseudaminobacter sp. SP1a and Nocardioides sp. SP1b isolated from agricultural soil. Int. Biodeterior. Biodegrad. 2017, 118, 1–9. [Google Scholar] [CrossRef]
 - Zhang, R.F.; Cui, Z.L.; Jiang, J.D.; He, J.; Gu, X.Y.; Li, S.P. Diversity of organophosphorus pesticide-degrading bacteria in a polluted soil and conservation of their organophosphorus hydrolase genes. Can. J. Microbiol. 2005, 51, 337–343. [Google Scholar] [CrossRef]
 - Zhao, X.Y.; Chen, K.X.; Wang, L.; Yuan, P.P.; Dai, Y.J. Biodegradation of sulfoxaflor and photolysis of sulfoxaflor by ultraviolet radiation. Biodegradation 2023, 34, 341–355. [Google Scholar] [CrossRef]
 - Fournand, D.; Arnaud, A. Aliphatic and enantioselective amidases: From hydrolysis to acyl transfer activity. J. Appl. Microbiol. 2001, 91, 381–393. [Google Scholar] [CrossRef]
 






| Target | Primer | Sequence (5’→3’) a | Amplicon Size (bp) | 
|---|---|---|---|
| psmiA | F1 | ACAGCAAATGGGTCGCGGATCCGAATTCATGCAGTCCAGCCGCGAT | 1308 | 
| R1 | ATCTCAGTGGTGGTGGTGGTGGTGCTCGAGTCAACGCTCCGCCCTGGC | ||
| psmiB | F2 | ACAGCAAATGGGTCGCGGATCCGAATTCATGCCGACGATGATCGATGC | 1545 | 
| R2 | ATCTCAGTGGTGGTGGTGGTGGTGCTCGAGTCAAAGTTCAGAGATGACTGCCTG | 
Disclaimer/Publisher’s Note: The statements, opinions and data contained in all publications are solely those of the individual author(s) and contributor(s) and not of MDPI and/or the editor(s). MDPI and/or the editor(s) disclaim responsibility for any injury to people or property resulting from any ideas, methods, instructions or products referred to in the content.  | 
© 2024 by the authors. Licensee MDPI, Basel, Switzerland. This article is an open access article distributed under the terms and conditions of the Creative Commons Attribution (CC BY) license (https://creativecommons.org/licenses/by/4.0/).
Share and Cite
Zhao, Y.-X.; Yuan, J.; Song, K.-W.; Yin, C.-J.; Chen, L.-W.; Yang, K.-Y.; Yang, J.; Dai, Y.-J. Efficient Biodegradation of the Neonicotinoid Insecticide Flonicamid by Pseudaminobacter salicylatoxidans CGMCC 1.17248: Kinetics, Pathways, and Enzyme Properties. Microorganisms 2024, 12, 1063. https://doi.org/10.3390/microorganisms12061063
Zhao Y-X, Yuan J, Song K-W, Yin C-J, Chen L-W, Yang K-Y, Yang J, Dai Y-J. Efficient Biodegradation of the Neonicotinoid Insecticide Flonicamid by Pseudaminobacter salicylatoxidans CGMCC 1.17248: Kinetics, Pathways, and Enzyme Properties. Microorganisms. 2024; 12(6):1063. https://doi.org/10.3390/microorganisms12061063
Chicago/Turabian StyleZhao, Yun-Xiu, Jing Yuan, Ke-Wei Song, Chi-Jie Yin, Li-Wen Chen, Kun-Yan Yang, Ju Yang, and Yi-Jun Dai. 2024. "Efficient Biodegradation of the Neonicotinoid Insecticide Flonicamid by Pseudaminobacter salicylatoxidans CGMCC 1.17248: Kinetics, Pathways, and Enzyme Properties" Microorganisms 12, no. 6: 1063. https://doi.org/10.3390/microorganisms12061063
APA StyleZhao, Y.-X., Yuan, J., Song, K.-W., Yin, C.-J., Chen, L.-W., Yang, K.-Y., Yang, J., & Dai, Y.-J. (2024). Efficient Biodegradation of the Neonicotinoid Insecticide Flonicamid by Pseudaminobacter salicylatoxidans CGMCC 1.17248: Kinetics, Pathways, and Enzyme Properties. Microorganisms, 12(6), 1063. https://doi.org/10.3390/microorganisms12061063
        
