Alginate-Degrading Modes, Oligosaccharide-Yielding Properties, and Potential Applications of a Novel Bacterial Multifunctional Enzyme, Aly16-1
Abstract
1. Introduction
2. Materials and Methods
2.1. Bacterial Strains, Carbohydrates, and Growth Conditions
2.2. Gene Cloning and Sequencing
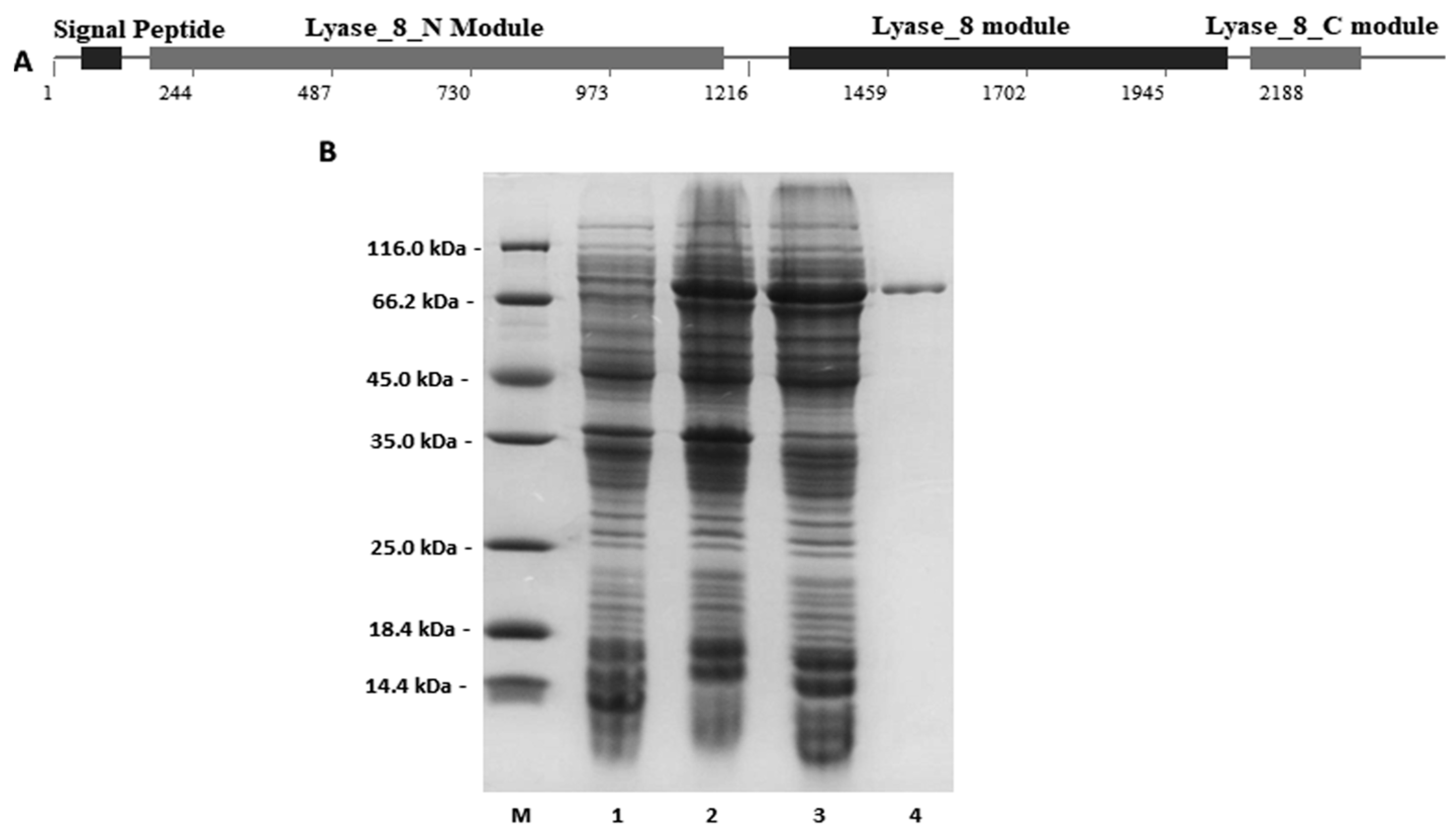
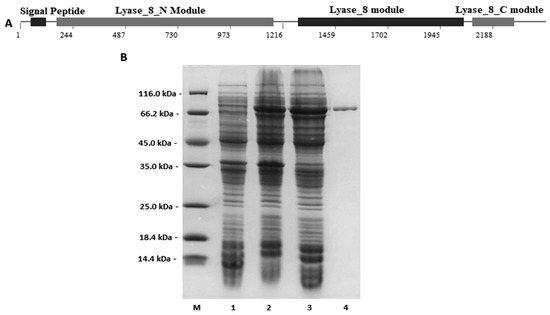
2.3. Heterologous Expression and Protein Purification
2.4. Enzyme Activity Assay Toward Various Substrates
2.5. Biochemical Characterization
2.6. Analyses of Carbohydrate Substrate Action Modes
3. Results
3.1. Sequence Information of Aly16-1
3.2. Broad Substrate Spectrum
3.3. Biochemical Characteristics
3.4. Alginate-Degrading Patterns
3.5. Degradation Pattens of Saturated Oligosaccharides and 2AB-Labeled Derivatives
3.6. Oligosaccharide-Yielding Properties of rAly16-1
4. Discussion
5. Patent
Supplementary Materials
Author Contributions
Funding
Data Availability Statement
Acknowledgments
Conflicts of Interest
References
- Liu, J.Q.; Basit, A.; Miao, T.; Zheng, F.Z.; Yu, H.; Wang, Y.; Jiang, W.; Cao, Y.H. Secretory expression of β-mannanase in Saccharomyces cerevisiae and its high efficiency for hydrolysis of mannans to mannooligosaccharides. Appl. Microbiol. Biotechnol. 2018, 102, 10027–10041. [Google Scholar] [CrossRef] [PubMed]
 - Hii, S.L.; Tan, J.S.; Ling, T.C.; Ariff, A.B. Pullulanase: Role in starch hydrolysis and potential industrial applications. Enzym. Res. 2012, 921362. [Google Scholar] [CrossRef] [PubMed]
 - Uchiyama, T.; Uchihashi, T.; Nakamura, A.; Watanabe, H.; Kaneko, S.; Samejima, M.; Igarashi, K. Convergent evolution of processivity in bacterial and fungal cellulases. Proc. Natl. Acad. Sci. USA 2020, 117, 19896–19903. [Google Scholar] [CrossRef] [PubMed]
 - Michael, O.S.; Adetunji, C.O.; Ayeni, A.E. Polysaccharides: Properties and Applications; John Wiley & Sons: New York, NY, USA, 2021; Chapter 20. [Google Scholar]
 - Jing, X.D.; Sun, Y.Z.; Ma, X.L.; Hu, H. Marine polysaccharides: Green and recyclable resources as wound dressings. Mater. Chem. Front. 2021, 5, 5595–5616. [Google Scholar] [CrossRef]
 - Venkatesan, J.; Nithya, R.; Sudha, P.N.; Kim, S.K. Role of Alginate in Bone Tissue Engineering. Adv. Food Nutr. Res. 2014, 73, 45–57. [Google Scholar]
 - Badur, A.H.; Jagtap, S.S.; Yalamanchili, G.; Lee, J.K.; Zhao, H.; Rao, C.V. Alginate lyases from alginate-degrading Vibrio splendidus 12B01 are endolytic. Appl. Environ. Microbiol. 2015, 81, 1865–1873. [Google Scholar] [CrossRef]
 - Draget, K.; SmidsrØd, O.; Skjak-Bræk, G. Alginate from Algae. Part 6. Polysaccharides. Biopolymers Online. 2005. Available online: http://www.cabidigitallibrary.org/doi/full/10.5555/20053218154 (accessed on 22 September 2024).
 - Ertesvag, H.; Valla, S.; Skjak-Bræk, G. Enzymatic Alginate Modification; Springer: Berlin/Heidelberg, Germany, 2009; pp. 95–115. [Google Scholar]
 - Chang, P.S.; Mukerjea, R.; Fulton, D.B. Action of Azotobacter vinelandii poly-β-d-mannuronic acid C-5-epimerase on synthetic d-glucuronans. Carbohydr. Res. 2000, 329, 913–922. [Google Scholar] [CrossRef]
 - Batista, P.S.P.; de Morais, A.M.M.B.; Pintado, M.M.E.; de Morais, R.M.S.C. Alginate: Pharmaceutical and Medical Applications. In Extracellular Sugar-Based Biopolymers Matrices. Biologically-Inspired Systems; Cohen, E., Merzendorfer, H., Eds.; Springer: Cham, Switzerland, 2019; Volume 12. [Google Scholar] [CrossRef]
 - Iwamoto, Y.; Xu, X.; Tamura, T. Enzymatically depoly-Merized alginate oligomers that cause cytotoxic cytokine production in human mononuclear cells. Biosci. Biotechnol. Biochem. 2003, 67, 258–263. [Google Scholar] [CrossRef] [PubMed]
 - Ueno, M.; Oda, T. Alginate oligosaccharides. In Encyclopedia of Marine Biotechnology; Kim, S.-K., Ed.; Wiley: Hoboken, NJ, USA, 2020; Chapter 30. [Google Scholar]
 - Jiang, Z.; Zhang, X.; Wu, L. Exolytic products of alginate by the immobilized alginate lyase confer antioxidant and antiapoptotic bioactivities in human umbilical vein endothelial cells. Carbohydr. Polym. 2021, 251, 116976. [Google Scholar] [CrossRef]
 - Zhao, Y.; Zhang, P.F.; Ge, W.; Feng, Y.; Li, L.; Sun, Z.; Zhang, H.; Shen, W. Alginate oligosaccharides improve germ cell development and testicular microenvironment to rescue busulfan disrupted spermatogenesis. Theranostics 2020, 10, 3308–3324. [Google Scholar] [CrossRef]
 - Hu, J.; Geng, M.; Li, J. Acidic oligosaccharide sugar chain, a marine-derived acidic oligosaccharide, inhibits the cytotoxicity and aggregation of amyloid beta protein. J. Pharmacol. Sci. 2004, 95, 248–255. [Google Scholar] [CrossRef] [PubMed]
 - Press, J.; Ashwell, G. Alginic acid metabolism in bacteria. I. Enzymatic formation of unsaturated oligosaccharides and 4-deoxy-L-erythro-5-hexoseulose uronic acid. J. Biol. Chem. 1962, 237, 309–316. [Google Scholar]
 - Wang, D.M.; Aarstad, O.A.; Li, J. Preparation of 4-deoxy-L-erythro-5-hexoseilose uronic acid (DEH) and guluronic acid rich alginate using a unique exo-alginate lyase from Thalassotalea cassostreae. J. Agric. Food Chem. 2018, 66, 1435–1443. [Google Scholar] [CrossRef] [PubMed]
 - Pilgaard, B.; Vuillwmin, M.; Holck, J.; Wilkens, C.; Meyer, A.S. Specificities and synergistic actions of novel PL8 and PL7 alginate lyases from the marine fungus Paradendryphiella salina. J. Fungi 2021, 7, 80. [Google Scholar] [CrossRef] [PubMed]
 - Vuoristo, K.S.; Fredriksen, L.; Oftebro, M. Production, Characterization, and application of an alginate lyase, AMOR_PL7A, from Hot Vents in the Arctic Mid-Ocean Ridge. J. Agric. Food Chem. 2019, 67, 2936–2945. [Google Scholar] [CrossRef]
 - Ji, S.Q.; Dix, S.R.; Aziz, A.A. The molecular basis of endolytic activity of a multidomain alginate lyase from Defluviitalea phaphyphila, a representative of a new lyase family, PL39 Mechanism of endolytic activity of a novel alginate lyase. J. Biol. Chem. 2019, 294, 18077–18091. [Google Scholar] [CrossRef]
 - Li, Q.; Hu, F.; Wang, M. Elucidation of degradation pattern and immobilization of a novel alginate lyase for preparation of alginate oligosaccharides. Int. J. Biol. Macromol. 2020, 146, 579–587. [Google Scholar] [CrossRef]
 - Li, Q.; Zheng, L.; Guo, Z.; Tang, T.; Zhu, B. Alginate degrading enzymes: An updated comprehensive review of the structure, catalytic mechanism, modification method and applications of alginate lyases. Crit. Rev. Biotechnol. 2021, 41, 953–968. [Google Scholar] [CrossRef]
 - Inoue, A.; Anraku, M.; Nakagawa, S.; Ojima, T. Discovery of a Novel alginate lyase from Nitratiruptor sp. SB155-2 thriving at deep-sea hydrothermal vents and identification of the residues responsible for its heat stability. J. Biol. Chem. 2016, 291, 15551–15563. [Google Scholar] [CrossRef]
 - Jagtap, S.S.; Hehemann, J.H.; Polz, M.F. Comparative biochemical characterization of three exolytic oligoalginate lyases from Vibrio splendidus reveals complementary substrate scope, temperature, and pH adaptations. Appl. Environ. Microbiol. 2014, 80, 4207–4214. [Google Scholar] [CrossRef]
 - Wang, L.N.; Li, S.Y.; Yu, W.G. Cloning, overexpression and characterization of a new oligoalginate lyase from a marine bacterium. Shewanella sp. Biotechnol Lett. 2015, 37, 665–671. [Google Scholar] [CrossRef] [PubMed]
 - Zeng, L.H.; Li, J.G.; Cheng, Y.Y.; Wang, D.D.; Gu, J.Y.; Li, F.C.; Han, W.J. Comparison of biochemical characteristics, action models, and enzymatic mechanisms of a novel exolytic and two endolytic lyases with mannuronate preference. Mar. Drugs 2021, 19, 706. [Google Scholar] [CrossRef] [PubMed]
 - Wang, W.J.; Archbold, T.; Lam, J.S.; Kimber, M.S.; Fan, M.Z. A processive endoglucanase with multi-substrate specificity is characterized from porcine gut microbiota. Sci. Rep. 2019, 9, 13630. [Google Scholar] [CrossRef]
 - Dai, Y.W.; Zhang, T.; Jiang, B.; Mu, W.; Chen, J.; Hassanin, H.A. Dictyoglomus turgidum DSM 6724 α-glucan phosphorylase: Characterization and its application in multi-enzyme cascade reaction for D-tagatose production. Appl. Biochem. Biotechnol. 2021, 193, 3719–3731. [Google Scholar] [CrossRef]
 - Kin, H.S.; Lee, C.G.; Lee, E.Y. Alginate lyase: Structure property, and application. Biotechnol. Bioprocess Eng. 2011, 16, 843–851. [Google Scholar]
 - Emma, K.F.; Peter, A.T. Functional characterization of AlgL, an alginate lyase from Pseudomonas aeruginosa. Biochemistry 2012, 51, 10259–10266. [Google Scholar]
 - Hadis, T.; Ahya, A.A.; Parinaz, G. Screening of alginate lyase-producing bacteria and optimization of media compositions for extracellular alginate lyase production. Iran. Biomed. J. 2017, 21, 48–56. [Google Scholar]
 - Yang, M.; Li, N.N.; Yang, S.X.; Yu, Y.; Lin, H.Z.; Li, L.; Mou, H.J. Study on expression and action mode of recombinant alginate lyases based on conserved domains reconstruction. Appl. Microbiol. Biotechnol. 2018, 103, 807–817. [Google Scholar] [CrossRef] [PubMed]
 - Fu, Z.; Wang, H.N.; Tang, L.Y.; Yu, W.G.; Han, F. “Pro-Asp-Thr” mino acid repeat from Vibrio sp. QY108 alginate lyase exhibits alginate-binding capacity and enhanced soluble expression and thermostability. Int. J. Mol. Sci. 2024, 25, 5801. [Google Scholar] [CrossRef]
 - Sim, P.F.; Furusawa, G.; Teh, A.H. Functional and structural studies of a multidomain alginate lyase from Persicobacter sp. CCB-QB2. Sci. Rep. 2017, 7, 13656. [Google Scholar] [CrossRef]
 - Hall, T. BioEdit: An important software for molecular biology. GERF Bull. Biosci. 2011, 2, 60–61. [Google Scholar]
 - Kumar, S.; Stecher, G.; Tamura, K. MEGA7: Molecular evolutionary genetics analysis version 7.0 for bigger datasets. Mol. Biol. Evol. 2016, 33, 1870–1874. [Google Scholar] [CrossRef] [PubMed]
 - Sambrook, J.; Russell, D.W. Molecular Cloning: A Laboratory Manual, 3rd ed.; Cold Spring Harbor Laboratory Press: New York, NY, USA, 2001; pp. A8.40–A8.47. [Google Scholar]
 - Miller, G.L. Use of di-nitrosalicylic acid reagent for determination of reducing sugar. Analalytical Chem. 1949, 31, 426–428. [Google Scholar] [CrossRef]
 - Bigge, J.C.; Patel, T.P.; Bruce, J.A.; Goulding, P.N.; Charles, S.M.; Parekh, R.B. Nonselective and efficient fluorescent labelling of glycans using 2-amino benzamide and anthranilic acid. Anal. Biochem. 1995, 230, 229–238. [Google Scholar] [CrossRef] [PubMed]
 - Li, J.J.; Sun, M.H.; Song, X.; Chen, G.N.; Zhou, J.H.; Chang, Y.G.; Xue, C.H. Analysis of unsaturated alginate oligosaccharides using high-performance anion exchange chromatography coupled with mass spectrometry. Anal. Biochem. 2024, 416, 3501–3508. [Google Scholar] [CrossRef]
 - Elmabrouk, Z.H.; Turkenburg, J.P.; Charnock, S.J.; Black, G.W.; Taylor, E.J. Crystal structures of a family 8 polysaccharide lyase reveal open and highly occluded substrate-binding cleft conformations. Proteins Struct. Funct. Bioinform. 2011, 79, 965–974. [Google Scholar] [CrossRef]
 - Xu, F.; Wang, P.; Zhang, Y.Z.; Chen, X.L. Diversity of three-dimensional structures and catalytic mechanisms of alginate lyases. Appl. Environ. Microbiol. 2018, 84, e02040-17. [Google Scholar] [CrossRef]
 - Garron, M.L.; Henrissat, B. The continuing expansion of CAZymes and their families. Curr. Opin. Chem. Biol. 2019, 53, 82–87. [Google Scholar] [CrossRef]
 - Cheng, Y.Y.; Wang, D.D.; Gu, J.Y.; Li, J.G.; Liu, H.H.; Li, F.C.; Han, W.J. Biochemical characteristics and variable alginate-degrading modes of a novel bifunctional endolytic alginate lyase. Appl. Environ. Microbiol. 2017, 83, e01608-17. [Google Scholar] [CrossRef]
 - Peng, C.E.; Wang, Q.B.; Lu, D.R.; Han, W.J.; Li, F.C. A novel bifunctional endolytic alginate lyase with variable action modes and versatile monosaccharide-yielding properties. Front. Microbiol. 2018, 9, 167. [Google Scholar] [CrossRef]
 - Han, W.J.; Wang, W.S.; Zhao, M.; Sugahara, K.; Li, F.C. A novel eliminase from a marine bacterium that degrades hyaluronan and chondroitin Sulfate. J. Biol. Chem. 2014, 289, 27886–27898. [Google Scholar] [CrossRef] [PubMed]
 - Wang, W.S.; Cai, X.J.; Han, N.H.; Sugahara, K.; Li, F.C. Sequencing of Chondrotin Sulfate Oligosaccharides Using a Novel Exo-Lyase from a Marine Bacterium that Degrades Hyaluronan and Chondroitin Sulfate/Dermatan Sulfate. Biochem. J. 2017, 474, 8831–8848. [Google Scholar]
 - Peng, C.E.; Wang, Q.B.; Wang, S.M.; Wang, W.S.; Jiao, R.M.; Han, W.J.; Li, F.C. A Chondroitin Sulfate and Hyaluronic Acid Lyase with Poor Activity to Glucuronyl 4,6-O-disulfated N-acetylgalactosamine (E-type)–containing Structures. J. Biol. Chem. 2018, 293, 4230–4243. [Google Scholar] [CrossRef] [PubMed]
 - Wei, L.; Zou, R.Y.; Du, M.; Zhang, Q.D.; Lu, D.R.; Xu, Y.Y.; Xu, X.Y.; Wang, W.S.; Zhang, Y.Z.; Li, F.C. Discovery of a class of glycosaminoglycan lyases with ultrabroad substrate spectrum and their substrate structure preferences. J. Biol. Chem. 2024, 300, 107466. [Google Scholar] [CrossRef]
 






Disclaimer/Publisher’s Note: The statements, opinions and data contained in all publications are solely those of the individual author(s) and contributor(s) and not of MDPI and/or the editor(s). MDPI and/or the editor(s) disclaim responsibility for any injury to people or property resulting from any ideas, methods, instructions or products referred to in the content.  | 
© 2024 by the authors. Licensee MDPI, Basel, Switzerland. This article is an open access article distributed under the terms and conditions of the Creative Commons Attribution (CC BY) license (https://creativecommons.org/licenses/by/4.0/).
Share and Cite
Zeng, L.; Li, J.; Gu, J.; Hu, W.; Han, W.; Li, Y. Alginate-Degrading Modes, Oligosaccharide-Yielding Properties, and Potential Applications of a Novel Bacterial Multifunctional Enzyme, Aly16-1. Microorganisms 2024, 12, 2374. https://doi.org/10.3390/microorganisms12112374
Zeng L, Li J, Gu J, Hu W, Han W, Li Y. Alginate-Degrading Modes, Oligosaccharide-Yielding Properties, and Potential Applications of a Novel Bacterial Multifunctional Enzyme, Aly16-1. Microorganisms. 2024; 12(11):2374. https://doi.org/10.3390/microorganisms12112374
Chicago/Turabian StyleZeng, Lianghuan, Junge Li, Jingyan Gu, Wei Hu, Wenjun Han, and Yuezhong Li. 2024. "Alginate-Degrading Modes, Oligosaccharide-Yielding Properties, and Potential Applications of a Novel Bacterial Multifunctional Enzyme, Aly16-1" Microorganisms 12, no. 11: 2374. https://doi.org/10.3390/microorganisms12112374
APA StyleZeng, L., Li, J., Gu, J., Hu, W., Han, W., & Li, Y. (2024). Alginate-Degrading Modes, Oligosaccharide-Yielding Properties, and Potential Applications of a Novel Bacterial Multifunctional Enzyme, Aly16-1. Microorganisms, 12(11), 2374. https://doi.org/10.3390/microorganisms12112374
        
