Treatment of Microsporidium Nosema bombycis Spores with the New Antiseptic M250 Helps to Avoid Bacterial and Fungal Contamination of Infected Cultures without Affecting Parasite Polar Tube Extrusion
Abstract
1. Introduction
2. Materials and Methods
2.1. Test Substances
2.2. Isolation and Treatment of N. bombycis Spores
2.3. Activation and Counting of N. bombycis Spores
2.4. Contamination Assay
2.5. Statistical Analysis
3. Results
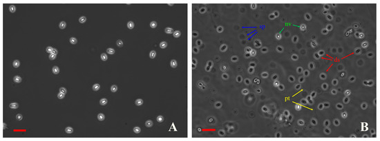
3.1. The Effect of M250 on N. bombycis Polar Tube Extrusion
3.2. Effect of M250 and Chlorhexidine Treatment of N. bombycis Spores on the Growth of Microorganisms Contaminating the Culture Media
4. Discussion
Author Contributions
Funding
Data Availability Statement
Acknowledgments
Conflicts of Interest
References
- Williams, B.A.P. Unique physiology of host-parasite interactions in microsporidia infections. Cell. Microbiol. 2009, 11, 1551–1560. [Google Scholar] [CrossRef]
- Corradi, N. Microsporidia: Eukaryotic intracellular parasites shaped by gene loss and horizontal gene transfers. Annu. Rev. Microbiol. 2015, 69, 167–183. [Google Scholar] [CrossRef]
- Wadi, L.; Reinke, A.W. Evolution of microsporidia: An extremely successful group of eukaryotic intracellular parasites. PLoS Pathog. 2020, 16, e1008276. [Google Scholar] [CrossRef]
- Tsaousis, A.D.; Kunji, E.R.; Goldberg, A.V.; Lucocq, J.M.; Hirt, R.P.; Embley, T.M. A novel route for ATP acquisition by the remnant mitochondria of Encephalitozoon cuniculi. Nature 2008, 453, 553–556. [Google Scholar] [CrossRef]
- Heinz, E.; Hacker, C.; Dean, P.; Mifsud, J.; Goldberg, A.V.; Williams, T.A.; Nakjang, S.; Gregory, A.; Hirt, R.P.; Lucocq, J.M. Plasma membrane-located purine nucleotide transport proteins are key components for host exploitation by microsporidian intracellular parasites. PLoS Pathog. 2014, 10, e1004547. [Google Scholar] [CrossRef] [PubMed]
- Dean, P.; Sendra, K.M.; Williams, T.A.; Watson, A.K.; Major, P.; Nakjang, S.; Kozhevnikova, E.; Goldberg, A.V.; Kunji, E.R.S.; Hirt, R.P.; et al. Transporter gene acquisition and innovation in the evolution of microsporidia intracellular parasites. Nat. Commun. 2018, 9, 1709. [Google Scholar] [CrossRef] [PubMed]
- Cuomo, C.A.; Desjardins, C.A.; Bakowski, M.A.; Goldberg, J.; Ma, A.T.; Becnel, J.J.; Didier, E.S.; Fan, L.; Heiman, D.I.; Levin, J.Z.; et al. Microsporidian genome analysis reveals evolutionary strategies for obligate intracellular growth. Genome Res. 2012, 22, 2478–2488. [Google Scholar] [CrossRef] [PubMed]
- Senderskiy, I.V.; Timofeev, S.A.; Seliverstova, E.V.; Pavlova, O.A.; Dolgikh, V.V. Secretion of Antonospora (Paranosema) locustae proteins into infected cells suggests an active role of microsporidia in the control of host programs and metabolic processes. PLoS ONE 2014, 9, e93585. [Google Scholar] [CrossRef]
- Desjardins, C.A.; Sanscrainte, N.D.; Goldberg, J.M.; Heiman, D.; Young, S.; Zeng, Q.; Madhani, H.D.; Becnel, J.J.; Cuomo, C.A. Contrasting host-pathogen interactions and genome evolution in two generalist and specialist microsporidian pathogens of mosquitoes. Nat. Commun. 2015, 6, 7121. [Google Scholar] [CrossRef]
- Reinke, A.W.; Balla, K.M.; Bennett, E.J.; Troemel, E.R. Identification of microsporidia host-exposed proteins reveals a repertoire of rapidly evolving proteins. Nat. Commun. 2017, 8, 14023. [Google Scholar] [CrossRef]
- Williams, B.A.P.; Hirt, R.P.; Lucocq, J.M.; Embley, T.M. A mitochondrial remnant in the microsporidian Trachipleistophora hominis. Nature 2002, 418, 865–869. [Google Scholar] [CrossRef]
- Burri, L.; Williams, B.A.P.; Bursac, D.; Lithgow, T.; Keeling, P.J. Microsporidian mitosomes retain elements of the general mitochondrial targeting system. Proc. Natl. Acad. Sci. USA 2006, 103, 15916–15920. [Google Scholar] [CrossRef]
- Dolgikh, V.V.; Senderskiy, I.V.; Pavlova, O.A.; Naumov, A.M.; Beznoussenko, G.V. Immunolocalization of an alternative respiratory chain in Antonospora (Paranosema) locustae spores: Mitosomes retain their role in microsporidial energy metabolism. Eukaryot. Cell 2011, 10, 588–593. [Google Scholar] [CrossRef] [PubMed]
- Hacker, C.; Sendra, K.; Keisham, P.; Filipescu, T.; Lucocq, J.; Salimi, F.; Ferguson, S.; Bhella, D.; MacNeill, S.A.; Embley, M.; et al. Biogenesis, inheritance, and 3D ultrastructure of the microsporidian mitosome. Life Sci. Alliance 2023, 7, e202201635. [Google Scholar] [CrossRef]
- Takvorian, P.M.; Buttle, K.F.; Mankus, D.; Mannella, C.A.; Weiss, L.M.; Calia, A. The Multilayered Interlaced Network (MIN) in the sporoplasm of the Microsporidium Anncaliia algerae is derived from Golgi. J. Eukaryot. Microbiol. 2013, 60, 166–178. [Google Scholar] [CrossRef] [PubMed]
- Katinka, M.D.; Duprat, S.; Cornillot, E.; Méténier, G.; Thomarat, F.; Prensier, G.; Barbe, V.; Peyretaillade, E.; Brottier, P.; Wincker, P.; et al. Genome sequence and gene compaction of the eukaryote parasite Encephalitozoon cuniculi. Nature 2001, 414, 450–453. [Google Scholar] [CrossRef]
- Jespersen, N.; Monrroy, L.; Barandun, J. Impact of Genome Reduction in Microsporidia. In Experientia Supplementum; Springer: Berlin/Heidelberg, Germany, 2022; Volume 114, pp. 1–42. [Google Scholar] [CrossRef]
- Žárský, V.; Karnkowska, A.; Boscaro, V.; Trznadel, M.; Whelan, T.A.; Hiltunen-Thorén, M.; Onut-Brännström, I.; Abbott, C.L.; Fast, N.M.; Burki, F.; et al. Contrasting outcomes of genome reduction in mikrocytids and microsporidians. BMC Biol. 2023, 21, 137. [Google Scholar] [CrossRef] [PubMed]
- Curgy, J.J.; Vavra, J.; Vivares, C. Presence of ribosomal RNAs with prokaryotic properties in Microsporidia, eukaryotic organisms. Biol. Cell 1980, 38, 49–52. [Google Scholar]
- Cali, A.; Takvorian, P.M. Developmental morphology and life cycles of the microsporidia. In The Microsporidia and Microsporidiosis; Wittner, M., Weiss, L., Eds.; John Wiley and Sons Inc.: Washington, DC, USA, 1999; pp. 85–128. [Google Scholar]
- Becnel, J.J.; Andreadis, T.G. Microsporidia in Insects. In Microsporidia: Pathogens of Opportunity, 1st ed.; Weiss, L.M., Becnel, J.J., Eds.; John Wiley and Sons Inc.: Hoboken, NJ, USA, 2014; pp. 521–570. [Google Scholar]
- Canning, E.U.; Lom, J. The Microsporidia of Vertebrates; Academic Press, Inc.: London, UK, 1986; 289p. [Google Scholar]
- Didier, E.S. Microsporidiosis: An emerging and opportunistic infection in humans and animals. Acta Trop. 2005, 94, 61–76. [Google Scholar] [CrossRef]
- Bjørnson, S.; Oi, D. Microsporidia biological control agents and pathogens of beneficial insects. In Microsporidia: Pathogens of Opportunity, 1st ed.; Weiss, L.M., Becnel, J.J., Eds.; John Wiley and Sons Inc.: Hoboken, NJ, USA, 2014; pp. 635–670. [Google Scholar]
- Nägeli, C. Über die neueKrankheit der Seidenraupe und verwandteOrganismen. Bot. Zeitung 1857, 15, 760–761. [Google Scholar]
- Pasteur, L. Études sur la Maladie des vers à Soie; Gauthier-Villars: Paris, France, 1870. [Google Scholar]
- Hukuhara, T. The epizootiology of pebrine, one of the great scourges of sericulture. J. Biochem. Biotech. 2017, 1, 1–3. [Google Scholar] [CrossRef]
- Wei, J.; Fei, Z.; Pan, G.; Weiss, L.M.; Zhou, Z. Current Therapy and Therapeutic Targets for Microsporidiosis. Front. Microbiol. 2022, 13, 835390. [Google Scholar] [CrossRef] [PubMed]
- Jyothi, N.B.; Patil, C.S.; Dass, C.M.S. Action of carbendazim on the development of Nosema bombycis Naegeli in silkworm Bombyx mori L. J. Appl. Entomol. 2005, 129, 4. [Google Scholar] [CrossRef]
- Shumkova, R.; Balkanska, R.; Hristov, P. The Herbal Supplements NOZEMAT HERB® and NOZEMAT HERB PLUS®: An Alternative Therapy for N. ceranae Infection and Its Effects on Honey Bee Strength and Production Traits. Pathogens 2021, 10, 234. [Google Scholar] [CrossRef] [PubMed]
- Huang, Y.; Zheng, S.; Mei, X.; Yu, B.; Sun, B.; Li, B.; Wei, J.; Chen, J.; Li, T.; Pan, G.; et al. A secretory hexokinase plays an active role in the proliferation of Nosema bombycis. PeerJ 2018, 9, e5658. [Google Scholar] [CrossRef]
- Dong, Z.; Long, J.; Huang, L.; Hu, Z.; Chen, P.; Hu, N.; Zheng, N.; Huang, X.; Lu, C.; Pan, M. Construction and application of an HSP70 promoter-inducible genome editing system in transgenic silkworm to induce resistance to Nosema bombycis. Appl. Microbiol. Biotechnol. 2019, 103, 9583–9592. [Google Scholar] [CrossRef]
- Huang, Y.; Chen, J.; Sun, B.; Zheng, R.; Li, B.; Li, Z.; Tan, Y.; Wei, J.; Pan, G.; Li, C.; et al. Engineered resistance to Nosema bombycis by in vitro expression of a single-chain antibody in Sf9-III cells. PLoS ONE 2018, 13, e0193065. [Google Scholar] [CrossRef]
- Gisder, S.; Genersch, E. Identification of candidate agents active against Nosema ceranae infection in honey bees: Establishment of a medium throughput screening assay based on N. ceranae infected cultured cells. PLoS ONE 2015, 10, 2. [Google Scholar] [CrossRef]
- Tetz, G.; Tetz, V. In vitro antimicrobial activity of a novel compound, Mul-1867, against clinically important bacteria. Antimicrob. Resist. Infect. Control 2015, 4, 45/1. [Google Scholar] [CrossRef]
- Ohshima, K. Effect of potassium ion on filament evagination of spores of Nosema bombycis as studied by neutralization method. Annot. Zool. Jpn. 1964, 37, 102–103. [Google Scholar] [CrossRef]
- Finney, D.J. Probit Analysis: A Statistical Treatment of the Sigmoid Response Curve; Reissue Edition; Cambridge University Press: Cambridge, UK, 2009; 272p. [Google Scholar]
- Leiro, J.M.; Piazzon, C.; Domínguez, B.; Mallo, N.; Lamas, J. Evaluation of some physical and chemical treatments for inactivating microsporidian spores isolated from fish. Int. J. Food Microbiol. 2012, 156, 152–160. [Google Scholar] [CrossRef]
- Zhengyong, W.; Fupin, L.; Jianrong, L.; Wenchu, L.; Yangsheng, Z.; Peichan, T.; Ziran, H. Inactivation and mechanisms of chlorine dioxide on Nosema bombycis. J. Invertebr. Pathol. 2010, 104, 134–139. [Google Scholar] [CrossRef]
- Shaw, R.W.; Kent, M.L.; Adamson, M.L. Viability of Loma salmonae (Microsporidia) under laboratory conditions. Parasitol. Res. 2000, 86, 978–981. [Google Scholar] [CrossRef]
- Karpiński, T.M.; Szkaradkiewicz, A.K. Chlorhexidine-pharmaco-biological activity and application. Eur. Rev. Med. Pharmacol. Sci. 2015, 19, 1321–1326. [Google Scholar]
- Ohshima, K. On the function of the polar filament of Nosema bombycis. Parasitology 1937, 29, 220–224. [Google Scholar] [CrossRef]
- Tetz, G.; Cynamon, M.; Hendricks, G.; Vikina, D.; Tetz, V. In vitro activity of a novel compound, Mul-1867, against clinically significant fungi Candida spp. and Aspergillus spp. Int. J. Antimicrob. Agents 2017, 50, 47–54. [Google Scholar] [CrossRef] [PubMed]
- Tetz, V.; Kardava, K.; Krasnov, K.; Vecherkovskaya, M.; Tetz, G. Antifungal activity of a novel synthetic polymer M451 against phytopathogens. Front. Microbiol. 2023, 14, 1176428. [Google Scholar] [CrossRef]
- Zhou, Z.X.; Wei, D.F.; Guan, Y.; Zheng, A.N.; Zhong, J.J. Damage of Escherichia coli membrane by bactericidal agent polyhexamethylene guanidine hydrochloride: Micrographic evidences. J. Appl. Microbiol. 2010, 108, 898–907. [Google Scholar] [CrossRef]
- Han, B.; Weiss, L.M. Microsporidia: Obligate Intracellular Pathogens within the Fungal Kingdom. Microbiol. Spectr. 2017, 5. [Google Scholar] [CrossRef]
- Kurtti, T.J.; Ross, S.E.; Liu, Y.; Munderloh, U.G. In Vitro developmental biology and spore production in Nosema furnacalis (Microspora: Nosematidae). J. Invertebr. Pathol. 1994, 6, 188–196. [Google Scholar] [CrossRef]
- Gisder, S.; Möckel, N.; Linde, A.; Genersch, E. A cell culture model for Nosema ceranae and Nosema apis allows new insightsinto the life cycle of these important honey bee-pathogenic microsporidia. Environ. Microbiol. 2011, 13, 404–413. [Google Scholar] [CrossRef] [PubMed]
- Monaghan, S.R.; Rumney, R.L.; Vo, N.T.K.; Bols, N.C.; Lee, L.E.J. In vitro growth of microsporidia Anncaliiaalgerae in cell lines from warm water fish. Vitr. Cell. Dev. Biol. Anim. 2011, 47, 104–113. [Google Scholar] [CrossRef] [PubMed]
- Lallo, M.A.; Vidoto Da Costa, L.F.; Alvares-Saraiva, A.M.; Rocha, P.R.; Spadacci-Morena, D.D.; Konno, F.; Suffredini, I.B. Culture and propagation of microsporidia of veterinary interest. J. Vet. Med. Sci. 2016, 78, 171–176. [Google Scholar] [CrossRef] [PubMed]
- Kawarabata, T.; Ishihara, R. Infection and development of Nosema bombycis (Microsporida: Protozoa) in a cell line of Antheraea eucalypti. J. Invertebr. Pathol. 1984, 44, 52–62. [Google Scholar] [CrossRef]
- Dolgikh, V.V.; Zhuravlyov, V.S.; Senderskiy, I.V.; Timofeev, S.A.; Seliverstova, E.V. Heterologous expression of scFv fragment against Vairimorpha (Nosema) ceranae hexokinase in Sf9 cell culture inhibits microsporidia intracellular growth. J. Invertebr. Pathol. 2022, 191, 107755. [Google Scholar] [CrossRef] [PubMed]
- Dolgikh, V.V.; Senderskiy, I.V.; Zhuravlyov, V.S.; Ismatullaeva, D.A.; Mirzakhodjaev, B.A. Molecular detection of microsporidia Vairimorpha ceranae and Nosema bombycis growth in the lepidopteran Sf9 cell line. Protistology 2022, 16, 21–29. [Google Scholar] [CrossRef]
- Dolgikh, V.V.; Senderskiy, I.V.; Timofeev, S.A.; Zhuravlyov, V.S.; Dolgikh, A.V.; Seliverstova, E.V.; Ismatullaeva, D.A.; Mirzakhodjaev, B.A. Construction of scFv Antibodies against the Outer Loops of the Microsporidium Nosema bombycis ATP/ADP-Transporters and Selection of the Fragment Efficiently Inhibiting Parasite Growth. Int. J. Mol. Sci. 2022, 23, 15307. [Google Scholar] [CrossRef]



| Spore Treatment | Number of Wells with Contaminated Media out of 18 Analyzed Ones | Spore Discharge |
|---|---|---|
| Untreated | 18 (100%) | + |
| Untreated + antibiotics | 18 (100%) | + |
| 0.1% M250 | 6 (33%) | + |
| 0.1% M250 + antibiotics | 0 | + |
| 2% chlorhexidine | 6 (33%) | − |
| 2% chlorhexidine + antibiotics | 0 | − |
| 0.05% chlorhexidine | 12 (67%) | − |
| 0.05% chlorhexidine + antibiotics | 0 | − |
Disclaimer/Publisher’s Note: The statements, opinions and data contained in all publications are solely those of the individual author(s) and contributor(s) and not of MDPI and/or the editor(s). MDPI and/or the editor(s) disclaim responsibility for any injury to people or property resulting from any ideas, methods, instructions or products referred to in the content. |
© 2024 by the authors. Licensee MDPI, Basel, Switzerland. This article is an open access article distributed under the terms and conditions of the Creative Commons Attribution (CC BY) license (https://creativecommons.org/licenses/by/4.0/).
Share and Cite
Senderskiy, I.V.; Dolgikh, V.V.; Ismatullaeva, D.A.; Mirzakhodjaev, B.A.; Nikitina, A.P.; Pankratov, D.L. Treatment of Microsporidium Nosema bombycis Spores with the New Antiseptic M250 Helps to Avoid Bacterial and Fungal Contamination of Infected Cultures without Affecting Parasite Polar Tube Extrusion. Microorganisms 2024, 12, 154. https://doi.org/10.3390/microorganisms12010154
Senderskiy IV, Dolgikh VV, Ismatullaeva DA, Mirzakhodjaev BA, Nikitina AP, Pankratov DL. Treatment of Microsporidium Nosema bombycis Spores with the New Antiseptic M250 Helps to Avoid Bacterial and Fungal Contamination of Infected Cultures without Affecting Parasite Polar Tube Extrusion. Microorganisms. 2024; 12(1):154. https://doi.org/10.3390/microorganisms12010154
Chicago/Turabian StyleSenderskiy, Igor V., Viacheslav V. Dolgikh, Diloram A. Ismatullaeva, Bakhtiyar A. Mirzakhodjaev, Anastasiia P. Nikitina, and Danil L. Pankratov. 2024. "Treatment of Microsporidium Nosema bombycis Spores with the New Antiseptic M250 Helps to Avoid Bacterial and Fungal Contamination of Infected Cultures without Affecting Parasite Polar Tube Extrusion" Microorganisms 12, no. 1: 154. https://doi.org/10.3390/microorganisms12010154
APA StyleSenderskiy, I. V., Dolgikh, V. V., Ismatullaeva, D. A., Mirzakhodjaev, B. A., Nikitina, A. P., & Pankratov, D. L. (2024). Treatment of Microsporidium Nosema bombycis Spores with the New Antiseptic M250 Helps to Avoid Bacterial and Fungal Contamination of Infected Cultures without Affecting Parasite Polar Tube Extrusion. Microorganisms, 12(1), 154. https://doi.org/10.3390/microorganisms12010154

