Abstract
Tenacibaculum is a genus of gram negative, marine, filamentous bacteria, associated with the presence of disease (tenacibaculosis) at aquaculture sites worldwide; however, infections induced by this genus are poorly characterized. Documents regarding the genus Tenacibaculum and close relatives were compiled for a literature review, concentrating on ecology, identification, and impacts of potentially pathogenic species, with a focus on Atlantic salmon in Canada. Tenacibaculum species likely have a cosmopolitan distribution, but local distributions around aquaculture sites are unknown. Eight species of Tenacibaculum are currently believed to be related to numerous mortality events of fishes and few mortality events in bivalves. The clinical signs in fishes often include epidermal ulcers, atypical behaviors, and mortality. Clinical signs in bivalves often include gross ulcers and discoloration of tissues. The observed disease may differ based on the host, isolate, transmission route, and local environmental conditions. Species-specific identification techniques are limited; high sequence similarities using conventional genes (16S rDNA) indicate that new genes should be investigated. Annotating full genomes, next-generation sequencing, multilocus sequence analysis/typing (MLSA/MLST), matrix-assisted laser desorption/ionization time-of-flight mass spectrometry (MALDI-TOF), and fatty acid methylesters (FAME) profiles could be further explored for identification purposes. However, each aforementioned technique has disadvantages. Since tenacibaculosis has been observed world-wide in fishes and other eukaryotes, and the disease has substantial economic impacts, continued research is needed.
1. Introduction
Salmonid aquaculture started in Canada roughly 200 years ago, and as of 2017, Canada is now the fourth-largest supplier of salmonid products [1,2,3]. Recently, salmon farmers in British Columbia (BC; Canada) have experienced frequent mortality events in Atlantic salmon (Salmo salar, AS) due to ‘mouthrot’ (a unique form of tenacibaculosis (other common names synonymous with mouthrot include yellow-mouth and bacterial stomatitis)) [4,5,6,7,8]. Mortality events in farmed fishes due to tenacibaculosis have also been experienced worldwide. Current research has shown that multiple species within the genus Tenacibaculum could be an etiological agent responsible for tenacibaculosis [6,7,9,10,11,12,13,14,15,16].
The genus Tenacibaculum is critically understudied. Significant knowledge gaps exist regarding bacterial diversity, distribution, and pathogenicity of Tenacibaculum species. Given that the economic impact of mouthrot seems to be increasing, it is imperative that research focuses on the pathogenesis of disease and the role of the various bacterial species that induce mouthrot. Therefore, the principal objective of this publication is to review the ecology, identification, and impacts of potentially pathogenic species, with a focus in Canada if possible. Garnered information will allow interpretations of the advancements made in characterizing Tenacibaculum sp. infections.
2. Literature Review
2.1. Economics, Treatments and Environmental Impacts
From 2016 to 2018, ~122,420 tons of salmon was produced in Canada yearly (72% from BC) that was annually valued at ~$1 billion [17]. No country-wide or global report on the damage caused by Tenacibaculum spp. has been developed; however, workshops describing global issues associated with the genus have occurred [4,5]. Within Canada, representatives of Grieg Seafoods (GS) described that in 2014, Tenacibaculum outbreaks in AS cost over $1.6 million, attributed to treatments and reduced annual profits from a loss in growth [5]. Four years later, a veterinarian from a local AS aquaculture company described that a single outbreak cycle at a single AS site might cost up to $500 K [18]. Furthermore, outbreaks by Tenacibaculum species are a global issue and have major commercial impacts on salmonid and other species production.
At three commercial AS netpen sites in BC from 2015–2016, mouthrot outbreaks were generally characterized by a sharp increase in mortalities with clinical signs of mouthrot compared to the baseline. Subsequent spikes in fish mortality with clinical signs of mouthrot ranged from hundreds to thousands per day before or during the application of antimicrobials. By the end of treatment, a reduction in mortalities to baseline levels typically occurred and rapid application of antimicrobials were key to reduce daily mortality. However, at numerous sites, repeated outbreaks are observed following the introduction of naïve post-smolts. Repeated outbreaks have also been reported in the same netpen after treatment. Important challenges to successful management include the length of time between diagnosis and delivery of antimicrobials and that affected fish tend to have reduced feeding rates. There are also numerous unknowns that impede a description of an outbreak cycle at netpen sites, including the limitations of diagnosis and various environmental, host, and pathogen factors. Diagnosis is predominantly based on clinical signs in dead fish and knowledge of the causative species of bacteria and is lacking or controversial. The impact of numerous environmental, host, and pathogen factors likely lead to discrepancies in the magnitude of mortalities between sites, however these are largely undescribed.
In Canada, only a few antimicrobial agents are available to treat food fish including florfenicol (Aquaflor) to trimethoprim and sulfadiazine (Romet 30) [19], both of which are bacteriostatic. To treat tenacibaculosis, local AS aquaculture companies use antimicrobials such as Romet 30 or Aquaflor [5,18,19,20]. Aquaflor is widely applied because fish can be harvested 12 days after treatment, in comparison to Romet 30, where fish can be harvested 42 days after treatment [19]. Since naïve post-smolts are not at harvestable sizes during mouthrot outbreaks and are the predominant group of AS to display mouthrot, a justification for using florfenicol can be based on the effective dose to treat fish, which limits antimicrobial use. The recommended dose of Aquaflor is 10 mg kg−1 [21], in contrast to Romet 30, which is 167 mg kg−1 [22]. Continuous use of single or few antimicrobials to treat tenacibaculosis may lead to resistance. In addition, florfenicol is expensive and repeated treatments increase productions costs. The number of antibiotic applications required to treat tenacibaculosis vary; however, the use is concentrated after smolt entry and typically only occurs after a sufficiently large spike in mortality [5].
Pathogenic effects induced by Tenacibaculum spp. are predominantly recorded in fishes and are most often identified in aquaculture or laboratory settings, but disease is expected to occur in wild populations. However, investigations of tenacibaculosis in wild populations are limited; one study identified ulcers on white seabass (Atractoscion nobilis) sampled at Redondo and Newport Beach (California, USA), which were comparable to the ulcers induced by T. maritimum [23]. In another study, Atlantic cod (Gadus morhua) sampled in the Wadden Sea (Germany) displayed ulcers and yellow plaques around the mouth that were believed to be caused by T. maritimum [24]. Tenacibaculum infections may have also been identified in wild Picasso triggerfish, black damselfish, striped trumpeter, and turbot [25,26,27], but cannot be confirmed because fishes were caught and housed in aquaria before the diagnosis of disease. It will be important to identify more cases of disease in wild populations, to better understand the impact that Tenacibaculum spp. have on the environment.
2.2. Tenacibaculum Biology
2.2.1. Family Introduction
The family Flavobacteriaceae potentially encompasses over 90 genera and hundreds of species [28]. The genus Flavobacterium, the first identified genus in Flavobacteriaceae, originally contained 26 species of bacteria that were identified using dichotomous characteristics [29], including the inability to degrade agar, alginates, or chitin, the inability to produce recordable amounts of acidic compounds when given certain sugars, and the development of non-water soluble yellow, orange, brown, or red pigments on various media [29]. Variable characteristics between the 26 species included that bacteria were Gram-negative or Gram-positive, composed of short rods to filamentous fibers, and were either motile through peritrichous flagella, or non-motile [29]. By 1978, the genus became a catch-all for bacteria that did not fit easily into other taxa [28,30]. The phylogenetic placement of the genus was shifted and was eventually placed in the family Bacteriaceae based on dichotomous characteristics and guanine-cytosine (GC) contents [30].
By 1996, it was recognized that 16S rDNA oligonucleotide sequences, DNA-rRNA hybridization data, and GC contents indicated that the genera Flavobacterium, Cytophaga, and Flexibacter are highly polyphyletic, and further indicated that bacterial groups might have misplaced taxonomic positions [31]. Using morphological characteristics and 23S and 16S rDNA similarity dendrograms from melting temperature, it was suggested that only 10 species could be classified as Flavobacterium [31]. The family Flavobacteriaceae was originally proposed using only morphological characteristics [32]; however, the emended description was based on both genetic and morphological criteria. The family includes bacteria, which are Gram-negative, display short rods to filamentous fibers, can be motile or non-motile, are pigmented or non-pigmented, are chemoorganotrophic, have no sphingophospholipids, have menaquinone-6 as the major respiratory quinone, cannot degrade cellulose, are often saprophytic, can be aquatic or terrestrial [28,31], and have a GC content ranging from 29% [31] to 55% [28]. Later, the minimal standards for describing new taxa of Flavobacteriaceae were developed based on bacterial morphology, DNA hybridization, and 16S rDNA sequences [33]. The present standard to determine the species and strain level of several families, including Flavobacteriaceae, are 16S rDNA sequences [28,32,34]. However, Flavobacterium and Tenacibaculum sometimes require other housekeeping genes such as gyrase subunit B (gyrB) to determine species and strain taxa, as some species can have high (>99%) sequence similarities using conventional genes [35,36].
Members of the family Flavobacteriaceae tend to be ubiquitous in terrestrial and aquatic environments. Most known members of this family have mutualistic relations with host organisms or have been found in environmental samples [28]. Some species within the family such as Flavobacterium psychrophilum, Flavobacterium columnare, Tenacibaculum maritimum, Riemerella anatipestifer, Ornithobacterium rhinotracheale, Coenonia anatine, Capnocytophaga canimorsus, and Elizabethkingia meningoseptica are pathogenic to select groups of animals [28]. F. psychrophilum is an etiological agent of bacterial cold-water disease (BCWD) and rainbow trout fry syndrome (RTFS) [37,38], while F. columnare is an etiological agent of columnaris disease [39]. Both T. maritimum [6,7] and T. finnmarkense [11,40] are thought to be etiological agents of tenacibaculosis in fishes. There are some similarities between columnaris disease [39] or BCWD/RTFS [37,38] with some clinical presentations of tenacibaculosis, where disease results in large ulcers on epidermal surfaces of fishes [6,7,9,10,11,12,13,14,15,16,40]. Similarities between the clinical presentations of columnaris disease, BCWD, RTFS, and tenacibaculosis may indicate that both genera of bacteria use similar strategies to induce disease in fishes.
2.2.2. Genus Introduction
In the 21st century, Tenacibaculum species and strain identification are primarily based on 16S rDNA sequences and bacterial morphology. The genus Tenacibaculum was initially identified using 16S rDNA and gyrB sequences [41]. The phylogenetic analysis (neighbour-joining method) by Suzuki et al. (2001) using the partial gyrB gene sequence demonstrated that Flexibacter species were not closely related to Tenacibaculum species [41]. Flexibacter flexilis had gyrB sequence similarities between 69.4% and 76.4% compared to other Flexibacter species, including the reclassified Flexibacter maritimus (Tenacibaculum maritimum) and Flexibacter ovolyticus (Tenacibaculum ovolyticum) [41]. However, the sequence similarity comparing gyrB sequences of T. ovolyticum to T. maritimum was 95.2%. 16S rDNA sequences were similar among species tested and demonstrated a closely related phylogeny to the gyrB gene, where the phylogenetic sister to Tenacibaculum was proposed to be Polaribacter [41]. DNA-DNA hybridization also occurred; within a Tenacibaculum species, reassociation values were generally at or above 86 ± 2%, while outside the species and genus, reassociation values were less than 35 ± 6% and 18 ± 1%, respectively [41]. Overall, Suzuki et al. (2001) concluded that Tenacibaculum species were separate from Flexibacter and occupied a novel genus [41]. Other genes have also been applied for the identification of Tenacibaculum species, including atpA, dnaK, glyA, gyrB, ileS, infB, rlmN, tgt, trpB, tuf, and yqfO [35]. Phylogenies generated through multilocus sequence analysis (MLSA) and 16S rDNA were different [35]. If MLSA was used, there were potentially three monophyletic clades instead of several polyphyletic clades. Using MLSA, Clade 1 consisted of T. mesophilum, T. aestuari, T. lutimaris, T. litoreum, T. discolor, and T. gallaicum, Clade 2 consisted of T. aiptasiae, T. ovolyticum, T. dicentrarchi, and T. soleae, Clade 3 consisted of T. geojense, T. skagerrakense, T. amylolyticum, and T. jejuense, and there were independent lineages of T. adriaticum and T. maritimum together, and T. litopenaei and T. crassotreae separately [35]. MLSA is a more accurate technique compared to traditional phylogenies using only 16S rDNA because as more protein-encoding genes are compared, the resolution of phylogenetic analyses improves. However, the trade-off is the time allocated and the expenses applied. MLSA was also used with 7 of 11 housekeeping genes [35] to investigate the diversity of Norwegian Tenacibaculum isolates [42]. The MLSA phylogeny proposed by [42] differs from that proposed by [35]; differences include the relation and position of select species. These differences may be related to novel isolates used and different numbers (7 [42] vs. 11 [35]) of housekeeping genes used for comparisons. A recent review by Fernández-Álvarez et al. (2018) focused on Tenacibaculum species identification techniques using four methods: (1) culture-based, (2) serological studies and immunological, (3) genotyping and molecular, and (4) proteomic and chemotaxonomic [43].
A potential way to infer some aspects of Tenacibaculum spp. biology and one way to identify Tenacibaculum species are through complete genome sequence analyses. The full DNA sequence of T. maritimum NCIMB 2154T has a 3,435,971 bp chromosome predicted to contain 3071 genes encoding 2866 proteins [44]. Complete genomes of other Tenacibaculum spp. have been shown to have similar characteristics (i.e., bp, GC%, number of genes and proteins) to T. maritimum NCIMB 2154T (Table A1). The potential pathogenicity of T. maritimum NCIMB 2154T has been predicted through complete genome sequencing and will be further discussed in Section 2.3.4 [44]. Full genome analyses would provide valuable information, and is slowly becoming cheaper; however, it is still too expensive to routinely sequence isolates collected from the field.
Bacteria have been traditionally identified by comparing physical morphology and biochemical characteristics; however, these comparisons alone do not always differentiate between species or genera. Most Tenacibaculum spp. are yellow; rod-shaped; of similar width (0.2–0.7 µm) and similar length (typically < 10 µm); lack flagella; and are capable of gliding motility (Table A2). They are also gram-negative, catalase-positive, oxidase-positive, strictly aerobic, and have similar pH tolerances (Table A2). In comparison, temperature and salinity tolerance and the ability to reduce nitrate are more variable characteristics among the identified species (Table A2). When describing bacterial morphology from culturing, one should note that variations could occur based on the media applied [43]. Medias applied to culture Tenacibaculum spp. include marine agar [9,16,43,45,46,47], Flexibacter maritimus medium [43,45,46,47], Anacker and Ordal agar with modifications [43,45,48,49], tryptone agar with modifications [43,47], thiosulphate-citrate-bile-sucrose agar [43,47], Marine Luria Broth medium prepared with seawater [41,43], Cytophaga agar with seawater [50], blood agar with modifications [16,25], and more; different chemical compositions are likely to be selective for particular isolates of Tenacibaculum. Selection for Tenacibaculum isolates can also occur by using media with aminoglycoside antibiotics such as kanamycin. The minimum inhibitory concentrations to kanamycin for Tenacibaculum are high (>30 µg per disc [51,52,53,54] up to 500 µg per disc [40] and 50 µg mL−1 [55]), relative to other bacterial groups around netpens [56]. Variations in bacterial characteristics can also change depending on when an isolate of Tenacibaculum is selected for sampling; prolonged periods in sub-cultured media can lead to the generation of spherical cells [53,57]. While there are multiple methods to identify and characterize Tenacibaculum spp. and strains, few molecular diagnostic techniques have been developed for this genus. Further research needs to focus on developing accurate and fast identification techniques for Tenacibaculum species.
2.2.3. Distribution and Diversity
From the limited research performed to date, the genus Tenacibaculum appears to be very diverse and many more species are likely to be described. Thirty-two named species are currently described, predominatly through 16S rDNA sequencing (Table A2). Since 2006, 22 new species have been described.
The genus Tenacibaculum has a cosmopolitan distribution within saltwater; however, local distributions of Tenacibaculum spp. are largely unknown. Currently, 20 out of 32 species have only been identified in Asia, and five species are unique to Europe (Table A2). The restricted distribution of these species may be a result of the lack of investigation to date. The remaining seven species have broader distributions; T. maritimum has been found in marine waters in Canada (East and West coast), Chile, Japan, Norway, Ireland, Spain, and Australia; T. dicentrarchi has been identified in Antarctica, Canada (East and West coast), Chile, Norway, Spain, and potentially Australia; T. finnmarkense has been identified in Chile and Norway; T. soleae has been identified in Canada, the USA, Europe, and Australia; T. xiamenense has been identified in China and Chile; T. mesophilum has been identified in Japan, the USA, and China; and T. ovolyticum has been identified in Japan, the USA, and Norway (Table A2). Further research will likely reveal that many species have more cosmopolitan distributions.
2.2.4. Host Relationships
Approximately three-quarters of known Tenacibaculum spp. have been found in only one or two hosts and have not been reported to be pathogenic (Table A2). Non-pathogenic Tenacibaculum spp. have been described from algae, tunicates, tidal sediments, seawater, mollusks, and crustaceans (Table A2). The remaining Tenacibaculum spp. have proposed pathogenic relationships with multiple fishes and few bivalves; these include T. maritimum, T. dicentrarchi, T. finnmarkense, T. gallaicum, T. discolor, T. ovolyticum, T. mesophilum, and T. soleae (Table A2). However, a pathogenic relationship fulfilling Koch’s postulates with a host species has only been demonstrated for T. maritimum [6] and T. finnmarkense [11,40] in S. salar. T. maritimum has also been reported in other animals such as sea lice (Lepeophtheirus salmonis) and mauve stingers (Pelagia noctiluca); while T. dicentrarchi has been identified in epidermal tissue from wild killer whales (Orcinus orca) and these animals may act as vectors for the bacteria [58,59,60] (Table A3). Recently, mortality events have also occurred in the kelp industry, Kombu (Saccharina japonica) seedlings experiencing green rotten disease had an increase in Tenacibaculum spp. from 0.8% to 4.5%; however, several other bacterial genera also experienced increases in abundance [61]. In conclusion, most Tenacibaculum sp. are not considered to be pathogenic and have few identified specific hosts; however, the eight pathogenic or potentially pathogenic Tenacibaculum sp. are often associated with fishes but have also been identified from a vast array of species that may act as vectors.
2.3. Putative Pathogens
2.3.1. Identification of Pathogenic Species
In this section, the identification of potentially pathogenic species in the order of T. ovolyticum, T. gallaicum, T. discolor, T. finnmarkense, T. mesophilum, T. soleae, T. dicentrarchi, and T. maritimum is described. In addition, BLAST comparisons from the National Center for Biotechnology Information (NCBI; https://blast.ncbi.nlm.nih.gov/Blast.cgi) were used and the top 100 top hits described, with the search parameter “Organism” left blank unless otherwise mentioned.
T. ovolyticum
Identification techniques for T. ovolyticum include DNA/RNA sequencing [41], MLSA [35,42], FAME (fatty acid methylesters) profile comparisons [62], and MALDI-TOF (matrix-assisted laser desorption/ionization time-of-flight mass spectrometry) [63]. The 16S rDNA sequence of T. ovolyticum IFO 15947 (Accession Number [AN]: NR_040912) is most similar to six isolates of T. ovolyticum (percent identity above 97.49%), the closest match to another species would be T. dicentrarchi AY7486TD (now T. finnmarkense AY7486TD [64]) and T. soleae LL04 12.1.7 with a percent identity of 96.88 and 96.54% (Supplementary Materials Figure S1). MLSA places T. ovolyticum in Clade two and its sister species is T. soleae, while T. dicentrarchi is the sister to both T. ovolyticum and T. soleae [35]. NCBI contains two complete genomes of T. ovolyticum (da5A-8, and DSM 18103) (Table A1) and based on GC content, size, and the number of coding sequences or genes, both complete genomes appear to be quite similar (Table A1). Non-genetic identification approaches applied to T. ovolyticum include FAME profile comparisons and MALDI-TOF. Two-dimensional plots comparing FAME profiles of T. gallaicum, T. discolor, T. maritimum, and T. ovolyticum indicated that T. ovolyticum was profoundly different, as fatty acids A35:0, Iso-A33:0, Iso-A34:0, A35:0 3OH, A35:1 ω6c, and anteiso-A35:0 had a greater mean percent composition, while Iso-A36:0 3OH had a lower mean percent composition [62]. The percent composition of numerous fatty acids was significantly different between the four species; however, more Tenacibaculum species need to be analyzed. FAME profiles can be used to help distinguish species identity but have also been correlated with pathogenicity in other bacterial species [65,66]. MALDI-TOF was applied for seven Tenacibaculum species and distinguished all tested species [63]. Several species-specific peak masses (2703.13, 5227.72, 9922.69, 10,239.19, and 10,582.04 m/z) unique to the T. ovolyticum isolate were identified [63]. Like FAME profiles, MALDI-TOF signatures have also been used to identify other bacterial species [67,68,69,70].
T. gallaicum and T. discolor
Identification techniques for T. gallaicum and T. discolor include 16S rDNA sequence comparisons, MLSA, MALDI-TOF, and FAME profiles. Representatives of these species (T. gallaicum A37.1T, T. discolor LL04 11.1.1T) were identified in the same study using morphology, GC content comparisons, DNA-DNA hybridization, and 16S rDNA sequences [12,13]. The 16S rDNA sequence of T. gallaicum BE263 (AN: LT601375.2) is most similar to three other T. gallaicum isolates (A37.1T, BE228, BE045), which had percent identities above 99.12% (Supplementary Materials Figure S1). Another comparison using T. gallaicum A37.1T (AN: NR_042631.1) indicated several isolates of T. litoreum, T. discolor, T. sediminilitoris, and T. ascidiaceicola have high percent identities above 97.5% (Supplementary Materials Figure S1). 16S rDNA sequences of T. discolor 9A5 (AN: JQ231117.1), and LL04 11.1.1T (AN: NR_042576.1) are most similar to five T. discolor isolates, T. litoreum CL-TF13, and T. ascidiaceicola RSS1-6, with percent identities above 99.10% (Supplementary Materials Figure S1). MLSA places T. gallaicum in Clade one, and the sister species was T. litoreum, while T. discolor was also found in Clade one, and was the sister to T. mesophilum [35]. Complete genomes of T. gallaicum DSM 18841, T. discolor DSM 18842 and IMLK18 are available online at NCBI (Table A1). FAME profiles for both T. discolor and T. gallaicum did not record species-specific differences [62]. There were also no specific masses through MALDI-TOF that allowed for distinction between T. discolor and T. gallaicum; however, the overall mass-spec could be used to identify either species [63]. The same study also noted that phyloproteomics indicated that isolates of T. gallaicum and T. litoreum had been misidentified and were proposed to be T. discolor [63].
T. finnmarkense
T. finnmarkense has been identified using 16S rDNA sequences, MLSA and complete genome sequence comparisons. Comparisons using the 16S rDNA sequence of T. finnmarkense TNO006 (AN: MN699389.1) and S2F6 (AN: MF192947.1) demonstrated high sequence similarities among several Tenacibaculum species, similar to aforementioned comparisons using T. gallaicum and T. discolor (Supplementary Materials Figure S1). Other species had highly similar sequences, including T. dicentrarchi, T. aestuarivivum, T. insulae, T. soleae, and a T. ovolyticum clone (Supplementary Materials Figure S1). Genome (Illumina) sequencing and average nucleotide identity (ANI) of various T. dicentrarchi and T. finnmarkense isolates revealed that they were highly similar and were proposed to be sister-species [64]. However, it was also reported that T. dicentrarchi AYD7486TD was proposed to be within the species T. finnmarkense based on ANI [64] and MLSA [71]. Recently, MLSA and genome (Illumina) sequencing also indicated that the T. finnmarkense clade consists of two species (T. finnmarkense and T. piscium) and the T. finnmarkense species consists of two genomovars (T. finnmarkense genomovar finnmarkense and T. finnmarkense genomovar ulcerans) [72]. Complete genomes of T. finnmarkense (HFJT and TNO006), specific genomovars of T. finnmarkense, and T. piscium (TNO020T, TNO070, TNO063, TNO066, TNO064) are available on NCBI (Table A1) and more diagnostic techniques are required. FAME profiles of T. piscium (TNO020T), T. finnmarkense genomovar ulcerans (TNO010T), T. finnmarkense genomovar finnmarkense (TN0OO6T), T. finnmarkense genomovar (HFJT), and T. dicentrarchi USC 35/09T identified that numerous fatty acids were similar; however, the summed feature for T. piscium is greater than the other isolates, A35:0 is greater for T. finnmarkense genomovar ulcerans and T. finnmarkense genomovar finnmarkense, while T. finnmarkense genomovar finnmarkense had greater levels of A35:1 ω6c. More isolates need to be tested through FAME profiles to determine if any fatty acid could be used as a chemotaxonomic marker. MALDI-TOF [63] could be potentially useful for further describing clades of T. finnmarkense and closely related species.
T. mesophilum
For the identification of T. mesophilum, 16S rDNA comparisons and MLSA have been applied. The 16S rDNA sequence of T. mesophilum MBIA3140 (AN: NR_024736) was most similar to 13 T. mesophilum isolates with percent identities above 99.04%; however, T. lutimaris DI 83II and Actinobacterium YH73 had percent identities of 97.44% and 99.29% (Supplementary Materials Figure S1). As mentioned previously, MLSA described a close relationship between T. mesophilum and T. discolor within Clade 1 [35]. Three full genomes of T. mesophilum are available on NCBI (Table A1). As for T. finnmarkense, more diagnostic tests are required, as well as studies to demonstrate the pathogenic potential of the bacteria.
T. soleae
T. soleae has been identified using 16S rDNA sequences, PCR, MLSA, and MALDI-TOF. The 16S rDNA sequence of T. soleae LL04 12.1.7 (AN: NR_042630) indicated that all T. soleae isolates had percent identities above 98.15% (Supplementary Materials Figure S1). However, isolates of T. dicentrarchi, T. aestuari, T. lutimaris, T. insulae, and T. discolor had percent identities above 97.04% (Supplementary Materials Figure S1). BLAST comparisons indicate that PCR primer sequences using 16S rDNA [73] and 16S–23S internal spacer region (ISR) [74] were most similar to T. soleae; however, other outgroups had a percent identity of 100% for one of the primers. Both PCR assays have been applied before [75,76] and appears to be a reliable tool for detecting T. soleae. However, in another study, a new PCR assay specific to T. soleae was developed for multiplex-PCR due to previous PCR amplicons for other species of Tenacibaculum being a similar size [76]. The phantom band described in some samples [67] may be related to the amplicon of a potential contaminate, false positive, or another section within the genome that may amplify. For both PCR assays, melting curve analyses would help determine if the generation of multiple products is occurring. MLSA phylogenies placed T. soleae closest to T. ovolyticum [35]. The complete genome of T. soleae UCD-KL19 is available online (Table A1). The only non-genetic test, MALDI-TOF, applied to identify T. soleae was effective; a characteristic peak mass was identified at 9048.66 m/z [63]; meaning that a single peak could distinguish this species from the rest of the genus [63].
T. dicentrarchi
T. dicentrarchi has been identified using 16S rDNA sequences, PCR, qPCR, MLSA, and MALDI-TOF. The 16S rDNA sequence of T. dicentrarchi 35/09T (AN: NR_108475.1) indicated that isolates labeled as T. dicentrarchi had a percent identity above 98.21% (Supplementary Materials Figure S1). The most similar Tenacibaculum sequence of another named species would be T. aestuariivivum JDTF-79 and T. ovolyticum with a percent identity of 98.13% and 96.82% (Supplementary Materials Figure S1). A 16S rDNA PCR assay (Tenadi) to identify T. dicentrarchi [77] has limited application because it also identified T. finnmarkense [78]. A BLAST comparison of the Tenadi primers indicated that several outgroups including T. finnmarkense were matches (Supplementary Materials Figure S1). A new T. dicentrarchi PCR-specific assay was developed for multiplex-PCR due to the Tenadi assay amplicon being of a similar size to other species-specific PCR assays [76]; however, validation in other studies is needed. A 16S rDNA qPCR assay has been developed to identify T. dicentrarchi and was reported to be specific but needs to be validated and investigated for potential false positives [79]. MLSA demonstrated that T. dicentrarchi is in Clade two and was the phylogenetic sister to T. ovolyticum and T. soleae [35]. Subsequently, MLSA determined that the sister to T. dicentrarchi was an unnamed Tenacibaculum species (T. finnmarkense), while T. soleae and T. ovolyticum were still closely related in a monophyletic clade [35,42,64]. Four complete genomes of T. dicentrarchi are available on NCBI for comparison and include AY7486TD, TNO021, TD3509 = 35/09T, and TdChD05 (Table A1). Non-genetic identification techniques for T. dicentrarchi are limited to MALDI-TOF [63], which detected a peak mass unique to the species at 2579.41 m/z from T. dicentrarchi NCIMB14598 [63]. More species and isolates need to be tested to confirm if MALDI-TOF can distinguish between T. finnmarkense and T. dicentrarchi.
T. maritimum
Many different techniques have been used for the identification of T. maritimum including rDNA sequence comparisons, PCR, nested PCR, qPCR, viability-qPCR (v-qPCR), MLSA, serology, FAME profiles, and MALDI-TOF. The 16S rDNA sequence of T. maritimum TmarCan1 (AN: KY428892.1) was most similar to ~30 T. maritimum isolates with a percent identity above 97.52% and the next closest comparison was Polaribacter sp. 7002-035 with a percent identity of 95.99%; other Tenacibaculum species have percent identities below 95.62% (Supplementary Materials Figure S1). Two 16S rDNA PCR assays [80,81] are widely applied to identify T. maritimum [82,83,84,85,86,87,88]. qPCR and v-qPCR for 16S rDNA [89,90,91], gyrB gene [92], and outer membrane protein A (ompA) gene sequences [7] have been developed. The 16S rDNA assay [89] was determined to be more sensitive than the ompA gene assay [7]. Using MLSA, T. maritimum was shown to be an independent lineage separated from monophyletic clades of other Tenacibaculum species, a classification that is also supported by the 16S rDNA alignment [35]. There are 25 complete genome sequences available on NCBI (Table A1). Most genetic identification techniques are specific to T. maritimum, with identification not being a primary concern for this species; novel studies may want to focus on the biology of T. maritimum.
Non-genetic identification techniques for T. maritimum include serology, FAME profiles, and MALDI-TOF. T. maritimum can be divided into at least four serogroups, which were identified among European or Asian isolates isolated from fishes [12,47,93,94,95]. Antigenic heterogeneity of T. maritimum was proposed to be host-specific [93]; however, at least two distinct serological groups of T. maritimum from Atlantic salmon in BC have been described [55,96]. Additional serological studies of isolates of Tenacibaculum spp. identified from mouthrot cases are needed to allow better characterization. Future studies should also focus on comparing isolates from the Americas against those from Europe and Asia to determine if the known serological scheme can be expanded. MALDI-TOF on 22 isolates for T. maritimum revealed that there was a species-specific peak mass at 9408.33 m/z and that there was also a characteristic peak mass at 11,356.67 m/z for 17 out of 22 isolates [63]. More recent MALDI-TOF applications identified 18 monomorphic and nine polymorphic biomarkers within the species, having potential use for species and strain typing [97]. The same study used MLST-like approaches combining isoform numbering (1–5) corresponding to the MALDI profile to designate a MALDI-type (MT1-20), and used the clustering of MALDI-types to identify MALDI-groups (MG1-4) [97]. Using the aforementioned technique, trends were identified between the geographical origin of the strain and the designated MT, in agreement with previous MLST results [35,97]. FAME profile could also distinguish T. maritimum from other species [62]; however, there were two main clusters (Ia and Ib) for T. maritimum and the author proposed that these clusters may be based on host species or geographic origin [62]. Based on the fatty acids iso-A35:1 G and iso-A35:0 3-OH comprising a greater mean percent composition for the tested T. maritimum isolates compared to the other species, it was also interpreted that those two fatty acids may be used as chemotaxonomic markers [62].
2.3.2. Pathogenic Species
As mentioned above, eight Tenacibaculum species have been proposed as pathogens of marine finfish and possibly bivalves. Clinical signs of tenacibaculosis in marine fishes typically include external ulcers [6,7,9,12,16,26,98,99,100], frayed fins [12,14,98,100,101], pale organs [12,98,100,102], mortality [6,7,9,11,12,99], and atypical behaviors including lethargy [11,16,86,99], abnormal swimming (i.e., flashing) [16,26,74,100], and anorexia [16,26,99]. Three Tenacibaculum species have also been linked to disease in shellfish, including T. maritimum, T. soleae, and T. mesophilum.
T. ovolyticum
T. ovolyticum has been found in deep waters off the coast of Japan [103], in a lobster culture associated with epizootic shell disease [104], as a component of sardine egg microflora [105] and has been reported to be an opportunistic pathogen in eggs and larvae of Atlantic halibut (Hippoglossus hippoglossus L.) [106,107]. In one study, when T. ovolyticum represented less than 30% of the epifloral community, halibut eggs hatched to larvae; however, when values rose above 30%, substantial increases in mortality at the hatching stage occurred [106]. T. ovolyticum was able to dissolve the chorion and damage the zona radiata through enzymatic activity [106]. Halibut but not turbot eggs immersed in baths of 105–106 bacteria mL−1 of T. ovolyticum before hatching had significantly increased mortality compared to controls [107]. In a phylogenetic study, of 89 Tenacibaculum isolates collected from disease outbreaks in Norway, isolate TNO089 had the greatest genetic similarity to T. ovolyticum (95%) and was cultured from halibut fry; demonstrating the potential for this organism to induce tenacibaculosis in fish past the larval stage [42]. Overall, T. ovolyticum has been found in environmental samples, invertebrates displaying disease and as part of the microflora of marine fish eggs; however, few studies to date have demonstrated that T. ovolyticum is a fish pathogen.
T. gallaicum and T. discolor
T. gallaicum and T. discolor were first identified together in Spain; T. gallaicum was isolated from seawater taken from a turbot (Psetta maxima) holding tank, and T. discolor was identified in the kidney of a deceased sole (Solea senegalensis) [12,13]. Both bacterial species are proposed pathogens because T. discolor L0LO4.11.1.1T and T. gallaicum A37.1T experimentally induced tenacibaculosis in both turbot and sole [12,13]. For T. discolor and T. gallaicum, mortalities ranged 60–100% following intraperitoneal (IP) injections of 105–107 colony forming units (CFU) fish−1 [12,13]. Diseased sole and turbot displayed an eroded mouth, necrotic fins, ulcerations on the flanks, and pale internal organs [12,13]. Based on these findings, T. gallaicum and T. discolor are likely fish pathogens; however, more research is needed to validate a relationship between the presence of bacteria and diseased fishes and if these species are primary pathogens or opportunistic pathogens.
T. finnmarkense
T. finnmarkense has been identified in Norway and Chile as a marine fish pathogen isolated from Atlantic salmon, lumpsuckers (Cyclopterus lumpus L.), coho salmon (Oncorhynchus kisutch), cleanerfish (Symphodus melpops), cod (Gadus morhua), and halibut (Hippoglossus hippoglossus) [11,40,64,71,72,86,101,108]. The bacteria have also been identified from the cnidarian, Dipleurosoma typicum [108]. The jellyfish was thought to be an unlikely vector for the bacteria, but its nematocysts can directly damage external salmon tissues facilitating infection [102]. Like T. maritimum, clinical signs of tenacibaculosis caused by T. finnmarkense included ulcerations on epidermal surfaces, frayed fins, and mortality [6,9,11,101]. Before the bacterium’s identity was confirmed to be T. finnmarkense in 2016 [40], several isolates (Tsp.1 and Tsp.2) were used in experimental trials. Atlantic salmon were exposed to 105–108 bacteria mL−1 for a set duration (1, 5, or 10 h) and were subsequently housed with naïve fish [11]. Fish exposed to Tsp.1 for 10 h experienced 100% mortality while all other groups had a mortality of roughly 30% and there was no mortality in the naïve cohabitants [11]. In another cohabitation trial, S. salar underwent bath immersions with 105–106 cells mL−1 of T. finnmarkense HFJT and Tsp.2 for 5 h, then exposed fish were grouped with naïve fish [101]. Isolate HFJT induced high mortalities (~80%) among infected fish; however, co-inhabitants (naïve fish) had fewer mortalities (<10%) [101]. Isolate Tsp.2 induced fewer mortalities in infected fish (<15%); however, naïve fish had similar mortalities (<20%) [101]. A notable difference between these studies was the stocking density used; 2.3 kg m−3 [11] compared to 4.6 kg m−3 [101]. Doubling the stocking density of shedders mixed with naïve fish would likely increase the chance of infected fish physically interacting with non-infected fish. The virulence of T. finnmarkense observed in S. salar may be isolate dependent. Determining the differences between isolates that induce disease in marine fishes and those that constitute a healthy microbiota require investigation [101].
T. mesophilum
T. mesophilum was initially identified on a sponge (Halichondria okadai) [41], from sediment samples [109], and associated with the microbiome of Pacific white shrimp (Litopenaeus vannamei) [110]. There are few studies focused solely on T. mesophilum. Research has demonstrated that T. mesophilum induces a humoral immune response in gilthead seabream (Sparus aurata) [111] and produces a unique linear siderophore (bisucaberin (B) without macrocyclic counterparts [112,113]. Recently, the bacterium has been associated as the agent responsible for black-spot shell disease in Akoya pearl oysters (Pinctada fucata) [114]. A BLAST comparison (https://blast.ncbi.nlm.nih.gov/Blast.cgi) of 16S rDNA sequences of Tenacibaculum sp. Pbs-1 (NCBI Accession number: LC342074) cultured from diseased Akoya pearl oysters indicated that five separate sequences in the complete genome of T. mesophilum DSM 13764 (NCBI Accession number: CP045192) are identical (query cover of 100%, an E-value of 0, and a percent identity of 100%). Even though Tenacibaculum sp. strain Pbs-1 was thought to be the agent responsible for black-spot shell disease, reproduction of the disease including mortality requires additional factors, including a compromised shell [114]. More work is needed to demonstrate that T. mesophilum can be a pathogen to select groups of animals.
T. soleae
T. soleae has been identified from marine environments around Europe and from fishes such as sole (S. senegalensis) [115], wedge sole (Dicologoglossa cuneata M.) [15], brill (Scophthalmus rhombus L.) [15], sea bass (Dicentrarchus labrax) [75], and wrasse [42]. T. soleae has also been reported in Pacific oysters (Crassostrea gigas) [116], as well as the American lobster (Homarus americanus) [104]. Bath infections of T. soleae using fry and juvenile wedge sole identified an LD50 of 7.8 × 105 CFU mL−1 after an 18 h immersion and 100% mortality was observed in 6–8 days (d) using 107 CFU mL−1 [15]. IP injections of the same isolate at a concentration of 106 CFU fish−1 resulted with 100% mortality in five days [15]. Clinical signs in experimentally infected fish included external ulcers and erratic swimming behavior [15,75,115]. In C. gigas, clinical signs of disease included liquefactive necrosis in the adductor muscle and abnormal coloration of the mantle [116]. Experimental inoculation into C. gigas adductor muscles with 200 µL of 104 CFU mL−1 of T. soleae resulted in cumulative mortalities of 46.6% and inoculations of 101 CFU mL−1 induced mortality in one individual (6.7%) [116]. Further, the identification of Tenacibaculum sp. in abalone (Haliotis laevigata and Haliotis discus hannai) [117,118] and Akoya pearl oysters [114] suggest that tenacibaculosis is not specific to fish but has a much broader potential to infect other organisms such as bivalves.
T. dicentrarchi
T. dicentrarchi is a potential pathogen that has received attention due to mortality events in Chile [14,98], and in BC, where the bacterium has been identified as a common isolate from S. salar with lesions similar to mouthrot [119]. In addition to Atlantic salmon [14], T. dicentrarchi has been documented in red conger eel (Genypterus chilensis) [98], and sea bass (Dicentrarchus labrax) [57]. Some Tenacibaculum sp. isolates from cod (Gadus morhua), wrasse species, and lumpfish (Cyclopterus lumpus L.) were also re-identified as T. dicentrarchi using MLSA [42]. Clinical signs in fishes infected with T. dicentrarchi included external ulcers, frayed fins, hemorrhagic organs, and damaged gills [14,57,98]. A bath immersion for 1 h using 3.78 × 105 CFU mL−1 of T. dicentrarchi TdChD05 induced 65% mortality in S. salar, and 93% mortality in rainbow trout (Oncorhynchus mykiss); around 50% of the mortalities occurred in one day for O. mykiss, and four days for S. salar [14]. However, 50% cumulative mortality in O. mykiss observed within one day is unusually fast for the development of tenacibaculosis in fishes in comparison to other studies and may indicate that other factors were involved [6,7,14,15]. Coho salmon (Oncorhynchus kisutch) in the same experiment experienced no adverse effects [14], but outbreaks by Tenacibaculum spp. have been reported in coho salmon [71]. In a separate study, 30 Atlantic salmon smolts were IP injected with 107 CFU fish−1 and then co-housed with another 197 salmon [120]. The water was then decreased from 1400 L to 400 L and the fish underwent bath immersion with 106 CFU mL−1 for 30 min [120]. None of the fish in this trial died or displayed ulcers [120]. In a second trial, 26 of 36 fish were scarified using a scalpel blade to removes scales, and three drops of the bacterial culture were added to 20 of these scarified fish. All fish were then bath immersed in 107 CFU fish−1 for 2 h. Ultimately, 32 fish died and 2 were euthanized as moribund [120]. Of the four survivors, one was scarified without the addition of bacteria and the three others only experienced the bath immersion [120]. All the fish were reported to have extensive scale loss, small hemorrhagic lesions, ascites, and dark livers [120]. Recently, exposure trials of Atlantic salmon to Neoparamoeba perurans (causative agent of amoebic gill disorder) identified a weak positive correlation between the presence of N. perurans and T. dicentrarchi in diseased fish [79]. In some lesions of diseased fish, 70.7% of the mean bacterial abundance was T. dicentrarchi, and there was reduced species richness and diversity indexes in diseased fish compared to naïve fish, supporting that dysbiosis may have implications for tenacibaculosis [79]. In another recent study, two isolates (QCR29 and QCR41) at 3.1 and 3.7 × 104 CFU mL−1 were exposed to red conger eel (n = 12) for 2 h through bath exposure [121]. Eel mortalities began four days post-exposure and by the end of the experiment (30 d) 8 fish head died, and fish presented with epidermal ulcers, hemorrhagic fins, mouth and operculum, irritation around the head and yellow plaques around the jaws [121]. These experiments support the potential for T. dicentrarchi to be a pathogen of concern for aquaculture.
T. maritimum
T. maritimum is the most documented Tenacibaculum species in the literature. The bacteria have been described worldwide, and in at least 30 host species (Table A3). In S. salar smolts, mortality rates in successful experimental infections often exceed 50% [6,7,9,26,122]. Variable success has been recorded using different infection protocols with the variability likely due to the isolate tested, host species used, infection methodology applied, and the concentration of infective dose [6,7,9,26,122].
2.3.3. Pathogenesis
There is a limited amount of information available on the pathogenesis and virulence factors associated with the genus Tenacibaculum except for T. maritimum. The similarity of the clinical signs caused by several of the proposed pathogens of this genus suggest that common themes will apply as for T. maritimum. The pathogenesis section is described in the order of in-situ infections including the clinical presentation of mouthrot in BC, subcutaneous (SC) injections, IP injections, and bath immersion infections.
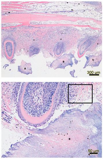
In-situ infections of T. maritimum are believed to infect fishes through damaged epithelia initially [26], where in Atlantic salmon, mouthrot is often associated with the mouth of fish [6,7]. In an S. salar smolt that died two months after being transferred to saltwater and was proposed to have died from mouthrot, histopathology and scanning electron microscopy (SEM) revealed lesions around the mouth surrounded by filamentous bacteria and dislodged teeth, with bacteria occupying gingival pockets [7]. Based on similar lesions from experimental bath infections using T. maritimum isolates (TmarCan15-1, TmarCan16-1, TmarCan16-2, and TmarCan16-5), it was proposed that for mouthrot, bacteria become systemic via the vascularized tooth pulp [7]. Histology from a jaw section of an Atlantic salmon with mouthrot had ulceration of the mucosal epithelium with plaques of basophilic filamentous bacteria and inflammation of the dermis, while bacteria were also dispersed throughout the compromised epithelium and dermis surrounding teeth (Figure 1). The histological section of the infected jaw presented here is similar to those of Frisch et al. [7]. While these authors also identified plaques of filamentous bacteria and necrosis of the gill tissue of affected Atlantic salmon. T. maritimum NCIMB 2153 in-situ infected farmed Senegalese sole (S. senegalensis L.) have also been studied by histology and SEM [47]. The flanks of infected fish exhibited a loss of epidermis, dermis, and hypodermis, extensive necrosis of superficial muscles, severe hemorrhages, and the presence of macrophages at infection sites [47]. SEM demonstrated that some lesions first impacted the epithelium in the middle of a scale exposing the fibroid bone and then progressed outwards. SEM also revealed that areas without epithelium had copious amounts of rod-shaped bacteria present around scales and a reduction in the micro-ridges of the surface epithelia [47]. Further studies are required as there are substantial differences between the reports from [7,47] including fish species and bacterial isolates used, different geographic locations, and different transmission routes, resulting in different clinical signs of infection. From Atlantic salmon post-smolts sampled at BC netpen sites, microbial profiling using the 16S rDNA sequences indicated that T. maritimum was identified in healthy, diseased, and post-treated fish [123]. Diseased fish had reduced microbial diversities with two sequence variants of T. maritimum dominating the community [123]. Surviving fish with high proportions of T. maritimum, in association with the abundance Vibrio spp. and the presence of mouthrot led researchers to provide evidence that mouthrot is a complex multifactorial disease characterized by dysbiosis [123]. With several Tenacibaculum species reported to have associations with dysbiosis, more research should focus on what multifactorial processes initiate dysbiosis linked to the presence of mouthrot. In BC, the most common clinical presentation of tenacibaculosis is denoted as mouthrot. The few common clinical signs of mouthrot include yellow plaques and ulcers on the mandibles, gills, and infrequently on the flank (Figure 2). The distinguishing feature of mouthrot compared to other presentations of tenacibaculosis is that at netpen sites, small plaques often occur on the jaws and gills with few conspicuous ulcers (Figure 2). Ulcers can be found on other epidermal surfaces, and laboratory trials identify more severe ulcerations on the fish [6,7,8]. In other presentations of tenacibaculosis, conspicuous ulcers are often located around the head, flanks, and fins of the fish [26,49,99,100].
Figure 1.
Histology of an Atlantic salmon (Salmo salar) with mouthrot in British Columbia (Canada). Top: There is extensive ulceration of the mucosal epithelium with thick basophilic plaques (A–C) and marked diffuse inflammation of the dermis (*). Bottom: A magnified portion of a tooth and a plaque of filamentous bacteria (B), where bacteria are seen disseminating into surrounding tissues with surrounding macrophages, necrotic cells, and fibrin and with disruption of connective tissue (black square). Optimization of photomicrograph illumination and color balance followed published methods [124] and was provided by G. M. Marty.
Figure 2.
Clinical presentation of mouthrot in Atlantic salmon (Salmo salar) in British Columbia (Canada). (A–C): Yellow plaques (arrow) on the pre-maxilla, maxilla, and palatine teeth. (D,E) Yellow plaques (arrow) on the gill-raker or the gill filaments, while discoloration, clumping, and hemorrhaging of the filaments is also present. F: Two yellow plaques (arrow) on the flank on the fish. Pictures are courtesy of the Fish Health Team of Mowi Canada West.
SC and IP infection trials using T. maritimum has been documented in several fishes. In turbot, SC and IP injections of 108–109 CFU fish−1 of T. maritimum LL01.8.3.8 induced anorexia and lethargy as early as 3 h post-injection (hpi) [99]. At this time, histopathology of tissue at the site of SC injection demonstrated clusters of bacteria distributed through the connective tissue of the hypodermis and degeneration of muscle without inflammatory responses [99]. The first gross lesion was recorded at 24 hpi and consisted of discoloration at the injection site [99]. The formation of an ulcer at the inoculation site occurred around 48 hpi, while at 72 hpi, ulcers obtained the characteristic circular appearance and developed peripheral hyperemia [99]. At all-time points, histopathology demonstrated degeneration and necrosis of muscles, detached or absent epidermis and dermis, and inflammation of the ulcerated area [99]. The expansion of the lesion was evident based on the spread of grossly discolored tissues [99]. At seven days post-infection, most fish displayed ulcerative dermatitis and hyperemia and some fish displayed diffuse hyperemia and hemorrhages on the fins [99]. Throughout the experiment, bacteria were primarily found from three organs (skin, kidney, and spleen) using PCR, culture, and immunohistochemistry [99]. A subsequent study used SC injections of 108 CFU fish−1 T. maritimum LL01.8.3.8 on turbot, and similar pathological signs were noted [10]. In another study, Dover sole (Solea solea L.) injected subdermally with 107 cells fish−1 T. maritimum developed epidermal lesions and experienced 100% mortality in four days [125]. Difficulties were also reported based on bacterial cultures flocculating leading to inconsistent quantification of bacteria and numerous mortalities in both pilot trials [125]. In the first pilot trial, SC-injected fish had 30% mortality in 48 h and the rest were euthanized; in the second pilot trial, the proportion of mortalities among controls were 30% and 50% [125]. The high number of mortalities within such short time frames for both pilot and experimental trials may indicate that other factors may be involved. In black sea bream (Acanthopagrus schlegei), SC injection of 102–106 cells fish−1 using T. maritimum A4 induced ulcers at the injection site [126]. However, since the highest mortality using 106 cells fish−1 was 52.6% while the control group experienced 40.8%, it is possible that the infection method may have contributed to mortality [126]. Based on these results, the experimental reliability and effectiveness of SC injections are questionable and additional studies are needed to validate current work in these fish species.
IP injections of 108–109 CFU fish−1 of T. maritimum strain LL01.8.3.8 in turbot at 168 hpi resulted in splenitis and capsular necrosis, necrosis and hemorrhage of the liver, head kidney, and intestine, reduced hematopoietic tissue in the head and kidney, and enteritis with transmural inflammation [99]. No grossly observable, macroscopic epidermal lesions were recorded, but T. maritimum was identified in the liver, heart, gastrointestinal tract, and gills from 6–48 hpi and the spleen and kidney from 6–168 hpi using immunohistochemistry [99]. In Atlantic salmon, isolated extracellular proteins (>250 µg/fish) from T. maritimum 89/4762 injected-IP induced 100% mortality, with the author concluding that extracellular products released from T. maritimum induce disease [122]. Overall, it appears that IP injections of T. maritimum can produce internal lesions, and extracellular products may play a significant role in the pathogenesis of disease. However, other studies were unsuccessful in reproducing tenacibaculosis through IP injections [9,127].
For both IP and SC infection methodologies, bacteria were detected in most organs as early as 3 h until the end of the experiment; bacteria were also detected in blood vessels, possibly demonstrating bacteremia [99]. However, IP and SC injections do not mimic natural horizontal transmission, and researchers have had variable success inducing infection [6,7,9,127]. Subcutaneously injected fish displayed similar clinical signs to affected fish from production settings [99].
Bath infections, mimicking horizontal transmission, using T. maritimum, also resulted in clinical signs similar to those described from outbreaks on fish farms [6]. Infection trials with turbot using T. maritimum isolate ACC6.1 suggested that an immersion of 18 h using 5 × 103 CFU mL−1 was needed [128]. However, in Atlantic salmon, successful bath infections have occurred at 1.5 and 5 h using various Canadian T. maritimum isolates at 107 CFU mL−1 [6]. Isolate virulence and bath concentration are likely important factors that impact the period required to allow infection [6]. Bath infections with S. salar smolts produced atypical behavior (erratic swimming and loss of equilibrium), oral ulcers, and yellow plaques on the external surfaces such as the mouth and gill [6,7]. In several fishes including S. salar, bath infections resulted in ulcers externally on the flanks and fins of fishes, pale organs, friable livers, congested kidneys, and eventually mortality [16,26,100,102,129]. Numerous Tenacibaculum sp. infections in laboratory practices use variably concentrated infective doses, often at high concentrations (above 103 CFU mL−1), which may indicate that the bacteria are not primary pathogens, but instead other variables, including dysbiosis [123], may influence infection.
2.3.4. Virulence Factors
Virulence factors are required to allow bacteria to invade, induce disease, and evade host defenses [130]. A complete genome analysis of T. maritimum NCIMB 2154T identified categories of virulence genes related to motility, adhesion, quorum sensing/quenching, metabolism, iron acquisition, stress response, transport/secretion systems, and toxins [44].
T. maritimum genes predicted to express proteins for gliding machinery (14 gld genes [gldA to gldN] and 10 spr genes [sprA to sprE, and five sprF paralogs]) allowing mobility on multiple surfaces have been identified. Seventeen other genes in T. maritimum code for various adhesins, factors related to the biosynthesis of exopolysaccharides, and lectin or carbohydrate-binding motifs [44]. These three groups (adhesins, exopolysaccharides, and binding motifs) may allow adhesion to multiple biotic and abiotic surfaces [44]. Several isolates of T. dicentrarchi and T. maritimum from S. salar lesions formed biofilms on abiotic surfaces such as polystyrene [131,132]. During the same experiment, biofilm formation indexes were the greatest at 24 h for all strains tested, but there was significant variability between strains over time (120 h) [131,132]. More studies are needed to determine what adhesins are necessary to bind to specific surfaces, as one researcher has highlighted the difficulty in creating infection models for fishes based on a lack of understanding of the adhesive properties of Tenacibaculum species [6]. An understanding of the adhesive properties of T. maritimum may help identify the mechanisms that lead to flocculation in media, as this can lead to unreliable estimates in bacterial concentration using spectrophotometry and has downstream implications for experimental trials.
Quorum sensing and quenching have been reported in T. maritimum. N-acyl homoserine lactone (AHL) activity was identified among nine strains of T. maritimum; strain NCIMB 2154T possessed N-butyryl-l-homoserine lactone (C4-HSL) and was also capable of degrading long-acyl AHLs (A30-HSL) [46]. No gene for AHL biosynthesis was identified, and no genes for quorum quenching were identified in strain NCIMB 2154T, but an AHL lactonase encoding gene was predicted based on its identification in T. discolor strain 20 J [44,133]. In another study, multiple AHLs (C6-HSL, 3-oxo-C6-HSL, C8-HSL, 3-oxo-C8-HSL, A30-HSL, 3-oxo-A30-HSL, A32-HSL, 3-oxo-A32-HSL, A34-HSL, and 3-oxo-A34-HSL) were identified in T. discolor and T. soleae but a lactonase enzyme was only identified in T. soleae [134]. Quorum quenching enzymes such as lactonase may be different at the species and strain level in bacteria [134], possibly because, depending on the bacterial community, different compounds may be more effective for communication.
Genes in T. maritimum related to metabolism include a complete glycolysis pathway, a tricarboxylic acid cycle, sugar transporters, sugar enzymes, and several proteases, among others [44]. The identification of various proteases, which degrade proteinaceous compounds such as gelatin and casein, and the capability to use amino acids as a carbon and nitrogen source, support this organism’s capability as a pathogen and its ability to survive off the host [44,50]. However, the identification of genes related to carbohydrate processing is a unique finding and contradicts previous studies that demonstrated that the bacterium is unable to process simple and complex carbohydrates [9,44,50]. Determining the function of these genes may explain how nutrients are obtained and utilized by Tenacibaculum.
Iron acquisition genes have been identified in T. maritimum and include the production of the bisucaberin siderophores and transporters, heme-related proteins, iron-regulation proteins, as well as a Fur regulator [44]. The identification of these genes is in agreement with the results obtained from iron-limitation experiments and assays [135]. T. maritimum isolates utilized several iron sources (hemin, hemoglobin, ferric ammonic citrate, and transferrin) when added to iron-deficient media, were able to bind to hemin, demonstrating the presence of heme-related proteins, and had siderophores identified in universal colorimetric chemical assays [135]. Hypothetical genes involved in iron acquisition [44] and the ability to remove iron from other sources [135] may play important roles in obtaining iron from the blood and tissue, as T. maritimum are reported to undergo bacteremia and can produce lesions in the liver and spleen [118,128,129]. Future studies should investigate how these genes aid iron regulation in Tenacibaculum species and should identify the expression of these genes in in-vivo/vitro models.
Bacterial stressors can include chemical (i.e., reactive oxygen species (ROS), heavy metals), physical (i.e., temperature), and biological interactions. T. maritimum encodes three superoxide dismutases (SodA, SodB, and SodC) and two catalase/peroxidase enzymes (KatA and KatG), indicating that the organism can cope with oxidative stress [44]. Applications of hydrogen peroxide, which generate ROS, did not dramatically reduce T. maritimum infections but speculated that hydrogen peroxide inadvertently promoted tenacibaculosis through the stress that the fish experienced during treatment [136]. Several genes related to heavy metal resistance have also been identified and were proposed to remove cationic heavy metals to limit ROS production [44]. Temperature is another stressor, but there is considerable variation in the range of temperatures tolerated by Tenacibaculum species (Table A2). Studies have reported fish mortalities caused by Tenacibaculum spp. following either a decrease or increase in water temperature [26,103]. Additional research should occur to identify genes related to stressor response.
Transport systems are useful for pathogens, as they allow proteins to be brought to the cell surface. Genes encoding an ATP binding cassette type transport system, a Sec-dependent transport system, a twin-arginine transport system, and a type IX secretion system (T9SS) were identified in T. maritimum [44]. Extracellular products of T. maritimum reported to induce mortality in S. salar by [117] are possibly transported using these systems. The role of each transport system in Tenacibaculum sp. needs further research; if toxins can be prevented from reaching the surface of the bacterial cell, Tenacibaculum infections may be attenuated.
T. maritimum genes have been found that code for many enzymes, including cholesterol-dependent cytolysin, collagenase, sphingomyelinase, ceramidase, chondroitin AC lyase, streptopain family protease, and proteins related to sialoglycan degradation/uptake [44,97]. Many of these enzymes are classified as toxins because they damage cells. For example, cholesterol-dependent cytolysins are cytolytic pore-forming toxins; however, these are also predicted to interact with the phagosome (as with Listeria monocytogenes) or cause translocation of enzymes (as with Streptococcus pyogenes) [137]. Sphingomyelinases are multi-functional and can aid phagosomal escape or avoidance, tissue colonization, infection establishment, and evasion from host immune responses [138]. Ceramidase in Pseudomonas aeruginosa has been reported to have functions linked to hemolysis in mammals [139]. Given that heme-related genes were identified in T. maritimum, ceramidase may be linked to iron acquisition if ceramidase can lyse cells rich in iron, such as erythrocytes in the bloodstream of fishes. Chondroitin AC lyase hydrolyzes chondroitin; a reduction in the rigidity of connective tissues caused by loss of chondroitin allows for easier dissemination of bacteria throughout the host [140]. Collagenase is an enzyme that breaks down collagen [141]. Since the skin, cartilage, and bones of finfish are rich in chondroitin sulphate and collagen [141,142,143], chondroitin AC lyase and collagenase may play a role in the development of external lesions and invasion into deeper tissues. Genes for sialidase were reported, and their products may allow foraging for host glycoproteins [44,144]. Further research is needed to determine how the genes identified by [44] are related to the pathogenesis of disease induced by T. maritimum.
3. Conclusions
Members of the genus Tenacibaculum are Gram-negative, filamentous, marine bacteria that are likely cosmopolitan and ubiquitous. Most bacterial species are non-pathogenic or have not been reported in mortality events, while eight other species (T. ovolyticum, T. gallaicum, T. discolor, T. finnmarkense, T. mesophilum, T. soleae, T. dicentrarchi, and T. maritimum) have been related to finfish or shellfish mortality events. Most potential pathogens are identified using 16S rDNA sequencing, and few diagnostic tests have been developed to identify each species, except T. maritimum. Similar clinical signs of infection in fishes induced by Tenacibaculum spp. include external ulcers, atypical behaviors, and mortality, and indicate that the term tenacibaculosis should be expanded to encompass Tenacibaculum species. Imitations of tenacibaculosis outbreaks from aquaculture sites are repeatable using experimental infections via bath immersions, where SC and IP injections have had less success. Variations in observed infections can be related to the bacterial isolate, host, geographic origin, and mode of transmission. More research is needed to define local distributions of bacteria, increase the number of diagnostic tests for pathogenic species, and clarify the pathogenesis of Tenacibaculum species.
Supplementary Materials
The following are available online at https://www.mdpi.com/2076-0817/9/12/1029/s1, Figure S1: Tenacibaculum BLAST Comparisons.
Author Contributions
Conceptualization, J.P.N., J.S.L., S.R.; validation, J.P.N., J.S.L., S.R.; investigation, J.P.N.; data curation, J.P.N.; writing—original draft preparation J.P.N.; writing—review and editing, J.P.N., J.S.L., S.R.; visualization, J.P.N., J.S.L., S.R.; supervision, J.S.L., S.R.; project administration, J.S.L., S.R.; funding acquisition, J.S.L., S.R. All authors have read and agreed to the published version of the manuscript.
Funding
This research was funded by NSERC Engage and Engage Plus grants in conjunction with Mowi Canada West and a Vancouver Island University VIURAC grant. Nowlan was supported by a Ontario Veterinary College Graduate Scholarship.
Acknowledgments
Various people and groups deserve acknowledgements, including aquaculture companies Mowi Canada West (MCW) and Grieg Seafoods BC Ltd. (GS) for providing tenacibaculosis relevant data. Specific acknowledgements go to Jaramar Balmori-Cedeño (MCW) and Tim Hewison (GS BC Ltd.) for being the main point of contact between the authors and the aquaculture companies.
Conflicts of Interest
The authors declare no conflict of interest.
Appendix A
Table A1.
Complete genome characteristics among members of the genus Tenacibaculum. The species, strain or isolate designation, sequence length, GC%, number of genes, number of proteins, and the submission info are described. The domain name and constant directory for all inquiries is ‘https://www.ncbi.nlm.nih.gov/assembly/GCF_’, while the unique directory is below. No plasmids were described for any Tenacibaculum species. NA = Not available.
Table A1.
Complete genome characteristics among members of the genus Tenacibaculum. The species, strain or isolate designation, sequence length, GC%, number of genes, number of proteins, and the submission info are described. The domain name and constant directory for all inquiries is ‘https://www.ncbi.nlm.nih.gov/assembly/GCF_’, while the unique directory is below. No plasmids were described for any Tenacibaculum species. NA = Not available.
| Species | Strain or Isolate | Length (bp) | GC% | Genes | Proteins | Submission Info |
| T. agarivorans | HZ1T | 5,638,422 | 30.9 | 4605 | 4504 | Submitted 2017. Unique Directory: 001936575.1 |
| T. aiptasiae | a4 | 3,916,796 | 30.1 | 3625 | 3550 | Submitted 2019. Unique Directory: 008806755.1 |
| T. adriaticum | DSM 18961 | 3,211,939 | 31.2 | 2925 | 2852 | Submitted 2019. Unique Directory: 008124875.1 |
| T. dicentrarchi | AY7486TD | 2,918,253 | 31.5 | 2560 | 2430 | Submitted 2015. Unique Directory: 001483385.1 |
| T. dicentrarchi | TNO021 | 2,663,584 | 30.2 | NA | 2296 | Submitted 2017. Unique Directory: 900239305.1 |
| T. dicentrarchi | TD3509 | 2,677,431 | 30.2 | NA | 2314 | Submitted 2017. Unique Directory: 900239455.1 |
| T. dicentrarchi | TdChD05 | 2,804,033 | 30.1 | NA | 2424 | Submitted 2017. Unique Directory: 900239345.1 |
| T. discolor | DSM 18842 | 3,376,020 | 31.6 | 3140 | 3067 | Submitted 2018. Unique Directory: 003664185.1 |
| T. discolor | IMLK18 | 3,388,982 | 31.6 | 3062 | 2986 | Submitted 2018. Unique Directory: 003852675.1 |
| T. finnmarkense | TFHFJ/HFJT | 2,955,007 | 31 | 2669 | 2544 | Submitted 2017. Unique Directory: 900239485.1 |
| T. finnmarkense | TNO006 | 2,923,287 | 30.9 | 2606 | 2497 | Submitted 2017. Unique Directory: 900239185.1 |
| T. finnmarkense genomovar finnmarkense | TNO072 | 2,889,923 | 31.1 | 2582 | 2489 | Submitted 2020. Unique Directory: 015143405.1 |
| T. finnmarkense genomovar finnmarkense | TNO031 | 2,904,495 | 30.9 | 2599 | 2509 | Submitted 2020. Unique Directory: 015143545.1 |
| T. finnmarkense genomovar finnmarkense | TNO037 | 2,899,672 | 30.9 | 2594 | 2507 | Submitted 2020. Unique Directory: 015143515.1 |
| T. finnmarkense genomovar finnmarkense | TNO053 | 2,979,535 | 30.9 | 2658 | 2567 | Submitted 2020. Unique Directory: 015143495.1 |
| T. finnmarkense genomovar ulcerans | TNO010 | 2,815,918 | 31.1 | 2495 | 2417 | Submitted 2020. Unique Directory: 900239495.1 |
| T. finnmarkense genomovar ulcerans | TNO068 | 2,793,080 | 31.1 | 2445 | 2363 | Submitted 2020. Unique Directory: 015143385.1 |
| T. finnmarkense genomovar ulcerans | TNO008 | 2,897,863 | 31 | 2544 | 2459 | Submitted 2020. Unique Directory: 015143605.1 |
| T. finnmarkense genomovar ulcerans | TNO026 | 2,927,302 | 30.9 | 2573 | 2481 | Submitted 2020. Unique Directory: 015143565.1 |
| Species | Strain or Isolate | Length (bp) | GC% | Genes | Proteins | Submission Info |
| T. finnmarkense genomovar ulcerans | TNO032 | 2,886,511 | 30.9 | 2504 | 2427 | Submitted 2020. Unique Directory: 015143585.1 |
| T. finnmarkense genomovar ulcerans | TNO075 | 2,957,512 | 31 | 2647 | 2555 | Submitted 2020. Unique Directory: 015143375.1 |
| T. gallaicum | DSM 18841 | 3,423,857 | 31.7 | 3117 | 3032 | Submitted 2018. Unique Directory: 003387615.1/ |
| T. litoreum | HSC 22 | 3,376,594 | 31.9 | 3085 | 3004 | Submitted 2018. Unique Directory: 003937815.1 |
| T. lutimaris | DSM 16505 | 2,869,467 | 31.9 | 2661 | 2592 | Submitted 2018. Unique Directory: 003610735.1/ |
| T. holothuriorum | S2-2 | 3,147,654 | 31 | 2944 | 2879 | Submitted 2017. Unique Directory: 002120225.1 |
| T. jejuense | KCTC 22618T | 4,614,879 | 30.3 | 4060 | 3970 | Submitted 2017. Unique Directory: 900198195.1 |
| T. maritimum | NBRC 15946 | 3,225,035 | 31.8 | NA | NA | Submitted 2013. Unique Directory: 000509405.1 |
| T. maritimum | TM-KORJJ | 3,333,272 | 32 | NA | 2799 | Submitted 2019. Unique Directory: 004803875.1 |
| T. maritimum | NCIMB 2154T | 3,435,971 | 32 | 3060 | 2937 | Submitted 2017. Unique Directory: 900119795.1 |
| T. maritimum | CVI1001048 | 3,218,447 | 31.9 | NA | 2731 | Submitted 2020. Unique Directory: 902705265.1 |
| T. maritimum | Aq16-88 | 3,192,471 | 31.9 | NA | 2722 | Submitted 2020. Unique Directory: 902705275.1 |
| T. maritimum | JIP 10/97 | 3,323,873 | 31.9 | NA | 2861 | Submitted 2020. Unique Directory: 902705285.1 |
| T. maritimum | Aq16-85 | 3,194,496 | 31.9 | NA | 2727 | Submitted 2020. Unique Directory: 902705305.1 |
| T. maritimum | DPIF 89/3001-6.2 | 3,428,390 | 31.8 | NA | 2990 | Submitted 2020. Unique Directory: 902705315.1 |
| T. maritimum | NAC SLCC MFF | 3,342,171 | 31.8 | NA | 2901 | Submitted 2020. Unique Directory: 902705345.1 |
| T. maritimum | DPIF 89/0239-1 | 3,345,031 | 31.9 | NA | 2914 | Submitted 2020. Unique Directory: 902705355.1 |
| T. maritimum | 902 | 3,331,375 | 31.8 | NA | 2900 | Submitted 2020. Unique Directory: 902705365.1 |
| T. maritimum | Aq16-89 | 3,192,842 | 31.9 | NA | 2719 | Submitted 2020. Unique Directory: 902705375.1 |
| T. maritimum | JIP 32/91-4 | 3,436,303 | 31.8 | NA | 3008 | Submitted 2020. Unique Directory: 902705385.1 |
| T. maritimum | FS08(1) | 3,390,347 | 31.8 | NA | 2954 | Submitted 2020. Unique Directory: 902705395.1 |
| T. maritimum | FC | 3,496,634 | 32 | NA | 3076 | Submitted 2020. Unique Directory: 902705415.1 |
| T. maritimum | NCIMB 2158 | 3,358,090 | 31.9 | NA | 2900 | Submitted 2020. Unique Directory: 902705425.1 |
| T. maritimum | JIP 46/00 | 3,360,335 | 31.9 | NA | 2890 | Submitted 2020. Unique Directory: 902705435.1 |
| T. maritimum | UCD SB2 | 3,298,676 | 31.9 | NA | 2811 | Submitted 2020. Unique Directory: 902705445.1 |
| T. maritimum | P2-27 | 3,358,477 | 31.8 | NA | 2903 | Submitted 2020. Unique Directory: 902705465.1 |
| Species | Strain or Isolate | Length (bp) | GC% | Genes | Proteins | Submission Info |
| T. maritimum | P4-45 | 3,319,068 | 31.8 | NA | 2905 | Submitted 2020. Unique Directory: 902705495.1 |
| T. maritimum | USC SP9.1 | 3,381,085 | 31.8 | NA | 2940 | Submitted 2020. Unique Directory: 902705515.1 |
| T. maritimum | USC SE30.1 | 3,525,105 | 31.8 | NA | 3079 | Submitted 2020. Unique Directory: 902705525.1 |
| T. maritimum | P1-39 | 3,242,808 | 31.8 | NA | 2776 | Submitted 2020. Unique Directory: 902705535.1 |
| T. maritimum | P2-48 | 3,420,594 | 31.9 | NA | 2972 | Submitted 2020. Unique Directory: 902705555.1 |
| T. maritimum | TFA4 | 3,350,132 | 31.8 | NA | 2927 | Submitted 2020. Unique Directory: 902705565.1 |
| T. mesophilum | DSM 13764 | 3,286,619, 3,358,580, 3,344,178 | 31.6 | 3008 | 2935 | Submitted 2016, 2018 & 2019. Unique Directory: 900129475.1 |
| T. mesophilum | ECR | 3,405,417 | NA | NA | NA | Submitted 2020. Unique Directory: 011952225.1 |
| T. mesophilum | HMG1 | 3,419,821 | NA | NA | NA | Submitted 2015. Unique Directory: 001027945.1 |
| T. ovolyticum | DSM 18103 | 4,122,291 | 29.6 | 3700 | 3606 | Submitted 2013. Unique Directory: 000430545.1 |
| T. ovolyticum | da5A-8 | 4,148,120 | 29.5 | 3789 | 3672 | Submitted 2016. Unique Directory: 001641405.1 |
| T. soleae | UCD-KL19 | 3,006,997 | 30.2 | 2814 | 2732 | Submitted 2016. Unique Directory: 001693415.1/ |
| T. todarodis | LPB0136T | 3,0192,13 | 30.7 | 2723 | 2656 | Submitted 2016. Unique Directory: 001889045.1 |
| T. skagerrakense | DSM 14836 | 3,712,900 | 31.3 | 3314 | 3247 | Submitted 2019. Unique Directory: 004345825.1 |
| T. caenipelagi | CECT 8283 | 3,266,771 | 31.9 | 3080 | 3003 | Submitted 2019. Unique Directory: 004363005.1/ |
| T. piscium | TNO020T | 2,452,854 | NA | NA | NA | Submitted 2020. Unique Directory: 900239505.1 |
| T. piscium | TNO070 | 2,480,547 | NA | 2246 | 2163 | Submitted 2020. Unique Directory: 015143395.1 |
| T. piscium | TNO063 | 2,483,613 | NA | 2247 | 2161 | Submitted 2020. Unique Directory: 015143475.1 |
| T. piscium | TNO066 | 2,505,087 | NA | 2291 | 2203 | Submitted 2020. Unique Directory: 015143365.1 |
| T. piscium | TNO064 | 2,559,338 | NA | 2343 | 2252 | Submitted 2020. Unique Directory: 015143465.1 |
Appendix B
Table A2.
Tenacibaculum species description: species, strain or isolate, location, source of collection, size (µm), gliding motility (+/−), temperature range and optimum (°C), pH range and optimum, NaCl range and optimum (% w/v) and enzymatic nitrate reduction (+/−). All entries were Gram-negative, composed of rod-shaped bacteria, lacked a flagellum, and were either beige, yellow, or green. All entries tested for catalase were positive and all entries tested for oxidase were positive except [136,141]. + = Yes or positive, − = No or negative, NA = Not available.
Table A2.
Tenacibaculum species description: species, strain or isolate, location, source of collection, size (µm), gliding motility (+/−), temperature range and optimum (°C), pH range and optimum, NaCl range and optimum (% w/v) and enzymatic nitrate reduction (+/−). All entries were Gram-negative, composed of rod-shaped bacteria, lacked a flagellum, and were either beige, yellow, or green. All entries tested for catalase were positive and all entries tested for oxidase were positive except [136,141]. + = Yes or positive, − = No or negative, NA = Not available.
| Species | Strain or Isolate | Location | Source of Collection | Cell Size (W × L) µm | Gliding Motility (+/−) | Temperature Range and Optimum (°C) | pH Range and Optimum | NaCl Range and Optimum % w/v | Nitrate Reduction (+/−) | Reference |
| T. adriaticum | B390T | Adriatic Sea, near Rovinj, Croatia | Schizobrachiella sanguinea (Bryozoan) | 0.3 × 1.5–3.5 | + | 5–34 18–26 | 5–9 7 | 1–5 1–2 | − | [145] |
| T. aestuarii | SMK-4T | Saemankum, Pyunsan, Korea | Tidal flat sediment | 0.3 × 2.0–3.5 | + | 9–41 30–37 | 5.5-NA 7.5–8.5 | >0–7 NA | − | [51] |
| T. aestuariivivum | JDTF-79T | Yellow Sea, Jindo, Korea | Tidal flat sediment | 0.2–0.5 × 0.8–6.0 | − | 4–28 25 | 5.5-NA 7–8 | 0–5 2 | - | [146] |
| T. agarivorans | HZ1T | Weihai, China | Porphyra yezoensis Ueda (Marine algae) | 0.3–0.5 × 1–4 | − | 15–37 28 | 6.5–8 7 | 1–5 2–3 | + | [147] |
| T. aiptasiae | a4T | Aquarium, Pingtung, Taiwan | Aiptasia pulchella (Sea anemone) | 0.4–0.6 × 2–7 | + | 8–40 30–35 | 7–9 8 | 1–10 3–4 | − | [53] |
| T. amylolyticum | MBIC 4355T | Palau, Japan | Avrainvillea riukiuensisi (Green macroalgae) | 0.4 × 2–5 | + | 15–40 30 | 5.3–8.3 NA | NA NA | NA | [41] |
| T. ascidiaceicola | RSS1–6T | East Sea, Gangneung, Korea | Halocynthia aurantium (Golden sea squirt) | 0.2–0.4 × 0.7–10 | + | 10–40 30–37 | 5-NA 7–8 | 0.5–8 1–4 | + | [148] |
| T. caenipelagi | HJ-26MT | Boseong South Sea, Korea | Tidal flat sediment | 0.2–0.4 × 0.9–10 | + | 10–37 25–30 | 5.5-NA 7–8 | 0.5–7 2 | + | [149] |
| T. crassostreae | JO-1T | Wan Island, Jeonnam Province, Korea | Crassostrea gigas (Pacific oyster) | 0.3 × 1.5–5.0 | + | 15–37 30 | 6–7 NA | 3–7 NA | − | [150] |
| T. dicentrarchi | 35/09T | Spain | Dicentrarchus labrax L. (European sea bass) | 0.3–0.5 × 2–40 | + | 4–30 22–25 | 6–9 7 | 1.2–3.5 2.45 | NA | [57] |
| QCR27, QCR29, QCR41, QCR46 | Quintay Bay, Chile | Genypterus chilensis (Red conger eel) | NA | + | NA | NA | NA | NA | [98] | |
| NA | North Pacific and Antarctic | Orcinus orca (Killer whale [Free-ranging]) | NA | NA | NA | NA | NA | NA | [60] | |
| TdCh01-TdCh06 | Fish farm, Chile | Salmo salar (Atlantic Salmon) | NA | NA | NA | NA | NA | NA | [14] | |
| Species | Strain or Isolate | Location | Collected from | Cell Size (W × L) µm | Gliding Motility (+/−) | Temperature Range and Optimum (°C) | pH Range and Optimum | NaCl Range and Optimum % w/v | Nitrate Reduction (+/−) | Reference |
| T. dicentrarchi | TCFB 4515, TCFB 4610, TCFB 4514, TCFB 4650, TCFB 4647, TCFB 4693, TCFB 4695 | Tasmania | Salmo salar (Atlantic salmon) | NA | NA | NA | NA | NA | NA | [76] |
| T. discolor | LL04 11.1.1T | Galicia, Spain | Solea senegalensis (Sole) | 0.5 × 2–30 | + | 14–38 25–30 | 6–8 NA | 1.2–3.5 NA | + | [13] |
| NA | Northern Portugal | S. maximus & S. senegalensis (Turbot & Sole) | NA | NA | NA | NA | NA | NA | [151] | |
| T. finnmarkense | HFJT | Finnmark, Norway | Salmo salar (Atlantic salmon) | 0.5 × 5–25 | + | 2–20 16 | 4–9 6–8 | 1.8–3.5 NA | NA | [101] |
| TNO006, TNO010 | Norway | Salmo salar (Atlantic salmon) | NA | NA | NA | NA | NA | NA | [64] | |
| SC-T20 | Chile | Oncorhynchus kisutch (Coho salmon) | NA | − | 5–20 | 5–10 | 0–1 | + | [71] | |
| T. gallacium | A37.1T | Galicia, Spain | Seawater (In Psetta maxima [Turbot] holding tank) | 0.5 × 2–30 | + | 14–38 25–30 | 6–8 NA | 1.2–3.5 NA | + | [13] |
| T. geojense | YCS-6T | South Sea, Geoje, Korea | Seawater | 0.2–0.4 × 2–9 | + | 15–40 30 | 5.5-NA 7–8 | 0–7 2 | - | [152] |
| T. haliotis | RA3–2T | Jeju island, Korea | Haliotis discus hannai (Abalone) | 0.1–0.4 × 0.4–10 | + | 10–25 20 | 5-NA 6.5–7.5 | 1–4 2–3 | + | [118] |
| T. halocynthia | P-R2A1–2T | South Sea, Korea | Halocynthia roretzi (Sea squirt) | 0.3–0.6 ×1–10 | + | 4–31 25–28 | 6-NA 7–8 | 0.5–4 2 | − | [54] |
| T. holothuriorum | S2–2T | Xiapu, Fujian province, China | Apostichopus japonicus (Sea cucumber) | 0.4–0.7 × 1.7–4.0 | + | 15–36 25–32 | 6–9 7 | 2–7 3–5 | − | [153] |
| T. insulae | JDTF-31T | Yellow Sea, Jindo, Korea | Tidal flat sediment | 0.2–0.4 × 0.8–10 | − | 10–28 25 | 6-NA 7–8 | 1.5–4 2 | + | [154] |
| T. jejuense | CNURIC013T | Jeju Island, Korea | Seawater | 0.3–0.6 × 2.5–3.0 | − | 15–35 25–30 | 6–9 7–8 | 1–4 3 | − | [155] |
| T. litoreum | CL-TF13T | Ganghwa, Korea | Tidal flat sediment | 0.3–0.5 × 2–35 | + | 5–40 35–40 | 6–10 NA | 3–5 NA | + | [156] |
| NA | Shrimp Genetic Improvement Center, Surat Thani, Thailand | Penaeus monodon (Black tiger shrimp) | NA | NA | NA | NA | NA | NA | [157] | |
| T. litopenaei | B-IT | Pingtung County, southern Taiwan | Litopenaeus vannamei (Pacific white shrimp) | 0.3–0.5 × 2–10 | + | NA 28–37 | NA 7–8 | 2–10 3 | − | [52] |
| Species | Strain or Isolate | Location | Collected from | Cell Size (W × L) µm | Gliding Motility (+/−) | Temperature Range and Optimum (°C) | pH Range and Optimum | NaCl Range and Optimum % w/v | Nitrate Reduction (+/−) | Reference |
| T. lutimaris | TF-26T, TF-28, TF-42, TF-53 | Daepo Beach, Yellow Sea, Korea | Tidal flat sediment | 0.5 × 2–10 | + | 10–39 30–37 | NA 7–8 | NA 2–3 | + | [158] |
| T. maritimum | R2 = NCMB 2514T | Ondo, Hiroshima Prefecture, Japan | Pagrus major (Red sea bream) | 0.5 × 2–30 | + | 15–34 30 | NA NA | 1.2-NA NA | + | [50] |
| Ch-2402 | Region X, Los Lagos, Chile | Salmo salar (Atlantic salmon) | NA | + | 8–30 NA | NA | NA | NA | [87] | |
| NA | Campbell River, BC, Canada | Lepeophtheirus salmonis (Sea lice) | 0.5 × 2–28 | + | NA | NA | NA | − | [58] | |
| 1.SGK23.LV, 1.SGK4.LV, 1.PROPA9.TS, 1.PROPB4.LV, 2.XL1.LV, 2.XL2.LV, 4.SFK2.LV, 4.SFK3.LV, 4.SFK4.LV, 3.KAN3.LV, 3.KAN4.LV | Greece | Dicentrarchus labrax and Sparus aurata (Sea bass and Sea bream) | NA | NA | NA | NA | NA | NA | [159] | |
| AB078057.1 | Irish Sea, Ireland | Pelagia noctiluca (Mauve stingers) | NA | NA | NA | NA | NA | NA | [59] | |
| TCFB 4540 TCFB 4575 | Tasmania | Salmo salar (Atlantic salmon) | NA | NA | NA | NA | NA | NA | [76] | |
| TNO091, TNO092 | Norway | Salmo salar (Atlantic salmon) | NA | NA | NA | NA | NA | NA | [42] | |
| NLF-15 | Norway | Cyclopterus lumpus L. (Lumpsucker) | NA × 2–30 | NA | NA | NA | NA | NA | [86] | |
| T. mesophilum | MBIC 1140T | Numazu, Japan | Halichondria okadai (Sponge) | 0.5 × 1.5–10 | + | 15–40 28–35 | 5.3–9 NA | NA | − | [41] |
| MBIC 1140T | Shrimp hatchery, Hainan, China | Litopenaeus vannamei (Pacific white shrimp) | NA | NA | NA | NA | NA | NA | [110] | |
| Species | Strain or Isolate | Location | Collected from | Cell Size (W × L) µm | Gliding Motility (+/−) | Temperature Range and Optimum (°C) | pH Range and Optimum | NaCl Range and Optimum % w/v | Nitrate Reduction (+/−) | Reference |
| T. mesophilum | NR_113841 | Plumb Beach, New York, USA | Beach sediment | NA | NA | NA | NA | NA | NA | [109] |
| T. piscium | TNO020T, TNO022, TNO064, TNO063, TNO066, TNO070, TNO077 | Norway, Various aquaculture sites | Salmo salar (Atlantic salmon), Oncorhynchus mykiss (Rainbow trout), Symphodus melops (Corkwing wrasse) | 0.5 × 6–20 | + | 4–25 15–22 | 4–10 NA | NA | − | [72] |
| T. ovolyticum | EKD002 | Austevoll Aquaculture Research Station, Norway | Hippoglossus hippoglossus L (Atlantic halibut (Eggs)) | 0.2 × 2–20 | + | 4–25 NA | NA | 1–3 NA | + | [106] |
| DSM 18103T | Kochi, Japan | Seawater (344m deep) | NA | NA | 4–25 10–20 | NA | NA | NA | [103] | |
| Clone SE1 (AY771741) | USA | Homarus americanus (American lobster) | NA | NA | NA | NA | NA | NA | [104] | |
| T. sediminilitoris | YKTF-3T | Yellow Sea, Korea | Tidal flat sediment | 0.1–0.3 × 0.4–10 | + | 4–37 30 | 5.5-NA 7–8 | 0.5–8 2–4 | − | [160] |
| T. singaporense | TLL-A1T | Singapore | Lates calcarifer (Asian seabass) | NA | + | 20–45 NA | 5–9 NA | 1–7 NA | + | [161] |
| T. skagerrakense | D28T, D30T | Skagerrak, Denmark | Pelagic Zone, Seawater | 0.5 × 2–15 | - | 10–40 25–37 | 6–9 NA | 0.9–5.3 NA | + | [162] |
| T. soleae | LL04 12.1.7T | Galicia, Spain | Solea senegalensis (Sole) | 0.5 × 2–25 | + | 14–30 22–25 | 6–8 NA | 1.8–3.5 NA | NA | [115] |
| NA | Northern Portugal | S. maximus & S. senegalensis (Turbot & Sole) | NA | NA | NA | NA | NA | NA | [151] | |
| TS21-10, TS25-10, TS27-10, TS31-10, TS33-10, TS37-10 | Spain | Dicentrarchus labrax L. (European sea bass) | NA | + | 15–25 NA | NA | NA | + | [75] | |
| a11, a47, a50, a216, a410, a462, a467, a469 | Spain | Dicologoglossa cuneata (Wedge sole) & Scophthalmus rhombus (L.) (Brill) | NA | + | 15–25 NA | NA | 1.8–3.5 NA | + | [15] | |
| UCD-KL19 | NA | Zostera marina (Seagrass leaf) | NA | NA | NA | NA | NA | NA | [163] | |
| KY765582 | San Teodoro Lagoon, Sardinia, Italy | Crassostrea gigas (Pacific oyster) | NA | NA | NA | NA | NA | NA | [116] | |
| Species | Strain or Isolate | Location | Collected from | Cell Size (W × L) µm | Gliding Motility (+/−) | Temperature Range and Optimum (°C) | pH Range and Optimum | NaCl Range and Optimum % w/v | Nitrate Reduction (+/−) | Reference |
| T. soleae | TCFB 4577 | Tasmania | Salmo salar (Atlantic salmon) | NA | NA | NA | NA | NA | NA | [76] |
| LL04 12.1.7T | Canada/USA | Homarus americanus (American lobster) | NA | NA | NA | NA | NA | NA | [104] | |
| T. todarodis | LPB0136T | East Sea, Korea | Todarodes pacificus (Squid) | 0.5–0.6 × 1.5–2.3 | + | 4–25 25 | 5–9 7 | 2–4 NA | − | [164] |
| T. xiamenense | WJ-1T | Xiamen, Fujian province, China | Seawater | 0.2–0.4 × 2–9 | + | 16–38 28–30 | 6–9 7–8 | 2–4 3 | + | [165] |
| NA | Quintay Marine Research Station, Chile | Genypterus chilensis (Red conger eel) | NA | NA | NA | NA | NA | NA | [166] |
Appendix C
Table A3.
Known hosts of T. maritimum. NA = Not available, ‘Reported by’ indicates that the original reference could not be collected.
Table A3.
Known hosts of T. maritimum. NA = Not available, ‘Reported by’ indicates that the original reference could not be collected.
| Bacterial Isolate (I) | Host Common Name | Host Scientific Name | Reference |
|---|---|---|---|
| IFO 15946 | Mauve stingers | Pelagia noctiluca | [59] |
| Ch-2402 | Atlantic salmon | Salmo salar | [87] |
| NA | Sea lice | Lepeophtheirus salmonis | [58] |
| SGK, PROP, XL, SFK, KAN | European sea bass | Dicentrarchus labrax | [159] |
| PC538.1, PC560.1, DOA202, 342101 | Gilthead sea bream | Sparus aurata | [93] |
| AF37.1, AF39.1 | Blackspot sea bream | Pagellus bogaraveo | Reported by [35] |
| NA | Chinook salmon | Oncorhynchus tschawytscha | [23] |
| V2 | White seabass | Atractoscion nobilis | [23] |
| V6 | Northern anchovy | Engraulis mordax | [23] |
| V5 | Pacific sardine | Sardinops sagax | [23] |
| NA | Rainbow trout | Oncorhynchus mykiss | [26] |
| NA | Striped trumpeter | Latris lineata | [26] |
| NA | Greenback flounder | Rhombosolea tapirina | [26] |
| ACC6.1, ACA33.1 | Senegalese sole | Solea senegalensis (Kaup) | [167] |
| PC424.1 | Turbot | Scophthalmus maximus | [115] |
| R2 | Black sea bream | Acanthopagrus schlegeli | [50] |
| R2 | Rock bream | Oplegnathus fasciatus | [50] |
| R2 | Red Sea Bream | Pagrus major | [50] |
| NLF-15 | Lumpsucker | Cyclopterus lumpus L. | [86] |
| NUF1128, NUF1129* | Japanese flounder | Paralichthys olivaceus | [168] |
| NA | Sand tiger shark | Carcharias taurus | [169] |
| NUF112 | Japanese puffer fish | Takifugu rubripe | [170] |
| DSM No. 17995 | Broad-nosed pipefish | Syngnathus typhle | [171] |
| NA | Thin lipped grey mullet | Mugil capito | [172] |
| DBA-4a | Yellowtail | Seriola quinqueradiata | [173] |
| NCMB 2158 | Dover sole | Solea solea | [49] |
| NA | Tub gurnard | Chelidonichthys lucerna | [25] |
| NA | Yellow-eye mullet | Aldrichetta forsteri | Reported by [9] |
| NA | Black damselfish | Neoglyphieodon melas | [100] |
| NA | Picasso triggerfish | Rhinecanthus assasi | [100] |
| NA | Sharp-snouted bream | Diplodus puntazzo | Reported by [48] |
| NA | White bream | Diplodus sargus | Reported by [48] |
| NA | Sixtoothed bream | Dentex dentex | Reported by [48] |
| NA | Green lipped abalone | Haliotis laevigata | [117] |
| A4, A5 | Greater amberjack | Seriola dumerili | [174] |
| A6 | White spotted conger | Conger myriaster | [174] |
| B5 | Chinese emperor | Lethrinus haematopterus | [174] |
| Aq16-85, Aq16-88, Aq16-89 | Orbicular batfish | Platax orbicularis | [175] |
References
- DFO. Farming the Seas—A Timeline. Available online: http://www.dfo-mpo.gc.ca/aquaculture/sector-secteur/frm-tml-eng.htm (accessed on 20 November 2018).
- DFO. Farmed Salmon. Available online: http://www.dfo-mpo.gc.ca/aquaculture/sector-secteur/species-especes/salmon-saumon-eng.htm (accessed on 20 November 2018).
- DFO. Farmed Trout. Available online: http://www.dfo-mpo.gc.ca/aquaculture/sector-secteur/species-especes/trout-truite-eng.htm (accessed on 20 November 2018).
- Hewison, T. Yellow mouth–the Grieg Seafood experience in BC. In Tenacibaculum 2: Current Knowledge and Future Directions Workshop; Maritime Heritage Centre: Campbell River, BC, Canada, 2019. [Google Scholar]
- Hewison, T.; Ness, M. Tenacibaculum maritimum–A fish farm perspective. In Tenacibaculum Maritimum: Current Knowledge & Future Directions. Workshop Report and Synopsis; Maritime Heritage Centre: Campbell River, BC, Canada, 2015; Available online: http://docplayer.net/37754558-Tenacibaculum-maritimum-current-knowledge-future-directions.html (accessed on 2 December 2020).
- Frisch, K.; Småge, S.B.; Vallestad, C.; Duesund, H.; Brevik, Ø.J.; Klevan, A.; Olsen, R.H.; Sjaatil, S.T.; Gauthier, D.; Brudeseth, B.; et al. Experimental induction of mouthrot in Atlantic salmon smolts using Tenacibaculum maritimum from Western Canada. J. Fish Dis. 2018, 41, 1–12. [Google Scholar] [CrossRef]
- Frisch, K.; Småge, S.B.; Johansen, R.; Duesund, H.; Brevik, Ø.J.; Nylund, A. Pathology of experimentally induced mouthrot caused by Tenacibaculum maritimum in Atlantic salmon smolts. PLoS ONE 2018, 13, e0206951. [Google Scholar] [CrossRef] [PubMed]
- International Council for the Exploration of the Sea (ICES). Tenacibaculum maritimum, Causal Agent of Tenacibaculosis in Marine Fish. 2019. Available online: https://www.ices.dk/sites/pub/Publication%20Reports/Disease%20Leaflets/IDDisease_70.pdf (accessed on 2 December 2020).
- Avendaño-Herrera, R.; Toranzo, A.E.; Magariños, B. Tenacibaculosis infection in marine fish caused by Tenacibaculum maritimum: A review. Dis. Aquat. Org. 2006, 71, 255–266. [Google Scholar] [CrossRef] [PubMed]
- Faílde, L.D.; Losada, A.P.; Bermúdez, R.; Santos, Y.; Quiroga, M.I. Evaluation of immune response in turbot (Psetta maxima L.) tenacibaculosis: Haematological and immunohistochemical studies. Microb. Pathog. 2014, 76, 1–9. [Google Scholar] [CrossRef] [PubMed]
- Vold, V. Challenge Experiment with Field Isolates of Tenacibaculum spp. Isolated from Moribound Atlantic Salmon (Salmo salar L). Master’s Thesis, University of Bergen, Bergen, Norway, June 2014. [Google Scholar]
- Piñeiro-Vidal, M.; Centeno-Sestelo, G.; Riaza, A.; Santos, Y. Isolation of pathogenic Tenacibaculum maritimum-related organisms from diseased turbot and sole cultured in the Northwest of Spain. Bull. Eur. Assoc. Fish. Pathol. 2007, 27, 29–35. [Google Scholar]
- Piñeiro-Vidal, M.; Riaza, A.; Santos, Y. Tenacibaculum discolor sp. nov. and Tenacibaculum gallaicum sp. nov., isolated from sole (Solea senegalensis) and turbot (Psetta maxima) culture systems. Int. J. Syst. Evol. Microbiol. 2008, 58, 21–25. [Google Scholar] [CrossRef]
- Avendaño-Herrera, R.; Irgang, R.; Sandoval, C.; Moreno-Lira, P.; Houel, A.; Duchaud, E.; Poblete-Morales, M.; Nicolas, P.; Ilardi, P. Isolation, characterization and virulence potential of Tenacibaculum dicentrarchi in salmonid cultures in Chile. Transbound. Emerg. Dis. 2016, 63, 121–126. [Google Scholar] [CrossRef]
- López, J.R.; Piñeiro-Vidal, M.; García-Lamas, N.; de la Herran, R.; Navas, J.I.; Hachero-Cruzado, I.; Santos, Y. First isolation of Tenacibaculum soleae from diseased cultured wedge sole, Dicologoglossa cuneata (Moreau), and brill, Scophthalmus rhombus (L.). J. Fish Dis. 2010, 33, 273–278. [Google Scholar] [CrossRef]
- Olsen, A.B.; Nilsen, H.; Sandlund, N.; Mikkelsen, H.; Sørum, H.; Colquhoun, D.J. Tenacibaculum sp. associated with winter ulcers in sea-reared Atlantic salmon Salmo salar. Dis. Aquat. Organ. 2011, 94, 189–199. [Google Scholar] [CrossRef]
- DFO. Aquaculture Production Quantities and Value. Available online: https://www.dfo-mpo.gc.ca/stats/aqua/aqua-prod-eng.htm (accessed on 7 October 2020).
- Kamaitis, M.; (Mowi Canada West, Campbell River, BC, Canada). Personal Communication, 2019.
- List of Veterinary Drugs that Are Authorized for Sale by Health Canada for Use in Food-Producing Aquatic Animals-Health Canada. Available online: https://www.canada.ca/en/health-canada/services/drugs-health-products/veterinary-drugs/legislation-guidelines/policies/list-veterinary-drugs-that-authorized-sale-health-canada-use-food-producing-aquatic-animals.html (accessed on 11 June 2020).
- BC Salmon Farmers Association. Salmon Aquaculture in BC. 2016. Available online: https://www2.gov.bc.ca/assets/gov/farming-natural-resources-and-industry/agriculture-and-seafood/fisheries-and-aquaculture/minister-or-agriculture-s-advisory-council-on-finfish-aquaculture/maacfa-2017-docs/jeremy_dunn_-_bc_salmon_farmers_association.pdf?bcgovtm=2free (accessed on 2 December 2020).
- Schering-Plough Animal Health Corporation. Aquaflor® (Florfenicol) Type A Medicated Article. Technical Bulletin SPAH-AQF-37A. 2007. Available online: https://www.merck-animal-health-usa.com/offload-downloads/aquaflor-florfenicol-now-approved-for-freshwater-reared-salmonids (accessed on 2 December 2020).
- PHARMAQ. ROMET®30. 2014. Available online: https://www.pharmaq.no/sfiles/5/23/5/file/romet_brochure_english_2014.pdf (accessed on 7 December 2020).
- Chen, M.E.; Henry-Ford, D.; Groff, D. Isolation and characterization of Flexibacter maritimus from marine fishes of California. J. Aquat. Anim. Health 1995, 7, 318–326. [Google Scholar] [CrossRef]
- Hilger, I.; Ullrich, S.; Anders, K. A new ulcerative flexibacteriosis-like disease (“yellow pest”) affecting young Atlantic cod Gadus morhua from the German Wadden Sea. Dis. Aquat. Organ. 1991, 11, 19–29. [Google Scholar] [CrossRef]
- Magi, G.; Avendano-Herrera, R.; Magarinos, B.; Toranzo, A.; Romalde, J. First reports of flexibacteriosis in farmed tub gurnard (Chelidonichthys lucernus L.) and wild turbot (Scophthalmus maximus) in Italy. Bull. Eur. Assoc. Fish Pathol. 2007, 2, 177–184. [Google Scholar]
- Handlinger, J.; Soltani, M.; Percival, S. The pathology of Flexibacter maritimus in aquaculture species in Tasmania, Australia. J. Fish Dis. 1997, 20, 159–168. [Google Scholar] [CrossRef]
- Abd El-Galil, M.; Hashem, M. Epidemiological and bacteriological studies on tenacibaculosis in some Red Sea fishes, Egypt. Int. J. Environ. Sci. Eng. 2012, 3, 25–32. [Google Scholar]
- McBride, M.J. The family Flavobacteriaceae. In The Prokaryotes, 4th ed.; Rosenberg, E., DeLong, E.F., Lory, S., Stackebrandt, E., Thompson, F., Eds.; Springer: Berlin/Heidelberg, Germany, 2014. [Google Scholar]
- Bergey, D.H.; Harrison, F.C.; Breed, R.S.; Hammer, B.W.; Huntoon, F.M. Bergey’s Manual of Determinative Bacteriology, 1st ed.; Williams and Wilkins Co.: Baltimore, MD, USA, 1923; pp. 97–117. [Google Scholar]
- McMeekin, T.A.; Shewan, J.M. Taxonomic strategies for Flavobacterium and related genera. J. App. Bacteriol. 1978, 45, 321–332. [Google Scholar] [CrossRef]
- Bernardet, J.F.; Segers, P.; Vancanneyt, M.; Berthe, F.; Kersters, K.; Vandamme, P. Cutting a Gordian knot: Emended classification and description of the genus Flavobacterium, emended description of the family Flavobacteriaceae, and proposal of Flavobacterium hydatis nom. nov. (basonym, Cytophaga aquatilis Strohl and Tait 1978). Int. J. Sys. Evol. Microbiol. 1996, 46, 128–148. [Google Scholar] [CrossRef]
- Reichenbach, H.; Order, I. Cytophagales. In Bergey’s Manual of Systematic Bacteriology, 3rd ed.; Leadbetter, J., Staley, T., Bryant, M.P., Pfennig, N., Holt, J.G., Eds.; Williams and Wilkins Co.: Baltimore, MD, USA, 1989. [Google Scholar]
- Bernardet, J.F.; Nakagawa, Y.; Holmes, B. Proposed minimal standards for describing new taxa of the family Flavobacteriaceae and emended description of the family. Int. J. Sys. Evol. Microbiol. 2002, 52, 1049–1070. [Google Scholar] [CrossRef]
- Hahnke, R.L.; Harder, J. Phylogenetic diversity of Flavobacteria isolated from the North Sea on solid media. Syst. App. Microbiol. 2013, 36, 497–504. [Google Scholar] [CrossRef]
- Habib, C.; Houel, A.; Lunazzi, A.; Bernardet, J.F.; Olsen, A.B.; Nilsen, H.; Toranzo, A.E.; Castro, N.; Nicolas, P.; Duchaud, E. Multilocus sequence analysis of the marine bacterial genus Tenacibaculum suggests parallel evolution of fish pathogenicity and endemic colonization of aquaculture systems. Appl. Environ. Microbiol. 2014, 80, 5503–5514. [Google Scholar] [CrossRef]
- Peeters, K.; Willems, A. The gyrB gene is a useful phylogenetic marker for exploring the diversity of Flavobacterium strains isolated from terrestrial and aquatic habitats in Antarctica. FEMS Microbial. Lett. 2011, 321, 130–140. [Google Scholar] [CrossRef]
- Starliper, C.E. Bacterial coldwater disease of fishes caused by Flavobacterium psychrophilum. J. Adv. Res. 2011, 2, 97–108. [Google Scholar] [CrossRef]
- Jarau, M.; Di Natale, A.; Huber, P.E.; MacInnes, J.I.; Lumsden, J.S. Virulence of Flavobacterium psychrophilum isolates in rainbow trout Oncorhynchus mykiss (Walbaum). J. Fish Dis. 2018, 41, 1505–1514. [Google Scholar] [CrossRef]
- Declercq, A.M.; Haesebrouck, F.; Van den Broeck, W.; Bossier, P.; Decostere, A. Columnaris disease in fish: A review with emphasis on bacterium-host interactions. Vet. Res. 2013, 44, 27. [Google Scholar] [CrossRef]
- Småge, S.B.; Brevik, Ø.J.; Duesund, H.; Ottem, K.F.; Watanabe, K.; Nylund, A. Tenacibaculum finnmarkense sp. nov., a fish pathogenic bacterium of the family Flavobacteriaceae isolated from Atlantic salmon. Antonie van Leeuwenhoek 2016, 109, 273–285. [Google Scholar] [CrossRef] [PubMed]
- Suzuki, M.; Nakagawa, Y.; Shigeaki, H.; Yamamoto, S. Phylogenetic analysis and taxonomic study of marine Cytophaga -like bacteria: Proposal for Tenacibaculum gen. nov. with Tenacibaculum maritimum comb. nov. and Tenacibaculum ovolyticum comb. nov., and description of Tenacibaculum mesophilum sp. nov. and Tenacibaculum amylolyticum sp. nov. Int. J. Syst. Evol. Microbiol. 2001, 51, 1639–1652. [Google Scholar] [CrossRef] [PubMed]
- Olsen, A.B.; Gulla, S.; Steinum, T.; Colquhoun, D.J.; Nilsen, H.K.; Duchaud, E. Multilocus sequence analysis reveals extensive genetic variety within Tenacibaculum spp. associated with ulcers in sea-farmed fish in Norway. Vet. Microbiol. 2017, 205, 39–45. [Google Scholar] [CrossRef] [PubMed]
- Fernández-Álvarez, C.; Santos, Y. Identification and typing of fish pathogenic species of the genus Tenacibaculum. Appl. Microbiol. Biot. 2018, 102, 9973–9989. [Google Scholar] [CrossRef] [PubMed]
- Pérez-Pascual, D.; Lunazzi, A.; Magdelenat, G.; Rouy, Z.; Roulet, A.; Lopez-Roques, C.; Larocque, R.; Barbeyron, T.; Gobet, A.; Michel, G.; et al. The complete genome sequence of the fish pathogen Tenacibaculum maritimum provides insights into virulence mechanisms. Front. Microbiol. 2017, 8, 1–11. [Google Scholar] [CrossRef]
- Pazos, F.; Santos, Y.; Macias, A.R.; Núñez, S.; Toranzo, A.E. Evaluation of media for the successful culture of Flexibacter maritimus. J. Fish Dis. 1996, 19, 193–197. [Google Scholar] [CrossRef]
- Romero, M.; Avendaño-Herrera, R.; Magariños, B.; Cámara, M.; Otero, A. Acylhomoserine lactone production and degradation by the fish pathogen Tenacibaculum maritimum, a member of the Cytophaga-Flavobacterium-Bacteroides (CFB) group. FEMS Microbiol. Lett. 2010, 304, 131–139. [Google Scholar] [CrossRef]
- Vilar, P.; Faílde, L.D.; Bermudez, R.; Vigliano, F.; Riaza, A.; Silva, R.; Santos, Y.; Quiroga, M.I. Morphopathological features of a severe ulcerative disease outbreak associated with Tenacibaculum maritimum in cultivated sole, Solea senegalensis (L.). J. Fish Dis. 2012, 35, 437–445. [Google Scholar] [CrossRef] [PubMed]
- Salati, F.; Cubadda, C.; Viale, I.; Kusuda, R. Immune response of sea bass Dicentrarchus labrax to Tenacibaculum maritimum antigens. Fish. Sci. 2005, 71, 563–567. [Google Scholar] [CrossRef]
- Bernardet, J.; Campbell, A.; Buswell, J. Flexibacter maritimus is the agent of “black patch necrosis” in Dover sole in Scotland. Dis. Aquat. Org. 1990, 8, 233–237. [Google Scholar] [CrossRef]
- Wakabayashi, H.; Hikida, M.; Masumura, K. Flexibacter maritimus sp. nov., a Pathogen of Marine Fishes. Int. J. Syst. Evol. Bacteriol. 1986, 36, 396–398. [Google Scholar] [CrossRef]
- Jung, S.Y.; Oh, T.K.; Yoon, J.H. Tenacibaculum aestuarii sp. nov., isolated from a tidal flat sediment in Korea. Int. J. Syst. Evol. Microbiol. 2006, 56, 1577–1581. [Google Scholar] [CrossRef]
- Sheu, S.Y.; Lin, K.Y.; Chou, J.H.; Chang, P.S.; Arun, A.B.; Young, C.C.; Chen, W.M. Tenacibaculum litopenaei sp. nov., isolated from a shrimp mariculture pond. Int. J. Syst. Evol. Microbiol. 2007, 57, 1148–1153. [Google Scholar] [CrossRef]
- Wang, J.T.; Chou, Y.J.; Chou, J.H.; Chen, C.A.; Chen, W.M. Tenacibaculum aiptasiae sp. nov., isolated from a sea anemone Aiptasia pulchella. Int. J Syst. Evol. Microbiol. 2008, 58, 761–766. [Google Scholar] [CrossRef]
- Kim, Y.O.; Park, S.; Nam, B.H.; Jung, Y.T.; Kim, D.G.; Jee, Y.J.; Yoon, J.H. Tenacibaculum halocynthiae sp. nov., a member of the family Flavobacteriaceae isolated from sea squirt Halocynthia roretzi. Antonie van Leeuwenhoek 2013, 103, 1321–1327. [Google Scholar] [CrossRef]
- Frisch, K.; Småge, S.B.; Brevik, Ø.J.; Duesund, H.; Nylund, A. Genotyping of Tenacibaculum maritimum isolates from farmed Atlantic salmon in Western Canada. J. Fish Dis. 2017, 41, 131–137. [Google Scholar] [CrossRef]
- Miranda, C.D.; Zemelman, R. Antimicrobial multiresistance in bacteria isolated from freshwater Chilean salmon farms. Sci. Total Environ. 2002, 293, 207–218. [Google Scholar] [CrossRef]
- Piñeiro-Vidal, M.; Gijón, D.; Zarza, C.; Santos, Y. Tenacibaculum dicentrarchi sp. nov., a marine bacterium of the family Flavobacteriaceae isolated from European sea bass. Int. J. Syst. Evol. Microbiol. 2012, 62, 425–429. [Google Scholar] [CrossRef] [PubMed]
- Barker, D.E.; Braden, L.M.; Coombs, M.P.; Boyce, B. Preliminary studies on the isolation of bacteria from sea lice, Lepeophtheirus salmonis, infecting farmed salmon in British Columbia, Canada. Parasitol. Res. 2009, 105, 1173–1177. [Google Scholar] [CrossRef]
- Delannoy, C.M.J.; Houghton, J.D.R.; Fleming, N.E.C.; Ferguson, H.W. Mauve stingers (Pelagia noctiluca) as carriers of the bacterial fish pathogen Tenacibaculum maritimum. Aquaculture 2011, 311, 255–257. [Google Scholar] [CrossRef]
- Hooper, R.; Brealey, J.C.; van der Valk, T.; Alberdi, A.; Durban, J.W.; Fearnbach, H.; Robertson, K.M.; Baird, R.W.; Hanson, M.B.; Wade, P.; et al. Host-derived population genomics data provides insights into bacterial and diatom composition of the killer whale skin. Mol. Ecol. 2019, 28, 484–502. [Google Scholar] [CrossRef] [PubMed]
- Li, J.; Pang, S.; Shan, T.; Su, L. Changes of microbial community structures associated with seedlings of Saccharina japonica at early stage of outbreak of green rotten disease. J. Appl. Phycol. 2020, 32, 1323–1327. [Google Scholar] [CrossRef]
- Piñeiro-Vidal, M.; Pazos, F.; Santos, Y. Fatty acid analysis as a chemotaxonomic tool for taxonomic and epidemiological characterization of four fish pathogenic Tenacibaculum species. Lett. Appl. Microbial. 2008, 46, 548–554. [Google Scholar] [CrossRef]
- Fernández-Álvarez, C.; Torres-Corral, Y.; Saltos-Rosero, N.; Santos, Y. MALDI-TOF mass spectrometry for rapid differentiation of Tenacibaculum species pathogenic for fish. Appl. Microbial. Biotechnol. 2017, 101, 5377–5390. [Google Scholar] [CrossRef]
- Bridel, S.; Olsen, A.B.; Nilsen, H.; Bernardet, J.F.; Achaz, G.; Avendaño-Herrera, R.; Duchaud, E. Comparative genomics of Tenacibaculum dicentrarchi and “Tenacibaculum finnmarkense” highlights intricate evolution of fish-pathogenic species. Genome Biol. Evol. 2018, 10, 452–457. [Google Scholar] [CrossRef]
- Inglis, T.J.; Aravena-Roman, M.; Ching, S.; Croft, K.; Wuthiekanun, V.; Mee, B.J. Cellular fatty acid profile distinguishes Burkholderia pseudomallei from avirulent Burkholderia thailandensis. J. Clin. Microbial. 2003, 41, 4812–4814. [Google Scholar] [CrossRef]
- Pridgeon, J.W.; Yildirim-Aksoy, M.; Klesius, P.H.; Srivastava, K.K.; Reddy, P.G. Attenuation of a virulent Aeromonas hydrophila with novobiocin and pathogenic characterization of the novobiocin-resistant strain. J. Appl. Microbiol. 2012, 113, 1319–1328. [Google Scholar] [CrossRef]
- Sancho, M.; Vela, A.I.; Wiklund, T.; Kostrzewa, M.; Domínguez, L.; Fernández-Garayzábal, J.F. Differentiation of Flavobacterium psychrophilum from Flavobacterium psychrophilum-like species by MALDI-TOF mass spectrometry. Res. Vet. Sci. 2017, 115, 345–352. [Google Scholar] [CrossRef] [PubMed]
- Fernández-Álvarez, C.; Torres-Corral, Y.; Santos, Y. Use of ribosomal proteins as biomarkers for identification of Flavobacterium psychrophilum by MALDI-TOF mass spectrometry. J. Proteom. 2018, 170, 59–69. [Google Scholar] [CrossRef]
- Schäfer, M.O.; Genersch, E.; Fünfhaus, A.; Poppinga, L.; Formella, N.; Bettin, B.; Karger, A. Rapid identification of differentially virulent genotypes of Paenibacillus larvae, the causative organism of American foulbrood of honey bees, by whole cell MALDI-TOF mass spectrometry. Vet. Microbial. 2014, 170, 291–297. [Google Scholar] [CrossRef] [PubMed]
- Lartigue, M.F.; Kostrzewa, M.; Salloum, M.; Haguenoer, E.; Héry-Arnaud, G.; Domelier, A.S.; Stumpf, S.; Quentin, R. Rapid detection of “highly virulent” Group B Streptococcus ST-17 and emerging ST-1 clones by MALDI-TOF mass spectrometry. J. Microbiol. Methods 2011, 86, 262–265. [Google Scholar] [CrossRef] [PubMed]
- Avendaño-Herrera, R.; Collarte, C.; Saldarriaga-Córdoba, M.; Irgang, R. New salmonid hosts for Tenacibaculum species: Expansion of tenacibaculosis in Chilean aquaculture. J. Fish Dis. 2020, 43, 1077–1085. [Google Scholar] [CrossRef]
- Olsen, A.B.; Spilsberg, B.; Nilsen, H.K.; Lagesen, K.; Gulla, S.; Avendaño-Herrera, R.; Irgang, R.; Duchaud, E.; Colquhoun, D.J. Tenacibaculum piscium sp. nov., isolated from skin ulcers of sea-farmed fish, and description of Tenacibaculum finnmarkense sp. nov. with subdivision into genomovars finnmarkense and ulcerans. Int. J. Syst. Evol. Microbiol. 2020. [Google Scholar] [CrossRef]
- García-González, P.; García-Lamas, N.; Edfuf, C.F.; Santos, Y. Development of a PCR method for the specific identification of the marine fish pathogen Tenacibaculum soleae. Aquaculture 2011, 319, 1–4. [Google Scholar] [CrossRef]
- López, J.R.; Hamman-Khalifa, A.M.; Navas, J.I.; de la Herran, R. Characterization of ISR region and development of a PCR assay for rapid detection of the fish pathogen Tenacibaculum soleae. FEMS Microbiol. Lett. 2011, 324, 181–188. [Google Scholar] [CrossRef] [PubMed]
- Castro, N.; Balboa, S.; Núñez, S.; Toranzo, A.E.; Magariños, B. First isolation and characterization of Tenacibaculum soleae from sea bass Dicentrarchus labrax. Fish Pathol. 2014, 49, 16–22. [Google Scholar] [CrossRef][Green Version]
- Wilson, T.; Douglas, M.; Dunn, V. First identification of fish pathogens Tenacibaculum dicentrarchi and T. soleae in Tasmania and multiplex PCR for these organisms and T. maritimum. Dis. Aquat. Org. 2019, 136, 219–226. [Google Scholar] [CrossRef]
- Avendaño-Herrera, R.; Irgang, R.; Tapia-Cammas, D. PCR procedure for detecting the fish pathogen Tenacibaculum dicentrarchi. J. Fish Dis. 2017, 4, 715–719. [Google Scholar] [CrossRef]
- Avendaño-Herrera, R.; Saldarriaga-Cordoba, M.; Irgang, R.; Tapia-Cammas, D. PCR protocol for Tenacibaculum dicentrarchi: Updated Specificity for Tenacibaculum finnmarkense Detection. 2019. Available online: https://researchers.unab.cl/en/publications/pcr-protocol-for-tenacibaculum-dicentrarchi-updated-specificity-f (accessed on 7 December 2020).
- Slinger, J.; Adams, M.B.; Wynne, J.W. Bacteriomic profiling of branchial lesions induced by Neoparamoeba perurans challenge reveals commensal dysbiosis and an association with Tenacibaculum dicentrarchi in AGD-affected Atlantic salmon (Salmo salar L.). Microorganisms 2020, 8, 1189. [Google Scholar] [CrossRef]
- Toyama, T.; Kita-Tsukamoto, K.; Wakabayashi, H. Identification of Flexibacter maritimus, Flavobacterium branchiophilum and Cytophaga columnaris by PCR targeted 16S ribosomal DNA. Fish Pathol. 1996, 31, 25–31. [Google Scholar] [CrossRef]
- Bader, J.A.; Shotts, E.B. Identification of Flavobacterium and Flexibacter species by species-specific polymerase chain reaction primers to the 16S ribosomal RNA gene. J. Aquat. Anim. Health 1998, 10, 311–319. [Google Scholar] [CrossRef]
- Cepeda, C.; García-Márquez, S.; Santos, Y. Detection of Flexibacter maritimus in fish tissue using nested PCR amplification. J. Fish Dis. 2003, 26, 65–70. [Google Scholar] [CrossRef] [PubMed]
- Avendaño-Herrera, R.; Magariños, B.; Toranzo, A.E.; Beaz, R.; Romalde, J.L. Species-specific polymerase chain reaction primer sets for the diagnosis of Tenacibaculum maritimum infection. Dis. Aquat. Org. 2004, 62, 75–83. [Google Scholar] [CrossRef] [PubMed]
- López, J.R.; Núñez, S.; Magariños, B.; Castro, N.; Navas, J.I.; De La Herran, R.; Toranzo, A.E. First isolation of Tenacibaculum maritimum from wedge sole, Dicologoglossa cuneata (Moreau). J. Fish Dis. 2009, 32, 603–610. [Google Scholar] [CrossRef] [PubMed]
- Castro, N.; Toranzo, A.E.; Magariños, B. A multiplex PCR for the simultaneous detection of Tenacibaculum maritimum and Edwardsiella tarda in aquaculture. Int. Microbiol. 2014, 17, 111–117. [Google Scholar] [CrossRef]
- Småge, S.B.; Frisch, K.; Brevik, Ø.J.; Watanabe, K.; Nylund, A. First isolation, identification and characterisation of Tenacibaculum maritimum in Norway, isolated from diseased farmed sea lice cleaner fish Cyclopterus lumpus L. Aquaculture 2016, 464, 178–184. [Google Scholar] [CrossRef]
- Apablaza, P.; Frisch, K.; Brevik, Ø.J.; Småge, S.B.; Vallestad, C.; Duesund, H.; Mendoza, J.; Nylund, A. Primary isolation and characterization of Tenacibaculum maritimum from chilean atlantic salmon mortalities associated with a Pseudochattonella spp. algal bloom. J. Aquat. Anim. Health 2017, 29, 143–149. [Google Scholar] [CrossRef]
- Khalil, R.H.; Diab, A.M.; Shakweer, M.S.; Ghetas, H.A.; Khallaf, M.M.; Omar, A.A.D. New perspective to control of tenacibaculosis in sea bass Dicentrarchus labrax L. Aquat. Res. 2018, 49, 2357–2365. [Google Scholar] [CrossRef]
- Fringuelli, E.; Savage, P.D.; Gordon, A.; Baxter, E.J.; Rodger, H.D.; Graham, D.A. Development of a quantitative real-time PCR for the detection of Tenacibaculum maritimum and its application to field samples. J. Fish Dis. 2012, 35, 579–590. [Google Scholar] [CrossRef] [PubMed]
- Fernández-Álvarez, C.; González, S.F.; Santos, Y. Quantitative PCR coupled with melting curve analysis for rapid detection and quantification of Tenacibaculum maritimum in fish and environmental samples. Aquaculture 2019, 498, 289–296. [Google Scholar] [CrossRef]
- Brosnahan, C.L.; Georgiades, E.; McDonald, C.; Keeling, S.E.; Munday, J.S.; Jones, B. Optimisation and validation of a PCR to detect viable Tenacibaculum maritimum in salmon skin tissue samples. J. Microbiol. Methods 2019, 159, 186–193. [Google Scholar] [CrossRef]
- Chapela, M.J.; Ferreira, M.; Ruiz-Cruz, A.; Martin-Varela, I.; Fernández-Casal, J.; Garrido-Maestu, A. Application of real-time PCR for early diagnosis of diseases caused by Aeromonas salmonicida, Vibrio anguillarum, and Tenacibaculum maritimum in turbot: A field study. J. Appl. Aquac. 2018, 30, 76–89. [Google Scholar] [CrossRef]
- Avendaño-Herrera, R.; Magariños, B.; López-Romalde, S.; Romalde, J.L.; Toranzo, A.E. Phenotypic characterization and description of two major O-serotypes in Tenacibaculum maritimum strains from marine fishes. Dis. Aquat. Org. 2004, 58, 1–8. [Google Scholar] [CrossRef]
- Avendaño-Herrera, R.; Magariños, B.; Moriñigo, M.A.; Romalde, J.L.; Toranzo, A.E. A novel O-serotype in Tenacibaculum maritimum strains isolated from cultured sole (Solea senegalensis). Bull. Eur. Assoc. Fish Pathol. 2005, 25, 70–74. [Google Scholar]
- Castro, N.; Magariños, B.; Núñez, S.; Toranzo, A.E. Reassessment of the Tenacibaculum maritimum serotypes causing mortalities in cultured marine fish. Bull. Eur. Assoc. Fish Pathol. 2007, 27, 229–233. [Google Scholar]
- Ostland, V.; LaTrace, C.; Morrison, D.; Ferguson, H.W. Flexibacter maritimus Associated with a bacterial stomatitis in Atlantic salmon smolts reared in net-pens in British Columbia. J. Aquat. Anim. Health 1999, 11, 35–44. [Google Scholar] [CrossRef]
- Bridel, S.; Bourgeon, F.; Marie, A.; Saulnier, D.; Pasek, S.; Nicolas, P.; Bernardet, J.F.; Duchaud, E. Genetic diversity and population structure of Tenacibaculum maritimum, a serious bacterial pathogen of marine fish: From genome comparisons to high throughput MALDI-TOF typing. Vet. Res. 2020, 51, 1–17. [Google Scholar] [CrossRef]
- Irgang, R.; González-Luna, R.; Gutiérrez, J.; Poblete-Morales, M.; Rojas, V.; Tapia-Cammas, D.; Avendaño-Herrera, R. First identification and characterization of Tenacibaculum dicentrarchi isolated from Chilean red conger eel (Genypterus chilensis, Guichenot 1848). J. Fish Dis. 2017, 40, 1915–1920. [Google Scholar] [CrossRef] [PubMed]
- Faílde, L.D.; Losada, A.P.; Bermúdez, R.; Santos, Y.; Quiroga, M.I. Tenacibaculum maritimum infection: Pathology and immunohistochemistry in experimentally challenged turbot (Psetta maxima L.). Microb. Pathog. 2013, 65, 82–88. [Google Scholar] [CrossRef] [PubMed]
- Haridy, M.; Hashem, M.; Mohamed, A.; Sakai, H.; Yanai, T. Pathological findings of Tenacibaculum maritimus infection in black damselfish, Neoglyphieodon melas and Picasso triggerfish, Rhinecanthus assasi in Red Sea, Egypt. J. Vet. Sci. Technol. 2015, 6, 1–5. [Google Scholar] [CrossRef]
- Småge, S.B.; Frisch, K.; Vold, V.; Duesund, H.; Brevik, Ø.J.; Olsen, R.H.; Sjaatil, S.T.; Klevan, A.; Brudeseth, B.; Watanabe, K.; et al. Induction of tenacibaculosis in Atlantic salmon smolts using Tenacibaculum finnmarkense and the evaluation of a whole cell inactivated vaccine. Aquaculture 2018, 495, 858–864. [Google Scholar] [CrossRef]
- Mabrok, M.; Machado, M.; Serra, C.R.; Afonso, A.; Valente, L.M.P.; Costas, B. Tenacibaculosis induction in the Senegalese sole (Solea senegalensis) and studies of Tenacibaculum maritimum survival against host mucus and plasma. J. Fish Dis. 2015, 39, 1445–1455. [Google Scholar] [CrossRef]
- Teramoto, M.; Zhai, Z.; Komatsu, A.; Shibayama, K.; Suzuki, M. Genome sequence of the psychrophilic bacterium Tenacibaculum ovolyticum strain da5A-8 isolated from deep seawater. Genome Announc. 2016, 4, e00644-16. [Google Scholar] [CrossRef]
- Chistoserdov, A.Y.; Quinn, R.A.; Gubbala, S.L.; Smolowitz, R. Bacterial communities associated with lesions of shell disease in the American lobster, Homarus americanus Milne-Edwards. J. Shellfish Res. 2012, 31, 449–462. [Google Scholar] [CrossRef]
- Míguez, B.; Combarro, M.P. Bacteria associated with sardine (Sardina pilchardus) eggs in a natural environment (Ría de Vigo, Galicia, northwestern Spain). FEMS Microbiol. Ecol. 2003, 44, 329–334. [Google Scholar] [CrossRef]
- Hansen, G.H.; Bergh, Ø.; Michaelsen, J.; Knappskog, D.H. Flexibacter ovolyticus sp. nov., a pathogen of eggs and larvae of Atlantic halibut, Hippoglossus hippoglossus L. Int. J. Syst. Bacteriol. 1992, 42, 451–458. [Google Scholar] [CrossRef]
- Skiftesvik, A.B.; Bergh, Ø. Changes in behavior of Atlantic halibut (Hippoglossus hippoglossus) and turbot (Scophthalmus maximus) yolk-sac larvae induced by bacterial infections. Can. J. Fish. Aquat. Sci. 1993, 50, 2552–2557. [Google Scholar] [CrossRef]
- Småge, S.B.; Brevik, Ø.J.; Frisch, K.; Watanabe, K.; Duesund, H.; Nylund, A. Concurrent jellyfish blooms and tenacibaculosis outbreaks in northern Norwegian Atlantic salmon (Salmo salar) farms. PLoS ONE 2017, 12, e0187476. [Google Scholar] [CrossRef] [PubMed]
- Petersen, J.; Colon, C.P.; Joyner, J.L. Sediment microbiomes associated with critical habitat of the juvenile American horseshoe crab; Limulus polyphemus. Glob. J. Environ. Sci. Manag. 2020, 6, 309–322. Available online: https://academicworks.cuny.edu/kb_pubs/207 (accessed on 7 December 2020).
- Zheng, Y.; Yu, M.; Liu, Y.; Su, Y.; Xu, T.; Yu, M.; Zhang, X.H. Comparison of cultivable bacterial communities associated with Pacific white shrimp (Litopenaeus vannamei) larvae at different health statuses and growth stages. Aquaculture 2016, 451, 163–169. [Google Scholar] [CrossRef]
- Salati, F.; Roncarati, A.; Angelucci, G.; Fenza, A.; Meluzzi, A. Stress and humoral innate immune response of gilthead seabream Sparus aurata cultured in sea cages. J. Aquat. Anim. Health 2016, 28, 166–172. [Google Scholar] [CrossRef] [PubMed]
- Fujita, M.J.; Goto, Y.; Sakai, R. Cloning of the Bisucaberin B Biosynthetic Gene cluster from the marine bacterium Tenacibaculum mesophilum, and heterologous production of Bisucaberin B. Mar. Drugs 2018, 16, 342. [Google Scholar] [CrossRef]
- Fujita, M.J.; Nakano, K.; Sakai, R. Bisucaberin B, a linear hydroxamate class siderophore from the marine bacterium Tenacibaculum mesophilum. Molecules 2013, 18, 3917–3926. [Google Scholar] [CrossRef]
- Sakatoku, A.; Fujimura, T.; Ito, M.; Takashima, S.; Isshiki, T. Newly isolated bacterium Tenacibaculum sp. strain Pbs-1 from diseased pearl oysters is associated with black-spot shell disease. Aquaculture 2018, 493, 61–67. [Google Scholar] [CrossRef]
- Piñeiro-Vidal, M.; Carballas, C.G.; Gómez-Barreiro, O.; Riaza, A.; Santos, Y. Tenacibaculum soleae sp. nov., isolated from diseased sole (Solea senegalensis Kaup). Int. J. Syst. Evol. Microbiol. 2008, 58, 881–885. [Google Scholar] [CrossRef]
- Burioli, E.A.V.; Varello, K.; Trancart, S.; Bozzetta, E.; Gorla, A.; Prearo, M.; Houssin, M. First description of a mortality event in adult Pacific oysters in Italy associated with infection by a Tenacibaculum soleae strain. J. Fish Dis. 2018, 41, 215–221. [Google Scholar] [CrossRef]
- Handlinger, J.; Carson, J.; Donachie, L.; Gabor, L.; Taylor, D. Bacterial infection in Tasmanian farmed abalone: Causes, pathology, farm factors and control options. In Diseases in Asian Aquaculture V, Proceedings of the 5th Symposium on Diseases in Asian Aquaculture, Queensland, Australia, 24–28 November 2002; pp. 289–300.
- Kim, Y.O.; Park, I.S.; Park, S.; Nam, B.H.; Park, J.M.; Kim, D.G.; Yoon, J.H. Tenacibaculum haliotis sp. Nov., isolated from the gut of an abalone Haliotis discus hannai. Int. J. Syst. Evol. Microbiol. 2017, 67, 3268–3273. [Google Scholar] [CrossRef]
- Russell, S.; (Vancouver Island University, Nanaimo, BC, Canada). Personal communication, 2018.
- Klakegg, Ø.; Abayneh, T.; Fauske, A.K.; Fülberth, M.; Sørum, H. An outbreak of acute disease and mortality in Atlantic salmon (Salmo salar) post-smolts in Norway caused by Tenacibaculum dicentrarchi. J. Fish Dis. 2019, 42, 789–807. [Google Scholar] [CrossRef]
- Irgang, R.; Avendaño-Herrera, R. Experimental tenacibaculosis infection in adult conger eel (Genypterus chilensis, Guichenot 1948) by immersion challenge with Tenacibaculum dicentrarchi. J. Fish Dis. 2020, 00, 1–6. [Google Scholar] [CrossRef]
- Gelderen, R.V.; Carson, J.; Nowak, B. Effect of extracellular products of Tenacibaculum maritimum in Atlantic salmon, Salmo salar L. J. Fish Dis. 2009, 32, 727–731. [Google Scholar] [CrossRef] [PubMed]
- Wynne, J.W.; Thakur, K.; Slinger, J.; Samsing, F.; Milligan, B.; Powell, J.; McKinnon, A.; Nekouei, O.; New, D.; Richmond, Z.; et al. Microbiome profiling reveals a microbial dysbiosis during a natural outbreak of tenacibaculosis (Yellow mouth) in Atlantic salmon. Front. Microbiol. 2020, 11, 586387. [Google Scholar] [CrossRef] [PubMed]
- Marty, G.D. Blank-field correction for achieving a uniform white background in brightfield digital photomicrographs. BioTechniques 2007, 42, 716–720. [Google Scholar] [CrossRef] [PubMed]
- Campbell, A.C.; Buswell, J.A. An investigation into the bacterial aetiology of ‘black patch necrosis’ in Dover sole, Solea solea L. J. Fish Dis. 1982, 5, 495–508. [Google Scholar] [CrossRef]
- Baxa, D.V.; Kawai, K.; Kusuda, R. Experimental infection of Flexibacter maritimus in black sea bream (Acanthopagrus schlegeli) fry. Fish Pathol. 1987, 22, 105–109. [Google Scholar] [CrossRef]
- Yamamoto, T.; Kawai, K.; Oshima, S.I. Evaluation of an experimental immersion infection method with Tenacibaculum maritimum in Japanese flounder Paralichthys olivaceus. Suisan Zoshoku 2010, 58, 481–489. [Google Scholar] [CrossRef]
- Avendaño-Herrera, R.; Toranzo, A.; Magariños, B. A challenge model for Tenacibaculum maritimum infection in turbot, Scophthalmus maximus (L.). J. Fish Dis. 2006, 29, 371–374. [Google Scholar] [CrossRef]
- Nishioka, T.; Watanabe, K.; Sano, M. A Bath Challenge Method with Tenacibaculum maritimum for Japanese Flounder Paralichthys olivaceus. Fish Pathol. 2009, 44, 178–181. [Google Scholar] [CrossRef]
- Peterson, J.W. Bacterial Pathogenesis. In Medical Microbiology, 4th ed.; Baron, S., Ed.; University of Texas Medical Branch at Galveston: Galveston, TX, USA, 1996. Available online: https://www.ncbi.nlm.nih.gov/books/NBK8526/ (accessed on 2 December 2020).
- Levipan, H.A.; Irgang, R.; Tapia-Cammas, D.; Avendaño-Herrera, R. A high-throughput analysis of biofilm formation by the fish pathogen Tenacibaculum dicentrarchi. J. Fish Dis. 2019, 42, 617–621. [Google Scholar] [CrossRef] [PubMed]
- Levipan, H.A.; Tapia-Cammas, D.; Molina, V.; Irgang, R.; Toranzo, A.E.; Magariños, B.; Avendaño-Herrera, R. Biofilm development and cell viability: An undervalued mechanism in the persistence of the fish pathogen Tenacibaculum maritimum. Aquaculture 2019, 511, 734267. [Google Scholar] [CrossRef]
- Mayer, C.; Romero, M.; Muras, A.; Otero, A. Aii20J, a wide-spectrum thermostable N-acylhomoserine lactonase from the marine bacterium Tenacibaculum sp. 20J, can quench AHL-mediated acid resistance in Escherichia coli. Appl. Microbiol. Biotechnol. 2015, 99, 9523–9539. [Google Scholar] [CrossRef] [PubMed]
- Tang, K.; Zhang, Y.; Yu, M.; Shi, X.; Coenye, T.; Bossier, P.; Zhang, X.H. Evaluation of a new high-throughput method for identifying quorum quenching bacteria. Sci. Rep. 2013, 3, 1–9. [Google Scholar] [CrossRef]
- Avendaño-Herrera, R.; Toranzo, A.E.; Romalde, J.L.; Lemos, M.L.; Magariños, B. Iron uptake mechanisms in the fish pathogen Tenacibaculum maritimum. Appl. Environ. Microbiol. 2005, 71, 6947–6953. [Google Scholar] [CrossRef]
- Avendaño-Herrera, R.; Magariños, B.; Irgang, R.; Toranzo, A.E. Use of hydrogen peroxide against the fish pathogen Tenacibaculum maritimum and its effect on infected turbot (Scophthalmus maximus). Aquaculture 2006, 257, 104–110. [Google Scholar] [CrossRef]
- Tweten, R.K. Cholesterol-dependent cytolysins, a family of versatile pore-forming toxins. Infect. Immun. 2005, 73, 6199–6209. [Google Scholar] [CrossRef]
- Flores-Díaz, M.; Monturiol-Gross, L.; Naylor, C.; Alape-Girón, A.; Flieger, A. Bacterial sphingomyelinases and phospholipases as virulence factors. Microbiol. Mol. Biol. Rev. 2016, 80, 597–628. [Google Scholar] [CrossRef]
- Okino, N.; Ito, M. Ceramidase enhances phospholipase C-induced hemolysis by Pseudomonas aeruginosa. J. Biol. Chem. 2007, 9, 6021–6030. [Google Scholar] [CrossRef]
- Li, N.; Qin, T.; Zhang, X.L.; Huang, B.; Liu, Z.X.; Xie, H.X.; Zhang, J.; McBride, M.J.; Nie, P. Gene deletion strategy to examine the involvement of the two chondroitin lyases in Flavobacterium columnare virulence. Appl. Environ. Microbiol. 2015, 81, 7394–7402. [Google Scholar] [CrossRef]
- Blanco, M.; Vazquez, J.A.; Perez-Martin, R.I.; Sotelo, C.G. Hydrolysates of fish skin collagen: An opportunity for valorizing fish industry byproducts. Mar. Drugs 2017, 15, 131. [Google Scholar] [CrossRef]
- Maccari, F.; Galeotti, F.; Volpi, N. Isolation and structural characterization of chondroitin sulfate from bony fishes. Carbohyd. Polym. 2015, 129, 143–147. [Google Scholar] [CrossRef] [PubMed]
- Garnjanagoonchorn, W.; Wongekalak, L.; Engkagul, A. Determination of chondroitin sulfate from different sources of cartilage. Chem. Eng. Process. 2007, 46, 465–471. [Google Scholar] [CrossRef]
- Mally, M.; Shin, H.; Paroz, C.; Landmann, R.; Cornelis, G.R. Capnocytophaga canimorsus: A human pathogen feeding at the surface of epithelial cells and phagocytes. PLoS Pathog. 2008, 4, e1000164. [Google Scholar] [CrossRef]
- Heindl, H.; Wiese, J.; Imhoff, J.F. Tenacibaculum adriaticum sp. nov., from a bryozoan in the Adriatic Sea. Int. J. Syst. Evol. Microbiol. 2008, 58, 542–547. [Google Scholar] [CrossRef]
- Park, S.; Choi, S.J.; Won, S.M.; Yoon, J.H. Tenacibaculum aestuariivivum sp. nov., isolated from a tidal flat. Int. J. Syst. Evol. Microbiol. 2017, 67, 4612–4618. [Google Scholar] [CrossRef]
- Xu, Z.X.; Yu, P.; Mu, D.S.; Liu, Y.; Du, Z.J. Tenacibaculum agarivorans sp. nov., an agar-degrading bacterium isolated from marine alga Porphyra yezoensis Ueda. Int. J. Syst. Evol. Microbiol. 2017, 67, 5139–5143. [Google Scholar] [CrossRef]
- Kim, Y.O.; Park, I.S.; Park, S.; Nam, B.H.; Park, J.M.; Kim, D.G.; Yoon, J.H. Tenacibaculum ascidiaceicola sp. nov., isolated from the golden sea squirt Halocynthia aurantium. Int. J. Syst. Evol. Microbiol. 2016, 66, 1174–1179. [Google Scholar] [CrossRef]
- Park, S.; Yoon, J.H. Tenacibaculum caenipelagi sp. nov., a member of the family Flavobacteriaceae isolated from tidal flat sediment. Int. J. Gen. Mol. Microbiol. 2013, 104, 225–231. [Google Scholar] [CrossRef]
- Lee, Y.S.; Baik, K.S.; Park, S.Y.; Kim, E.M.; Lee, D.H.; Kahng, H.Y.; Jeon, C.O.; Jung, J.S. Tenacibaculum crassostreae sp. nov., isolated from the Pacific oyster, Crassostrea gigas. Int. J. Syst. Evol. Microbiol. 2009, 59, 1609–1614. [Google Scholar] [CrossRef]
- Martins, P.; Cleary, D.F.R.; Pires, A.C.C.; Rodrigues, A.M.; Quintino, V.; Calado, R.; Gomes, N.C.M. Molecular analysis of bacterial communities and detection of potential pathogens in a recirculating aquaculture system for Scophthalmus maximus and Solea senegalensis. PLoS ONE 2013, 8, e80847. [Google Scholar] [CrossRef] [PubMed]
- Kang, S.J.; Lee, S.Y.; Lee, M.H.; Oh, T.K.; Yoon, J.H. Tenacibaculum geojense sp. nov., isolated from seawater. Int. J. Syst. Evol. Microbiol. 2011, 62, 18–22. [Google Scholar] [CrossRef] [PubMed][Green Version]
- Wang, L.; Li, X.; Hu, D.; Lai, Q.; Shao, Z. Tenacibaculum holothuriorum sp. nov., isolated from the sea cucumber Apostichopus japonicus intestine. Int. J. Syst. Evol. Microbiol. 2015, 65, 4347–4352. [Google Scholar] [CrossRef] [PubMed]
- Park, S.; Choi, J.; Choi, S.J.; Yoon, J.H. Tenacibaculum insulae sp. Nov., isolated from a tidal flat. Int. J. Syst. Evol. Microbiol. 2018, 68, 228–233. [Google Scholar] [CrossRef]
- Oh, Y.S.; Kahng, H.Y.; Lee, D.H.; Lee, S.B. Tenacibaculum jejuense sp. nov., isolated from coastal seawater. Int. J. Syst. Evol. Microbiol. 2012, 62, 414–419. [Google Scholar] [CrossRef][Green Version]
- Choi, D.H.; Kim, Y.G.; Hwang, C.Y.; Yi, H.; Chun, J.; Cho, B.C. Tenacibaculum litoreum sp. nov., isolated from tidal flat sediment. Int. J. Syst. Evol. Microbiol. 2006, 56, 635–640. [Google Scholar] [CrossRef][Green Version]
- Angthong, P.; Uengwetwanit, T.; Arayamethakorn, S.; Chaitongsakul, P.; Karoonuthaisiri, N.; Rungrassamee, W. Bacterial analysis in the early developmental stages of the black tiger shrimp (Penaeus monodon). Sci. Rep. 2020, 10, 1–12. [Google Scholar] [CrossRef]
- Yoon, J.H.; Kang, S.J.; Oh, T.K. Tenacibaculum lutimaris sp. nov., isolated from a tidal flat in the Yellow Sea, Korea. Int. J. Syst. Evol. Microbiol. 2005, 55, 793–798. [Google Scholar] [CrossRef][Green Version]
- Kolygas, M.; Gourzioti, E.; Vastos, I.; Athanassopoulou, F. Identification of Tenacibaculum maritimum strains from marine farmed fish in Greece. Vet. Rec. 2012, 170, 1–2. [Google Scholar] [CrossRef]
- Park, S.; Jung, Y.T.; Kang, C.-H.; Yoon, J.H. Tenacibaculum sediminilitoris sp. nov., isolated from a tidal flat. Int. J. Syst. Evol. Microbiol. 2016, 66, 2610–2616. [Google Scholar] [CrossRef][Green Version]
- Miyake, S.; Soh, M.; Azman, M.; Ngoh, S.; Orban, L.; Seedorf, H. Insights into the microbiota of Asian seabass (Lates calcarifer) with tenacibaculosis symptoms and description of sp. nov. Tenacibaculum singaporense. BioRxiv 2018, 472001. [Google Scholar] [CrossRef]
- Frette, L.; Jørgensen, N.O.G.; Irming, H.; Kroer, N. Tenacibaculum skagerrakense sp. nov., a marine bacterium isolated from the pelagic zone in Skagerrak, Denmark. Int. J. Syst. Evol. Microbiol. 2004, 54, 519–524. [Google Scholar] [CrossRef] [PubMed]
- Lujan, K.M.; Eisen, J.A.; Coil, A. Draft Genome Sequence of Tenacibaculum soleae UCD-KL19. Genome Announe. 2016, 4, e01120-16. [Google Scholar] [CrossRef]
- Shin, S.K.; Kim, E.; Yi, H. Tenacibaculum todarodis sp. nov., isolated from a squid. Int. J. Syst. Evol. Microbiol. 2018, 68, 1479–1483. [Google Scholar] [CrossRef] [PubMed]
- Li, Y.; Wei, J.; Yang, C.; Lai, Q.; Chen, Z.; Li, D.; Zhang, H.; Tian, Y.; Zheng, W.; Zheng, T. Tenacibaculum xiamenense sp. nov., an algicidal bacterium isolated from coastal seawater. Int. J. Syst. Evol. Microbiol. 2013, 63, 3481–3486. [Google Scholar] [CrossRef] [PubMed]
- Levican, A.; Fisher, J.C.; McLellan, S.L.; Avendaño-Herrera, R. Microbial communities associated with farmed Genypterus chilensis: Detection in water prior to bacterial outbreaks using culturing and high-throughput sequencing. Animals 2020, 10, 1055. [Google Scholar] [CrossRef] [PubMed]
- Costas, B.; Simões, I.; Castro-Cunha, M.; Afonso, A. Non-specific immune responses of Senegalese sole, Solea senegalensis (Kaup), head-kidney leucocytes against Tenacibaculum maritimum. J. Fish Dis. 2014, 37, 765–769. [Google Scholar] [CrossRef]
- Rahman, T.; Suga, K.; Kanai, K.; Sugihara, Y. Infection Kinetics of “Tenacibaculum maritimum” on the abraded skin of Japanese flounder “Paralichthys olivaceus”. Fish Pathol. 2015, 50, 44–52. [Google Scholar] [CrossRef]
- Florio, D.; Gridelli, S.; Fioravanti, M.L.; Zanoni, R.G. First isolation of Tenacibaculum maritimum in a captive sand tiger shark (Carcharias taurus). J. Zoo Wildl. Med. 2016, 47, 351–353. [Google Scholar] [CrossRef]
- Rahman, T.; Suga, K.; Kanai, K.; Sugihar, Y. Biological and serological characterization of a non-gliding strain of Tenacibaculum maritimum isolated from a diseased puffer fish Takifugu rubripes. Fish Pathol. 2014, 49, 121–129. [Google Scholar] [CrossRef]
- Beemelmanns, A.; Roth, O. Bacteria-type-specific biparental immune priming in the pipefish Syngnathus typhle. Ecol. Evol. 2016, 6, 6735–6757. [Google Scholar] [CrossRef]
- Abdel-Latif, H.M. Assessment of potential pathogenicity of emergent marine bacterium, Tenacibaculum maritimum to thin lipped grey mullet (Mugil capito) farmed in Egypt. Int. J. Fish. Aquat. 2014, 1, 10. [Google Scholar]
- Baxa, D.V.; Kawai, K.; Kusuda, R. In vitro and in vivo activities of Flexibacter maritimus toxins. Rep. USA Mar. Biol. Inst. Kochi Univ. 1988, 10, 1–8. [Google Scholar]
- Kawato, Y.; Istiqomah, I.; Gaafar, A.Y.; Hanaoka, M.; Ishimaru, K.; Yasuike, M.; Nishiki, I.; Nakamura, Y.; Fujiwara, A.; Nakai, T. A novel jumbo Tenacibaculum maritimum lytic phage with head-fiber-like appendages. Arch. Virol. 2020, 165, 303–311. [Google Scholar] [CrossRef] [PubMed]
- Alix, M.; Gasset, E.; Bardon-Albaret, A.; Noel, J.; Pirot, N.; Perez, V.; Coves, D.; Saulnier, D.; Lignot, J.H.; Cucchi, P.N. Description of the unusual digestive tract of Platax orbicularis and the potential impact of Tenacibaculum maritimum infection. PeerJ 2020, 8, e9966. [Google Scholar] [CrossRef] [PubMed]
Publisher’s Note: MDPI stays neutral with regard to jurisdictional claims in published maps and institutional affiliations. |
© 2020 by the authors. Licensee MDPI, Basel, Switzerland. This article is an open access article distributed under the terms and conditions of the Creative Commons Attribution (CC BY) license (http://creativecommons.org/licenses/by/4.0/).