Genomic Analysis of Oral Lichen Planus and Related Oral Microbiome Pathogens
Abstract
1. Introduction
2. Materials and Methods
2.1. Patient Population
2.2. Sample Collection
2.3. Next Generation Sequencing
2.4. Sequencing Data Analysis
2.5. Differential Gene Expression Analysis
2.6. Microbial Profiling
2.7. PCR Confirmation
- Corynebacterium matruchotii
- Forward: TGGTGACGGTACCTTTGTTA
- Reversed: CACCCTCACAGGTTAGCAGCGCTT
- Fusobacterium periodonticum
- Forward: CGCAGAAGGTGAAAGTCCTGTAT
- Reversed: TGGTCCTCACTGATTCACACAGA
- Streptococcus intermedius
- Forward: AAGTAGAACGCACAGGATG
- Reversed: CAGTAAATGTTCTTATGCGGTATTAG
- Streptococcus oralis
- Forward: ACCAGCAGATACGAAAGAAGCAT
- Reversed: AGGTTCGGGCAAGCGATCTTTCT
- Prevotella denticola (an amplicons size of 316 bp) (13).
- Forward Primers: TAATACCGAATGTGCTCATTTACAT
- Reversed primer: TCAAAGAAGCATTCCCTCTTCTTCTTA
3. Results
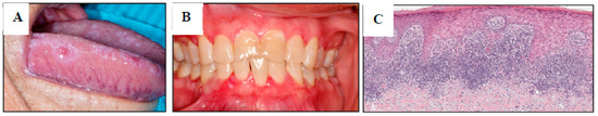
3.1. Clinical and Pathologic Features
3.2. Molecular Analysis of OLP Related Gene Network
3.3. Microbes Associated with OLP
4. Discussion
Supplementary Materials
Author Contributions
Funding
Acknowledgments
Conflicts of Interest
References
- Baek, K.; Choi, Y. The microbiology of oral lichen planus: Is microbial infection the cause of oral lichen planus? Mol. Oral Microbiol. 2018, 33, 22–28. [Google Scholar] [CrossRef] [PubMed]
- Di Stasio, D.; Guida, A.; Salerno, C.; Contaldo, M.; Esposito, V.; Laino, L.; Serpico, R.; Lucchese, A. Oral lichen planus: A narrative review. Front. Biosci. Elite Ed. 2014, 6, 370–376. [Google Scholar] [CrossRef] [PubMed]
- Axell, T.; Rundquist, L. Oral lichen planus—A demographic study. Community Dent. Oral Epidemiol. 1987, 15, 52–56. [Google Scholar] [CrossRef] [PubMed]
- Boñar-Alvarez, P.; Pérez-Sayáns, M.; Garcia-Garcia, A.; Chamorro-Petronacci, C.; Gándara-Vila, P.; Luces-González, R.; Rey, E.O.; Blanco-Carrión, A.; Suárez-Peñaranda, J.M. Correlation between clinical and pathological features of oral lichen planus: A retrospective observational study. Med. Baltim. 2019, 98, e14614. [Google Scholar] [CrossRef] [PubMed]
- Olson, M.A.; Rogers, R.S., III; Bruce, A.J. Oral lichen planus. Clin. Dermatol. 2016, 34, 495–504. [Google Scholar] [CrossRef]
- George, S.; Balan, A. A potential side effect of oral topical steroids: Central serous chorioretinopathy. Indian J. Dent. Res. 2018, 29, 107–108. [Google Scholar] [CrossRef]
- Carbone, M.; Goss, E.; Carrozzo, M.; Castellano, S.; Conrotto, D.; Broccoletti, R.; Gandolfo, S. Systemic and topical corticosteroid treatment of oral lichen planus: A comparative study with long-term follow-up. J. Oral Pathol. Med. 2003, 32, 323–329. [Google Scholar] [CrossRef]
- Bakshi, S.S. A burning sensation in the mouth. Cleve. Clin. J. Med. 2017, 84, 344–345. [Google Scholar] [CrossRef]
- Kim, D.; Pertea, G.; Trapnell, C.; Pimentel, H.; Kelley, R.; Salzberg, S. TopHat2: Accurate alignment of transcriptomes in the presence of insertions, deletions and gene fusions. Genome Biol. 2013, 14, R36. [Google Scholar] [CrossRef]
- Kramer, A.; Green, J.; Pollard, J.; Tugendreich, S. Causal analysis approaches in Ingenuity Pathway Analysis. Bioinformatics 2014, 30, 523–530. [Google Scholar] [CrossRef]
- Wood, D.E.; Salzberg, S.L. Kraken: Ultrafast metagenomic sequence classification using exact alignments. Genome Biol. 2014, 15, R46. [Google Scholar] [CrossRef]
- Benson, D.A.; Cavanaugh, M.; Clark, K.; Karsch-Mizrachi, I.; Lipman, D.J.; Ostell, J.; Sayers, E.W. GenBank. Nucleic Acids Res. 2013, 41, D36–D42. [Google Scholar] [CrossRef]
- Krupaa, R.J.; Sankari, S.L.; Masthan, K.M.K.; Rajesh, E. Oral lichen planus: An overview. J. Pharm. Bioallied Sci. 2015, 7, S158–S161. [Google Scholar] [CrossRef]
- Hasan, S. Lichen planus of lip—Report of a rare case with review of literature. J. Fam. Med. Prim. Care 2019, 8, 1269–1275. [Google Scholar] [CrossRef] [PubMed]
- Ismail, S.B.; Kumar, S.K.; Zain, R.B. Oral lichen planus and lichenoid reactions: Etiopathogenesis, diagnosis, management and malignant transformation. J. Oral Sci. 2007, 49, 89–106. [Google Scholar] [CrossRef] [PubMed]
- Van der Meij, E.H.; van der Waal, I. Lack of clinicopathologic correlation in the diagnosis of oral lichen planus based on the presently available diagnostic criteria and suggestions for modifications. J. Oral Pathol. Med. 2003, 32, 507–512. [Google Scholar] [CrossRef] [PubMed]
- Lehman, J.S.; Tollefson, M.M.; Gibson, L.E. Lichen planus. Int. J. Dermatol. 2009, 48, 682–694. [Google Scholar] [CrossRef] [PubMed]
- Tziotzios, C.; Lee, J.Y.; Brier, T.; Saito, R.; Hsu, C.-K.; Bhargava, K.; Stefanato, C.M.; Fenton, D.A.; McGrath, J.A. Lichen planus and lichenoid dermatoses: Clinical overview and molecular basis. J. Am. Acad. Dermatol. 2018, 79, 789–804. [Google Scholar] [CrossRef] [PubMed]
- Salehi, B.; Jornet, P.L. Plant-Derived Bioactives in Oral Mucosal Lesions: A Key Emphasis to Curcumin, Lycopene, Chamomile, Aloe vera, Green Tea and Coffee Properties. Biomolecules 2019, 9, 106. [Google Scholar] [CrossRef] [PubMed]
- Moore, W.E.; Moore, L.V. The bacteria of periodontal diseases. Periodontology 2000, 5, 66–77. [Google Scholar] [CrossRef]
- Lavanya, N.; Rao, U.K.; Jayanthi, P.; Ranganathan, K. Oral lichen planus: An update on pathogenesis and treatment. J. Oral Maxillofac. Pathol. 2011, 15, 127–132. [Google Scholar] [CrossRef] [PubMed]
- Alrashdan, M.S.; Cirillo, N.; McCullough, M. Oral lichen planus: A literature review and update. Arch. Dermatol. Res. 2016, 308, 539–551. [Google Scholar] [CrossRef] [PubMed]
- Thongprasom, K.; Dhanuthai, K. Steriods in the treatment of lichen planus: A review. J. Oral Sci. 2008, 50, 377–385. [Google Scholar] [CrossRef] [PubMed]
- Carrozzo, M.; Porter, S.; Mercadante, V.; Fedele, S. Oral lichen planus: A disease or a spectrum of tissue reactions? Types, causes, diagnostic algorhythms, prognosis, management strategies. Periodontology 2000 2019, 80, 105–125. [Google Scholar] [CrossRef]
- Evans, R.M.; Mangelsdorf, D.J. Nuclear Receptors, RXR, and the Big Bang. Cell 2014, 157, 255–266. [Google Scholar] [CrossRef] [PubMed]
- Chandra, V.; Huang, P.; Potluri, N.; Wu, D.; Kim, Y.; Rastinejad, F. Multidomain integration in the structure of the HNF-4alpha nuclear receptor complex. Nature 2013, 495, 394–398. [Google Scholar] [CrossRef]
- Huang, J.; Levitsky, L.L.; Rhoads, D.B. Novel P2 promoter-derived HNF4alpha isoforms with different N-terminus generated by alternate exon insertion. Exp. Cell Res. 2009, 315, 1200–1211. [Google Scholar] [CrossRef]
- Martovetsky, G.; Tee, J.B.; Nigam, S.K. Hepatocyte nuclear factors 4alpha and 1alpha regulate kidney developmental expression of drug-metabolizing enzymes and drug transporters. Mol. Pharmacol. 2013, 84, 808–823. [Google Scholar] [CrossRef]
- Chahar, S.; Gandhi, V.; Yu, S.; Desai, K.; Cowper-Sal-lari, R.; Kim, Y.; Perekatt, A.O.; Kumar, N.; Thackray, J.K.; Musolf, A.; et al. Chromatin profiling reveals regulatory network shifts and a protective role for hepatocyte nuclear factor 4alpha during colitis. Mol. Cell. Biol. 2014, 34, 3291–3304. [Google Scholar] [CrossRef]
- Marcil, V.; Seidman, E.; Sinnett, D.; Boudreau, F.; Gendron, F.-P.; Beaulieu, J.-F.; Ménard, D.; Precourt, L.-P.; Amre, D.; Levy, E. Modification in oxidative stress, inflammation, and lipoprotein assembly in response to hepatocyte nuclear factor 4alpha knockdown in intestinal epithelial cells. J. Biol. Chem. 2010, 285, 40448–40460. [Google Scholar] [CrossRef]
- Marcil, V.; Sinnett, D.; Seidman, E.G.; Boudreau, F.; Gendron, F.-P.; Beaulieu, J.-F.; Menard, D.; Lambert, M.; Bitton, A.; Sanchez, R.; et al. Association between genetic variants in the HNF4A gene and childhood-onset Crohn’s disease. Genes Immun. 2012, 13, 556–565. [Google Scholar] [CrossRef] [PubMed]
- Carrozzo, M.; Brancatello, F.; Dametto, E.; Arduino, P.G.; Pentenero, M.; Rendine, S.; Porter, S.R.; Lodi, G.; Scully, C.; Gandolfo, S. Hepatitis C virus-associated oral lichen planus: Is the geographical heterogeneity related to HLA-DR6? J. Oral Pathol. Med. 2005, 34, 204–208. [Google Scholar] [CrossRef] [PubMed]
- Lowe, N.J.; Cudworth, A.G.; Woodrow, J.C. HL-A antigens in lichen planus. Br. J. Dermatol. 1976, 95, 169–171. [Google Scholar] [CrossRef] [PubMed]
- Harries, L.W.; Locke, J.M.; Shields, B.; Hanley, N.; Hanley, N.; Steele, A.; Njølstad, P.R.; Ellard, S.; Hattersley, A.T. The diabetic phenotype in HNF4A mutation carriers is moderated by the expression of HNF4A isoforms from the P1 promoter during fetal development. Diabetes 2008, 57, 1745–1752. [Google Scholar] [CrossRef] [PubMed]
- Alauzet, C.; Marchandin, H.; Lozniewski, A. New insights into Prevotella diversity and medical microbiology. Future Microbiol. 2010, 5, 1695–1718. [Google Scholar] [CrossRef]
- Ley, R.E. Gut microbiota in 2015: Prevotella in the gut: Choose carefully. Nat. Rev. Gastroenterol. Hepatol. 2016, 13, 69–70. [Google Scholar] [CrossRef]
- Ibrahim, M.; Subramanian, A.; Anishetty, S. Comparative pan genome analysis of oral Prevotella species implicated in periodontitis. Funct. Integr. Genom. 2017, 17, 513–536. [Google Scholar] [CrossRef]
- Larsen, J.M. The immune response to Prevotella bacteria in chronic inflammatory disease. Immunology 2017, 151, 363–374. [Google Scholar] [CrossRef]
- Paul, G.; Khare, V.; Gasche, C. Inflamed gut mucosa: Downstream of interleukin-10. Eur. J. Clin. Investig. 2012, 42, 95–109. [Google Scholar] [CrossRef]
- Barrett, J.C.; Lee, J.C.; Lees, C.W.; Prescott, N.J.; Anderson, C.A.; Phillips, A.; Wesley, E.; Parnell, K.; Zhang, H.; Drummond, H.; et al. Genome-wide association study of ulcerative colitis identifies three new susceptibility loci, including the HNF4A region. Nat. Genet. 2009, 41, 1330–1334. [Google Scholar]
- Sedghizadeh, P.P.; Yooseph, S.; Fadrosh, D.W.; Zeigler-Allen, L.; Thiagarajan, M.; Salek, H.; Farahnik, F.; Williamson, S.J. Metagenomic investigation of microbes and viruses in patients with jaw osteonecrosis associated with bisphosphonate therapy. Oral Surg. Oral Med. Oral Pathol. Oral Radiol. 2012, 114, 764–770. [Google Scholar] [CrossRef] [PubMed]





| Cases | Age | Sex | Clinical Oral Diagnosis | Comorbidities | OLP Treatment |
|---|---|---|---|---|---|
| 1 | 61 | F | OLP (reticular) buccal mucosa bilateral and gingiva generalized | None | Dexamethasone oral elixir 0.5 mg/mL rinse and spit tid |
| 2 | 76 | M | OLP (erosive) buccal mucosa bilateral and gingiva generalized | Hypertension | Clobetasol gel 0.05% for topical use tid |
| 3 | 62 | F | OLP (reticular) buccal mucosa bilateral and gingival generalized | Hearing impairment | Fluocinonide gel 0.05% for topical use tid |
| 4 | 63 | F | OLP (erosive and reticular) buccal mucosa bilateral and gingiva generalized | Hypertension, angina | Fluocinonide gel 0.05% for topical use tid and dexamethasone as in case 1 |
| 5 | 61 | F | OLP (reticular) buccal mucosa bilateral | Mitral valve prolapse, anemia | Dexamethasone as in case 1 |
| 6 | 63 | F | OLP (erosive and reticular) buccal mucosa bilateral and tongue | Hypothyroidism, depression | Dexamethasone as in case 1 |
| 7 | 59 | F | OLP (erosive and reticular) buccal mucosa bilateral and gingiva generalized | Anxiety | Dexamethasone as in case 1 |
| 8 | 72 | F | OLP (erosive and reticular) buccal mucosa bilateral | Fibromyalgia, osteoarthritis, hypertension, hypothyroidism | Dexamethasone as in case 1 |
| 9 | 78 | F | OLP (reticular) buccal mucosa bilateral and tongue | Hypertension, DMII | None |
| 10 | 79 | F | OLP (reticular) buccal mucosa bilateral | Hypothyroidism, osteoporosis | Dexamethasone as in case 1 |
| Controls | |||||
| 1 | 51 | F | Simple bone cyst | None | N/A |
| 2 | 69 | F | Fractured dental filling | Hypertension | N/A |
| 3 | 72 | F | Psychogenic bruxism | None | N/A |
| 4 | 59 | M | Dental crown fracture | Hypertension | N/A |
| 5 | 57 | M | None | None | N/A |
Publisher’s Note: MDPI stays neutral with regard to jurisdictional claims in published maps and institutional affiliations. |
© 2020 by the authors. Licensee MDPI, Basel, Switzerland. This article is an open access article distributed under the terms and conditions of the Creative Commons Attribution (CC BY) license (http://creativecommons.org/licenses/by/4.0/).
Share and Cite
Zhong, E.F.; Chang, A.; Stucky, A.; Chen, X.; Mundluru, T.; Khalifeh, M.; Sedghizadeh, P.P. Genomic Analysis of Oral Lichen Planus and Related Oral Microbiome Pathogens. Pathogens 2020, 9, 952. https://doi.org/10.3390/pathogens9110952
Zhong EF, Chang A, Stucky A, Chen X, Mundluru T, Khalifeh M, Sedghizadeh PP. Genomic Analysis of Oral Lichen Planus and Related Oral Microbiome Pathogens. Pathogens. 2020; 9(11):952. https://doi.org/10.3390/pathogens9110952
Chicago/Turabian StyleZhong, Evelyn F., Andrea Chang, Andres Stucky, Xuelian Chen, Tarun Mundluru, Mohammad Khalifeh, and Parish P. Sedghizadeh. 2020. "Genomic Analysis of Oral Lichen Planus and Related Oral Microbiome Pathogens" Pathogens 9, no. 11: 952. https://doi.org/10.3390/pathogens9110952
APA StyleZhong, E. F., Chang, A., Stucky, A., Chen, X., Mundluru, T., Khalifeh, M., & Sedghizadeh, P. P. (2020). Genomic Analysis of Oral Lichen Planus and Related Oral Microbiome Pathogens. Pathogens, 9(11), 952. https://doi.org/10.3390/pathogens9110952
