Genomics Insights into Mycolicibacterium Hassiacum Causing Infection in a Cat with Pyogranulomatous Dermatitis and Panniculitis
Abstract
1. Introduction
2. Materials and Methods
2.1. Case History, Clinical Presentation, and Sample Collection
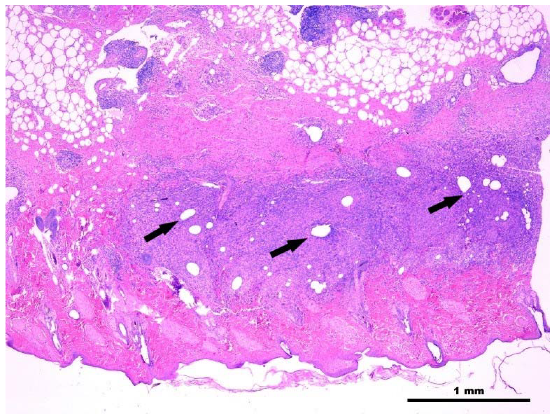
2.2. Routine Laboratory Analyses, Serology, and Histology
2.3. Bacterial Isolation
2.4. 16S Molecular Analysis
2.4.1. 16S rDNA Sequencing
2.4.2. 16S rDNA-Based Phylogenetic Analysis
- A selection of 19 different RGM species closely related to M. hassiacum and previously described in a comprehensive phylogenetic study by Devulder et al. (2005) [20] on the Mycobacterium genus (including more than 90 Mycobacterium species);
- A 16S rDNA sequence obtained from the only publicly available M. hassiacum complete genome of approximately 5.3 Mb (NZ_LR026975 MHAS, strain DSM 44199) available at NCBI and published in 2019 [21], chosen as a reference for our study;
- A 16S rDNA sequence from Nocardia abscessus (AY544980.1, strain DSM 44432), selected as an outgroup for our phylogenetic analysis.
2.5. WGS and Bioinformatics Analysis
2.5.1. Library Preparation and WGS
2.5.2. “In Silico” Molecular Characterization
3. Results
3.1. Routine Laboratory Analyses, Serology, and Histology
3.2. Bacterial Isolation
3.3. 16S Molecular Analysis
3.3.1. 16S rDNA Sequencing
3.3.2. 16S rDNA-Based Phylogenetic Analysis
3.4. WGS and Bioinformatics Analysis
4. Discussion
5. Conclusions
Supplementary Materials
Author Contributions
Funding
Institutional Review Board Statement
Informed Consent Statement
Data Availability Statement
Acknowledgments
Conflicts of Interest
References
- Brown-Elliott, B.A.; Wallace, R.J., Jr. Clinical and taxonomic status of pathogenic nonpigmented or late-pigmenting rapidly growing mycobacteria. Clin. Microbiol. Rev. 2002, 15, 716–746. [Google Scholar] [CrossRef] [PubMed]
- Howard, S.T.; Byrd, T.F. The rapidly growing mycobacteria: Saprophytes and parasites. Microbes Infect. 2000, 2, 1845–1853. [Google Scholar] [CrossRef] [PubMed]
- Malik, R.; Wigney, D.I.; Dawson, D.; Martin, P.; Hunt, G.B.; Love, D.N. Infection of the subcutis and skin of cats with rapidly growing mycobacteria: A review of microbiological and clinical findings. J. Feline Med. Surg. 2000, 2, 35–48. [Google Scholar] [CrossRef] [PubMed]
- Malik, R.; Shaw, S.E.; Griffin, C.; Stanley, B.; Burrows, A.K.; Bryden, S.L.; Titmarsh, J.; Stutsel, M.J.; Carter, S.A.; Warner, A. Infections of the subcutis and skin of dogs caused by rapidly growing mycobacteria. J. Small Anim. Pract. 2004, 45, 485–494. [Google Scholar] [CrossRef]
- Gunn-Moore, D.A. Feline mycobacterial infections. Vet. J. 2014, 201, 230–238. [Google Scholar] [CrossRef]
- Munro, M.J.L.; Byrne, B.A.; Sykes, J.E. Feline mycobacterial disease in northern California: Epidemiology, clinical features, and antimicrobial susceptibility. J. Vet. Intern. Med. 2021, 35, 273–283. [Google Scholar] [CrossRef]
- Adékambi, T.; Colson, P.; Drancourt, M. RpoB-based identification of nonpigmented and late-pigmenting rapidly growing mycobacteria. J. Clin. Microbiol. 2003, 41, 5699–5708. [Google Scholar] [CrossRef]
- Tsukamura, M.; Mizuno, S.; Tsukamura, S.; Tsukamura, J. Comprehensive numerical classification of 369 strains of Mycobacterium, Rhodococcus and Nocardia. Int. J. Syst. Bacteriol. 1979, 29, 110–129. [Google Scholar] [CrossRef]
- Willemse, T.; Groothuis, D.G.; Koeman, J.P.; Beyer, E.G. Mycobacterium thermoresistibile: Extrapulmonary infection in a cat. J. Clin. Microbiol. 1985, 21, 854–856. [Google Scholar] [CrossRef]
- Foster, S.F.; Martin, P.; Davis, W.; Allan, G.S.; Mitchell, D.H.; Malik, R.J. Chronic pneumonia caused by Mycobacterium thermoresistibile in a cat. Small Anim. Pract. 1999, 40, 433–438. [Google Scholar] [CrossRef]
- Jiang, S.H.; Roberts, D.M.; Clayton, P.A.; Jardine, M. Non-tuberculous mycobacterial PD peritonitis in Australia. Int. Urol. Nephrol. 2013, 45, 1423–1428. [Google Scholar] [CrossRef] [PubMed]
- Salzer, H.J.F.; Chitechi, B.; Hillemann, D.; Mandl, M.; Paar, C.; Mitterhumer, M.; Lamprecht, B.; Maurer, F.P. Nontuberculous Mycobacterial Pulmonary Disease from Mycobacterium hassiacum, Austria. Emerg. Infect. Dis. 2020, 26, 2776–2778. [Google Scholar] [CrossRef] [PubMed]
- Schröder, K.H.; Naumann, L.; Kroppenstedt, R.M.; Reischl, U. Mycobacterium hassiacum sp. nov., a new rapidly growing thermophilic mycobacterium. Int. J. Syst. Bacteriol. 1997, 47, 86–91. [Google Scholar] [CrossRef] [PubMed]
- Tortoli, E.; Reischl, U.; Besozzi, G.; Emler, S. Characterization of an isolate belonging to the newly described species Mycobacterium hassiacum. Diagn. Microbiol. Infect. Dis. 1998, 30, 193–196. [Google Scholar] [CrossRef] [PubMed]
- Deinhardt-Emmer, S.; Höring, S.; Mura, C.; Hillemann, D.; Hermann, B.; Sachse, S.; Bohnert, J.; Löffler, B. First Time Isolation of Mycobacterium hassiacum From a Respiratory Sample. Clin. Med. Insights Circ. Respir. Pulm. Med. 2018, 12, 1179548417747529. [Google Scholar] [CrossRef]
- World Organisation for Animal Health (WOAH). Mammalian tuberculosis (infection with Mycobacterium tuberculosis complex). In WOAH Manual of Diagnostic Tests and Vaccines for Terrestrial Animals 2022; online version adopted in May 2022; Chapter 3.1.13. Available online: https://www.woah.org/en/what-we-do/standards/codes-and-manuals/terrestrial-manual-online-access/ (accessed on 5 March 2024).
- Dorsch, M.; Stackebrandt, E. Some modifications in the procedure of direct sequencing of PCR amplified 16S rDNA. J. Microbiol. Methods 1992, 16, 271–279. [Google Scholar] [CrossRef]
- Arata, A.B.; Cooke, C.L.; Jang, S.S.; Hirsh, D.C. Multiplex polymerase chain reaction for distinguishing Taylorella equigenitalis from Taylorella equigenitalis-like organisms. J. Vet. Diagn. Investig. 2001, 13, 263–264. [Google Scholar] [CrossRef]
- Tamura, K.; Stecher, G.; Kumar, S. MEGA11: Molecular Evolutionary Genetics Analysis Version 11. Mol. Biol. Evol. 2021, 38, 3022–3027. [Google Scholar] [CrossRef]
- Devulder, G.; de Montclos, M.P.; Flandrois, J.P. A multigene approach to phylogenetic analysis using the genus Mycobacterium as a model. Int. J. Syst. Evol. Microbiol. 2005, 55 Pt 1, 293–302. [Google Scholar] [CrossRef]
- Sánchez, M.; Blesa, A.; Sacristán-Horcajada, E.; Berenguer, J. Complete Genome Sequence of Mycolicibacterium hassiacum DSM 44199. Microbiol. Resour. Announc. 2019, 8, e01522-18. [Google Scholar] [CrossRef]
- Alba, P.; Taddei, R.; Cordaro, G.; Fontana, M.C.; Toschi, E.; Gaibani, P.; Marani, I.; Giacomi, A.; Diaconu, E.L.; Iurescia, M.; et al. Carbapenemase IncF-borne blaNDM-5 gene in the E. coli ST167 high-risk clone from canine clinical infection, Italy. Vet. Microbiol. 2021, 256, 109045. [Google Scholar] [CrossRef] [PubMed]
- Branton, D.; Deamer, D.W.; Marziali, A.; Bayley, H.; Benner, S.A.; Butler, T.; Butler, T.; Di Ventra, M.; Garaj, S.; Hibbs, A.; et al. The potential and challenges of nanopore sequencing. Nat. Biotechnol. 2008, 26, 1146–1153. [Google Scholar] [CrossRef] [PubMed]
- Bolger, A.M.; Lohse, M.; Usadel, B. Trimmomatic: A flexible trimmer for Illumina Sequence Data. Bioinformatics 2014, 30, 2114–2120. [Google Scholar] [CrossRef] [PubMed]
- Wick, R.R.; Judd, L.M.; Gorrie, C.L.; Holt, K.E. Unicycler: Resolving bacterial genome assemblies from short and long sequencing reads. PLoS Comput. Biol. 2017, 13, e1005595. [Google Scholar] [CrossRef] [PubMed]
- Schwengers, O.; Jelonek, L.; Dieckmann, M.A.; Beyvers, S.; Blom, J.; Goesmann, A. Bakta: Rapid and standardized annotation of bacterial genomes via alignment-free sequence identification. Microb. Genom. 2021, 7, 000685. [Google Scholar] [CrossRef]
- Johansson, M.H.K.; Bortolaia, V.; Tansirichaiya, S.; Aarestrup, F.M.; Roberts, A.P.; Petersen, T.N. Detection of mobile genetic elements associated with antibiotic resistance in Salmonella enterica using a newly developed web tool: MobileElementFinder. J. Antimicrob. Chemother. 2021, 76, 101–109. [Google Scholar] [CrossRef]
- Arndt, D.; Grant, J.R.; Marcu, A.; Sajed, T.; Pon, A.; Liang, Y.; Wishart, D.S. PHASTER: A better, faster version of the PHAST phage search tool. Nucleic Acids Res. 2016, 44, W16–W21. [Google Scholar] [CrossRef]
- Yoon, S.H.; Ha, S.M.; Kwon, S.; Lim, J.; Kim, Y.; Seo, H.; Chun, J. Introducing EzBioCloud: A taxonomically united database of 16S rRNA and whole genome assemblies. Int. J. Syst. Evol. Microbiol. 2017, 67, 1613–1617. [Google Scholar] [CrossRef]
- Meier-Kolthoff, J.P.; Carbasse, J.S.; Peinado-Olarte, R.L.; Göker, M. TYGS and LPSN: A database tandem for fast and reliable genome-based classification and nomenclature of prokaryotes. Nucleic Acids Res. 2022, 50, D801–D807. [Google Scholar] [CrossRef]
- Lee, I.; Ouk Kim, Y.; Park, S.C.; Chun, J. OrthoANI: An improved algorithm and software for calculating average nucleotide identity. Int. J. Syst. Evol. Microbiol. 2016, 66, 1100–1103. [Google Scholar] [CrossRef]
- Darling, A.C.; Mau, B.; Blattner, F.R.; Perna, N.T. Mauve: Multiple alignment of conserved genomic sequence with rearrangements. Genome Res. 2004, 14, 1394–1403. [Google Scholar] [CrossRef] [PubMed]
- Chen, L.; Yang, J.; Yu, J.; Yao, Z.; Sun, L.; Shen, Y.; Jin, Q. VFDB: A reference database for bacterial virulence factors. Nucleic Acids Res. 2005, 33, D325–D328. [Google Scholar] [CrossRef] [PubMed]
- Hemati, Z.; Derakhshandeh, A.; Haghkhah, M.; Chaubey, K.K.; Gupta, S.; Singh, M.; Singh, S.V.; Dhama, K. Mammalian cell entry operons; novel and major subset candidates for diagnostics with special reference to Mycobacterium avium subspecies paratuberculosis infection. Vet. Q. 2019, 39, 65–75. [Google Scholar] [CrossRef] [PubMed]
- Ripoll, F.; Deshayes, C.; Pasek, S.; Laval, F.; Beretti, J.L.; Biet, F.; Risler, J.L.; Daffé, M.; Etienne, G.; Gaillard, J.L.; et al. Genomics of glycopeptidolipid biosynthesis in Mycobacterium abscessus and M. chelonae. BMC Genom. 2007, 8, 114. [Google Scholar] [CrossRef]
- Wilkinson, G.T.; Kelly, W.R.; O’Boyle, D. Cutaneous granulomas associated with Mycobacterium fortuitum infection in a cat. J. Small Anim. Pract. 1978, 19, 357–362. [Google Scholar] [CrossRef]
- Quinn, P.J.; Carter, M.E.; Markey, B.K.; Carter, G.R. Mycobacterium species. In Clinical Veterinary Microbiology; Wolfe Publishing: London, UK, 1994; pp. 156–159. [Google Scholar]
- Lemarie, S.L. Mycobacterial dermatitis. Vet. Clin. N. Am. Small Anim. Pract. 1999, 29, 1291–1301. [Google Scholar] [CrossRef]
- Jang, S.S.; Hirsh, D.C. Rapidly growing members of the genus Mycobacterium affecting dogs and cats. J. Am. Anim. Hosp. Assoc. 2002, 38, 217–220. [Google Scholar] [CrossRef]
- Alander-Damsten, Y.K.; Brander, E.E.; Paulin, L.G. Panniculitis, due to Mycobacterium smegmatis, in two Finnish cats. J. Feline Med. Surg. 2003, 5, 19–26. [Google Scholar] [CrossRef]
- Beccati, M.; Peano, A.; Gallo, M.G. Pyogranulomatous panniculitis caused by Mycobacterium alvei in a cat. J. Small Anim. Pract. 2007, 48, 664. [Google Scholar] [CrossRef]
- Elsner, L.; Wayne, J.; O’Brien, C.R.; McCowan, C.; Malik, R.; Hayman, J.A.; Globan, M.; Lavender, C.J.; Fyfe, J.A. Localised Mycobacterium ulcerans infection in a cat in Australia. J. Feline Med. Surg. 2008, 10, 407–412. [Google Scholar] [CrossRef]
- Horne, K.S.; Kunkle, G.A. Clinical outcome of cutaneous rapidly growing mycobacterial infections in cats in the south-eastern United States: A review of 10 cases (1996–2006). J. Feline Med. Surg. 2009, 11, 627–632. [Google Scholar] [CrossRef] [PubMed]
- Gunn-Moore, D.A.; McFarland, S.E.; Brewer, J.I.; Crawshaw, T.R.; Clifton-Hadley, R.S.; Kovalik, M.; Shaw, D.J. Mycobacterial disease in cats in Great Britain: I. Culture results, geographical distribution and clinical presentation of 339 cases. J. Feline Med. Surg. 2011, 13, 934–944. [Google Scholar] [CrossRef] [PubMed]
- Zhang, X.; Liu, W.; Liu, W.; Jiang, H.; Zong, W.; Zhang, G.; Jin, P.; Wang, H. Cutaneous infections caused by rapidly growing mycobacteria: Case reports and review of clinical and laboratory aspects. Acta Derm. Venereol. 2015, 95, 985–989. [Google Scholar] [CrossRef] [PubMed]
- Malik, R.; Hunt, G.B.; Goldsmid, S.E.; Martin, P.; Wigney, D.I.; Love, D.N. Diagnosis and treatment of pyogranulomatous panniculitis due to Mycobacterium smegmatis in cats. J. Small Anim. Prac. 1994, 35, 524–530. [Google Scholar] [CrossRef]
- Reppas, G.; Nosworthy, P.; Hansen, T.; Govendir, M.; Malik, R. Inguinal panniculitis in a young Tasmanian devil (Sarcophilus harrisii) caused by Mycobacterium mageritense. Aust. Vet. J. 2010, 88, 197–200. [Google Scholar] [CrossRef]
- Govendir, M.; Norris, J.M.; Hansen, T.; Wigney, D.I.; Muscatello, G.; Trott, D.J.; Malik, R. Susceptibility of rapidly growing mycobacteria and Nocardia isolates from cats and dogs to pradofloxacin. Vet. Microbiol. 2011, 153, 240–245. [Google Scholar] [CrossRef]
- Brown-Elliott, B.A.; Nash, K.A.; Wallace, R.J., Jr. Antimicrobial susceptibility testing, drug resistance mechanisms, and therapy of infections with nontuberculous mycobacteria. Clin. Microbiol. Rev. 2012, 25, 545–582. [Google Scholar] [CrossRef]
- Reil, I.; Špičić, S.; Barbić, L.; Duvnjak, S.; Kompes, G.; Benić, M.; Stojević, D.; Cvetnić, Ž.; Arapović, J.; Zdelar-Tuk, M. Antimicrobial Resistance in Rapidly Growing Nontuberculous Mycobacteria among Domestic and Wild Animals Emphasizing the Zoonotic Potential. Microorganisms 2023, 11, 2520. [Google Scholar] [CrossRef]
- Lloret, A.; Hartmann, K.; Pennisi, M.G.; Gruffydd-Jones, T.; Addie, D.; Belák, S.; Boucraut-Baralon, C.; Egberink, H.; Frymus, T.; Hosie, M.J.; et al. Mycobacterioses in cats: ABCD guidelines on prevention and management. J. Feline Med. Surg. 2013, 15, 591–597. [Google Scholar] [CrossRef]
- McKinsey, D.; Dykstra, M.; Smith, D.L. The terrier and the tendinitis. N. Engl. J. Med. 1995, 332, 338. [Google Scholar] [CrossRef]
- Fukano, H.; Terazono, T.; Hirabayashi, A.; Yoshida, M.; Suzuki, M.; Wada, S.; Ishii, N.; Hoshino, Y. Human pathogenic Mycobacterium kansasii (former subtype I) with zoonotic potential isolated from a diseased indoor pet cat, Japan. Emerg. Microbes Infect. 2021, 10, 220–222. [Google Scholar] [CrossRef] [PubMed]



| Accession Number | Organism | |
|---|---|---|
| 1 | AY438067.1 | Mycobacterium agri |
| 2 | AF547897.1 | Mycobacterium austroafricanum strain CIP 105395 |
| 3 | AF547907.1 | Mycobacterium brumae strain CIP 103465 |
| 4 | AF547913.1 | Mycobacterium confluentis strain CIP 105510 |
| 5 | AF547917.1 | Mycobacterium doricum strain DSM 44339 |
| 6 | AF547918.1 | Mycobacterium duvalii strain CIP 104539 |
| 7 | AF547919.1 | Mycobacterium elephantis strain CIP 106831 |
| 8 | AF547922.1 | Mycobacterium flavescens strain CIP 104533 |
| 9 | AF547930.1 | Mycobacterium goodii strain CIP 106349 |
| 10 | AF547943.1 | Mycobacterium madagascariense strain CIP 104538 |
| 11 | AF547948.1 | Mycobacterium moriokaense strain CIP 105393 |
| 12 | AF547953.1 | Mycobacterium novocastrense strain CIP 105546 |
| 13 | AF547957.1 | Mycobacterium phlei strain CIP 105389 |
| 14 | AF547960.1 | Mycobacterium pulveris strain CIP 106804 |
| 15 | AF547967.1 | Mycobacterium smegmatis strain CIP 104444 |
| 16 | AF547971.1 | Mycobacterium thermoresistibile strain CIP 105390 |
| 17 | AF547980.1 | Mycobacterium vaccae strain CIP 105934 |
| 18 | AY438079.1 | Mycobacterium vanbaalenii |
| 19 | AF547933.1 | Mycobacterium hassiacum strain CIP 105218 |
| 20 | NR_026011.1 | Mycolicibacterium hassiacum strain 3849 |
| 21 | NZ_LR026975 | Mycobacterium hassiacum DMS 44199 |
| 22 | MG386988 | Mycobacterium hassiacum strain JZ2014 |
| 23 | IZSLT1508522 | Mycolicibacterium hassiacum |
| 24 | AY544980.1 | Nocardia abscessus strain DSM 44432 |
Disclaimer/Publisher’s Note: The statements, opinions and data contained in all publications are solely those of the individual author(s) and contributor(s) and not of MDPI and/or the editor(s). MDPI and/or the editor(s) disclaim responsibility for any injury to people or property resulting from any ideas, methods, instructions or products referred to in the content. |
© 2024 by the authors. Licensee MDPI, Basel, Switzerland. This article is an open access article distributed under the terms and conditions of the Creative Commons Attribution (CC BY) license (https://creativecommons.org/licenses/by/4.0/).
Share and Cite
Smedile, D.; Iurescia, M.; Carfora, V.; Cocumelli, C.; Palmerini, T.; Diaconu, E.L.; Congiu, I.; Donati, V.; Stravino, F.; Sorbara, L.; et al. Genomics Insights into Mycolicibacterium Hassiacum Causing Infection in a Cat with Pyogranulomatous Dermatitis and Panniculitis. Pathogens 2024, 13, 785. https://doi.org/10.3390/pathogens13090785
Smedile D, Iurescia M, Carfora V, Cocumelli C, Palmerini T, Diaconu EL, Congiu I, Donati V, Stravino F, Sorbara L, et al. Genomics Insights into Mycolicibacterium Hassiacum Causing Infection in a Cat with Pyogranulomatous Dermatitis and Panniculitis. Pathogens. 2024; 13(9):785. https://doi.org/10.3390/pathogens13090785
Chicago/Turabian StyleSmedile, Daniele, Manuela Iurescia, Virginia Carfora, Cristiano Cocumelli, Tiziana Palmerini, Elena Lavinia Diaconu, Ilaria Congiu, Valentina Donati, Fiorentino Stravino, Luigi Sorbara, and et al. 2024. "Genomics Insights into Mycolicibacterium Hassiacum Causing Infection in a Cat with Pyogranulomatous Dermatitis and Panniculitis" Pathogens 13, no. 9: 785. https://doi.org/10.3390/pathogens13090785
APA StyleSmedile, D., Iurescia, M., Carfora, V., Cocumelli, C., Palmerini, T., Diaconu, E. L., Congiu, I., Donati, V., Stravino, F., Sorbara, L., Romano, E., Caprioli, A., & Battisti, A. (2024). Genomics Insights into Mycolicibacterium Hassiacum Causing Infection in a Cat with Pyogranulomatous Dermatitis and Panniculitis. Pathogens, 13(9), 785. https://doi.org/10.3390/pathogens13090785

